血管芽腫 hemangioblastoma,フォン・ヒッペル・リンドウ病 VHL
どんな病気?
- 脳腫瘍のうちの発生頻度は1.7%で珍しい腫瘍です
- 発生部位は小脳が主で,たまに延髄や脊髄にもできます
- 発症年齢は10~50歳代ですが,成人に多い腫瘍です
- たいていは1つだけ小脳にできます
- グレード1の良性腫瘍です
- 小脳や脊髄,脳幹部の血管芽腫に,網膜の血管芽腫,腎嚢腫や腎細胞癌,膵嚢腫,副睾丸嚢腫などのいくつかが合併すればフォン・ヒッペル・リンドウ病と呼ばれる遺伝性疾患ですが,とてもめずらしいものです
- フォン・ヒッペル・リンドウ病は専門家の間ではVHLと呼ばれます
- von Hippel-Lindau 病のみならず,孤発性の血管芽腫の一部も,第3染色体上の von Hippel-Lindau 腫瘍抑制遺伝子の変異によって生じるとされています
- 小脳半球に発生した血管芽腫は嚢胞(水たまりみたいな袋)を形成しやすく,その際,実質性の腫瘍部分が壁在結節(小さいかたまり)を作ります
- 病理組織学的には,毛細血管とfoamy stromal cellからなる良性の腫瘍です
- 2025年にベルズティファンという薬剤が認可されました
- ベルズティファンは,VHL関連血管芽腫を小さくする効果をもっています
- 8割くらいのVHL血管芽腫に効果があると期待されます
症状と診断は?
- 小脳症状(ふらついて歩きにくい,はきけ,めまい)や眼振(眼が細かく動く)で病気が明らかになることが多いでしょう
- 小脳から出て大きくなると第4脳室を詰めてしまうので脳の中に水(髄液)がたまります
- 第4脳室とは髄液の出口で、これを閉塞性水頭症といいます
- 頭痛,嘔吐,うっ血乳頭(眼の網膜が腫れる)などの頭蓋内圧亢進症状というのが水頭症の症状です
- 血液検査で赤血球増多症を合併することがありますが,これは腫瘍がエリスロポエチンという血液を増やす因子を作るためです
- MRIでは,のう胞(袋に水がたまったようなもの)を高頻度に認めます
- 腫瘍の本体は造影剤で増強効果をうけて白く丸く映ります
- 腫瘍はたいてい丸くてはっきりした形にみえます
- 診断でまちがえやすいのは,小脳星細胞腫やのう胞性転移性腫瘍です
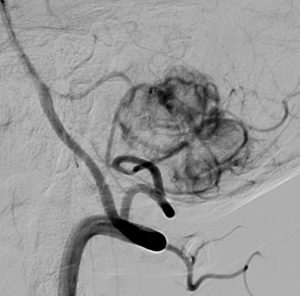
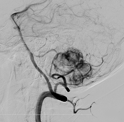
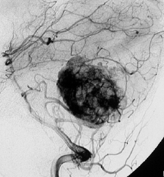
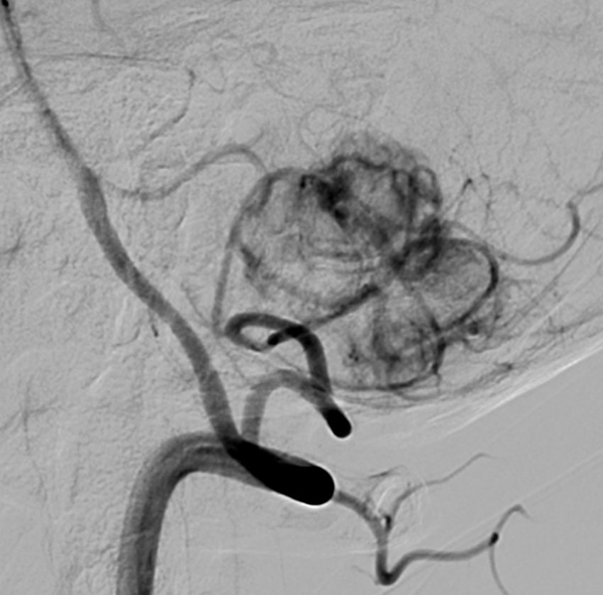
- 椎骨動脈撮影では,著明な腫瘍濃染像(血管がいっぱい)がみられて確定診断が可能です
- 血管の固まりみたいな腫瘍ですから出血しやすいです
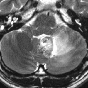
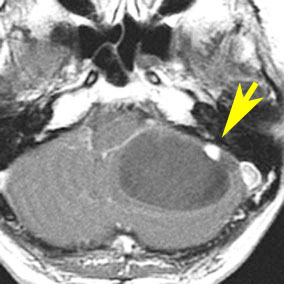
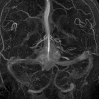
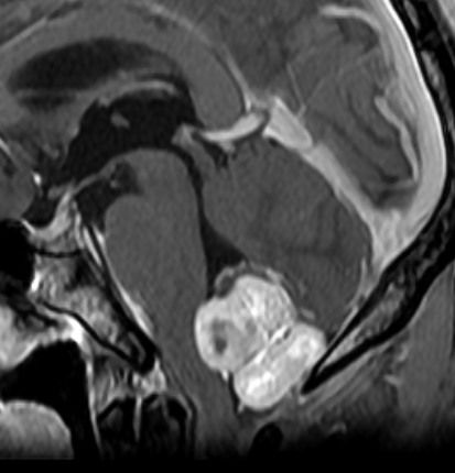
