松果体実質腫瘍の症例 pineal parenchymal tumor
松果体実質腫瘍には3種類あります
- 松果体細胞腫 グレード1 pineocytoma
- 中間型松果体実質腫瘍 グレード2とグレード3
pineal parenchymal tumor of intermediate differentiation PPTID - 松果体芽腫 グレード4 pineoblastoma
松果体細胞腫グレード1の症例
松果体細胞腫の例1(典型例)
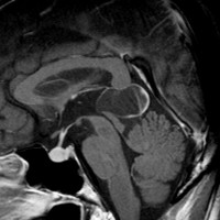
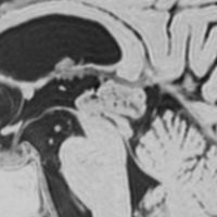
これは若い女性に見つかった松果体細胞腫です。無症状ですし水頭症もありません。松果体のう胞との区別がむずかしいのですが,嚢胞の壁が厚くて造影剤で強く増強されていることから,松果体のう胞ではないことがわかります。手術で完全に摘出して治りました。松果体細胞腫はゆっくり大きくなる良性の腫瘍です(WHOグレード1)。周りの脳に浸潤しないので手術は比較的安全にできますし,全部取れます。
松果体細胞腫の例2(典型例)
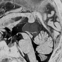
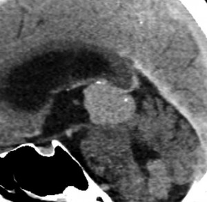
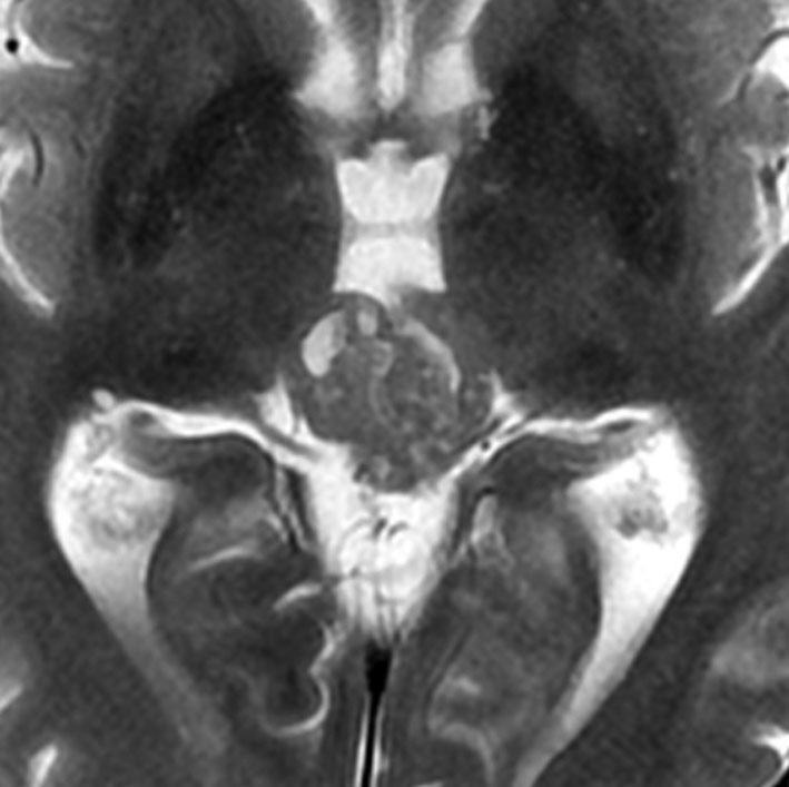
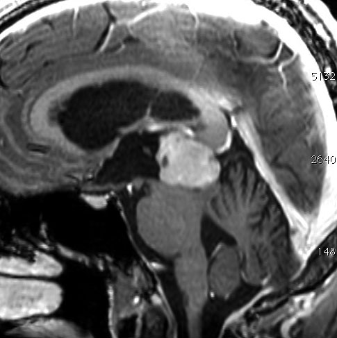
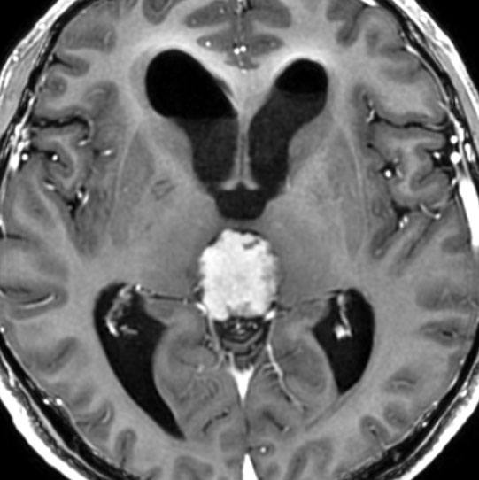
成人女性の松果体細胞腫で充実性腫瘍です。多少凹凸がありますがだいたい楕円形。中脳水道が閉塞して軽度の水頭症(頭の中に髄液が溜まる)になってきています。急性水頭症で急変して意識障害になることがありますので,迷わず摘出するか,第3脳室開窓術 ETVをしてから経過観察します。
松果体細胞腫の例3(典型例)
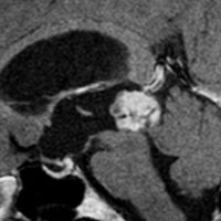
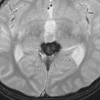
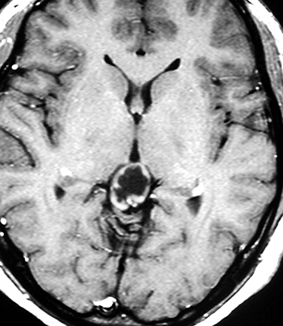
