視床下部過誤腫 hypothalamic hamartoma
脳の過誤腫にはいろいろあって,他の過誤腫に関しては別に書いてありますので,ここをクリックして下さい
灰白隆起過誤腫 tuber cinereum hamartomaともいいます
- 第3脳室の床,視床下部底部の灰白隆起 tuber cinereum というところにできます
- 腫瘍ではなくて先天奇形(脳の形成異常)です
- 子どもの脳の成長と同じ早さでは大きくなります
- 腫瘍とは違うので持続的には増大しません
- かなり大きくても症状をまったく出さないものもあります
- 発症するのは小児期です
- 笑い発作 gelastic seizure などの特殊なてんかん発作や思春期早発症で発症します
- 思春期早発症の治療はまず薬物治療です
- てんかん発作が続くと,精神発達遅滞,認知機能低下,激怒しやすいなどの行動異常 rage attacks を生じることがあります
- 学習障害,無関心,社会適合性の低下などです
- 精神認知障害が進行する子どもでは外科的治療を行います
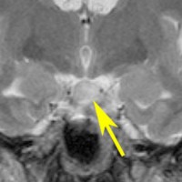
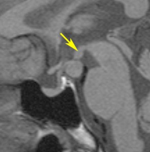
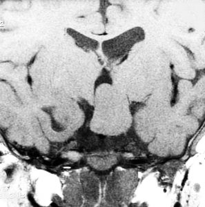
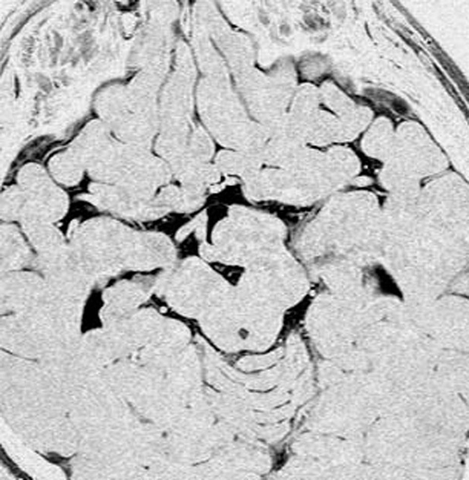
小さな典型的な視床下部過誤腫
無症候で発見されたpedunculated typeです。視床下部の底面からぶら下がるようにしてあります。左のCISS画像で形がよくわかります。中央のT1では灰白質と等信号です。右のT2では高信号となっています。
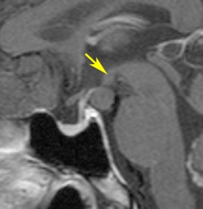
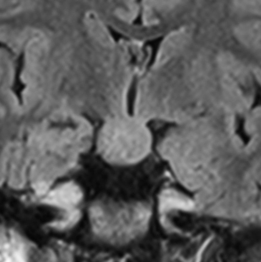
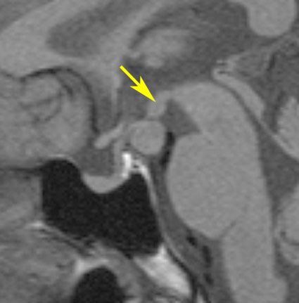
乳頭体(矢印)からは離れているタイプです。ですから笑い発作を生じません。右側のガドリニウム増強画像ではまったく増強されていないのが特徴です。
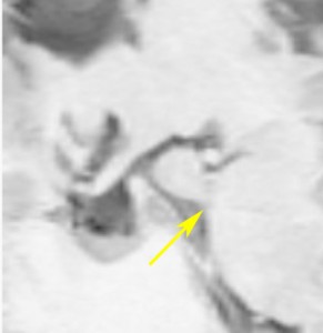
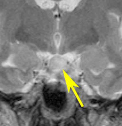
この例は珍しいのですが,橋 ponsにも茎 pedicleを有するタイプです。
病理
- 100万人に一人くらいの発生率です
- 妊娠早期の5週めから6週目くらいに形成されます
- 灰白隆起でも特に後半部分,下垂体柄 piutitary stalk と乳頭体 mamillary bodies の間にできます
- 10mm – 20mmくらいのものほとんどですが,40mmくらいの巨大なものまであります
- 異常な神経細胞と神経膠細胞で構成される灰白質の過形成です
- この神経細胞 (epileptogenic focus) から異常な信号がでると発作になります
- また,性腺刺激ホルモン (正確にはさらに上位のGnRH) が分泌されると思春期早発症になります
- 行動障害で発症する子どももいます
症状
- 何の症状も出さない無症状のものも多いです
- 症状が出る場合は,小児期に発症します
- 乳幼児期からはじまる笑い発作 gelastic seizure, laughing seizure が最も重要な症状です
- 沈んだ様子のあとで突然理由もなく笑ってしまうものです
- 泣いているようにみえることもあります dacrystic seizure
- 数秒から数十秒単位の短いものです
- この笑い発作は年長児になると自分で抑制することができますから,表面的には目立たなくなります
- 4−7歳くらいで行動障害 behavioral disorder が続発します
- その後に精神発達遅滞,認知機能障害,精神症状が生じることがあります
- 精神症状がなく軽症の笑い発作だけで経過する小児もいます
- 一方で,思春期早発症 precocious puberty という性早熟で発症することがあります
- 女児の場合は乳幼児の時に乳房の発達,恥毛や脇毛の発育,月経が始まるのでわかりますが,男児は年長時にならないとはっきりしないことがあります
- 思春期早発だけで行動発達障害が生じない患児も多いです
MRI診断
- 下垂体柄の付け根,乳頭体の前で,視床下部から下方(脚間槽)に突出する塊 massです
- 左右どちらかに偏るものが多いです
- T1強調画像で,灰白質と等信号になり,ガドリニウム増強されません
- T2強調画像ではやや高信号となることがあります
- 大きなものでは視床下部との境界は不明瞭ですが,基本的に楕円形であり,不整形や多房性などになりません
- 数cmを越える巨大なものでは腫瘍内のう胞を形成することがあります
- 思春期早発をだすものは,下垂体柄の付け根に主座があります
- 笑い発作をだすものは,下垂体柄より後ろ側の乳頭体に近い部分にあります
- 両方の症状を出すものは付け根が広くて sessile type,大きなものが多いかもしれません
思春期早発症の治療
- 生殖腺刺激ホルモン放出ホルモン拮抗剤 gonadotropin-releasing hormone (GnRH) agonists で治療できます
- リュープリン(酢酸リュープロレリン)という薬剤が有名です
笑い発作の治療
- 薬物治療をしますが治療抵抗性です
- 症状をみて外科治療 surgical intervention を検討する必要があります
- しかし,その時期が難しいと言えます
