ラトケのう胞(嚢胞)Rathke’s cleft cyst
- 下垂体にできる中に液体がたまっている袋のような腫瘍です
- 小児から成人までいろいろな年齢層で偶然発見されることが多いです
- 症状も何もないものが圧倒的に多いので,基本的には治療する必要がない腫瘍です
- まれに大きな嚢胞となって症状を出します
- 眼がみづらくなったり(視野障害),おしっこがたくさん出たり(尿崩症),下垂体ホルモンが足りなくなったりします
- まれに頭痛を出すこともあるのですが,ラトケ嚢胞のために頭痛があるのかどうか慎重に考える必要があります
- 頭蓋咽頭腫と間違えられやすい病気ですからMRI検査をきちんとみれる医師に相談しましょう
- 治療は鼻の孔からのぞいてのう胞をぷつんと破る簡単な手術でいいです
- 経蝶形骨洞手術による造袋術といいます
- ラトケ嚢胞を完全に手術でとろうとすると,下垂体ホルモンの分泌障害を出す恐れが高いのでそのような手術はしません
- だいじなことは,ラトケ嚢胞のほとんどは治療をする必要がない腫瘍だということです
- 症状もない小児のラトケ嚢胞を手術する脳神経外科の先生がいますが、私はそれには反対の立場です
- 腫瘍が大きくなるという理由で手術を勧められた時には慎重に判断します
- 簡単な手術と言われても確信が持てなければセカンドオピニオンを聞きましょう
- まれに,のう胞内に感染してラトケのう胞由来の下垂体炎を生じることがあります
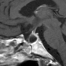
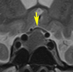
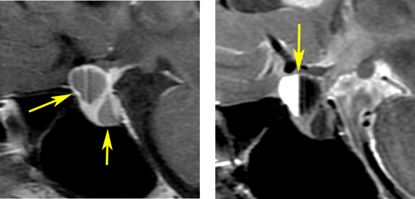
MRI画像(T1低信号のもの)
ラトケ嚢胞のMRIです。両耳側半盲という視野の障害(目がみづらい)で発症した女性のものです。左はT2強調画像と言います。右はガドリニウム造影剤を使ったものです。嚢胞のうすい壁だけが見えますが,中身は液体です。鼻孔から入って嚢胞をぷつんとつぶすだけの手術をします。薄い黄色の水のような液体が出ました。

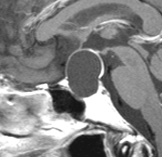
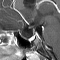
手術後のMRIです。嚢胞はぺしゃんこになって視力は良くなりました。正常の下垂体は残っていてホルモンの障害もありません。
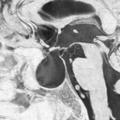
MRI画像(T1高信号のもの)
ラトケのう胞はT1強調画像で白く(左:高信号)にみえて,T2強調画像で黒く(右:低信号)にみえることもあります。前の例とはかなり違った印象です。中身は乳白色のドロドロの液体です。矢印のところは視神経交叉(左右の視神経がつながるところ)で,ラトケのう胞に圧迫されて弓形に変形しています。このくらいの視交差の変形では視野障害は出ませんし視力も低下しません。ですから,手術も何もしないで経過観察のみをします。多くの場合は,何も治療しなくて良いものです。この患者さんは無治療で経過を見ました。
下垂体ホルモンの異常だけで発症するラトケ嚢胞もあります

この患者さんは軽い下垂体機能低下症で発症しました。蝶形骨洞の中にのう胞が拡大していて,下垂体がぺったんこです。鞍上部には全く伸びていないので,視神経交叉は正常に見えます。この手術はとても簡単です,嚢胞をぷつんと破って液体を排出するだけにした方がいいでしょう。何故なら下垂体がうすく菲薄化funningしているので嚢胞壁を摘出しようとすると前葉機能を低下させるリスクが高いからです。
ラトケ嚢胞は手術しても再発することがある
- おそらく70%以上のラトケ嚢胞は最初のぷつんと破る手術で治ってしまって再発しないです
