視神経膠腫,視路毛様細胞性星細胞腫,視路視床下部毛様細胞性星細胞腫 optic glioma, optic pathway glioma, hypothalamic/optic pathway pilocytic astrocytoma
- 一般的には単純に視神経膠腫 optic gliomaと呼ばれます
- 視神経,視交叉,視床下部,視索、内包,視放線までを侵す腫瘍です
- 正確には視路視床下部毛様細胞性星細胞腫 hypothalamic/optic pathway pilocytic astrocytomaというものです
- 視床下部浸潤と視床下部症状を合併するものが多いからです
- 赤ちゃんから小さい子どもに多いです
- 片眼の視力が悪くなることで気づかれます
- 両目が侵されることもあります
- 赤ちゃんだと,眼が揺れる pendular nystagmus という症状ですが,その時にはもうかなり視力が悪くなってしまっています
- 乳幼児で視床下部にこの腫瘍があると,ガリガリに痩せてしまうことがあります(間脳症候群)
- MRIだけで診断がつきます
- 手術でちょっと腫瘍を取って病理を確かめるという,生検術は必要ありません
- 病理診断のために手術を勧める医師はこの病気のことをわかっていないと思います
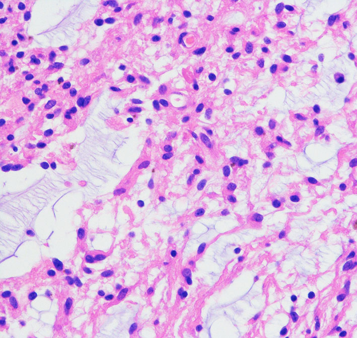
- 病理は,小さい子どもでは毛様粘液性星細胞腫 グレード1 pilomyxoid astrocytoma です
- 年長さんから思春期は,毛様細胞性星細胞腫 グレード1 pilocytic astrocytomadです
- 神経線維腫症1型 NF-1にできるものは,治療しなくても大きくならないものが多いので気をつけてください
- 成人になって発見され視野欠損があるものは,全く増大しないことが多いので,安易に開頭手術で生検などはしないです,経過観察のみで済むことが多いです
- 治療は化学療法(制がん剤)が中心になります
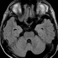
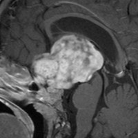
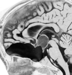
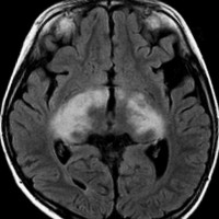
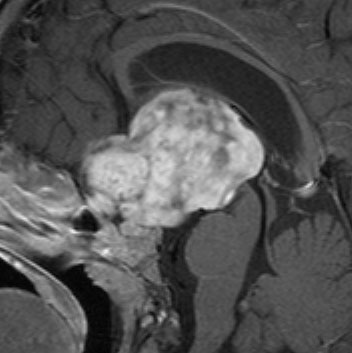
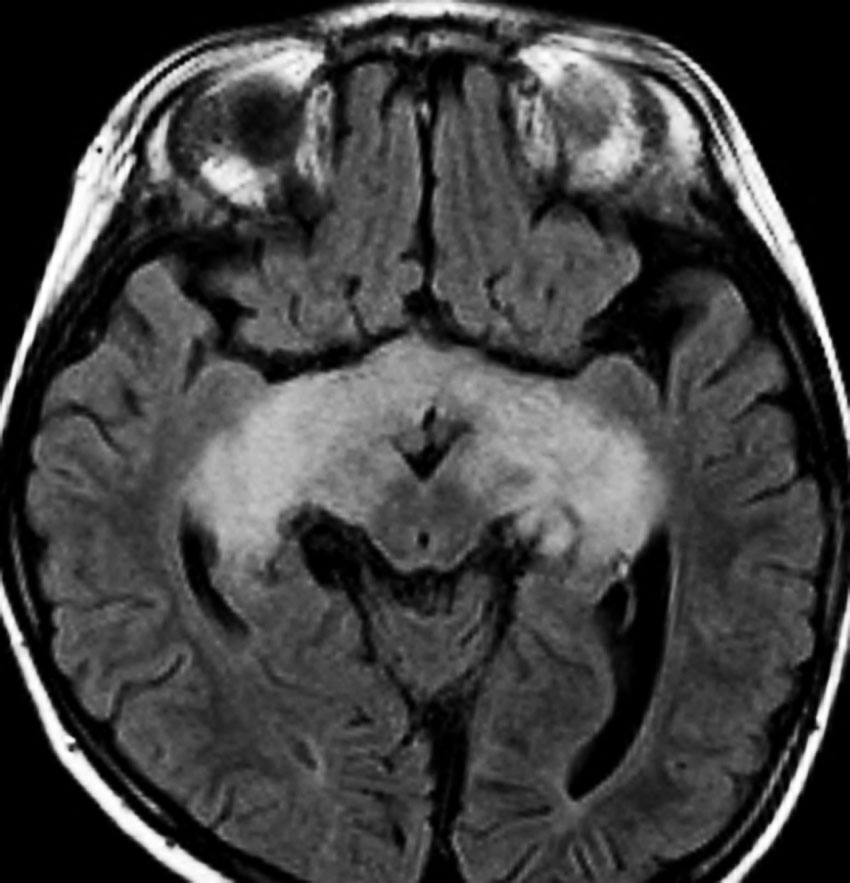
画像の特徴
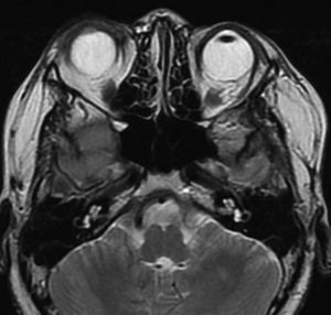
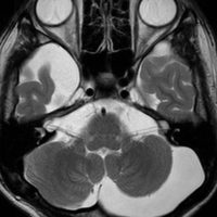
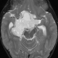
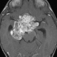
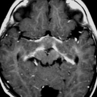
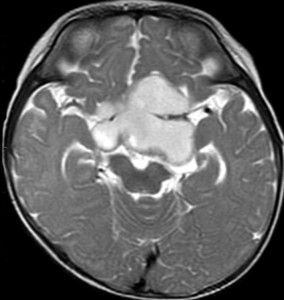
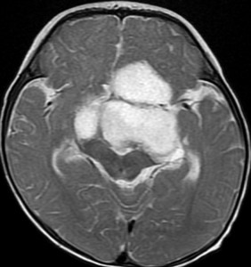
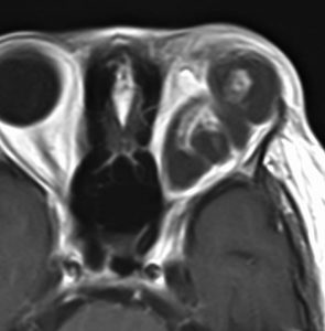
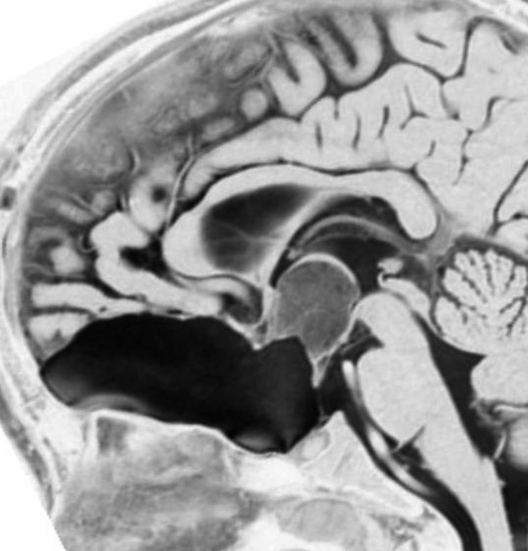
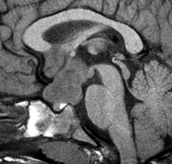
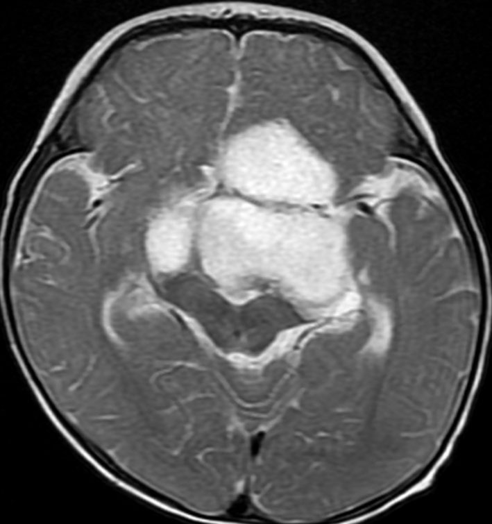
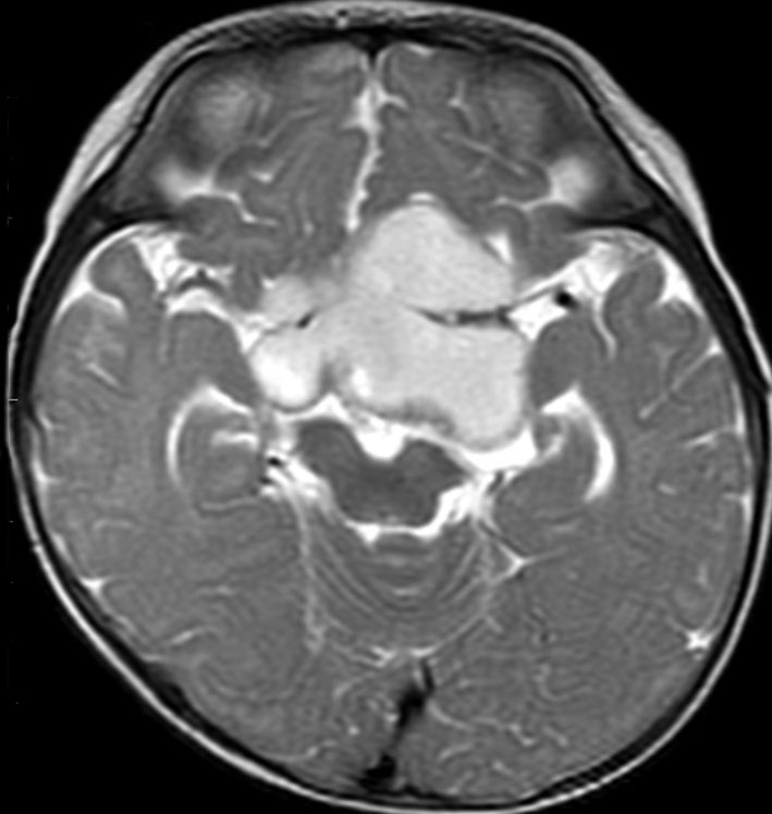
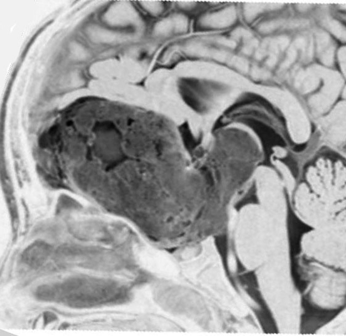
幼児の視路の毛様粘液性星細胞腫です。T2強調画像(左側)で白く高信号に写るのが特徴です。ガドリニウム増強ではまだらになっていますが,均一に真っ白に高信号になることも多いです。乳幼児のものは,ドロドロに柔らかい腫瘍です。
視路 optic pathwayの解剖学
- 視覚情報は,眼球網膜に入って,眼窩内の視神経を通って,頭蓋内に入ります
- 頭蓋内視神経はとても短いです
- 両側の視神経が交わる所を視交差とよびます
- 視交差からまた左右に分かれて,視索になります
- 視索は外側膝状体というところで脳の中に入ります
- そこからは内包後脚,視放線を伝わって,後頭葉まで行きます
- 視路毛様細胞性星細胞腫は上記のどこでも発生します
- この視路に沿って浸潤して広がります
症状
- 乳幼児は視力の低下を訴えることがありません,ですからかなり視力が悪くなってから気づかれます
- 5歳児くらいでも見えなくなる寸前まで言わないことが多いです
- 幼稚園や小学校の検診で視力が悪いことを指摘されます
- 乳幼児では斜視と診断されるのですが,両側の視力が悪くなると斜視のようになります
- 視力がかなり低下すると眼が揺れるような動きをします (振り子様眼振 pendular nystagmus)
- 全盲寸前で発見されることも多いので治療を急ぎます
- 開頭手術で余分な部分摘出などしていると,時間を失い,全盲になってしまいます
- 大きな腫瘍では,第3脳室上部のモンロー孔の閉塞のために閉塞性水頭症となり嘔吐や意識障害で発症することもあります
- この時は,透明中核を開窓してシャント手術をしてから,化学療法にかかります
- 乳児ではガリガリに痩せるという症状で発見されます,これを間脳症候群 diencephalic syndrome といいます(別なページに詳しく書いてあるのでここをクリック)
視路視床下部毛様細胞性星細胞腫の部位分類
これで治療の方向性が決まります
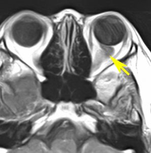
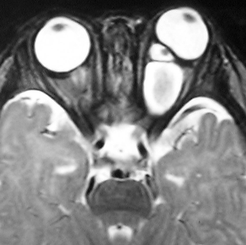
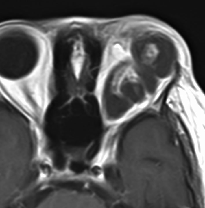
1. 眼窩内視神経膠腫 intraorbital optic glioma
片方の視神経からでるもので,眼窩内で増大しますから,手術摘出で治りますが片眼の視力を失います。化学療法があまり効きません。神経線維腫症1型に多いタイプです。
眼窩内単視神経膠腫
1歳児の左眼窩内単視神経膠腫です。左目は手動弁程度ですから,全摘出しました。まぶたの動きと眼球運動は温存しました。この例に何年も化学療法を続けるのは馬鹿げています。
左の写真は,左眼窩内腫瘍,右の写真は,頭蓋内の正常左視神経です。
2. 単神経視神経膠腫 single optic nerve glioma
頭蓋内でしばしば巨大な腫瘍となり視交叉に少し入ります
大きくなると画像診断が難しく,視交叉も侵されているようにみえますが,視野検査が診断を補助しますから,幼児でもがんばって視野検査します
眼窩内と頭蓋内にありますが片方の視神経だけを侵しますから,手術摘出できるものです
頭蓋内単視神経膠腫
2歳のとき右眼の失明で発症し化学療法が継続されました。これは8歳の時の視野検査です。数ヶ月の経過で左眼も耳側半盲となりました。手術前の視野検査で,この腫瘍が右視神経から発生し,左眼は腫瘍に侵されず,たんに圧迫を受けていることがわかります。ですから,単視神経膠腫です。
化学療法を長く受けた腫瘍は巨大でした。この腫瘍を亜全摘出しました。幸い左眼の視野は改善して視床下部下垂体障害もでませんでした。2歳の時に開頭手術で全摘出するべきものでした。
