内胚葉のう胞,神経腸のう胞,コロイドのう胞
- 次にあげるものは内胚葉のう胞 endodermal cyst の仲間です
- 過去には別々の病名だったのですが,ひっくるめて内胚葉のう胞と呼ばれるようになりました
- 先天性の疾患(生まれつきあったもの)で,真の脳腫瘍ではありません
- 脳の隙間に袋のようなものができて,中に液体や個体がたまってふくれてきて症状を出すものです
- MRIで偶然発見されて無症状のものが多いです
- 頭痛などの症状がでることもあります
- のう胞の内容物が外に漏れると,髄膜炎を生じることがあります,強い頭痛や嘔吐です
- 先天性の腫瘍で,大きくならないでおとなしいものがほとんどです
- そういうのは治療しないでもいいので経過観察だけします
- 第3脳室,鞍上槽, 脚間槽,橋前槽,小脳橋角槽というところにできます
- 内胚葉由来のさまざまな上皮細胞 epithelial cells に包まれたのう胞です
- のう胞内容物はさまざまで,硬い線維性の個体のものから,うすい水のような液体のものまであります
- かつては,下のように別々の病名で呼ばれました
第3脳室コロイドのう胞 choroid cyst
神経腸のう胞 neurenteric cyst, neuroenteric cyst
鞍上部内胚葉のう胞
上衣のう胞 ependymal cyst
上皮のう胞 epitherial cyst
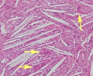
内胚葉のう胞の病理
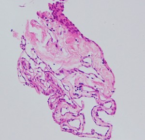
左の写真は,鞍上部から前橋槽の大きなのう胞の病理組織です。大きなのう胞でしたが薄いのう胞壁で取り出すとぺしゃんこになりました。
一層の上皮細胞がのう胞壁を構成します。薄い結合織や無機質な間質を介して内外壁があるものもあります。
コロイドのう胞,上皮嚢胞,上衣のう胞,ラトケのう胞は同じような病理所見です。発生部位と画像所見では鑑別できますが,病理検査では内胚葉のう胞 endodermal cystとしか診断がつきません。細胞表面にcilliaがあるかどうかでも診断は変わりません。
神経腸のう胞 neurenteric cyst
- 先天性の良性のう胞で,無症状のものが多いです
- できる場所は,斜台後方/脳幹部前面の前橋槽が圧倒的に多いのですが,傍鞍部,大脳半球間裂,第3脳室,第4脳室,脳内部などにもできます
- 脊柱管内くも膜下腔,脊髄髄内のものもあります
- 手術摘出する必用はほとんどありませんが,増大して症状が悪化するものだけ治療します
- 頭痛で発症する例も多いですが,のう胞との因果関係がはっきりしないこともあります
- CTで一部等信号で内部の多くが高密度,T1強調画像で高信号の粘液や高蛋白物質を示すのが特徴です
- 内容物は,粘液,高たんぱく質の液体や半固体です
- のう胞ですが手術はそれほど簡単ではありません
- 神経などに癒着しますから,のう胞壁が簡単に摘出できないこともあります
- 最も注意しなければならないのは,脳幹部に潜り込んでいるもので,脳幹部を損傷する恐れがあるタイプです
- 無理して全摘出しません
- 内容液がもれると手術後に一過性の髄膜炎を生じることがあります
- 病理は,Neurenteric cysts are thought to be derived from primitive endoderm, and form as a result of faulty endodermal-notochordal separation at 3 weeks of embryogenesis. Neurenteric cysts are lined by simple-to-pseudostratified respiratory/gastrointestinal-like epithelium; as such, these lesions closely resemble colloid and Rathke’s cleft cysts.