- 破って排液しても,10-40%くらいの確率でまたのう胞に液体がたまると言われています
- 必要であれば,また再手術して鼻の孔から破ってのう胞をぺちゃんこにします
- でもしつこくまた再発して大きくなるものがあります
- 患者さんによっては,5回目の手術,6回目の手術を受けたがまた視野が悪化したと訴えて外来にこられる方もいます
- その場合は,開頭手術といって頭を開けてラトケ嚢胞の壁をできるだけ取り除くという手術が必要になることがあります
- いずれの治療においても,できれば下垂体の機能を守ってホルモンの異常が悪化しないように努力します
- しつこいラトケ嚢胞は,下垂体柄という部分が風船のように膨らんでいることが多いです
- 開頭術中にみると,この部分は半透明で薄いのう胞の壁ですから,一見,取っても大丈夫のように見えますが,実際には下垂体柄なので摘出が過ぎると手術後に尿崩症や下垂体不全が悪化します。意外に難しい手術です
- 正常の下垂体柄は下垂体門脈 rete mirabillisを見つけることで認識できますから,この血管網のある部分を残すのがコツです
ラトケのう胞の手術(経蝶形骨洞手術 transsphenoidal surgery)(造袋術:marsupialization)
- 鼻の穴から手術します
- 内視鏡や顕微鏡を用いて鼻腔から,蝶形骨洞(副鼻腔)というところを通って,トルコ鞍底の骨に達します
- トルコ鞍底部の骨を少しだけドリルで削って,硬膜を露出します
- ここからがコツで,あまり大きく硬膜を開きません
- 硬膜をごく小さく切開すると,内部からラトケのう胞と思われる液体が流出します
- のう胞壁をほんのちょっと(耳垢くらいのもの)とって,病理診断します
- 下垂体前葉の位置を確認しながら硬膜切開をトルコ鞍底部に少し広げます
- この時に鞍結節の背面のくも膜を破らないように注意します
- くも膜と破って生じる髄液漏は,修復が面倒な手術合併症で,ラトケのう胞の再発の確率も増えてしまいます
- それでおしまいで,破った硬膜や鞍底を修復などしないで,ほったらかしで終了します
- この手術であれば,髄液はもれませんし,下垂体障害もでません
- のう胞は潰れて,視野は改善します
- 30分くらいで済む簡単な手術ですし,患者さんは数日で退院できます
- この手術で再発しないことも多いのです
手術方法 MC (mucosa coupling) method
Kino H, Akutsu H, et al.: Endoscopic endonasal cyst fenestration into the sphenoid sinus using the mucosa coupling method for symptomatic Rathke’s cleft cyst: a novel method for maintaining cystdrainage to prevent recurrence. J Neurosurg. 2019
筑波大学からの報告です。旧来ののう胞壁をごく一部を切除する(造袋術:marsupialization)に改良を加えたものです。ラトケのう胞上皮と蝶形骨洞粘膜を断端接合して,一つののう胞として形成させて,ラトケのう胞内容物を持続的に蝶形骨洞内に排液させて,再貯留を防ぐという工夫 (MC法)です従来の開窓術(ラトケのう胞を破って廃液する)では,21人の患者さんのうちで9人(42%)でのう胞内容液の再貯留があり,2人で再手術が必要でした。しかし,MC法では再貯留がありませんでした。内分泌障害などの合併症の増加はなかったとのことです。
ラトケのう胞壁上皮と蝶形骨洞粘膜上皮は,咽頭粘膜起源の同じ上皮なので親和性が高く,合わせるだけで簡単に接合することができるという理論から生まれた方法です。粘膜を接合することによりラトケのう胞と蝶形骨洞を単一腔とするのです。コツは,余分な蝶形骨洞粘膜をラトケのう胞内に押し込まないことだそうです。
