毛様細胞性星細胞腫の病理
pilocytic astrocytoma WHO grade I
画像はクリックすると拡大して見えます
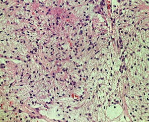
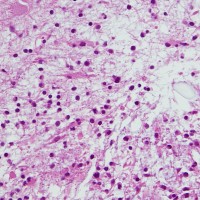
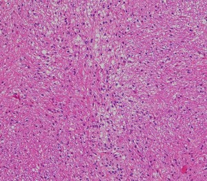
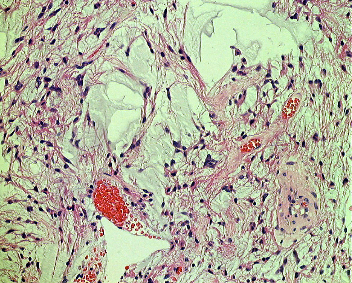
幼児の毛様細胞性星細胞腫
血管に富み,増大傾向が著しかった例です。MIB-1(右下)が20%以上あり異常に高値でした。
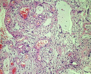
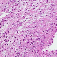
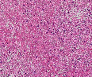
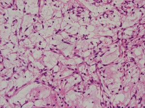
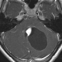
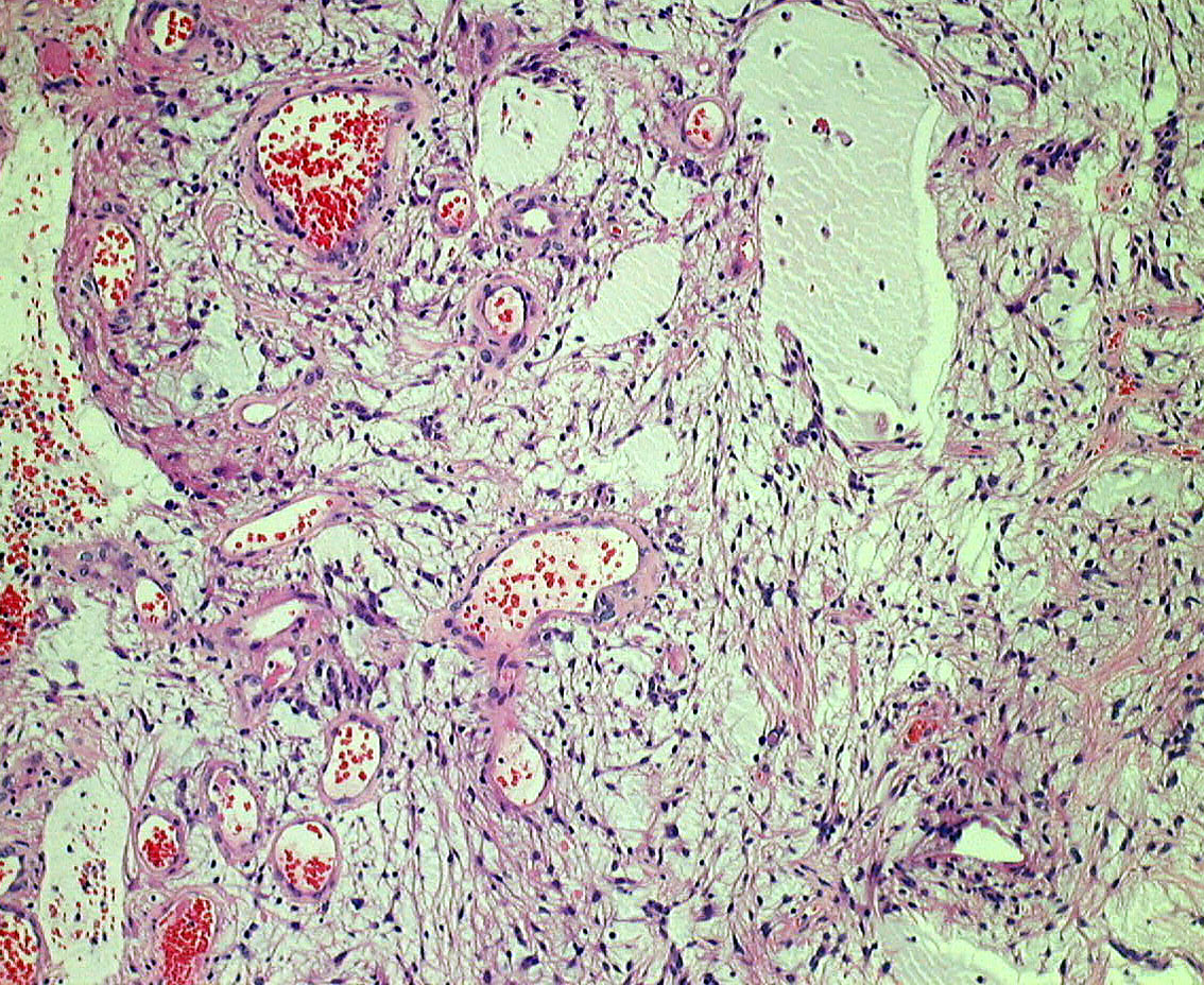
小児期の毛様細胞性星細胞腫
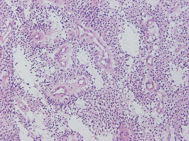
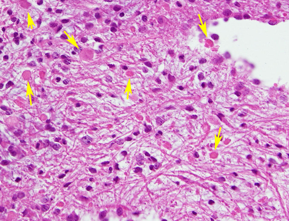
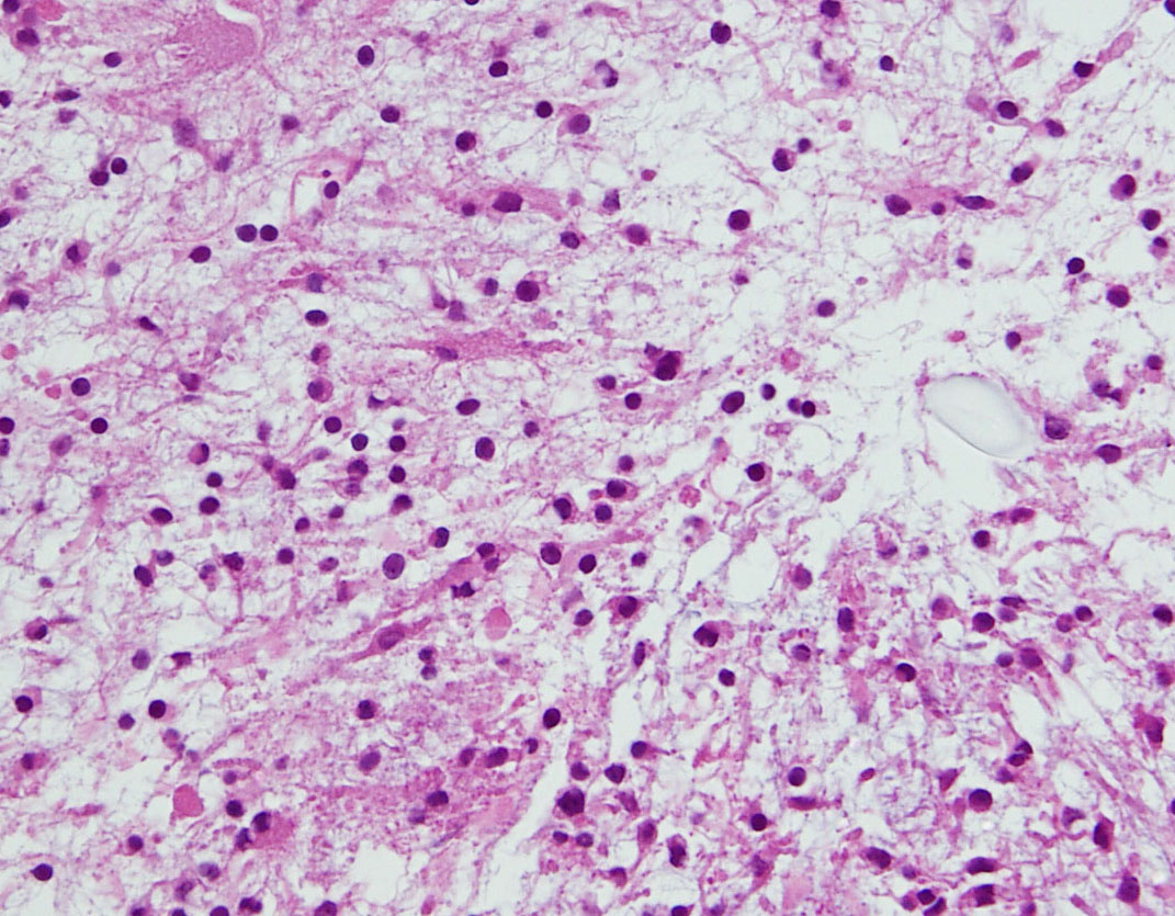