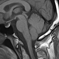
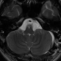
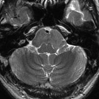
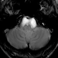
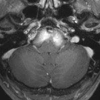
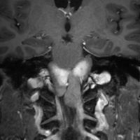
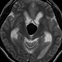
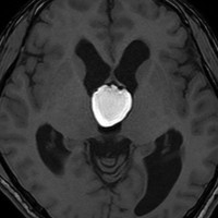
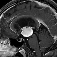
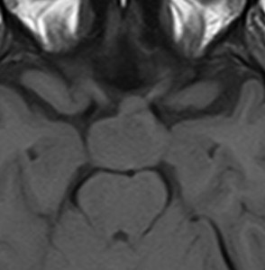
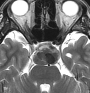
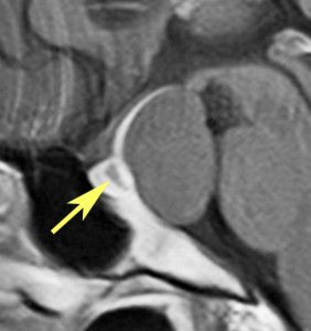
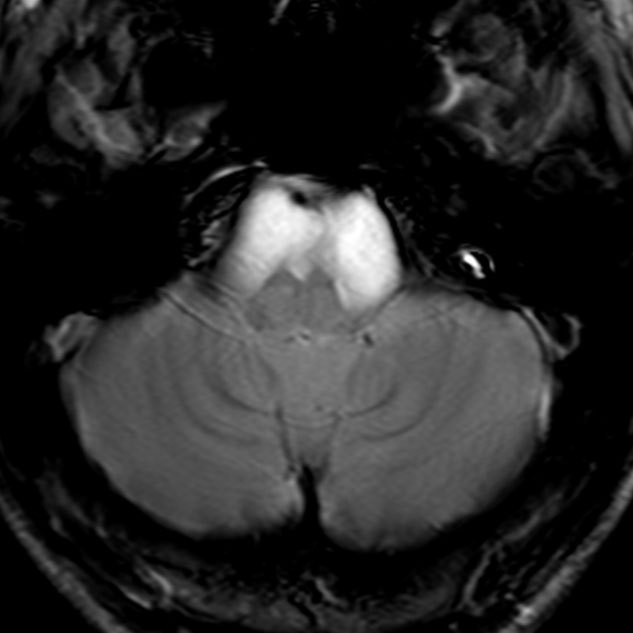
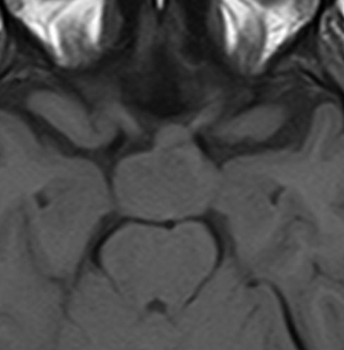
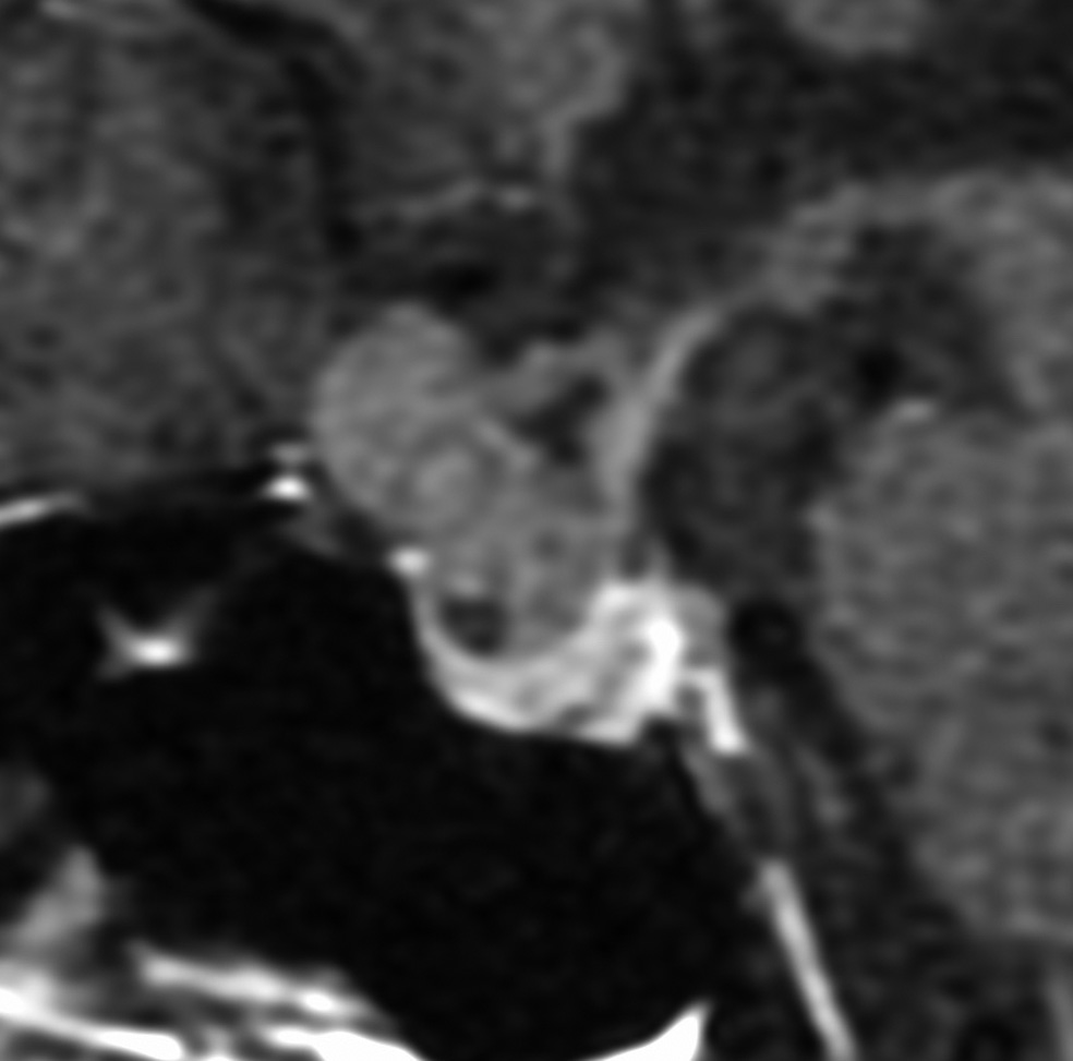
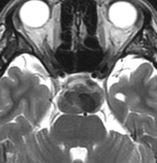
典型的な神経腸嚢胞 neurenteric cyst
左のT2強調画像で等信号,中のT2*で高信号,右はCISS画像です。
T1強調画像では,のう胞周囲の高信号の部分は半固体で,中心部の高信号はドロドロの粘液でした。基本的にガドリニウム増強はされません。まれに薄い膜状に一部が増強されることがあります。
境界明瞭は袋状の腫瘍です。椎骨動脈や脳底動脈を包み込むようにふくらんでいます。


左外側後頭下開頭という小さな開頭手術だけで全摘出しました。術後は幸い何の症状も出ていません。この例は脳幹部に食い込まないもので,運良く全摘できたのですが,そうはいかないものもあります。
コロイドのう胞 choroid cyst
