中脳視蓋グリオーマ tectal glioma, tectal plate glioma
テクタール・グリオーマ
- 中脳の視蓋(しがい)という部分に「限局する」グリオーマです
- 思春期から若年成人に多い良性のグリオーマです
- 文献では低悪性度グリオーマ low-grade glioma,とくに星細胞腫と記載されています
- でも実際,大部分はグレード1のグリオーマで,毛様細胞性星細胞腫です
- びまん性星細胞腫とは異なり,増殖停止 growth arrestが生じるグリオーマです
- 中脳水道という髄液の出口を塞いで水頭症になります
- 水頭症になると頭の中に髄液が溜まって頭痛や嘔吐がでます
- うっ血乳頭といって,網膜が腫れて視力と視野が悪くなることもあります
- 中脳視蓋というところが腫瘍で圧迫されると眼球がうまく動かなくなります(眼球運動障害)
- そうなると物が2重に見えます(複視)
- 水頭症を改善するためには内視鏡(カメラ)で第3脳室の床に穴を開けて髄液の流れを通します
- これを内視鏡第3脳室開窓術 ETV といいます
- ついでに腫瘍の病理を確かめるための生検術ができるといいのですが,現実にはなかなか難しいです
- 腫瘍は indolent tumorといわれます,ダラダラしているという意味です
- 小児期から思春期あたりで少しサイズが大きくなるのですが,ほっといても増大が止まって,多くの場合はおとなしくしているので治療の必要はありません
- まれに,ガドリニウム増強される病変が拡大して手術が必要となる例もあります
- 開頭手術では腫瘍亜全摘出を行いますが,生検術はあまり意味がありません
- 閉塞性水頭症になって,自然に第3脳室床が破れて水頭症が治ってしまうことがあります,spontaneous third-ventriculostomyと言われます
- 毛様細胞性星細胞腫は腫瘍出血で発症することがしばしばなのですが,中脳視蓋の毛様細胞性星細胞腫も出血して急性発症することがあります
画像で典型的なもの以外は危険 !!
- 中脳視蓋グリオーマは「視蓋に限局」します,少し伸びても被蓋まで
