奇形腫 teratomas 未熟奇形腫 immature teratoma
おおまかなこと
- 奇形腫はテラトーマ teratomaと呼ばれます
- 小児の脳腫瘍です
- 頭蓋内奇形腫には発生学的に2種類の全く違ったものがあります
- 一つは先天性腫瘍としての純粋な奇形腫で,もう一つは胚細胞腫瘍の一種です
- 先天性奇形種は乳幼児の頭蓋内のどこにでも発生します
- 先天性奇形種は手術摘出のみで治癒することが多いのであまり問題になりませんが,手術自体が難しいです
- 胚細胞腫瘍としての奇形腫は,松果体と視床下部下垂体,大脳基底核に発生します
- 胚細胞腫瘍の治療はとても複雑です
診断
- WHOは3つに分類しています,成熟奇形腫,未熟奇形腫,悪性転化を伴う奇形腫です
- 診断にはMRIとCTが必要です
- 脂肪と石灰化が混じる腫瘍だと奇形腫の疑いが強いです
- 悪性度をみるために腫瘍マーカー血液検査(AFPとHCG)をします
乳児の奇形腫は違ったものなのでページの最後に書きます,これから以下は胚細胞腫瘍としての奇形腫の知識です
治療
- 成熟奇形腫は手術で全部取れれば治ります
- 成熟奇形腫には,制がん剤(化学療法)も放射線も効きません
- 成熟奇形腫に放射線化学療法をしても大きくなってしまいます
- 未熟奇形腫と悪性腫瘍を含む奇形腫は,化学療法と放射線治療が必要です
- 問題は,奇形腫と他の胚細胞腫瘍が混じる,混合性胚細胞腫瘍というのが多いことです
- 例えば,ジャーミノーマと成熟奇形腫が混じっている混合性胚細胞腫瘍などがありますが,このタイプはほぼ確実に治ります
- 未熟奇形腫と卵黄嚢腫の組み合わせも多いのですが,これは悪性度が高いです
- こうなってしまうと,治療方針の決め方がとても複雑になります
- 説明はとても難しいのですが,成熟奇形腫とジャーミノーマが混じった場合には,手術で全摘出してからジャーミノーマに対する治療を行なうか,あるいは生検術でジャーミノーマだけが証明されて画像で奇形腫が疑われる時にはジャーミノーマに対する治療をしてから残った腫瘍(成熟奇形腫)を全摘出します
- この他にも組み合わせがとってもたくさんあるから,治療方法の選択はかなり難しいです
- さらに奇形腫は,生検術でも開頭手術で一部分摘出しても,病理学的な悪性度が解らないことがあります
- 大部分が成熟奇形腫であっても,摘出検体を全部細かく見ると,ほんのごく一部に,悪性度の高い癌が混じっていることがあります
- 単なる未熟奇形腫として治療していて,激しい腫瘍再燃に遭遇することがありますが,それは病理診断で悪性度の高い癌あるいは肉腫が混じっていることを見逃していたということです
