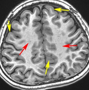
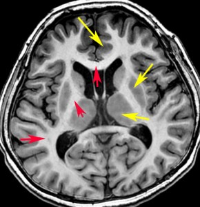
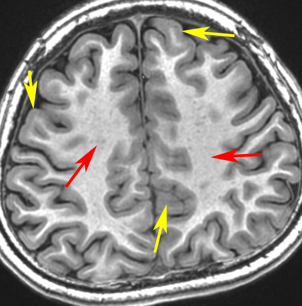
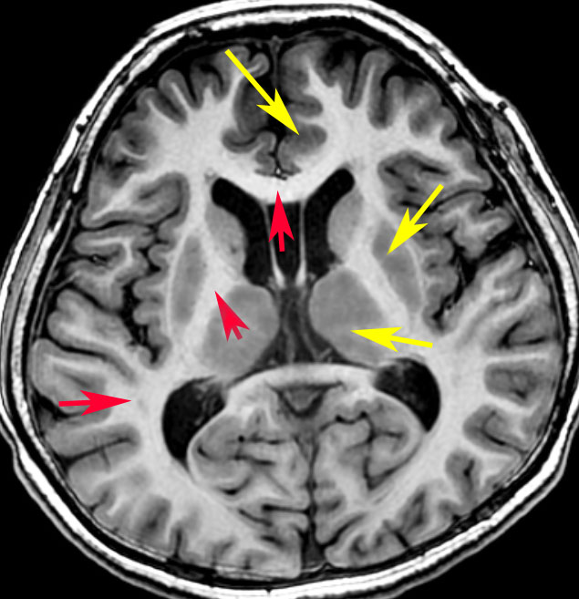
白質と灰白質,大脳皮質
- 脳の病気の説明で,大脳皮質,白質 white matterと灰白質 gray matterという言葉がよく使用されます
- 灰白質は,脳の表面の神経細胞のいるところです
- 白質は,灰白質の内側にあって神経細胞の連絡路(軸索)です
- 大脳皮質は,脳の表面にある灰白質のことだけをさします,視床とかは含まれません
- 灰白質は,大脳基底核とか視床とか脳の深部にもあります
- 白質で重要な呼び名は,放線冠,内包,脳梁などです
- たとえば病気を表現する時に,皮質形成異常とか皮質性病変とか,白質脳症とか深部白質病変とかいいます


黄色い矢印が灰白質(灰色に見える),赤い矢印が白質です(白く見える)