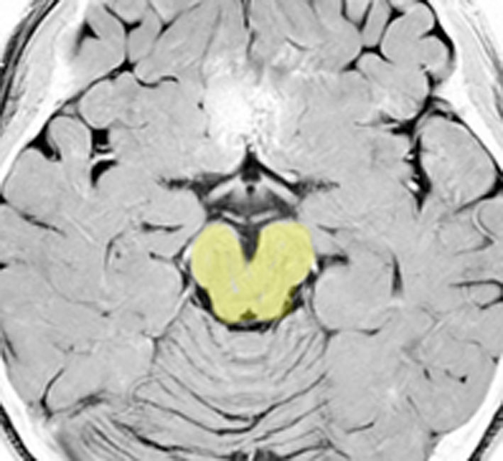
脳幹部の解剖図
- 脳幹部は脳の中でも最も重要な部分です
- 脳幹部の働きが全くなくなってしまうと脳死になると考えてください
- 脳幹内部の脳腫瘍は手術で摘出できないことがほとんどです
- 脳の底面からしか見えないのでいろいろな角度から見ています
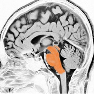
これは脳の中心部を縦切りにした写真です。脳幹部は上から順に,中脳 midbrain (黄色),橋 pons(オレンジ),延髄 medulla oblongata(ピンク)と呼ばれます。

共通しているのは脳幹部の障害では意識障害が出ることです。中脳脚から延髄腹側まで錐体路という運動神経を司る経路があり,これが障害されると片麻痺や四肢麻痺がでます。脊髄視床路の障害では全身の感覚障害となります。主として背側損傷では運動失調も出ます。脳神経麻痺,眼球運動障害,嘔吐などさまざまで複雑な症候が出る重要な部位です。
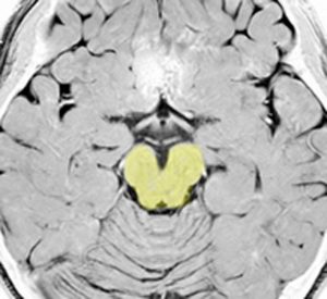
中脳
とても重要で複雑な意識の維持機能を司ります。脳外科医にとっては,触ることのできない部位ともいえます。
意識の中枢。第3脳神経(動眼神経),第4脳神経(滑車神経)が出ます。
中脳の背側は,中脳視蓋(上丘と下丘)といって眼球運動や聴覚の中枢になっています。
中脳の中央に中脳水道という髄液の流れる管があります。その周囲の灰白質を,PAG periaqueductal gray matterといいます。刺激,ストレスや外傷に対する,抗侵害反応,行動制御(動機付け行動),自律神経反射,痛みの受容制御などをコントロールしています。
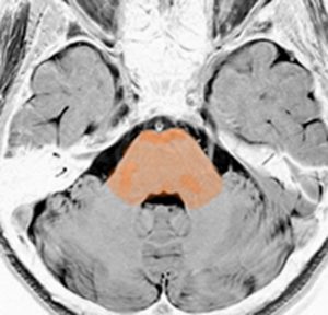
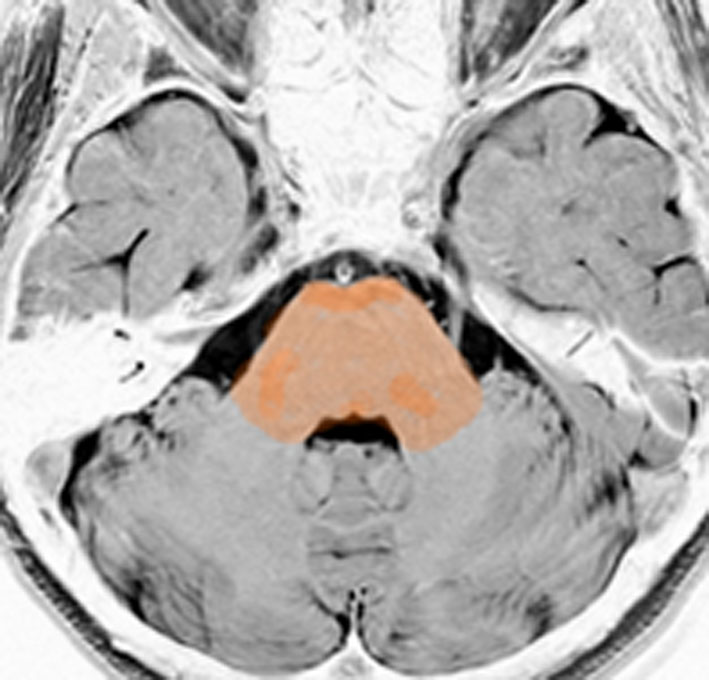
橋
橋からは,第5脳神経(三叉神経),第6脳神経(外転神経),第7脳神経(顔面神経),第8脳神経(前庭神経と蝸牛神経)が出ます。
延髄

延髄には,呼吸中枢,血圧の中枢,嚥下(飲み込み),嘔吐の中枢があります。第9脳神経(舌咽神経),第10脳神経(迷走神経),第11脳神経(副神経),第12脳神経(舌下神経)が出ます。