- 症状が軽い時に進行を予防するような外科治療はされなくなってきました
- 短時間で頻度の低い笑い発作だけでは外科治療をしません
- なぜなら,外科治療の合併症は重篤なものが多いので,精神神経症状の重症化が起こりそうな時に考慮します
- 二次性てんかん原性の獲得の前に外科手術をしたほうが続発性てんかん発作が難治性にならないという意見もあります
- 一方で,外科手術をするのであれば,患児の年齢が低いほうが発作のコントロール割合が高いことも知られています
- かつては開頭手術摘出術がなされましたが現在はあまり行われません理由は視床下部の手術があまりにも難しいからです
- 2000年頃から徐々にガンマナイフや定位脳手術が発達してきました
外科的治療は視床下部に機能障害を生じることがあります
視床下部障害は他のページを見てください,ここをクリック
ガンマナイフ 放射線外科治療
- 全身麻酔下の定位放射線外科 stereotactic radiosurgery SRT によって視床下部過誤腫を破壊する方法です
- 安全性は高い治療法で,一回の治療ですみます
- 照射後一時的に体温調節の不良とてんかんの頻度が増すことがあります
- 効果が現れるまでに時間がかかることが欠点です
- 効果現れるまでに半年から3年ほど待つ必要があります
- ですから症状の進行が著しくないゆっくりした患者さんに適しています
- ガンマナイフでてんかんが消失するのは3−4割程度の患者さんでみられるということです
- 視床下部障害が数年経ってから現れることもあり,以下の治療法と同じようにいずれにしても諸刃の剣です
定位脳手術による熱凝固治療
- 定位脳手術とは,頭蓋骨に10mmちょっとの小さな孔を開けて,そこから器具を差し込んで行う手術のことです
- MRIの画像を基にしたコンピュータガイド手術 image-guided targeting の一種です
- 細い棒 thin probe のようなものを過誤腫と視床下部の境まで差し入れて,先端から熱を出して一部を熱破壊します
- 過誤腫を60℃の熱で凝固します
- 過誤腫から出る異常な信号が中脳や乳頭体に波及するのを止めます
- 難治性の笑い発作などの治療には有力な手段です
- ガンマナイフと異なって,治療効果は即効性で,術後にすぐに判明します
- しかし,決して安全な手術とは言えません
- 大きな腫瘍では何カ所にもプローブを刺して凝固をしなければなりません
- 発作のコントロールがどの程度できるのかはまだはっきりしていません,2割とか7割で有効であったなどの報告があります
- 熱破壊の領域が広ければ発作はコントロールできる確率が上がりますが,一方で視床下部障害の可能性も上がります
- 正常な視床下部の損傷を避けるために,real-time MR thermographyなどが用いられますが,まだ安全性は確立されたとはいえないかもしれません
- 予想外に熱で視床下部の正常組織が破壊されてしまうと重症の視床下部障害が生じます
- 日本でも,ナトリウム調節障害での死亡例があります
定位的レザーアブレーション stereotactic laser ablation
- 定位脳手術で熱凝固をするときにレザー照射を利用する方法です
開頭外科手術
- 1980年に初めての成功例が報告されました
- 日本でも広く行われましたが難易度とリスクが高すぎる治療法です
- 澤村は2005年くらいまで行っていました
- 2015年,欧米ではまだ一般的に行われています
- 過誤腫をほぼ完全に摘出できないと,思春期早発や発作は抑制できません
- かなり経験を積んだ施設で,完全に発作がコントロールできる割合は50%程度と報告されています
- 日本で行わない方がいいという理由は,視床下部過誤腫の手術経験が脳外科医にあまりにも少ないからです
開頭手術の方法
- 2つの代表的な手術方法があります
- 前頭側頭開頭でシルビウス裂を開けて鞍上部の過誤腫を摘出する方法 Pterional Approachでは,視索損傷による同名半盲,穿通枝損傷による片麻痺のリスクがあります
- 両側前頭開頭で経脳梁的に左右の脳弓の間から入る方法 Transcallosal Interforniceal Approach では,脳弓損傷による記憶障害がかなりの頻度で生じます
- 片方の脳弓損傷だけならよいという意見もありますが,両側損傷による記憶障害は受容できないほど思い障害です
- 両者ともに難しい手術で,かつ現実的にはとても高い手術リスクがあります
- 大きな過誤腫で年少児でかつ認知機能の低下が著しい例では適応があるといわれています
内視鏡手術
- 内視鏡手術 Transventricular Endoscopic Resection は側脳室からモンロー孔,第3脳室内に内視鏡を挿入して行われる手術です
- 片側に偏っていて小さな過誤腫には有用な時もあるかもしれませんが,この手術でも脳弓損傷の可能性があり,また過誤腫を確実に摘出することはかなり難しいものです
予後
- 腫瘍としては増大しないので予後は全く問題ありません
- 発作頻度が多いと, 認知機能の低下(精神発達遅滞)が生じて,学習障害,無関心,社会適合性の低下が問題となることがあります
症候性になった例
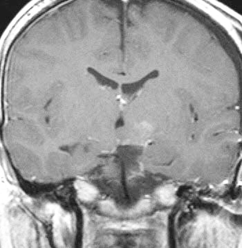
幼児期に思春期早発で発症

思春期早発で発症した幼児の視床下部過誤腫
視神経交叉の後方,乳頭体の前からぶら下がるようにしてあります
典型的な有茎状タイプです
少年期にgelastic seizureで発症
少年期に難治性の発作を生じて悪化しました,これを有茎 pedunculated とするかどうか微妙なところです