開頭手術で完全摘出するものもあります
11際の小児です。トルコ鞍が拡大しています。下垂体柄が伸びていますが下垂体は正常で,鞍上部にのう胞があります。通常のラトケのう胞が下垂体中間葉から発生するので,鞍隔膜下腫瘍になりますが,これは鞍隔膜の上にある腫瘍(鞍上部腫瘍)に分類されます。無症状なので経過を見てもいいのですが,このタイプはおそらく年余の経過で増大傾向をたどり,まだ低年齢なのでいずれ手術治療となります。経鼻手術でのう胞をつぶすこともできるのですが,再発の確率は高いでしょう。従って,根治をめざす開頭手術で,のう胞壁全摘出を行います。
前頭側頭開頭 pterional approachで全摘出しました。発生母地は下垂体柄前面でしたが完全摘出しました。術後に下垂体機能は正常に保たれています。病理所見は一層の上皮細胞でのう胞壁が構成されることが特徴です。これをラトケのう胞と呼ぶかどうか議論のあるところで,おそらく正確には内胚葉のう胞 endodermal cystと診断します。
トルコ鞍黄色肉芽腫との中間型
ラトケのう胞は,病理組織診断でも頭蓋咽頭腫とトルコ鞍部黄色肉芽腫と鑑別できないようなものがあります。この3者には移行形のようなものが存在するのです。ですから,術前診断にもとても迷いますし,学術論文でもラトケのう胞の論文の中にトルコ鞍部黄色肉芽腫が混ざって書かれていることがあります。
この画像はプロラクチンが上昇 (51ng/ml) して生理不順になった20代女性のものです。プロラクチン産生腫瘍には見えません。左の画像では嚢疱が2つ見られます。右の画像では,上の嚢疱に液面 fluid-fluid levelが見られて,腫瘍内の出血があったようにもみえます。手術後の病理診断は両方共にラトケのう胞でした。プロラクチン値は正常に戻りました。
でも手術中の所見では,上方のものは黄色肉芽腫のようで,のう胞内用液は頭蓋咽頭腫のように廃液用のドロッとした暗緑褐色のもので,さらにキラキラ光るコレステリンの結晶がたくさん出てきました。下の嚢疱は黄褐色の通常のラトケのう胞の内容液でした。両方ともに下垂体の正常腺組織とは区別がつかない繊維化した壁があって,危うく下垂体機能損傷を生じるところでしたが難を避けました。
このような腫瘍では下垂体機能障害を招いてしまうことが多いので,嚢疱を破るだけにとどめて壁となっている組織を積極的に摘出しない方がいいでしょう。下垂体腺腫でもなく頭蓋咽頭腫でもなく,炎症性組織あるいは肉芽腫様に見えたら切除を中断することが肝要です。
ラトケのう胞に似た,内胚葉のう胞,コロイドのう胞,神経腸のう胞は別なページにあるのでここをクリック
文献
気になる論文(権威のある雑誌のふしぎな論文)
Aho CJ, et al.: Surgical outocmes in 118 patients with Rathke cleft cysts. J Neurosurg 102: 189-1993, 2005
ラトケのう胞の118人の患者さんを経蝶形骨洞手術で治療した結果です。完全摘出が114例(97%)でした。視力視野障害があった58人のうちの57人(98%)で症状の改善がありました。性腺機能低下(性ホルモンの分泌低下)があった62人のうちで11人(18%)に改善が見られました。成長ホルモン分泌低下があった78人のうちで14人(18%)に改善が見られました。副腎皮質ホルモン低下があった7人のうちで1人(14%)に改善が見られました。手術後の合併症として尿崩症が出た患者さんは22人(19%)でした。5年くらいの観察期間で,118人中の21人(18%)に再発があり,12人は再手術となりました。再発の原因として疑われたものに,トルコ鞍を閉じる時に脂肪や筋肉片を使ったことと,病理でsquamous metaplasia(頭蓋咽頭腫を疑わせる所見)があったことと書かれています。のう胞壁の切除率と再発率には関連はありませんでした。ちなみに,何もしないで経過観察した61人の患者さんでは,42人で大きくなることもなく経過したとのことです。
