類表皮のう胞
類表皮嚢胞,類表皮腫,類上皮腫,epidermoid cyst
どんな病気?
- 脳腫瘍のうちの発生頻度は1%で,珍しい良性腫瘍です
- 正確には類表皮のう胞といいます
- 業界用語でエピデルモイドといいます
- 発生部位は頭蓋内のどこにでもできます
- 小脳橋角部やトルコ鞍の上などの脳槽(くも膜下腔)が主で,側頭骨などの頭蓋骨の中にもできます
- 大脳の内部,脳室の中,松果体部にもできます
- 発症年齢は30~40歳代で,成人に多い腫瘍です
- 良性の腫瘍で,何十年もかかってゆっくり大きくなるものもあります
- のう胞 (cyst シスト)というのは,袋の中にものがたまっている状態をいうのですが,この腫瘍の場合それは垢(アカ)の様なもので,ケラチンという細胞の分泌物が溜っているのです
- 本当の腫瘍細胞は,薄い膜になっている扁平上皮という外側の部分だけです
- 側頭骨(錐体骨,中耳)の中にできるのは中耳真珠腫 cholesteatoma と呼ばれ,耳鼻科で治療します
- キラキラ光る真珠に似ているので真珠腫 pearly tumorともいわれます
- 頭蓋骨を破壊する悪性のもの (扁平上皮癌,epidermoid cancer) を見たことがありますが,ものすごく稀で,ほとんどありえないと言えます
- とても似ている病名の類皮のう胞 dermoid cystとは違いますから注意してください
- 脳幹部の周囲の類表皮のう胞の手術リスクは高く,重篤な合併症が生じることがあります
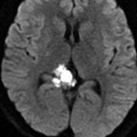
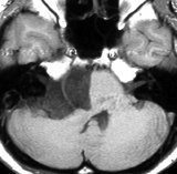
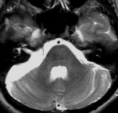
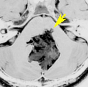
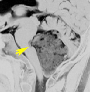
10代で発見された四丘体槽の類表皮のう胞です。左の画像,拡散強調像 DWIで真っ白に見えるので診断できます。真ん中は発見された時のもの,右側の画像は7年後です。ゆっくり増大してきたので,開頭手術(経テント法)で完全摘出しました。周囲の血管や神経に癒着するのでそれほど簡単な手術ではありません。
ポイント
- 手術で完全摘出することが意外に難しい
- ほとんど(95%以上)とることはとても簡単ですが,100%摘出はリスクも高いし難しい
- でも完全摘出しないと10年後くらいに2度目の手術になることがあります
症状と診断は?
- かなり大きくならないと症状を出しません
- 脳神経麻痺で発症することが多いです
- 顔面が痛いとかしびれる三叉神経痛,顔面が動かないあるいはピクピクする顔面神経麻痺,耳鳴りや耳の聞こえが悪くなる蝸牛神経麻痺,ものが2つに見える複視などが代表的です
- 脳幹部や小脳症状(ふらついて歩きにくい,はきけ,めまい)や眼振(眼が細かく動く)で病気が明らかになることもあります
- 側頭骨(錐体骨)の中にできるのは聴力の低下,耳鳴り,顔面神経麻痺などを出します
- ゆっくり進行しますから,急激な症状は出ません
- でも,のう胞の中の垢が外に漏れるとまれに髄膜炎を起こすことがあります (無菌性髄膜炎,chemical meningitis)
- この髄膜炎は頭が痛いという症状を出しますが,長引いても自然に治ります
- 髄液の中ではリンパ球が増えます
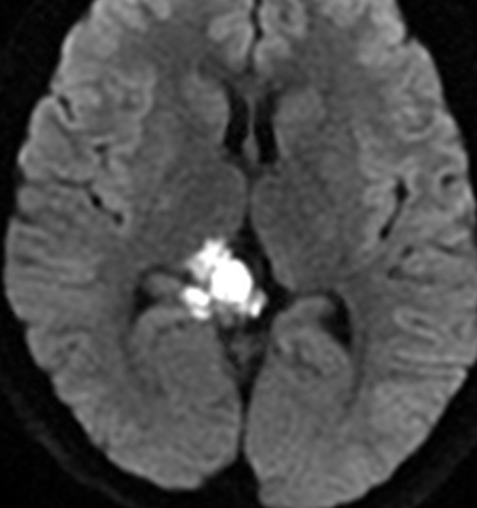
- MRIやCTでは髄液と同じように見えて,忍者のように隠れるので見つけにくい腫瘍です
- でも拡散強調画像MRIで真っ白(高信号)に写りはっきりします
- 腫瘍はでこぼこの形で脳のすき間すき間に伸びています
- CTではのう胞の壁に白い石灰化がみられることがあります
- 多くの場合,ガドリニウム造影剤を入れても増強されないので見えやすくはなりません
- まれにのう胞の中に出血がみられることがあります
- 診断でまちがえやすいのは,くも膜のう胞や類皮のう胞です
治療は?