- 海綿状血管腫や神経節膠腫などさまざまな報告がありますが,いわゆるtectal gliomaとは画像所見がかなり違いますから,MRIですぐに鑑別できます
- 中脳視蓋から広く中脳前面や視床に伸びているものは,中脳視蓋グリオーマではありません
- まれに中脳には,びまん性星細胞腫,退形成性星細胞腫,膠芽腫が発生します,ですから経過を見て顕著に増大するものは手術で病理診断をつけなければなりません
- 小児で,びまん性橋膠腫の様な臨床像を示すものがあり,びまん性正中グリオーマ diffuse midline gliomaの例では生命予後は短いです
稀な症状
- 手がふるえる企図振戦 intension tremor
- ろれつが回らない構語障害
- ふらふらする失調性歩行
- 変な物がみえる中脳性幻視 midbrain visual hallucination
- ものが眩しく見えて視野がぼやける閃輝暗点 scintillation scotoma
内視鏡での開窓術で水頭症は治る
Romeo A, et al: Long-term change in ventricular size following endoscopic third ventriculostomy for hydrocephalus due to tectal plate gliomas. J Neurosurg Pediatr 11: 20-25, 2013
アラバマ子ども病院からの報告です。中脳視蓋グリオーマを有している22人の子どもたちが内視鏡で第3脳室開窓術 (ETV) を受けました。17人(77%)で水頭症は治りました。4人の子どもで開窓部が詰まって内視鏡での再手術になりました。1人の子どもだけがV-Pシャント(脳室腹腔短絡術)という脳室から腹腔までチューブを通す手術が必要となりました。平均5.3年の追跡期間で症状の悪化例はなかったそうです。中脳視蓋グリオーマの予後が良いことも示しています。
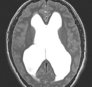
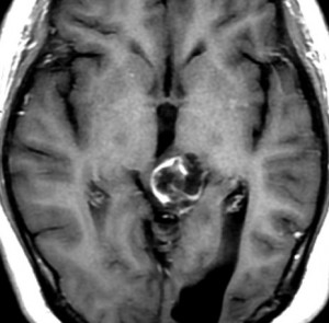
