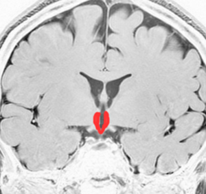
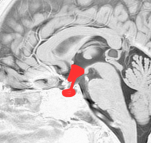
視床下部と下垂体の図です
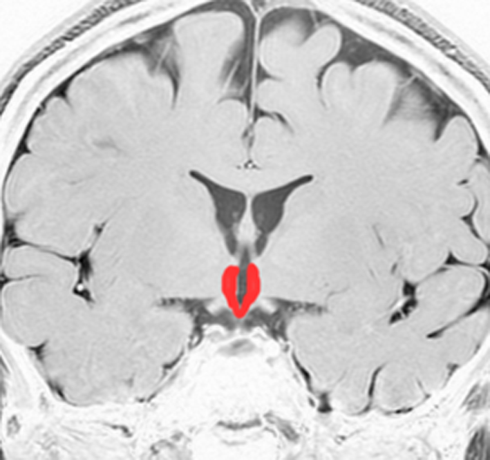
赤く塗ってあるところが視床下部と下垂体です。ここには体の中にホルモンを分泌する働きの中枢があってとても大切な場所です。上の方が視床下部で,下に垂れ下がっているようなのが下垂体です。

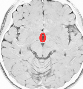
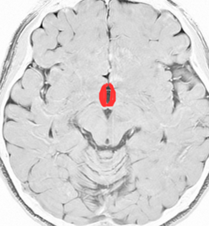
赤く塗ったところが視床下部と下垂体です
視床下部は下垂体の上位中枢で,下垂体は視床下部の命令で機能しています
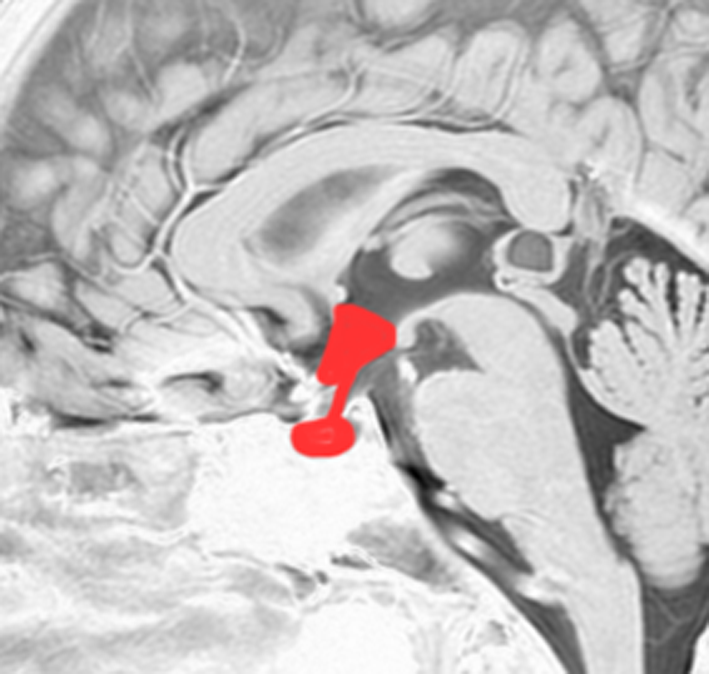
- 視床下部と下垂体の大まかな拡大図です。視床下部から視床下部ホルモンと神経伝達が出て,下垂体茎(下垂体柄とも言います)を伝わって,下垂体の前葉と後葉からホルモンが血液の中に出て体中に広がります。
- 視床下部には食欲の中枢とか,睡眠の中枢とか,体の中の水分や塩分の調節をする中枢とか,体内時計とか,いろいろ複雑でな高度な働きがあります。
- 下垂体の前葉からは,成長ホルモン GH,プロラクチン PRL,甲状腺刺激ホルモン TSH,副腎皮質刺激ホルモン ACTH,性腺刺激ホルモン LH & FSHなどが出ます。
- 下垂体の後葉からは,おしっこの量を調節する抗利尿ホルモン ADHというのが出ます。
視床下部と下垂体の機能障害は別ページにあるのでここをクリック
視床下部と下垂体を横から見たところ
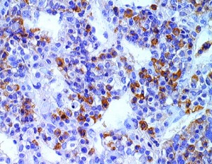
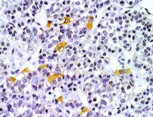
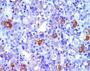
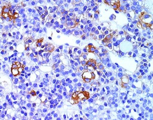
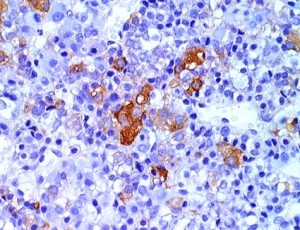
下垂体からはさまざまなホルモンが分泌されますが,プロラクチンを作る細胞は多くて,副腎皮質刺激ホルモンを作る細胞は少ないです。細胞の大きさと分布にも特徴があります。下にある病理画像はそれぞれのホルモンを特殊な染色法で染めたものです。細胞の中のホルモンの分子が染まっています。
正常下垂体の細胞とホルモン(ホルモン免疫染色)


左がHE染色といいます。右の写真はプロラクチン PRL 産生細胞を免疫組織染色で染めたものです。


左は成長ホルモン GH ,右は副腎皮質刺激ホルモン ACTH を産生する細胞です。


左は黄体化ホルモン LH,右は卵胞刺激ホルモン FSH産生細胞です。

甲状腺刺激ホルモン FSHです。


