毛様細胞性星細胞腫 pilocytic astrocytoma

  • 赤ちゃんから20歳くらいまでに発生します
  • 小児の脳腫瘍の15%くらいで,もっとも多い良性腫瘍です
  • 業界用語で pilo “ピロ“とか”パイロ”とか言います
  • 75%は20歳未満,25%は成人で発症します
  • おおまかに,毛様細胞性星細胞腫 WHOグレード1は年長児に毛様粘液性星細胞腫 グレード1は乳幼児に発生します
  • ほとんどのものは,摘出が可能な小脳や大脳の浅い部分にできますから,手術だけで治ります

治療が難しくなるもの

  • 問題は手術で摘出できないものです
  • 脳幹部,大脳基底核、視神経,視交叉,視床下部中脳視蓋,脊髄といったところにできたものは手術で完全にとることができません
  • 特に小さな子供たち,乳幼児には髄液播種を起こす悪性のものがあります
  • 全部とることが難しい場所のものを,最初にまず診断のための手術をするといわれたら断った方がいいです
  • 多くの場合,MRIでほぼ確実に診断できますからどんな腫瘍か分からないことはありません
  • 本当に迷った時だけ,生検術というほんの少し腫瘍を取ってみるという手術が必要なことがあります
  • 摘出ができない場所にできた小児の腫瘍には化学療法を行います
  • 幼児の視神経と視床下部の腫瘍には,シスプラチンとビンクリスチンを使いますがほとんどの例で有効です
  • 世界的に最も広く使用されているのはカルボプラチンとビンクリスチンの組み合わせです
  • 腫瘍を急いで小さくしなくてもいい例では,ビンブラスチンが第一選択薬として使えます
  • BRAF-v600E変異のある例には, BRAF阻害剤のダブラフェニブ,ビニメチニブが有効です
  • 欧米ではすでに,ダブラフェニブ(タフィンラー)とトラメチニブ(メキニスト)の併用標的療法が用いられています
  • BRAF変異はとても少なくて3%くらいにしか見つけられません
  • でも,残念ながら化学療法だけで治ることはまれです
  • 放射線治療はなるべくしませんが,腫瘍の部位によっては使うこともできます
  • 視床下部や視神経が被曝するときには使用を避けたほうがいいでしょう
  • 子供が大きくなった時点で放射線治療を加えなければならないことがあるのですが,認知機能の低下を招くことがあります
  • 経過によっては化学療法の後で手術摘出することもあり,慎重にその時期と方法を考える必要があります
  • 視床下部のものでは下垂体ホルモンの異常を伴うことが多いので内分泌専門の小児科医に必ず診てもらって下さい
  • 腫瘍内出血で発症したり,腫瘍からの出血を繰り返すことがあります
  • 不思議なことに思春期になると自然に治ってしまうことがある腫瘍です
  • 成人で偶然発見されたものは,全く増大せず,無治療で経過を見てよいものがあります

症状

  • 脳のどの部分にも発生するのでどんな症状も出ます
  • 大脳のものは,ほとんどが症候性てんかん発作で発症します
  • 小脳腫瘍は,頭痛,嘔吐,歩行障害
  • 視神経のものは視力障害
  • 視床下部のものは間脳症候群,ホルモンの異常
  • 大脳基底核のものは手足の麻痺
  • 脳幹部のものはものが二つに見える複視などです

ちょっと取れば治ってしまうもの,このタイプが多い


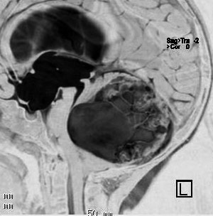
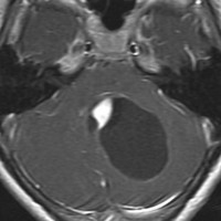
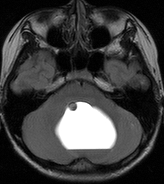
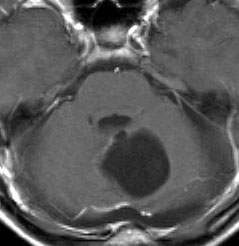
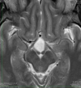
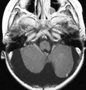
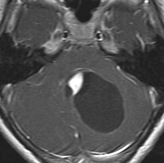
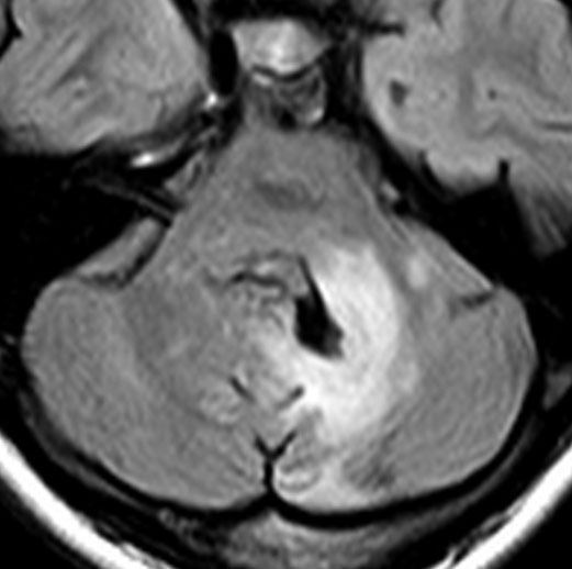
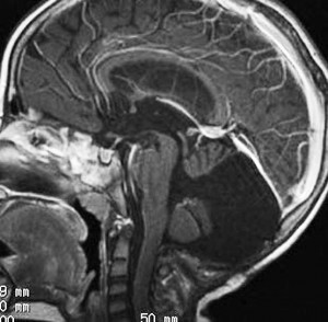
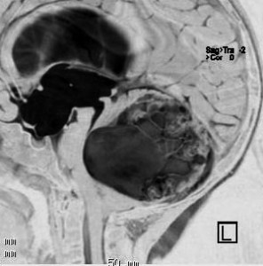
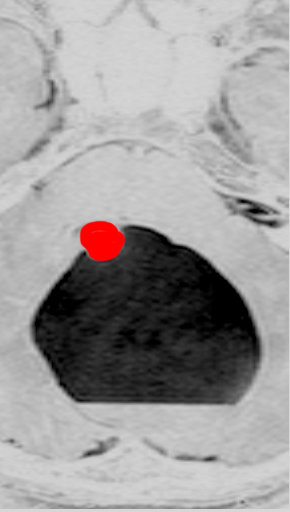
思春期の女の子にできた小脳腫瘍です。とても大きく見えますがほとんどが水たまり(のう胞といいます)。第4脳室が腫瘍で圧迫されて閉塞性水頭症になりました。のう胞の中に出血がありますが毛様細胞性星細胞腫では腫瘍内出血をしばしば見ます。右の写真で脳室が大きくなっています。こんなに大きいのに小脳症状は全くなくて,頭痛と嘔吐が症状でした。


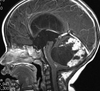
赤で塗ったところだけが毛様細胞性星細胞腫です。これを取れば治ります。簡単な手術ですし後遺症も残りません。

