松果体のう胞 pineal cyst
- 松果体という脳の真ん中の深いところにできる袋みたいなもの(嚢胞)です
- 中には水(液体)がたまっています
- 若い人に多く,大きなものは若い女性によくみつかります
- 症状がでることはまずありません
- 頭痛などがあってMRI検査をすると偶然発見されるのです
- ですから,治療をする必要がないものです
- 少し大きくなってもあわてない,そのうち大きくならなくなります
- 手術を勧められたらセカンドオピニオンを聞きに他の施設に行きましょう
- 間違えやすい疾患に松果体腫瘍があります
- なかでも松果体細胞腫との区別が大切ですが,みなれていればMRIで区別できます
- 大きな特徴はのう胞の壁が薄いことです
- 松果体腫瘍かもしれないからといわれて手術を受けるのは良くありません
- まれに中脳水道というところを押して水頭症を出すことがあります
- 症状はまず頭痛です
- とてもまれに,物が二重に見えること(複視)もあります
- どうしても手術しないといけない場合には,開頭術ではない方法があります
- 内視鏡手術でブツンと嚢胞を破るだけです
- 松果体のう胞という正確な診断がつけば経過をみる必要もないことも多いです
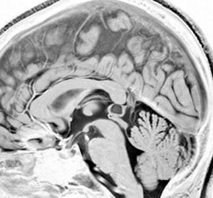
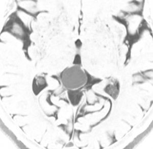
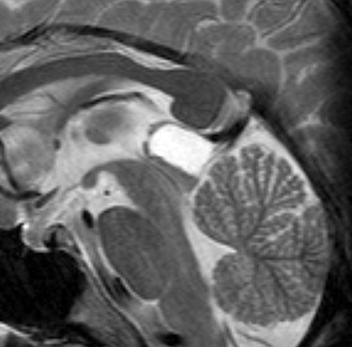
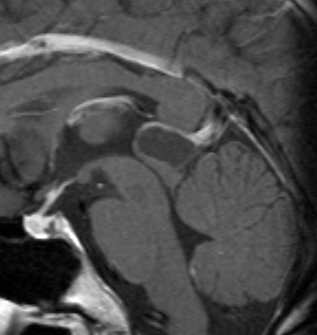
若い女性にできた,症状の全くない松果体のう胞です。右側は拡大図で,8 mmくらいの大きさでしょうか。もちろん何もする必要はありません。たくさん発見されるものです。
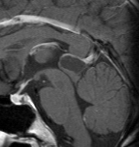
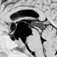
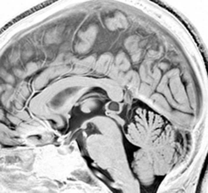
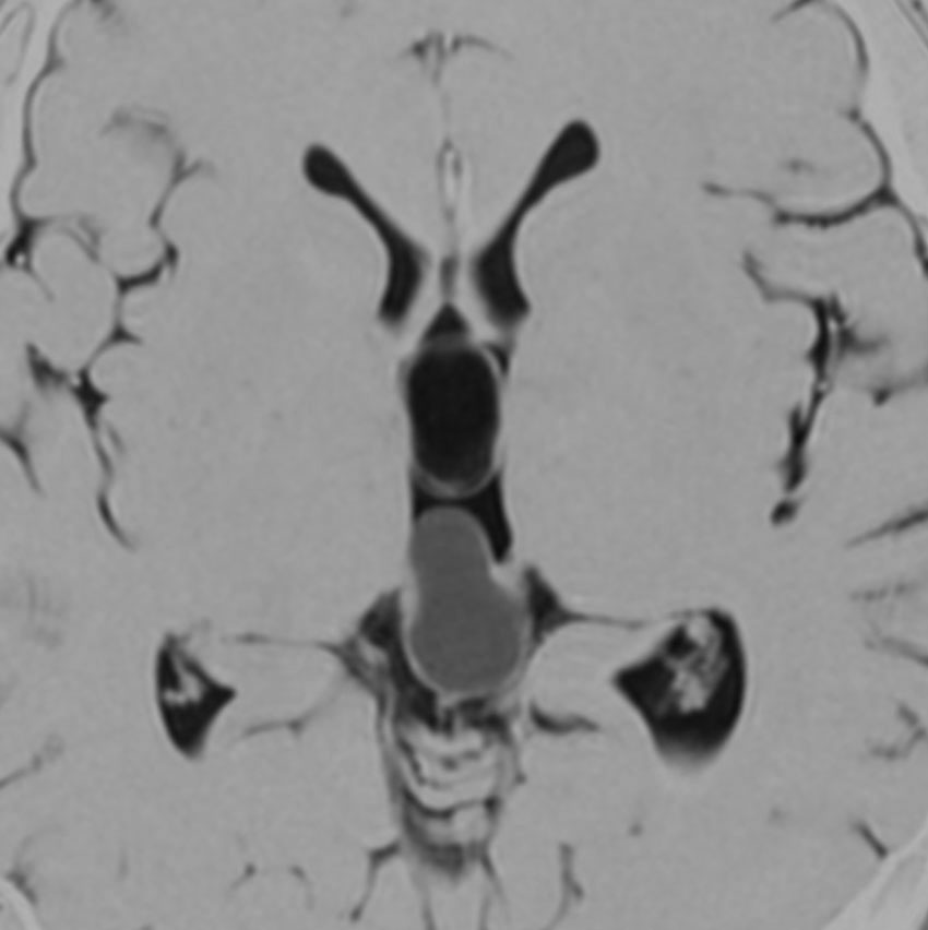
これも成人女性に偶然見つかった松果のう胞です。少し大きめですが,何も治療する必要はありません。中脳水道という所が狭くなっていますが,はっきり閉塞するまでは治療はしません。左がT1強調画像で黒っぽく見えます。右はT2強調画像で白く映っています。
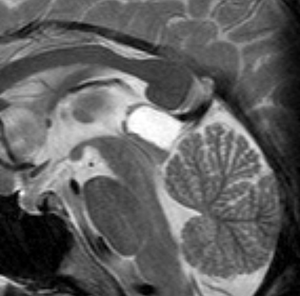
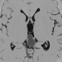
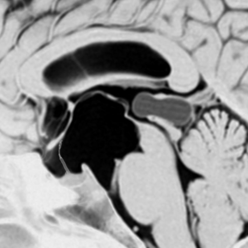