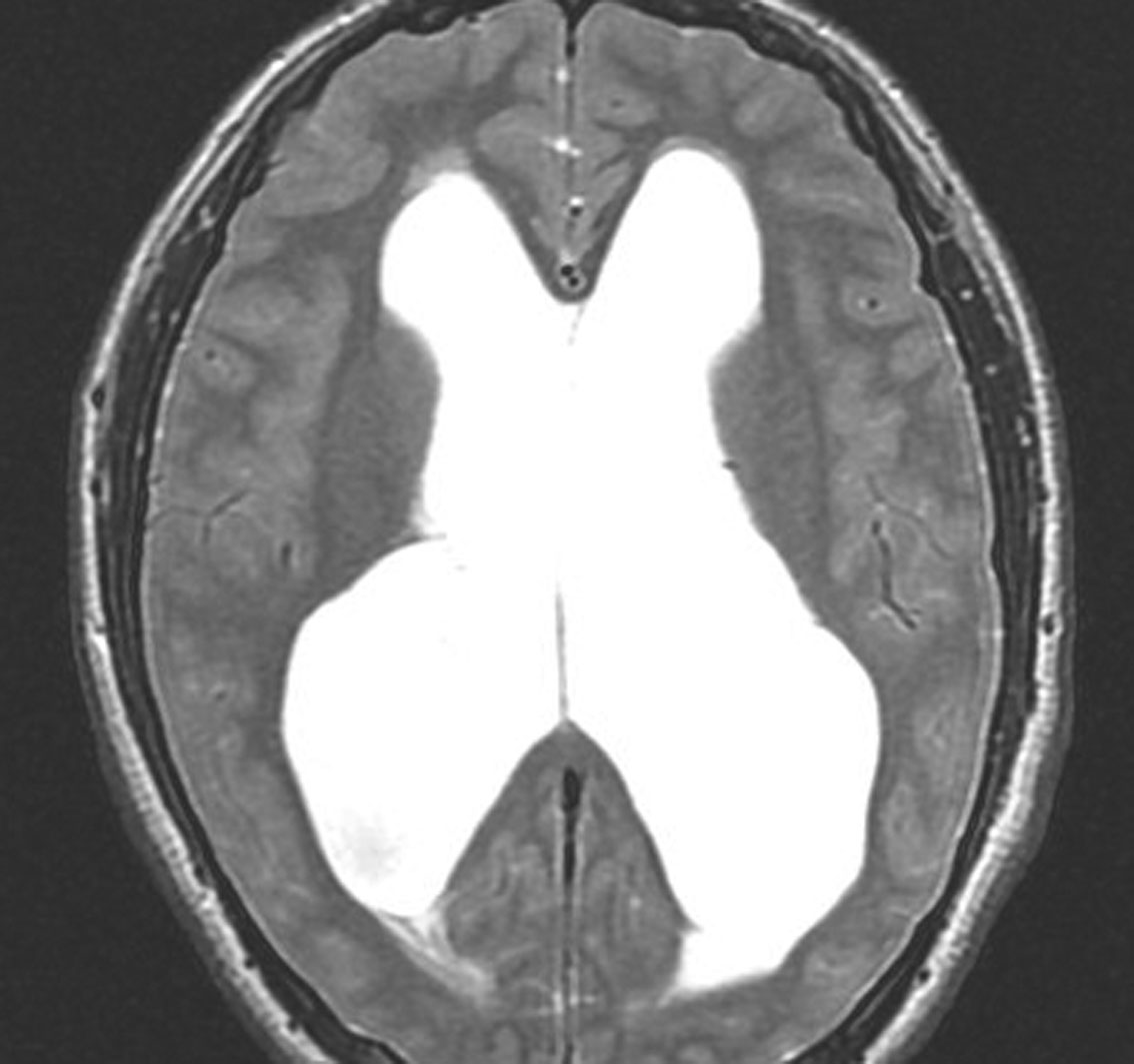
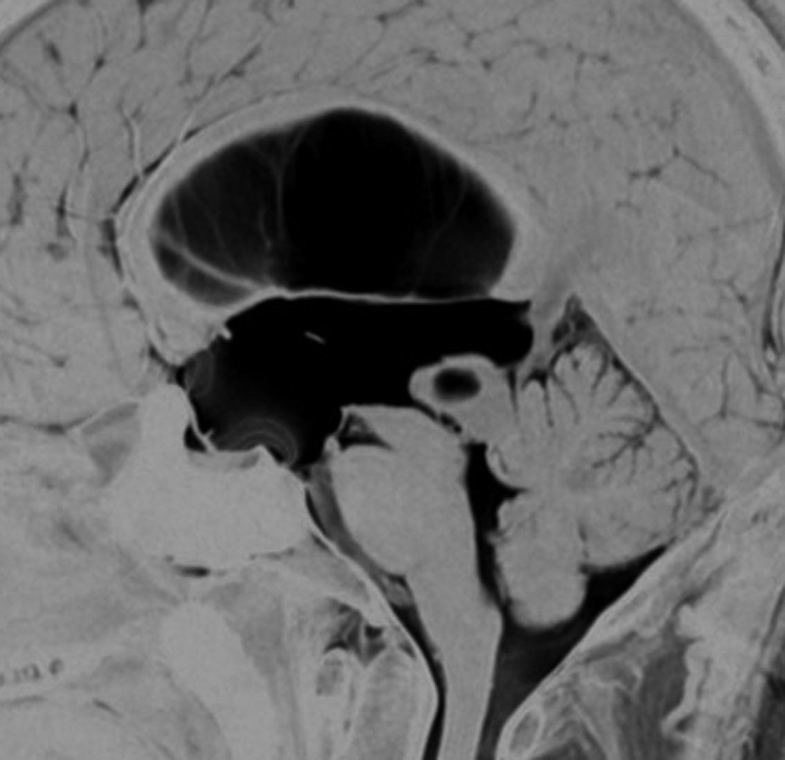
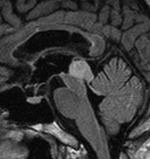
15歳時に水頭症で発症して増大しなかった例
この例が画像としては典型的な中脳視蓋グリオーマと言えます。手術摘出できないタイプです。
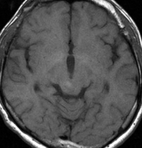
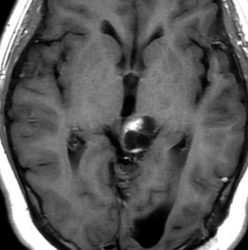
15歳の時に頭痛と嘔吐,視力と視野障害がでました。閉塞性水頭症だったので第3脳室開窓術を受けました。この時の診断は松果体腫瘍でした。でも翌年,開窓部が詰まってしまって,V-Pシャント(脳室腹腔短絡術)を受けました。でもシャントが詰まってしまって,頭痛と嘔吐と意識障害(昏睡、除脳硬直)を生じる急性シャント不全になり,シャント手術のやり直しをしました。21歳の時にもシャント不全で意識障害になり,シャント手術のやり直しをしました。その3ヶ月後にもまたシャント不全でシャント再建術を受けて,それから私の外来に来ました。
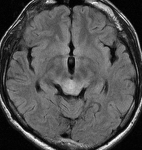
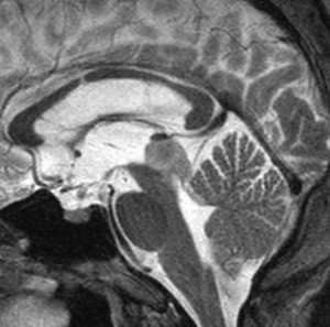
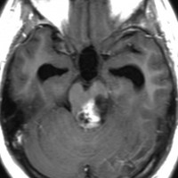
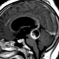
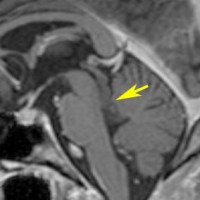
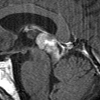
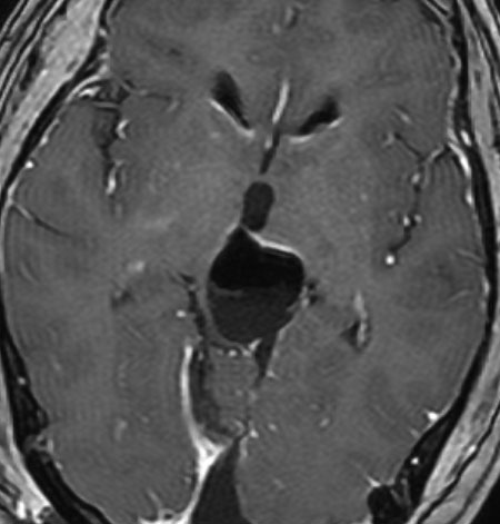
左はT1強調画像,右はFLAIR画像です。中脳視蓋が腫れて腫瘍がにじむように広がっているのがわかります。この腫瘍本体は15歳の時から21歳の時まで大きくなっていないので,中脳視蓋グリオーマ tectal gliomaの診断です。
