海綿状血管腫 cavernous hemangioma, cavernous malformation, 静脈奇形 venous malformation
- MRIの普及により発見頻度の高くなった腫瘍(静脈奇形)です
- ほとんどの症例はMRIにて偶然に発見される症状のない無害なものです
- 1 cm以下の小さいものがほとんどです
- 肝心なことは,症状がないのは放っておいて大丈夫だということです
- 組織学的には,ほとんどが古い血腫と異常に拡張した洞様血管の集簇(ふくらんだ血管) cavernous malformaiton で,腫瘍というよりも血管奇形の性格をもっている良性の病変です
- 脳のどの場所にもできますが大脳皮質下と脳室壁周囲と脳幹部に多いです
- たくさんできる多発性海綿状血管腫というのもありますし,家族性のものもありますが,そういうのはめずらしいです
症状は
- 症状が出るときは、てんかん発作や脳内出血で発症します
- 症候性てんかんの原因となる海綿状血管腫は,側頭葉の内側や運動野に近い前頭葉に発見されることが多いです
- たまには小出血を繰り返して腫瘍周囲にヘモデジリンの沈着 (MRIでボーッと黒く見える) をきたします
- まれに大きな脳内出血を生じて脳卒中と間違えることがあります
- 脳幹部の海面状血腫は,何度も出血を繰り返して重篤な脳幹部症状を出すことがあります
- この場合の脳幹部症状は,ものが2重にみえる,半身まひ,顔面まひ,声がかすれる,ものが飲み込みづらい,ふらついて歩けない、耳鳴り、めまい,顔がしびれるなどさまざまです
診断は
- 診断はMRIだけで十分です
- 2 cmを越えるとても大きな海綿状血管腫が見つかることがありますが,これはさらに大きくなるという傾向を持っていて,腫瘍としての性格を出してきます
- 大きな腫瘍ではガトリニウム造影剤で増強されて白く映ることがあります
- 大きな海綿状血管腫はと静脈奇形(静脈性血管腫)を伴うことがとても多いです
治療は
- 偶然発見されたものには治療の必要はありません
- 脳出血で発症した例であっても再出血率は低いのであわてて手術しないで,経過観察します
- 2度,3度出血しても小さな出血であれば,手術しないで経過観察します
- 出血をかなり頻回に繰り返す,腫瘍の増大速度が速い,増大傾向が長年止まらないで局所症状が悪化するなど,どうしようもない時のみ開頭手術で摘出します
- 薬でコントロールできない難治性てんかんの焦点になっているものは,てんかんを止めるために血管腫と周囲の軟化した脳を摘出することがあります
- 一緒に存在する静脈性血管腫は傷つけると脳梗塞を起こしますから,手術では海綿状血管腫だけを取り除くようにします
- 脳幹部の海綿状血管腫の手術はリスクが高いので手術を受けるかどうかほんとに慎重に考えて下さい
- その場合は脳幹部血管腫の手術の経験が多い脳外科医を捜した方がいいです
- 脳に放射線治療を受けて何年もたってから海綿状血管腫(放射線誘発)が発生することが多いのですが,これも経過観察するのみでいいです
- 放射線治療は有効ではありません
発生原因
- 脳の静脈に奇形があって,静脈還流障害となるために,うっ血性脳出血を繰り返して増大すると推定されています
- そうであれば,理論的には出血を繰り返す静脈を摘出しなければならないのですが,実際には固まりとなった血管腫だけを摘出すれば治ります
- また静脈奇形を一緒に摘出してしまうと,静脈性脳梗塞を生じます
- 静脈奇形による血流障害が血管腫の増大原因であれば,そこに定位放射線治療をすれば,さらに静脈還流障害が増悪するので,定位放射線治療は腫瘍出血のリスクを高めることになります