- 症状のないものは大きなものでも治療しません
- しかし,若い10代から30代くらいの患者さんで,完全摘出するチャンスが大きいと判断されれば,無症状でも手術摘出することをお勧めします
- 症状があっても急速には進行しません,ゆっくりですからあわてて治療しないことが重要です
- 手術摘出が唯一の治療法です
- のう胞の中のアカを大部分とってもだめで,のう胞の壁を全部とらないと治りません
- 肝心なことは,できる限りたくさん壁をとることと,手術の後遺症を出さないことです
- しかし,手術で必ず全部とるという考え方は必ずしも正しくありません
- この手術の時のバランス感覚が脳外科医にとっては難しいものです
- かなり大きいものでもたいていの場合は小さな開頭でとれますから,頭蓋底外科手術のような大きな開頭手術をするといわれたら考え直すことです
- 大きな開頭は必要ないというのも大切な手術のコツです(^.^)
- とくに脳幹部や脳神経にくっついた大きなものの手術は場合によってはリスクが高いのでどこで手術を受けるかを慎重に考えて下さい
- 手術でとりきれて再発しない患者さんもいます
- でも,取りきれないこともあり,それが再発することもあるし再発しないこともあります
- 手術で取りきれるかどうかは,執刀医の経験と技量で大きく異なります
- 再発と言っても早くはありませんし,手術の10~20年後くらいのこともあります
- 大きな残存腫瘍があって手術後20年もたつのに症状が出てこない患者さんもいます
- 髄膜炎(chemical meningitis)を起こしたものでは,脳神経の周囲の癒着と肉芽腫形成が強くて難しい手術になります
- 細い脳動脈の周囲に高度の癒着があると,血管が見えなくて切断してしまうことがあります
