髄膜血管腫症 meningioangiomatosis
- とても稀な疾患です
- 腫瘍ではなくて,血管と髄膜細胞が構成する過誤腫と捉えられます
- 髄膜に接する前頭葉や側頭葉の脳表あるいは軟膜下に存在します
- 20以下の男児に多くみつかります
- 良性の疾患です
- 症候性てんかん発作 (SLRE) で発症します
- 80%くらいの患児でてんかんが薬でコントロールできない状態になります
- 病理組織診断も難しく,多数の血管構造がみられ,血管周囲にmeningothelial cellsが増殖して,fibroblastsが結合織を構成しています
- まれに神経線維腫症2型 NF-2に併発するものは多発性となります
画像診断
- とても難しいといえます,特徴的な所見がないからです
- ほとんどが髄膜に接する脳表を巻き込む病変なのです
- 小さな多房性のう胞を伴ったり,脳内に結節とのう胞を形成するものもあります
- CTでは不規則な高密度領域あるいは低密度です
- 石灰化が見られる頻度も高いです
- T1強調では等信号から低信号
- T2強調画像では低信号領域と血管のflow-voidがみられます
- ガドリニウム増強では不規則な増強像を見ることが多いです
- T2低信号の部分(結節)が強くガドリニウム増強されることも特徴かもしれません
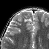
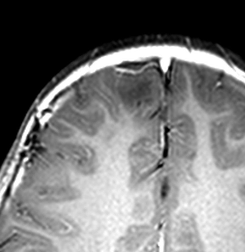
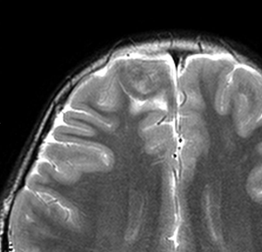
難治性てんかんで発症した小児ですが,どう見てもDNTなのかなと思います。石灰化もありません。一般的に,meningioangiomatosisの術前診断は困難であると言えます。いずれにしても治療はlesionectomyです。

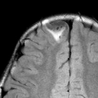
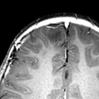
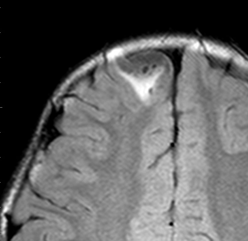
摘出して8年後のMRIです。手術後に発作は完全に消失してmedication freeです。発症後3年で手術摘出したのですが,間に合ったのでしょう。薬物治療を続けて発作期間が長期化してから手術摘出すると単なる病変切除ではてんかんが制御できないことがあります。
治療
- 無症状のものは摘出する必要がなく経過観察します
- でも,画像だけで診断できないので,摘出手術となりはじめて診断に至ることも多いでしょう
- 病変を摘出するだけで症候性てんかん発作が抑制できることが多いです
- 病変ですでに傷んだ周囲の灰白質は摘出します
- しかし,周囲の正常脳まで切除しててんかんを確実に止めるなどという挑戦はしません
- 腫瘍性病変として増大することがないので無理な手術はしません
- 線維性血管結合織のmassが脳表のgliosisと癒着しているので,脳表損傷なしでは摘出できません
文献
Meningioangiomatosis: Multimodal Analysis and Insights From a Systematic Review. Neurology 2021
文献報告された207例の解析です。20歳以下の男性に多いそうです。症候性てんかん SLREで発症しますが,手術時には,81.4%で制御されていない発作 uncontrolled seizures を有していました。画像は特有の所見がなく術前に診断することができません。診断から手術摘出までの期間が短い方が予後が良いとの結論です。


