類皮のう胞(類皮嚢胞,類皮腫)dermoid cyst
類皮腫とも呼ばれますが正確には,類皮のう胞です
どんな病気?
- かなり珍しい小児から若者にみられる良性腫瘍です
- 業界用語でデルモイドといいます
- 類表皮のう胞 epidermoid cystとは違いますので注意
- 原因は,先天的なもので,お母さんのお腹の中にいる時に皮膚が頭蓋内に迷い込んでしまってできるものです
- 頭の中のものは10才以下で発症することが多いです
- のう胞というのは,袋の中にものがたまっている状態をいうのですが,この腫瘍の場合それは袋が皮膚で,中には脂肪(皮脂)とか毛髪がたまっています
- 本当の腫瘍細胞は外側の皮の部分だけです
- 発生部位は第4脳室と小脳虫部が最も多いです
- 次には前頭蓋底(鞍結節周囲)といって前頭葉の下側にできます
- 良性の腫瘍でゆっくり大きくなります
- 頻度の高い類表皮のう胞とは異なる腫瘍です
- MRI診断では,類表皮のう胞とか奇形腫とかと間違うことがあります
- MRI診断の最大の特徴は拡散強調画像 DWIで高信号になることです
- 手術では,のう胞の膜(壁, cyst wall)も全部摘出しないと治りません
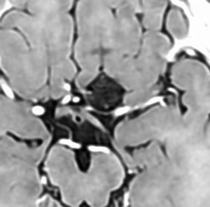
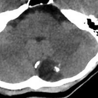
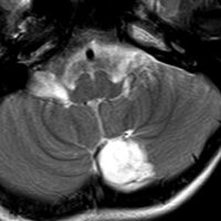
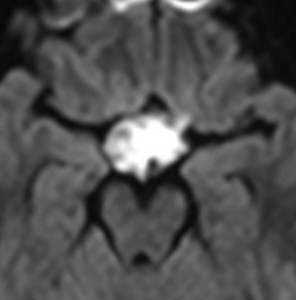
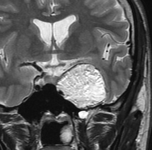
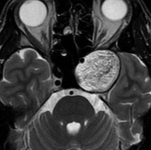
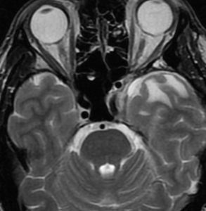
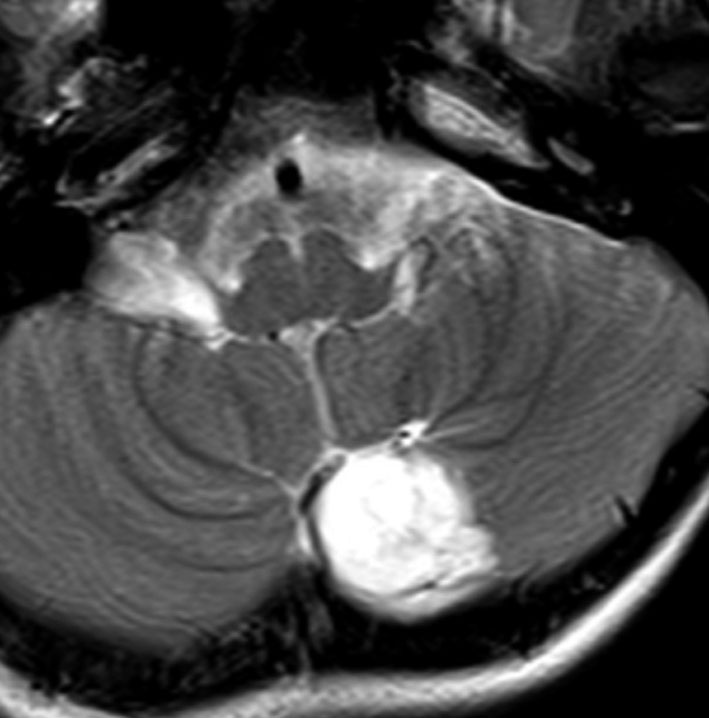
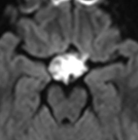
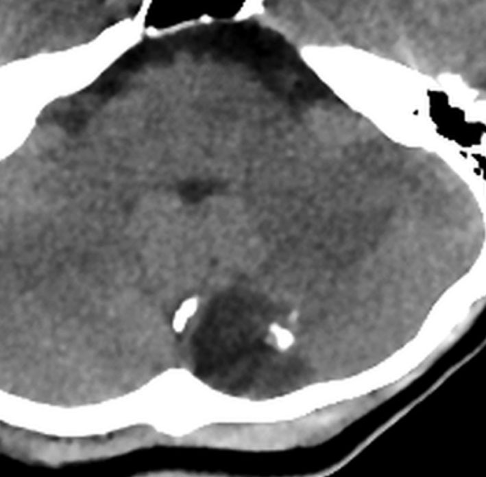