3. 視路視床下部毛様細胞性星細胞腫 optic pathway / hypothalamic pilocytic astrocytoma
最も多い重要なタイプで,主として視交叉から視床下部へも浸潤するものです
化学療法が治療手段の中心です
化学療法抵抗性,あるいはのう胞性拡大などの場合によって,減荷手術 debulking surgery のタイミングが難しいものです
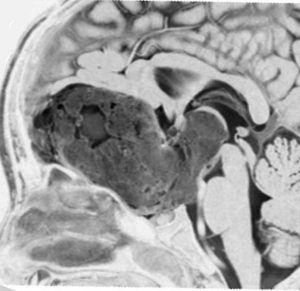
4. 視床下部毛様細胞性星細胞腫 hypothalamic pilocytic astrocytoma
視交叉の後上部から発生しますが,主として視床下部を侵して第3脳室腫瘍として間脳症候群で発症します,視路視床下部毛様細胞性星細胞腫と同じ考え方で治療します
第3脳室腫瘍として増大したものは,1度の開頭手術摘出だけでコントロールできるものがあります,ただし複数回手術になることが多いです
5. 視索毛様細胞性星細胞腫 optic-tract pilocytic astrocytoma
片側の視索に限局して発生増大するものです
同名半盲という特徴的な症状のみで経過します
外側膝状体に及ぶことが多く,摘出は極めて困難です
年長児では半定位分割局所放射線治療の良い適応となるものです
6. 全視路毛様細胞性星細胞腫 whole optic pathway pilocytic astrocytoma
塊としての腫瘍が目立たないのに,両側視神経から視交差、視索,外側膝状体,内包後脚,視放線,視床下部,視床などに浸潤するもので,化学療法だけが治療手段です
whole optic pathway pilocytic astrocytomaとは
両側の眼窩内視神経から視交叉、視索,外側膝状体,内包後脚,視放線近位部までが腫瘍化しています。FLAIRで高信号で,不規則にガドリニウム増強されます。これを手術摘出したり生検したりしても無駄です。放射線治療は不可能であり治療方法は化学療法のみです。




この子はCDDP/VCRの化学療法から開始して12年になりますが,今は無治療でわずかな視力ですが学校に通っています。優等生です。自然退縮を見ていますが,今後も変化する可能性はすこし残しています。
生検手術を計画しない
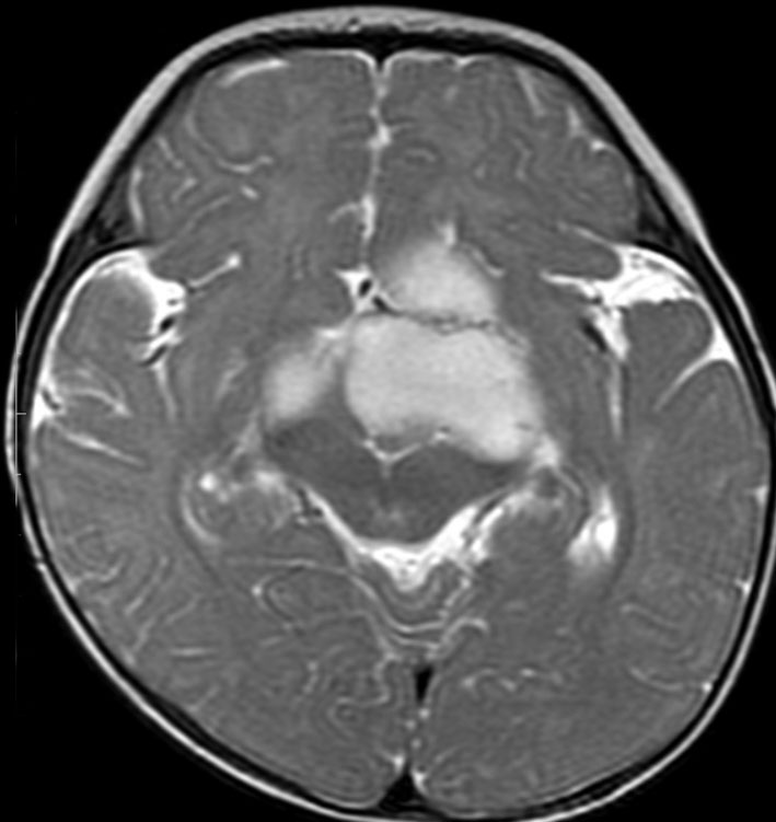
乳児のものは大きくなるのが早い
生後7カ月の幼児です。目が揺れるようになり(振り子様眼振)眼科を受診して腫瘍が発見されました。小児脳腫瘍の治療ができる病院へと紹介されました。
1ヶ月後にまたMRI検査がされました。乳児ですから検査にも麻酔が必要です。腫瘍は明らかに大きくなっています。左視神経から視索の腫瘍化が著しいので右側だけかすかに視力が残っているかもしれません。視力は明かりがわかる程度(明暗弁)と評価されました。
主治医の先生からこの赤ちゃんの両親に手術が提案されました。理由は,「とってみなければどんな腫瘍かわからない,病理診断ができないと制癌剤(化学療法)が選択できない」というものです。
こんなことを書くのは悪いことかもしれませんが,まったく馬鹿げた提案です。この画像はどこをどう見ても視路から発生した毛様粘液性星細胞腫です。画像はpathognomonic(日本語で火を見るよりも明らか)です。この小さな子に,全身麻酔をして開頭手術で生検病理診断すれば,それだけで3週間は化学療法の開始が遅れます。その間に明かりも見えなくなってしまう(完全失明する)可能性が高いでしょう。2021年時点でも,開頭手術による生検術は行われていますが,こんな重病の小さな子どもの頭を無用に開くなど,私にはもう理解不能です。
この様な増殖力が早い毛様粘液性星細胞腫は,髄液播種(脳脊髄に広範囲に転移)することがあります。手術で細胞を散らせば致命的な播種を誘発する可能性さえあります。
毛様細胞性星細胞腫の自然歴 natural history(年齢による腫瘍の性質変化)
in infant 0歳から5歳
pilomyxoid type
rapid tumor growth, CSF dissemination
in very young children 4歳から10歳
continuous growth of tumor
worsening of vision and hormonal function
in young children 8際から16歳
growth arrest and/or regrowth
cystic degeneration and expansion
in adolescent 16歳以上
spontaneous involution
in adult 20歳以上
quiet tumor residue
小児の毛様細胞性星細胞腫は不思議な腫瘍です。患児の脳の成長とともに増大し,やがて自然退縮する時期(ほっといても治る)がきます。
乳幼児時期には,病理組織像が毛様粘液性星細胞腫で,MRI T2で均一な高信号になりガドリニウムで強く増強されます。腫瘍の増大速度は速く,稀には髄液播種することもありそれが腫瘍死の原因となることもあります。奏効率の高い化学療法を早く開始する必要があります。
少し経過して幼児期には,速度は落ちるがやはり腫瘍は増大傾向をたどり腫瘍内のう胞形成とのう胞の拡大をみることが多いでしょう。この時期にも症状の悪化が多く,化学療法は継続する必要があります。pilomyxoid typeからjuvenile type pilocytic astrocytomaへ病理組織像が変わっていきます。
学童期では,化学療法が奏効すれば腫瘍の増大が止まるか,あるいはまたゆっくりと再増大します。それとは別に,腫瘍実質が増大せずに,腫瘍のう胞のみが拡大するという現象が生じます。のう胞拡大は oncolytic cyst と呼ばれるような腫瘍変性に伴うものであり,化学療法を行なってものう胞拡大を止めることが難しいです。手術によるのう胞壁部分摘出がとなる時期でもあります。
思春期になると,治療を加えなくても腫瘍は増大傾向を停止することが多いでしょう。この時期までの長年にわたっての治療が必要となると考えて,初期治療に当たることが肝要です。さらに自然退縮という腫瘍の縮小傾向がみられることが多くなります。
成人では,増大しないmassとして腫瘍が発見されます。T2強調画像でわずかな高信号,ガドリニウムでほとんど増強されない,無治療で経過観察しても全く変化がないということがしばしばであるので,視野欠損などの症状があっても,このようなものを疑えば生検手術もせずに経過のみをみたほうがいいです。
治療の大切な考え方
- 高リスク手術で全摘出できる機会は少なく,放射線治療は認知機能低下・間脳下垂体機能低下などの重篤な遅発性障害が危惧されます。
- ですから「化学療法だけでなんとかしよう」というのが小児科医の考えです。
- しかし,「この腫瘍は化学療法で治癒することがない」とくらいに考えておいた方がいいでしょう。
- 初期治療で寛解導入,維持化学療法,経過観察,再燃,化学療法再開,開頭腫瘍摘出術—–を際限なく繰り返します。
- 治療期間は10年を超えることが珍しくありません。十数年と思ってください。
- 1種類の化学療法のプロトコールで済むことはまずありません。
- さまざまな化学療法をとっかえひっかえ続けることになります。
- 思春期を超え,成人に近づき自然寛解の時期を期待して,何年も何年も頑張るのですが,そうは行かなくて,制御がきかず腫瘍増大で死亡する子供は少なくありません。
- 20歳を超えても腫瘍増大が続き,亡くなる患者さんもいます。
- 乳幼児に発症し,20年くらいの経過を見ないと,この病気の本当の顛末を理解できないことを考えて治療にあたってください。
