脳腫瘍とてんかん
症候性局在関連てんかん
SLRE symptomatic localized-related epilepsy
- 脳腫瘍ではさまざまなてんかん発作(けいれん発作)が生じます
- 脳腫瘍で生じるてんかんは,「症候性てんかん」と言います
- もっと正確には「症候性局在関連てんかん」です
- 脳腫瘍では,部分発作 focal seizureが最も多く,全般化すると強直間代発作 tonic-clonic seizure になります
- てんかんを止めることは,脳腫瘍治療の重要な目的です
てんかんを生じた患者さんの脳腫瘍は治りやすい
てんかんで発症すると腫瘍が小さいうちに発見されることと,てんかんを生じる腫瘍は脳の表面にあるからです
てんかんを生じる患者さんは危ない
腫瘍が治らない,脳の損傷が大きい,腫瘍が再発した時、腫瘍内出血した時,放射線脳障害が生じた時にてんかん発作が多いからです
脳腫瘍の主なてんかんの発作型
部分発作・焦点発作(脳の局所だけの発作)
- 単純部分発作:右腕だけがけいれんする,左下肢だけの痺れが生じる,むかむか吐き気が発作的におこる,ありもしないカレーの匂いがする,いつか聞いた音楽が聞こえる,視野の一部が数十秒光るなどの症状です
- 複雑部分発作:ごく短時間,数秒とか意識減損(意識がなくなる,飛ぶ)という状態になるものです,単純部分発作から意識がなくなったり,意識がぼーっとして訳がわからない動きをしたり,意識が飛んで口をモゴモゴさせて自分で覚えていないなどです,倒れたりすることはあまりありません
- 二次的に全般化する部分発作:部分発作から全般発作になるものです
全般発作(両側の脳の脳波異常になる)
- 欠神発作:ほんの少しの時間だけど意識がなくて覚えていない,意識が飛んで体が動いたり体の一部がつっぱる,解っていないでおかしな動きをするなどで,脱力で倒れたりします
- 間代発作:一定のリズムで,手足がガクガクするけいれんです
- 強直発作:手足がつっぱるようなけいれんです
- 強直間代発作:意識がなくなって白目をむいて,歯を食いしばって,泡を吹いて全身がガクガクします,発作が止まると眠ります(一般の方がてんかんと言って一番想像しやすい発作型です)
- 脳腫瘍の場合は二次的全般化がほとんどです
周術期けいれん発作はてんかんとして扱わない
- 開頭手術をすると,術後にけいれん発作を生じることがあります
- 手術の一時的な合併症としての脳脊髄膜炎,低ナトリウム血症,術後高熱,水頭症になってもけいれん発作を生じることがあります
- これらは小児の熱性痙攣と同じように,「てんかん」と呼ばないほうがいいでしょう
- その後に継続して発作を生じることがほとんどないからです
- てんかんの病名がつくと成人では運転免許を失うことになります
- 多くは,退院後に抗てんかん薬を服用する必要はありません
どんな腫瘍
- 大脳皮質にダメージを生じる腫瘍です
- 大脳基底核,視床,脳幹部,小脳の腫瘍ではてんかん発作は滅多にありません
- 髄膜腫,グリオーマ,転移性脳腫瘍が代表的なものです
- 悪性度の高い腫瘍ほどてんかんを生じる確率が高いです
- 低悪性度グリオーマでは6割以上,膠芽腫では5割程度の患者さんがてんかん発作を生じるといわれています
- グリオーマの中でも特に乏突起膠腫はてんかん発作のリスクが高いです
- 転移性脳腫瘍では20%ほどの患者さんで,てんかんを生じます
- 小児の難治性てんかんには,グレード1の腫瘍が多いです
- DNT,神経節膠腫,大脳の毛様細胞性星細胞腫などです
- 腫瘍を高線量の放射線治療で治療した後の放射線脳壊死では,難治性のてんかんを生じます
検査は
- MRI検査で脳腫瘍があるかないかを見ます
- 脳波(光刺激,過呼吸,睡眠時)をします
- MEG(脳磁図)は深部の腫瘍で有用です
治療は
- 脳腫瘍関連てんかんの治療には,抗てんかん薬 AEDs を使います
- 手術で腫瘍を全摘出することによって,脳浮腫が改善したり,てんかん焦点になっている脳皮質が切除されることによっても症候性てんかんは治ります
- 特に,髄膜腫は全摘出できるとてんかん発作が完全に抑制できることが多いです
- 乏突起膠腫ではテモゾロマイド化学療法で腫瘍が縮小するとてんかん発作が抑制されます
- 放射線治療で腫瘍が縮小や消失した時にもてんかん発作が改善することがあります
- てんかん発作のない患者さんに対する脳腫瘍開頭手術前の予防的な抗てんかん薬投与は利点がないとされています
予防的投与:てんかんのない脳腫瘍の患者さんにてんかんの薬を投与するか?