- この癒着があるかどうかは開頭手術で開けてみないとわからないのでとても困ります
- 逆に手術後にこの髄膜炎が起こることがありますが治ります
- 放射線治療では治りませんし,また薬(制がん剤など)は効きません
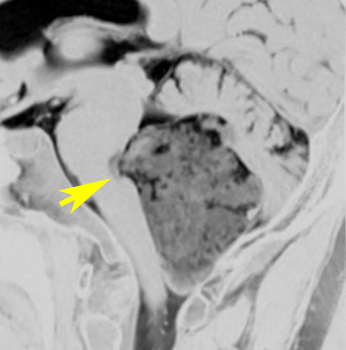
小脳橋角部の典型的な類表皮のう胞 epidermoid cyst
20代の女性が右の激しい顔面痛(三叉神経痛)で発症しました。左から順にMRIのT1強調画像,T2強調画像,拡散強調画像です。髄液と同じように見えますので脳の形の変形だけで腫瘍があることを疑います。でも,拡散強調画像では真っ白になるので腫瘍が存在していることがわかります。三叉神経は腫瘍の真ん中にあって伸びています。
術後の写真です。普通のMRIでは全部取れているかどうかわかりませんが,左の拡散強調画像をみるとおよそ全部取れていることがわかります。でも完全摘出の完全な証明は画像ではできません。術後10年くらい経ちますが再発はありませんでした。
小脳橋角部の典型的な類表皮のう胞 epidermoid cyst
60代の女性の手術中の写真です。この女性も三叉神経痛で発症した小脳橋角部の類表皮のう胞です。左の写真で,白く光って真珠のように見えるの (pearly tumor) が腫瘍です。右側は腫瘍を全部とり終えた後の写真です。三叉神経の真ん中が凹んでいました。この患者さんも症状は消えて再発はしていません。でも,三叉神経痛で発症した患者さんの治療は必ずしも容易ではありません。
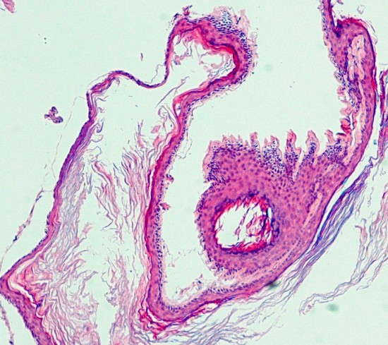
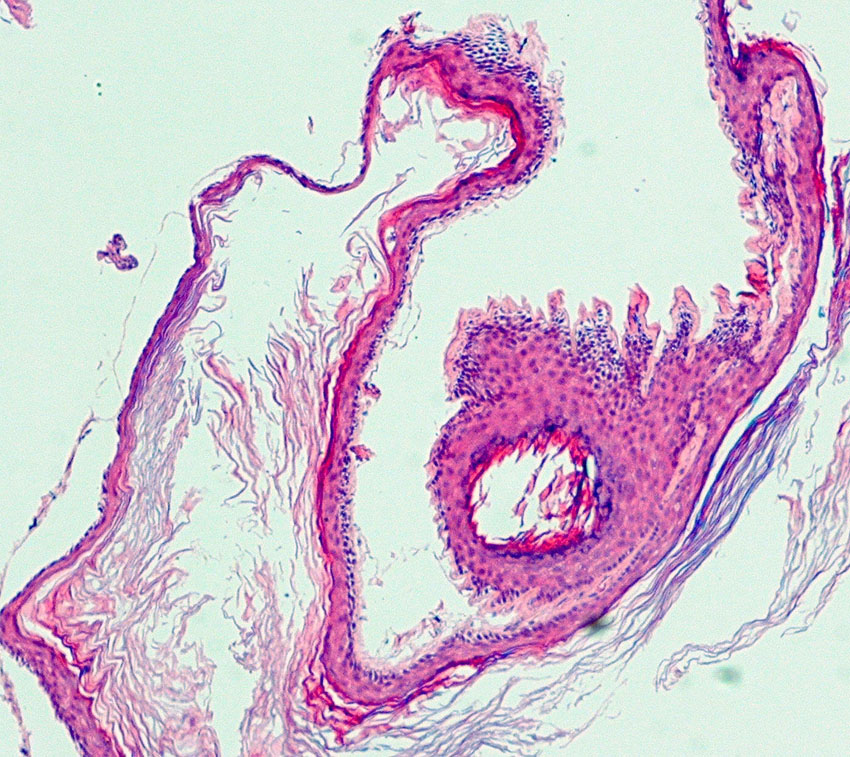
類表皮のう胞の病理