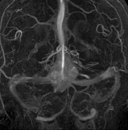
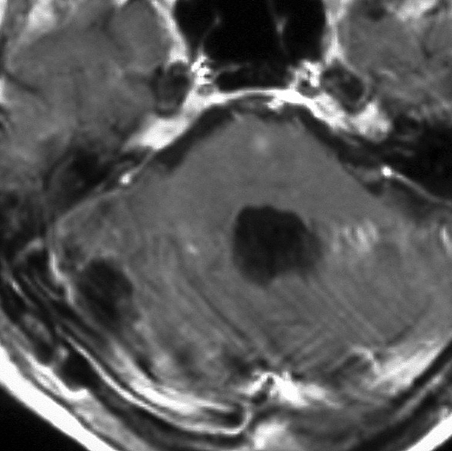
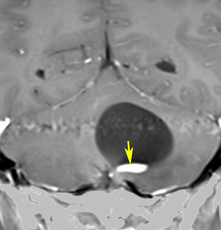
左小脳にできた小さな のう胞性血管芽腫です。矢印の先にある小さな塊だけが腫瘍で周囲は腫瘍から染み出した液体が溜まっています(のう胞といいます)。右側は血管撮影とMRIを組み合わせた画像で,腫瘍に動脈が流入しているのが見えます。
治療は?
- 手術で完全にとってしまえば完治する良性の腫瘍で,転移はしません
- 小さいものの手術は簡単(^O^)
- 大きなのう胞があっても手術で壁在結節(嚢胞の中の固まり)さえとってしまえば治ります
- 手術でとれると水頭症も治りますし、小脳症状も改善して快適になることがほとんどです
- 3 cmを越えるような大きな血管芽腫はまた別の病気と考えた方がいいほど危険なものになります
- 大きなものでは手術で大量の出血がありますし,脳の正常な血管とはがせなくて脳梗塞を合併してしまうこともあります
- とくに脳幹部にくっついた大きな血管芽腫の手術はリスクが高いのでどこで手術を受けるかをほんとに慎重に考えて下さい
- 延髄や脊髄に潜り込んでいても取れないというわけではなくて,小さいものなら手術はうまく行きます
- これらを手術する場合は脳幹部血管腫のたくさんの手術経験がある脳外科医を捜した方がいいです
- 放射線外科(ガンマナイフやリニアック)で治療することもできます
- 辺縁線量で15-20グレイくらいをかけます
- 放射線外科で治療をしても残念ながら腫瘍が消えることはありません
- 腫瘍が縮んだり大きくならない確率が70-85%くらいと思われます
- 2割前後で放射線による浮腫が起こりますが,これが延髄や脊髄に起こると意外に長引いて重い後遺症を生じることがあります
- 放射線外科治療は手術のリスクが高いと思われる時に考えますが,そのような腫瘍では放射線治療の副作用のリスクも同じように高いので慎重に考えなければなりません
- 分割照射は副作用が少ないと考えられますが,はっきりした治療効果は判っていません
- まず手術摘出を優先的に考えた方がいいでしょう
血管芽腫の手術の難しさには症例によって天と地の開きがあります
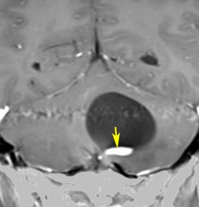
簡単な手術となる例
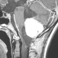
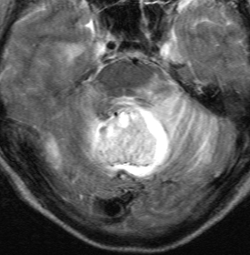
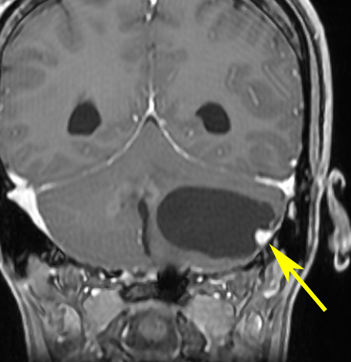
左右の写真は異なった患者さんのものです。両者ともに,大きな嚢胞(水たまり)を伴う小脳内部の小さな血管芽腫です。右の方に小さく白い塊(黄色の矢印)が見えるのですが,それだけが腫瘍で,濃い灰色に見える部分はのう胞といって液体がたまっているだけです。
これはとても(といっては何ですが比較的に)簡単な手術例です。小脳失調によるふらつきや水頭症よる頭痛と嘔吐などを出しますが,手術後に症状は改善します。