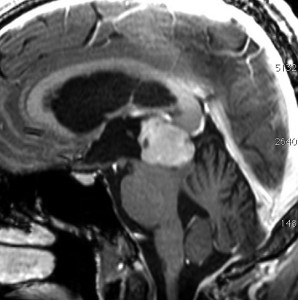
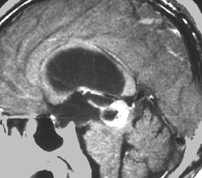
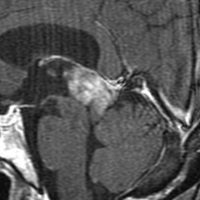
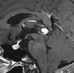
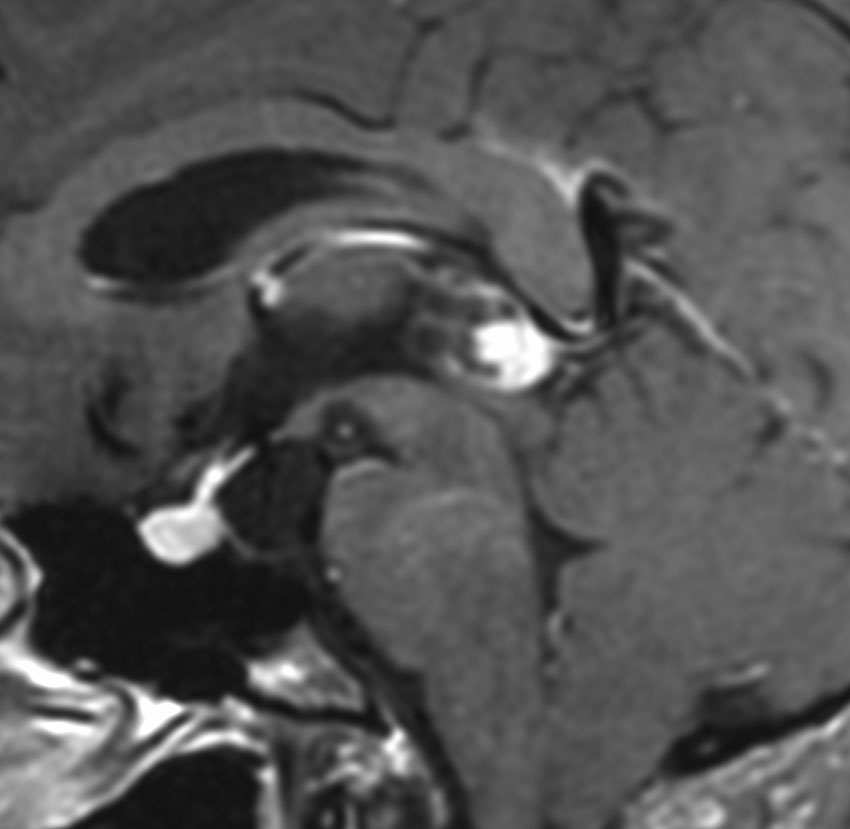
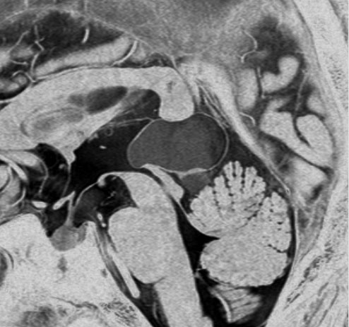
これも偶然発見された無症状の女性の小さい松果体細胞腫ですが,ほとんど実質性でのう胞がありません。右はCISSという画像です。中脳の視蓋は圧迫されて変形していますが,中脳水道がまだ閉塞していないのがよくわかります。
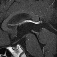
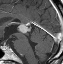
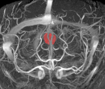
左側はMRI血管像です。赤く塗った松果体腫瘍がたくさんの血管とくに静脈に囲まれていて深い位置にあるのがわかります。右は手術後のMRIです。幸い後交連というところも残せたので眼球運動障害(ものが2重に見える)という後遺症は出ませんでした。
松果体細胞腫の例4(のう胞性腫瘍)
30代女性ののう胞性の松果体細胞腫です。これは大きな松果体嚢胞とほとんど画像では区別がつかないものでした。でも腫瘍ののう胞壁(液体の入っている袋の壁)の後方がガドリニウム増強されていてごく一部が実質性であることが解ります。
松果体細胞腫の例5(60代発症)
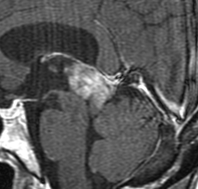
水頭症で見つかった63歳男性の松果体細胞腫です。1年間観察しましたが少し増大したので,開頭手術で全摘出しました。この年齢層には珍しいと言えます。前後に長いいびつな形をしてますが境界は明瞭で中脳や視床に浸潤所見がありません。
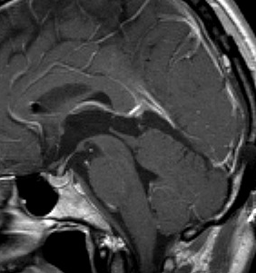
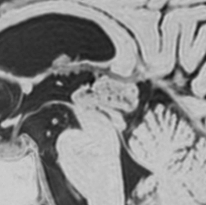
松果体細胞腫の例6(20年以上の観察例)

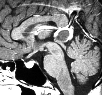