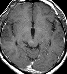
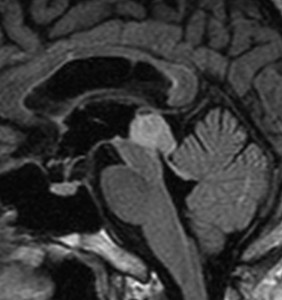
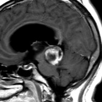
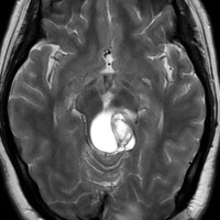
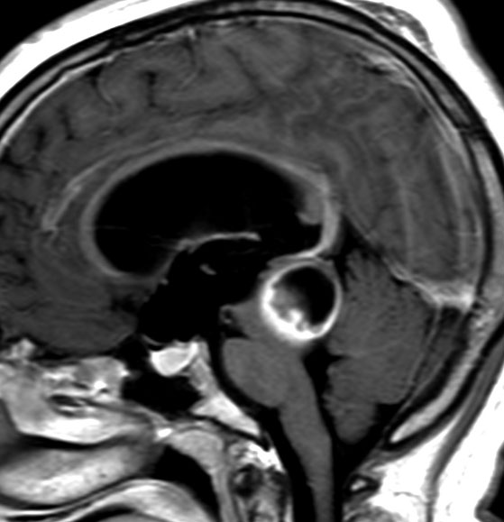
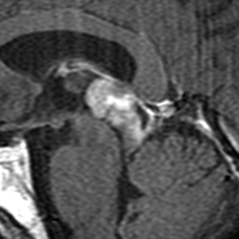
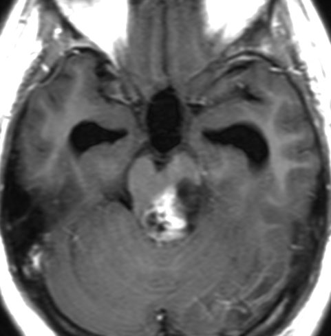
T1強調ガドリニウム増強画像です。15歳の時は腫瘍の半分以上が強くガドリニウム増強されていましたが,この21歳の時の画像では,中心部やや右寄りに増強像が認められるだけです。この性質は,腫瘍が毛様細胞性星細胞腫であることを示しています。
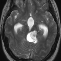
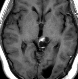
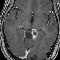
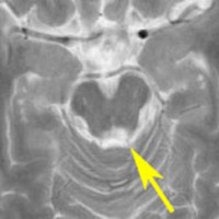
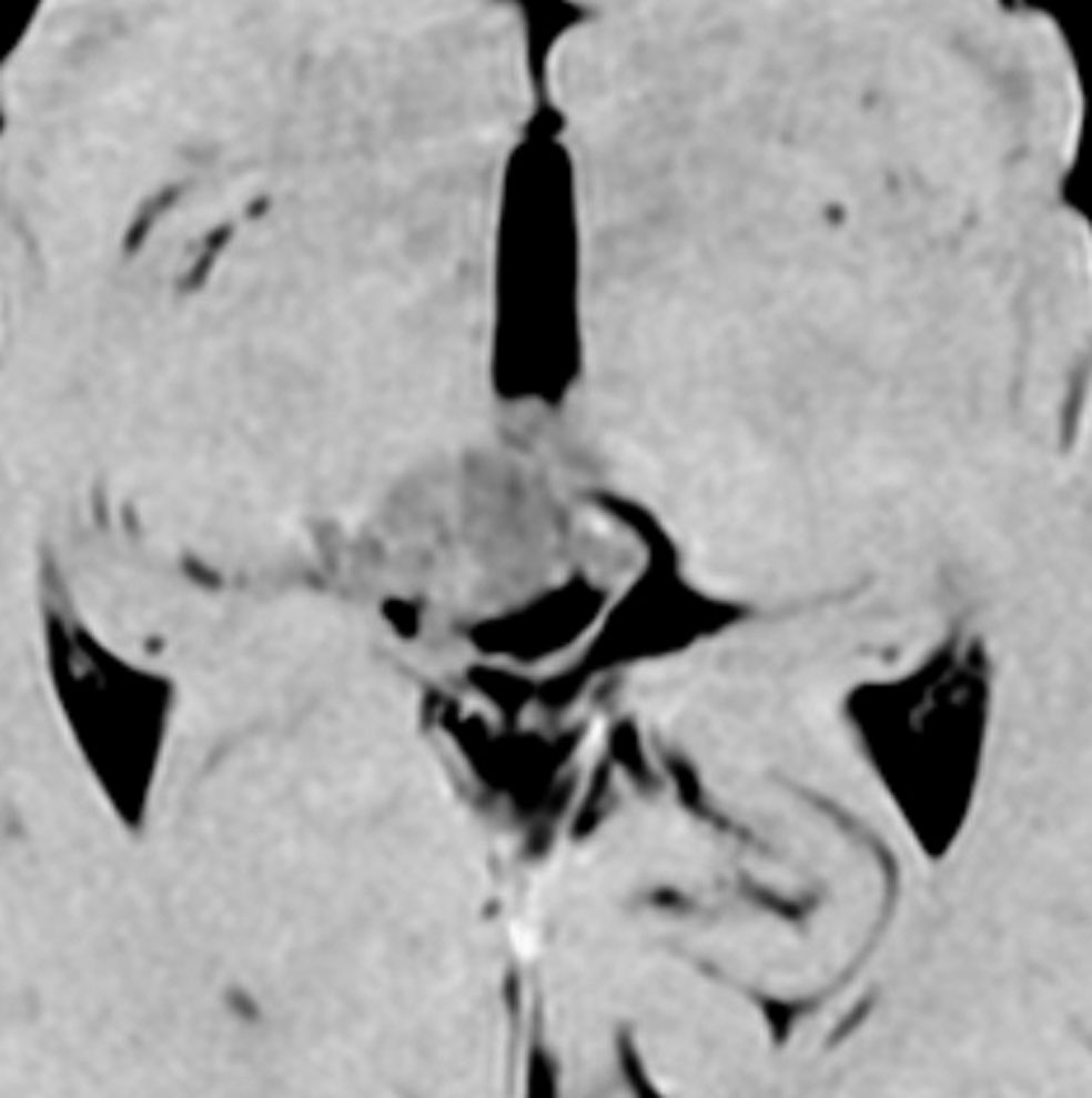
左はT2強調画像,右はFLAIR画像です。中脳視蓋 tectum の中でも上丘が腫瘍化していることが解りますし,松果体は正常の大きさで腫瘍の上に乗っていますから,松果体腫瘍ではないことが解ります。上髄帆にも浸潤しています。
この患者さんは脳室の壁が硬くなってしまう slit ventricle syndromeのために,シャント不全でも脳室拡大しないで脳圧亢進が生じて,重篤な意識障害になっていました。治療は,確実に閉塞性水頭症を解除するために,前頭開頭手術で第3脳室の終板というところと灰白隆起の後ろ側を破る,脳室開窓術をしました。 その後にシャントを結紮して水頭症の悪化がないことを確かめてから,シャントを抜去しました。この手術の後,12年経ちますが医療関係の社会人として立派に生活しています。軽度の視野狭窄以外の後遺症(神経脱落症状)はありません。