- 原則的には投与しません
- しかし,てんかん原性の高い部分,例えば内側側頭葉にある乏突起膠腫などリスクが極め得て高い時には予防的投与をします
- 運転免許をなくすと仕事ができなくなる患者さんには予防的投与をすることがあります
薬は
- 発作の種類と腫瘍の種類で使う薬剤はいろいろ異なります
- 腫瘍の予後と発作タイプと薬剤にかなりの知識がないと使えません
- また新薬の薬剤費がとても高いので,発作を抑制できるなら出来る限り安い薬を使います
- 部分てんかん発作の抑制効果と安価という利点で,テグレトール(カルバマゼピン)が頻用されています,アレルギーの副作用が多いので気をつけてください
- でも例えば,グリオーマの部分発作(2次性全般化も)には,第一選択薬はイーケプラ(レベチラセタム)で,第二選択薬はデパケン(バルプロ酸)です
- 次いで,ラミクタール(ラミトリギン),ラコサミド(ラコサミド),エクセグラン(ゾニザミド)などです
- 発作の抑制力が強いといってもイーケプラやラミクタールの欠点は薬剤費が高いことです,補助がない場合には1月に数千円の医療費が増えます,
- ラコサミドはまだ日本で市販されていません,ラミクタールも値段が高いです,
- エクセグランを脳腫瘍の患者さんに使用すると精神症状を出す可能性が高いです
- テグレトールをはじめ様々な抗てんかん薬はアレルギーを生じやすいので,飲み始めて10日から2週間くらいで体のあちこちに赤い発疹(薬疹)が出た時には中断します
抗てんかん薬の副作用
- ものすごくたくさんあるので,主治医の先生から説明を受けて下さい
- でも,実際には細かい副作用をしっかり説明されないで投与を受けることがほとんどなので,スマホで自分で調べるのが現実的です
スティーブンス・ジョンソン症候群 SJS (皮膚粘膜眼症候群)
ライエル症候群 TEN(中毒性皮膚壊死症)
- 抗てんかん薬のもっとも重い副作用です
- 薬剤中毒,薬剤アレルギーです
- 抗てんかん薬の投与開始から2週間目くらいまでに,皮膚に発疹(赤い小さいプツプツ)がでることから始まります
- 発疹が増えると微熱が出ます
- この時点くらいで気づいて,ただちに薬を中止して,ステロイド(プレドニン)を投与すれば,スティーブンス・ジョンソン症候群にはなりません
- 放置すると,やがて全身皮膚や粘膜に,紅斑,水泡,びらんが広がります
- 38度以上の高熱や全身倦怠感を生じます
- 粘膜は,結膜充血,唇や口腔内のびらん,咽頭痛,陰部のびらんです
- 診断が遅れると死に至るような重篤な状態になります
- スティーブンス・ジョンソン症候群になれば入院が必要で,重症の場合はICUで治療を受けます
- 初期からもっと重症型のものを,ライエル症候群と言います
- 敗血症や多臓器不全になり,死亡率は20-40%になるものです
てんかん治療の医療費補助
- 「てんかん」と診断された患者さんの医療費補助です
- 脳腫瘍の症候性てんかんも入ります
- 抗てんかん薬(特にイーケプラや,ラミクタールなどの高額な薬剤)を通院でもらっている場合には受けることができます
- 自立支援医療(精神通院治療)といいます
