脈絡叢乳頭腫
脈絡叢腫瘍 choroid plexus tumors
脈絡叢乳頭腫 choroid plexus papilloma グレード1
脈絡叢癌 choroid plexus carcinoma グレード3
- 原発性脳腫瘍の0.3%,小児脳腫瘍の2%ほどのめずらしい腫瘍です
- 脳室の中には髄液を産生している脈絡叢という組織があります
- その脈絡叢から発生する腫瘍を脈絡叢腫瘍といいます
- 多くは,ゆっくり大きくなる良性の脈絡叢乳頭腫です
- 偶然発見されたものでは,治療しないでほっておいていいものもあります
- 手術で全部摘出すれば治ります
- まれに悪性の脈絡叢癌がみられます
- 小児に多い腫瘍です
- 多くは2歳未満に発生します
- 無症候のものも含めれば1歳未満の赤ちゃんでは最も多い脳腫瘍が脈絡叢腫瘍です
- 非常にまれに小児では左右に一つずつ両側性に発生することがあります
- 通常は脳室系を閉塞して閉塞性水頭症を生じます
- 小児では水頭症によって頭蓋内圧亢進症状の嘔吐やぐったり,あるいは眼球が下転するなどの症状が出ます
- 成人では頭痛が症状です
- 脳脊髄液を大量に分泌して水頭症を起こすタイプの脈絡叢腫瘍があります
- 脈絡叢癌は髄液播種といって脊髄などに転移することが多いです
- 脈絡叢癌は周囲の脳に浸潤します
- 基本的な治療は手術で全部とることですが,脳を傷つけないで取ることは難しいです
- 血管の塊のような腫瘍ですから,摘出中に大量に出血します
- 乳児ではこの出血のコントロールをきちんとしないと,命の危険もあります
- 脳腫瘍の手術に手慣れた外科医を探しましょう
- 乳幼児の脈絡叢癌では化学療法(制がん剤治療)が必要です
- 2015年の時点でも,脈絡叢癌に対する標準的な化学療法というのは決まっていません
- 大きな脈絡叢癌では化学療法で腫瘍を小さくしてから手術で全摘出する方法が勧められます
- 2007年のWHO分類では脈絡叢乳頭腫と脈絡叢癌の間に,非定型脈絡叢乳頭腫グレード2が加えられました
- 脈絡叢は癌転移の好発部位ですから,成人では転移性腺癌を除外診断する必要があります
2016年WHO分類 choroid plexus tumors
- choroid plexus papilloma (WHO grade I)
- atypical choroid plexus papilloma (WHO grade II)
- choroid plexus carcinoma (WHO grade III)

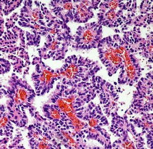
グレード1の脈絡叢乳頭腫です。細血管周囲の乳頭状の上皮細胞配列が特徴的です。
grade III carcinomaでは,mitosis, increased cellularity, nuclear pleoomorphism, solid growth, necrosisが見られますが,grade II atypical plexus papillomaでは,2 or more mitoses per 10 HPFsがpapillomaに見られた場合と極めて単純に定義されました。 グレード2では,良性の組織像に対して分裂像が多いのが定義であり,再発率が高いとの臨床的な意義を有します。
診断
- 診断はMRIで行います
- 脈絡叢から発生して,側脳室という部位最も多いです,次いで第4脳室,ルシュカ孔から小脳橋角部,第3脳室の順です
- 分葉状の腫瘍 milt-lobulated あるいはクリンとした丸い境界明瞭な腫瘍で,ガドリニウム造影剤で強く増強されます(白くなる)
- 腫瘍内部に出血を伴うことがあります
- 腫瘍内部に壊死がある,腫瘍の周囲の脳に浸潤像がある,脳浮腫があるなどの所見が加わると悪性度が高まります
- 脳室壁との境目がはっきりしないというのが悪性度があるかどうかの指標となります
- グレード2と3では,髄液腔に転移する播種(転移)がまれにみられます

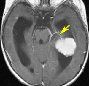
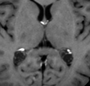
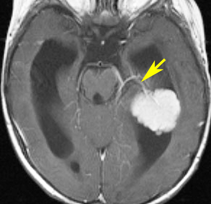
側脳室側頭角の脈絡叢乳頭腫です。黄色い矢印は腫瘍動脈で,前脈絡叢動脈といいます。ここを遮断すると出血が止められます。

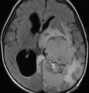
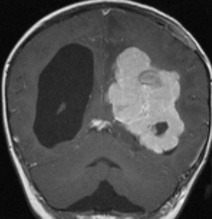
