第4脳室腫瘍
- 第4脳室腫瘍は小児に多いものです
- 閉塞性水頭症を生じますから,症状は頭痛と呕吐です
- 髄芽腫,上衣腫などの悪性腫瘍が多いです
- 手術は正中後頭窩開頭でしますが,難しいです
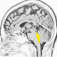
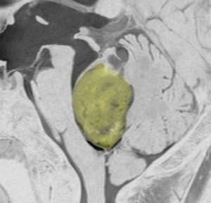
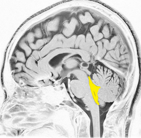
第4脳室とは

後頭部に近い所にあります。黄色が第4脳室で,髄液の通り道(出口)です。
前方には脳幹部,後ろは小脳虫部です 。
上は細い中脳水道につながって,下はマジャンディー孔と左右のルシュカ孔に開いています。
第4脳室腫瘍の種類
第4脳室腫瘍は3つに分けて考える
1. 小脳組織から発生して第4脳室に突出したもの
2. 脳幹部発生から発生して第4脳室に突出したもの
3. 第4脳室の脈絡叢から発生したもの
- この3つの発生母地のどこから出たのかを考えるのが大切です
- 脈絡叢乳頭腫/脈絡叢乳頭癌と類表皮のう胞を除けば,純粋な第4脳室腫瘍というものはありません
- だから,第4脳室腫瘍というのは,小脳もしくは脳幹部に発生して第4脳室に突出した腫瘍のことをいいます
- いい換えれば,第4脳室腫瘍とは小脳腫瘍か脳幹部腫瘍のどちらかに分類されます
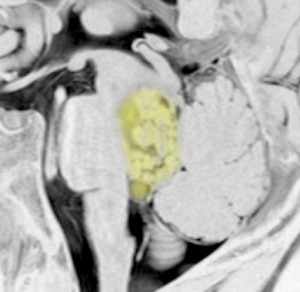
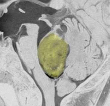
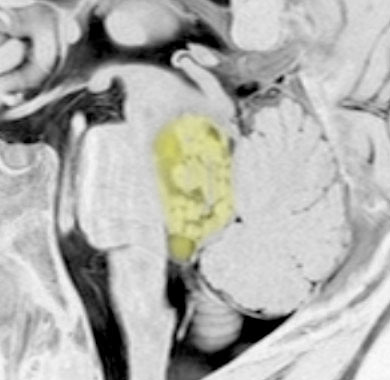
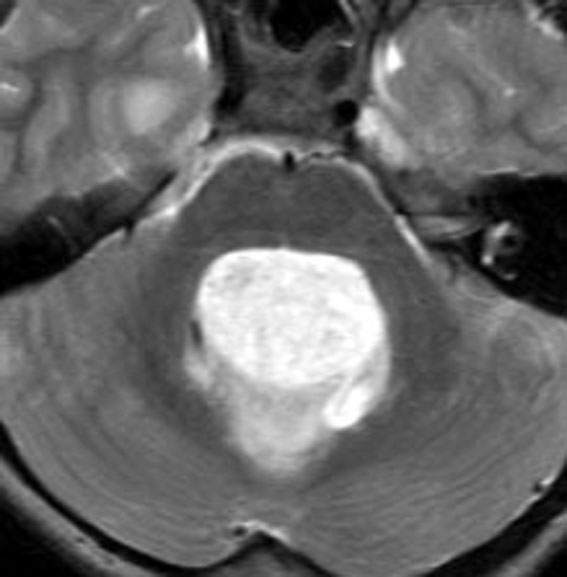
第4脳室腫瘍のMRI像
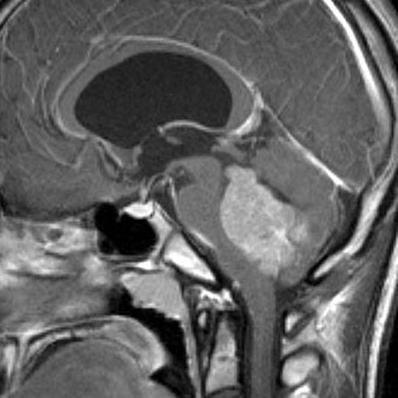
左は脳幹部腫瘍(退形成性神経節膠腫),右は小脳腫瘍(毛様細胞性星細胞腫)です。どちらも第4脳室を埋め尽くすように発育しています。これらはどちら側から発生したかが明瞭な例ですが,第4脳室腫瘍の中には脳幹部からか小脳からか解らないものもあります。でも多くは小脳側からです。脳幹部側からで注意しなければならないのは上衣腫と血管芽腫です。
- 小脳は,小児の脳腫瘍の好発部位です。頻度の高い順に列挙すれば,毛様細胞性星細胞腫,髄芽腫,上衣腫と退形成性上衣腫となります。その他にも様々なものがあって,血管芽腫,AT/RT (atypical teratoid/rhabdoid tumor) ,海綿状血管腫,類皮のう胞,びまん性星細胞腫,退形成性星細胞腫,膠芽腫,神経芽腫,神経節膠腫,乏突起膠腫,胚細胞腫瘍などが発生します。
- 脳幹部に発生して第4脳室に突出する腫瘍には,星細胞系腫瘍(WHO grade 2から4まで),毛様細胞性星細胞腫,上衣腫と退形成性上衣腫,びまん性橋膠腫,神経節膠腫,AT/RT,奇形腫を含む胚細胞腫瘍などがあります。
- 脳幹部から小脳にまたがって存在するものに,上衣腫,毛様細胞性星細胞腫,神経節膠腫がありますが,どちらから発生したのかわからないこともあります。
症状と症候
- 小脳腫瘍は,どのような組織型であれかなり大きくならないと症状を出さないので,閉塞性水頭症を伴って発症することが多いです
- 頭痛と嘔吐です
- 早朝時に頭痛を訴えるmorning headacheは閉塞性水頭症の初期にみられ,末期になると意識障害となります