- 悪性度が高い,髄液播種する可能性がある奇形腫には脳脊髄照射を行います
- ICE化学療法が広く用いられています。
奇形腫の手術は難しい
はい,癒着性の未熟奇形腫,ガチガチに線維性に硬い成熟奇形腫は,泣くほど難しいです
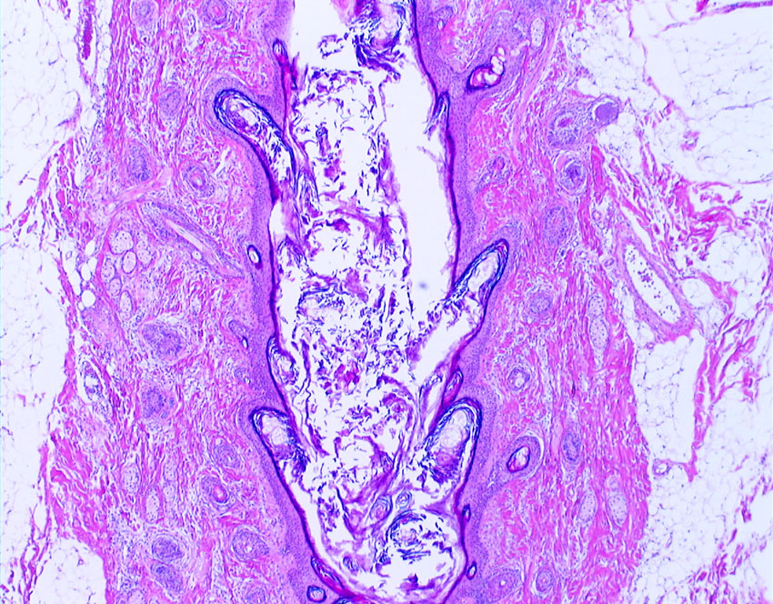
類皮のう胞は摘出しやすい
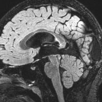
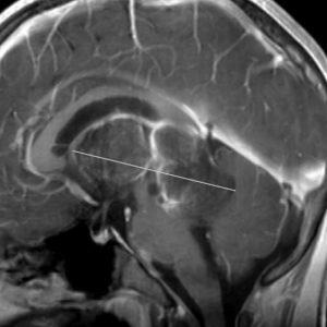
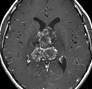
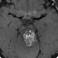
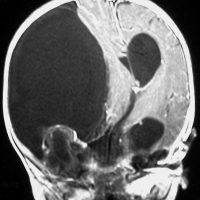
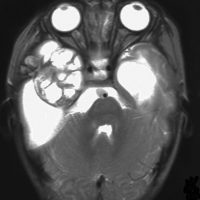
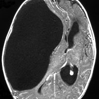
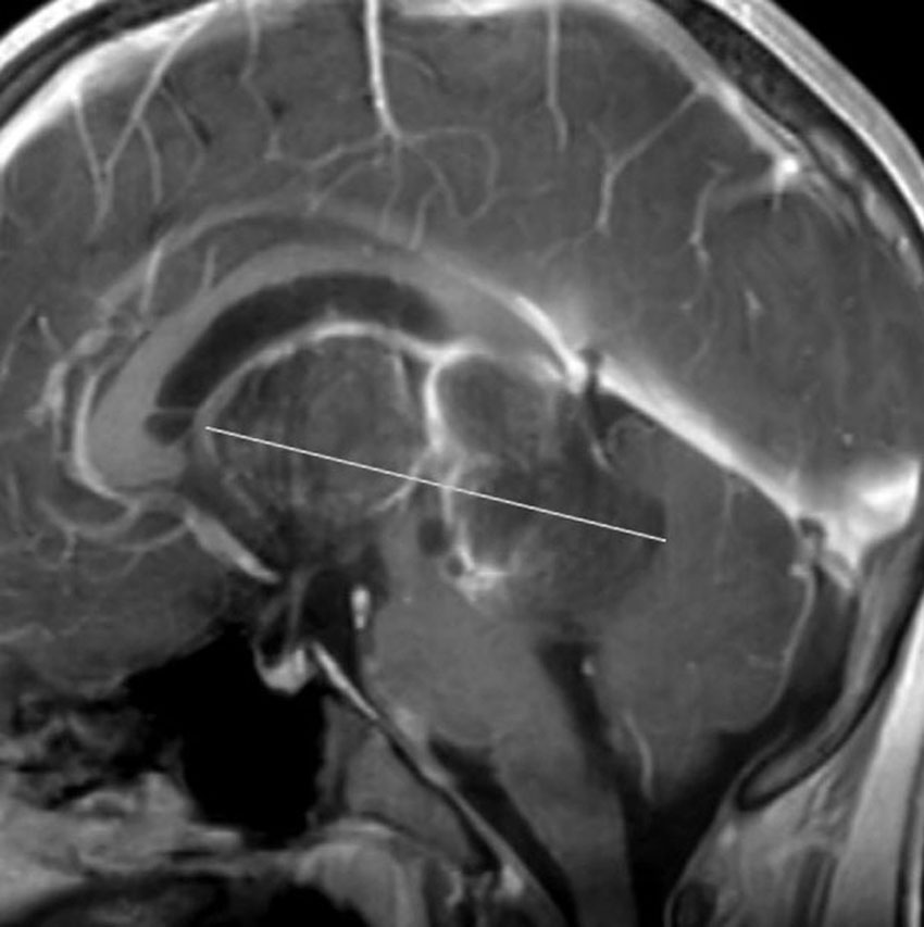
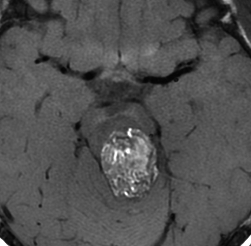
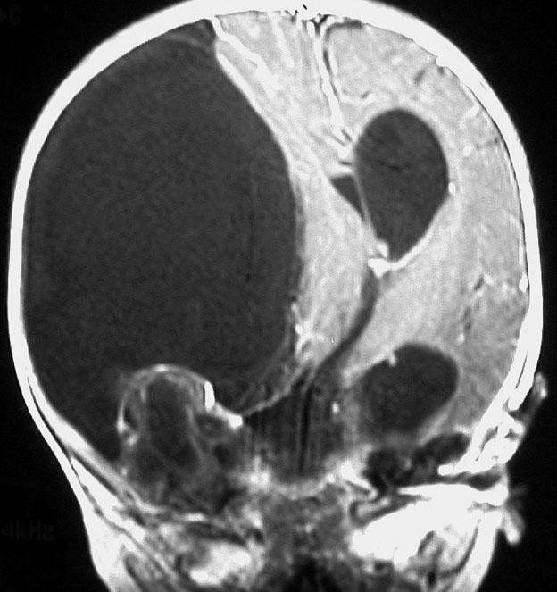
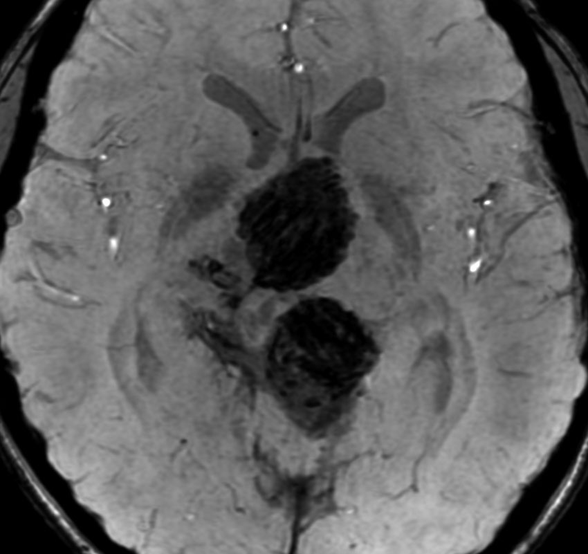
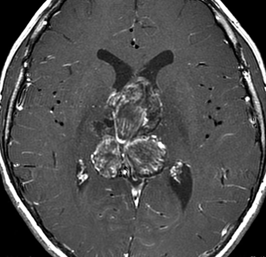
9歳男児の松果体奇形腫です。生検術と第3脳室開窓術を受けましたが,摘出術のリスクが高すぎるということで化学療法を6コース。2年間経過観察されましたが,腫瘍が増大しました。私のところへ来た時には,前後径73mmありました。
左からT2, swan, T1です。これが 類皮のう胞 dermoid cyst ということがわかります。類皮のう胞単独,あるいは成熟奇形腫の大部分としての類表皮のう胞は,かなり頻度の高いものです。松果体腫瘍で奇形腫を疑ったらまず,類皮のう胞の混在を疑います。それがあれば,かなりの確率で成熟奇形腫 mature teratomaです。
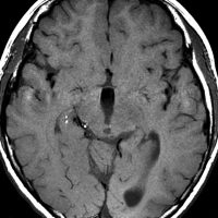
類皮のう胞は内部がほとんど皮脂,ケラチン,汗,毛髪なので,簡単に砕けるし,掻き出し吸い取ることができます。松果体成熟奇形腫の中では最も戦いやすい相手と言えるでしょう。再発しないようにするには,周囲ののう胞壁(真の腫瘍細胞)を完全摘出するしかありません。放射線も化学療法も何も効かないし,のこせば必ず再発します。