一般に小脳半球という場所にできたものは大きくても手術の成功率はとても高いです。小さいものでは場所と症状によってはガンマナイフなどの放射線治療も有効なことがあります。しかし,手術で摘出できるものは摘出した方が確実に治ります。
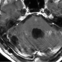
ものすごく難しい血管芽腫
これも血管芽腫です。おそらく小脳発生なのでしょうが,延髄の両側に強く癒着していて延髄の血管も腫瘍の中に入っていて,腫瘍血管には動脈瘤も合併していて破裂しました。この腫瘍を摘出するのは不可能にも思えましたが,無事にできました(下の写真)。患者さんも私もへとへとになりました。 でも,このような血管芽腫の手術はうまく行くとは限りません,手術不可能と考えた方がいいかもしれないと今でも思っています。手術すると決めればものすごく高いリスクを患者さんも外科医も背負うことになります。放射線治療をして治るサイズではないので他に治療法はありませんが (>_<) 大きな血管芽腫を手術する提案をされたら,少なくとも執刀医の経験数は尋ねましょう。
フォン・ヒッペル・リンドウ病 VHL von Hippel Lindau disease
- 遺伝性の病気です
- 脳と脊髄の血管芽腫が多発したときにVHLといいます
- 腎臓ガン clear cell renal cell carcinoma,褐色細胞腫,膵臓の神経内分泌腫瘍,精巣上体嚢胞腺腫,側頭骨内の内リンパ嚢腫瘍 endolymphatic sac tumorなどが合併します
- 網膜の血管芽腫,腎嚢腫,腎細胞癌なども含めて現在ではいろいろ安全な治療手段があります
- 治療の後遺症少なく暮らすには小脳と延髄脊髄の血管芽腫の治療がもっとも大切です
- VHLでは複数の血管芽腫が小脳や脊髄にできますので,手術を何回か受けなければならないこともあります
- どの腫瘍を摘出してどの腫瘍をそのままにしておくかの判断は難しいです
- 症状もなくて偶然発見された小さい血管芽腫は様子を見るだけでいいです
- 巨大なものはとんでもなく難しいので,フォン・ヒッペル・リンドウ病の可能性のある子供たちは症状がなくても早めにMRI検査を受けるようにお勧めします
- 検査をためらって腫瘍を巨大にしてはなりません
フォン・ヒッペル・リンドウ病の患者さんの脊髄(胸髄)にできた血管芽腫です。上下の脊髄が腫れたり,脊髄の中に空洞(腫瘍のう胞あるいは脊髄空洞症といいます)ができます。 手術治療は症状が出るまで,あるいは症状がかなり強くなってからしかしません。なぜなら,たくさんできる(多発)することが多くて,複数回の手術になってしまうこともあるからです。手術をするたびに,四肢のしびれや麻痺などの後遺症がのこる可能性もあるので,この手術は,脊髄腫瘍の手術経験が相当にたくさんある脳外科医にしかできません。
フォン・ヒッペル・リンドウ病 VHL の血管芽腫が大きくなるかどうか
