DNT 胚芽異形成性神経上皮腫瘍
dysembryoplastic neuroepithelial tumor DNT
- 日本語は難しいのでDNTと呼ばれます
- 良性の腫瘍で大きくなることはありません
- お母さんのお腹の中にいた時からあった腫瘍だと考えられます
- 腫瘍というよりは過誤腫(奇形みたいなもの)と言ったほうがいいかもしれません
- てんかん発作で発症します
- 10代の子供に多いです
- 長い間けいれん発作を繰り返していてMRIをしたら腫瘍が見つかったというふうに発見されます
- MRIでほぼ確実に予想ができます,でも確定診断は生検術です
- 外科治療の必要はないことも多いので,開頭術で腫瘍をとるといわれたらよーくその必要性を考えましょう
- 治療は,てんかんを止めることが目的になるので抗てんかん剤という薬の選択が大切になります
- てんかんの専門医(小児科医,精神科医,神経内科医)にかかることがとても重要です
- 手術は腫瘍だけ取る場合と,てんかん発作の原因になっている周囲の脳組織を一緒に摘出する方法があります
- 手術で腫瘍だけを摘出するとてんかん発作が消失することが多いです
- ですから,最初の手術は腫瘍だけきちんと摘出します
- 重要な脳組織 eroquent areaに腫瘍があっても,腫瘍摘出だけなら後遺症(手術後神経脱落症状)はでません
- 手術してもてんかん発作が残ることもあります
- 手術して腫瘍が残っても放っておきますし,残った腫瘍が大きくなることはありません
- 放射線と化学療法は効きません
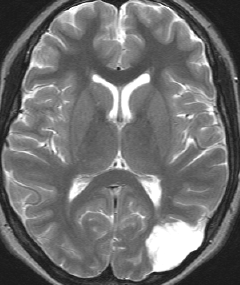
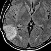