- 小脳症状は,体幹失調による不安定歩行です
- 右小脳半球に限局するものであれば右上下肢での失調症状が目立つこともあります
- 血管芽腫や毛様細胞性星細胞腫などとてもゆっくり増大する小脳腫瘍では,年余にわたって水頭症が存在し,正常圧水頭症の症状を出すことがあります
- つまり,慢性頭痛,食欲の低下と体重減少,非常に軽度の認知機能の低下,ふらつき歩行です
- 閉塞性水頭症による頭蓋内圧亢進が進むと,外転神経麻痺による複視(ものが2重に見える)がでたり,うっ血乳頭(網膜が腫れる)による視力低下がでますが,子どもたちはこれを訴えないので気づかれないことがあります
- 脳幹部腫瘍では第4脳室閉塞による水頭症の症状が出ないで,眼球運動障害(眼の位置がおかしい),顔面神経麻痺,失調性歩行(ふらつきと転倒),食欲不振と嘔吐などの脳幹部症状が先行することが多いです
- 第4脳室腫瘍が大後頭孔近傍にあるとき,延髄内にのう胞(延髄空洞症,syringobulbia)を形成して,嚥下障害や四肢体幹の感覚障害,起立性低血圧を生じることがあります,これは危険な徴候です
水頭症の管理
- 頭痛や嘔吐で発症すると,閉塞性水頭症といって,頭の中に水(髄液)がたまっていることが多いです
- でも,水頭症の処置は必ずしも急ぐ必要はないので,まずは慎重に治療計画全体への対策を練ることが大切です
- 意識障害を伴う急性水頭症では,緊急の脳室ドレナージという簡単な手術をすると,意識は戻ります
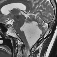
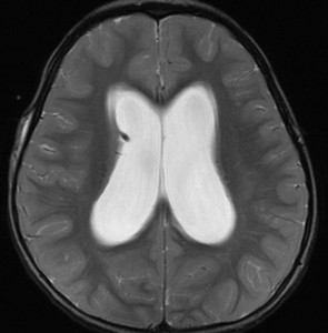
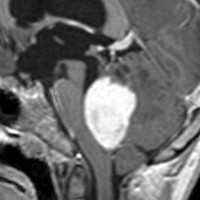
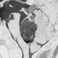
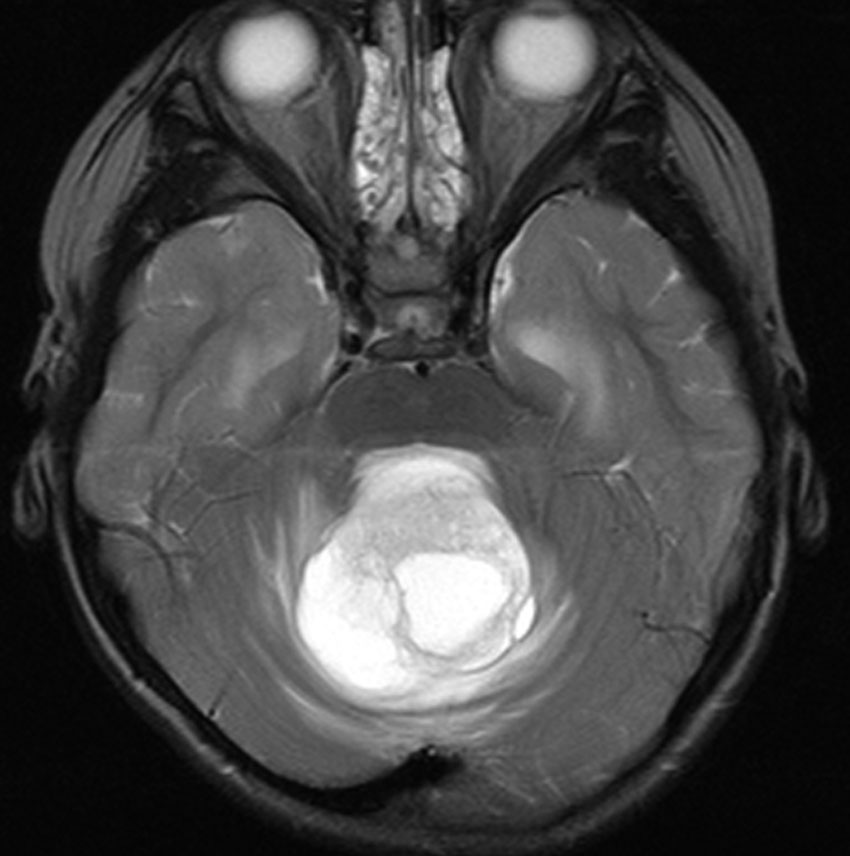
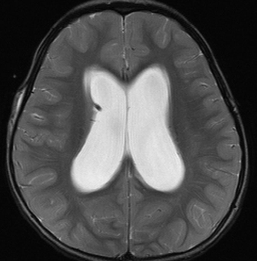
小脳虫部の毛様粘液性星細胞腫が第4脳室を閉塞して,閉塞性水頭症になっています。左の画像のように側脳室に水がたまってパンパンになっています。頭痛が生じて嘔吐しますが,ひどくなると意識障害となります。
合併する水頭症の処置は他のページに詳しく書いているのでここをクリックして下さい
I: 後頭下開頭による腫瘍摘出術
II:神経内視鏡による第3脳室底開窓術
III:外ドレナージ術
IV:術前補助療法
V:脳室腹腔短絡術(いわゆるシャント術)
悪性腫瘍の初期治療で,水頭症に対する処置がうまく行かず補助療法(放射線化学療法)の遅れを来すことがあります。水頭症の管理の成否は悪性腫瘍の治癒率を大きく変えると考えるべきです。
腫瘍が治癒してずいぶん後に,第4脳室の出口(中脳水道やマジャンディー孔とルシュカ孔の周囲)に癒着性閉塞を生じて水頭症が改善しないことがあります。この場合,髄液吸収障害がなければ第3脳室開窓術を行ってシャントを抜去します。前述の内視鏡による方法と前頭開頭術で灰白終板 lamina terminalisを穿破する2つの方法があすのですが,スリット状脳室 slit ventricleとなり第3脳室の拡大がない場合は後者を選択します。
手術の目的と要点
第4脳室腫瘍には手術摘出あるいは治療そのものが必要のないものあります。無症候性の脈絡叢乳頭腫,類表皮のう胞,海綿状血管腫,血管芽腫,脈絡叢のう胞,くも膜のう胞,脂肪腫などです。