手術後のMRIです。水頭症も改善してますから症状も消失しましたし,すぐに退院です o(^o^)o

小脳腫瘍の治療と予後

  • 毛様細胞性星細胞腫はグレード1で手術で全部とってしまえば治る腫瘍です
  • 小児の小脳にできる毛様細胞性星細胞腫の長期生存率は95%を越えます
  • 後遺症を残すことも少ないです
  • 小脳半球の大きな腫瘍では亜全摘出をして経過を見ることもできます
  • 取れない部分の小さな残存腫瘍には領域 CTV を絞った局所照射をします
  • 極めて稀に,摘出できなくて放射線治療が使用できない場合は,化学療法をします
  • 場合によっては執刀医の技量に依存する機能予後

    cerebellarpilo1cerebellarpilo2

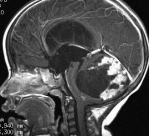
    2歳の時に歩行障害で転倒しやすくなって発症しました。巨大な小脳虫部の毛様細胞性星細胞腫です。後頭下開頭で亜全摘出して,翌年,残っていた小さな残存腫瘍を全摘出しました。

    cerebellarpilo3cerebellarpilo4

16歳になってとても元気に学校へ通っています。こんな小脳でもちゃんと歩けるようになります。残っているわずかな小脳機能を手術で守ることはとても難しいと言えます。

毛様細胞性星細胞腫と毛様粘液性星細胞腫のいろいろな画像(ここをクリックするとたくさん見えます)

 

手術が難しい場所の手術

  • 取りにくい場所にできた腫瘍が問題です
  • それは視床下部,視神経,視神経交叉,視索,大脳基底核,視床,脳幹部,脊髄です
  • 前のところに書いたように,どんな腫瘍か解らないから開頭手術でちょっと取ってみるという生検術は意味がありません
  • 一度開頭術をしてしまうと腫瘍の周りに癒着が起こるので,後でいざ手術で摘出してしまわなければならないという時に,とても困ったことになります
  • 澤村自身がたくさんの再手術をしましたから,身にしみて解っていることは,最初の手術が予後を決定することです
  • 再手術はとてもとても難しいことを,最初に手術をする脳外科の先生はしっかり理解しなければなりません
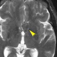
  • 視神経や中脳のものでは,手術をする前にはCISSというMRI画像が必要です
  • なぜかというと,腫瘍がどこから発生したかを詳細に読み取ることで,手術の作戦が決定されることです
  • 視神経交叉から出たのならば,全摘出すれば全盲を覚悟しないとなりません
  • 片方の視神経から出て巨大になったものなら,全部とっても片方の失明だけですみます
  • 視床下部から出たもののごく一部は全摘出できることがあります
  • でも両側の視床下部に明らかに浸潤するものを全摘出すると,ひどい視床下部損傷で通常の生活ができなくなることがあります
  • 視索が大きく膨れる腫瘍を摘出すれば,同名半盲になりますし,このタイプは取りきれるものではありません
  • 大脳半球の底部・前有孔質に浸潤して穿通枝という細い血管をたくさん巻き込むものは取れません
  • 手術の前にMRIをみて正確に予測するのはとても深い経験が必要です
  • 脳幹部の中にできた毛様細胞性星細胞腫を取ることはできるのですが,多くの場合は完全摘出にはなりません
  • なぜかというと,毛様細胞性星細胞腫でも多少は脳組織に浸潤するからです
  • 脳幹内部にできたものには視床下部や視神経にできたものより,放射線治療の適応になることを手術の前に考えに入れておかなければなりません
  • のう胞性拡大(腫瘍の中に液体がたまる)が続く腫瘍では部分摘出が必要です

小さい子供の視神経と視床下部の毛様細胞性星細胞腫

  • 乳幼児の視床下部/視交叉にできた時には死亡率が高いし,生存し得たとしても社会的に自立できる児は少ないです
  • 乳幼児の視床下部と視交叉に発生するものの多くは毛様類粘液性星細胞腫 (pilomyxoid astrocytoma, グレード1)と呼ばれるちょっと違った性質を持つものです
  • 大きくなる速度が速くて髄腔内に播種することもあります
  • 視床下部と両側の視路へ浸潤するために完全に摘出することができなくて,場合によっては生検術さえ危険なこともあります
  • 放射線照射が有効ですが重篤な放射線脳障害を考えなければなりません
  • このような状況から,プラチナ製剤(シスプラチンもしくはカルボプラチン)とビンクリスチンを用いた併用化学療法が第一選択肢として用いられています
  • 数ヶ月かけて化学療法を継続することでゆっくり腫瘍縮小効果が明らかとなるので,1コースや2コースの化学療法で有効性がないと判断してはいけません
  • 化学療法の奏効率は高くて,化学療法の開始とともに間脳症候群(ひどい痩せとか)の改善や進行性視力視野障害の停止が得られることも多いのです
  • 私はシスプラチンとビンクリスチンの併用化学療法をまず6コース行って経過をみることにしています
  • 残念ながらそれだけで済むことは少なくて,カルボプラチンとビンクリスチンの追加治療やさまざまな化学療法をまた追加することになります
  • 一旦小さくなった状態を保つためにはビンクリスチンが使用されます
  • 経過観察中に年長児になると思春期早発症が生じることもあります
  • 繰り返す再燃には,化学療法の再開か部分摘出かの選択となります
  • 腫瘍の残存部位と年齢を考えて決定します
  • 逆に年長児になれば自然緩解して治癒に至る例が多いです
  • 腫瘍が自然に治る10代半ばまで我慢してなんとか治療で引っ張ります
  • 放射線治療はなんとかかんとか極力避けます
2023年,日本では,BRAF融合遺伝子陽性の低悪性度神経膠腫患者を対象とした MEK阻害薬(ビニメチニブ)の第2相医師主導治験が開始されました(国立がん研究センター)

BRAF V600変異陽性局所進行・転移性小児固形腫瘍に対するダブラフェニブ・トラメチニブの第II相試験 (jRCTs011220017)
(クリックすると開きます)

なぜ診断のための手術をしてはいけないのか

Sawamura Y, et al.: Role of Surgery for Optic pathway / Hypothalamic Astrocytomas in Children. Neuro Oncol 10: 725-733, 2008
この腫瘍は開頭手術で生検術をしなくてもMRIで診断できるし,開頭生検術が無駄になることが多いことを書きました。完全摘出はできないし,必要であれば部分摘出術をしますが,その時期と手術の方法がとても複雑で難しいことも書いています。かなり専門的ですから,患者さんには読めません。

視神経と視床下部の例は別のページに詳しいのでここをクリック
視神経膠腫 optic glioma
視路毛様細胞性星細胞腫
視路視床下部毛様細胞性星細胞腫

 

再発とまちがえやすいのう胞性拡大 cystic expansion

  • 腫瘍を観察しているとじっとしていた腫瘍が大きくなることがあります
  • 2つの場合があります
  • 一つは腫瘍細胞が増えてほんとに増大すること(再燃 relapase
  • もう一つは腫瘍の中に水が溜って大きくなることです(のう胞性拡大 cystic expansion
  • のう胞性拡大の場合は,よくよく経過を見ているとやがてまた大きくなるのが止まって,なにもしないでも逆に小さくなってくることがあります
  • 自然に治るという自然退縮の前によく見られる現象です
  • ですからあわてない
  • でも,のう胞が大きくなりすぎて視神経などを圧迫してきた時には,のう胞にチューブを入れて水を抜くとかのう胞の壁を手術で摘出するとかが必要になります