- 原則的に,自己負担額は1割になります
- 市町村(精神保健福祉担当課)などの役所に申請書と診断書を提出しますがあります
- 簡単な書類なので主治医の先生に書いていただきましょう
- 1年ごとに更新手続きが必要です
妊娠をしたいときの薬,若い女性への投薬
- 胎児に影響があり奇形が生まれる確率を催奇形率といいます
- てんかんがない正常な女性で3%,ラミクタール(ラミトリジン)は服用していても3%くらいでほとんど催奇形率が上昇しないといわれています
- 次いで低いのがカルバマゼピン(テグレトール)
- アレビアチン(フェニトイン)やデパケン(バルプロ酸)は催奇形率が2-3倍くらい高いですから避けます
- 多剤併用(2種類以上の薬)すると催奇形率は上昇します
- 妊娠中も抗てんかん薬の服用を継続します
- てんかん発作を頻回に生じる女性は自然分娩よりも帝王切開で出産します
- てんかん発作がなくて抗てんかん薬を服用している患者さんは,普通分娩でもいいのですが,周産期(出産と前後)てんかんに対応できる病院で出産しましょう
腫瘍が治ってから薬を止められるか
- 残念ながら学術的な結論は出ていません
- てんかんリスクが低い,長い間てんかんがない場合には,主治医と患者さんで話し合って決めます
- 最近大きな問題となっているのが,てんかんと車の運転免許の問題です
- 車の運転を職業としている患者さん,車の運転が生活に欠かせない患者さんは,抗てんかん薬を継続したほうがいいです
- 一度てんかん発作を生じると車の運転が禁止されてしまうからです
運転免許が拒否されないためには
- 世界的な常識です,脳腫瘍で困るのは「てんかんのために車の運転ができず生活が維持できなくなる」ことです
- ですから,車の運転ができる状態を維持するために腫瘍の治療方針を決めることもあります
- 道路交通法では,以下のように書かれています
- 発作が過去5年以内に起こったことがなく、医師が「今後、発作が起こるおそ れがない」旨の診断を行った場合
- 発作が過去2年以内に起こったことがなく、医師が「今後、X年程度であれば、発作が起こるおそれがない」旨の診断を行った場合
- 医師が、1年間の経過観察の後「発作が意識障害及び運動障害を伴わない単純部分発作に限られ、今後、症状の悪化のおそれがない」旨の診断を行った場合
- 医師が、2年間の経過観察の後「発作が睡眠中に限って起こり、今後、症状の 悪化のおそれがない」旨の診断を行った場合
- この規定を極めて厳しく解釈して診断書を書くと,車の運転を生業にしている患者さんは失職し,一家が路頭に迷うことがあります
- てんかんの病名付けと診断書は極めて慎重に書かなければなりません
てんかんに関連する特殊なタイプの腫瘍性病変
- 海馬硬化症(グレード1腫瘍)を伴う内側側頭葉てんかん
- DNT
- 視床下部過誤腫による笑い発作
- 皮質形成異常(異所性灰白質など)
- 結節性硬化症と上衣下巨細胞性星細胞腫
- 髄膜血管腫症
てんかんの分類は
- 脳腫瘍では,どのようなタイプのてんかん発作も生じます
- 脳腫瘍がある部位に対応して以下のようなタイプの発作があります
側頭葉てんかん
前頭葉てんかん