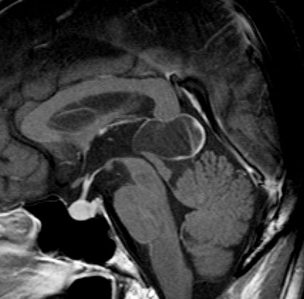
20歳くらいで発見され,40歳で腫瘍増大のために水頭症となりました。第3脳室開窓術で症状は消失,生検術では松果体細胞腫 WHO grade Iの診断です。さらに4年間観察したのが右側の画像です。ほとんど増大していません。わずかに変性性のう胞形成が前方に見られるだけです。
この例は極めて例外的と言えますが,20年以上観察できる例があることを示しています。でも,この患者さんは運が良いだけで,本来は危険です。たった1日で急激な閉塞性水頭症から呼吸停止,死に至る例があります。
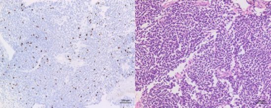
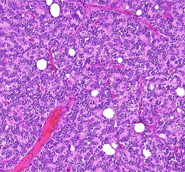
松果体細胞腫の病理所見

pineocytomatous rosettes with nucleus-free spaces
分化度の高い均一な腫瘍細胞で構成され,細胞核の配列で核がない隙間ができています。この中には腫瘍細胞の突起が細かいネットワークを作っています。核は染色質に富んでいますが,染色質の分布は不整です。
中間型松果体実質腫瘍 PPTID グレード2とグレード3の症例
中間型松果体実質腫瘍 PPTID の例1

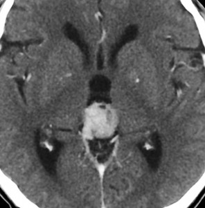
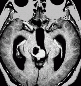
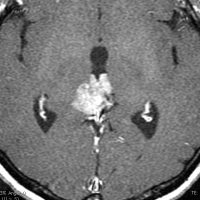
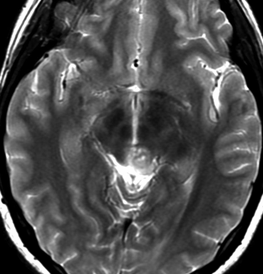
40代男性のPPTIDグレード3です。早朝の激しい頭痛で発症しました。morning headacheは松果体腫瘍の特徴でもあります。これに対して内視鏡による第3脳室開窓術と生検術がなされてから紹介されてきました。生検術前のHCG-beta 2.1mIUと陽性でしたからgerminomaを強く疑いましたが,生検病理診断はrosette構造があり中等度の核異型を有するPPTIDであり,MIB-1 8%でした。短期間の間に増大していました。グレード3 PPTIDと判断されます。