第4脳室腫瘍では内視鏡や定位脳手術による生検術ができない,あるいは利点があまりないことが多いでしょう。従って手術目的は,根治を目指す全摘出を行うことになります。髄芽腫や上衣腫においては取り残しが多いほど死亡率は高くなるので,手術で最もしていけないことは取れるはずの部分の腫瘍を取り残すことと言えますし,これらの手術においてはそもそも腫瘍細胞の減量を計るbulk-reduction surgeryにはあまり意味がありません。
髄芽腫の脳幹部浸潤は実際には頻度は低く,M0/1 stageの髄芽腫は大きなものでも全摘出することができます。しかし,実際に術中に観察してみると小脳や脳幹部に癒着していて脳組織から剥離することは難しいものです。しかしこれは多くの場合は浸潤ではないし,中小脳脚の内面を脳幹部と誤認して腫瘍の積極的な摘出を逡巡することはあってなりません。脳幹背側の損傷は重い神経脱落症状を残しますが中小脳脚の損傷は目立った失調症を後遺しません。
一方,髄芽腫よりも上衣腫(特に退形成性上衣腫)の手術は難易度が高いといえます。上衣腫の場合にはルシュカ孔から小脳橋角部への伸展が問題となり,その部位でさまざまな脳神経や動脈を取り込み癒着するからです。
手術の合併症
髄芽腫あるいは上衣腫の手術の合併症で頻度が高いのは,脳幹部背側損傷と脳神経の直接損傷による脳神経麻痺です。手術後遺症として,外転神経麻痺,顔面神経麻痺,眼球運動障害,嚥下障害があります。積極的な摘出とこれら後遺症のリスクとは常に相反する事項ですが,悪性度のある上衣腫の摘出などでは手術摘出度と予後にかなり大きな関連があるので,ある程度の神経脱落症状は許容されなければならないものです。
主として小脳虫部発生の腫瘍の術後に出る症状として小脳性無言症(cerebellar mutism) と後頭下症候群 (posterior fossa syndrome)があります。これは通常,数日から数週間で改善しまずが,小児でこの症状がでると将来の認知機能と言語の発達に遅れがでます。小脳深部白質あるいは虫部の大きな手術損傷がなければこの小脳性無言症は生じません。50%の患児では,術後16日以内に無言症から言語発出低下に移行します。この時点でも回復しない場合には認知機能障害が残ることが多いでしょう。
髄芽腫において手術の前に播種がなくても,播種再発して死亡する例は少なくありません。このような例では,手術で腫瘍細胞を髄液腔に散布した可能性が否定できません。髄芽腫細胞は髄液の中で生き残れるので,柔らかく崩れやすい髄芽腫を摘出する際に腫瘍細胞を髄液の中に落とせば転移は成立し得るからです。特にこれを避けるために,振動と強い洗浄水で細胞をまき散らす超音波吸引器は使用しないことも重要です。
術直後の合併症として避けるべきなのは髄液と感染の問題であり,実際に水頭症や髄液漏があると化学療法や放射線治療の開始の時期が遅れます。必要以上に大きな開頭をしない,脳圧が高くても減圧開頭の意味はない,軟部組織の剥離を最小限にとどめる,硬膜を焼かずに閉創して人工硬膜を使わない,不注意な術後出血を起こさない,中脳水道を確実に開けるなど細部にわたる手術の操作がしっかりしていればこのような問題は回避できます。
正中後頭下開頭
赤の矢印から第4脳室上部にも行けるのですが,ほとんどは下方からの手術になります。黄色の矢印から到達する手術方法です。第4脳室腫瘍には主としてこの正中後頭下開頭術を用います。