頭頂葉てんかん
後頭葉てんかん
けいれん重積
- 通常のてんかん発作はほとんどがある程度の時間(数十秒から数分)で止まりますから心配ありません
- まれに,てんかん発作が止まらないで連続して生じて,意識障害になったり呼吸の障害がでたりする状態を,痙攣重積 status epiplepticsといいます
- 呼吸の障害,嘔吐して誤嚥が生じて,低酸素脳症になってしまって,重篤な脳障害を残すことがあります
- 患者さんを救急搬送する,ICU管理をする必要があります
- 麻酔をかけて呼吸器管理をすることも多いです
患者さんのために,てんかんを生じるわかりやすい脳波
夜間に眠っている時だけにてんかん発作を生じる患者さんもいます。自分ではわからないけれども家族が一緒の部屋に寝ていると気づきます。一人暮らしの患者さんは発作が起こった後,寝起きにで自分でわかることもあります。朝起きたら汗びっしょりだった,唇を噛んでいた,体がすごくだるかったなどと言います。
家の庭に生えたナメタケ
おまけの知識
長期服用した時の小脳萎縮
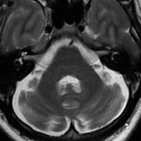
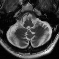
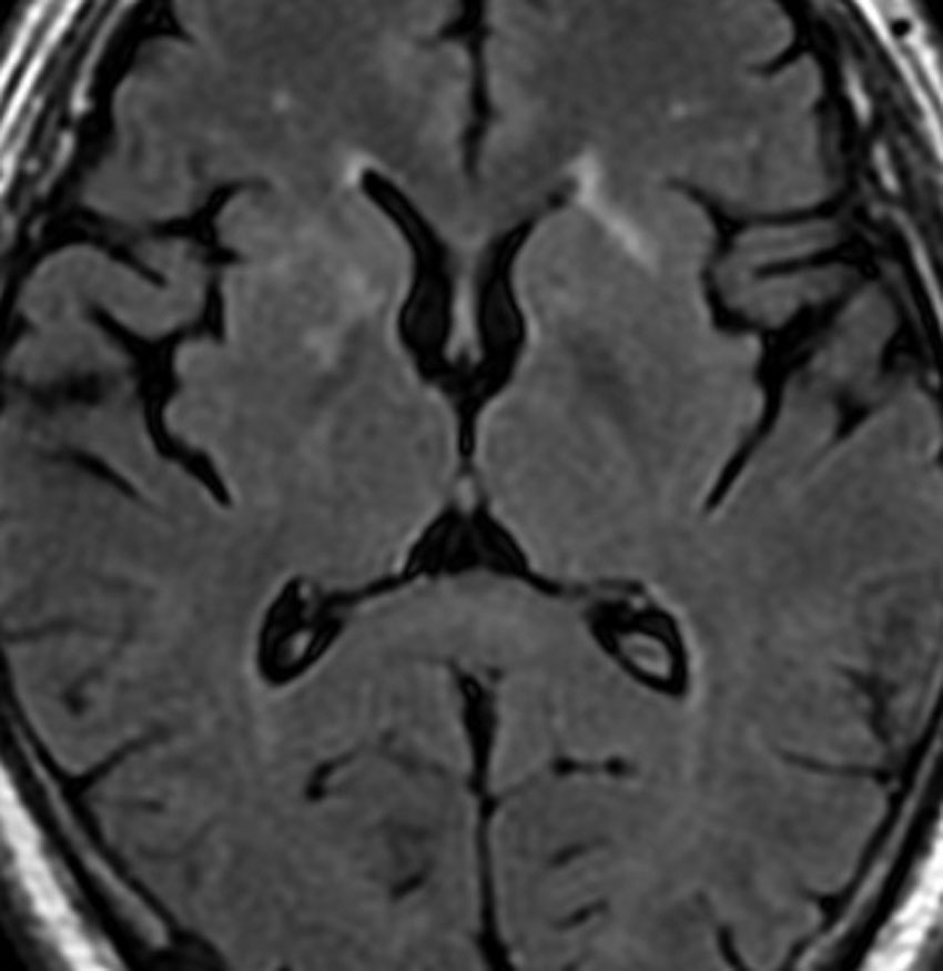
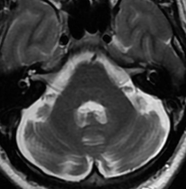
アレビアチン(フェニトイン)やデパケン(バルプロ酸)を何年も服用していると小脳に萎縮がくることがあります。小脳失調症というふらつきがでることは少ないのですが,MRIで小脳が小さくなったようにみえます。
20年以上バルプロ酸の服用をしている患者さんです。左と中央のMRIでは小脳萎縮がありますが,右側の大脳では萎縮は全くありません。小脳症状はありません。
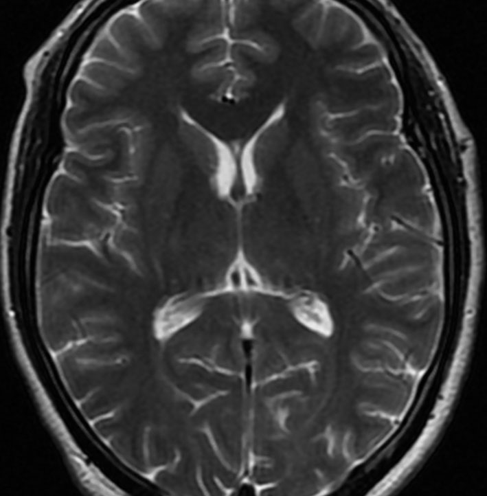
てんかんの薬を止めた時のMERS
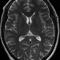
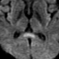
mild encephalitis/encephalopathy with a reversible isolated SCC (splenium) lesionといいます。グリオーマの患者さんで予防的に抗てんかん薬を処方することは多いです。腫瘍が落ち着いて長くてんかん発作がない時には,抗てんかん薬を中断します。その時に,MRIで脳梁膨大部 splenium というところに異常な初見が出てグリオーマの再発と間違うことがあります。でもこれはMERSという一時的な病変で,何もしないでも消失します。
左が拡散強調画像 DWIで脳梁膨大部が高信号で白く見えます。右はFLAIR画像でよく見るとちょっとだけ白く見えます。この例はとても軽い初見でDWIでしかはっきりしませんが,通常はFLAIR画像で楕円形の病変としてみられます。
間脳下垂体障害で低ナトリウム血症になると,MERSが生じることもあります。
てんかんを抑える薬は化学療法の効果を下げるか?