15歳で水頭症で発症して進行した例
手術摘出した方が良い例です。
毛様細胞性星細胞腫であり,基本的には初回手術で全摘出できるのですが,現実的には,技術的に難しすぎるので部分摘出で終えることが多いでしょう。この子は,15歳の時に閉塞性水頭症のために,頭痛,嘔吐,意識障害,瞳孔不同となりました。開頭部分摘出術と第3脳室開窓術で回復して,その後にカルボプラチンとビンクリスチンの化学療法を受けました。
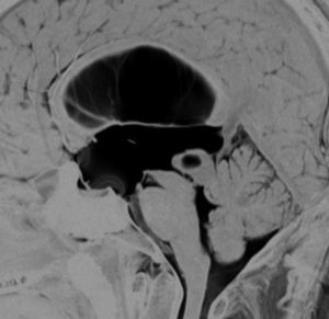
でも腫瘍増大が止められずに,発症1年後に54グレイ30分割の放射線治療を受けています。さらにその半年後くらいから再増大しましたが,スードプログレッションと考えられました。上左MRIは放射線治療前,上右MRIは放射線治療1年後です。毛様細胞性星細胞腫は放射線治療後に一過性増大(多くはのう胞性増大)することが多いです。
のう胞性拡大が止まらず,発症3年後にまた再開頭手術 (left occipital transtentorial approach) で亜全摘出しました。右は術後の画像です。初発時の最初の手術で亜全摘出あるいは全摘出 gross total removalできていればと思える例です。
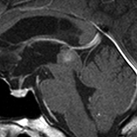
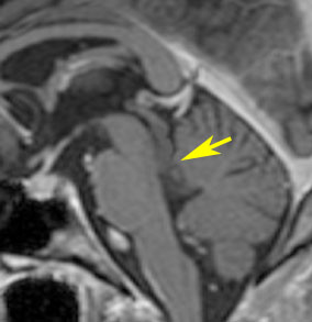
17歳で滑車神経麻痺で発症した例
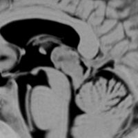
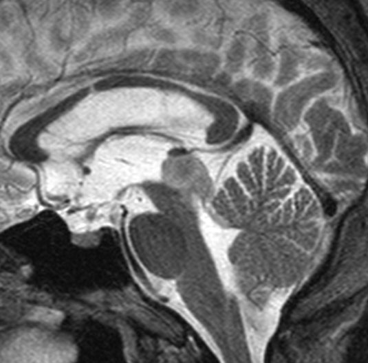
中脳左下丘から上髄帆が腫大しています。滑車神経の出口にあたる部分が侵されていて症状と一致する所見です。右側のガドリニウム増強T1でも増強される部分はありません。確かにtectal gliomaの性質を有していて,3年間ほとんど動きませんでした。piaを押して突出するような腫瘤形成があり,diffuse astrocytomaともまた違う画像所見と言えます。滲み込む infiltrateというより,塊 solid massを作るという形質があるのがtectal gliomaでしょう。