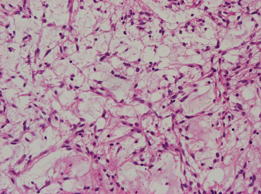
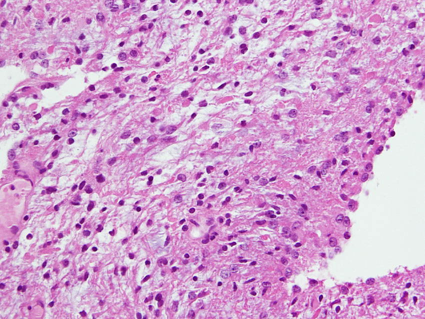
10才小児の小脳結節性毛様細胞性星細胞腫です。典型的な良性腫瘍として知られる毛様細胞性星細胞腫です。
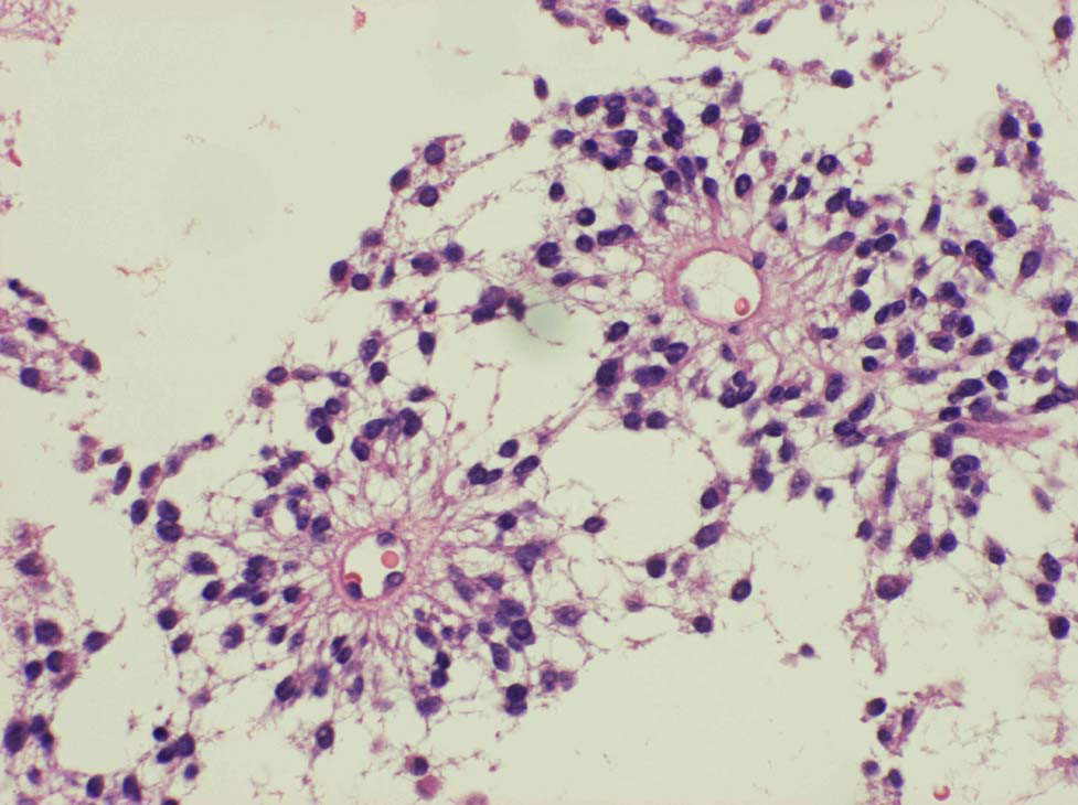
HE染色です。左のように双極性突起を延ばす小型の核を有する充実性部分 compact part と,中央に見られるような細胞間に微小嚢胞変性と類粘液性基質がみられる海綿状部分 spongy partが混在する毛様細胞性星細胞腫に特徴的なbiphasic patternがみられます。右側の画像では小さな粘液基質を含みながらびまん性星細胞腫に類似する組織像が認められます。左の画像の矢印で示す赤い玉のようなものはeosinophilic granular bodiesです。
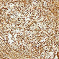
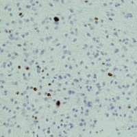
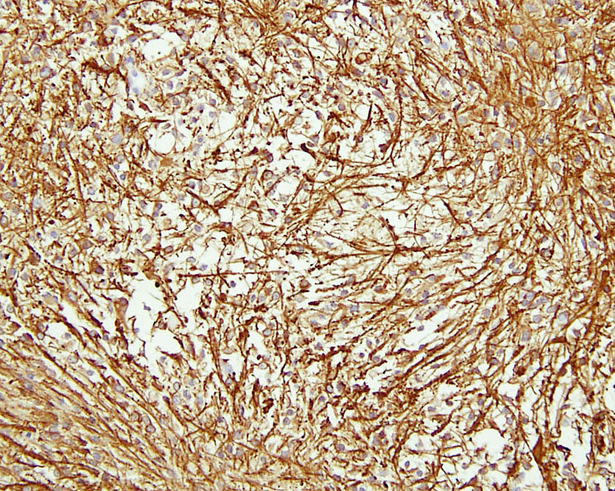
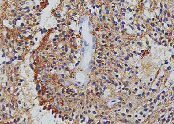
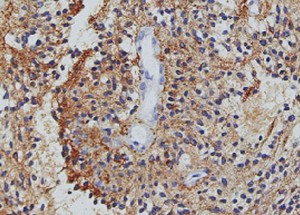
左がS100,中央がGFAP,右がMIB-1 (Ki-67)染色です。MIBはやや高値で3%と報告されました。病理組織診断は,WHO grade 1 毛様細胞性星細胞腫です。