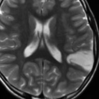
手術で症候性てんかんが完治した少女
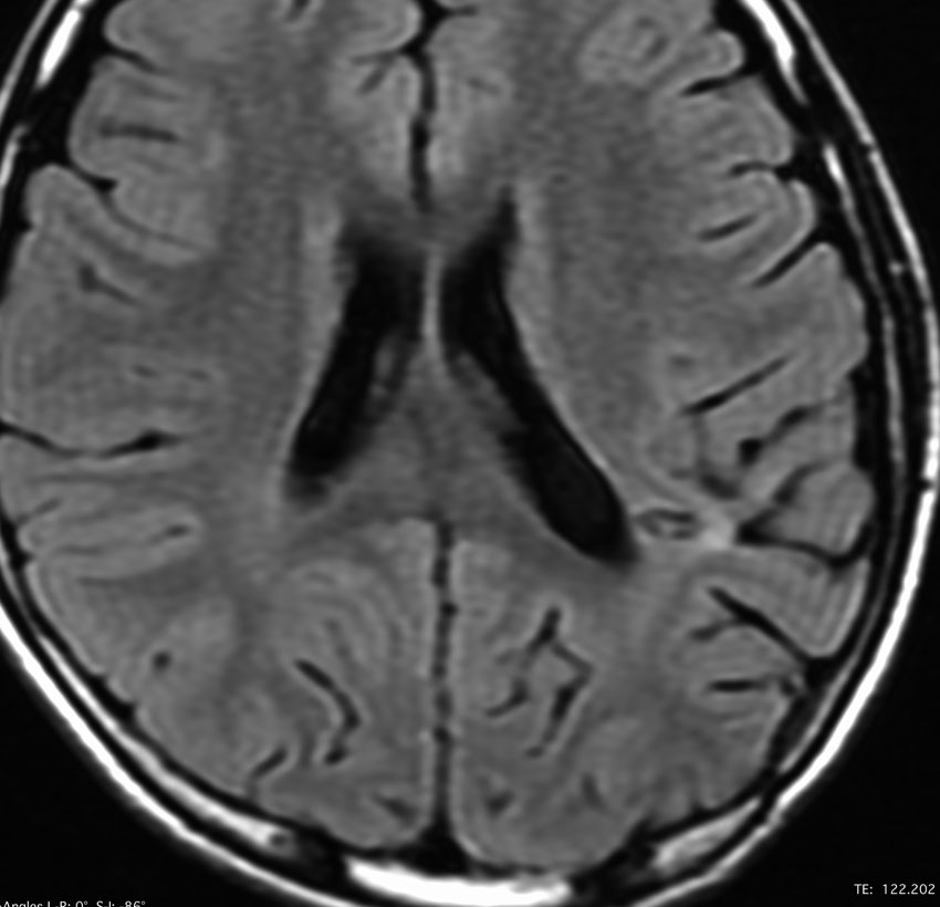
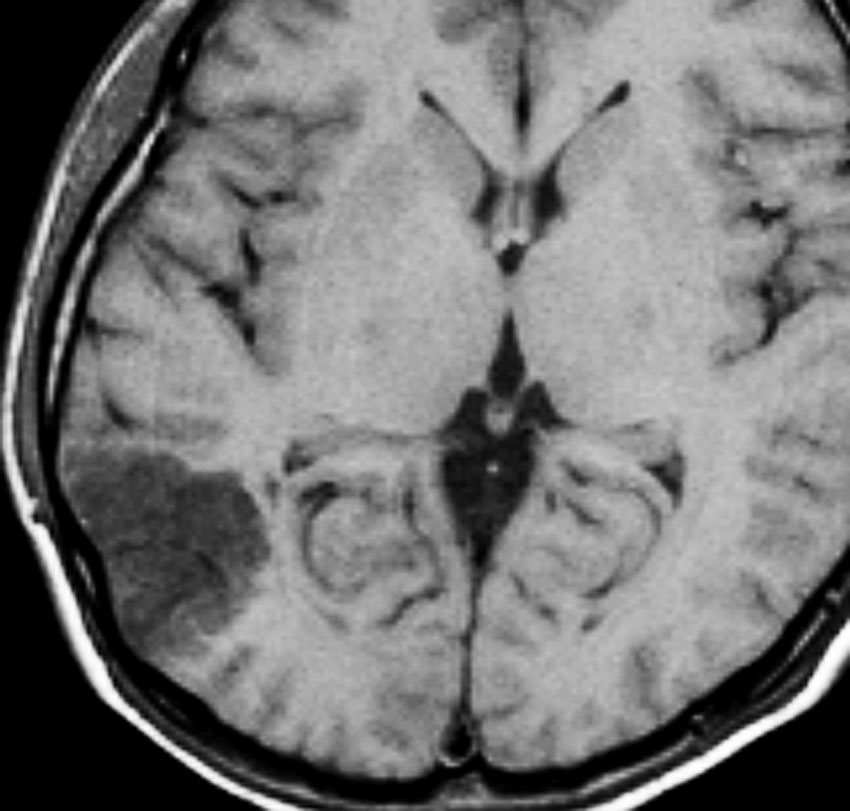
10代の少女に見つかったDNTです。難治性のてんかんがあり1日になんども意識減損を生じて,けいれんを止める薬をたくさん飲んでいて副作用のために眠気で日常生活が困難でした。でも,他の症状は何もありませんでした。左の頭頂葉と側頭葉と後頭葉の境目にできたものです。おそらくお母さんのお腹の中いたときからあった腫瘍なので何もしないで様子を見てもいいのです。でも,てんかん発作がひどいので腫瘍だけを摘出しました。DNTだけを取っても後遺症が残ることはほとんどありません。この場所は周囲の脳組織をとると後遺症がでる場所 (eroquent area)なので,てんかんを止める目的でもかなりの理由がないと周囲の脳組織は摘出しません。この子は,抗てんかん薬もいらなくなって完治しました。
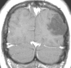
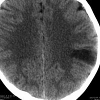
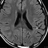
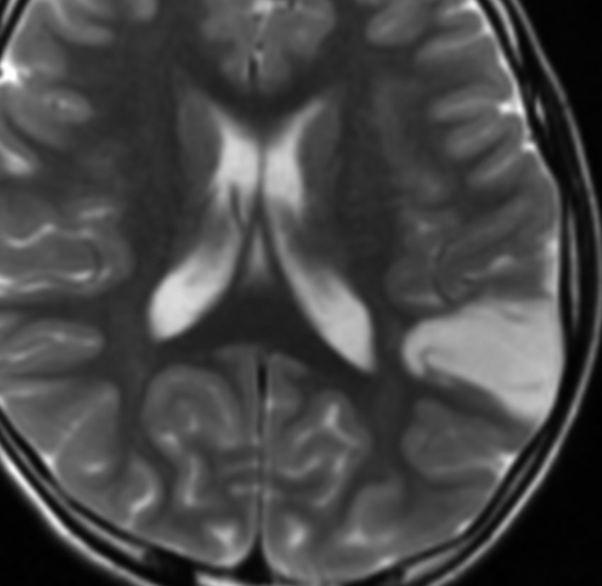
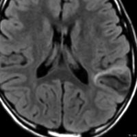
10歳でてんかん発症して難治性になった例
まだ日本にMRIが普及してなかった1988年,10歳でてんかん発作を発症しました。当時は,DNTという病名自体も知られていませんでした。これも典型的なDNTのMRI画像です。20代後半になって,複数の抗てんかん薬で治療を受けていましたが,難治性の発作をしばしば生じていました。発症してすぐに腫瘍摘出をしたほうがよかったのかもしれません。
