くも膜のう胞(嚢胞)arachnoid cyst
- とても多いもので,たくさんの正常な人にみつかります
- 100人に一人くらいにくも膜のう胞があります
- 単なる水たまりのようなものです
- 脳の表面を覆う「うすい半透明なクモ膜」が風船のようにふくれて中に髄液が溜まっている状態です
- お母さんのお腹の中にいる時にできた先天的なものです。なにもしないでほっておきます
- 経過観察のためのMRIも必要ありません
- たまに巨大なものがあり見つかると,お医者さんもビックリするのですが,それでも何も治療しないでよいものが多いです
- 稀に,小児で巨大なくも膜のう胞が大きくなってきて頭蓋骨が拡大したり,部分的な水頭症になったりします
- 巨大なくも膜のう胞では,頭をぶつけたとき外傷性の出血をおこすことがあります
- でも運動制限は必要ありません,頭をぶつけるのを避けるように指導する先生もいますが,実際にしていけないのはボクシングかラグビーくらいなものかもしれません
- 徐々に大きくなってくるもの,大きな出血を生じたもの,明らかな脳の圧迫症状をだしたものには治療が必用です
- 開頭顕微鏡手術か内視鏡で,開窓術 fenestration というのをします
- でもちょっと孔を開ける開窓術ですとまたすぐに開けた窓が塞がってしまいます
- ですから開頭手術の方が確実性があります,でも内視鏡手術の方が手術は楽です
- 安全性に関しては長所短所がありどちらともいえません
- シャント手術はしません
症状
- 症状がくも膜のう胞のためかどうかの判断はとても難しいと言えます
- 代表的なものに,頭囲拡大,頭痛,吐き気と嘔吐,lethergy,てんかん発作,鬱血乳頭,発達障害,閉塞性水頭症,思春期早発などの内分泌症状,視力障害などがあります
- 特に,頭痛,発達障害,てんかんがくも膜のう胞のためかどうかは判別がつかないこともあります
- 特殊なものとして,鞍上部の大きなくも膜のう胞の幼児で頭部の上下運動 bobble-head doll syndrome
- 巨大な中頭蓋窩のくも膜のう胞でのADHD
シルビウス裂くも膜のう胞,中頭蓋窩くも膜のう胞
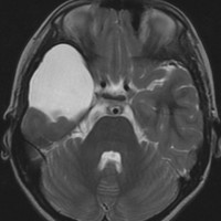
最も多いタイプで50%くらいです。7歳の子に偶然発見された右シルビウス裂のくも膜のう胞です。大きいのですがこの程度では治療の必要はありません。シルビウス裂のくも膜のう胞は最も多いものです。
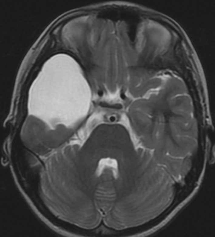
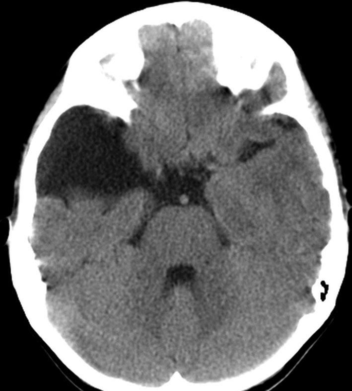
シルビウス裂くも膜のう胞,中頭蓋窩くも膜のう胞
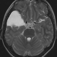