- 数年で勝負がつく治療ではありません。
- 放射線治療を避け,時には外科的干渉を躊躇せずに行いながら,化学療法を継続します。
- 大きな腫瘍では,20%くらいの患児に水頭症を合併します
ダブラフェニブとトラメチニブの日本での治験と使用(2024年)
- 従来の治療に抵抗性のものには,BRAF阻害剤のタフィンラー(ダブラフェニブ)とメキニスト(トラメチニブ)の併用投与が保険診療でできます
- BRAF v600遺伝子に変異のある例で,タフィンラーカプセル(ダブラフェニブ,BRAF阻害剤),メキニスト錠(トラメチニブ,MEK阻害剤)を経口投与するものです
- 2023年時点でもっとも期待を持って臨床使用がされている標的治療です
- でもBRAF変異は毛様細胞性星細胞腫の3 – 10%くらいにしかないです
- BRAF v600変異がある腫瘍を有する15歳以下の小児にダブラフェニブ・トラメチニブ投与します
- 治験は,杉山未奈子先生が担当者です
RAF V600変異陽性局所進行・転移性小児固形腫瘍に対するダブラフェニブ・トラメチニブの第II相試験 (jRCTs011220017)
(クリックすると開きます)
化学療法について
シスプラチンとビンクリスチン
Sawamura Y, et al.: Chemotherapy with cisplatin and vincristine for optic pathway/hypothalamic astrocytoma in young children. Jpn J Clin Oncol 39: 277-283, 2009
入院が必要ですが切れ味(奏功割合 75%,腫瘍縮小率)は良いと思います。大きな腫瘍を制御するために,初回治療に用いて合計6コースします。
シスプラチンは聴力低下が生じるので禁忌であるという意見があります。しかし,それはむやみにシスプラチンの血中濃度を高くしすぎるからです,少量長時間投与すれば問題ありません。今まで100例を超える子供たちに以下のようなシスプラチンを用いてきましたが,あっても高音域聴力低下のみで会話域での聴力障害を経験したことはありません。1歳でも頻回の聴力検査と4000Hz以上の領域低下でのシスプラチンの適切な減量を行うという慎重さがあればできることです。
シスプラチン 20 mg/m2/day day 1-5 div
ビンクリスチン 1.4 mg/m2/day days 1,8,15 iv
2歳未満の乳幼児は次のようにします
シスプラチン 0.7 mg/kg/day day 1-5 24hr div
ビンクリスチン 0.05 mg/kg/day days 1,8,15 iv
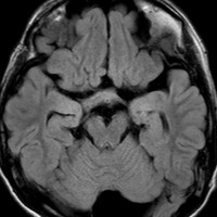
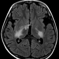
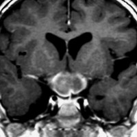
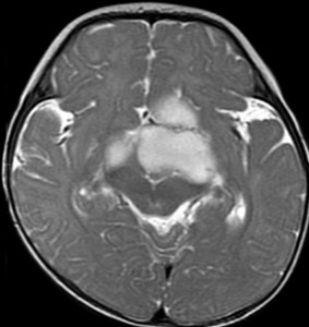
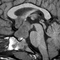
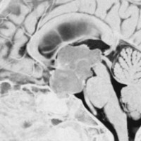
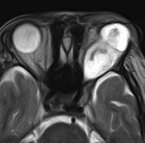
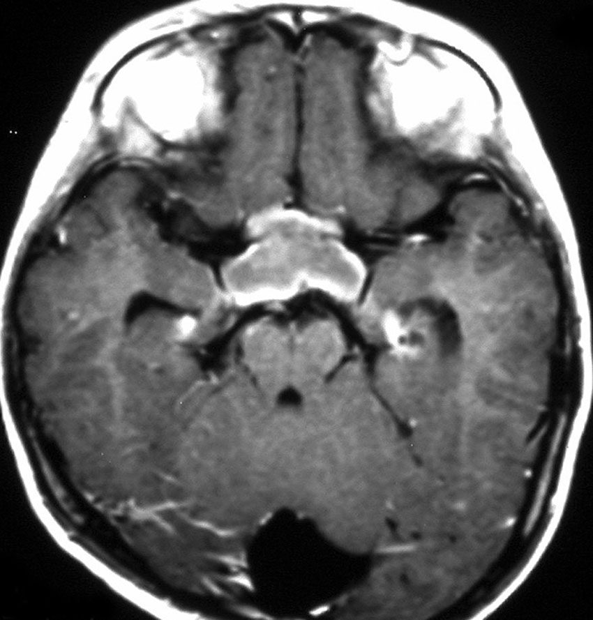
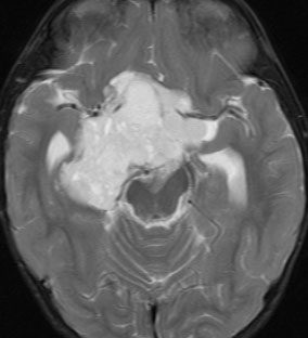
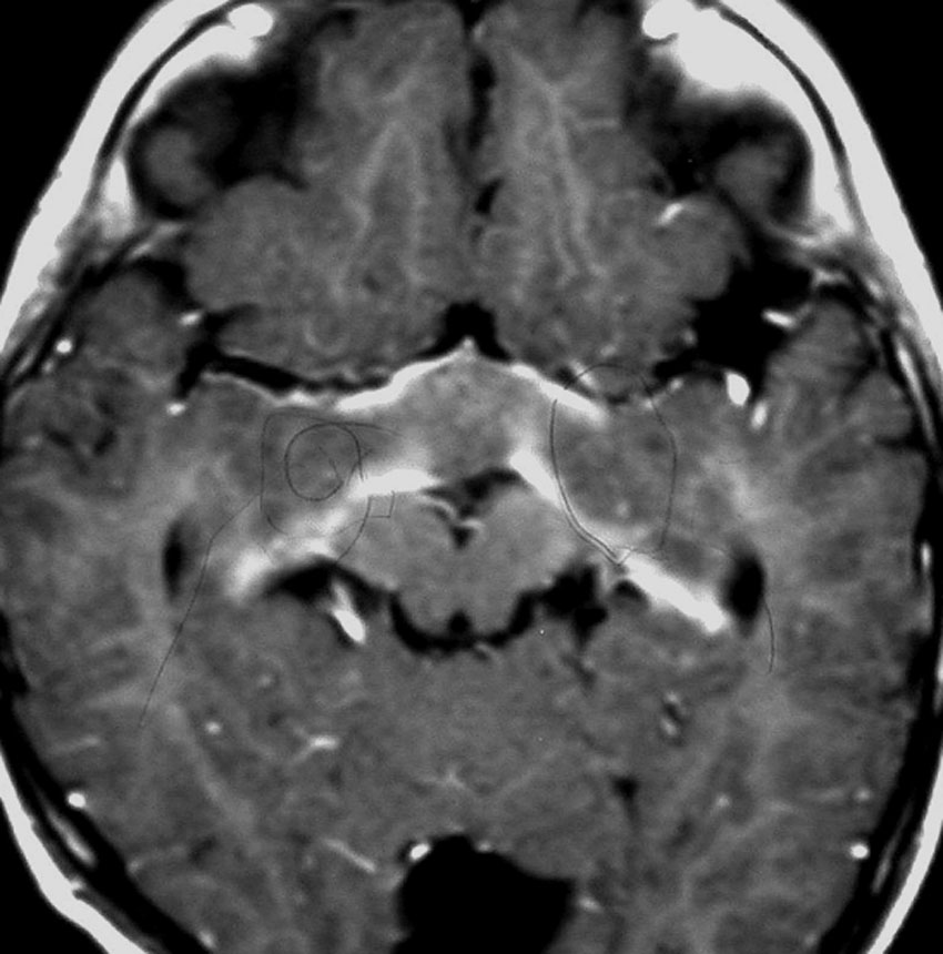
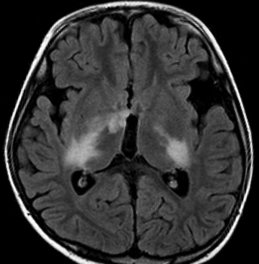
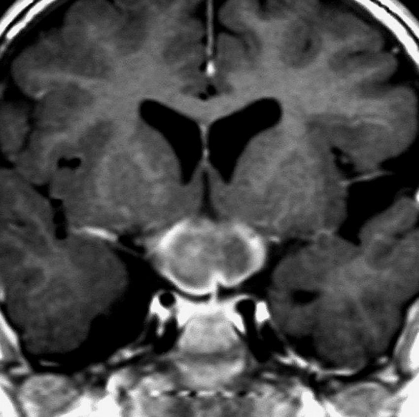
化学療法が有効なのは,上の画像のようにガドリニウム増強で強く増強されるタイプです,またT2強調画像で強い高信号になるものほど化学療法が有効です,要するに毛様粘液性星細胞腫の要素に化学療法が有効であるということです
この毛様細胞性星細胞腫はガドリニウムでほとんど増強されません(右側のMRI)から,化学療法を行っても小さくなりませんので,手術摘出する必要があります,実際に視床下部から発生したもの視交叉が犯されておらず,手術亜全摘出できました
カルボプラチンとビンクリスチン
Packer RJ, et al: Carboplatin and vincristine chemotherapy for children with newly diagnosed progressive low-grade gliomas. J Neurosurg 1997;86:747–754
世界で最も広く初期治療に使われています。入院してすることも外来投与もできます。
導入化学療法でカルボプラチン 175 mg/m2 weekly (weeks 1-4, 7-10) と ビンクリスチン 1.5 mg/m2 weekly iv (weeks 1-10) を10週間使って,後は同じような方法で4週間治療して3週間の休薬期間をおいて,最大で12コースまで治療を続けるという方法です。
最初の論文では,進行性の悪性度の低い神経膠腫に用いられましたが,かなりの症例が毛様細胞性星細胞腫と考えられます。78人の子供のうち44人(56%)で腫瘍が客観的に小さくなったという成績が得られました。
解説:この化学療法は,外来でできるし,有効性(奏功割合 60-70%)も高くて,たくさんの症例で証明されていて,いろいろな施設で追試されても信用性があって,標準的な治療として世界に広まりました。ビンクリスチンを長く使うと末梢神経障害がおこるのでこの治療を嫌う先生もいます。また,カルボプラチンアレルギーが生じて使えなくなることもあります。長期間(2年くらい)使用できる化学療法というのがこの治療法の強みでもあるでしょう。逆に4割近い例がこの治療に抵抗性であることも忘れてはなりません。乳幼児の大きな毛様細胞性星細胞腫への導入化学療法としてはシスプラチンを使った方が奏功率は高いです。
ビンブラスチン(エクザール)
カルボプラチンとビンクリスチンの初期化学療法の継続が難しくなった時に,セカンドラインとしてビンブラスチン (vinca alkaloid) が広く用いられます。週に1回の注射 (6 mg/m2, once per week, over a period of 70 weeks) で使います。ビンカアルカロイドなので長期投与が可能です。奏功割合は上記のものより低く(minor reponse以上で26%程度),巨大な腫瘍を縮小させるための初期治療には適していません。小さな腫瘍の初期治療あるいは維持療法として用いるべきです。有害事象(好中球減少,上気道感染,発熱)を見て,5 mg/m2,4 mg/m2へと減量しながら長期投与します。
テモゾロマイド
月に5日間だけ自宅で飲みます。有効であるという報告はありますが,維持療法として使うべき薬剤です。アルキル化剤なので年余の投与では2次癌の心配が少しあり,投与は限られた期間に設定した方がいいでしょう。でも,テモゾロマイド単独治療だけで治った子もいます。
アバスチン(ベバシズマブ)
強くガドリニウム増強されるタイプ(多くはpilomyxoid type)に有効です。腫瘍を小さくする効果は高いのですが,投与を中断するとまた腫瘍は増大します。急いで腫瘍を取りあえず小さくくして視力を助けたい時には有力です。アバスチンのみを1回10mg/kg(体重)を2週間間隔で点滴静脈内注射します。
