脳室の解剖図
脳室系の立体図です
- 脳室の中には髄液という液体が入っています。
- 髄液は脈絡叢というところで作られます
- 脳室の髄液の流れは,側脳室—-モンロー孔—-第3脳室—-中脳水道—-第4脳室—-ルシュカ孔・マジャンディー孔—-脳槽—-硬膜静脈洞です
- 主に側脳室で作られた髄液は最終的には上矢状静脈洞のあたりで吸収されます
- この経路のどこかで流れが詰まってしまうと水頭症になります
- 水頭症は水(髄液)が頭にたまるという意味です
- 脳腫瘍で多いのは,第3脳室,中脳水道,第4脳室に腫瘍ができてたまってしまう閉塞性水頭症です
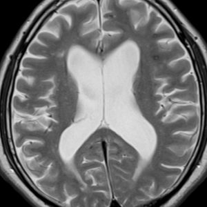
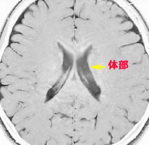
側脳室
第3脳室と第4脳室

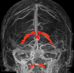
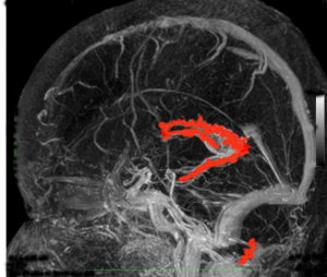
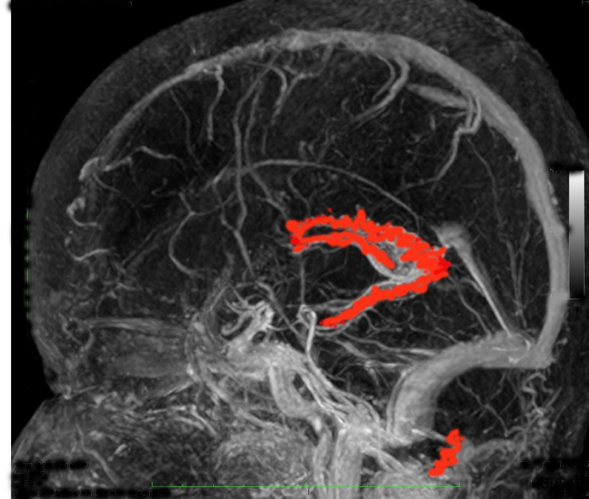
脳室内脈絡叢です(脳の静脈と一緒に描出しています)
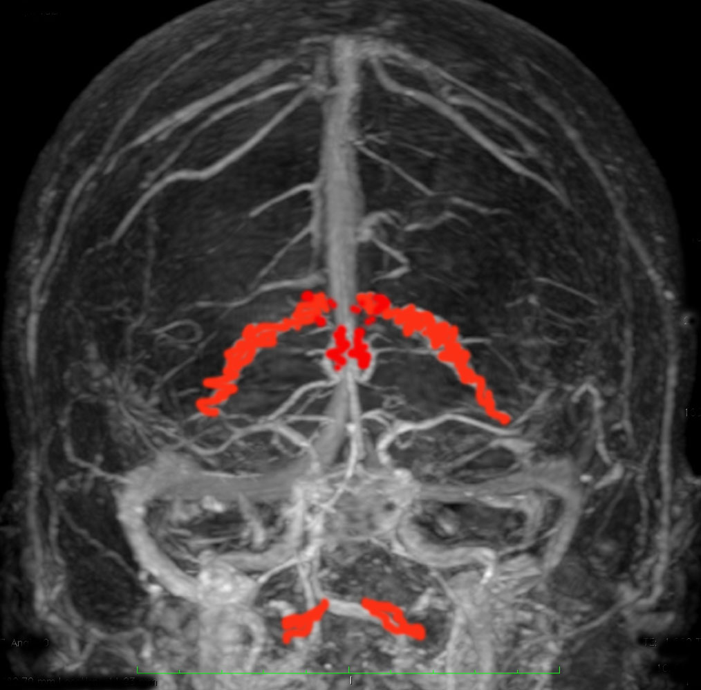
正面から脈絡叢を見たところと左横から見たところ
- 髄液は脈絡叢(赤く塗ったところ)で作られます。
- 脈絡叢は側脳室と第3脳室と第4脳室にあります。下の方に離れているのが第4脳室のものです。
- 髄液 CSF cerebrospinal fluid は,くも膜顆粒 arachnoid granule から吸収されて,太い静脈に入り,心臓まで帰って行きます
脈絡叢のビデオ2分(ここをクリック)
形や色や脳室壁への付着,動静脈の流入出など詳しくわかります)
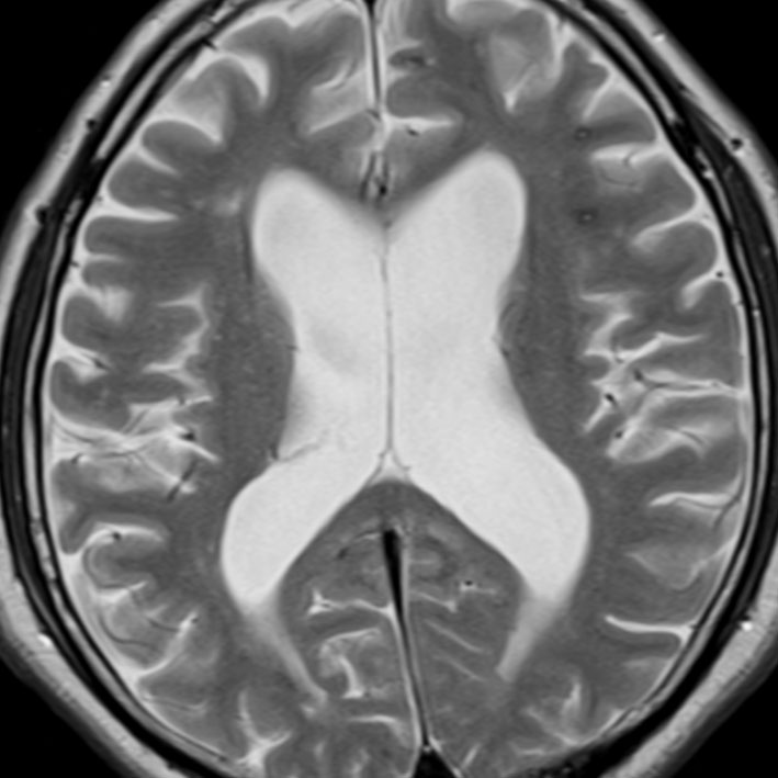
水頭症

水頭症です,側脳室体部がぷーっと膨らんで,中に髄液が大量にたまっています。
これは64歳男性の中脳水道閉塞症による閉塞性水頭症で,これでも無症状でした。