- コロイドのう胞の多くは成人の第3脳室に発生します
- 小児の下垂体に発生したものもみたことがあります
- 10mm以下のものでは多くの場合には症状を出しませんので発見されても手術治療など受けずにほっておきましょう
- 大きくなると第3脳室という髄液の水道を詰めてしまうので,脳の中に水がたまって閉塞性水頭症という病気を併発します
- 症状は頭痛と吐き気が最も多いです
- 治療は,内視鏡手術でのう胞摘出あるいはのう胞内容を除去します
コロイドのう胞の専門的記述
コロイド嚢胞 (colloid cyst)とは,第3脳室に発生するコロイド嚢胞のことです。第3脳室前半部上壁,特にモンロー孔の内側中心部に多く発生するので,脳弓よりは下方で,脈絡組織(tela choroidea)にぶら下がるような位置にあります。第3脳室前半を満たすように増大し,中脳水道方向へと伸展します。発生起原については,内胚葉由来とされ,midline maldevelopmental inclusin defectによる胎生期遺残嚢胞として捉えられます。
MRI診断により偶然発見される無症候性の10 mm以下の小さなものが最も多いです。しかし,緩徐に増大してモンロー孔を閉塞して水頭症をきたすとき症候性となることがあります。急激な症状を呈するものでは嚢胞内出血が見られ,きわめて稀ではあるが急性水頭症にて突然死したという報告あります。
頻度としては30-40代の男性に多く,モンロー孔を閉塞して水頭症をきたし発症します。従って,間欠的な激しい頭痛,あるいは持続痛,嘔気,嘔吐が臨床症状です。項部硬直などの他覚的な神経症候は認められません。稀に頭痛,嘔吐に続発して急激な意識障害を生じることがあります。時には,緩徐進行性の閉塞性水頭症で、歩行障害、視力低下、認知機能低下などを呈することがあります。
第3脳室内にはさまざまな嚢胞性病変が発生しますが,第3脳室内部の発生母地で鑑別ができます。例えば,前上方に類円形の腫瘤を認めたときにはコロイドのう胞をもっとも強く疑い,逆に後方であればのう胞性松果体腫瘍を疑います。一般的にCTでは等吸収から高吸収域を示し,MRIではT1, T2強調画像ともに高信号を呈することが多いといえます。造影剤で嚢胞壁の増強効果を認めることはとても稀です。