一番下のところに,細胞が一列に並んだところがあります。これが腫瘍の本体です。ここから膜状のケラチン物質が産生されてのう胞が大きくなって来ます。簡単に言えば,腫瘍の袋の中にアカ(垢)がたまるということです。この細胞のところを採らないと腫瘍は再発します。
薄い扁平上皮の構造を有します。類皮のう胞とは違って皮膚の付属器(毛髪と皮脂腺)がありません。
ここから下はおまけの知識です
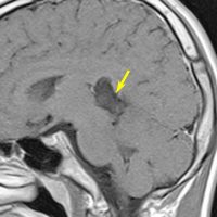
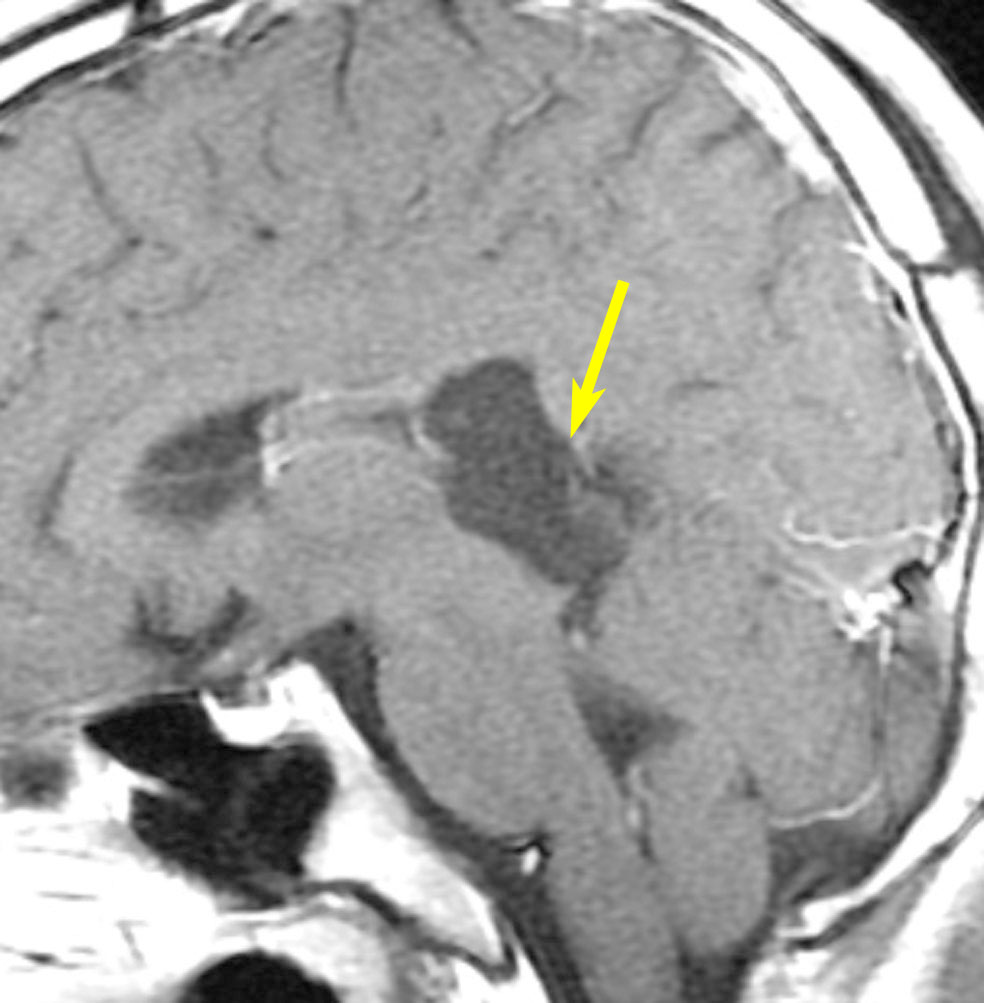
脳幹部に食い込んでいる類表皮のう胞をどうするか
とても若い患者さんで歩行障害などの脳幹部症状は全くありませんでした。第4脳室に発生して脳幹部(橋)背側に食い込んでいる類表皮のう胞です。これを全摘出することは難しく,行えば重い脳幹部症状を出す大きなリスクがあります。

患者さんとよくよく相談して,開頭手術で全摘出しました。
薄いのう胞壁を脳幹内部から確実に摘出するためには,橋の背側の脳組織をほじくり回すような手術になります。
術後は体幹失調で術直後は車椅子になりましたが,リハビリで普通に歩行ができるようになりました。眼球運動障害も回復しています。
安易にお勧めできる手術ではありませんでした。
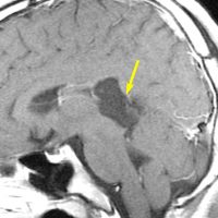
なぜ脳幹部からの無理な剥離が必要な手術を勧めるか
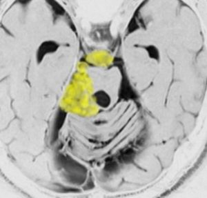
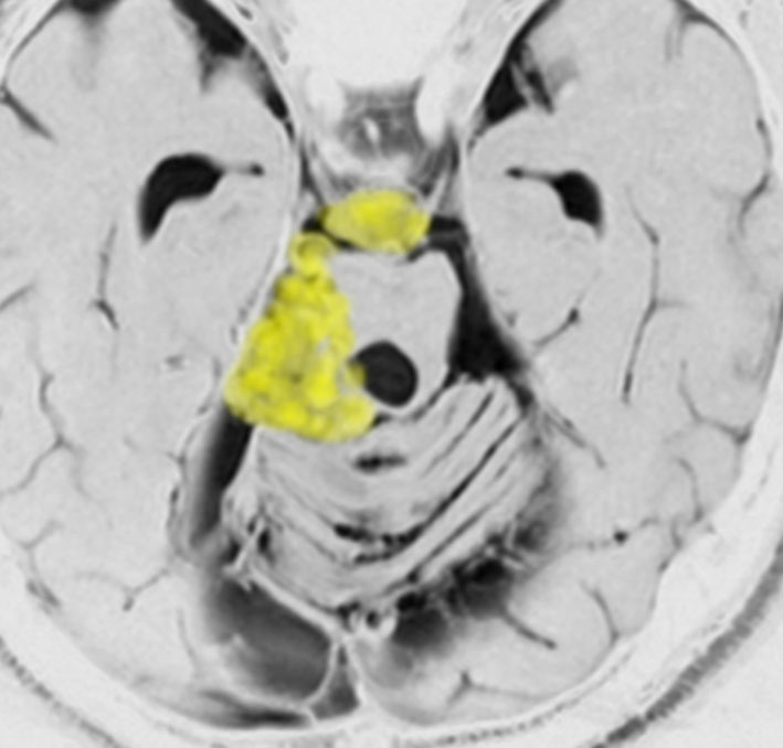
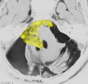