前の例より少し大きいものです。1歳4ヶ月までは,のう胞が増大しましたがその後は同じ大きさで経過しました。
後頭下くも膜のう胞


脳神経圧迫(三叉神経,聴神経など)と小脳変形があるのですが,ほっておきます。
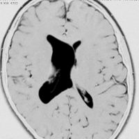
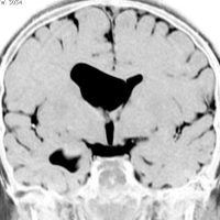
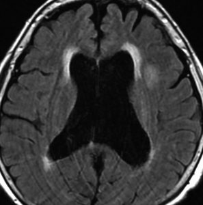
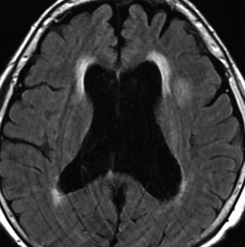
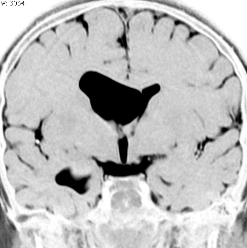
脳室内くも膜のう胞
くも膜のう胞が脳室内にできて,脳室の一部で髄液の流れをさまたげて,部分的な水頭症になることがあります。水頭症になっても停止性水頭症というもので悪化傾向がなければ治療の必要がありません。多くは側頭角というところが拡大するのですが,拡大傾向がはっきりしたら,内視鏡手術でくも膜のう胞の壁を切除します。
これは11歳の子供で偶然発見された右側脳室くも膜のう胞です。無症状で変化しませんからほっておきます。右のモンロー孔に狭窄があるために右側脳室だけの停止性水頭症になっています。
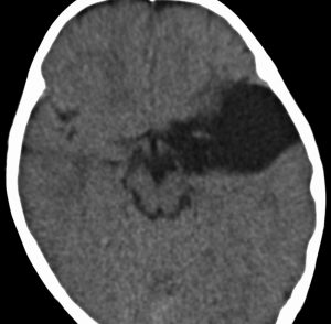
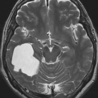
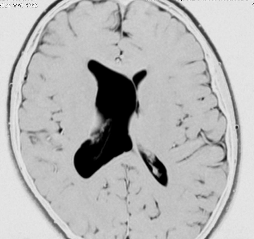
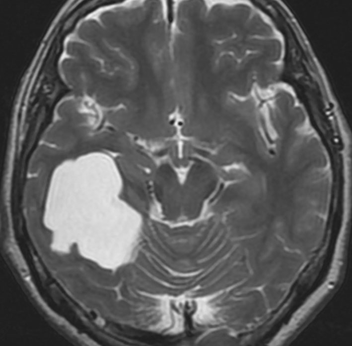
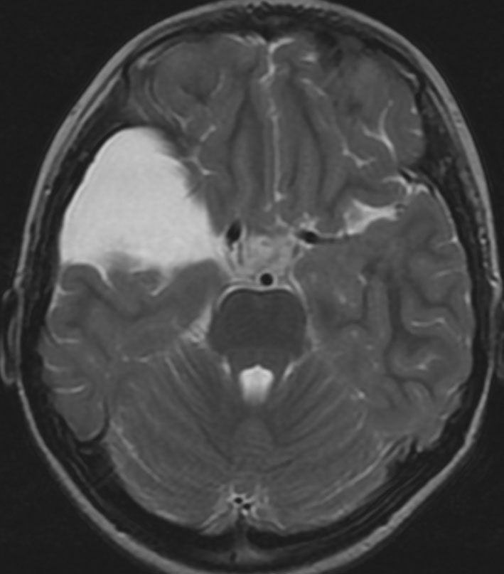
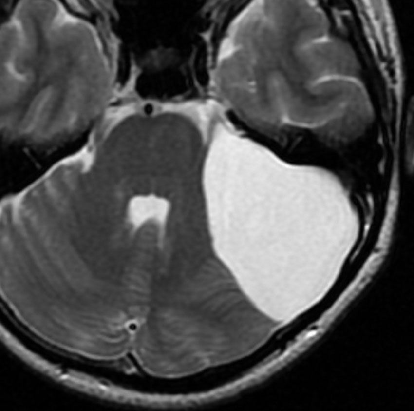
中頭蓋窩・症候性・くも膜のう胞
60代の女性で偶然発見された大きなクモ膜のう胞です。経過とともに少しづつ増大して,ふらつき,眠気,気分の落ち込みなど抑うつ状態となりました。抗うつ薬の投与が開始され増量されましたが精神症状は悪化して何もできなくなりました。おそらく右側頭葉症状として抑うつ症です。内視鏡ですと脳に損傷が生じますから,開頭顕微鏡手術で,クモ膜のう胞を脳底槽へ開窓しました。術後に症状は消失して5年になりますが,抗うつ薬なしで元気にしています。
もしかするとこれは,巨大な choroidal fissure cystかもしれません。
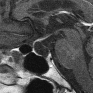
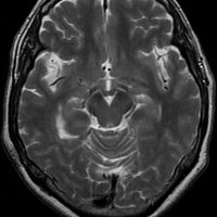
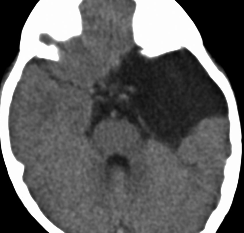