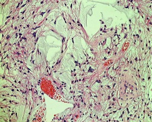
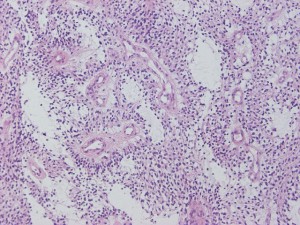
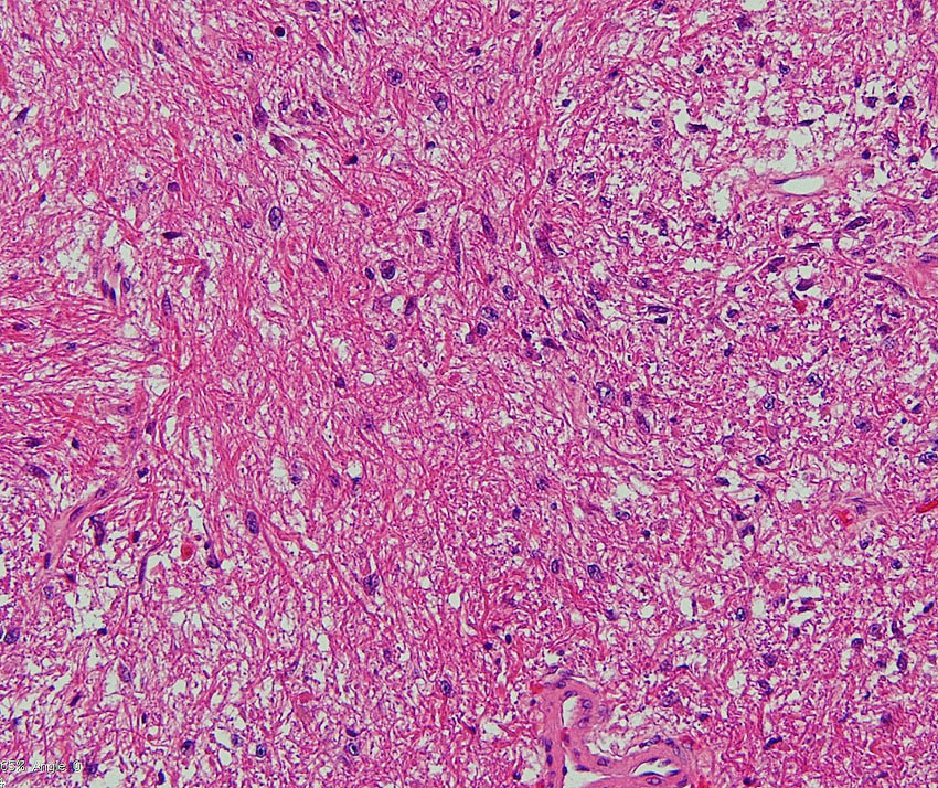
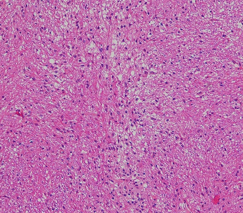
思春期のまだ増大している毛様細胞性星細胞腫
17歳です。間質に富む疎な部分は増大傾向を示しT1ガドリニウム増強される部分です。一方で,増強されない部分では,MRIで増大傾向がなく,病理では組織がコンパクトとなり,HEでは星細胞腫グレード2のよう見えます。
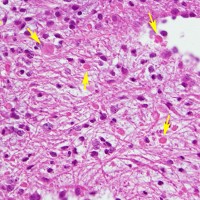
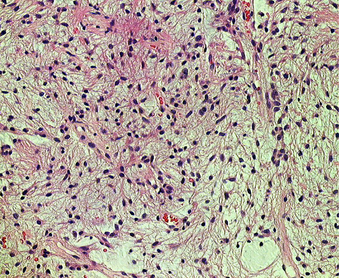
思春期に入って退縮期に入った毛様細胞性星細胞腫の組織像
13歳思春期の毛様細胞性星細胞腫です。angiocentric patternも失って,粘液基質が少なくなって,ローゼンタール線維が豊富になっています。(びまん性)星細胞腫グレード2と誤診されることが多く,核の大小不同も目立ってくると(退形成性)星細胞腫 グレード3と病理誤診されることもあります。
成人の毛様細胞性星細胞腫の組織像
30代の成人の毛様細胞性星細胞腫です。小児期からずっと存在したものです。glial fiberが密になってcompact patternだけになります。とても硬い腫瘍になっていて摘出が難しくなっています。乳幼児期の毛様粘液性星細胞腫はドロドロ軟らかく,成人の毛様細胞性星細胞腫は硬いです。年齢による病理学的な変化に応じて,手術中の肉眼的な所見も変わってくる腫瘍です。