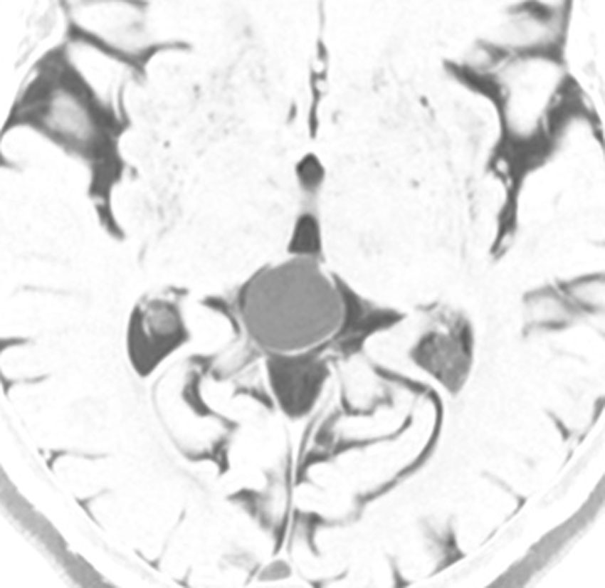
20年間経過観察されている松果体のう胞です。ガドリニウム増強で周囲が白く増強されているのですが,これはのう胞壁ではなく静脈です。
松果体のう胞の経過観察にはガドリニウム増強する必要はないし,そもそも中濃水道橋策がないものでは数年もみれば十分なものです。
疾患概念
松果体嚢胞 (pineal cyst) は松果体内部に発生する良性の嚢胞で,発生原因は不明です。剖検例によれば,松果体の嚢胞性変化は正常人の25~40%に認められます。MRI画像で明瞭に捉えられる長径5 mm以上のものでも1.3 %の頻度で,松果体の嚢胞性変化は病的変化とは言えません。
5 mm以上となる松果体嚢胞は,思春期から若年成人に多くみられます。中でも20代の女性に最も多く,10才以下の小児では松果体嚢胞がまれです。下垂体腫瘍例で松果体の嚢胞化を見ることがあり,また思春期早発症に松果体嚢胞が合併したという報告があります。
診断
症候性となることは極めて珍しく,ほとんどすべての例が偶然見つかる無症候性嚢胞です。症候性となる場合には、中脳水道閉塞による水頭症を併発して,頭痛や嘔気(頭蓋内圧亢進症状)が生じます。嚢胞が増大して中脳被蓋を圧迫して軽度の複視を初発症状とすることもあります。水頭症がない例においての単なる頭痛は松果体嚢胞の症候としては捉えません。鑑別すべき疾患としては,glial cyst, arachnoid cyst, ependymal cystなどがです。しかしこれらはすべて良性嚢胞であり,松果体嚢胞と同様に治療の必要がありません。時として鑑別が難しいものに松果体細胞腫があります。しかし,MRIで松果体嚢胞と比較すると,嚢胞壁が厚く壁の厚さが不均一でありまた壁が増強効果を受けるので,鑑別を誤ることはほとんどありません。
治療
症候性でなければ,何も治療をすることがありません。過去の報告では,症候性となり治療が必要であった松果体嚢胞には若い女性が多いです。
松果体嚢胞が症候性であるという十分な証拠があり治療を行うとすれば,水頭症を併発しています。開頭による摘出よりもCTガイド定位的手術もしくは神経内視鏡を用いる嚢胞穿刺の方が低侵襲な治療です。一度,嚢胞内容を穿刺吸引をすれば再発することは少ないといえるでしょう。開頭手術を選択する場合は,増大する嚢胞であり嚢胞壁が厚く,松果体細胞腫との鑑別が必要な例に限られます。この場合は,後頭半球間裂経テント法により摘出しますがこの手術の難易度は低くはないので,その前に内視鏡で生検手術とのう胞穿破をして確認してから開頭手術にします。
予後
