いろいろな のう胞 (嚢胞) cyst

のう胞とは
  • のう胞(嚢胞)というのは風船みたいなものです
  • 袋や風船の中に,液体あるいは固体が溜まった状態をいいます
  • MRIとかCT検査をした時に偶然発見されるものが多いです
  • 多くのものは治療の必要がありません
それぞれののう胞名をクリックすると説明ページに飛びます

くも膜のう胞

松果体のう胞

内胚葉のう胞

ラトケのう胞

コロイドのう胞

神経腸のう胞

類皮のう胞

類表皮のう胞

くも膜のう胞が一番多くて,ついで松果体のう胞,らとけのう胞の順です。小さなものだと松果体のう胞が一番多いかもしれません。見つけても経過観察さえしないことが多いでしょう。
類皮のう胞は手術摘出しなければなりませんし,類表皮のう胞は手術した方がいいこともあります。
神経超のう胞,コロイドのう胞,内胚葉のう胞は,多くの場合は経過観察のみです。症候性となれば初めて治療を考えます。


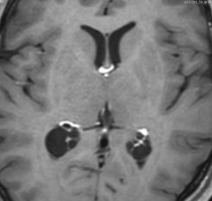
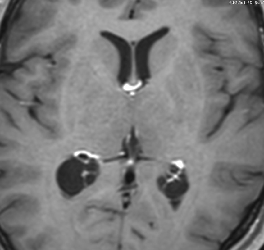
脳室内脈絡叢のう胞

多くは側脳室の中にみつかります。丸いものや楕円形のものがあります。これも脳腫瘍と間違われることがあるのですが,脈絡叢にくっつく位置にあって,内部が髄液であることで区別できます。脳室内脈絡叢のう胞と脳室内くも膜のう胞は区別できませんが,両方ともほっておけばいいので心配ありません。

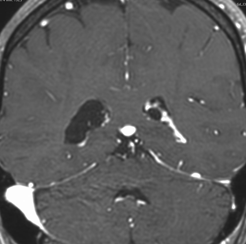
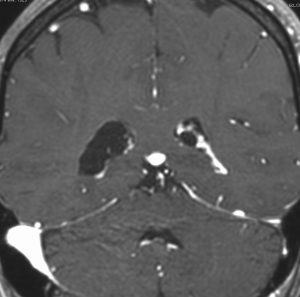
choroidplecyst側脳室三角部によくみられる両側性の脈絡叢のう胞です。成人女性にみられたものです。左右の大きさが違うこともありますし,脈絡叢がある部位ならどこでも発生するものです。脳室内くも膜のう胞と区別できないようなものもあります。

これも側脳室三角部の両側性の脈絡叢のう胞です。ガドリニウム増強で,脈絡叢が固まっていなくてばらけたように見えます。

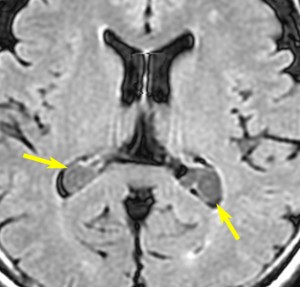
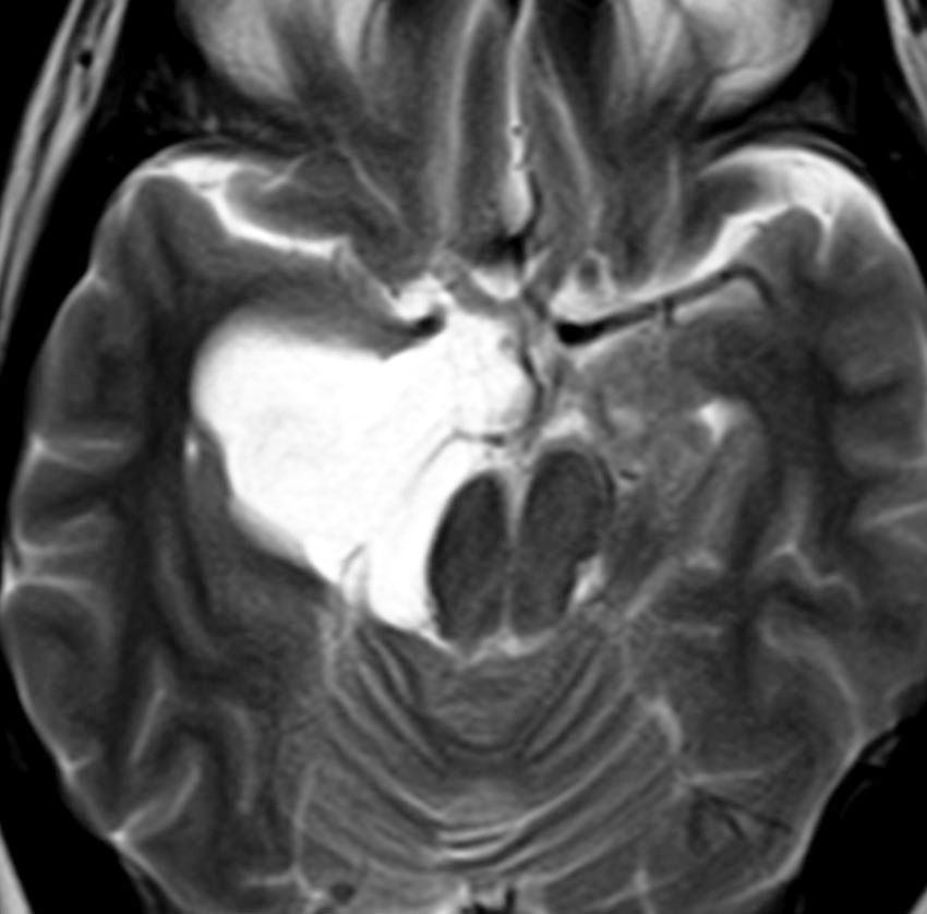
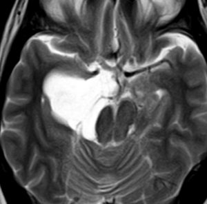
側頭部脈絡裂のう胞 temporal choroidal fissure cyst


内側側頭葉の側脳室側頭角の内側にできる小さなのう胞です。よくみるもので何もしないで放置します。通常は無症状ですが,とても大きくなると側頭葉てんかんを生じることがあります。組織は,choridal cyst, arachnoid cyst, glial cystなどと報告されています。
左側の画像は例外的に大きなものです。通常は10-20mmくらいの小さな丸いのう胞として見られます。

 


道東厚岸の海ですshakotan

Copyright (C) 2006-2026 澤村 豊 All Rights Reserved.