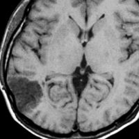
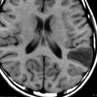
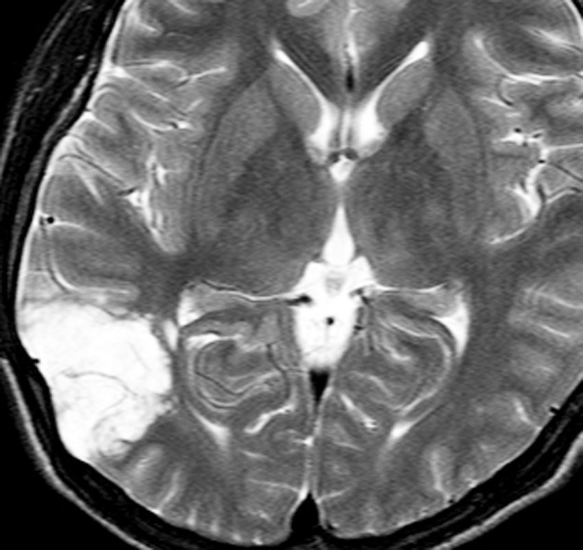
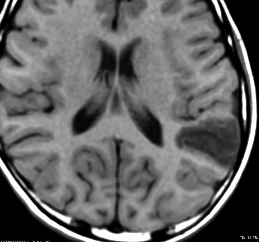
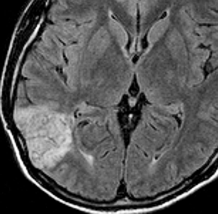
3歳で発症し自動症と診断されていた例
3歳で最初のてんかんらしいと言われる発作があり,その後は発作は見えず自動症と診断され徐々に学習能力の低下が認められ,7歳の時に外来を訪れました。週に3回くらい腹痛や嘔気があってすぐに眠くなってしまう。耳鳴がすごくてしばらく何も聞こえなくなってしまう,話も理解できなくなるなど,側頭葉てんかんの特徴をたくさんエピソードとして持っていましたが,症候性てんかんとは診断されませでした。側頭葉にどのような機能があるのかを証明してくれる症例でもあります。
典型的なDNTの画像で説明するまでもありません。ガドリニウムでは全く増強されませんでした。左上側頭回と角回の境界域に存在します。
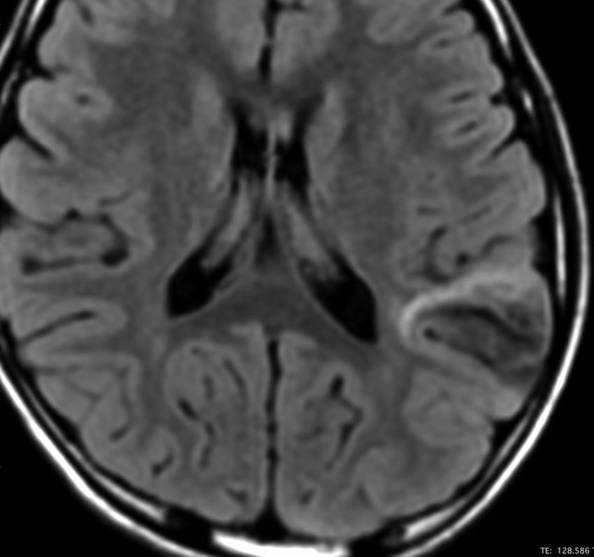
側脳室壁のあたりまで全摘出しました。とても柔らかい腫瘍で吸引できました。
病理は,粘液気質を背景に小型円形の核を有する細胞が増殖し,肺胞用構造を呈していました。その中にやや大型の神経細胞が多数混在するものです。
術前発作期間が長いと症状の回復が不良であるという残念な例でもありました。