側脳室三角部に発生した大きな脈絡叢乳頭腫です。周囲に脳浮腫が高度なのですが,これでもグレード1です。大きくなると腫瘍血流が増えて,静脈鬱滞が生じて良性の乳頭腫でも腫瘍周辺脳浮腫を呈します。脳との境界が明瞭なところが脈絡叢癌との違いでもあります。
間違ってはいけない過誤腫としての脈絡叢乳頭腫と脈絡叢のう胞
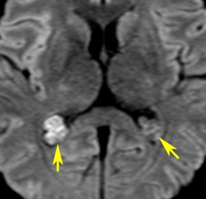
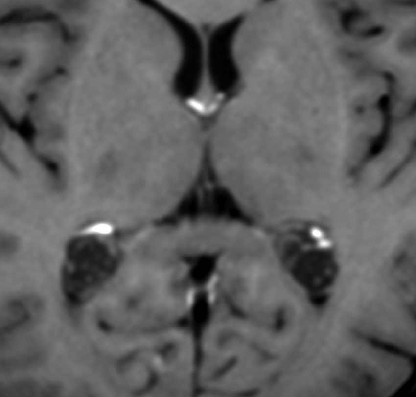
脳ドックなどでたくさん発見されるものです。両側に見られることが多いです。この患者さんは右側脳室の脈絡叢乳頭腫と診断されて来院されました。でも両側脳室三角部の脈絡叢のう胞です。右はガドリニウム増強ですが造影されません。これは経過観察の必要もなく放置してよいものです。
治療
- 開頭手術で全摘出します
- 全部取れないものには,化学療法をします
- 化学療法でも制御できない小児例では定位放射線治療をします
- 成人例では全摘出できなかった脈絡叢乳頭腫は経過観察します
- 脈絡叢乳頭腫で手術後の残存腫瘍が増大した場合には定位放射線治療をします
- 脈絡叢癌では化学療法が必要です
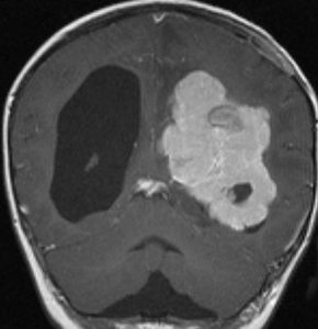
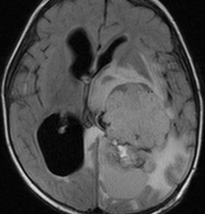
1歳児の巨大な脈絡叢乳頭腫です。このくらいのサイズになると手術で出血死することもあります。右側の画像は手術後のMRIで幸い全摘出できています。乳幼児のこのように巨大なものでは無理して全摘出にいどまないで,シャントをして水頭症を改善して,化学療法で腫瘍を小さくしてから,開頭手術するという方法もあるでしょう。執刀医の経験値で判断は異なります。
予後
Siegfried A: A French retrospective study on clinical outcome in 102 choroid plexus tumors in children. J Neurooncol. 2017
フランスからの102例の多施設報告です。5年生存割合は,脈絡叢乳頭腫で100%,非定型脈絡叢乳頭腫で96%,脈絡叢癌で65%でした。グレードにかかわらず,手術全摘出された例で生存割合は良好です。脈絡叢癌では補助療法のいかんによって生存率がかなり変わるとのことです。
Li-Fraumeni症候群の合併
Gozali AE, et al.: Choroid plexus tumors; management, outcome, and association with the Li-Fraumeni syndrome: the Children’s Hospital Los Angeles (CHLA) experience, 1991-2010. Pediatr Blood Cancer 58:905-909, 2012
42例の脈絡叢腫瘍のうち6例で,Li-Fraumeni症候群のphenotypeあるいは遺伝子異常がみられたとのことです。11例の脈絡叢癌のうち4例でTP53のgermline mutationがありました。Li-Fraumeni症候群は癌を多発する疾患なので,脈絡叢腫瘍の子どもでは他の癌の発生にも警戒するべきであろうとしています。
文献情報
診断時に見られた播種が自然に消退することがある
Scala M, et al.: Atypical choroid plexus papilloma: spontaneous resolution of diffuse leptomeningeal contrast enhancement after primary tumor removal in 2 pediatric cases. J Neurosurg Pediatr. 2017
初診時に髄膜播種していたatypical choroid plexus papillomaが,原発巣を摘出したら自然に消退したという2例を報告しています。
脈絡叢乳頭腫では死亡例はほとんどなく,脈絡叢癌の生存期間は3年ほど
Bahar M: Choroid plexus tumors in adult and pediatric populations: the Cleveland Clinic and University Hospitals experience. Neurooncol. 2017
