rete mirabilis 下垂体門脈
rete mirabilis 下垂体門脈
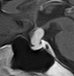
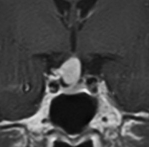
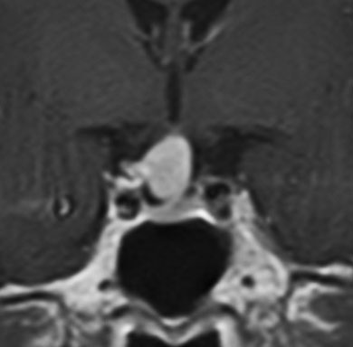
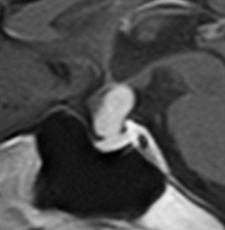
成人の下垂体柄に発生した小さな頭蓋咽頭腫です。のう胞性ですが石灰化もあり術前診断は可能でした。この頭蓋咽頭腫は,下垂体柄の内部から発生したものですから,下垂体柄が全周にわたってfunningしています。ちょうど前庭神経鞘腫における顔面神経のようなものです。また,冠状断で見ると下垂体柄が左に寄っているのが推測できますから,右側からアプローチします。腫瘍を観察しても,最初のうちは下垂体柄がどこにあるのかは解りません。
右の視神経管を開けて視神経を可動化して,視神経と内頚動脈の間から観察しています。のう胞性頭蓋咽頭腫 cystic craniopharyngioma ののう胞を破って内用液を排出した段階の写真です。腫瘍を摘出し始めた時には全く見えなかった rete mirabilisが顕在化してきます。なんとなく正常の下垂体柄に似ていますが門脈血管の本数が少ないです。ポイントは,細い血管が同じ方向に流れるように走るところです。rete mirabilisを見つけて残せれば,下垂体柄の機能を温存することができます。ですから,鞍上部の頭蓋咽頭腫をいじるときには,同じ方向に流れる細い血管 rete mirabilis に注意を払うことが大切です。