アフィニトール(エベロリムス)
長期間経口投与できる薬剤です。米国で臨床試験が進んでいますが,日本では保険診療で使用できないので薬剤費が高額になってしまいます。
ベムラフェニブ vemurafenib
BRAF阻害剤です。BRAF-V600Eの変異がある毛様細胞性星細胞腫に有効です。まだ治験の段階で2023年時点で日本には導入されていません。
セルメティニブ selumetinib
BRAF遺伝子異常がある例に経口投与されます。MEK阻害剤です。2020年の段階で臨床第3相試験が行われいています。
ビノレルビン(ナベルビン)
ビンカアルカロイド系薬剤で,外来で注射して比較的長期に使用します。エビデンスは乏しいのですが,文献はあります。保険適応はありません。
手術治療の役割
Sawamura Y, et al.: Role of Surgery for Optic pathway / Hypothalamic Astrocytomas in Children. Neuro Oncol 10: 725-733, 2008
- この腫瘍は画像診断できるので,病理診断のための生検手術は必要ありません
- 視床下部,視神経,視交叉,視索という摘出すれば障害がでる部位に発生しますから,手術をするかどうかの判断は極めて難しいものです
- 乳幼児,小さい子供の治療の基本は,化学療法であって,手術治療は化学療法への補助治療となります。
- 小脳発生のものと正反対で,単神経腫瘍 single optic nerve glioma以外は,完全摘出はできません
- 必要であれば部分摘出術をしますが,その時期と手術の方法がとても複雑で難しいです
- 手術は減荷術 debulking surgeryといい,できるだけたくさんの量を摘出して時間をかせぐという目的となります
- なぜなら年齢が高くなるとこの腫瘍は大きくならなくなることがあるので,そこまでの時間(年月)をかせぐのです
- 年長児から思春期になって腫瘍がのう胞性拡大してきたときには,化学療法では縮小しなくなりますから,手術でのう胞壁を含めて部分摘出します
- 水頭症に対しては,内視鏡による透明中隔穿破とV-Pシャントをします
- 年長児から成人期に入り,MRIでガドリニウム増強される腫瘍が小さく,その部分だけ摘出すればもう増大しないという判断があれば摘出します,これは治癒を目指した手術となります
- 年長児や成人では手術治療の役割はかなり大きくなります
放射線治療
- 行うべきではありません
- 小さい子どもの視床下部,大脳基底核,視神経と視交差、視索,乳頭体,下垂体などが被爆するからです
- この領域の照射は,midline cranial irradiationと呼ばれますが,小さな子どもには遅発性放射線障害がとてもひどいのです
- 認知機能障害(高次脳機能障害)が避けられず,視力障害と学習障害で自立できなくなります
視路・視床下部の毛様細胞性星細胞腫で命を失ってしまう時
- この腫瘍で命を失う子供や若者は少なくありません
- 腫瘍が巨大になるとコントロールできなくなります
- 視床下部障害,髄液吸収障害・難治性水頭症,脳ヘルニア,髄液播種,難治性てんかんなどが原因で死亡します
- 一番の原因は,化学療法で腫瘍が小さくなった時に,経過観察をしすぎて腫瘍を巨大化させてしまうことによります
- 大きな考え違いは,思春期になると腫瘍の増大傾向が止まる(自然退縮)があるのだろうと,期待しすぎて腫瘍をほっておくことにあります
- 治療法は,化学療法,手術,放射線治療があるのですが,腫瘍が巨大化してしまう前に,手段を尽くして治療を継続しなければなりません
- 特に,手術での減荷(亜全摘出)が有用です,でも難易度が高いです
- 100 cm2 (ml)の腫瘍体積を超えなければよいなどと安易な考えはもってはいけません

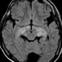
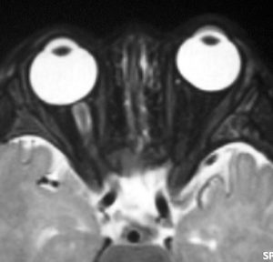
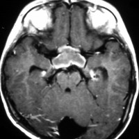
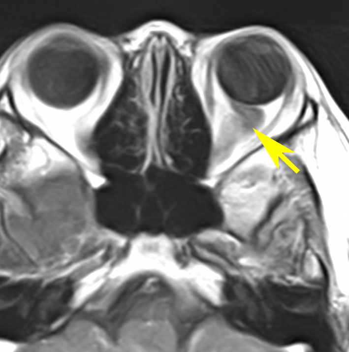
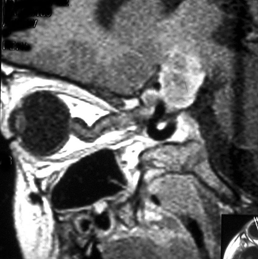
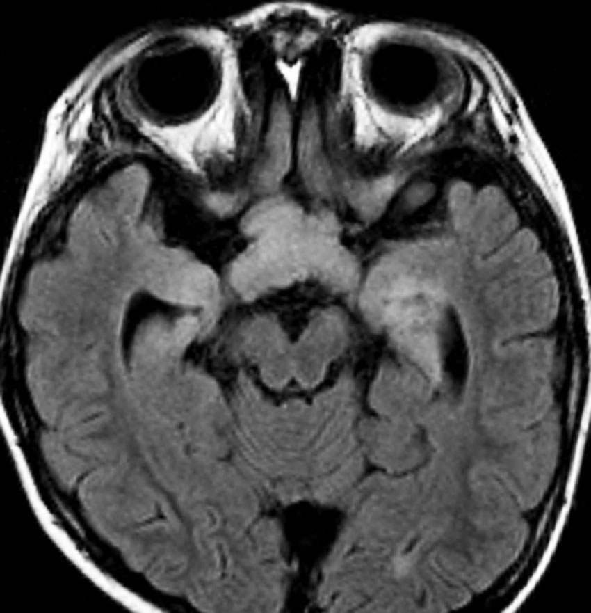
視索に限局する毛様細胞性星細胞腫

左の視索の内部から発生したもので,これも単神経・視神経膠腫と同様によくみるものです。左の画像で視神経交叉が全く侵されていないのがわかります。
単視神経膠腫は全摘出できるのですが,このタイプは外側膝状体へ及ぶので完全摘出ができません。部分摘出と定位放射線治療が適応となります。
文献情報
BRAF V600 mutationのある低悪性度グリオーマには,ダブラフェニブとトラメチニブとの併用が有効
Dabrafenib plus Trametinib in Pediatric Glioma with BRAF V600 Mutations. N Engl J Med 2023
下記の学会発表が論文となりました。ダブラフェニブは単独あるいはトラメチニブとの併用で,BRAF V600 mutationを有する低悪性度グリオーマに有効なことが知られています。ダブラフェニブ/トラメチニブとCBDCA/VCRの効果が比較されました。CBDCA/VCRは旧来小児のグリオーマに最も使用された併用化学療法です。ダブラフェニブ/トラメチニブで44%,CBDCA/VCRで11%の奏功率 (CR or PR)が得られました。臨床的な利点はそれぞれ86%と46%でした。PFS中央値は20ヶ月と7.4ヶ月でした。
「一言』PFSが20ヶ月ということは,2年を待たずに再燃するということです。しかし毛様細胞性星細胞腫では,期待ですが,数年の時間稼ぎができて,その内に再増大しない腫瘍 spontaneous involution となるのかもしれません。もう一つ,毛様細胞性星細胞腫のCBDCA/VCRの奏功率は11%ではなくて,50%を超えるでしょう。ですから,この治験ではCBDCA/VCRが効きづらい腫瘍群が対象となっていることに注意です。
BRAF V600 mutationのある高悪性度グリオーマには,ダブラフェニブとトラメチニブとの併用がある程度有効
Phase II Trial of Dabrafenib Plus Trametinib in Relapsed/Refractory BRAF V600-Mutant Pediatric High-Grade Glioma. J Clin Oncol 2023
BRAF V600 mutationは小児悪性神経膠腫の8-10%に認められます。41例の再発あるいは治療抵抗性の悪性グリオーマが対象です。奏功割合は56%,反応期間中央値は22ヶ月でした。半分くらいの例で2年弱有効であるという結果です。
難治例は,発症年齢が早く,男児に多く,BRAF融合がある
Li X: The clinical and molecular characteristics of progressive hypothalamic/optic pathway pilocytic astrocytoma. Neuro 0ncol 2023
視床下部視路を侵す毛様細胞性星細胞腫は基本的には難治性疾患で,初期治療に抗して進行したり,播種したり,腫瘍死に至る例があります。72例が分析されました,追跡期間中央値は12.3年です。このような難治例の特徴は,男女比が 2.6 : 1,診断年齢が若く3.2歳,予後良好例と比較して,KIAA1549-BRAF fusionが非常に高い (81.5% vs 38.5%, P =.0032)という特徴がありました。
