小児への放射線治療の影響
おおまかなこと
- 年齢が低いほど放射線治療の副作用が強く出ます
- 最も大きな問題は,認知機能の発達の遅れです,之が為に社会生活ができなくなることが多いです。
- 他にも,下垂体機能低下症,視床下部障害,二次腫瘍の発生,脳血管障害(若年期の脳梗塞),難治性てんかんの発生などなどとても多くの遅発性障害があります
- 年齢と腫瘍の種類,場所によってさまざまな放射線治療の方法があります
- 成人では1日線量2グレイが用いられることが多いのですが,小児では1.6-1.8グレイが一般的です
- 1歳児ではほとんど放射線治療をしないのですが,緩和的な治療を選択する時に1回線量で1グレイという照射をおこなうこともあります
全脳照射後の脳壊死と白質脳症
brain necrosis and leukoencephalopathy after whole brain irradiation (craniospinal irradiation)
- 児の脳は放射線治療でダメージを受けやすいです,同じ量の放射線をあてても予想外の結果が生じてしまうことがあります。
- 広範囲の脳に放射線治療が行なわれた後に生じます
- 高線量の局所照射 local / focal radiation therapyや放射線外科治療による局所の脳壊死とは異なるものです
- 脳脊髄あるいは全脳に放射線治療を行なうと,脳全体が萎縮したりすることがあります,一部の脳組織が壊死(脳軟化)することもあります
- 同じ放射線量でも,小さな子どもほど起こりやすくて,成人では少なくて,高齢者ではまた頻度が高くなります
- 亜急性といって照射3から6ヶ月後くらいに生じることもありますが,遅発性で5年後とか10年かかって起こることもあります
- 特殊な事情によってかなりの高線量が脊髄に入らない限り,実際には脊髄症状が出ることはほとんどありません
- 思春期以降,成人では,30グレイ(15分割)くらいから認知機能低下が生じる可能性がでてきます
- 30グレイ(10分割)全脳照射ではかなり目立った認知機能低下を生じます
- 認知機能低下が目立ってくると脳全般の萎縮像がみられます
- 子どもの場合にはこれ以下の線量でも生じます
- 年齢と照射線量は個人差が大きいです
- 例えば,10歳児で全脳照射23.4グレイ(13分割)くらいですと多くの子どもたちが耐えますし,学習障害(高次脳機能障害,認知機能障害)を生じないことが多いです