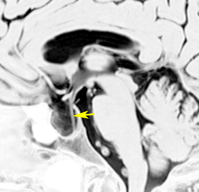
鞍上部クモ膜のう胞
20歳代の女性の無症候性のものです。水色に塗ったのがクモ膜のう胞です。特徴的なのは,下垂体柄が長〜く伸びて細くなっていることです,でも下垂体障害はでません。珍しいことですが,松果体のう胞(黄色の部分)が合併しています。治療の必要がないものです。
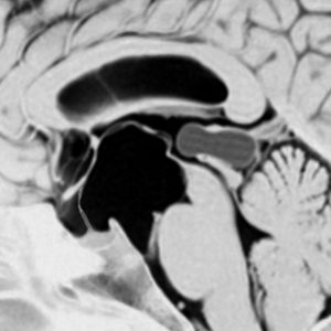
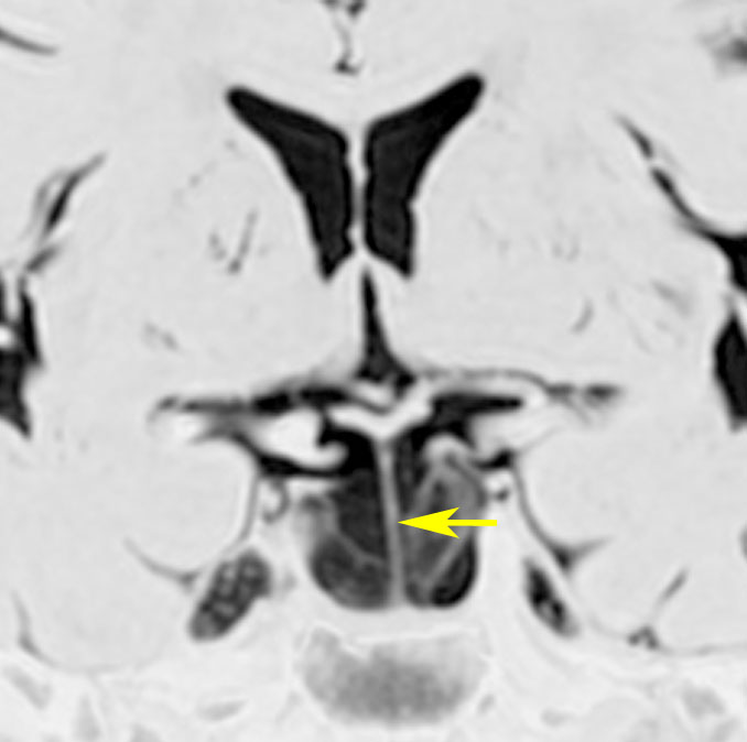
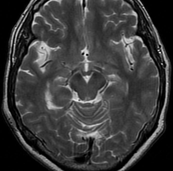
トルコ鞍内くも膜のう胞:症候性
症候性くも膜のう胞 下垂体機能不全を呈したもの

高齢の女性が副腎皮質機能低下,甲状腺機能低下,高プロラクチン血症,低ナトリウム血症で発症しました。負荷試験の結果は下垂体機能低下症によるものでした。
トルコ鞍内後方にくも膜のう胞があり,下垂体は前方に押し付けられて扁平化しています。このようなものでも通常は無症候性で,症状を出すことは珍しいと言えます。
治療は経鼻手術でのう胞を破るだけです。その手術で,再発することも再発しないこともあります。
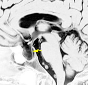
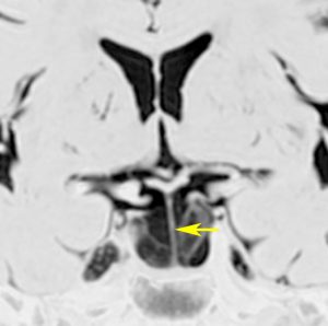
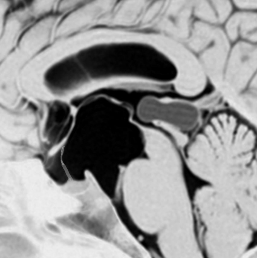
トルコ鞍内くも膜のう胞:先天性無症候性
偶然に発見されたものです,下垂体柄(黄色の矢印)がすごく伸びていて下垂体組織が扁平化していますが,先天性と思われ無症状です。何も治療しないでほっておきます。
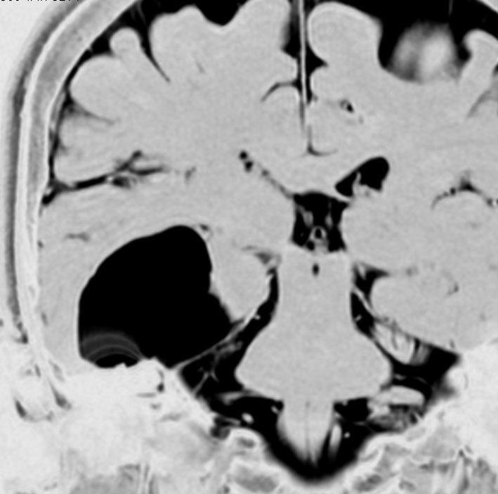
テント下くも膜のう胞
高齢の女性のくも膜のう胞です。テント下,上小脳槽にある大きなくも膜のう胞です。小脳扁桃ヘルニアになり,脊髄空洞症を併発しています。第4脳室出口の閉塞で水頭症となっていました。症状は数年かかって徐々に進行した歩行障害で,転倒しやすくなったとの主訴で受診しました。これは,のう胞壁を開頭手術で摘出する必要があるものです。数十年もある大きなのう胞ですから,意外に周囲の脳槽は狭いものです。実際に顕微鏡手術で,迂回槽と交通をつけるようにのう胞壁を除去したのですが,髄液交通を確保するのはとても難しいものでした。内視鏡ではリスクが高いかもしれません。

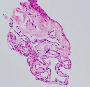
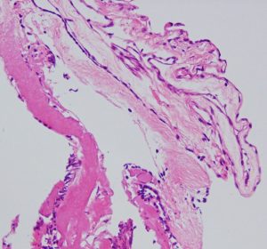
病理
薄い膜を摘出したのでくしゃくしゃになっています

















