毛様細胞性星細胞腫のいろいろな症例 pilocytic astrocytomas
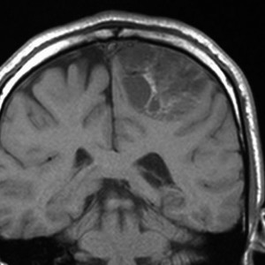
大脳皮質の毛様細胞性星細胞腫
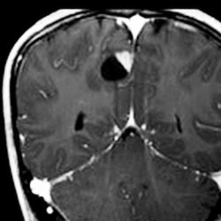
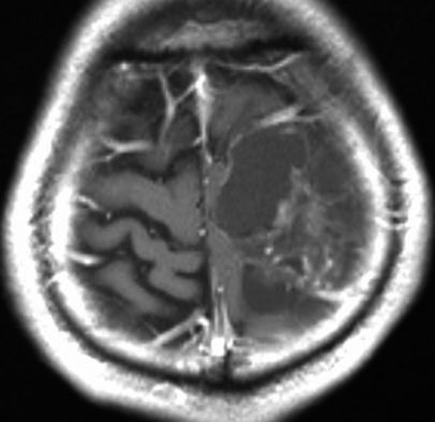
小児期の右大脳頭頂葉にできた毛様細胞性星細胞腫です。小脳と同様に大脳にも壁在結節を作ってのう胞性増大する毛様細胞性星細胞腫というのはよくみかけます。てんかん(けいれん)発作で発症するものが多いです。腫瘍を摘出すると症候性てんかんが止まることが期待できます。治療方法は手術摘出です。腫瘍のある場所が深部で摘出術が神経脱落症状を招くと考えられる場合には,経過観察して,増大するようならガドリニウム増強される腫瘍実質部分にだけ,定位放射線治療することもあります。
中脳視蓋毛様細胞性星細胞腫 tectal glioma(詳しくはここをクリック)
中脳視蓋グリオーマとして知られるものです。この腫瘍は基本的には,初回手術で全摘出できるのですが,現実的には,技術的に難しすぎるので部分摘出で終えることが多いでしょう。この子は,15歳の時に閉塞性水頭症のために,頭痛,嘔吐,意識障害,瞳孔不同となりました。開頭部分摘出術と第3脳室開窓術で回復して,その後にカルボプラチンとビンクリスチンの化学療法を受けました。でも腫瘍増大が止められずに,発症1年後に54グレイ30分割の放射線治療を受けています。さらにその半年後くらいから再増大しましたが,スードプログレッションと考えられました。のう胞性拡大が止まらず,発症3年後にまた再開頭手術で亜全摘出しました。
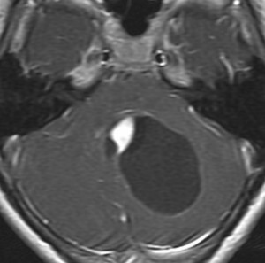
小脳毛様細胞性星細胞腫のFLAIR画像所見
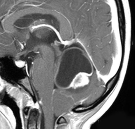
壁在結節を伴うのう胞性小脳毛様細胞性星細胞腫は,結節を手術摘出すれば治癒するものです。しかし,あたかも腫瘍が残っているようなMRI画像所見が残ることがあります。