- でも,7歳児くらいで全脳照射23.4グレイ(13分割)を受けると学校の勉強についていけなくなる子が多いでしょう
- 4歳児くらいで全脳照射23.4グレイ(13分割)を受けると多くの子どもが普通のクラスで勉強できなくなります
- 2歳児ですと重い精神発達遅滞となります
- MRI検査では,脳の萎縮(隙間が多くなる),T2強調画像やフレア画像で白質が高信号になる(白く写る)という所見が見られます
- 壊死(脳軟化)すると脳の中に穴が開いたような所見になります,のう胞性軟化 cystic malaciaといいます
- このタイプの放射線脳障害では脳浮腫は生じません
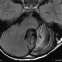
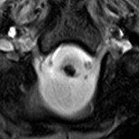
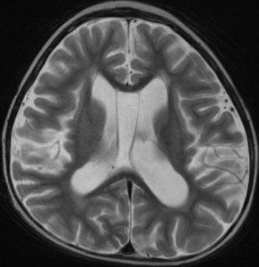
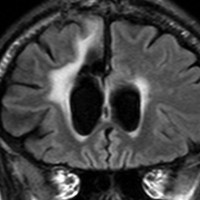
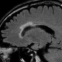
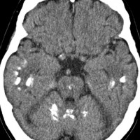
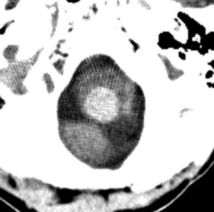
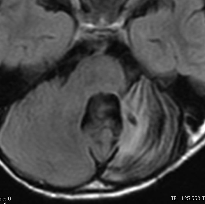
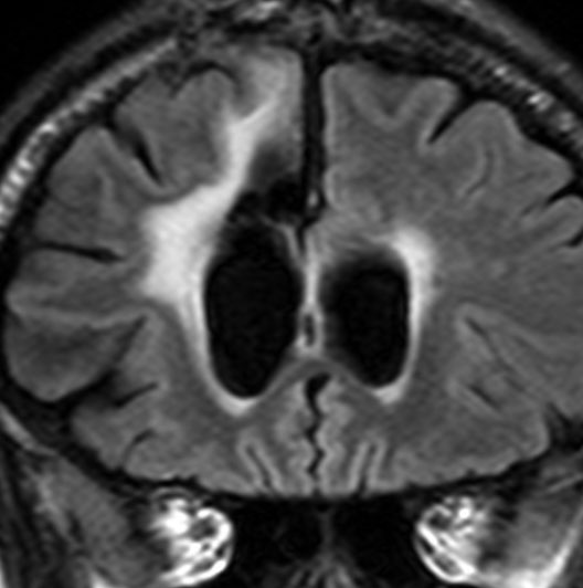
3歳の子どもの髄芽腫の放射線治療後に生じた脳萎縮
3歳の髄芽腫です。発症時から小脳表面や小脳橋角部を含めて転移がありました stage M2。化学療法で腫瘍はかなり縮小して,3歳7ヶ月まで頑張ってから,後頭窩照射 25.2グレイ14分割と脳脊髄照射 CSI 28.8グレイ16分割の放射線治療をしました。当時このような例では,脳脊髄照射 36グレイが標準治療でしたから,これでもかなり線量を落としました。
左側の画像は照射後4ヶ月目です。延髄の左側に放射線壊死が生じました。これは数ヶ月かかってゆっくり消褪しました。右側の画像は照射後1年くらいのものです。大脳白質にびまん性に萎縮性変化がみられます。典型的な放射線治療による白質萎縮です。この程度の線量でも脳壊死や全脳萎縮を生じない子どももいます。
放射線の副作用は同じ線量でも個人差がとても大きいです idiosyncrasy