化学療法について(他のページに詳しくかいてあるのでここをクリックすると見れます)

 シスプラチンとビンクリスチン
入院が必要ですが切れ味はいいと思います。乳幼児の大きな腫瘍の寛解導入に用いるのに適しています。初回治療に用います合計6コースくらいします。
カルボプラチンとビンクリスチン

世界で最も広く初期治療に使われています。入院してすることも外来投与もできます。

ビンブラスチン

週に1回の注射で使います。ビンカアルカロイドなので長期投与が可能で,他の化学療法に比べて有害事象が少ないです。カルボプラチンより先に初期治療で使えるという報告もありますが,維持療法として用いるべきです。

ダブラフェニブとトラメチニブの日本での治験(2021年)

BRAF v600遺伝子に変異のある例で,臨床第2脳試験が日本で行われてます。タフィンラー(ダブラフェニブ,BRAF阻害剤),メキニスト(トラメチニブ,MEK阻害剤)を使用するものです。でもBRAF変異は毛様細胞性星細胞腫の3%くらいにしかないものです。

テモゾロマイド

月に5日間だけ自宅で飲みます。維持療法として使えるのかもしれません。アルキル化剤なので2次癌の発生のリスクがあります。

アバスチン

強くガドリニウム増強されるタイプに有効です。腫瘍を小さくする効果は高いのですが,投与を中断するとまた増大します。急いで腫瘍を取りあえず小さくしたい時,特に視力が危ない時には有力です。カルボプラチンとの併用も可能です。

アフィニトール(エベロリムス)

有効だという報告はあるのですが

お勧めの化学療法の順番

澤村は,第一選択としてシスプラチンとビンクリスチンの入院治療を6コースして治療反応性がいいときは経過観察します。あまり腫瘍が小さくならないで治療反応が良くない時,あるいは経過観察後に再増大すればカルボプラチンとビンクリスチンの外来治療を6コースまでします。更に腫瘍を押さえ込む必要がある場合にはビンブラスチンの外来投与を継続しています。ビンブラスチンにも抵抗性の時はテモゾロマイドを使用します。難治性でBRAF変異のある例では,ダブラフェニブの臨床試験に登録できます。

シスプラチン/ビンクリスチンを用いた化学療法の効果

シスプラチン/ビンクリスチンを用いた化学療法の効果を示すMRI画像です。aは治療前,gは6コース終了時点(2歳)で,各々のMRIは各コース終了時点で撮影されています。このようにはっきりした腫瘍縮小効果は数カ月にわたる経過でゆっくりと観察されるので,1コースか2コースの化学療法であまり小さくならないからといって,化学療法が有効でないと即断してはいけません。この子は2001年水平性眼振で発症,1歳で発症して15年が経ちますが視力視野はほとんど正常で,腫瘍はほぼ消失,元気に暮らしています。

放射線治療について

  • 有効率(奏功割合)は50%強くらいで,腫瘍は小さくなります
  • 45-50グレイという放射線量が必要です
  • 放射線治療だけで腫瘍が縮小してその後の治療が全く必要ないこともあります
  • 後遺症を考えた場合に放射線治療をしやすい腫瘍の場所は,小脳,大脳半球視床,脳幹部,大脳基底核の順です
  • でも小さい子供が多いので後遺症を考えれば視神経や視床下部,延髄,脊髄には使用しない方がいいでしょう
  • 化学療法や手術でなんとかできない時に考えましょう
  • 腫瘍の場所と大きさと患者さんの年齢で,かけられる線量(グレイ)が違いますから,放射線治療医の先生によくよく相談して下さい
  • また使える放射線治療の方法も違います
  • 毛様細胞性星細胞腫は重要な脳や視神経の組織に囲まれていまし浸潤性格(脳にしみ込む)をもった腫瘍ですから,放射線外科 SRS は適切ではありません
  • しかしそれほど浸潤しないので,周囲に広くかける必要もありません
  • 大きなものでは,三次元原体照射とか強度変調放射線治療(IMRT)が適しています
  • 特に後者は,形がいびつなものに適しているかもしれません
  • できるだけ年長児になってから検討するべき治療方法です
  • 前のところに書いた嚢胞性拡大をしている毛様細胞性星細胞腫には放射線治療が効かないこともありますので注意しましょう

毛様類粘液性星細胞腫 pilomyxoid astrocytoma WHO グレード 1

  • 2007年のWHO分類では,毛様類粘液性星細胞腫はグレード2に分類されましたが,2016年分類ではグレード1にもどりました!(◎_◎;)
  • 毛様細胞性星細胞腫よりも増大速度が速いです
  • 小さな子供,とくに乳児と幼児にできるものの多くは毛様類粘液性星細胞腫という組織型が多いです
  • できる場所は,視床下部と視路(視神経など)に多いです
  • 成長障害(ご飯が食べられなくてやせる,体重が減る)や嘔吐,視力の低下などが症状です
  • これは,播種する性質を持っていますし,早く大きくなるので治療を早めにした方がいいでしょう
  • うれしいことに,普通の毛様細胞性星細胞腫よりも化学療法がよく効きます
  • 化学療法だけで治った子もみたことはあります
  • 場合によっては年長児になってから手術摘出が必要になるかもしれないと考えて下さい
  • 治療を順当に後遺症を少なくコントロールするのはとてもとても難しいです