22例の小児例,8例の成人例の報告です。23例がグレード1,7例がグレード3で,atypial papillomaはありませんでした。22例で全摘出されています。中央値7年の経過観察で脈絡叢癌でも死亡例はなく,全生存割合は100%でした。1000例を超える文献を検索ですると,グレード3の452例では,生存期間中央値は2.7年だったそうです。グレード1でもグレード3でも,手術で全摘出することが最も重要で,脈絡叢癌でも適切な治療によっては長期生存が望めるとの結論です。
脈絡叢癌の補助療法
Sun MZ, et al.: Effects of adjuvant chemotherapy and radiation on overall survival in children with choroid plexus carcinoma. J Neurooncol 120:353-360, 2014
135人の脈絡叢癌の文献例が解析されています。全生存期間は,化学療法あるいは化学療法と放射線治療が加えられた群で延長していました。しかし,放射線治療単独では生存期間の延長がなかったという結果です。年齢,腫瘍の位置,手術での摘出率も生存期間に影響がありませんでした。「解説」脈絡叢癌では手術後の化学療法が必須ということかもしれません。
脈絡叢癌で全摘出を目指すべきか
Sun MZ, et al.: Gross total resection improves overall survival in children with choroid plexus carcinoma. J Neurooncol, 2014
文献に報告された102例の脈絡叢癌では全摘出できたものの方が生存期間が長かったそうです。しかし,手術のリスクが高いので安全にできる時のみに全摘出が望ましいとされています。当たり前のことですが。
大量化学療法で長期生存する脈絡叢癌がある
Mosleh O, et al.: Successful treatment of a recurrent choroid plexus carcinoma with surgery followed by high-dose chemotherapy and stem cell rescue. Pediatr Hematol Oncol 30: 386-391, 2013
トロントこども病院からの1例報告です。脈絡叢癌の1歳児が,手術と大量化学療法(自己幹細胞救援)で治療され再発なく5年生存しました。使用された薬剤は,busulfanと thiotepaです。
国際共同研究
脈絡叢腫瘍はとても珍しい腫瘍で,臨床研究にも症例が集まりません。ドイツを中心とした国際共同研究があります。2009年に非定型脈絡叢乳頭腫グレード2についての中間報告がありました。
Wrede B, et al.: Atypical choroid plexus papilloma: clinical experience in the CPT-SIOP-2000 study. J Neurooncol 95:383–392, 2009
治療方針としては,最大限の手術摘出の後で化学療法が加えられます。条件は,非定型脈絡叢乳頭腫で残存腫瘍があるものあるいは転移があるものです。脈絡叢乳頭腫には補助療法はされず経過観察です。
化学療法は,エトポシド,ビンクリスチン,カルボプラチン(あるいはシクロフォスファミド)です。3歳以上の患児には2コースの化学療法が終了した時点でリスクに応じた放射線治療を行ないます。
病理組織が確認された106人の患児が登録されたました。脈絡叢乳頭腫が42例,非定型脈絡叢乳頭腫が30例,脈絡叢癌が34例で,グレード2の頻度が一番高くなっています。
非定型脈絡叢乳頭腫グレード2の年齢中央値が0.7歳と予想に反してかなり低いものでした。脈絡叢乳頭腫と脈絡叢癌では2.3歳ですから,どっちつかずのグレード2が乳児には最も多いことになります。
転移(髄液播種)があったのは,脈絡叢癌で21%,非定型脈絡叢乳頭腫で17% ,脈絡叢乳頭腫で5%です。手術での完全摘出はそれぞれで,47%,63%,79%です。
無増悪5年生存割合は,28%,84% ,91%でした。非定型脈絡叢乳頭腫で2コースの化学療法を受けた子どもでは,腫瘍が著明に縮小した(CR+PR)のは9人中の7人であったそうです。
「解説」この発表は新たに分類されたグレード2の非定型脈絡叢乳頭腫の臨床像を報告したものです。非定型脈絡叢乳頭腫30人の内で死亡したのは,播種転移があった1人のみでしたから,乳児の脈絡叢腫瘍で病理学的に細胞に異型性がある悪性像があっても,生命予後が良いことを示しています。この点は,同じ脳室内腫瘍であるatypical central neurocytomaと似ています。