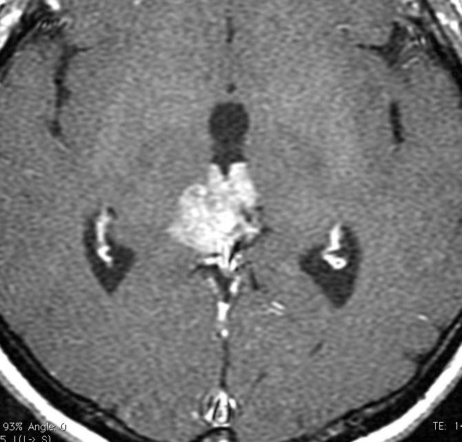
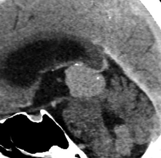
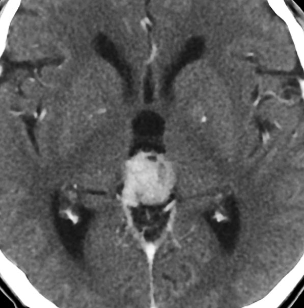
第3脳室開窓後のCTです。左のCTでは小さな石灰化がみられます。右の造影CTでは小さなのう胞部分をのぞいて均一な増強効果がみられます。
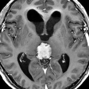
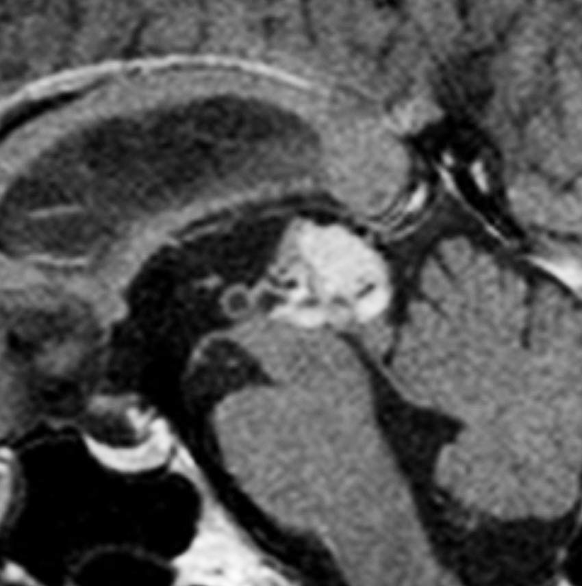
MRIガドリニウム増強像です。腫瘍境界がわりにはっきりしていて,中脳や視床に浸潤像がありませんから,松果体芽腫ではないことが解ります。でも,この画像だけからは,松果体細胞腫やジャーミノーマとの区別はつきません。
PPTIDであり,MIB-1が比較的高いので,脳脊髄照射 24グレイ・12分割と腫瘍局所照射30グレイ・15分割の放射線治療をしましたが,腫瘍はあまり縮小しませんでした。その後に,後頭開頭経テント法で腫瘍を全摘出しました。さらに術後にテモダール6コースを加えました(テモダールが有効である根拠はありません)。記載時点では患者さんは元気で復職していて,残存腫瘍もなく,眼球運動障害などの神経症状も全くありません。
中間型松果体実質腫瘍 PPTID の例2

中年の男性に発生した中間型松果体実質腫瘍 グレード2です。水頭症(脳室の拡大)がみられます。水頭症のために頭痛と嘔吐で発症しました。開頭手術で全摘出してから,46グレイの腫瘍局所への放射線治療をしました。治療後10年経ちますが再発していません。
中間型松果体実質腫瘍 PPTID の例3
無症状で発見された40代女性です。1年半の経過観察で増大傾向を示し,閉塞性水頭症となってきました。形が不整形で右視床に食い込んでいるのでPPTIDだと考えて開頭手術をしました。手術所見でも右視床に深く食い込み中脳視蓋の周囲に回り込むように張り付いていました。松果体細胞腫が視床浸潤する事はほとんどなくPPTIDの特徴です。初期の病理確定診断は,PPTID grade II/III (グレード2に近いもの)でしたが,その後,グレード3と訂正されました。グレードが2か3かという判断は,病理診断医にとっても極めて難しいものです。