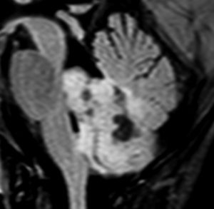
この例は,10歳の子どもに無症状で偶然発見された大きなのう胞性小脳毛様細胞性星細胞腫です。開頭手術で腫瘍結節は全摘出して腫瘍のう胞は縮小したままです。(画像はクリックすると拡大して見えます)
開頭手術で白く増強される結節部分だけを摘出しました。MIB-1はやや高値で3%と報告されました。病理組織診断は,WHO grade 1 毛様細胞性星細胞腫です。
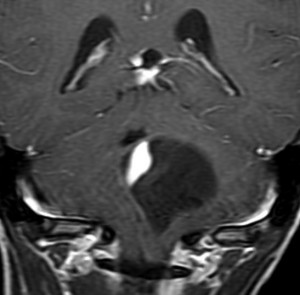
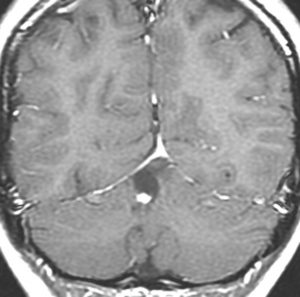
6年後のMRI FLAIR画像です。摘出腔周囲の高信号域が残存しています。ここまで残ると腫瘍周辺浮腫ではありませんし,腫瘍細胞が左小脳半球に広範囲に浸潤して残存しているものだと判断されます。しかし,6年間で病変の増大傾向がありませんでした。この残存腫瘍(らしい所見)に対して放射線治療や化学療法を行うべきかどうか,結論は出ていません。しかし,経過観察を続けても増大して来ない例があることは確かです。一方で,この高信号領域が拡大したり,ガドリニウム増強される病変が再出現して治療がまた必用となることもあります。
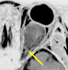
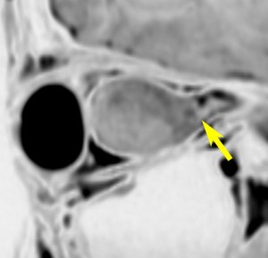
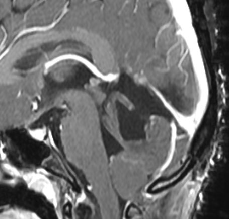
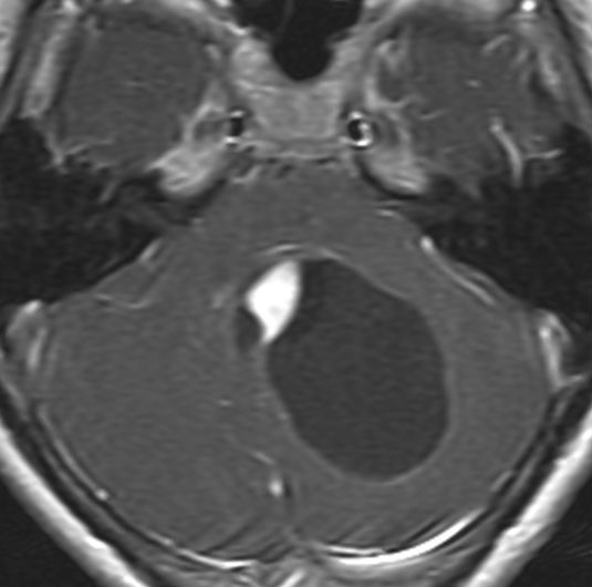
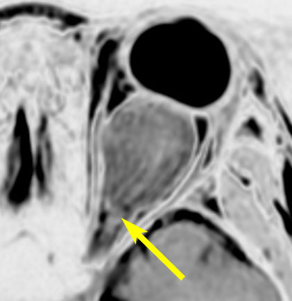
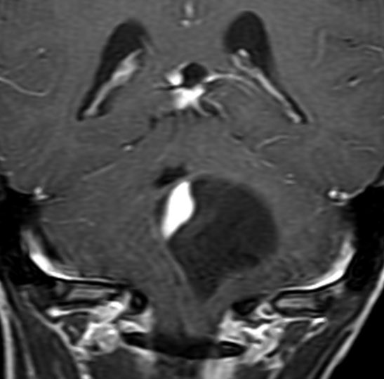
眼窩内に限局する視神経膠腫:神経鞘腫と鑑別が難しいもの
主訴は進行性の眼球突出です。視力低下は軽度で,視野欠損は左眼の下半分でした。入院前の画像では眼窩内神経鞘腫を疑う画像でした。
しかし,CISSの画像では中枢側の視神経との連続性があり,これではじめて視神経膠腫と診断できました。もちろん毛様細胞性星細胞腫です。眼球,眼球運動,眼瞼の動きを温存して腫瘍を眼球後極から切断して全摘出しました。