幼児期にgelastic seizureで発症
2歳でgelastic seizureを発症,6歳で思春期早発となりました
左視床下部に限局して柄を有するものです,左視索と乳頭体との境界はありません

おそらく左視床下部の機能低下と難治性の発作が原因で,左大脳半球の萎縮(あるいは発達不良)が認められます
予後がかなり不良だと判断して,2004年に摘出術をしました


術後のMRIです,pterional approach でしか摘出できない腫瘍でした
高い位置がとどかず少し取り残しました
gelastic seizureは減荷されましたが残り,術後に視野欠損を後遺しました
2019年時点でもこのよう過誤腫を治療することは困難です
まめ知識:過誤腫の形の分類
- 有茎状タイプ pedunculated (peduncular) typeと無茎状タイプ sessile typeがあります
- pedunculated typeとは比較的小さなもので,視床下部の底部からキノコのように伸びます
- 正常視床下部組織との境界が明瞭なものです
- 思春期早発症はpedunculated typeに多いです
- 手術摘出しやすいので脳外科での開頭治療の対象となってきたものです
- sessile typeは大きなものもあり,ダンゴを貼付けたような形で広く視床下部に接触します
- ですから視床下部との境界がはっきりしません
- 笑い発作はsessile typeに特徴的です
まめ知識:Lennox-Gastaut syndrome
Pati S, et al.: Lennox-Gastaut syndrome symptomatic to hypothalamic hamartoma: evolution and long-term outcome following surgery. Pediatr Neurol 49: 25-30, 2013
Barrow Neurological Institute からの報告です。レノックス・ガストー症候群は,multiple generalized seizure types, 脳波でのslow spike-and-wave,精神発達遅滞を特徴とするする病態です。159例の視床下部過誤腫の子どものうち,21例 (14%)がレノックス・ガストー症候群を発症しました。発症年齢中央値は0.9歳ですから,乳児期発症です。21人全員が外科治療を受けました。方法は,内視鏡手術,経脳梁法での摘出術,前頭側頭開頭での摘出術,放射線外科治療です。5人 (24%) で発作が消失し,9人 (42%) で発作は90%以上減少し,たった一人だけで発作が十分抑制できなかったとのことです。88%の子どもで行動障害が改善したとのことです。レノックス・ガストー症候群を発症して,なるべく早く外科治療をした方がよいとの結論です。
外科治療の結果
Pati S, et al.: Diagnosis and management of epilepsy associated with hypothalamic hamartoma: an evidence-based systematic review. J Child Neurol 28: 909-916, 2013
2013年にボストンのMGHから出された総論で,いろいろな外科治療で発作がなくなる割合 seizure freedum を調べたものです。開頭手術(経脳梁法)と内視鏡手術による過誤腫摘出では49-54%でした。前頭側頭開頭 pterional approachでは15%,放射線外科(ガンマナイフ)では40%であったとのことです。
ジャイアント 巨大なもの
Alves C, et al.: Giant hypothalamic hamartoma: case report and literature review. Childs Nerv Syst 29: 513-516, 2013
40mmを超える巨大なものがあります。澤村も乳児の巨大な過誤腫を見たことがあります。症状は思春期早発もありますが笑い発作です。画像ではのう胞変成が特徴です。外科摘出は有効ではなく,難治性の発作を止められず,手術合併症もすべての患児に生じていたと報告されました。
文献
- Alves C, et al.: Giant hypothalamic hamartoma: case report and literature review. Childs Nerv Syst 29: 513-516, 2013
- Albright AL, et al.: Neurosurgical treatment of hypothalamic hamartomas causing precocious puberty. J Neurosurg 78: 77-82, 1993
- Cascino GD, et al.: Gelastic seizures and hypothalamic hamartomas: evaluation of patients undergoing chronic intracranial EEG monitoring and outcome of surgical treatment. Neurology 43: 747-750, 1993
- Freeman JL, et al.: Generalized epilepsy in hypothalamic hamartoma: evolution and postoperative resolution. Neurology 60:762-767, 2003