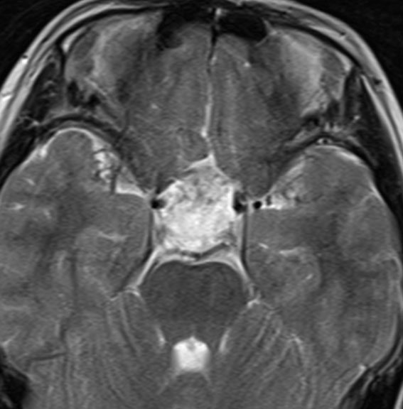
小脳類皮のう胞
偶然発見された女の子のものです。左のCTで石灰化があります。右の拡散強調画像 DWI で白く高信号に描出されるのが特徴です。手術では腫瘍内部に毛髪がたくさんありました。後下小脳動脈に強く癒着していて,脳軟膜からの剥離もできませんでしたが,完全摘出しました。無症状でも”完全”摘出 complete removal するべきです。
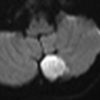
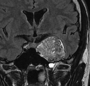
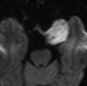
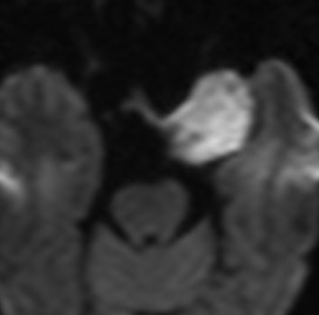
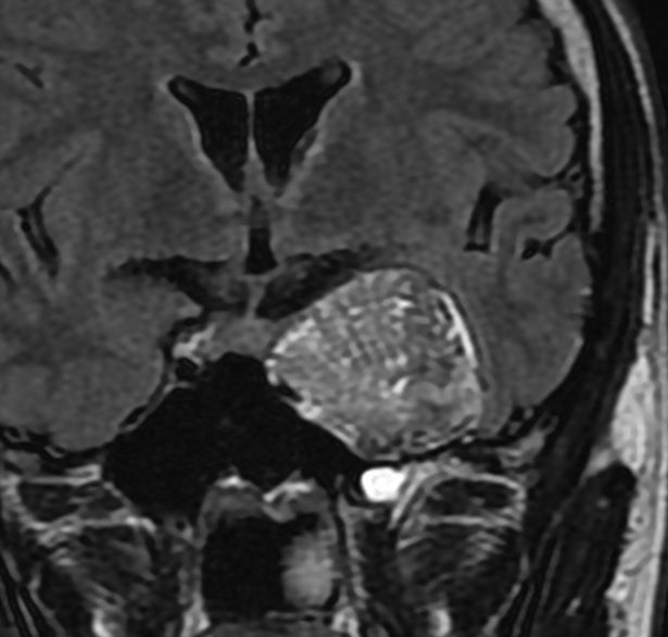
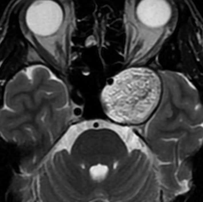
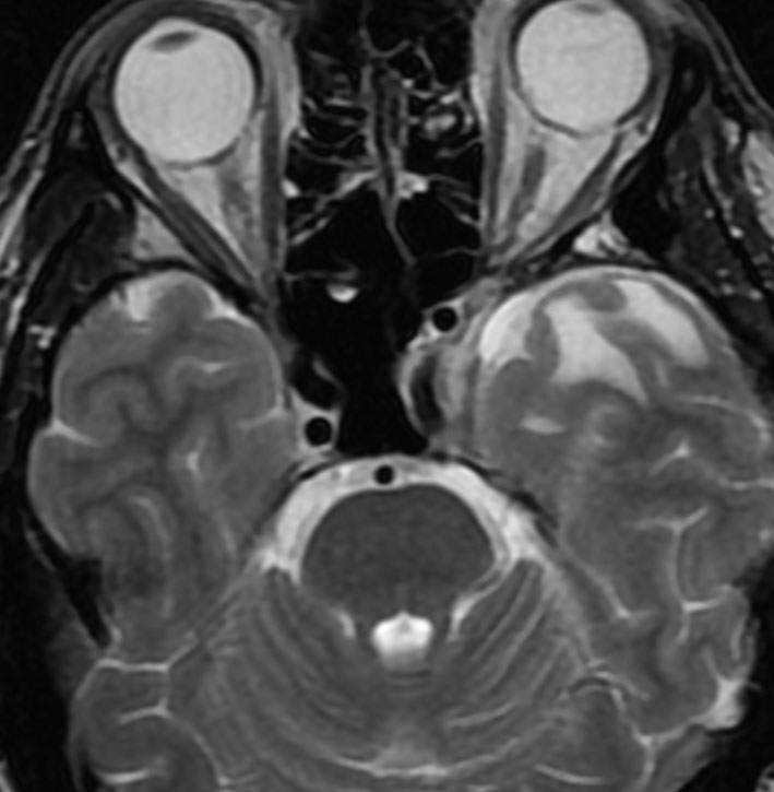
前頭蓋底類皮のう胞
蝶形骨平面から鞍結節上に発生するもので多いタイプです。左側のT2強調画像で内容物がまだらに見え,右側の拡散強調画像で高信号(白い)に見えるので診断確定です。内頸動脈や前大脳動脈や穿通枝などとの癒着が強いものが多いので剥離は難しく要注意です。ある程度の大きさを超えると経鼻内視鏡手術では摘出できません。この腫瘍は脳槽内にあるので,一回の手術でのう胞の壁も含めて全部摘出しなければなりません。そうしないと,手術後に内容物(皮脂と汗とケラチン)が髄液の中に産生されて漏れ出て,難治性の水頭症になります。
治療
- 手術で全部取れれば治ります
- 放射線とか化学療法は効きません
- 手術で全部取れれば再発することはほとんどありません
- 小児の類皮のう胞は手術で完全摘出するべきです
- のう胞の壁を残してはなりません
ruptured dermiod cyst 類皮のう胞の破綻と髄膜炎
- 類表皮のう胞と同様に,内容物の漏出で髄膜炎症状 chemical meningitis, aseptic meningitis を生じることがあります