- 実際に,定位放射線治療は無効もしくは,有害と思われるので行いません
海綿状血管腫のMRI
海綿状血管腫はMRIの撮影条件によっていろいろな見え方をします



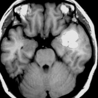
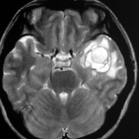
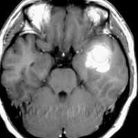
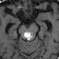
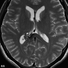
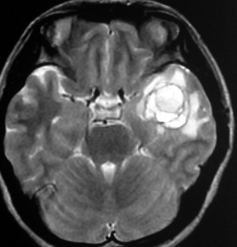
腫瘍から少し出血したために,患者さんはけいれん(てんかん発作)を起こしました。左のT1強調画像では出血を疑います。中央のT2強調画像では海綿状血管腫の周りに脳浮腫があるために白くぼやけた部分があります。右の造影剤を使ったMRIでは造影剤が入るところがほどんど無いことがわかります。側頭葉の海綿状血管腫は側頭葉てんかんという症状で発症することが多いです。
出血が溶けて少し小さくなっています。海綿状血管腫の周りには黒い縁取りがあります。この黒い部分は血液が溶けて残った鉄が脳の中にたまったことを示しています(siderosisといいます)。この鉄のしみ込みはけいれんの原因になると考えられます。この海綿状血管腫は中等度の大きさですが,治療が難しいほどのてんかんが無ければ手術などしないでほっておいてもいいです。手術で側頭葉(特に海馬)を損傷すると記憶の障害などもでます。

脳血管撮影の静脈層です。 血管腫の内側に刷毛で掃いたような異常な静脈が見えます。これは静脈性血管腫といって,大きな海綿状血管腫にはよく合併する異常です。海綿状血管腫をとるときに誤ってこの静脈性血管腫を傷つけてしまうと,静脈梗塞が起きるので注意しなければなりません。このケースの場合はもし損傷すると左側頭葉内側の脳損傷になります。
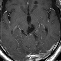
側頭葉てんかんを止めるために,開頭手術をして血管腫を取り除きました.術後のMRIです。一番右のT2starという特殊なMRIでよくわかるように鉄の沈着は残っているので黒く映るものがあります。でもこれは血管腫ではありませんのでこのままにしておきます。この患者さんの場合は,一緒に扁桃体を摘出すること (amygdalectomy) でてんかん発作は治りました。
静脈性血管腫(静脈奇形)の合併を見つける方法
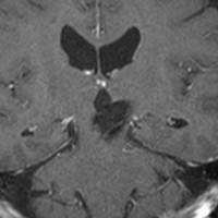
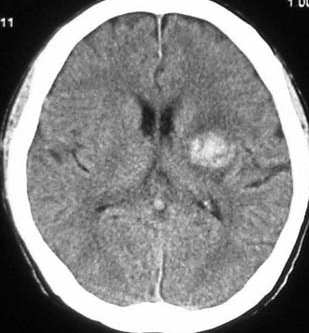
左は脳出血のCTです。海綿状血管腫からの出血を疑ったので造影のMRI(右の写真)をしました。血腫の周りに細い線がたくさん見えます。これが静脈奇形(静脈性血管腫)です。脳血管撮影DSAをしなくてもこの合併はわかるのです。この静脈奇形を手術で傷つけるとかなり広い範囲で脳梗塞がおきる可能性があります。
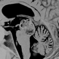
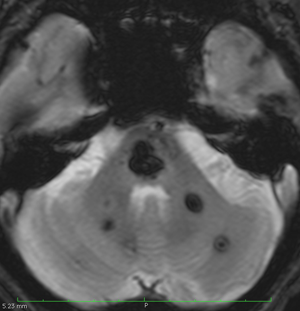
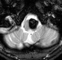
脳幹部の海綿状血管腫 brainstem cavernous hemangioma