NF-1 神経線維腫症1型にできる難治性のもの
Notch C: Risk Factors for Treatment Refractory and Relapsed Optic Pathway Glioma in Children with Neurofibromatosis Type 1. Neuro Oncol, 2022
NF-1の子供に発生する視神経膠腫は治療の必要のないものがあります。一方で予後の悪い治療抵抗性のものもあります。治療が必要な例で3分の1で化学療法が効かないとされています。103例で化学療法後の追跡期間中央値は95カ月です。82%の患児がカルボプラチンを基剤とした化学療法を受けていました。45例 (44%)が初期化学療法抵抗性でした。24ヶ月未満の子供かつ視神経より後方へ進展した例で化学療法抵抗性の傾向がありました。当たり前のことですが,視神経乳頭の異常所見,高度の視力障害で発症した例で予後が悪かったとのことです。
視交叉前方の視神経を侵すのみの視神経腫瘍の摘出術
Zipfel J: Surgical Management of Pre-Chiasmatic Intraorbital Optic Nerve Gliomas in Children after Loss of Visual Function—Resection from Bulbus to Chiasm. Children 2022
眼窩のなかにあって,目がとても痛かったり,目が腫瘍に押されて飛び出してくるときに,腫瘍を手術で亜全摘出します。その方法が書かれていますが,肝心なのは,眼球温存と眼球運動の温存です。動眼神経機能を保ちながら腫瘍を亜全摘出すると治ります。
視交叉前方の視神経を侵すのみの視神経腫瘍の摘出術
澤村 豊:視路 ・ 視路毛様細胞性星細胞腫の手術,発生部位/手術適応を決めるための大まかな分類/手術適応/単視神経腫瘍の鑑別/手術の目的/眼窩内単視神経膠腫の手術手技/再発時の治療方法。グリオーマ,プライム脳神経外科4,隈部俊宏編集
眼窩内毛様細胞星細胞腫の摘出方法が画像を入れて書いてあります。私が書きました。
ダブラフェニブが有効であった
Mustansir F: Dabrafenib in BRAFV600E mutant pilocytic astrocytoma in a pediatric patient. Childs Nerv Syst 2020
視路毛様細胞性星細胞腫の1例にダブラフェニブが有効であった1例報告です。
BRAF変異のある例でセルメティニブ selumetinibが有効だった
Fangusaro J: Selumetinib in paediatric patients with BRAF-aberrant or neurofibromatosis type 1-associated recurrent, refractory, or progressive low-grade glioma: a multicentre, phase 2 trial. Lancet Oncol. 2019
BRAF aberrations (KIAA1549-BRAF fusion or the BRAFV600E mutation)があり従来の治療に抵抗性の毛様細胞性星細胞腫に,MEK阻害剤であるselumetinibが経口投与されました。25例中9例 36%でsustained partial responseが得られました。11例で3年ほど増悪がなかったとのことです。
V600E変異のある例でベムラフェニブが有効だった
Kaley T: BRAF Inhibition in BRAFV600-Mutant Gliomas: Results From the VE-BASKET Study.J Clin Oncol. 2018
Upadhyaya SA: Marked functional recovery and imaging response of refractory optic pathway glioma to BRAFV600E inhibitor therapy: a report of two cases. Childs Nerv Syst. 2018
この2つの論文は,BRAF-V600E変異のあった毛様細胞性星細胞腫に,BRAF阻害剤 ベムラフェニブが有効であったことを記載しています。
ビンブラスチンは初期治療としても用いることができる
Lassaletta A, et al.: Phase II Weekly Vinblastine for Chemotherapy-Naïve Children With Progressive Low-Grade Glioma: A Canadian Pediatric Brain Tumor Consortium Study. J Clin Oncol. 2016
トロント子ども病院からの報告です。化学療法を受けたことのない54人のlow-grade glioma(年齢中央値8歳)に用いられました。その内55%が視路視床下部毛様細胞性星細胞腫です。minor response以上の奏功割合は25.9%で,腫瘍の進行増大を止めるdisease stabilizationは87%でした。視力が悪い子供の20%で視力改善がありました。5年PFSは53%で,BRAF mutationと予後の関係はありませんでした。4分の1の子供が6mg/m2, once per week で70週間の治療を完遂でき,残りの子は5mg/m2,4mg/m2へと減量が必要でした。有害事象は,好中球減少(75.9%),上気道感染 (52%),発熱(43%)です。26週(半年)投与まではQOLの低下はなかったとのことです。
ビノレルビン VNR の単剤効果
Cappellano AM: Single agent vinorelbine in pediatric patients with progressive optic pathway glioma. J Neurooncol. 2015
ビンカアルカロイド系薬剤です。optic pathway gliomaの23人(平均年齢69ヶ月)に,vinorelbine (30 mg/m(2) days 0, 8, 22) for a total of 18 cycles 投与されました。有効性 ovarall objective response は63%でした。grade III/IVの骨髄抑制が4人に生じました。7人で消化器症状,1人で末梢神経障害がありました。無増悪生存期間中央値33ヶ月,5年PFSは37%でした。
ベバシズマブ(アバスチン)で視力視野が回復する
Avery RA, et al.: Marked recovery of vision in children with optic pathway gliomas treated with bevacizumab. JAMA Ophthalmol 132:111-114, 2014
Packer先生の施設からの報告です。神経線維腫症1型の子ども2人と孤発性2人の子どもが,ベバシズマブの投与を受けました。この子たちはすでに化学療法を受けて進行性の視力の悪化が見られていました。4人全員でベバシズマブの投与中にかなりの視力あるいは視野の改善が得られたとのことです。通常の化学療法にベバシズマブを併用すれば視力の改善が得られるとの意見です。