- これを「破綻した類皮のう胞 ruptured dermoid cyst」と呼びます
- 漏出する内容物は皮脂腺から産生された脂肪と汗腺からでた汗です
- 最も刺激性の物質はコレステロールとされていて,周囲の硬膜に肉芽腫を形成しその中には異物巨細胞を混じます
- 頭痛などの髄膜炎症状,症候性てんかん,難治性水頭症などを呈して重症になることがあります
- 類皮腫の内容物は大部分が脂肪であるので,CTやMRIでは脳室やくも膜下腔に散在する脂肪滴として捉えられます
- 髄膜炎症状が強い場合にはステロイドの髄腔内投与を行います
- このような重い合併症を起こさないためにも,特に小児に発生したら早めに完全摘出するべきです

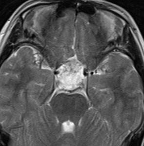
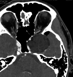
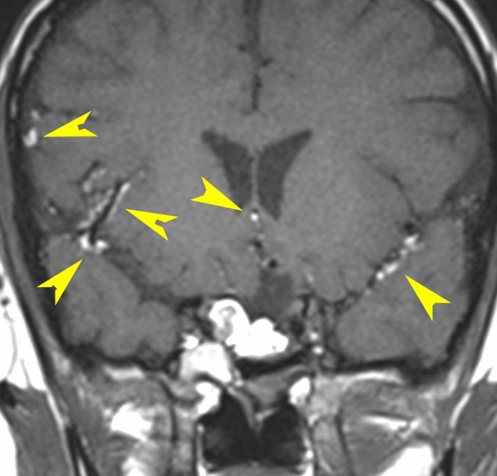
頭痛と嘔吐という髄膜刺激症状で発症しました。鞍結節部の類皮のう胞が破れたものです。黄色い矢印の先の白い点々にみえるのが散らばった内容物です。油滴です。
ちょっと専門的な知識
- 毛嚢や汗腺,皮脂腺などの皮膚の付属器官があれば類皮のう胞と診断できます
- 軟骨や骨の小片を混じることがあるので,この所見のみでは奇形腫との鑑別はできません
- 逆に類皮のう胞が,成熟奇形腫の一部としてみられることがあり,病理診断を迷うことがあります
- 特に松果体の成熟奇形腫では,類皮のう胞と類表皮のう胞が奇形腫の大部分をしめることがしばしばです
- 胎生期の外胚葉組織の迷入であるheterotopiaなので,頭蓋内腫瘍と連続して副鼻腔や頭皮に皮膚洞 dermal sinusを認めるものがあります
- 画像診断で類表皮のう胞と鑑別がつかなくともdermal sinusを認めれば類皮のう胞と診断できます
- しかし,乳児期の成熟奇形腫にはdermal sinusを有する例があります
- 摘出時の肉眼所見で最も特徴的なのは,黒髪あるいは白髪がのう胞内容の脂肪組織の中に見られることです