また一方で,脈絡叢癌への化学療法の限界も示しています。グレード3の脈絡叢癌では,この治療を行っても無増悪5年生存が30%程度とかなり死亡率が高いことが確認されています。グレード3と診断された場合には可能な限りの治療をしなければほとんど助からないとも理解できます。
CCNUがよく効いた
Valencak J, et al.: Evidence of therapeutic efficacy of CCNU in recurrent choroid plexus papilloma. J Neurooncol 49: 263-268, 2000
Valencakによる33歳の女性に生じた第4脳室脈絡叢乳頭腫の症例報告です。亜全摘出後2年程で再発し病理学的に悪性化像を呈していました。全脳脊髄照射が行なわれたが髄液播種を繰り返し,さらに定位照射などを使い照射が行なわれたが制御しきれず,化学療法がこの時点で考慮されました。CCNU 100mg/m2の経口投与を12コース投与したところ,新たな転移は発生せずに3年半にわたって腫瘍は制御されたということです。
成人の脈絡叢腫瘍はどうする?
Safaee M, et al.: The relative patient benefit of gross total resection in adult choroid plexus papillomas. J Clin Neurosci. 2013 Apr [Epub]
過去に論文上で報告された193例の成人脈絡叢乳頭腫が解析されました。年齢中央値は意外に高くて40歳です。手術による摘出率は,全摘出 GTRが72%,部分摘出 STRが28%です。全摘出した方が再発率も低くて生存期間も長かったそうです。著者は,調べてみると成人の脈絡叢乳頭腫の再発率も死亡率も高かったと結論づけています。ですから積極的にがんばって全摘出するべきであるという意見です。
「解説」 この著者はあまり賢くないかも,症例報告をサーベイしているので,その母集団には相当のバイアスが入っています。高齢者の脈絡叢乳頭腫で経過が悪くて死亡した例などは,逆に珍しいから症例報告されたりします。やはり,成人の脈絡叢腫瘍は,従来から考えられていたように,indolent tumorです。indolentというのは,ダラダラしたとか動くようで動かないというような意味です。
ここから下は専門的な記述です
疾患概念
脳室の脈絡叢上皮から発生する腫瘍である。小児に多く発生し,特に1歳未満では最も頻度が高い腫瘍である。WHOでは脈絡叢腫瘍を,脈絡叢乳頭腫 (grade I) ,非定型的脈絡叢乳頭腫 (grade II),脈絡叢癌 (grade III) に分類している。脈絡叢乳頭腫は緩徐に増大する良性腫瘍であり,髄液流を閉塞して頭蓋内圧亢進症状を呈するが,外科的な全摘出術で治癒する。一方,脈絡叢癌は周囲の脳に浸潤したり髄液播種するという悪性性格を有する。しかし,化学療法や放射線治療も有効であり長期生存が期待できる治療法がある。
疫学と病理
全年齢層においては頭蓋内原発腫瘍の0.5%程度の稀な腫瘍である。しかし,乳児においては10-20%と頻度は高いので,乳児の脳室内腫瘍をみれば脈絡叢腫瘍を第1に考える。多くの場合は良性腫瘍であるが,小児例では1/4 – 1/3が悪性型の脈絡叢癌である。発生部位は,全年齢を通じて側脳室に最も多く,第4脳室(小脳橋角槽)と第3脳室がこれに次ぐ。両側脳室に同時発生することが数%にみられる。また,成人に限れば第4脳室に最も頻度が高い。髄液播種は脈絡叢癌に特徴的ではあるが,脳実質内浸潤は脈絡叢乳頭腫においてもみられる。
症状と症候
閉塞性水頭症を併発することが最も多い。従って,頭蓋内圧亢進症状としての頭痛,嘔吐をきたすが,乳幼児ではぐったりするなどの意識障害や眼位の異常(外転神経麻痺,パリノー徴候,水頭症に随伴する眼位異常)がみられる。乳幼児では頭囲拡大も頻度の高い徴候といえる。まれではあるが脳室内出血発症する例もある。
診断
MRIにて脳室内に境界明瞭な造影剤にて強く増強される腫瘍を認めればまず疑う。側脳室と第3脳室では鑑別診断に迷うことは少ないが,第4脳室あるいは第4脳室から小脳橋角部へ伸展するものでは,髄芽腫や上衣腫との鑑別が難しい。画像所見では血管に富む腫瘍であり,出血性の腫瘍であることが示唆される。
治療
脈絡叢乳頭腫と脈絡叢癌双方ともに,手術による全摘出が予後に最も大きく関与するので,積極的な手術摘出が最も効果的な治療である。脈絡叢乳頭腫においては,亜全摘出であっても再増大しないことがあり,術後の経過観察もよい。脈絡叢乳頭腫がたとえ周囲脳に浸潤している所見を呈していても,予後は不良とはいえない(Levy ML)。