低用量シスプラチンとエトポシドの効果は高い
Cardellicchio S, et al.: Low-dose cisplatin-etoposide regimen for patients with optic pathway glioma: a report of four cases and literature review. Neuropediatrics 45: 42-49, 2014
4例だけの報告ですが,4人全員で視機能の回復があり腫瘍の進行が止まったままになったとのことです。
手術治療の役割
Goodden J, et al: The role of surgery in optic pathway/hypothalamic gliomas in children. J Neurosurg Pediatr 13:1-12, 2014
1998年から2011年までの13年間にDr. Goodenが42人のoptic pathway gliomaの子どもを治療した経験が記述されています。年齢中央値が5.7歳で,神経線維腫症1型の患児が19人含まれています。追跡期間は77ヶ月で,11人が水頭症に対するシャント手術を受けていました。21人の患児で22回の減荷術 debulking surgeryが行われました。10人が初回減荷手術のみであとは経過観察となりました。4人が減荷術とその後の化学療法でした。7人はさまざまな治療がなされた後で減荷術が必要となったものです。最終的に3人が死亡していますが,原因は腫瘍増悪,生検時の感染,腫瘍出血でした。長期予後がよいので,化学療法や手術で治療するべきで,放射線治療 midline cranial irradiationは行うべきではないと結論しています。
「解説」primary surgical debulking of tumor (without adjuvant therapy) is safe and effectiveと結論していますが,これは納得できません。手術自体の難易度が高いし,乳幼児では手術しても残った腫瘍がすぐに大きくなってしまって,いずれにせよ化学療法が必用となるからです。減荷手術は最後の手段でしょう。 この中の半数くらいが神経線維腫症1型の患児で予後がよかったと書かれていますが,それは当たり前かもしれません。神経線維腫症1型とそうでない視路毛様細胞性星細胞腫は,分けて分析しなければなりません。
アバスチンが再発例に有効である
Hwang EI, et al.: Long-term efficacy and toxicity of bevacizumab-based therapy in children with recurrent low-grade gliomas. Pediatr Blood Cancer 60: 776-782, 2013
この論文のタイトルがlow-grade gliomaなので毛様細胞性星細胞腫のことではないと思ってしまうのですが,ほとんどの例が視路視床下部毛様細胞性星細胞腫の症例の論文です。 初期治療(カルボプラチン,ビンクリスチン,ビンブラスチン,テモゾロマイド)がうまく行かずに再燃した14人の子どもが治療されました。6人では播種がありました。年齢中央値は5歳,アバスチンとイリノテカンの併用投与が主たる治療であり,治療期間中央値は12ヶ月でした。12例で腫瘍縮小があり,最小に腫瘍が小さくなるまでの期間は9週間 (7-17週) という短い期間でした。アバスチンの投与を中断したら14人中13人(93%)で腫瘍の再増大が生じました。アバスチンのみを1回10mg/kg(体重)を2週間間隔で点滴静脈内注射するか,併用する時はイリノテカン 125 mg/m2(体表面積)を同じく2週間隔で投与します。初期治療として12ヶ月ほどを投与期間目標とします。
思春期における治療
Chong AL, et al.: Optic pathway gliomas in adolescence–time to challenge treatment choices? Neuro Oncol 15: 391-400, 2013
10歳以上33人の視路視床下部毛様細胞性星細胞腫の追跡調査です。82%で視覚障害がありました。8人 (24%) が経過観察のみで治療を必要としませんでした。25人で初回治療がなされ,再治療はその内の9例 (36%)で必要でした。初回治療後のPFSは47ヶ月でした。結論として,化学療法は10歳以上の思春期の患児においても有効であるので,放射線治療より優先されるべきであるとしています。
ビンブラスチンの効果
Bouffet E, et al.: Phase II study of weekly vinblastine in recurrent or refractory pediatric low-grade glioma. J Clin Oncol 30: 1358-1363, 2012
手術,化学療法,放射線で治療が難しかった低悪性度神経膠腫(毛様細胞性星細胞腫を含む)の子どもに,ビンブラスチン 6mg/m2/weekを1年間使用しました。51人の子どもが登録された臨床第2相試験です。治療に反応したのは18人 (36% including CR, PR, and MR)でした。経過観察期間中央値67ヶ月で23人が腫瘍進行 progressionなしに経過しました。ビンブラスチンの腫瘍縮小という意味での奏功割合は3割程度とみなければなりません。
シスプラチンとビンクリスチン
Sawamura Y, et al.: Chemotherapy with cisplatin and vincristine for optic pathway/hypothalamic astrocytoma in young children. Jpn J Clin Oncol 39: 277-283, 2009
16例の乳幼児の視路視床下部毛様細胞性星細胞腫にシスプラチンとビンクリスチンを使用する化学療法を行った成績です。CR, PR, MRを足すと12例でした。75%ではっきり腫瘍が小さくなったと言えます。disease stabilization(病変の進行を止める)という意味では100%の有効率です。 有名なPacker先生が書いたいろんな論文での良い成績を取ってPRとMRは55例中の33例 (60%)ですから,その成績よりは勝っています。Massimoは,シスプラチンとエトポシドの組み合わせを使って,34例中の24例 (71%) がPR/MRであったとしています。 でもこの論文間の比較は慎重にしなければなりません。私の成績には神経線維腫症1型(NF-1)が含まれていませんし,視神経交叉から視床下部を侵す大きな乳幼児の毛様細胞性星細胞腫だけを治療対象としていますから,本来は厳しい予後のはずです。また,PackerやMassimoの論文の対象はNF-1や他の部位の星細胞腫や年長児を含みます。
視神経(視路)に発生した毛様細胞性星細胞腫に対するテモゾロマイドの効果
Gururangan S et al. Temozolomide in children with progressive low-grade glioma. Neuro-oncol 9: 161-168, 2007
この論文は,悪性度の低いグリオーマをもつの30人の子供たちにテモゾロマイドを使った経験を書いています。平均年令10歳でいずれも病状が進行性の子供たちです。この中の26人は視神経にできた腫瘍である毛様細胞性星細胞腫の子供です。テモゾロマイドは200mg/m2を5日間使う普通の方法で投与されました。26人の内の3人で腫瘍が半分くらいになり(PR),1人で腫瘍がほんの少し小さくなり(MR),10人で同じで変わらず(SD),12人で投与中に大きくなりました(PD)。54%の子供で病状の進行が一時的にも止まり,34ヶ月くらい維持できたとのことです。副作用は軽度のものでした。