体位は腹臥位とし,ベッド操作で頭部少し挙上してから,顎を引くように頸部を前屈する。この体位で,小脳虫部を切開しなくても中脳水道周辺までは十分に操作できる。減圧開頭を大きくしても小脳の腫脹を軽減できるわけではないので,できる限り小さい開頭で行う。どのような後頭窩腫瘍であれ,減圧のために第1頚椎椎弓を切除することには意味がないのでしない。
大後頭孔正中の部分の硬膜とくも膜を小さく切開すると髄液が噴出して後頭窩脳圧を一気に下げることができる。さらに硬膜をY字切開したときに正中部のoccipital sinusからの静脈出血に戸惑うことがあるが,これをバイポーラで焼灼してはいけない。縫合して止血しておけば閉創時に硬膜をきちんと閉じることができる。
硬膜を開けると両側の小脳半球,扁桃,虫部下端,延髄下部と脊髄背面が見える。小さな開頭でも椎骨動脈,後下小脳動脈とその分枝は片側の小脳扁桃を持ち上げれば簡単に確保できるし,下位脳神経をみることも難しくはない。
まず両側の小脳扁桃を可動化することから始める。小脳扁桃は延髄背面との癒着部のarachnoid trabeculaeを切断してから脈絡叢を見つけて,脈絡組織 (tela choroidea) を剥離切断して行くことで大きく動かせるようになる。両側のルシュカ孔をしっかりみることがコツである。この時点で後下小脳動脈とその分枝がほとんど認識できる。この剥離操作中には,後下小脳動脈あるいはその分枝が小脳組織と脈絡叢と脳幹部に小さな分枝を出すことが多いことを知っておくべきである。延髄側に入る小さな動脈を損傷してはいけないし,逆に小脳扁桃や脈絡組織に行く動脈は切ってもよいし,そうしないとルシュカ孔は見えない。
”telovelar approach”と呼ばれることもあるが,これは至極あたりまえの基本脳神経外科技術であり,特別なものではない。手術標的に入る視野を確保するためにくも膜組織を最大限に切開して入口部を開大するというのは,特別な名前をつける以前の脳外科手術の大原則である。2021年のヨーロッパの多施設調査では,transvermian approachとtelovelar approachに小脳性言語障害の差がなかったとされた。しかし,要するに,telovelar approachと称しても,結果的に小脳虫部や深部白質に大きな牽引力をかけて,無理に第4脳室を開大して手術操作をすれば結果的には同じになるというだけのことである。
小脳扁桃と虫部の間を剥離して行くが実際にはあまり剥がれない。この時には虫部動脈 vermian arteriesが見えるので温存する。第4脳室正中上壁にある脈絡組織は栄養動脈ごと切り取ってしまってかまわない。かなり大きな第4脳室腫瘍でも小脳虫部正中部を切開しないでも摘出でますが,困った時には10 mmくらいは切開しても体幹失調は残りません。一方,虫部を大きく切開すれば小脳性無言症を招くので絶対にしない。これで両側の小脳扁桃を外側に牽引すれば,中小脳脚の後下面から中脳水道までは十分に観察できる視野が得られる。
ルシュカ孔の所には大きな静脈があるのが通常だがこれはなるべく残しておいたほうが余分なうっ血性出血を防げる。髄芽腫は柔らかく崩れてきて出血するし,腫瘍血管がもろいのでバイポーラで凝固しようとしてもなかなか止まらない。これを一々止血していては手術がすすまないので,ある程度の出血があってもバイポーラで凝固しつつ腫瘍組織を破壊して一気に短時間で吸引摘出してしまう。線維性に硬い部分があれば切り取る。出血している部分を追求して行けば栄養動脈の根元に行き着くので,血が出ている方向に向かって腫瘍を吸って行くことも要領である。腫瘍がほとんど取れると自然に出血はとまるし,逆に出血がしつこい部分があればそこには腫瘍組織が残っていると考えた方が良い。