pilomyxoid astrocytoma WHO grade I
- かつては infantile pilocytic astrocytomaといわれました,普通のタイプをjuvenile typeというのと対称的です
- 簡単にいうと,幼い子どもの毛様細胞性星細胞腫で,軟らかいドロドロした粘液質を多く含む腫瘍です
- どこにでも発生するのですが,視床下部と視路に多いです
- 視床下部と視路にできたものをoptic pathway/hypothalamic pilocytic astrocytomaといいます
- MIB-1染色率が高くて増大速度が早く,髄液播種性格もあるのですが化学療法がよく効きます
- 粘液基質 mucoid matrix を豊富に含みます
- 双極性の胞体を有する腫瘍細胞です monomorphous bipolar tumor cells
- 血管中心性に配列します angiocentric pattern
- 毛様細胞性星細胞腫とは異なり,Rosental fiberやeosinophilic granular bodies/ hyaline dropletsは目立ちません
- 毛様細胞性星細胞腫に徐々に自然に移行します
- つまり,患児の年齢が高くなると,病理像も典型的な毛様細胞性星細胞腫へ変化します
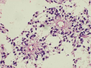
生後6ヶ月の視神経交叉腫瘍です。左では,monomorphous bipolar cellsとmucoid matrixが豊富に見られます。右では細い血管の周囲に腫瘍細胞が集簇するangiocentric patternが特徴的です。粘液性分が多くドロドロした腫瘍です。
3歳児例でのangiocentric patternで,乳児例より多少コンパクトになってきます。毛様粘液性星細胞腫においてもGFAP(右側)は強陽性です。
毛様細胞性星細胞腫の自然歴 natural history
病理所見も年齢によって変化します
in infant 0歳から5歳
pilomyxoid type
rapid tumor growth, CSF dissemination
in very young children 4歳から10歳
continuous growth of tumor
worsening of vision and hormonal function
in young children 8際から16歳
growth arrest and/or regrowth
cystic degeneration and expansion
in adolescent 16歳以上
spontaneous involution
in adult 20歳以上
quiet tumor residue
小児の毛様細胞性星細胞腫は不思議な腫瘍です。患児の脳の成長とともに増大し,やがて退縮する時期がきます。