無症候性であっても画像上で閉塞性水頭症を生じているもの,あるいは症候性となったもののみが外科治療の適応となります。かつては前頭開頭による経脳梁的な直視下手術による摘出が行われましたが,この手術においては,脳梁切開とともに脳弓損傷の可能性があり,記憶障害などの合併症が懸念されます。近年では,CTガイド定位脳手術や内視鏡を用いる嚢胞内容除去術が一般的です。 CTにて高吸収のもの,T2強調画像において低信号を呈するものは内容物の粘度が高く,内容物の吸引術が困難であるとされています。 当然ですが、内視鏡手術においてものう胞壁を含めた全摘出を目指した場合には脳弓損傷の可能性があります。第一選択枝として,硬性内視鏡を用いて嚢胞内容を吸引除去しますが,たとえ完全摘出できなくとも術後経過を観察して,開頭による完全摘出はできうる限り避けた方が良いでしょう。
手術によって嚢胞内容が除去されれば再発することは少ないです。無症候性コロイド嚢胞が症候性となる頻度は,Pollockによれば,2年,5年,10年の観察期間で,それぞれ0%, 0%, 8%であったそうです。 水頭症を併発していないが10 mm程度の大きさがあり40代以前の年令であれば,将来的に症候性となる可能性もあり経過観察をします。
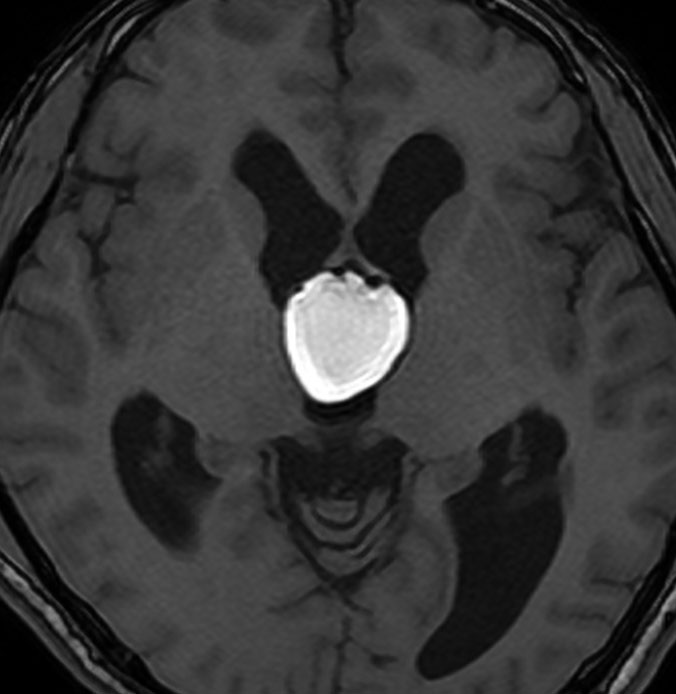
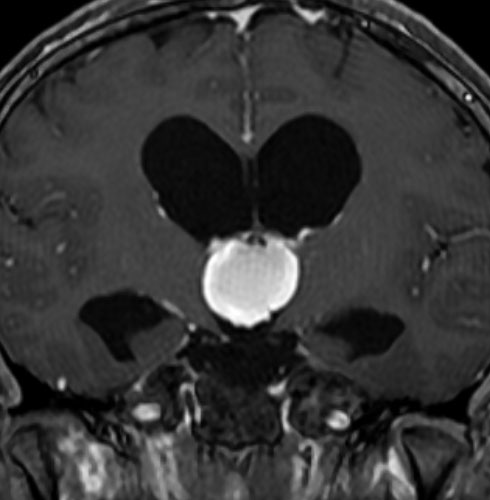
肉芽腫になってしまった第3脳室コロイドのう胞
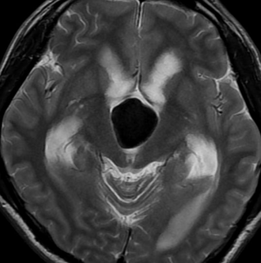
CTでは壁が厚く高密度,MRI T2強調画像では低信号,T1強調画像では高信号です。内部に血液を含んでいるようなのう胞に見えます。のう胞の壁は非常に厚く硬いものが予想されます。閉塞性水頭症になっています。