解説:いろいろな治療の後でテモダールが使用されていますので,ある程度の効果はあると判断できる成績でしょう。しかし,腫瘍の縮小は26人中で4人に見られただけですし,おそらく従来のシスプラチンやカルボプラチンとビンクリスチンを使う化学療法には劣ります。従って,それらの薬が使えなくなった時の3番目くらいの化学療法として使用できると考えた方がいいでしょう。
カルボプラチンへのアレルギーをもった子供の低悪性度グリオーマへのビンブラスチン単独化学療法の効果
Lafay-Cousin L, et al. Weekly vinblastine in pediatric low-grade glioma patients with carboplatin allergic reaction. Cancer 103: 2636-2642, 2005
毛様細胞性星細胞腫を含む悪性度の低い神経膠腫(グリオーマ)へのビンブラスチン(エクザール)の単独効果を見たものです。カルボプラチンとビンクリスチンの化学療法がアレルギーのために使えなくなった9人の子供に使用されました。週に1回ビンブラスチンを投与する方法で,外来でできます。腫瘍が完全に消えたもの(CR)1例,かなり小さくなったもの(PR)1例,少しでも縮んだもの(OE)5例,変わらなかったもの(SD) 2例で,全ての症例で腫瘍の増大傾向が抑えられたとのことです。 おそらく,毛様細胞性星細胞腫や乏突起膠腫のような腫瘍には使える方法でしょう。
解説:ビンブラスチンはビンクリスチンとても似た制がん剤です。小児脳腫瘍を含めて,神経膠腫にはビンクリスチンの方が効果は高いし,過去の臨床試験でもしっかりした成績があります。ビンクリスチンは末梢神経障害があって使いづらいから,ビンブラスチンというのは短絡的すぎますので気をつけましょう。この報告の後,世界中でかなり使用されたようですが,当初のこの報告より奏功割合はかなり低いものです,でも使える薬剤です。
カルボプラチンへのアレルギー
Castells MC, et al.: Hypersensitivity reactions to chemotherapy: outcomes and safety of rapid desensitization in 413 cases. J Allergy Clin Immunol 122: 574-580, 2008
カルボプラチンはアレルギーを生じやすい制がん剤です。少量を繰り返し投与するとアレルギーを生じやすいともいわれています。カルボプラチンにアレルギー反応がでるとシスプラチンにもアレルギーが生じることがあります。両者ともにプラチナ製剤 platinum だからです。カルボプラチンへのアレルギーは,じんま疹などの軽いものが多いです。繰り返し投与をすると稀にアナフィラキシーという重症のアレルギーになることがあります。しかし,アレルギー反応がでたからといって必ずしも,プラチナ製剤が使えなくなるわけではありません。desensitization 脱感作という方法があります。少量のカルボプラチンから増やしていく方法ですが,初回はショックになるといけないのでICU管理が必要ですから,化学療法のかなりの専門家にしかできません。rapid desensitization protocol に関しては多くの論文があります。
かなり有効性の高いシスプラチンとエトポシドを使う化学療法の論文
Massimino M, et al.: High response rate to cisplatin/etoposide regimen in childhood low-grade glioma. J Clin Oncol 20:4209-4216, 2002
34人のとても小さな子供にシスプラチンとエトポシドを使う化学療法がされました。この内29人が視神経に腫瘍を持っていて,神経線維腫症1型の患児は8人いました。シスプラチン 30mg/m2/day, days 1-3,エトポシド 150mg/m2/day, days 1-3です。これを1月に1回で10ヶ月続けます。 実に24例(71%)で腫瘍の縮小 objective response がみられ,増大した症例はなかったと書かれています。
解説:今まで発表された化学療法の成績では最も有効性(奏効割合)が高いものです。シスプラチンは使いにくいけど,有効性は高いと確認されたともいえます。神経線維腫症1型の患者さんの割合(24%)が高いのがとても気になります(NF-1の患者さんの視神経腫瘍は元々予後がよいのです)。また心配されたシスプラチンの聴力障害は高音域障害が28%にみられたと書いてありますから,会話領域での聴力障害はなかったのでしょう。聴力のモニター(耳音響放射検査)をもっと頻回にすればこの高音域の障害も減らせるはずです。
実例
NF-1に合併した左視神経膠腫 single optic nerve glioma
神経線維腫症1型を持っている8歳の子供に左視神経の腫瘍が発見されました。頭蓋内腫瘍が大きかったので,こども病院で9歳と11歳の時に開頭腫瘍摘出手術を受けました。頭蓋内の部分はとれたのですが,左の眼窩内視神経に腫瘍が残り経過観察となりました。
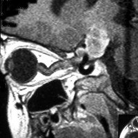
左が16歳,右が23歳の時のMRI画像です。太く見えた視神経が,大きな塊となりました。ガドリニウム増強で,腫瘍の内部が部分的に増強されます。眼球が突出して目を閉じることができず,むき出しになりました。8歳から23歳まで,15年間かかってゆっくり大きくなったし眼窩内神経膠腫です。

CTでは高度の眼球突出があり,腫瘍の辺縁が石灰化していて視神経鞘を含めて極めて硬い線維性腫瘍となっていることがわかります。T2強調画像では高信号で腫瘍が増大傾向を示し,一部が嚢胞性であることがわかります。下のT1増強像では腫瘍の中心部分に増強される増殖部位があることがわかります。
この腫瘍には放射線治療はできませんし,化学療法も効きません。手術で摘出するのですが,視力が既にないので,整容的に,左眼球を温存すること,瞼と眼球運動を温存することが目的となります。
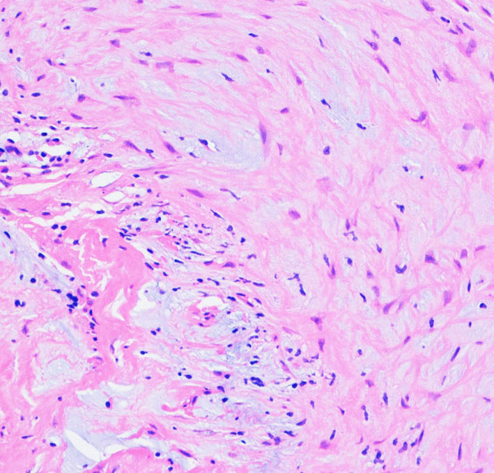
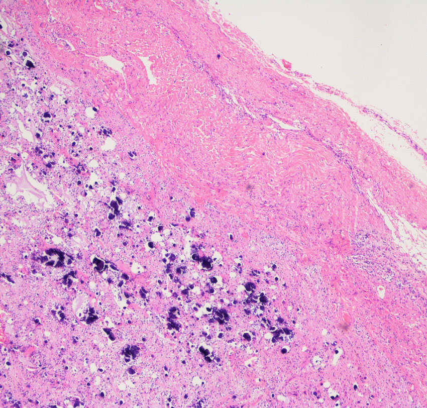
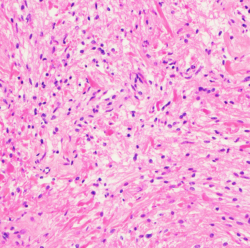
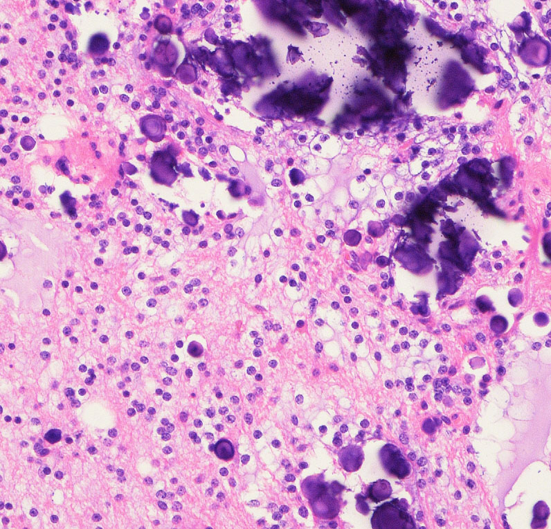
病理所見では,幼児型のpilomyxoid astrocytomaの部分が混在します。その部分が増殖と腫瘍増大に関わっています。T2強調画像で高信号でガドリニウム増強される部分です。
myxoidな部分です。右下のMIB-1染色では3%ほどの陽性率であり,数年単位では腫瘍増大があり得ることを示します。柔らかく出血性で吸引摘出できる部分の腫瘍です。IDH wild type, BRAFV600 wild type, H3K27 wild type, FGFR1 N546K mutationでした。
厚く肥厚した視神経鞘の内部の視神経組織はほとんど腫瘍に置き換わっていて,GFAPで染色され高度の石灰化を伴います。これは腫瘍というよりも瘢痕化してしまった,adult-type pilocytic astrocytomaに認められる所見です。
