皮質異形成
皮質異形成 cortical dysplasia
異所性灰白質 ectopic gray matter
- 皮質異形成(皮質形成異常)や異所性灰白質は,脳腫瘍と間違われることが多いので記載しました
- 脳腫瘍ではありません
- 脳皮質の先天的な形成異常(奇形)です
- 脳の一部がちょっと作り間違っているくらいのものです
- 無症状のものが多いので発見されても様子見だけでいいです
- 脳には灰白質(大脳皮質)というのがあります
- 皮質には神経細胞がいて活発な電気生理的な活動をしています
- そこから異常な脳波が出てしまいます
- 部分てんかん発作の原因となります
- 症候性てんかんと言います
- ほとんどが小児期に発症します
- 抗てんかん薬の薬物治療で治療を続けます
- でも,てんかんの薬が多くなったり,発作が十分に制御できなかったりすることがあります
- そういうときには,皮質形成異常や異所性灰白質を開頭手術で摘出することがあります
- 手術の目的は,てんかんを止めることです
- 指定難病ですから医療費の補助が出ます

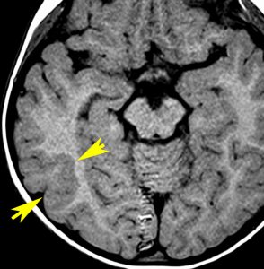
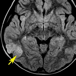
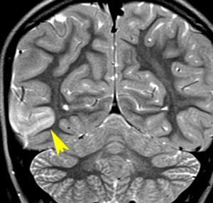
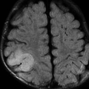
2歳時に偶然発見された,大脳皮質の限局性異形成です。10歳まで症状はでていません。
右側頭葉中側頭回の皮質が厚くなっています。T1強調画像では等信号で見づらいですが,下のフレア画像とT2強調画像では高信号になるのでわかります。
低悪性度グリオーマと間違われることがありますが,大脳皮質だけが異常な信号になっていて,皮質下白質に異常所見がないことが鑑別点です。
限局性皮質異形成 FCD focal cortical dysplasiaの病理分類
Type 1a and 1b
Isolated lesions, which present either as radial (FCD Type 1a) or tangential (FCD Type 1b) dyslamination of the neocortex, microscopically identified in one or multiple lobes.
Type 2a and 2b
An isolated lesion characterized by cortical dyslamination and dysmorphic neurons without (Type IIa) or with balloon cells (Type IIb).
Typet 3 ILAE Classification
2011年にILAEがType 3を追加しました (Blumche I, et al. Epilepsia 52)
- 訳が分からない分類です!
- てんかんは解るけれど脳腫学の知識がないグループの提唱するものです
- 要するに既存の器質性局所脳疾患がありてんかんを発症すれば,cortical dysplasiaとなるようなことですが,これらを皮質異形成の一部に分類するのは無茶ですね
- DNTとか神経節膠腫が,皮質形成異常type IIIbなどと訳の分からない分類です
Type 3 occurs in combination with hippocampal sclerosis (FCD Type 3a), or with epilepsy-associated tumors (FCD Type 3b). FCD Type 3c is found adjacent to vascular malformations, whereas FCD Type 3d can be diagnosed in association with epileptogenic lesions acquired in early life (i.e., traumatic injury, ischemic injury, or encephalitis).
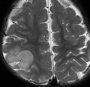
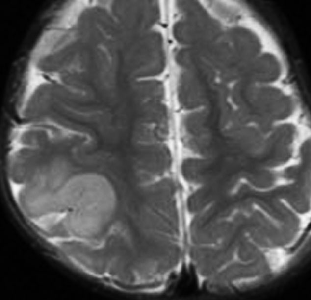
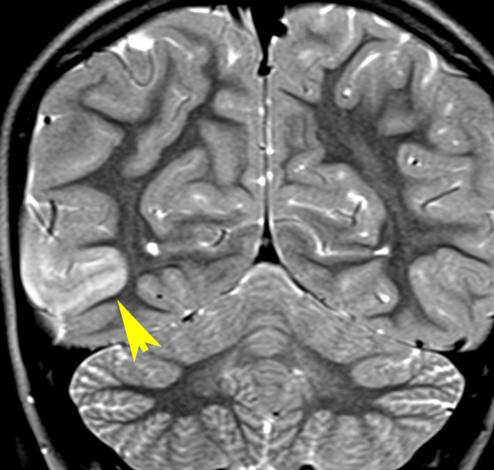
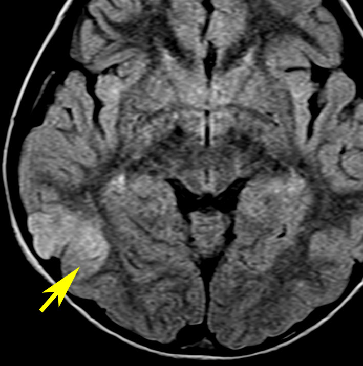
新生児期にてんかん発症した例 focal cortical dysplasia 2b
右頭頂葉の皮質異形成です。生後2週間目に両上肢を挙げるような発作を生じて難治化,1歳を超える頃には発達の遅れが目立ちました。新生児期にはMRIで描出できなかった病変が1歳になって初めて写るようになりました。手術で病変摘出 lesionectomy して投薬中断ができて,その後は普通に育ちました。
文献
Blumche I, et al.: The clinicopathologic spectrum of focal cortical dysplasias: A consensus classification proposed by an ad hoc Task Force of the ILAE Diagnostic Methods Commission. Epilepsia 52: 158–174, 2011