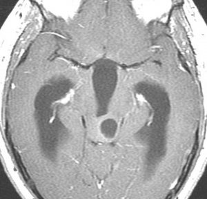
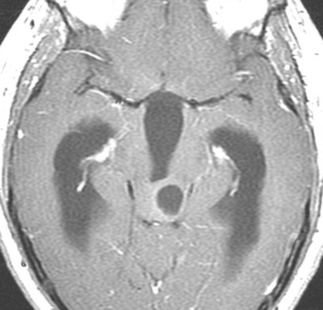
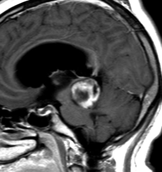
19歳で偶然見つかった例

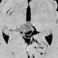
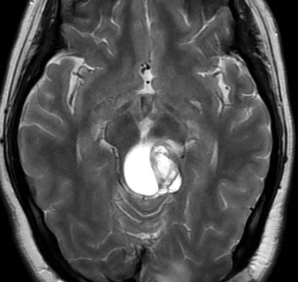
頭部打撲で検査され偶然発見された19歳男性ものです。中脳視蓋全体が腫大して腫瘍化しています。左側にのう胞があり周囲が淡くガドリニウムで増強されます。
中脳水道の癒着閉塞により,高度の停止性水頭症になっています。高身長ですが頭囲が61cmありました。小さい頃から頭が大きいので家族も気にならないようです。数年以上あるいは10年近くの長期にわたってこの水頭症は変わらないのでしょう。
頭痛などの症状はなく,眼底所見も視神経乳頭の異常はありませんでした。無治療で経過観察をしています。認知機能も全く正常で,国立大学から大学院に進む予定です。
もちろんこれからも注意深く経過観察する必要があります。
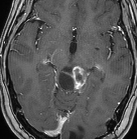
MRIでとても似ている腫瘍
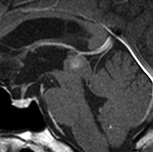
tectal gliomaに間違えそうなPPTID 松果体実質腫瘍
上段のガドリニウム増強MRIでは松果体腫瘍に見えやや境界が不明瞭なので,年齢からはPPTIDが疑われます。しかし,CISSの画像で,中脳上丘との境界がなく中脳腫大があるようにみえ,テクタールグリオーマを疑って経過観察しました。腫瘍がゆっくり増大したので摘出したところPPTIDという診断がつきました。
