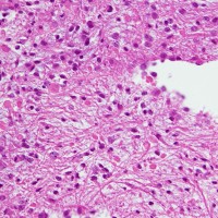
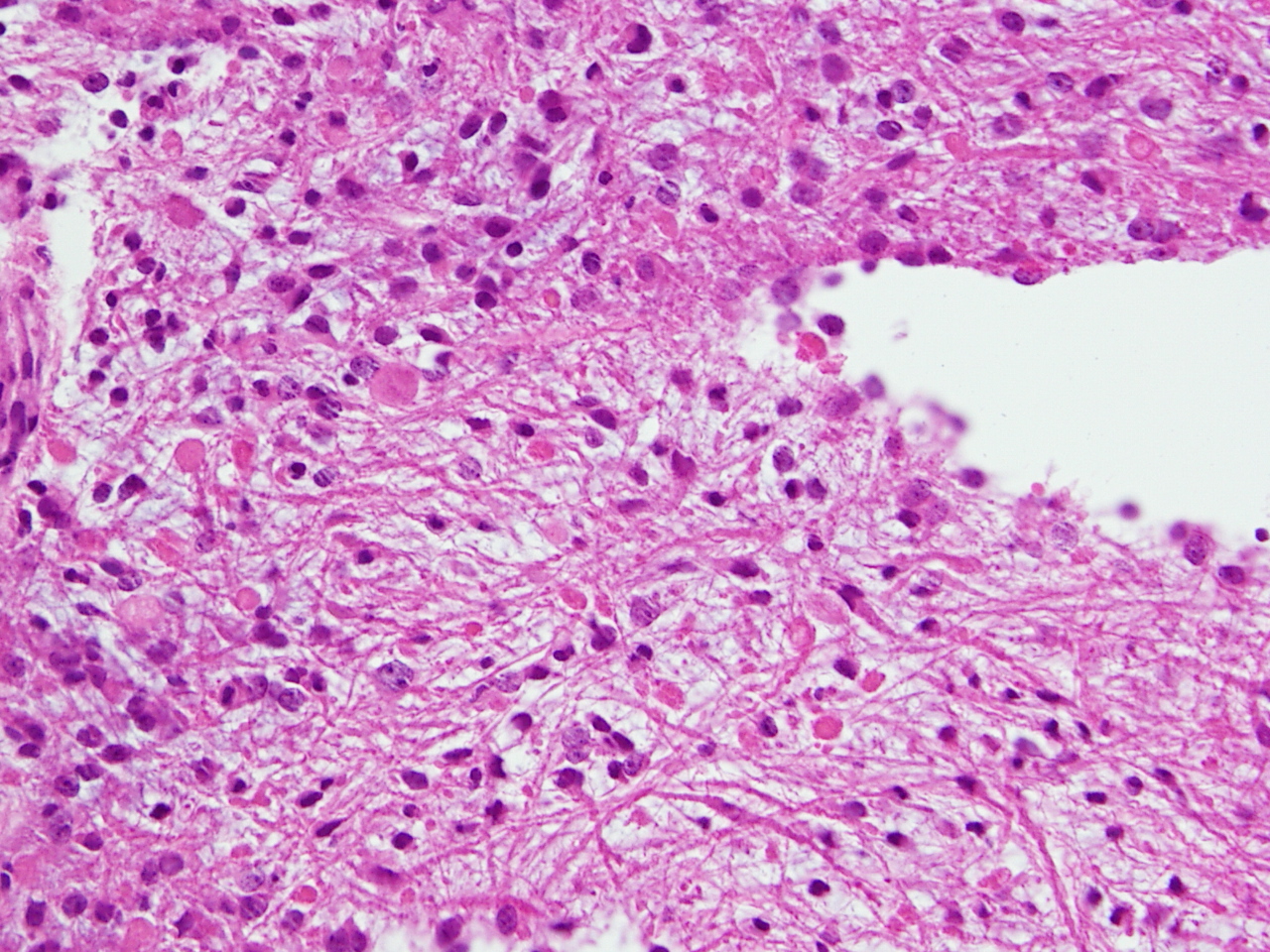
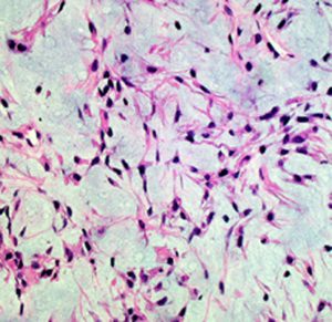
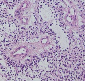
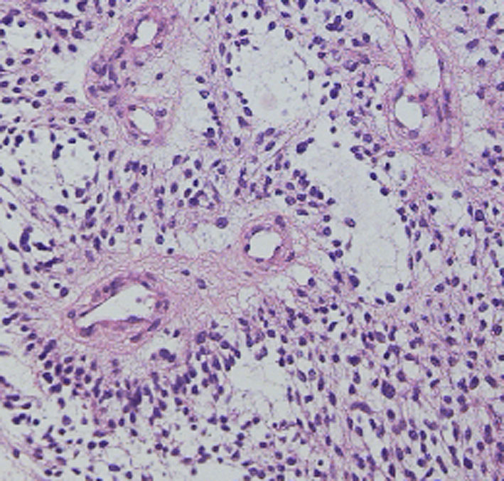
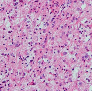
毛様類粘液性星細胞腫の病理像です。関質が広くて粘液用の物質が貯留されています。これは手術で取る時にドロドロの腫瘍に見えますから,ちょっと硬い普通の毛様細胞性星細胞腫とは判別できます。この病理像をもつ腫瘍は,患者さんの年齢が年長児になっていくと,自然に変化して普通の毛様細胞性星細胞腫に変わっていきます。腫瘍も年をとるのだと考えられます。ですから,毛様類粘液性星細胞腫は特殊なものではなくて,毛様細胞性星細胞腫の赤ちゃんです。右側の画像では,血管中心性に腫瘍細胞が配列するangiocentric patternがみられます。

視神経膠腫 optic glioma について(詳しくはここをクリック)

  • 小さ子供の視神経(視交叉と視索も)にできます。
  • 病理組織は毛様細胞性星細胞腫です。
  • 良性の腫瘍ですが摘出すると視神経も一緒にとれてしまいます。
  • 片方の視神経だけに厳密にとどまるものは手術で全部とれますが,摘出した側の視力はなくなってしまいます 。
  • 治療方針は毛様細胞性星細胞腫と同じです。
  • 子供が成長すると腫瘍も大きくならない傾向がある腫瘍です。
  • 特に,神経線維腫症1型 (NF-1)に合併する視神経膠腫は治療しなくてもよい場合が多いです

乳児にできた視神経膠腫です(左側の写真)。腫瘍が眼窩内にとどまっていて左の目はすでに失明していましたから,腫瘍を手術で全部とりました(右側の写真)。このような手術は腫瘍が反対側の視神経にいかないようにするために視神経交差のところで切り離すので,開頭手術が必要です。眼球も残っていますし再発はありません。

MR画像の特徴について(T2で白い)

pilocerebel-2pilocerebel-1pilocerebel-3

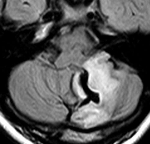
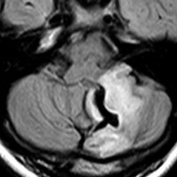
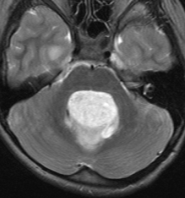
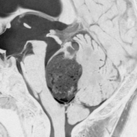
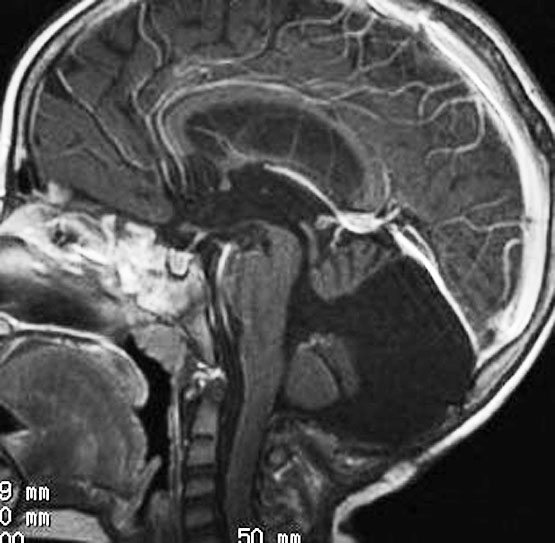
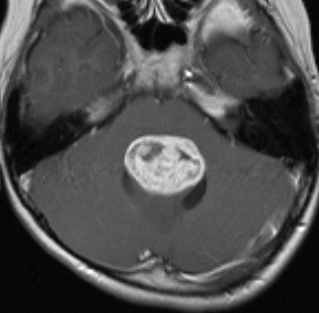
7歳の子の小脳虫部腫瘍です。左と中央のMRIをみると一見,髄芽腫に見えます。でもこれは毛様細胞性星細胞腫で,手術で全部取れて,後遺症もなく治りました(右側)。inverted T2(左側のCISS)では黒く(低信号)に写って小脳との境界が明瞭です。