2度の延髄内出血を生じた海綿状血管腫です。でも初回の出血からすでに27年間がたちます。症状も回復して麻痺もなくていまは社会生活に困ることはありません。脳幹部の海綿状血管腫の中には1ヶ月に何回もひどい出血を繰り返すのもあるのですが,この例のように30年近い間に軽い出血が2回だけというのもあります。残念ながら正確にこれを予測することはできません。この患者さんの海綿状血管腫は手術で摘出すれば麻痺などの合併症の可能性があるのでしません。
脳幹部の海綿状血管腫を手術した方がいいかどうかはすごく慎重に判断しないといけないのです。場合によってはとても重い後遺症が手術ででてしまうこともあります。もちろん手術ですごく症状がよくなってとても元気に暮らしている患者さんもたくさんいますが,そうでない患者さんもいるのです。手術を決意する前に,少なくとももう一人の脳外科医からセカンドオピニオンを聞きましょう。
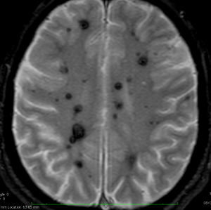
多発性海綿状血管腫 multiple cavernous hemangioma
家族性海綿状血管腫 familial cavernous hemangioma
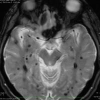
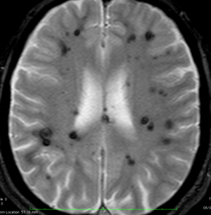
この様な無数の海綿状血管腫を見ることがあります。多くの場合は家族性(遺伝性)の海綿状血管腫です。200個を超える海綿状血管腫があっても普通に何の障害もなく暮らしている患者さんもいます。脊髄の中にも発生しますから,脊髄のMRIもしていただきましょう。
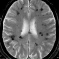
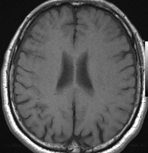
小さな多発性の海綿状血管腫は,T2*(ティーツースター)という左の画像では見えるのですが,右にあるような普通のT1強調画像というのでははっきりみえません。
家族性多発性海綿状血管腫の患者さんは,小さな出血など生じても安易に手術を受けないようにしましょう。どの血管腫が大きくなるのかは全く予想できませんし,とても多数回の手術を受ける結果になるかもしれないからです。
若い女性の患者さんへ
海綿状血管腫は出産の時に出血を生じることが多いです。出産直前に出血した女性もいます。ですから,妊娠したら必ず帝王切開という方法で出産をして下さい。産科の先生に早めにお願いしておくことが大切です。
脳幹部の海綿状血管腫を手術するとき






左上のT2*でみられるように多発性海綿状血管腫の成人男性に発生した中脳海綿状血管腫です。複視と歩行失調で発症して,数回の脳幹部出血を繰り返し,水頭症になったために第3脳室開窓術がなされました。それでも出血は止まらず、両側の動眼神経麻痺による両側眼瞼下垂,歩行失調,嚥下障害などさまざまな中脳症状が進行しました。



しかたがないので手術で摘出しました。なんとか眼瞼が持ち上がるようになり歩行も可能で嚥下もできます。幸いだったのは感覚路(脊髄視床路)の障害による体性疼痛が生じなかったことです。
手術は経テント法 OTA という手法でした(クリックと手技が書いてあります)
片方の下丘の損傷だけでは神経脱落症状が出ないので,中脳内部の腫瘍を摘出するには下丘という狭い場所を切開して入りますが,この患者さんは左上丘も出血のために破壊されていて,間口が広かったといえます。でもこの手術は難しすぎるので決して積極的にはしません。

ここから下は余分な知識
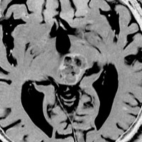