グリオーマの患者さんはてんかん発作を生じることが多いので,抗てんかん薬 (EIAC; enzyme-inducing anticonvulsants) を服用することが多いです。この薬を飲むと肝臓のP450という酵素が誘導されて,薬剤の分解が亢進して,抗がん剤(分子標的治療薬)が効かなくなるという説が長くありました。結論的にはあまり関係ないようです。
Jaeckle KA, et al.: Correlation of enzyme-inducing anticonvulsant use with outcome of patients with glioblastoma. Neurology. 73: 1207-1213, 2009
メイヨクリニックからの報告です。NTTCGに登録された620人の膠芽腫の患者さんで,72%の患者さんEIACを服用していました。EIACを服用していた患者さんの生存期間中央値 OS が12.3ヶ月で,服用していない患者さんは10.7ヶ月でした (p=0.0002)。無増悪生存期間も5.6ヶ月と4.8ヶ月 (0.003)でした。驚くことに(著者がそう書いています),抗てんかん薬(アレビアチン,テグレトール,デパケン)などを服用していた方が,膠芽腫の患者さんの生存期間は長いというのです。今までの定説と逆の結果でした。
Happold C, et al.: Does Valproic Acid or Levetiracetam Improve Survival in Glioblastoma? A Pooled Analysis of Prospective Clinical Trials in Newly Diagnosed Glioblastoma. J Clin Oncol 34:731-739, 2016
ヨーロッパからの報告で1,869人の初発膠芽腫の患者さんが分析されました。抗てんかん薬(デパケン,イーケプラ)を使用していた患者さんで,FPSとOSの延長はなかったとされました。抗てんかん薬は服用していてもしていなくても生命予後は同じという結論です。
小児脳腫瘍の術後てんかん
Saadeh F, et al.: Seizure outcomes of supratentorial brain tumor resection in pediatric patients. Neuro-Oncol 2018
リスクファクターとして5つのものをあげています。手術前から発作がある,2歳未満,側頭葉病変,視床病変,低ナトリウム血症です。視床は成人ではあまり大きなリスクにならないのですが,小児では視床を侵す腫瘍の術後にてんかん発作が多いとされます,でもこれは手術で大脳皮質経由で視床に行くからだと推定されます。次いで,高いグレード,病理組織,頭頂葉病変,水頭症などの合併が発作の確率を高めます。
脳腫瘍の合併症としてのてんかん
Roth P: Neurological and vascular complications of primary and secondary brain tumours: EANO-ESMO Clinical Practice Guidelines for prophylaxis, diagnosis, treatment and follow-up. Ann Oncol 2020
ヨーロッパのガイドラインというものです。2020年の段階で治療薬として,レベチラセタムがほとんどの施設で第一選択薬となっています。レベチラセタムの有害事象としての精神症状に注意する必要があります。バルプロ酸もかなりの施設で使用されているそうです。催奇形性があるので若い女性には使用しません。ラモトリギンは発作制御率は高いのですが,十分な効果を得るためには投与後数週間を要します。Enzyme-inducing anticonvulsantsである,フェニトイン,フェノバルビタール,カルバマゼピンは,第一選択薬としては勧められません。副作用と他の薬剤との相互作用での有害事象が多いからです。ラコサミドは多剤併用するときに用いられます。
乏突起膠腫とてんかん
Kerkhof M: Seizures in oligodendroglial tumors. CNS Oncol 2015
乏突起膠細胞系腫瘍の70-90%にてんかんが生じます。また,てんかん発症した例は長期予後が良い傾向にあります。腫瘍摘出や放射線治療で3分の2の患者さんでてんかん発作が止まり,化学療法では50%ほどでてんかん発作が改善します。レベチラセタムもしくはバルプロ酸の単独投与が乏突起膠腫の部分てんかんを抑制することは証明されています。しかし,40%ほどで抗てんかん薬治療中に薬剤抵抗性のてんかんが生じる可能性があります。
グリオーマ患者の難治性てんかんに対する多剤併用療法
van der Meer PB* Effectiveness of Antiseizure Medication Triple Therapy in Patients With Glioma With Refractory Epilepsy. Neurology 2023
治療抵抗性のてんかんに3剤の抗てんかん剤を使用するときには,クロバザムを追加するのが良いという報告です。3剤を使用せざるを得なかった90名の患者さんの解析では,レベチラセタムとバルプロ酸に,クロバザムを加えた場合に最も発作の抑制率が高かったそうです。
文献
Vecht CJ, et al.: Seizure prognosis in brain tumors: new insights and evidence-based management. Oncologist 19:751-759, 2014