T1強調画像のガドリニウム増強(左)ではわかりませんが,右のT2強調画像で腫瘍部分がとても白く(強い高信号)に写っているのが,最大の特徴です。多くの場合,T2強調画像で毛様細胞性星細胞腫の診断がつきます。このようなT2でかなり強い高信号になるものは毛様粘液性星細胞腫の成分を含むことが多いです。


毛様細胞性星細胞腫の自然歴 natural history

年齢による腫瘍の性質変化,お医者さん必読,必修!

in infant 0歳から5歳

pilomyxoid type
rapid tumor growth, CSF dissemination

in very young children 4歳から10歳

continuous growth of tumor
worsening of vision and hormonal function

in young children 8際から16歳

growth arrest and/or regrowth
cystic degeneration and expansion

in adolescent 16歳以上

spontaneous involution

in adult 20歳以上

quiet tumor residue

小児の毛様細胞性星細胞腫は不思議な腫瘍です。患児の脳の成長とともに増大し,やがて退縮する時期がきます。

乳幼児時期には,病理組織像が毛様粘液性星細胞腫で,MRI T2で均一な高信号になりガドリニウムで強く増強されます。腫瘍の増大速度は速く,稀には髄液播種することもありそれが腫瘍死の原因となることもあります。奏効率の高い化学療法を早く開始する必要があります。
少し経過して幼児期には,速度は落ちるがやはり腫瘍は増大傾向をたどり腫瘍内のう胞形成とのう胞の拡大をみることが多いでしょう。この時期にも症状の悪化が多く,化学療法は継続する必要があります。pilomyxoid typeからjuvenile type pilocytic astrocytomaへ病理組織像が変わっていきます。
学童期では,化学療法が奏効すれば腫瘍の増大が止まるか,あるいはまたゆっくりと再増大します。それとは別に,腫瘍実質が増大せずに,腫瘍のう胞のみが拡大するという現象が生じます。のう胞拡大は oncolytic cyst と呼ばれるような腫瘍変性に伴うものであり,化学療法を行なってものう胞拡大を止めることが難しいです。手術によるのう胞壁部分摘出がとなる時期でもあります。
思春期になると,治療を加えなくても腫瘍は増大傾向を停止することが多いでしょう。この時期までの長年にわたっての治療が必要となると考えて,初期治療に当たることが肝要です。さらに自然退縮という腫瘍の縮小傾向がみられることが多くなります。
成人では,増大しないmassとして腫瘍が発見されます。T2強調画像でわずかな高信号,ガドリニウムでほとんど増強されない,無治療で経過観察しても全く変化がないということがしばしばであるので,視野欠損などの症状があっても,このようなものを疑えば生検手術もせずに経過のみをみたほうがいいです。病理診断で退形成性星細胞腫と誤診されることがあるように,腫瘍細胞の核型異常が目立ってきますが良性です。

全く何もしなくても良い成人の毛様細胞性星細胞腫

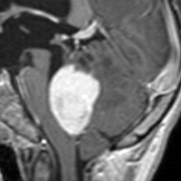
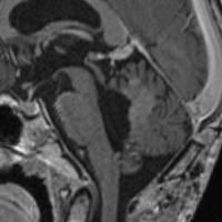
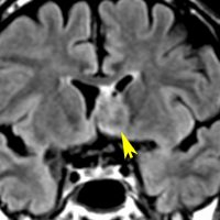
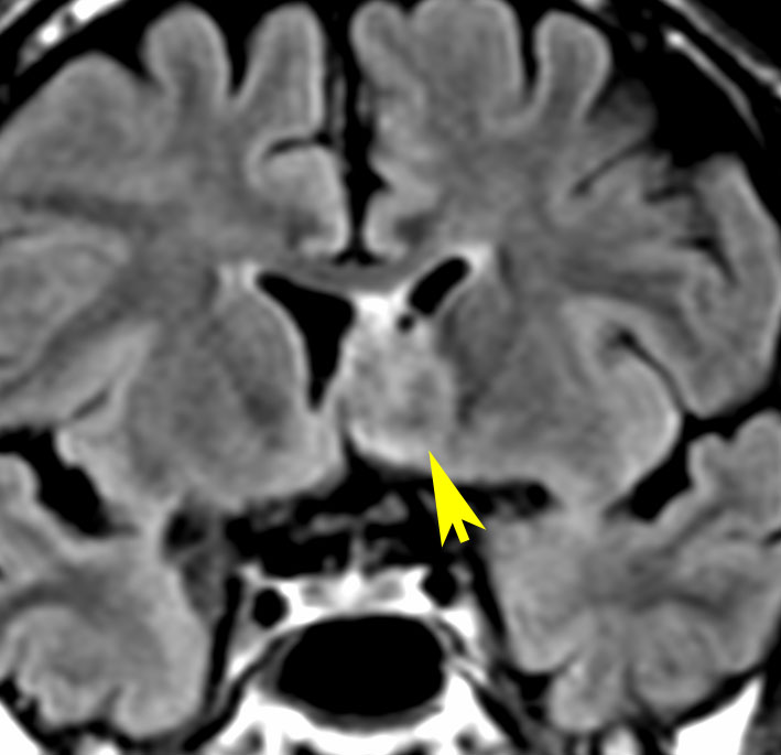
20代女性に偶然発見された視床下部(第3脳室)腫瘍です,T1低信号,T2で高信号,右側のガドリニウム造影では全く増強されません。毛様細胞性星細胞腫と診断できます。眼科での視野検査で視野欠損はありませんでした。生検術もなにもせず経過をみました。

左が初診時,右が5年後のMRI画像です。腫瘍の大きさは全く同じです。このような腫瘍はしばしば経験します。慌てて生検術や開頭手術など計画しないで,画像診断をしっかりすることが大切です。

全く何もしなくても良い成人の毛様細胞性星細胞腫

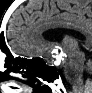
40代になり偶然発見されたものです。視野検査では軽度の右同名半盲がありましたが,本人は自覚していませんでした。おそらく幼小児期から存在したものです。