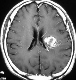
脳室内海綿状血管腫 intraventricular cavernous hemangioma
注意点:特徴は増大傾向が早いことです
左のMRIで右側脳室三角部というところに,12mm程度の脳室内海綿状血管腫があります。15ヶ月後の画像では顕著に増大しています。脳室内海綿状血管腫は症状を出さなくてもどんどん大きくなってしまうものが多いです。ですから経過観察は頻回にしなければなりません。3ヶ月くらいであっと驚くような大きさになることもあります。
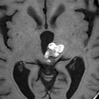
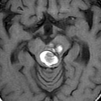
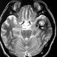
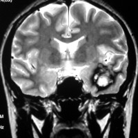
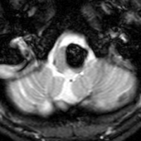
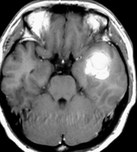
脳槽に増大する海綿状血管腫
このタイプも髄液腔にあるので増大速度が速いです

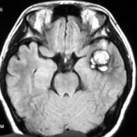
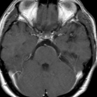
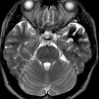
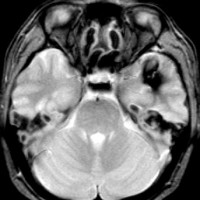
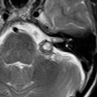
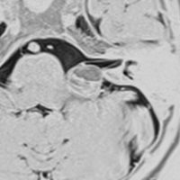
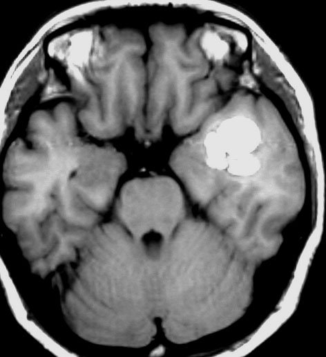
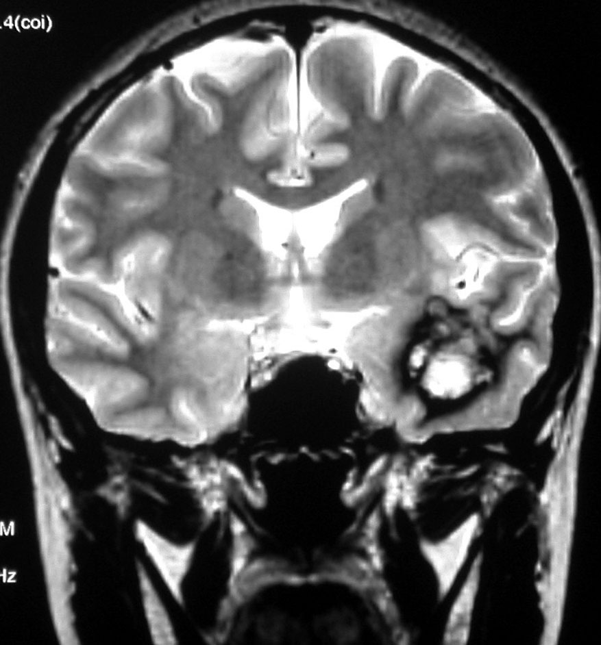
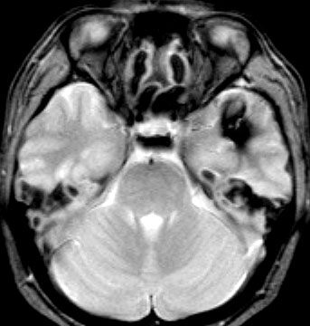
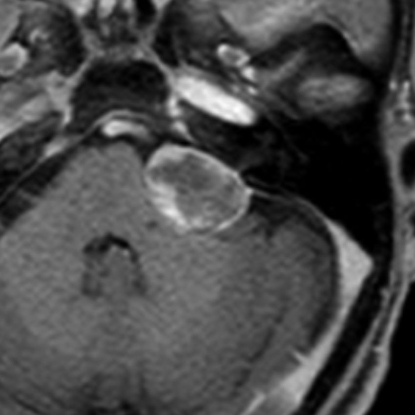
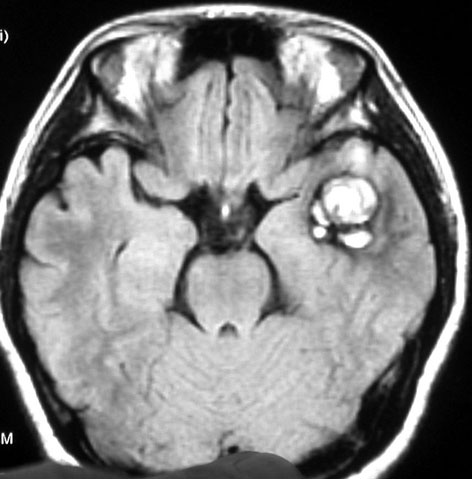
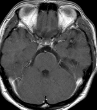
左聴力低下で発症した小脳の海綿状血管腫で,小脳橋角槽に突出するように増大しています。
左上が発症時,次が1ヶ月後,3ヶ月後,4ヶ月後と急速に大きくなったので摘出しました。
静脈奇形を伴っていませんでした。
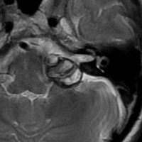
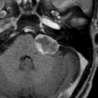
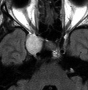
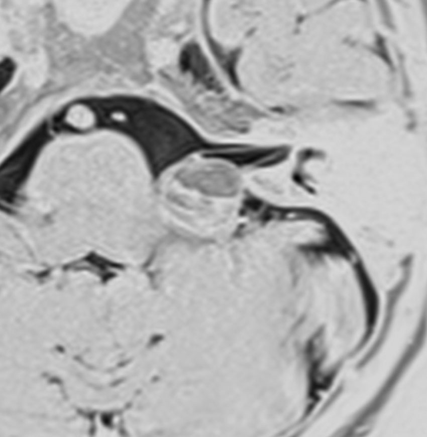
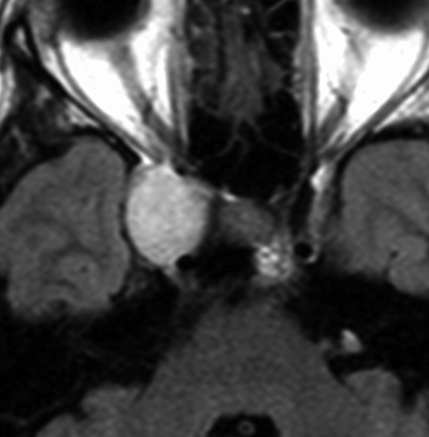
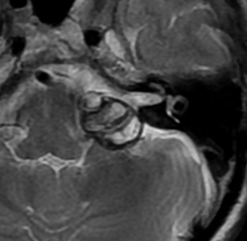
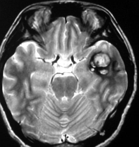
海綿静脈洞内海綿状血管腫
右外転神経麻痺で発症した血管腫です。一見,三叉神経鞘腫のように見えるのですが,ガドリニウム増強のパターンが違います。出血するので面倒ですが全摘出できるものです。






