解説:この論文で疑問(意外)なところは,完全切除率がとても高いことです。実際に,ラトケ嚢胞の薄い壁は下垂体を傷つけないでそれほど容易に完全に摘出できるものではありません。この点から,術後合併症としての尿崩症の発生率が高いものと推測されます。のう胞の壁の摘出率と再発率には関係ないとも書かれていてちょっと矛盾します。しかし,尿崩症を出さないようにのう胞の壁の部分摘出を試みれば,また逆に再発率は高くなることが予想されます。いずれにしても初回手術では無理をしないほうがいいように思います。
無水アルコール処置はあまり効果がない
Transsphenoidal resection of 82 Rathke cleft cysts: limited value of alcohol cauterization in reducing recurrence rates. J Neurosurg 2011
82例の患者さんの治療成績です。62例で術中にアルコール滴下 alcohol instillation, alcohol cauterization が行われました。アルコール処置された群で12.9%の再発率,使用されなかった例では0%であったそうです。アルコール処置の有効性は否定的であるとの結論です。
ここから下は専門的な記述
疾患概念
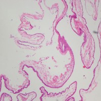
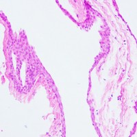
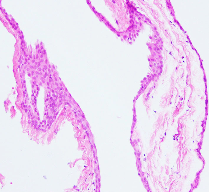
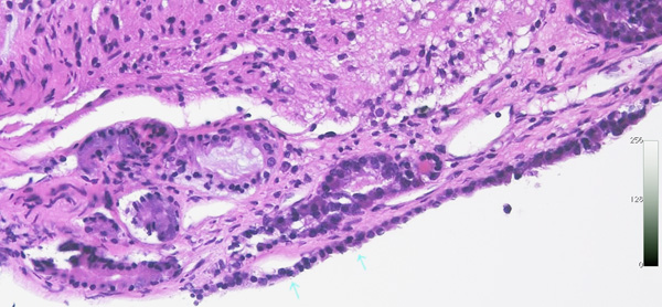
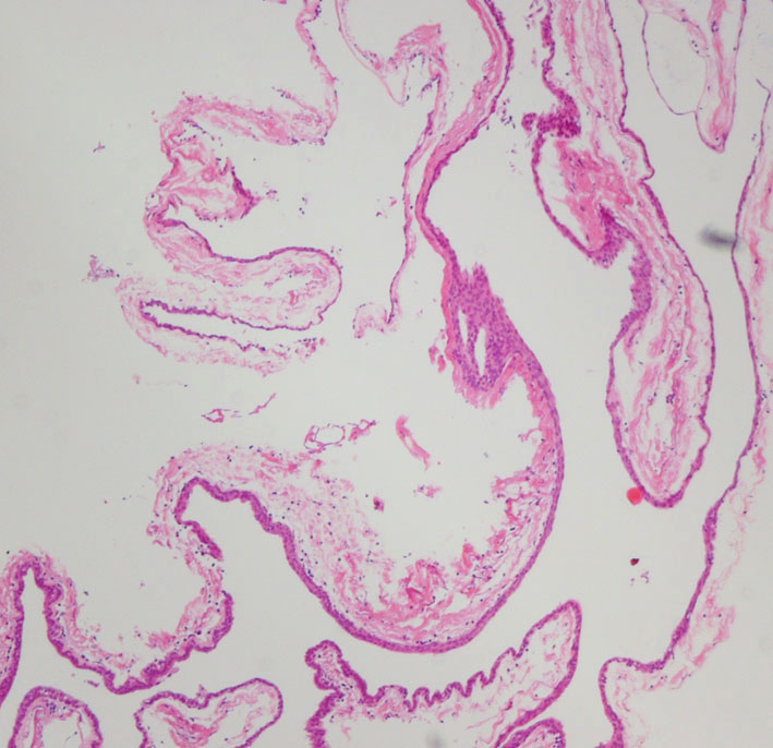
Rathke’s pouchは胎生早期に閉鎖するものですが,下垂体のpars distalisとpars nervosaの間に遺残して,生後も残存することがあります。これが,下垂体前葉と後葉の間の interbolbar cleft で増大するものをRathke’s cleft cyst (Rathke’s cyst ラトケ嚢胞と略する)と呼びます。剖検では肉眼的に確認できるものでも5分の1例(20%)と高頻度に発見されますが,多くは非常に小さなもので無症候に経過します。嚢胞は一層の円柱上皮で囲まれ,内部に黄褐色の液,時には粘液(コロイド様固形内容物)を含みます。白濁粘性の膿瘍のように見える液体や血腫を含む場合もあります。
MRIで偶然,小さなのう胞が前葉と後葉の間に見つかることは多いのですが,これは葉間のう胞 interlober cystと診断します。また,頭蓋咽頭腫やラトケ嚢胞に類似した画像所見を呈して,内容物に粗大なコレステリン結晶と炎症性肉芽腫組織を含むものがあります。これはトルコ鞍部黄色肉芽腫 xanthogranuloma of the sellar region でありラトケ嚢胞ではありません。
診断
年齢層は小児から成人を含み,偶然発見される無症候のものが圧倒的に多いです。稀に大きな嚢胞となり症候性となります。症候性ラトケ嚢胞は,下垂体柄の前方で視神経交叉を下後方から圧迫して両耳側半盲を生じます。下垂体が菲薄化して前葉不全を生じたり,あるいは後葉と下垂体柄を圧排して尿崩症を合併することもまれにあります。その他の随伴所見としては,頭痛や高プロラクチン血症(無月経)が多いです。第3脳室内に伸展して水頭症を生じたり,嚢胞内溶液が髄腔内にもれて無菌性髄膜炎を起こしたり,嚢胞内に感染した報告もあります。