乳幼児時期には,病理組織像が毛様粘液性星細胞腫で,MRI T2で均一な高信号になりガドリニウムで強く増強されます。腫瘍の増大速度は速く,稀には髄液播種することもありそれが腫瘍死の原因となることもあります。奏効率の高い化学療法を早く開始する必要があります。
少し経過して幼児期には,速度は落ちるがやはり腫瘍は増大傾向をたどり腫瘍内のう胞形成とのう胞の拡大をみることが多いでしょう。この時期にも症状の悪化が多く,化学療法は継続する必要があります。pilomyxoid typeからjuvenile type pilocytic astrocytomaへ病理組織像が変わっていきます。
学童期では,化学療法が奏効すれば腫瘍の増大が止まるか,あるいはまたゆっくりと再増大します。それとは別に,腫瘍実質が増大せずに,腫瘍のう胞のみが拡大するという現象が生じます。のう胞拡大は oncolytic cyst と呼ばれるような腫瘍変性に伴うものであり,化学療法を行なってものう胞拡大を止めることが難しいです。手術によるのう胞壁部分摘出がとなる時期でもあります。
思春期になると,治療を加えなくても腫瘍は増大傾向を停止することが多いでしょう。この時期までの長年にわたっての治療が必要となると考えて,初期治療に当たることが肝要です。さらに自然退縮という腫瘍の縮小傾向がみられることが多くなります。
成人では,増大しないmassとして腫瘍が発見されます。T2強調画像でわずかな高信号,ガドリニウムでほとんど増強されない,無治療で経過観察しても全く変化がないということがしばしばであるので,視野欠損などの症状があっても,このようなものを疑えば生検手術もせずに経過のみをみたほうがいいです。



