中間型松果体実質腫瘍 PPTID の例4
水都症で発症した20代の女性です。のう胞を含む境界明瞭な松果体腫瘍で,松果体細胞腫のようにもみえます。しかし,中脳視蓋と左視床に浸潤像が疑われます。OTAで中脳内部に食い込むものも全摘出しました。術後2年で軽度の眼球上転障害を残していますが復職できました。

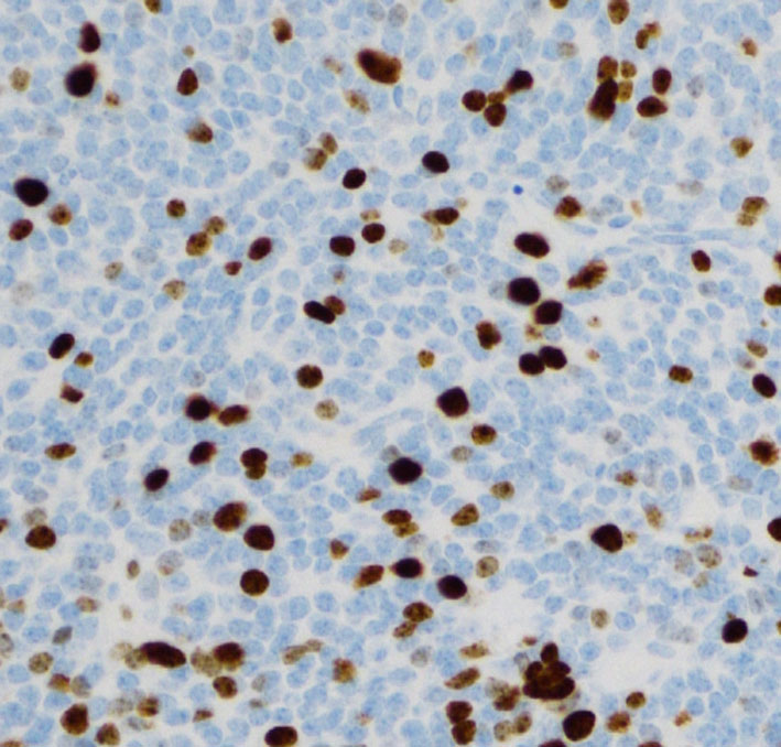
細胞密度が高く,腫大核を有する異型細胞が充実性に増殖する腫瘍です。でも一部で,pineocytomaに相当する分化像を示す部分があり,NF部分的陽性が多くグレード IIと判断されました。しかし,手術所見で視床浸潤がみられ,MIB-1 5-7% (左の画像)であり,WHOの規定するMIB 5%以上の高リスクPPTIDとも言えます。
この病理診断からはかなり迷うのですが,脳脊髄照射 24Gy/12分割,腫瘍局所総線量 54Gy/27分割の放射線治療を行いました。脳脊髄照射を加えた最終的な判断は,細胞密度がかなり高くMIB 10%程度の部分像を有するPPTIDであったからです。
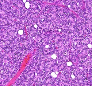
中間型松果体実質腫瘍 PPTID の病理

一見すると細胞密度が高く松果体芽腫とも診断されるような例です。
松果体芽腫と松果体細胞腫の中間に位置する病理像です。松果体細胞腫より細胞密度が高く,軽度から中等度の核異型があり,分裂能が中等度に高いとされます。左の写真のように,松果体細胞腫に似たrosetteを作りながらも細胞密度が高くびまん性に細胞核が集積する部分も見られたり,右の写真のように「ごく一部」に巨細胞が見られたり核異型を伴う細胞が出現します。Homer Wright rosetteやganglion cellの出現もあります。グレード2とグレード3を分ける基準ははっきりしていませんが,分裂能を基準にすることが多いようです。MIB-1が 3 to 10%すから,8%くらいだとグレード3となるかもしれません。また腫瘍の大部分が松果体細胞腫の所見で,一部に上記のような所見のあるものはグレード2とします。注意しなければならないのは,グレード2と3の定義は非常にfazzyであることです。これによって局所照射か脳脊髄照射を選択することはとても危険なのですが (・・?)
