てんかんを生じやすい良性腫瘍 hamartoma,glioneuronal and neuronal tumors,小児の低悪性度グリオーマ
glioneuronal and neuronal tumors
てんかんの原因となる WHO グレード1 の良性腫瘍の群です
病理確定診断がつかず,過誤腫 hamartoma 皮質形成異常 cortical dysplasia とされるものも多いです
WHO 2021年分類の,グリア神経細胞と神経細胞を起源とする腫瘍 ‘Glioneuronal and neuronal tumors’ の多くがこのような腫瘍性格を有します
何が過誤腫だと言われると困ることもありますが以下のようなものです
- 視床下部過誤腫がもっとも有名な腫瘍です
- 神経節膠腫グレード1も過誤腫に近いものです
- 神経節膠腫は,mixed neuronal glial tumorとも言われます
- アンジオセントリック・グリオーマ 血管中心性膠腫 angiocentric glioma
- 第4脳室床過誤腫
- Polymorphous low-grade neuroepithelial tumor of the young
- Multinodular and vacuolating neuronal tumor
- Diffuse low-grade glioma, MAPK pathway-altered
- 他のもろもろの神経膠細胞腫瘍 neuronal glial tumorsあるいは過誤腫様神経膠細胞腫瘍hamartomatous glial neuronal tumorsと呼ばれるものはたくさんあります
- 病理組織をみても確定診断名がつかないようなものも多いです
大まかなこと
- 腫瘍ではなくて脳組織の形成異常に近いものです
- 脳の細胞(神経細胞とグリア細胞・神経膠細胞)がまちがって増えすぎてしまった病変です
- ですから,生まれつき,幼小児に多いものです
- 真の腫瘍(新生物 neoplasm)ではないので大きくなりません
- 偶然発見されることが多いです
- 症状のないものは画像診断だけで、何もしないでほっておきます
- 症状を出すとすれば,ほとんどがてんかん発作です
- 大脳表面(灰白質)に近い所にできます
- 摘出するとてんかん発作が減ったり無くなったりすることもあります
視床下部過誤腫(ここをクリックするとみれます)
神経節膠腫グレード1(ここをクリックするとみれます)
Angiocentric glioma WHO grade 1
アンジオセントリック・グリオーマ
びまん性星細胞腫, MYBあるいはMYBL1 遺伝子異常 (グレード1)
Diffuse astrocytoma, MYB or MYBL1-altered
臨床所見
- 血管中心性膠腫とでも訳すのですが,日本語は使われません
- 2021年から名称が変わり,小児の定悪制度びまん性星細胞腫に分類されます
- MYBあるいはMYBL1遺伝子の異常をもち,びまん性浸潤を示す星細胞性腫瘍です
- 単調な腫瘍細胞から構成される低悪性度腫瘍である
- 症候性てんかん(けいれん発作)を生じます
- 何年にもわたって部分発作を生じて慢性化あるいは難治化するてんかん発作が多いです
- 小児期と若年成人で発症します
- 年齢中央値で17才くらいです
- 無症状で偶然発見されるものが多いです
- 前頭頭頂葉,側頭葉、海馬と海馬傍回,頭頂葉の順に多いです
- 画像初見は,神経膠腫グレード1やDNTに似ています
- 大脳表在性の腫瘍で,灰白質を侵す病変です
- 境界は明瞭ですが,周囲がごく一部にじむような所もあります
- T2/FLAIR画像で高信号となります
- 脳質壁に向かって柄(茎 stalk)のような病変が続く stalk-like extension のが特徴とされていますが,それが見られないものも多いですし,皮質異形成でもこの所見を持つものがあります
- 画像診断でangiocentric gliomaを疑ったらMRIで経過観察します
- 大きくならないので手術摘出などの治療の必要はありません
- てんかんが重くなって薬でコントロールが難しい時には開頭手術での摘出を考えます
病理
- 構成細胞は,腫瘍化した浸潤性の星細胞と上衣細胞分化です
- 皮質血管の周囲に両極性の腫瘍細胞 monomorphous bipolar cells が配列します
- 毛様細胞性星細胞腫のように,angiocentric patternをとることから名付けられました
- 血管周囲に腫瘍細胞が配列して peudorosettes,上衣腫の構造に類似しますが上衣腫ではありません