- 最も頻度が高い小脳と前頭蓋底の類皮のう胞の全摘出は容易です,でも執刀医の経験と力量によります
- のう胞壁は皮膚であり,周囲の脳神経組織や硬膜あるいは血管と癒着するので,摘出時の剥離が容易ではないことがあります
- のう胞壁がかなり硬く厚いものではのう胞壁切除が難しいといえます
- 海綿静脈洞内や脊髄髄内のものは,周囲の線維化とgliosisのため全摘出を試みれば神経障害の可能性は高いので,部分摘出にとどめることがあります
- 部分摘出とのう胞内容物郭清でも再燃までには数年から10年以上の時間を得られることも多いので部位によっては無理しません
- でも逆に,再発したらどうにも命が助からないような部分では,神経障害を出してでも全摘出します
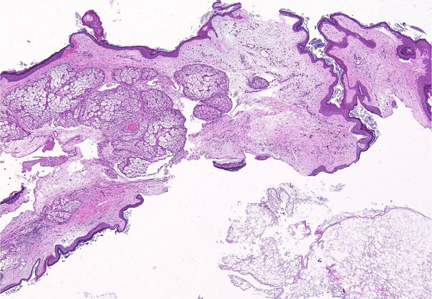
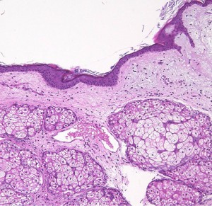
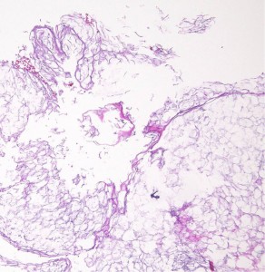
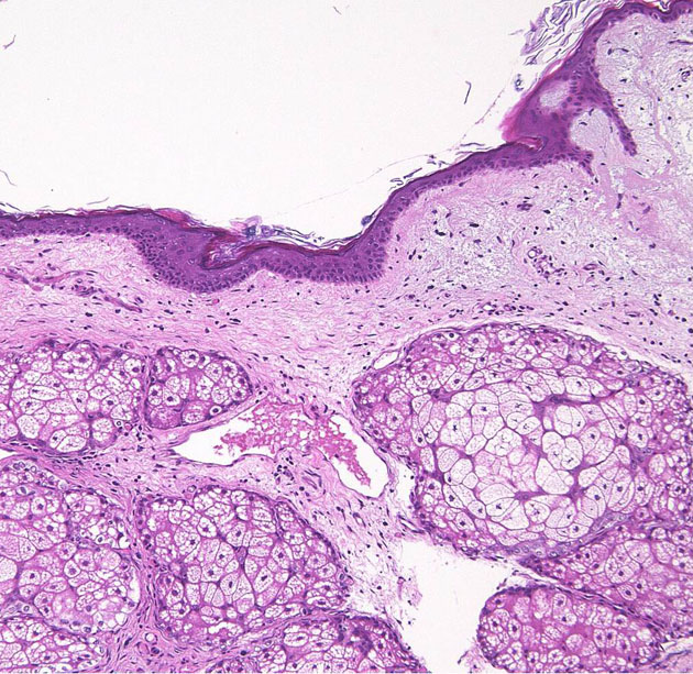
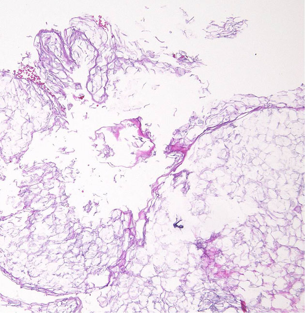
病理所見
豊富な皮脂腺 sebaceous gland を有する扁平上皮 epidermis とケラチン dry keratin material(右下)が特徴です

皮脂腺を有する扁平上皮とkeratin material (右下)の概観
皮脂腺を有するepidermisの強拡大,Keratin materialの強拡大
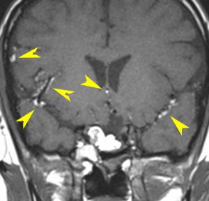
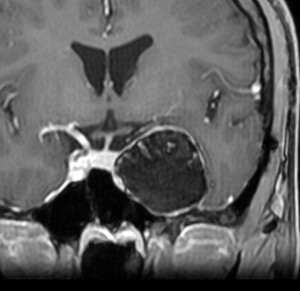
7歳の時に偶然発見された左海綿静脈洞外壁の類皮のう胞 dermoid cystで,多数の脳神経と皮膜が癒着するものです。この腫瘍は先天性の腫瘍なのでおそらく生まれた時からあったものです。10歳の時に手術摘出しました。画像は22歳の時の手術前のものです。何故2回も部分摘出したのかは,この類皮のう胞というのは脳組織や髄膜や脳神経にベトベト癒着してくっつく性質があるからです。海綿静脈洞内にある脳神経と剥離できませんでした。でも初回手術から12年無症状でしたし,2回目の手術後も無症状です。