Ammerman JM, et al.: Long-term natural history of hemangioblastomas in patients with von Hippel–Lindau disease: implications for treatment. J Neurosurg 105: 248-255, 2006 10年以上経過を見た19人のVHLの患者さんで143個の血管芽腫が追跡されました。138個で腫瘍増大しましたが症候性となったものは58個でした。特に注意しなければならないことは,血管芽腫がstuttering pattenという増大傾向をとることです。step-wise growthともいわれます。要するに,大きくなってもまた増大傾向が停止するという珍しい傾向があるということです。 平均増大期 growht period が13ヶ月で,平均静止期 quiescent period が25ヶ月と書かれています。15か月増大してその後に25ヶ月大きくならないで静止するという意味です。のう胞性血管芽腫の増大速度と症候性となる確率は高いと書かれています。また脊髄血管芽腫では22mm3以上のもので症候性となる確率が高いとの結果です。
フォン・ヒッペル・リンドウ病と血管芽腫の発生
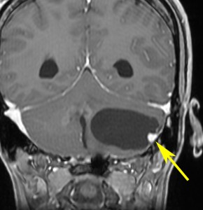
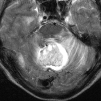
フォンヒッペルリンドウ病に合併した大きな右小脳半球血管芽腫です。大きなものでは静脈環流障害(鬱滞)のために脳浮腫を来すことが多いし,その分,手術時の静脈圧が高くて止血が難しいと考えなければなりません。水頭症を呈して症状は重篤でしたが,右後頭窩開頭で比較的簡単に全摘出できて回復しました。小脳半球に生じるものは手術で大きな障害を残すことはほとんどなく術後の症状症状の回復も順調なことが多いです。
同じ患者さんです。上記の手術の5年後に新たな血管芽腫が激しく増大しました。これは小脳虫部なので両側の上小脳動脈がfeeding arteryとなります。bilateral occipital transtentorial approachという特殊な手術方法でしか摘出できません。幸いこの腫瘍も無事に全摘出できました。
VHLの患者さんはこうなる前にもう少し頻回に脳のMRIをして慎重に経過観察をしなければなりません。少なくとも2年に一度のMRIは必要です。逆に,stuttering patternがあり,増大傾向を示しても増大停止することがあるので,手術するかどうかの判断は頻回にMRIをして慎重にしなければなりません。VHLの患者さんはとても多数回の手術を受けるのでどうしてもしなければならない時だけ手術摘出をします。
VHLの原因
- VHL腫瘍抑制遺伝子 VHL tumor suppressor gene の変異が生じます
- すると組織内のHIF (hypoxia inducible factor)が増加します
- 低酸素状態での血液供給を促す作用のあるHIF-2α transcription factor は血管増殖因子の産生を誘導するので
- VEGF (vascular endothelial growth factor),PDGF(platelet-derived growth factor), TGF-α (transforming growth factor), EP (erythropoetin) の過剰発現を来します