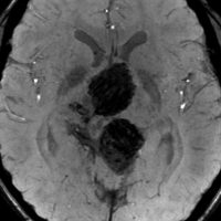
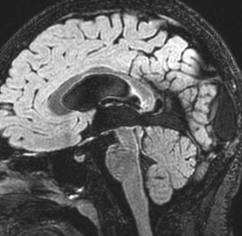
右迂回槽にちょっとdebrisは残っていますが完全摘出できました。病理は他の成分を少し混じる成熟奇形腫です。術後3年間再発はありませんし,学校へ通って体育もできています。
この手術はもちろん簡単ではありません,でもほとんどが類皮のう胞であるということがわかったので踏み込めたのです。
奇形腫の分類(胚細胞腫瘍の一部に含まれます)
WHO Classification of Germ Cell Tumors (2021)
- 奇形腫(成熟奇形腫,未熟奇形腫,悪性転化を含む奇形腫) Teratoma (Mature, Immature, Teratoma with somatic type malignancy)
- ジャーミノーマ Germinoma
- 胎児性癌 Embryonal carcinoma
- 卵黄嚢腫 Yolk sac tumor
- 絨毛癌 Choriocarcinoma
- 混合性胚細胞腫瘍 Mixed germ cell tumor
気をつけなければいけないことは,奇形腫だけで存在することがほとんどなくて,混合性胚細胞腫瘍 mixed germ cell tumorの一部として奇形腫があることがほとんどなのです。下にある4つのタイプが多いでしょう。
- 成熟奇形腫の中にジャーミノーマが混じっている
- 未熟奇形腫にジャーミノーマが混じっている
- 未熟奇形腫に卵黄嚢腫が混じっている
- 未熟奇形腫に様々な悪性型の胚細胞腫瘍が混じっている
胚細胞腫瘍としての奇形腫の病理
- 悪性奇形腫を含めても頭蓋内腫瘍の0.5%以下という珍しい腫瘍です
- 奇形種は,皮膚附属器・骨・軟骨・消化器官・筋肉・脂肪組織・結合組織・神経などの三胚葉由来組織が混合し異常増殖する腫瘍です
- 成熟奇形腫 mature teratomaは,高分化型の腫瘍で全ての構成要素が分化した組織からなります
- 胎生初期の未分化組織に類似した像,あるいは同定ができない組織像を含む場合には未熟奇形腫 immature teratomaと診断します
- 悪性転化を伴う奇形腫 teratoma with malignant transformationは,奇形種の内部に扁平上皮癌や腺癌などの癌腫や中胚葉性の肉腫などを含むものです
- ただし奇形腫 teratomaの中に他の胚細胞腫瘍の部分像を含むときには混合性胚細胞腫瘍 mixed germ cell tumorの範疇に入れます