MRIで画像診断します。円形あるいは楕円形の嚢胞で,トルコ鞍内限局あるいはトルコ鞍上部に伸展します。極めて稀に,鞍上部のみに位置して下垂体柄に付着して存在することがあります。境界明瞭な単房性嚢胞で石灰化を含まない,均一な信号強度を呈することが典型的な所見です。信号強度は嚢胞内容物によって異なり,様々な様相を呈して一定しません。
画像上の鑑別診断は,頭蓋咽頭腫,トルコ鞍部黄色肉芽腫と嚢胞性非機能性下垂体腺腫です。下垂体腺腫とラトケ嚢胞が偶然合併することはまれでなくて,手術後の組織所見で初めて明らかになることもあります。いずれにせよ嚢胞壁が薄く内容物が均一であることがラトケ嚢胞を疑うもっとも大きな根拠となります。
治療
無症候性ラトケ嚢胞は数多く発見されます。偶然発見されたものは,15 mm程度のある程度目立つような大きさであっても,何もせずに経過観察します。症候性となったものだけが治療の対象となり,逆に無症候性ラトケ嚢胞を手術してはなりません。
ラトケ嚢胞の薬物治療はないので,経蝶形骨洞手術によって嚢胞開放を行い,内容物を排出除去するのみに止めます。かつては,ラトケのう胞壁全体に上皮細胞が存在するので全摘出しなければ再燃するとの意見もありました。下垂体前葉組織は損傷しないようにごく一部を切除します(造袋術:marsupialization)。この手術手技のみで治癒することが多く,症状が再燃することは多くはありません。この手術によって切除できる嚢胞壁はごくわずかな量であるので,術後の病理組織診断に苦慮することも多いです。内容物にコレステリン結晶が多く含まれているもので炎症性結合組織が認められれば,トルコ鞍部黄色肉芽腫 xanthogranuloma of the sellar region ですが,これも全摘出しないで手術を終了した方が良いものです。
時には,嚢胞が再増大して症状が出ますが,これも同様な手技で再手術します。稀に,何度も再発をくり返す場合は,開頭手術で嚢胞壁を大きく切除しなければならないことがあります。嚢胞壁の全摘出は残存する下垂体機能に大きな障害を与えるので行いません。
予後
無症候性のものの予後は良好であり,増大して症候性嚢胞になることは稀です。手術で視力視野障害は改善します。下垂体機能不全は手術で回復しないことがあるので,必要に応じてホルモン補充療法を行います。
文献
- Kim JE, Kim JH, Kim OL, et al. : Surgical treatment of symptomatic Rathke cleft cysts: clinical features and results with special attention to recurrence. J Neurosurg 100: 33-40, 2004
- Kino H, Akutsu H, et al.: Endoscopic endonasal cyst fenestration into the sphenoid sinus using the mucosa coupling method for symptomatic Rathke’s cleft cyst: a novel method for maintaining cystdrainage to prevent recurrence. J Neurosurg. 2019
- Naylor MF, Scheithauer BW, Forbes GS, et al. : Rathke cleft cyst: CT, MR, and pathology of 23 cases. J Comput Assist Tomogr 19: 853-859, 1995