若い男性ですが,内視鏡手術では摘出できない壁がガチガチのものでした。モンロー孔が広いので経脳梁到達法 transcallsal approachで手術しました。右前頭部から入ろうとしましたが,架橋静脈のために入れず,左前頭葉を除けて,透明中隔の正中に達しました。ところが,左の脳弓が菲薄化して広がり腫瘍の上面にみえましたから,左のモンロー孔からは摘出できませんでした。しかたがないので,右のモンロー孔から腫瘍を摘出しています。腫瘍の周囲には第3脳室脈絡叢が広範囲に癒着していました。のう胞内容は暗褐色の古い血腫でした。のう胞の壁は硬く厚い結合織で肉芽腫のような肉眼所見でした。左右の脳弓にも癒着し,内大脳静脈にも癒着していたので,その部分には皮膜を残しました。

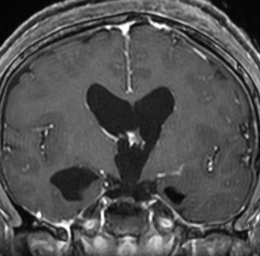
術後のMRIです。幸い,記憶障害などの脳弓症状はでませんでしたが,かなりリスクの高い手術でした。
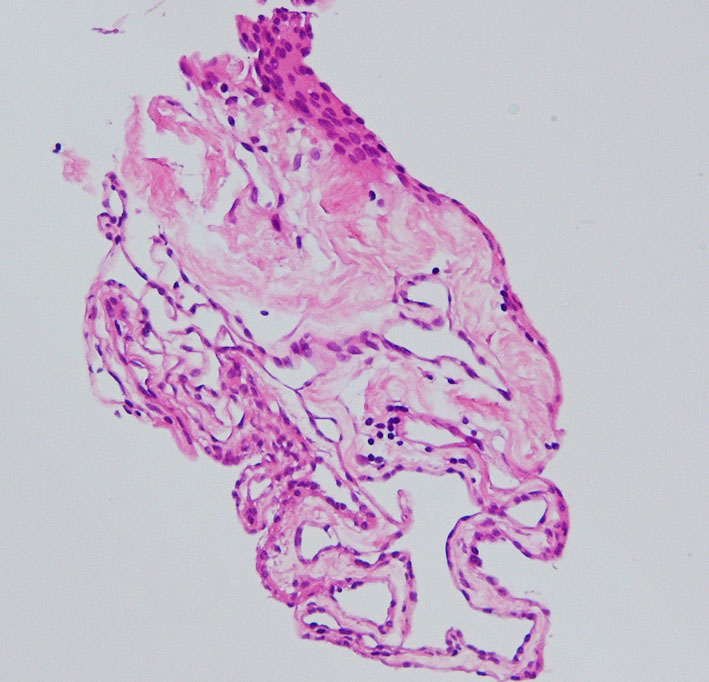
のう胞壁の組織像は大部分が線維性に肥厚した結合織膜でした。裂け目のように見えるのはコレステロール choresterol crystalが抜けた部分です。その間に異物巨細胞(黄色の矢印)が多数見られます。のう胞内容が古い血腫でしたから, ヘモジデリンを貪食したマクロファージ (CD68+)が見られ慢性炎症所見です。病理診断としては,コレステロール肉芽腫 chorelsterol granulomaとなります。免疫組織染色でCam5.2陽性の細胞があり扁平ないし立方上皮を形成していました。病理診断では,第3脳室コロイドのう胞が変性消褪して瘢痕化した病変と結論付けられました。
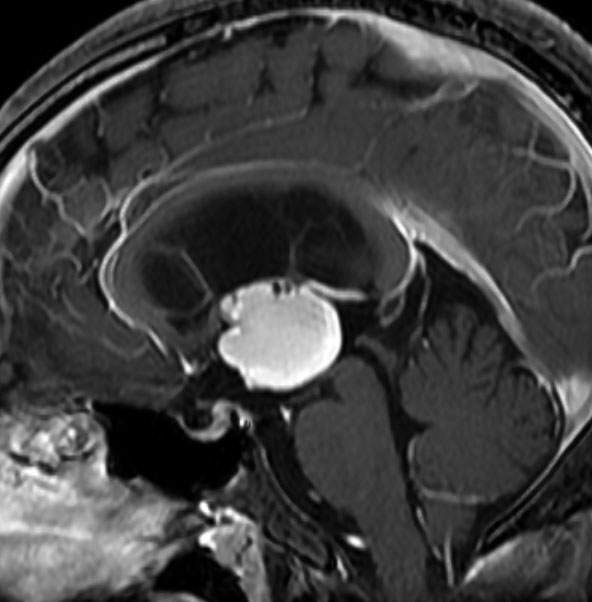
内胚葉のう胞,コロイドのう胞,ラトケのう胞ともいえる例
5歳の時に発見され23歳まで18年間経過観察をされてきた患者さんです。腫瘍はゆっくり,しかし確実に増大して,手術前には頭痛がひどく薬も効かず歩けなくなったという症状でした。術後に頭痛が無くなったので,のう胞による症状だったのでしょう。
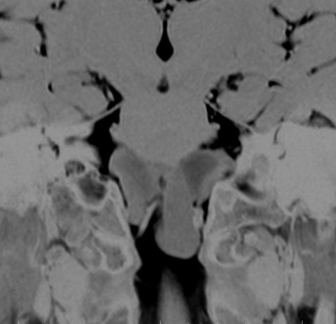
下垂体柄の周囲にのう胞性腫瘍があります。T1強調画像では等信号,T2強調画像ではまだらな信号になっています。23年という長い経過から液状内容物が固形化したものと推定されます。T2で低信号となる部分があるのですが,黄色肉芽腫とは異なる像です。