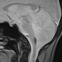
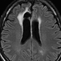
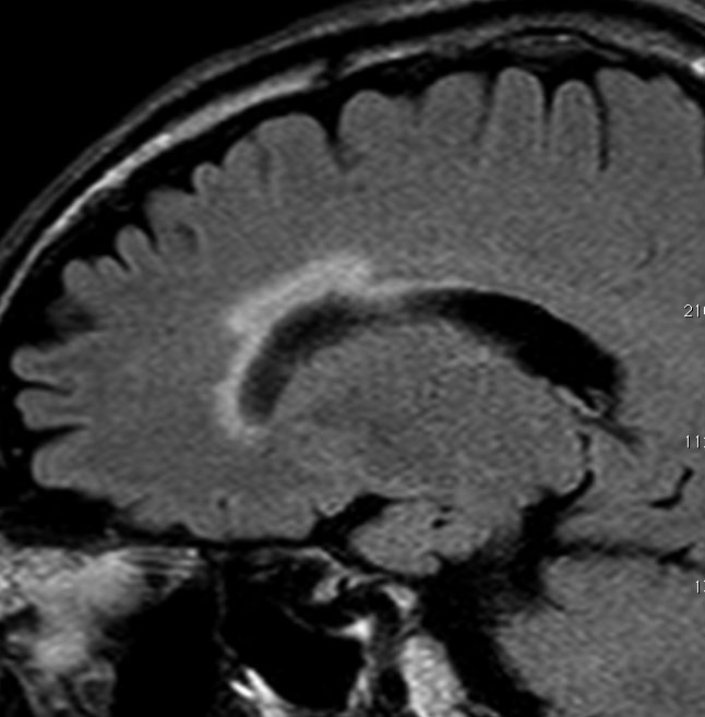
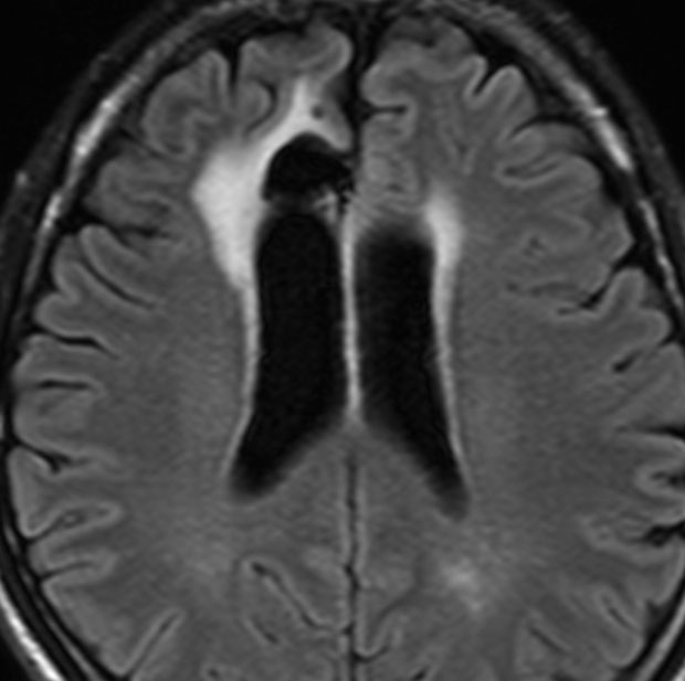
局所照射後の白質変性,脳質壁の白質変性
全脳照射でなくても局所照射でも放射線治療後には白質変性が生じます。無症状のことが多いですが,照射野内の脳萎縮などを伴うと高次脳機能障害などの症状をだすことはあります。
この患者さんは右前頭葉のびまん性星細胞腫に46グレイ23分割という低い線量の局所照射をしました。放射線治療8年後のMRI FLAIR画像です。腫瘍の再燃はなく,脳室周囲の白質が高信号になっています。脳梁や透明中隔の白質組織も高信号になり,非常に軽度の白質変性を示しています。でも,何の症状もありません。注意しなければならないのは,この所見を星細胞腫の再発あるいは進行と捉えて余分な治療をしないようにすることです。とくにグレード2の星細胞腫と乏突起膠腫の時に問題となります。
多房性白質壊死 multicystic white matter malacia
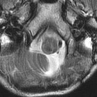
放射線により脳の髄鞘を形成する乏突起膠細胞 オリゴデンドロサイトoligodendrocyte (乏突起膠細胞)が障害を受け,脱髄 demyelinaiton が生じて白質脳症となります。上記の例はその病理像を反映するMRI所見です。
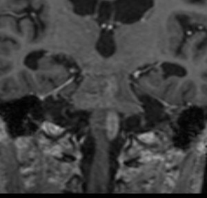
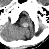
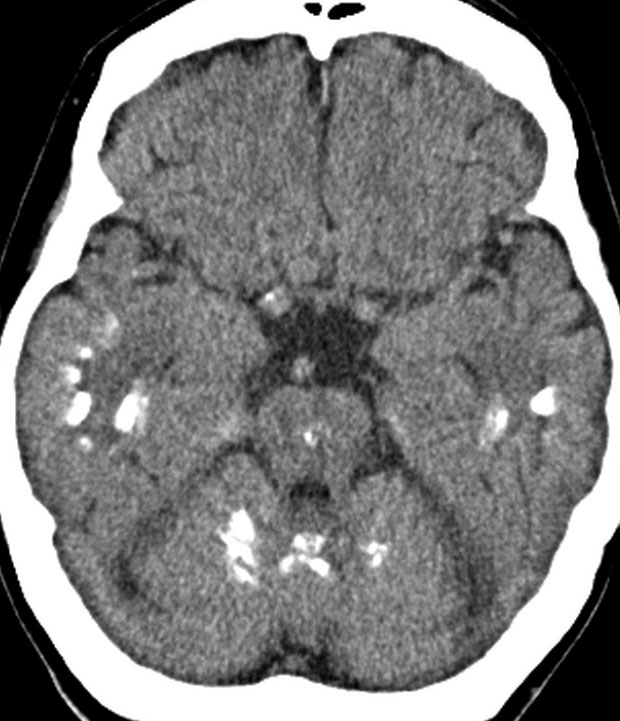
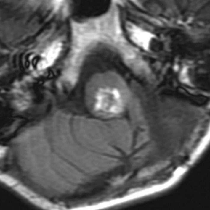
脳微小血管内皮細胞の放射線障害によって白質が小さな虚血性梗塞となり,白質壊死 white matter necrosisという重い白質脳症もあります。この場合は画像で脳の内部に穴の開いたような像(軟化巣)がみられます。上の画像は,35グレイの全脳照射を受けた5歳の子どものものです。左側が鞍上部ジャーミノーマの治療前のもの,右側は放射線治療2年後のものです。脳の中にたくさんの穴が開いています。これをのう胞性軟化巣 cystic malacia といいます。白質脳症の最も重いかたちのものです。