- GFAP, EMAが陽性となります
- 壊死や核分裂像はなく,MIB-1染色率は1%以下です
- MYB-QKI gene fusionsが原因で発生します
anglicentric gliomaの画像は下のページを参照して下さい
http://www.pathologyoutlines.com/topic/cnstumorangiocentricglioma.html
Polymorphous low-grade neuroepithelial tumor of the young
WHO grade 1
PLNTY
- 2021年のWHO分類で追加された腫瘍名です
- 従来,hamartomatous neuronal-glial tumorと診断されて来たものの一部です
- WHOグレード1のとてもおとなしい腫瘍で,増大傾向を示しません
- 側頭葉表面に多く見られます
- てんかん源性が強い,難治性てんかんを生じるとして報告されて来た良性腫瘍です
- 小児から若年成人に発生し,初発症状は症候性てんかん SLRE です
- 画像と病理所見は,乏突起膠腫に似ています
- 日本語訳は難しいです,若年性多型性低悪性度神経上皮腫瘍となりますが訳がわかりません
- 大脳表面に多く,mass effectを示さずに浸潤性に増殖する を含むグリオーマに見えます
- 画像では,砂粒状石灰化 grit carcificationが特徴で,のう胞形成することもあり,FLAIRで滲むように白く見えるのが特徴です
- 画像では,T2強調画像でまだらな高信号 salt and pepper sign,ガドリニウムで部分的に増強され,境界が不明瞭で染み込むように広がっています
- WHOの記載する病理像は雑多な所見を含みますが,1) 神経グリア系腫瘍である,2) びまん性増殖像を示す,3) 乏突起膠腫様の組織像を含む,4) 石灰化がある,5) CD34免疫染色で強陽性となる,6) 細胞核や細胞質の大小不同がある polymorphous,7) MARK pathway活性化を示す遺伝子異常がある,とされています
- 画像は,https://pubmed.ncbi.nlm.nih.gov/32252664/ を参考にしてください。
- Polymorphous low-grade neuroepithelial tumor of the young (PLNTY): an epileptogenic neoplasm with oligodendroglioma-like components, aberrant CD34 expression, and genetic alterations involving the MAP kinase pathway. Acta Neuropathol 2017
- Chen Y: Polymorphous low-grade neuroepithelial tumor of the young: case report and review focus on the radiological features and genetic alterations. BMC Neuro 2020
多結節空胞状神経細胞腫瘍
Multinodular and vacuolating neuronal tumor MVNT
- 大脳表面に近い皮髄境界部に見られる腫瘍です
- 多くは無症状で偶然発見され,びまん性グリオーマのようにみえます
- 腫瘍としてはほとんど大きくなりませんので,経過観察しても変化がありません
- まれに症候性となり,てんかん発作を生じます(症候性てんかん)
- MRIでは,T2/FLAIRでびまん性腫瘍と結節状の高信号が散在するような特有の画像を呈します
- mass effectがなくて,T1低信号,ガドリニウム増強されないびまん性腫瘍です
- 空胞状の神経細胞とneuropilで形成されます,細胞密度は疎で,組織構築は結節性です
Turan A: Advanced Magnetic Resonance Imaging Findings of Multinodular and Vacuolating Neuronal Tumor. Turk Neurosurg 2021(画像参照できます)
Diffuse low-grade glioma, MAPK pathway-altered
- 小児の大脳半球,脳幹部,小脳に発生する腫瘍でとてもゆっくり増大します
- 画像診断や病理組織診断では,びまん性星細胞腫や乏突起膠腫と区別がつきません
- IDHやhiston H3に変異がないことで鑑別できます