30歳くらいの時に初回の開頭手術で部分摘出を受けて,現在70代の患者さんの画像です。黄色は今も残っている腫瘍です。2度目の開頭手術,3度目の開頭手術では癒着で脳幹部や脳神経からの剥離が全くできませんでした。現在でも脳幹部に入り込むように腫瘍がゆっくり大きくなっていて,体幹失調のために車椅子生活です。顔面神経麻痺,嚥下障害,構語障害,眼球運動障害などもあります。髄液吸収障害による水頭症を併発してシャント手術も受けています。
この患者さんの40年の経過はいろいろなことを教えてくれます。似たような患者さんをたくさん見てくると,初回手術で取りきれなかった類表皮のう胞を,2度目の開頭手術で完全摘出することはとても難しいという経験を積みます。
数十年後のことを考えるのであれば,初回手術で完全摘出するべきです
悪性化するか?
- 頭蓋内の類表皮のう胞は,何年立っても悪性化しません
悪性のものとは,扁平上皮癌
- 画像診断で,頭蓋内の類表皮のう胞 epidermoid cyst と誤診されるそっくりな腫瘍に,扁平上皮癌 epidermoid carcinoma があります
- すごく珍しいのですが,側頭骨内に発生することがあります
- 生検手術をしても類表皮のう胞と全く同じ病理所見で鑑別できないことがあります
- ですから,中耳真珠腫と診断されることが多いです
- 頭蓋骨を破壊性して広がります
- すごく進行の早い悪性腫瘍で,脳神経麻痺などの悪化が生じてきます
- 硬膜内にも入って,脳を圧迫してきます
- 手術で摘出しても,またすぐに再発します
- 手術所見では,一見類表皮のう胞に似てはいるのですが,内容物がドロドロしていたり,黄色っぽかったり,茶褐色だったりします
- 放射線治療も化学療法も有効ではないとされています
- 治す方法がない癌かもしれません