奇形腫と悪性奇形腫の年齢分布
脳の奇形腫は,成人にも発生するのですが小児に多いことがわかります。悪性奇形腫といわれるものは10歳以下に多いです。Tapperによれば小児の奇形腫254例のうちで中枢神経系(脳)に発生したものはたった9例 (3.5%) であったということです。
治療の考え方
一般に症候性であっても成熟奇形腫の進行は緩徐です。また若年成人になって偶然発見されたのもでは,全く腫瘍増大もせずに症状が進行しない症例や,無治療で臨床経過が10年を越える症例もあります。従って,あえて根治治療をせずに,注意深い経過観察でよいこともある腫瘍です。高分化型の奇形腫は手術による完全摘出で治癒しますが,発生母地が脳深部にあるので手術摘出にはかなり熟練した手術技量が必要です。ほとんどの松果体奇形腫は完全摘出を行うことが可能ですが,視床下部原発の奇形腫は視床下部や下垂体機能を温存するために,部分摘出に止めることもあります。部分摘出であっても運良く再増大しない場合もありますが,視床下部成熟奇形腫の術後残存腫瘍が増大した場合には手の打ちようが無くなります。
治療の困難さは,部分摘出後の残存腫瘍をいかに扱うかにあります。奇形種は様々な部分組織像を混合するため,取り残した腫瘍に悪性組織が残存する可能性を否定できないからです。慎重な経過観察を行い,もし再増大した場合には再手術による組織像の確認を行って治療方針を再考するのが妥当です。
成熟奇形腫は他の胚細胞腫瘍の組織像,例えばジャーミノーマなどを含むことが多く,この場合は混合性胚細胞腫瘍 mixed germ cell tumorとの診断になります。
成熟奇形腫より未熟奇形腫の方が頻度が高いです。未熟奇形腫は,一見境界が明瞭ですが,周囲神経組織に浸潤していることが多く,完全摘出しても部分摘出しても再発・再燃する可能性が高いので,術後の補助療法が欠かせません。しかし,未熟奇形種の生命予後は中間群に分類され,適切な後療法を行えば治癒する機会も高いといえます。
未熟奇形腫の補助療法には,放射線照射単独,あるいは放射線治療と化学療法を組み合わせて用います。髄腔内播種を来す頻度は低いので,放射線治療は局所照射として45~54Gy程度の線量を加えます。しかしながら,年齢と腫瘍発生部位に応じた放射線量の検討が個々の患児において必要です。奇形腫は腫瘍組織構成成分が多様であるので,下の図ににみられるように同一の腫瘍の中でも部分的に治療反応性が異なることがあることに注意します。未熟奇形腫でも病理像で悪性度が高いと判断されるもの,発症時のAFPやHCGが数百くらいの値を示すものは脳脊髄照射と高線量局所照射を行った方がいいでしょう。播種再発することは十分あり得ます。