Rosenthal fiber, eosinophyric granular body, psammoma bodyなどが認められ,成熟しきって退行変性に移行するpilocytic astrocytomaの像です。この部分は増大しません。線維性に極めて硬い組織です。

3度目の左前頭開頭手術となりましたが,無事に眼窩内腫瘍は摘出できて,眼球は温存できました。眼球後極での視神経切断がもっとも難しく,毛様体神経や眼球の栄養動脈などを温存しないと,すぐに眼球萎縮になってしまいます。
文献
- Aryan HE, et al.: Management of pilocytic astrocytoma with diffuse leptomeningeal spread: two cases and review of the literature. Childs Nerv Syst 21: 477-481, 2005
- Avery RA, et al.: Marked recovery of vision in children with optic pathway gliomas treated with bevacizumab. JAMA Ophthalmol 132:111-114, 2014
- Bouffet E, et al.: Phase II study of weekly vinblastine in recurrent or refractory pediatric low-grade glioma. J Clin Oncol 30: 1358-1363, 2012
- Cardellicchio S, et al.: Low-dose cisplatin-etoposide regimen for patients with optic pathway glioma: a report of four cases and literature review. Neuropediatrics 45: 42-49, 2014
- Castells MC, et al.: Hypersensitivity reactions to chemotherapy: outcomes and safety of rapid desensitization in 413 cases. J Allergy Clin Immunol 122: 574-580, 2008
- Chong AL, et al.: Optic pathway gliomas in adolescence–time to challenge treatment choices? Neuro Oncol 15: 391-400, 2013
- Goodden J, et al: The role of surgery in optic pathway/hypothalamic gliomas in children. J Neurosurg Pediatr 13:1-12, 2014
- Gururangan S et al. Temozolomide in children with progressive low-grade glioma. Neuro-oncol 9: 161-168, 2007
- Figueiredo EG, et al.: Leptomeningeal dissemination of pilocytic astrocytoma at diagnosis in childhood: two cases report. Arq Neuropsiquiatr 61: 842-847, 2003
- Hwang EI, et al.: Long-term efficacy and toxicity of bevacizumab-based therapy in children with recurrent low-grade gliomas. Pediatr Blood Cancer 60: 776-782, 2013
- Lafay-Cousin L, et al. Weekly vinblastine in pediatric low-grade glioma patients with carboplatin allergic reaction. Cancer 103: 2636-2642, 2005
- Lassaletta A, et al.: Phase II Weekly Vinblastine for Chemotherapy-Naïve Children With Progressive Low-Grade Glioma: A Canadian Pediatric Brain Tumor Consortium Study. J Clin Oncol. 2016
- Massimino M, et al.: High response rate to cisplatin/etoposide regimen in childhood low-grade glioma. J Clin Oncol 20:4209-4216, 2002
- McCowage G, et al.: Successful childhood pilocytic astrocytomas metastatic tu the leptomeninges with high-dose cyclophosphamide. Med Pediatr Oncol 27: 32-39, 1996
- Sawamura Y, et al.: Chemotherapy with cisplatin and vincristine for optic pathway/hypothalamic astrocytoma in young children. Jpn J Clin Oncol 39: 277-283, 2009
- Sawamura Y, Kamada K, Kamoshima Y, Yamaguchi S, Tajima T, Tsubaki J, Fujimaki T: Role of Surgery for Optic pathway / Hypothalamic Astrocytomas in Children. Neuro Oncol 10: 725-733, 2008
豆知識(なぜ視路 optic pathwayに広がるのか)
胎児脳にみられる双極性の細胞 bipolar-shaped cellsをradial glial cellといい,胎生後期には消失します。radial glial cellはastrocyteに分化する能力も有していて,pilocytic astrocytomaの発生母地となる細胞だと言われてきました。radial gliaは,optic axon (optic nerve)が,視神経乳頭から視神経交差と視索を経由して,外側膝状体と前視蓋核と上丘に進展するのをガイドする働きがあるとされています。この視路の発達に関連するradial gliaの分布と,pilocytic astrocytomaの発生母地が類似していると考えられています。
豆知識(なぜか多いくも膜のう胞の合併)

視路毛様細胞性星細胞腫には,大きなくも膜のう胞が出現することが多いです。理由は全くわかりませんが,経過を見ていると徐々に大きくなってくるものがあります。治療の必要性はありませんし,症候性となったものは見たことがありません。










