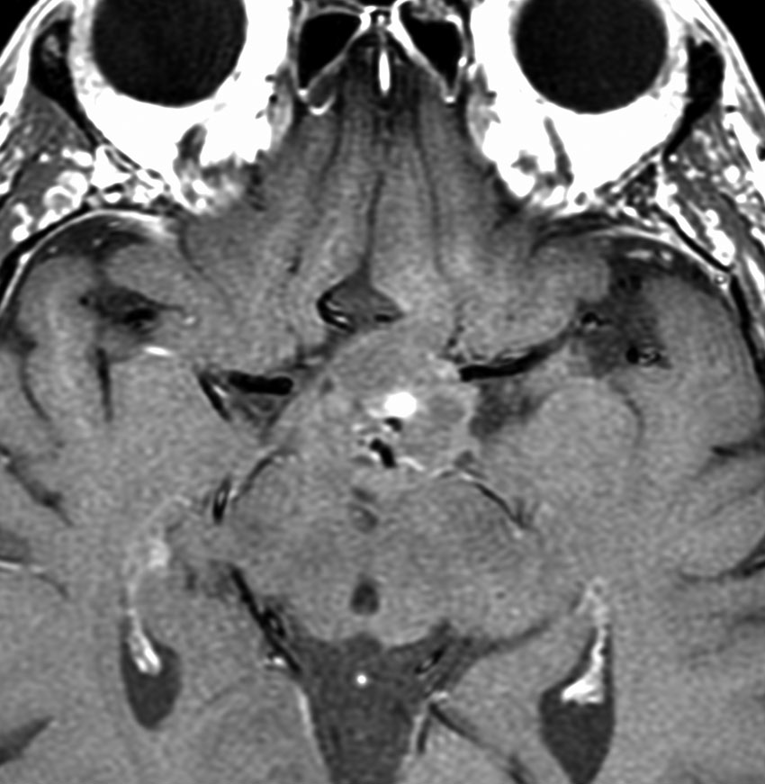
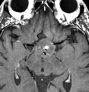
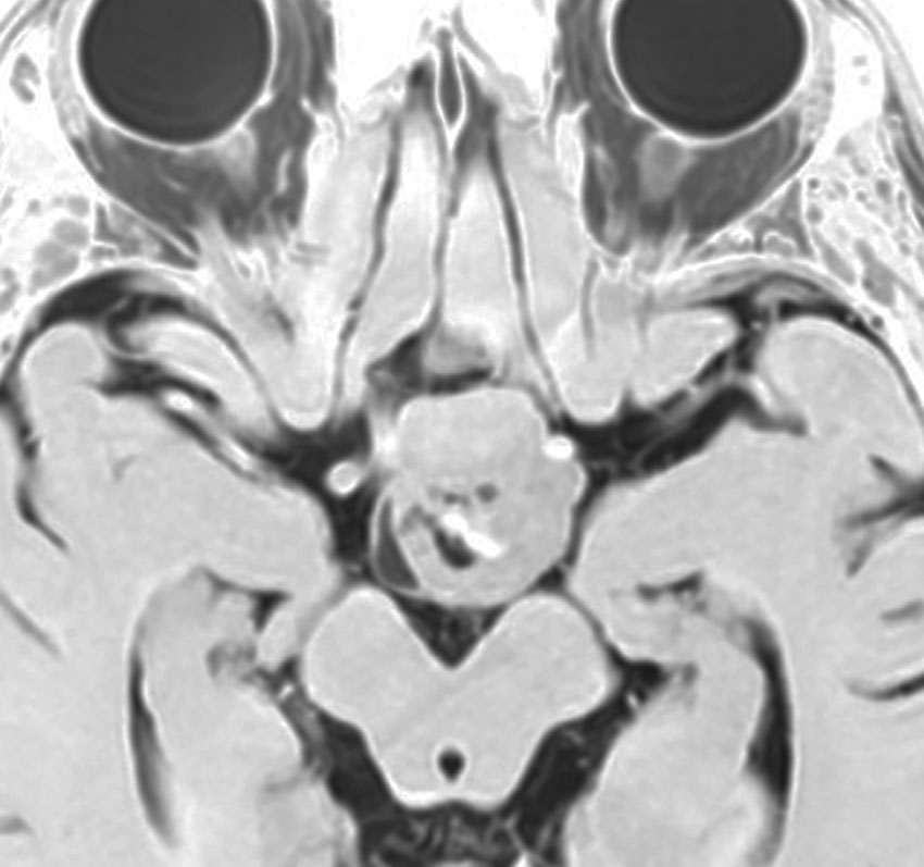
鞍上槽に強い石灰化を伴う腫瘍があります。視交叉左側から左視索が腫瘍化した,視路毛様細胞性星細胞腫です。右側のガドリニウム増強では一部に増強所見がみられます。施設によっては,頭蓋咽頭腫と間違えられ生検術をされるかもしれません。経過観察のみをします。

左が2016年,右が2023年のものです。7年間で全く腫瘍サイズに変化はありません。小さな腫瘍のう胞も石灰化も不変でした。

摘出手術で気をつけること

腫瘍周囲のT2/FLAIR高信号域には手を付けない

piloky1pilokyhepilokyki

10歳の子です。何の変哲もない普通の小脳の壁在結節を伴うのう胞性の毛様細胞性星細胞腫です。MIB-1は2-3%くらいでした。壁在結節だけ摘出して経過観察をしました。

pilokyflair1pilokyflair2

15年後のMRIです摘出腔の周囲にはFLAIR高信号の領域がそのまま残り,これが腫瘍周辺浮腫ではないことが解ります。しかし,これは15年間変わらずにずっと同じです。毛様細胞性星細胞腫は周囲脳に浸潤するのですが,年長児では増大せずに所見が固定化することがあります。ですから,通常のびまん性星細胞腫のように高信号領域を可能な限り摘出するという手術をしてはなりません。

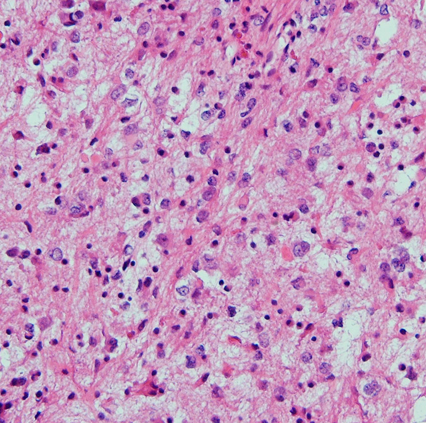
毛様細胞性星細胞腫の病理所見はここをクリックすると詳しく見えます

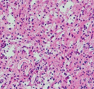
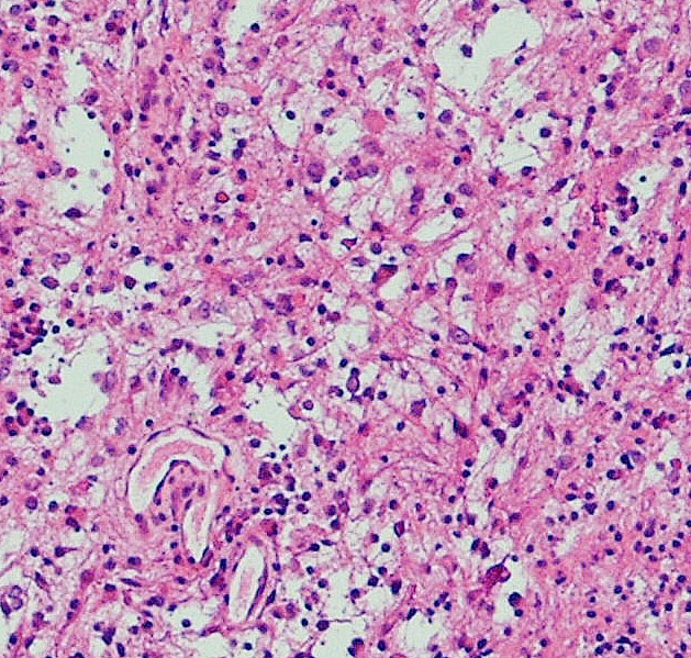
13歳思春期の毛様細胞性星細胞腫です。angiocentric patternも失って,粘液基質が少なくなって,ローゼンタール線維が豊富になっています。びまん性星細胞腫と誤診されることが多く,核の大小不同・異型性も目立ってくると退形成性星細胞腫 グレード3と病理誤診されることもあります