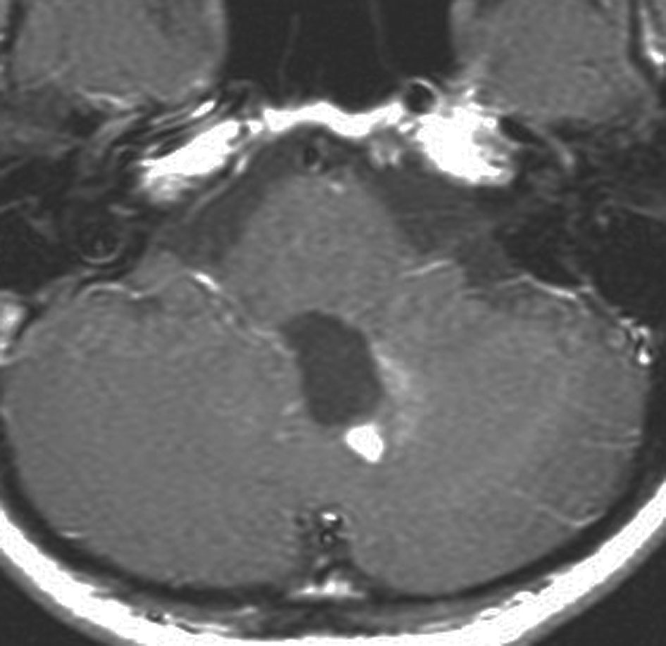
小脳上極の毛様細胞性星細胞腫
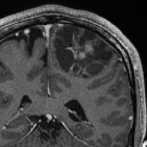
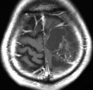
成人の大脳皮質のう胞性毛様粘液性星細胞腫
症候性てんかんで発症した30代の毛様粘液性星細胞腫です。術前診断で,のう胞性髄膜腫 cystic meningioma と間違えました。腫瘍内でごくわずかに出血していました。毛様細胞性星細胞腫は腫瘍内出血をしばしば生じます。実質部分はガドリニウム増強されていて多房性のう胞があります。成人型の毛様粘液性星細胞腫としては全く矛盾のない画像なのですが,発生した部位が頭頂葉皮質だったので術前診断できませんでした。eroquent areaなので完全摘出する必要はありません,のう胞壁を取り残しても再燃しません。
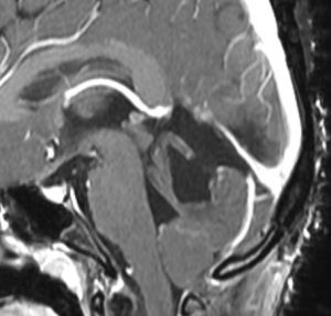
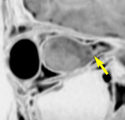
18歳で発症して,60歳まで無治療の大きな視床下部毛様細胞性星細胞腫
hypothalamic pilocytic astrocytoma
1968年 18歳の時に頭痛嘔吐で発症しました。第3脳室腫瘍と閉塞性水頭症の診断だけで,シャント手術を受けました。手術も化学療法も放射線治療もされていません。下の画像は60代で撮影されたものです。この例では,第3脳室内に増大した大きな毛様細胞性星細胞腫が,視床下部下垂体障害を出すことなく,自然経過で増大停止 growth arrest して,カチカチに固まってしまうということを教えてくれます。でも,こんなに都合よく経過観察できる例も珍しいです。
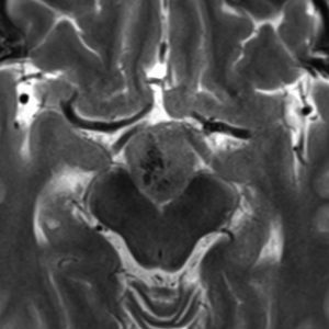
CTでは強い石灰化があります。右のT2強調画像では腫瘍は等信号,視交叉の後ろにあります。内部の低信号は石灰化です。