AFPやHCGが1,000を越えるもの,癌腫あるいは肉腫の部分像を含むものは死亡率も高く予後不良な奇形腫です。髄腔内播種の危険性がありますから,放射線治療は脳脊髄照射 CSIとして,腫瘍局所には総線量で54~60Gy程度を照射します。松果体部に原発した悪性奇形腫であれば60Gyまで線量をあげることができますが,視床下部では最大50Gy程に止めざるを得ません。この場合も精密な線量分布計算と視神経への線量を下げるなど,放射線治療医のきめ細かな配慮が求められます。放射線化学療法後に残った腫瘍は開頭手術で全摘出します。残存腫瘍があると高率に再燃するからです。
teratomaのparadoxical response
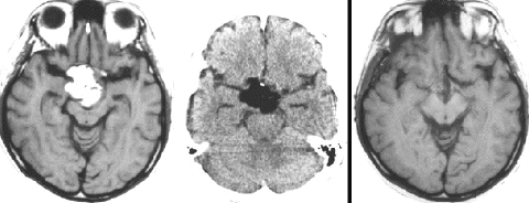
neurohypophyseal mixed germ cell tumorの若年成人男子例です。発症時のMRIでは大部分が増強されますが,腫瘍の右前方に脂肪組織を示す小さな信号域を認めます(上段左の単純MRI,上段右の増強MRI)。経蝶形骨洞生検術でmature teratomaとgerminomaの所見が得られました。ICE化学療法により増強される部分の腫瘍は消失しましたが,逆に下段左の単純MRIと下段中央のCTで認められる脂肪組織を含む部分が顕著に増大しました。この腫瘍は後に亜全摘出しました(下段右)が,病理所見は類皮腫でした。teratomaにおいてはこのような奇異な治療反応性 paradoxical response がみられることがあります。
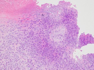
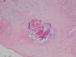
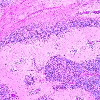
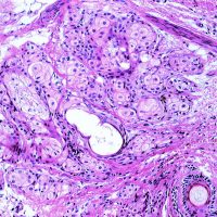
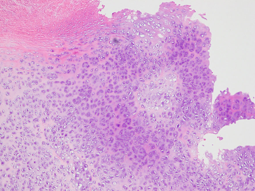
照射後の奇形腫の病理像
左上にはcartilage,右上にはkeratin squamous tissueがみられます。左下は繊維生組織のみdense collagenous tissueです。
生検術で胎児性癌と未熟奇形腫の混合型と診断されたために,化学療法と61.1グレイの放射線治療がなされていました。しかし,大きな松果体腫瘍が残り全摘出したものです。この子の腫瘍は治っていて元気に暮らせています。