- これらの因子が血管内皮の腫瘍性異常増殖を招くと考えられています
- この過程を抑えて治療をするために,HIF-2α阻害剤が開発されてきています
腫瘍随伴症候群:エリスロポエチン産生による多血症
小脳,脳幹部,脊髄血管芽腫は,造血因子であるエリスロポエチン erythropietinを産生することがあります。エリスロポエチンの作用で赤血球 RBCが増えて,多血症になります。ヘモグロビンとヘマトクリットの値も上昇して,血液が濃くなります。瀉血が必要となる場合もあるくらいです。
新しい治療薬の開発
- 腎臓癌に用いられる,ベバシズマブやパゾパニブという薬剤で腫瘍が縮小したという報告はありますが,効果は限定的です
- HIF-2αの作用を抑制する経口薬が米国で認可されました
- HIF2阻害薬の治験が日本でも開始されるかもしれません
ベルズティファン belzutifan
HIF-2α阻害剤で,腎癌に有効性が証明され市販されている経口摂取の薬剤です。米国では2021人に中枢神経の血管芽腫に対して認可されました。半数ほどの患者さんで血管芽腫の縮小がみられ,12ヶ月以上は効果があるようです。腫瘍周囲浮腫の軽減も得られます。有害事象は高度の貧血です。2023年,日本ではまだ使用できません。
ベバシズマブ化学療法・薬物治療
抗VEGF抗体 ベバシズマブは,2010年頃から脳脊髄の血管芽腫に用いられてきました。稀に一定期間腫瘍が縮小したとの症例報告に止まります。高血圧や出血が副作用です。
パゾパニブ化学療法・薬物治療
腎臓がんに使用されるチロシン・キナーゼ阻害剤 バゾパニブ(ヴェトリエント)は,VEGFR, PDGFRなど血管新生に関わるリセプターの働きを抑制して,血管性腫瘍の増殖を抑える作用があります。パゾパニブを腎臓がんに使用すると,同時に,小脳や脊髄の血管芽腫が小さくなったという症例報告が2012年頃から散発的にあります。しかし,効果はとても限定的で効かないことも多いし,腫瘍が小さくなってもパゾパニブを中断するとまた増大します。副作用は血栓症です。

血管芽腫は髄液播種転移するか? 多発との違いは?
- 血管芽腫はものすごく稀ですが,髄液播種します
- 頭蓋内で小脳延髄以外の部位に多発した時には考えます
- 脊髄だと多発と播種は区別しづらいことがありますが,軟膜上か髄内かで判別します


小脳から発生した壮年男性の血管芽腫です。血管撮影でも病理所見でもごく普通のWHOグレード1の血管芽腫です。脊髄,腎臓,膵臓などに腫瘍の合併はありませんでした。完全摘出しました。
摘出後5年,左下肢違和感で発症しました。脊髄表面に無数のmassがあり,脊髄軟膜も線状に増強されます。髄液播種の所見です。さらに2年後(右の画像)では頭蓋内の脳槽にも多数の転移を生じました。頸髄髄内は表面のものが浸潤したものです。この例は,フォンヒッペルリンドウ病の多発血管芽腫ではなく,髄液播種転移を示しています。
フォン・ヒッペル・リンドウ病の患者さんの会「ほっとchain」(ここをクリック)
畑中佳奈子の病理教室:血管芽腫
小脳症状で発症した40代男性の症例