髄芽腫の場合には中小脳脚への浸潤は多いがその部分は摘出する。このとき連続する真の脳幹部背側との区別ができないと脳幹部を損傷しているのではないかとの恐れから腫瘍を残してしまうことがある。腫瘍摘出に時間をかければそれだけ髄腔内にまき散らす腫瘍細胞の量が多くなると考えなければならない。腫瘍を摘出するために,後下小脳動脈の半球枝や虫部動脈を切断する必要があれば躊躇せずに腫瘍摘出を優先選択する。腫瘍が脳神経や脳幹部から簡単に剥がれた後の操作で,せっかく剥離したその組織を傷めてしまうことは多い。脳幹部背側の軟膜などを損傷しないためには,脳組織に密着してしまう綿シーツを使わずにジェルフォームやコラーゲン製のシーツでなど剥がれやすい手術材料で術中に保護しておくなどの細かいテクニックが必要になる。
小脳性無言症 cerebellar mutism,後頭下症候群 posterior fossa syndrome
小脳虫部の損傷による小脳性無言症 cerebellar mutism は,術後一過性のものと信じる脳神経外科医は2021年時点でも多いです。しかし,そうではありません。現在では,長期認知機能発達に大きな影響を生じるものと考えられてます。後頭下症候群と呼称された認知機能障害も同様です。
小児の後頭下腫瘍の実に25%ほどで,術後の言語の障害が観察されます。
Schmahmann JD: Childs Nerv Syst 2019によれば,”There is consensus among investigators in the international Posterior Fossa Society that the designation be retired. “と書かれています。後頭窩手術後の合併症を総称する,後頭窩症候群は今後用いられなくなるという意味です。外科手術合併症を減じるリスク階層化のために,cerebellar motor syndrome, cerebellar vestibular syndrome, cerebellar cognitive affective syndrome including emotional dyscontrol, and mutismの理解が必要と説かれています。残念ながらこれらの症候を日本語に訳すことができず,日本の脳外科医の間の理解は遅れると思います。
代表的な第4脳室腫瘍
髄芽腫 medulloblastoma
小児の第4脳室腫瘍では毛様細胞性星細胞腫に次いで多いものです。髄芽腫の大部分は第4脳室腫瘍とも言えます。細胞密度が高いのでCTでは少し高密度に見えます,石灰化も多いです。
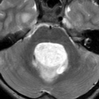
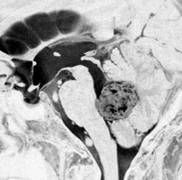
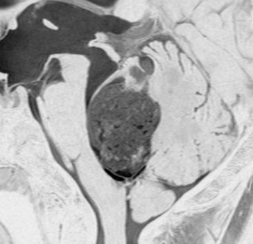
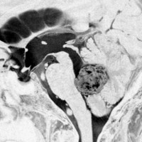
毛様細胞性星細胞腫 pilocytic astrocytoma