- 代わりに,MAP kinase pathway (BRAF, FGFR1, FGFR2, NTRK1, NTRK2, NTRK3, MAP2K1, MET alterations) に関わる遺伝子に異常が認められます
- 特に,FGFR1やBRAFなどです
- 症候性てんかんが初発症状です
- 脳幹部と小脳は増大すると頭蓋内圧亢進症状がでます
- T2 FLAIRでびまん性の高信号となり,ガドリニウムでまだらに増強されることがあります
- 治療は,外科摘出ですが,摘出できない部位のものも多いです
- BRAF V600Eに変異があるものは分子標的治療が可能です
脳室内過誤腫 hamartoma of the ventricle
脳の過誤腫には視床下部にできるものと橋延髄背側にできるものがあります。以下に症状の対比を並べておきます。両者ともに発作がコントロールできなくて激しくなると,症状は重症化して行くので,可能であれば外科治療をした方がよいものです。でも難しい。
第3脳室床過誤腫 (視床下部過誤腫)hypothalamic hamartoma
別ページに詳細があるのでここをクリック
笑い発作,思春期早発,多動・易興奮性,行動異常,難治性てんかん,意識減損,認知機能障害
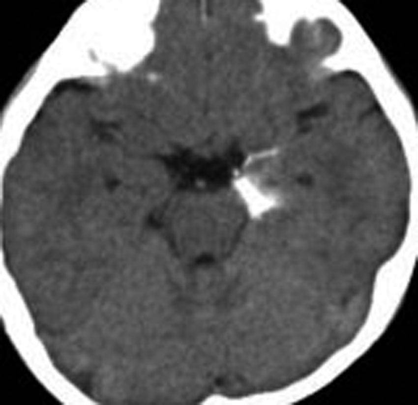
第4脳室床過誤腫 (脳幹部過誤腫)brainstem hamartoma
顔面筋異常運動,眼球運動障害・眼振,自律神経障害,発作性嘔吐,不規則呼吸,片麻痺,意識減損,遷延性意識障害
第4室床過誤腫の典型例です
新生児期より動作停止と右眼瞼のちく搦,4ヶ月で右眼の閉眼と口角の引きつれ(顔面けいれん)が目立つようになりました。2歳時には数十秒ごとに発作を繰り返していました。



MRIでは橋の背側(第4脳室床)にT1/T2で等信号の隆起(腫瘤)がみられました。


手術中の顔面筋電放電をモニターしたものです。過誤腫の摘出によって沈静化消失しています。


結果的に過誤腫をほぼ全摘出してしまったのですが,脳幹背側なので神経核損傷のリスクを伴います。亜全摘出でも発作は止まるとされています。手術中のモニターで放電が無くなればそこで過誤腫の摘出を中止して良いのでしょう。
皮質形成異常(皮質異形成),異所性灰白質との区別
- 過誤腫は先天的な過形成,皮質異形成は先天的な形成異常とされるのですが,両者の区別は必ずしも境界があるわけではありません
- 「異所性灰白質」と「灰白質を組織像とする過誤腫」は同じようなものです
- 最近,てんかんを診ることが好きなお医者さんが,皮質異形成 cortical dysplasia type IIIb に,DNTや神経節膠腫などもひっくるめることに決めました,それはちょっと乱暴です
- 典型的な皮質異形成 classical cortical dysplasia 以外は,なにもかも皮質異形成と呼ばない方がいいでしょう
病理診断名が確定できない様な小児のてんかん原性腫瘍
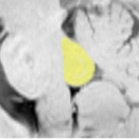
右側頭葉先端の腫瘍です。発症時にはMRIで異常所見がありませんでしたが,徐々に顕在化しました。ガドリニウム増強はなく一部のう胞性です。
4歳時に意識現存を伴う発作が1日3回くらいあるという難治性部分てんかんで発症しました。手術中の頭蓋内脳波で,下側頭回に激しい棘波と棘律動を認め,扁桃体への刺入電極でも棘波がありました。周辺脳にも棘波はありましたが,病変(腫瘍)と扁桃体を切除するのみの手術を行いました (lesionectomy and amygdalectomy)。手術後13年が経過しますが発作はありません。病理では,腫瘍組織内に神経節細胞はなく,皮質異形成 cortical dysplasiaあるいはグリオーマ様病変 gliomatous lesionという診断でした。1p/19qに欠失はありませんでしたが,乏突起膠腫も否定できない周囲灰白質に浸潤性の腫瘍でした。この例はlow-grade gliomaでしょうが確定病理診断はできないものです。どちらであっても,基本的にグレード1ですから,手術後再発はしません。
乳児期にてんかん発作で発症する内側側頭葉過誤腫
mesial temporal hamartomatous tumor
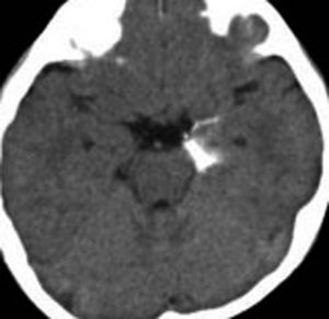
乳児期に全身性感帯痙攣発作で発症しました。左海馬鈎に強い石灰化があります。側頭葉硬化症とも言われるものです。この部位の過誤腫様の腫瘍は難治性てんかんとなることが多く,病変切除が必要となります。

脳波では前頭葉に蕀律動を認めます。切除は扁桃体と海馬鈎の摘出を目指すものです。