真偽のほどは解りませんが頭の中で血液が流れる音がするというのが主訴です。その後に軽度の歩行失調と構語障害が出て発見されました。この程度のものでもAVMと同じように血管雑音を自覚することがあるのかもしれません。画像をよく見ると右の小脳扁桃のもので,延髄はただ圧迫されているだけです。血管芽腫はエリスロポエチンを産生して多血症になることがあるのですが,この患者さんは16.6 MIU/mlで正常値でした。
右のPICAが主たるfeeding arteryです。でもPICAのretromedullary segmentからshort feedersが流入していますから,油断をすると延髄背側障害という厳しい手術合併症を生じる可能性は十分あります。この腫瘍は正中後頭下開頭で全摘出できましたし,神経脱落症状を残していません。難易度は中等度のものです。
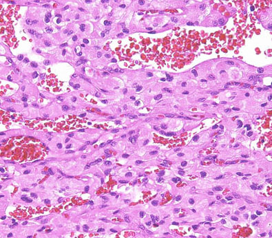
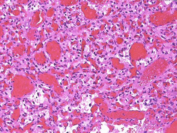
上記の症例の病理所見
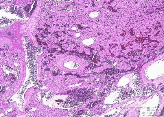
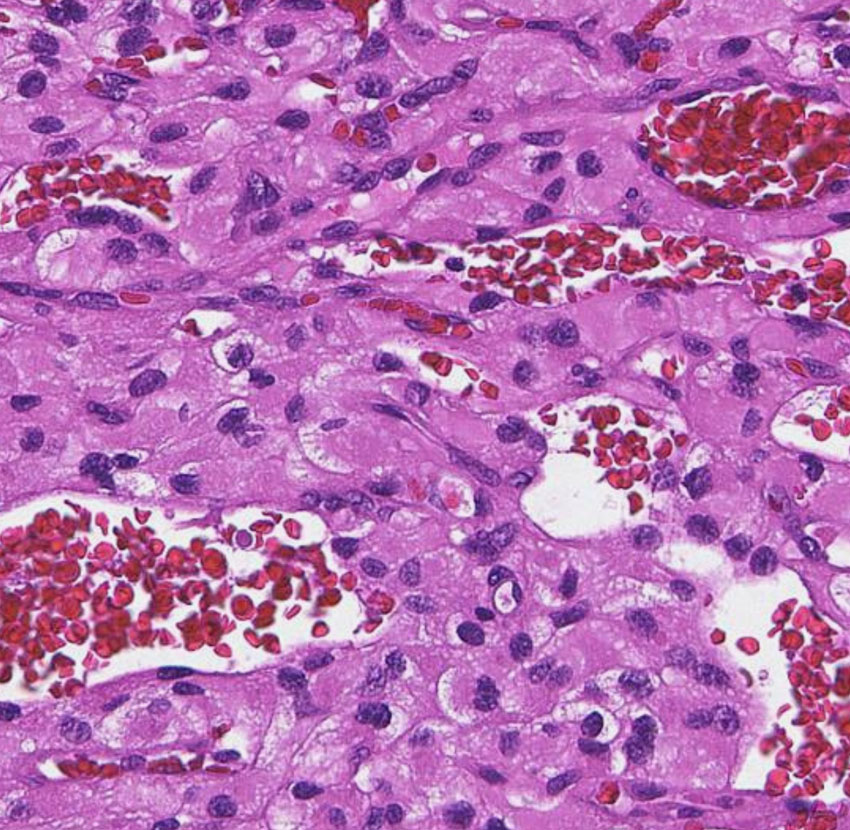
弱拡では多数の血管が腫瘍の中に見られる,赤血球を含む大小の血管腔で構成される腫瘍である。
間質に増殖する淡桃色の胞体や空胞が豊かなstromal cells,この部分はcellular variantと呼ばれる。stromal cellでは,VEGF(血管内皮増殖因子)とVHL protein(フォンヒッペルリンドー病関連蛋白)が染まるので,この腫瘍細胞が激しい血管増殖を促していると考えられる。
毛細血管の増殖を主とするreticular variantと呼称される部分もある。大きな血管芽腫ではcellular variantとreticular variantが混在してあるのが通常である。
文献
ベルズティファン belzutifanが一部の血管芽腫に有効
Zhang Y: Neurological applications of belzutifan in von Hippel-Lindau disease. Neuro Oncol 2023
HIF-2α阻害剤 ベルズティファン belzutifanは,経口摂取できる腎細胞がん (clear cell renal cell cartinoma)淡明細胞腎細胞癌)の治療薬です。2021年に米国で認可されました。脳脊髄では,30%ほどの血管芽腫に有効であり,30%ほど腫瘍体積が減るという報告があります。高度の貧血が最大の有害事象で,低酸素症と疲労感が次ます。まだ中枢神経血管芽腫への真の効果ははっきりしていません。
ベルズティファンは血管芽腫を縮小する効果がある
Jonasch E: Belzutifan for Renal Cell Carcinoma in von Hippel-Lindau Disease. N Engl J Med 2021
HIF-2α阻害剤 ベルズティファン belzutifanがVHLの患者さんに投与されました。中枢神経の血管芽腫では,50人中13人 (30%)に目に見える効果がありました。