T1強調画像では等信号,ガドリニウム増強でごく一部がまだらに増強されます。
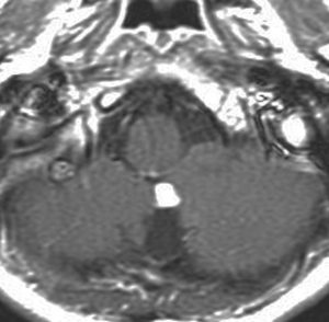
手術後に再発してもほっておく
手術で全摘出したとしても再発することがあります。左側のMRI画像は,手術後2年目に生じた再発です。8mmくらいの結節性再発がありました。15歳でしたから経過観察をしました。右の画像はその2年後です。再発腫瘍は自然に縮小していました。毛様細胞性星細胞腫は再発して増大しても,何もしないでほっておいても,自然に縮小することがあります。思春期に近い年齢層にはこの現象が期待できます。
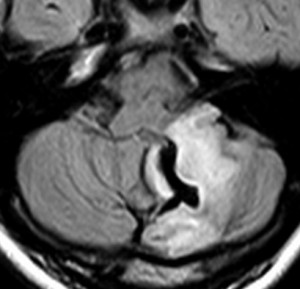
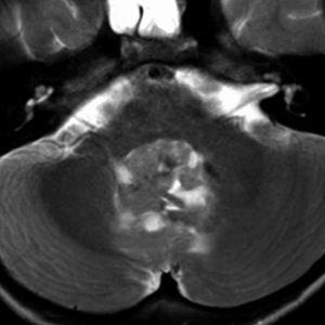
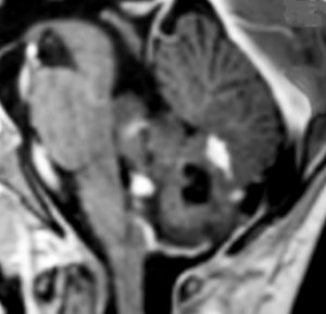
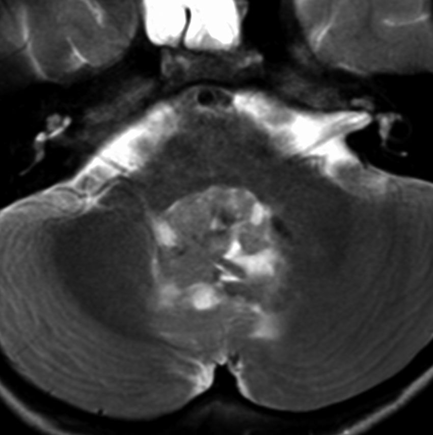
境界が不鮮明で全摘出できない小脳の若年性毛様細胞性星細胞腫
juvenile pilocytic astrocytoma
8歳で無症状でした。正常小脳内に浸潤して境界が不鮮明です。
年齢的にもjuvenile tpyeであり,左のMRI画像のように部分的に増強され,CTでは石灰化も認められました。術前予想としてはローゼンタールファイバーが多くて硬い癒着性腫瘍であることが予想されます。もちろん,仕方がないので亜全摘出を試みます。予想どおり,延髄閂 ovexに癒着した部分が外れませんでした。再燃があれば局所放射線治療を行う予定で経過観察しました。何も症状はなくて元気に育ちました。
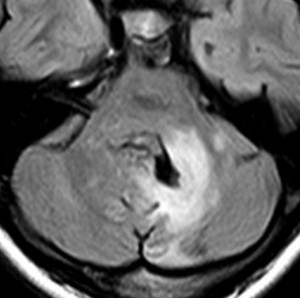
11年後の画像です。幸い延髄背側のものは再発せず,自然退縮しました。数年前から,小脳扁桃と中部に小さなガドリニウム増強される再燃病変がありますが,これらはなにもしないでほっておきます。もう患者さんが20歳くらいになるので,このまま大きくならないか,退縮する可能性が高いからです。
