播種した毛様細胞性星細胞腫の治療

  • 播種(転移)は幼い子どもに多く,視床下部原発の毛様粘液性星細胞腫で頻度が高いといえます
  • 初発時からすでに髄液播種があることも,治療後に数ヶ月経ってから播種再発することもります
  • さまざまな化学療法が使われていますが,一時的な効果はあるものの治癒に結びつくことは少ないです
  • 治癒を求めるためには放射線治療を脳脊髄にしなければなりないが,小さい子供やすでに放射線治療を受けている子どもでは適応となりません
  • 通常の毛様細胞性星細胞腫と同様にCBDCAを基剤とした化学療法の報告が多いです
  • 文献報告では,残念ながらほとんどの例が死亡の転帰をとるとされます
  • McCowageは,CPMの大量療法が有効であって腫瘍が小さくなれば低用量で継続するべきと報告しました。しかし,治療を受けた4人のうちの2人の生存者が長期生存したかどうかは記載されていません
  • Aryanは,CBDCAが無効であった例でtemozolomideと脳脊髄照射での2年生存例と,VCR/CCNU/6-TG/PCZの無効例でtemozolomideが有効であった2年生存例を報告していますが,その後の経過の記述はありません
high-grade astrocytoma with piloid features WHO grade 4
悪性度のある病理所見を有するもの:小児例とまた違うもの
  • 2021年のWHO分類では,これは毛様細胞性星細胞腫ではなく,piloid featureを有する高悪性度星細胞腫 グレード4されています
  • 組織学的には,成人に多いapanplasiaがみられる毛様細胞性星細胞腫として捉えられます
  • pilocytic astrocytoma with anaplastic histology in adultとして知られていました
  • 2010にMayoからの大きな報告がありました。2,200例の毛様細胞性星細胞腫のなかで,分裂能が高く(4 mitoses/10HPF) 高度の核異型性を有する34例が解析されました
  • 年齢の中央値は高く35歳,MIB-1は中央値で24.7%にも達しました。PFSは14ヶ月,全生存期間 OS は24ヶ月でした。
  • 毛様細胞性星細胞腫と病理診断されても,apalasiaを有してかつMIB-1の値が異常に高いものは,膠芽腫 グレード4と同じような予後を辿るということが示されました
  • 核異型性だけではこのように予後不良とならないので注意します。
  • ALT loss, ATRX loss, NF-1, PI3K/Akt pathway dysregulation などの関与が示唆されています
  • 全生存期間中央値が13ヶ月という報告もあります(Rodriguez FJ, 2019)
  • MAPK pathway gene alterations が75%に,CDKN2A/B deletion が80%に認められます
  • 治療抵抗性であり生命予後はかなり不良です

どのような遺伝子の異常で発生するのか

  • 2016年 WHO分類では,IDH変異がなく,時にBRAF遺伝子の変異を見るグリオーマとされています
  • BRAF変異がない毛様細胞性星細胞腫が圧倒的に多いので注意
  • mitogen-activating protein kinase (MAPK) pathwayの異常で発生する腫瘍です
  • 最も多いのが,a tandem duplication of a ≈2 Mb-fragment of #7q, giving rise to a fusion between two genes, resulting in a transforming fusion protein, consisting of the N-terminus of KIAA1549 and the kinase domain of BRAF
  • 他には,MAP-K pathway, affecting tyrosine kinase growth factor receptors at the cell surface (e.g., FGFR1) as well as BRAF V600E, KRAS, and NF1 mutations among othersです
  • 小児例で,BRAF V600E遺伝子変異のあるものは予後が悪く,通常の毛様細胞性星細胞腫よりも化学療法抵抗性です
  • 成人例では,KIAA1549-BRAF遺伝子融合 (BK fusion)の頻度が高くなります
  • NF-1に合併するものでは,NF-1遺伝子欠損がRASを介してMARKを活性化すると推定されています

小児期に発生し25歳になってもまだ増大した視神経の毛様細胞性星細胞腫です。KIAA1549-BRAF融合遺伝子・K16-B9が陽性です。

分子標的治療

MARK pathwayの異常で発生し増殖すると考えられるので,分子標的治療薬が使用されるようになってきました。特に,MEK inhibitiorとBRAF inhibitiorの併用(ダブラフェニブ(タフィンラー)とトラメチニブ(メキニスト))の併用で生存期間の延長が期待されています。dabrafenib plus trametinib, selumetinib, trametinib などの臨床試験がなされています。
BRAF阻害剤 ダブラフェニブ とMEK阻害剤 トラメチニブは,2023年1月時点で,臨床第3相試験がオープンとなっています。結果がもうすぐわかるでしょう。


偶然発見されたもの,成人から老年期には増大しないものが多い


64歳男性の無症状の毛様細胞性星細胞腫です。定位生検して,grade I, MIB-1 < 1%でした。8年観察しましたが全く変わらずでした。
T2でやや低信号,FLIRでやや高信号,T1でやや低信号,ガドリニウムで淡く増強されました。

成人の毛様細胞性星細胞腫 adult pilocytic astrocytoma

  • 毛様細胞性星細胞腫の25%は成人で診断されますから,成人にめずらしいというわけではありません
  • 小児と同様にMARK pathway dysregulationがあります(80-90%くらい )
  • 成人では年齢中央値32歳くらいで,若年成人の腫瘍です
  • 症状がなくて偶然見つかるものが大多数で,症状としてはてんかん発作が多いです
  • 大脳皮質に多くて,次いで小脳,間脳を含む脳幹部です
  • 症候性のものは,小児のものよりやや予後が悪いとされます
  • 予後を決定する治療法は,小児と同じで手術摘出です
  • 病理所見で核異型性があり,MIB-1染色率が非常に高いものは悪性の経過をたどります
  • この悪性タイプは,毛様細胞性星細胞腫ではない他の高悪性度 piloid 星細胞腫とされます
おまけの知識

なぜ視路,脳幹部と小脳に多いのか

MAPK/ERK pathwayは胎児脳の成長に関与します。特に,中脳 mesencephalonと後脳(小脳)metencephalonの分化に強い影響を有するとされます。ですから,中脳から小脳に好発すると推測されています。また,視路の発達に関与するradial glia細胞の分化にも関与するために,視神経から視交叉,視索,視放線の領域に発生すると推定されます。

文献

BRAF V600 mutationのある低悪性度グリオーマには,ダブラフェニブとトラメチニブとの併用が有効

Bouffet E: Dabrafenib plus Trametinib in Pediatric Glioma with BRAF V600 Mutations. N Engl J Med 2023
下記の学会発表が論文となりました。ダブラフェニブは単独あるいはトラメチニブとの併用で,BRAF V600 mutationを有する低悪性度グリオーマに有効なことが知られています。ダブラフェニブ/トラメチニブとCBDCA/VCRの効果が比較されました。CBDCA/VCRは旧来小児のグリオーマに最も使用された併用化学療法です。ダブラフェニブ/トラメチニブで44%,CBDCA/VCRで11%の奏功率 (CR or PR)が得られました。臨床的な利点はそれぞれ86%と46%でした。PFS中央値は20ヶ月と7.4ヶ月でした。
「一言』PFSが20ヶ月ということは,2年を待たずに再燃するということです。