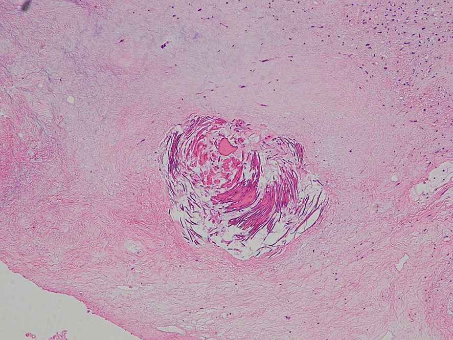
奇形腫の照射後はいつもそうなのですが,dense collagenous tissueとfibroblastic spindle cellが組織の主体となっています。要するに肉芽腫のようなものです,ですから,手術摘出ではものすごく硬い線維性の腫瘍となっていてハサミでも切れずに難渋します。出血もしないし脳とは剥離できるのできます。放射線化学療法前の生検による組織像(悪性要素)は消失して単なる成熟奇形腫との病理診断となってしまいます。しかし,この組織のどこかに悪性度の高い細胞が潜んでいて,播種再発するなどということも経験しました。放射線治療後の病理組織診断はその後の予後の予想のためには役に立ちません。
先天性腫瘍としての奇形腫
頭蓋内胚細胞腫瘍 intracranial germ cell tumorとは区別されるべき奇形腫です。1983年の古い論文になりますがTapperらによれば,小児の奇形腫の発生部位は254例の内,仙尾部 102例,卵巣 94例,精巣8例,中枢神経 9例,肝臓 2例,腹壁と背部が 1例であったとのことです。124例 (49%)が新生児期に発見されています。未熟奇形腫の方が成熟奇形腫より腫瘍サイズは大きく,いずれにおいても治療手段は外科的全摘出のみでした。

生後5ヶ月の女児に発生した右中頭蓋窩から海綿静脈洞から側頭下窩の成熟奇形腫です。腫瘍のう胞が大きく,右大脳半球の高度の圧排変形がみられます。
のう胞が巨大なので,まずのう胞腹腔シャントをして脳の変形を戻しました。その2ヶ月後に開頭手術で腫瘍を亜全摘出しています。

小児科から抗てんかん薬の投与を受けていますが学習障害などなくて正常です。また腫瘍再発もなく,看護学校へ通学しています。

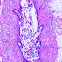
左上の写真で見えるのは,腫瘍内部にあった小脳組織です。内胚葉,外胚葉性組織など多様に分化した組織が混入しています。
乳児の先天性奇形腫は手術摘出だけで治療できる良性の腫瘍です
文献
- Sawamura Y, et al.: Teratomas of The Central Nervous System: Treatment Consideration Based on 34 Cases. J Neurosurg 89: 728-737, 1998
- Tapper D and Lack EE: Teratomas in infancy and childhood. Ann Surg 198: 398-410, 1983