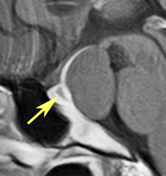
下垂体柄は長く伸びています。のう胞による長期の圧迫のため斜台上部がerosionになって凹んでいます。トルコ鞍内の中間葉の位置に典型的な小さなラトケのう胞(黄色矢印)がみられますが,これは長年変化していませんでした。

左前頭側頭開頭 pterional approachで,のう胞壁を含めて完全摘出 complete removalしました。のう胞は下垂体柄の左側に付着してそこから発生したものでした。内容物は固体で寒天状のコロイドでした,一部軟らかくて一部は線維化していました。のう胞壁は半透明で薄い部分も線維性の膜状の部分もありました。病理検査では上皮細胞が証明されて内胚葉のう胞 endodermal cystの診断です。
ラトケのう胞はhiatusから内容液吸引だけして,皮膜はもちろんそのままにしています。
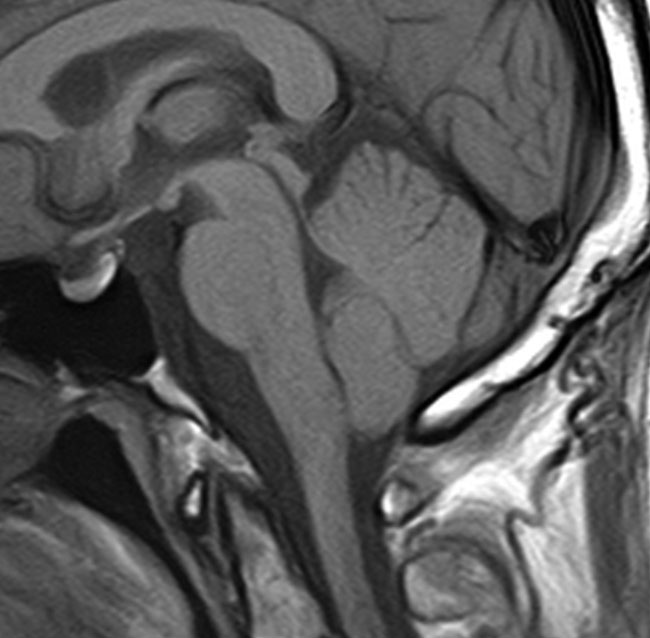
鞍上部の内胚葉のう胞

たまに見るものです,前の例と同じように下垂体柄から発生した無症候性のう胞です。石灰化がありました。本来的には,治療の必要がないので経過観察して増大した時だけ摘出します。
文献
- Abdou MS, Cohen AR: Endoscopic treatment of colloid cysts of the third ventricle. Technical note and review of the literature. J Neurosurg 89:1062-1068, 1998
- Aggleton JP, McMackin D, Carpenter K, et al.: Differential cognitive effects of colloid cysts in the third ventricle that spare or compromise the fornix. Brain 123: 800-815, 2000
- El Khoury C, Brugieres P, Decq P, et al.: Colloid cysts of the third ventricle: are MR imaging patterns predictive of difficulty with percutaneous treatment?. AJNR Am J Neuroradiol 21:489-492, 2000
- Gauden AJ, et al.: Intracranial neuroenteric cysts: a concise review including an illustrative patient. J Clin Neurosci 19: 352-359, 2012
- Pollock BE, Huston J 3rd: Natural history of asymptomatic colloid cysts of the third ventricle. J Neurosurg 91: 364-369, 1999
- Pollock BE, Schreiner SA, Huston J 3rd: A theory on the natural history of colloid cysts of the third ventricle. Neurosurgery 46:1077-1781: 1081-1083, 2000
- Spears RC: Colloid cyst headache. Curr Pain Headache Rep 8: 297-300, 2004
- Horn EM,Peiz-Erfan I, Bristol RE, et al.: Treatment options for third ventricle colloid cysts: comparison of open microsurgical versus endoscopic resection. Neurosurgery 60: 613-618, 2007
- Wang L, et al.: Diagnosis and management of adult intracranial neurenteric cyst. Neurosurgery 68: 44-52, 2011




