BRAF V600 mutationのある高悪性度グリオーマには,ダブラフェニブとトラメチニブとの併用がある程度有効

Hargrave DR: Phase II Trial of Dabrafenib Plus Trametinib in Relapsed/Refractory BRAF V600-Mutant Pediatric High-Grade Glioma. J Clin Oncol 2023
BRAF V600 mutationは小児悪性神経膠腫の8-10%に認められます。41例の再発あるいは治療抵抗性の悪性グリオーマが対象です。奏功割合は56%,反応期間中央値は22ヶ月でした。半分くらいの例で2年弱有効であるという結果です。

小児の低悪性度グリオーマに対するBRAF阻害剤には有効性がある,第2相試験

Bouffet E: Primary analysis of a phase II trial of dabrafenib plus trametinib (dab + tram) in BRAF V600–mutant pediatric low-grade glioma (pLGG). J Clin Oncol 2022, ASCO abstract
学会発表された結果です。BRAFv600変異を有する小児低悪性度グリオーマ110例に対する,dab/tram vs CBDCA/VCRの無作為第2相試験です。ダブラフェニブ twice daily (<12 y, 5.25 mg/kg/d; ≥12 y, 4.5 mg/kg/d) とトラメチニブ once daily (<6 y, 0.032 mg/kg/d; ≥6 y, 0.025 mg/kg/d) が投与されました。観察期間中央値19ヶ月。奏効割合 (CR, PR) は,dab/tramで47%,CBDCA/VCRで11%でした。dab/tram無増悪生存期間中央値は20ヶ月で,有害事象として発熱が7割くらいにみられました。

ダブラフェニブ(タフィンラー)単独投与が非常に有効であった幼児例

Howden K: Management of Inoperable Supra-Sellar Low-Grade Glioma With BRAF Mutation in Young Children. Cureus 2021
BRAF-V600E変異のある2歳の女児です。視交叉から視床下部に巨大な毛様細胞性星細胞腫があり水頭症や感脳下垂体障害,視力視野障害などを呈していました。カルボプラチンとビンクリスチン化学療法がなされたのですが,腫瘍は増大しました。ダブラフェニブの投与を行ったところ腫瘍がほとんどなくなるという程度まで縮小しました。

Selumetinibが,再発,治療抵抗性,進行性の毛様細胞性星細胞腫に有効

Fangusaro J: Selumetinib in paediatric patients with BRAF-aberrant or neurofibromatosis type 1-associated recurrent, refractory, or progressive low-grade glioma: a multicentre, phase 2 trial. Lancet Oncol 2019
MEK阻害剤であるSelumetinibが治療抵抗性の毛様細胞性星細胞腫に有効であったという報告です。この結果から,臨床第3相試験に移行しています。

エトポシドは有効ではない

Gnekow AK: A European randomised controlled trial of the addition of etoposide to standard vincristine and carboplatin induction as part of an 18-month treatment programme for childhood (≤16 years) low grade glioma – A final report. Eur. J. Cancer 2017
カルボプラチンとビンクリスチンの化学療法に,エトポシドを加えた多剤併用療法が試みられましたが有効性はありませんでした。


  • Aryan HE, et al.: Management of pilocytic astrocytoma with diffuse leptomeningeal spread: two cases and review of the literature. Childs Nerv Syst 21: 477-481, 2005
  • Avery RA, et al.: Marked recovery of vision in children with optic pathway gliomas treated with bevacizumab. JAMA Ophthalmol 132:111-114, 2014
  • Bavle A: Dramatic clinical and radiographic response to BRAF inhibition in a patient with progressive disseminated optic pathway glioma refractory to MEK inhibition. Pediatr Hematol Oncol. 2017
  • Bouffet E, et al.: Phase II study of weekly vinblastine in recurrent or refractory pediatric low-grade glioma. J Clin Oncol 30: 1358-1363, 2012
  • Colin C: Outcome analysis of childhood pilocytic astrocytomas: a retrospective study of 148 cases at a single institution. Neuropathol. Appl. Neurobiol, 2013
  • Figueiredo EG, et al.: Leptomeningeal dissemination of pilocytic astrocytoma at diagnosis in childhood: two cases report. Arq Neuropsiquiatr 61: 842-847, 2003
  • Gnekow AK: A European randomised controlled trial of the addition of etoposide to standard vincristine and carboplatin induction as part of an 18-month treatment programme for childhood (≤16 years) low grade glioma – A final report. Eur. J. Cancer 2017
  • Hwang EI, et al.: Long-term efficacy and toxicity of bevacizumab-based therapy in children with recurrent low-grade gliomas. Pediatr Blood Cancer 60: 776-782, 2013
  • Johanns TM: Rapid Clinical and Radiographic Response With Combined Dabrafenib and Trametinib in Adults With BRAF-Mutated High-Grade GliomaJ Natl Compr Canc Netw. 2018
  • Lassaletta A, et al.: Phase II weekly vinblastine for chemotherapy-naïve children with progressive low-grade glioma: A Canadian Pediatric Brain Tumor Consortium Study. J Clin Oncol 2016
  • Lassaletta A, et al.: Therapeutic and Prognostic Implications of BRAF V600E in Pediatric Low-Grade Gliomas. J Clin Oncol. 2017
  • McCowage G, et al.: Successful childhood pilocytic astrocytomas metastatic tu the leptomeninges with high-dose cyclophosphamide. Med Pediatr Oncol 27: 32-39, 1996
  • Reinhardt A: Anaplastic astrocytoma with piloid features, a novel molecular class of IDH wildtype glioma with recurrent MAPK pathway, CDKN2A/B and ATRX alterations. Acta Neuropathol 2018
  • Rodriguez FJ, et al.: Anaplasia in pilocytic astrocytoma predicts aggressive behavior. Am J Surg Pathol 34, 2010
  • Rodriguez FJ: Alternative lengthening of telomeres, ATRX loss and H3-K27M mutations in histologically defined pilocytic astrocytoma with anaplasia. Brain Pathol 2019
  • Sawamura Y, Kamoshima Y, Kato T, Tajima T, Tsubaki J: Chemotherapy with cisplatin and vincristine for optic pathway/hypothalamic astrocytoma in young children. Jpn J Clin Oncol 2009 Feb 17. [Epub]
  • Sawamura Y, Kamada K, Kamoshima Y, Yamaguchi S, Tajima T, Tsubaki J, Fujimaki T: Role of Surgery for Optic pathway / Hypothalamic Astrocytomas in Children. Neuro Oncol 10: 725-733, 2008
  • Toll SA: Sustained response of three pediatric BRAFV600E mutated high-grade gliomas to combined BRAF and MEK inhibitor therapy. Oncotarget. 2019

Copyright (C) 2006-2026 澤村 豊 All Rights Reserved.