松果体芽腫グレード4の症例
水頭症で発症した6歳児で,4cmくらいある大きな松果体芽腫でした。大学病院で第3脳室開窓術と生検術をして,脳脊髄照射30グレイ(20分割),局所60グレイ(35分割)の放射線治療が行われました。さらにシスプラチンを基剤とした化学療法が3コース行われましたが,放射線で縮小した腫瘍は少し増大してしまいました。



放射線化学療法後の画像です。腫瘍境界は不明瞭(左)で,腫瘍内出血(中央)して,左の視床に浸潤しています。かなりリスクは高いのですが,これを開頭手術で全摘出しました(右),この時点で完全寛解 CR です。この後にさらに化学療法と幹細胞移植(PBSCT,大量化学療法)が加えられました。
おそらく初期治療では,考えられ得る最大限の治療がなされた例で,治療に当たられた先生と患児と家族はほんとに精一杯闘いました。しかし,2年後に前頭葉に再発しました。2017年現在でも,松果体芽腫の予後は極めて不良です。
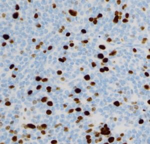
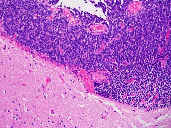
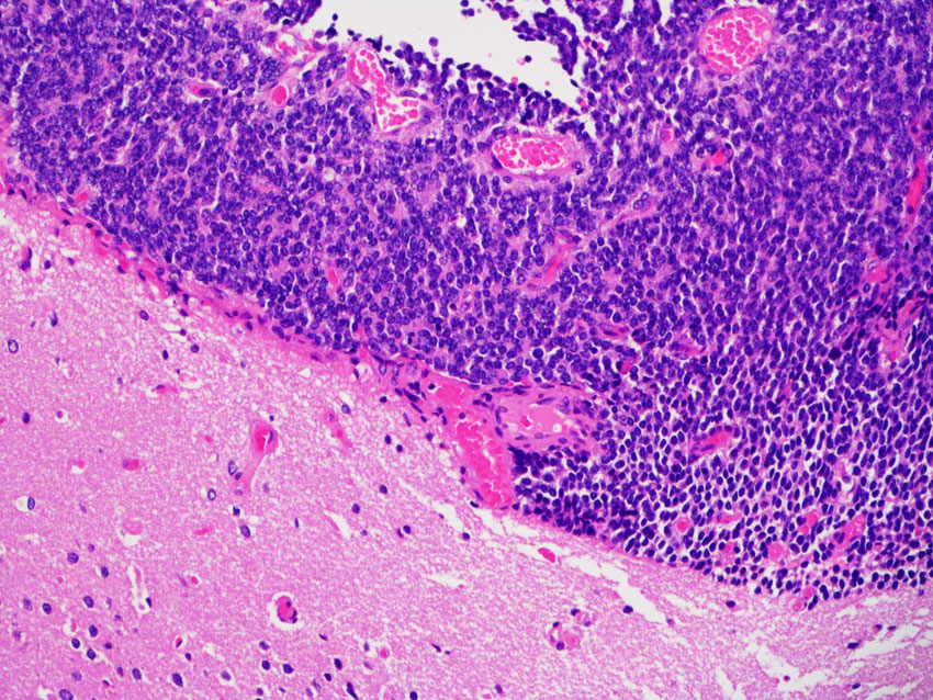
大脳表面に転移したPPTID グレード3の病理

PPTID グレード3の軟膜上(くも膜下腔)転移巣です。軟膜下の大脳組織には浸潤していません。PPTIDの特徴的な組織像は失われていますが,ロゼット形成が認められます。MIB-1染色率(左)は高く15%を超えます。転移巣はグレード4相当の性質を有していると評価します。




