脈絡叢癌においては,放射線治療も化学療法も有効なことがあり,積極的に補助療法として考慮されるべきである。著者は髄芽腫と同様にICE化学療法を使用しているし,シスプラチンあるいはカルボプラチンを基剤とする併用化学療法の報告が多い。しかし,標準的化学療法というべきものはない。
乳児では巨大な脈絡叢乳頭腫あるいは脈絡叢癌が見られることがある。脈絡叢癌のみならず脈絡叢乳頭腫においても,neoadjuvant chemotherapy(手術前化学療法)は有効である可能性があるので ,ハイリスクな手術が予想される場合には第一選択肢として考慮されるべきである。 Di Roccoらは,シスプラチン単独投与で術前化学療法が有効であった乳児例を報告している(Di Rocco)。
乳児にみられる髄液産生をする脈絡叢乳頭腫は激しい水頭症と頭囲拡大を呈するので,できる限り早く全摘出するべきであろう。
両側性の症例にあっては手術侵襲による神経脱落症状を考慮しながら慎重にtranscortical approachの部位を決定しなければならない。
予後
脈絡叢乳頭腫での10年生存率は80%程度であり,20%弱が死亡すると報告された(Wolff JE)。しかし,これは比較的古い症例をあわせたものであり現在では10%程度の死亡率と見てよい。Mayo Clinicの成績では5年生存率97%であったという。一方で脈絡叢癌は10年生存率35%とWolffは報告するが,これも同様の理由でより高い数字となろう。
文献
- Di Rocco F, et al.: Lateral ventricle choroid plexus papilloma extending into the third ventricle. Pediatr Neurosurg 40: 314-316, 2004
- Gozali AE, et al.: Choroid plexus tumors; management, outcome, and association with the Li-Fraumeni syndrome: the Children’s Hospital Los Angeles (CHLA) experience, 1991-2010. Pediatr Blood Cancer 58:905-909, 2012
- Krishnan S, et al: Choroid plexus papillomas: a single institutional experience. J Neurooncol 68: 49-55, 2004
- Levy ML, et al: Choroid plexus tumors in children: significance of stromal invasion. Neurosurg 48: 303-309, 2001
- Mosleh O, et al.: Successful treatment of a recurrent choroid plexus carcinoma with surgery followed by high-dose chemotherapy and stem cell rescue. Pediatr Hematol Oncol 30: 386-391, 2013
- Sun MZ, et al.: Effects of adjuvant chemotherapy and radiation on overall survival in children with choroid plexus carcinoma. J Neurooncol 120:353-360, 2014
- Sun MZ, et al.: Gross total resection improves overall survival in children with choroid plexus carcinoma. J Neurooncol 116: 179-185, 2014
- Wrede B, et al.: Atypical choroid plexus papilloma: clinical experience in the CPT-SIOP-2000 study. J Neurooncol 95:383–392, 2009
- Wolf JW, et al.: Choroid plexus tumours. Br J Cancer 87: 1086-1091, 2002