無症候性松果体嚢胞が増大することはまれで,増大したとしても数年で1~2 mmほどのことが多いです。初回診断のみ正確に行えば,原則的にはMRI画像による経過観察の必要性もありません。20 mmを超える大きなものであっても,それが増大して症候性になることはほとんどないので積極的な治療をしてはなりません。
とても珍しい高齢者の松果体のう胞
79歳女性に偶然発見されたものです。10年くらい大きくなっていません。高齢者での大きな松果体のう胞はまれです。
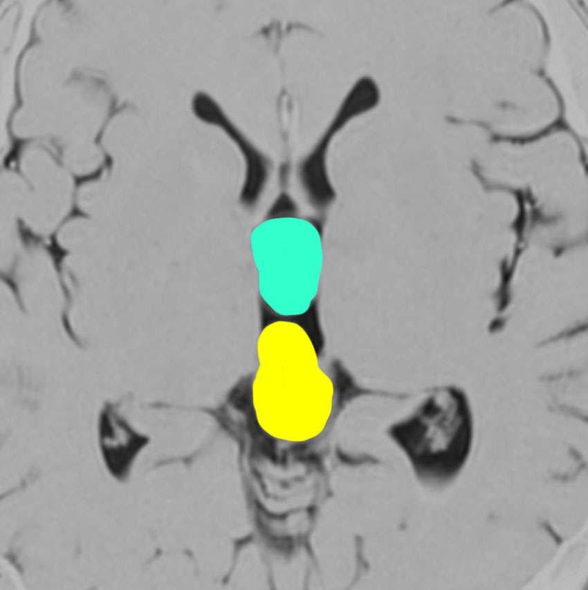
発生原因を考える上での参考となる例
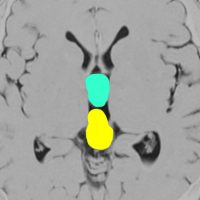
20代の女性に偶然見つかったものです。水色に塗ったのが鞍上部クモ膜のう胞 arachnoid cyst,黄色に塗ったのが松果体のう胞 pineal cystです。両方ともとても珍しもので,大きなのう胞です。クモ膜のう胞と松果体のう胞が同じ原因で形成されることを示唆しています。
文献
- Barboriak DP, Lee L, Provenzale JM: Serial MR imaging of pineal cysts: implications for natural history and follow-up. AJR Am J Roentgenol 176: 737-743, 2001
- Dickerman RD, Stevens QE, Steide JA, et al.: Precocious Puberty Associated with a Pineal Cyst: Is it Disinhibition of the Hypothalamic-Pituitary Axis? Neuro Endocrinol Lett 25:173-175, 2004
- Michielsen G, Benoit Y, Baert E, et al.: Symptomatic pineal cysts: clinical manifestations and management. Acta Neurochir (Wien). 144:233-242, 2002
- Sawamura Y, Ikeda J, Ozawa M, Minoshima Y, Saito H, Abe H: Magnetic Resonance Images reveal a high incidence of asymptomatic pineal cyst in young women. Neurosurgery 37: 11-16,1995
- Wisoff JH, Epstein F: Surgical management of symptomatic pineal cysts. J Neurosurg 77: 896-900, 1992