- Freeman JL, et al.: The endocrinology of hypothalamic hamartoma surgery for intractable epilepsy. Epileptic Disord 5: 239-247, 2003
- Freeman JL, et al.: MR imaging and spectroscopic study of epileptogenic hypothalamic hamartomas: analysis of 72 cases. AJNR Am J Neuroradiol 25: 450-462, 2004
- Harvey AS, et al.: Transcallosal resection of hypothalamic hamartomas in patients with intractable epilepsy. Epileptic Disord 5: 257-265, 2003
- Iafolla K, et al.: Case report and delineation of the congenital hypothalamic hamartoblastoma syndrome (Pallister-Hall syndrome). Am J Med Genet 33: 489-499, 1989
- Machado HR, et al.: Gelastic seizures treated by resection of a hypothalamic hamartoma. Childs Nerv Sys 7: 462-465, 1991
- Mahachoklertwattana P, et al.: The luteinizing hormone-releasing hormone-secreting hypothalamic hamartoma is a congenital malformation: natural history. J Clin Endocrinol Metab 77: 118-124, 1993
- Mottolese C, et al.: Hypothalamic hamartoma: the role of surgery in a series of eight patients. Childs Nerv Syst 17: 229-236, 2001
- Pati S, et al.: Lennox-Gastaut syndrome symptomatic to hypothalamic hamartoma: evolution and long-term outcome following surgery. Pediatr Neurol 49: 25-30, 2013
- Pati S, et al.: Diagnosis and management of epilepsy associated with hypothalamic hamartoma: an evidence-based systematic review. J Child Neurol 28: 909-916, 2013
- Regis J, et al.: Gamma knife surgery for epilepsy related to hypothalamic hamartomas. Neurosurgery 47:1343-1351, 2000
- Rosenfeld JV, et al.: Transcallosal resection of hypothalamic hamartomas, with control of seizures, in children with gelastic epilepsy. Neurosurgery 48: 108-118, 2001
- Rosenfeld JV, et al.: Operative technique: The anterior transcallosal transseptal interforniceal approach to the third ventricle and resection of hypothalamic hamartomas. J Clin Neurosci 11: 738-44, 2004
- Stewart L, et al.: Role of surgical resection in the treatment of hypothalamic hamartomas causing precocious puberty. Report of six cases. J Neurosurg 88: 340-345, 1998
- Unger F, et al.: Gamma knife radiosurgery for hypothalamic hamartomas in patients with medically intractable epilepsy and precocious puberty. Report of two cases. J Neurosurg 92: 726-31, 2000
- Valdueza JM, et al.: Hypothalamic hamartomas: with special reference to gelastic epilepsy and surgery. Neurosurgery 34: 949-958, 1994
視床下部過誤腫の患者さんの会があります(ここをクリックすると開きますが英語です)