左側の画像はガドリニウム増強のT1強調MRIです。壁が厚いと造影剤で増強されることがありますが,この壁はとて硬いです。
時には毛が生えていてゴムのように硬い鳥皮のようなものもあります。そういうのは周囲組織を損傷しないと剥がせません。
この画像は拡散強調画像 DWI と言います。左が術前,右が術後です。拡散強調画像 DWIで強い高信号になるのが特徴です。しかし,類表皮のう胞でも高信号になるので注意を要します。
のう胞壁を残したので,さらに5年後に急速に大きくなりました。本人も27歳になり,仕方がないのでよくよく相談して,のう胞ごと全摘出しました。これで治った,と思える手術です。たくさんの脳神経に癒着していました。でも幸い,大ごとにはならなくて,額の感覚が少し低下,左目から涙が出ない,左のまぶたが少し下がっている(軽度の眼瞼下垂)くらいですみました。通常は左目の機能を完全に失う手術です。
前床突起硬膜あたりから発生したもの

16歳で無症状で発見されました。左前床突起の硬膜に強く癒着していたものです。開頭手術で全摘出したのですが,左シルピウス列には油性のdebrisが散在していてすでにruptureがありました。内頸動脈,前大脳動脈,中大脳動脈には高度に癒着があり,ハサミで動脈壁から切り離すという危険な摘出でした。類皮のう胞は動脈や脳と高度に癒着を生じる腫瘍だと,術前に覚悟しなければなりません。取り残しての再手術ではさらに癒着と肉芽組織との戦いになります。

この部位は取り残して再発すると,内頚動脈や前大脳動脈を切断する羽目にもなるので,何としても1回目で全摘出します
手術の時の注意
類皮のう胞は内容物を除去しても治りません:薄いのう胞壁を全摘出しないと再燃するものです。そののう胞壁が脳動脈に強く癒着することがおおいです。また,なぜだか解りませんが,小児例でも隣接して動脈瘤形成を合併することがあります。剥離は想像以上に危険で,おそらく内視鏡手術ではできないものです。