毛様細胞性星細胞腫です。左のガドリニウム増強T1像では髄芽腫と区別できませんが,真ん中のCISSの画像で低信号,右のT2強調画像で強い高信号になるのが特徴です。最上部に小さなのう胞が2つあります。
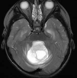
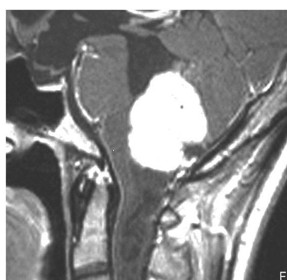
血管芽腫 hemangioblastoma
左の例は延髄から脊髄にのう胞形成するもので,とても大きく手術は超高難易度手術となります。右の例でもかなり困難な手術で,このような血管芽腫の手術の手術を安定した成績でできる脳外科の先生は日本に数人くらいしかいないかもしれません。画像診断の特徴は,血管を描出できる画像をみると,腫瘍の周囲に拡張した静脈がたくさん見えて,血流がかなり多い腫瘍 hypervascular tumorの所見があることです。
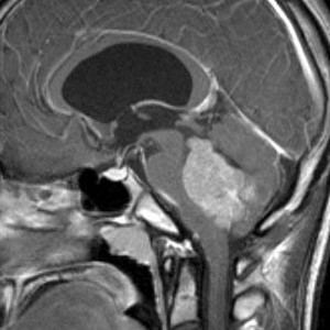
類表皮のう胞 epidermoid cyst


脳幹部に食い込むようにして増大した第4脳室の類表皮のう胞です。右側の画像は拡散強調画像 DWIです。これで高信号(白く)にみえるのが特徴です。
脊髄空洞症 syringomyeliaの合併
上と同じ患者さんです。大後頭孔での髄液流が悪くなるため,また腫瘍が何年もかかってゆっくり大きくなるので,脊髄に空洞ができました(脊髄空洞症)。脊髄の内部が裂けてしまうので,強い胸部の疼痛がでて発症しました。


第4脳室腫瘍を摘出するとこの空洞症は自然に治るので,何もしません。また症状も良くなることが多いです。

幼児の延髄に発生して第4脳室に伸展した毛様細胞性星細胞腫に合併した脊髄空洞症です。
ちなみにこれは毛様細胞性星細胞腫に合併する脊髄内のう胞ではありません。
この例の場合は,原因となった延髄腫瘍が摘出できないので,難治性の脊髄空洞症になります。
文献
小児の後頭下手術後の言語障害,無言症など
後頭窩症候群 posteriro fossa syndromeという用語は廃された
Schmahmann JD: Pediatric post-operative cerebellar mutism syndrome, cerebellar cognitive affective syndrome, and posterior fossa syndrome: historical review and proposed resolution to guide future study. Childs Nerv Syst. 2019
There is consensus among investigators in the international Posterior Fossa Society that the designation be retired. と書かれています。後頭窩手術後の合併症を総称する,後頭窩症候群は今後用いられなくなります。外科手術合併症を減じるリスク階層化のために,cerebellar motor syndrome, cerebellar vestibular syndrome, cerebellar cognitive affective syndrome including emotional dyscontrol, and mutismの理解が必要と説かれています。残念ながらこれらの症候を日本語に訳すことができず,日本の脳外科医の間の理解は遅れると思います。