二次腫瘍・放射線誘発腫瘍:ここをクリック
secondary tumor, secondary cancer, radiation-induced tumor
放射線治療をしたために何年もあとになって腫瘍が発生することがあります。
小児への放射線治療後に生じた珍しい事例
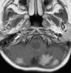
髄芽腫治療後17年目,放射線誘発血管腫からの脳幹部出血

1歳5ヶ月で左小脳半球の髄芽腫になり手術と化学療法して,3歳になってから脳脊髄照射をしました。脳脊髄18グレイ,局所48グレイが入っています。18歳の学生の時のMRIで,左小脳萎縮がありますが普通の生活ができています。

18歳の時に突然,左上下肢の痺れと脱力が生じました。延髄下端から脊髄に小さな出血があります。様子を見ていたら症状はよくなりました。


その後数日の間に,小さな出血を繰り返して,嚥下障害,しゃっくり,頭痛,四肢のしびれなどが出ました。手術をしないで経過を見ました。


7年後のMRIです。延髄脊髄移行部(おそらくC1)に出血痕が残っています。放射線誘発海綿状血管腫といわれるものの画像所見ですが,ほんとのところは静脈閉塞によるうっ血症状と鬱血性の出血といわれています。
症状はすべて良くなりました。今は学校を卒業して,元気に働いています。
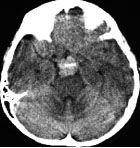
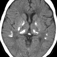
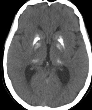
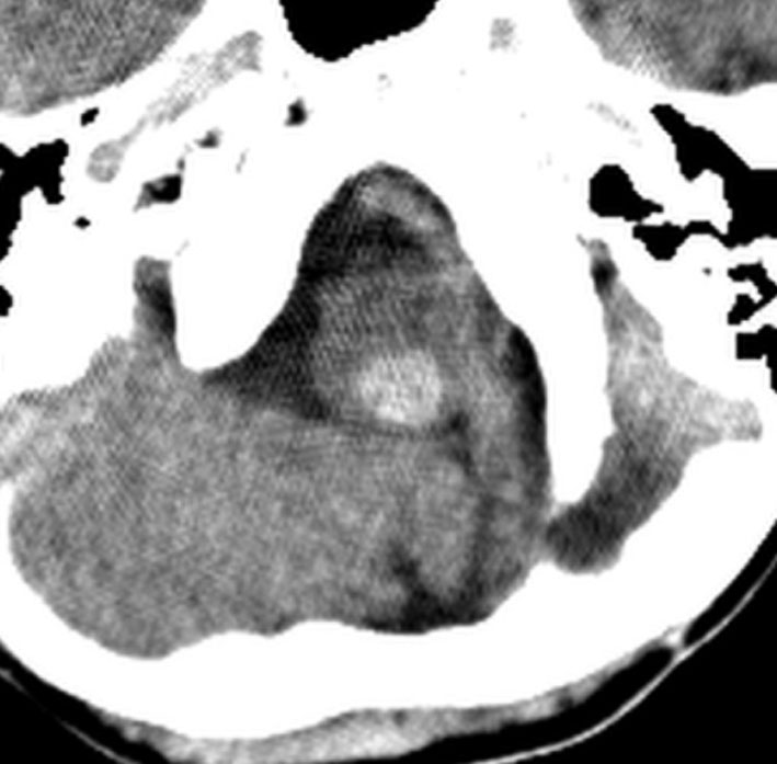
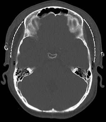
全脳照射後の脳内石灰化(幼児例)
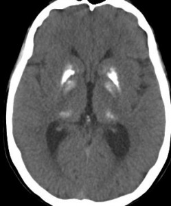
20年以上前のことですが,髄芽腫の1歳6ヶ月の子どもに25グレイの全脳照射をしました。これは15年後のCTです。
脳の萎縮は目立ちません。認知機能は低いのですが支援を受けて学校へ行けています。下垂体機能は低下して成長ホルモンなどの補充をして普通に暮らせています。
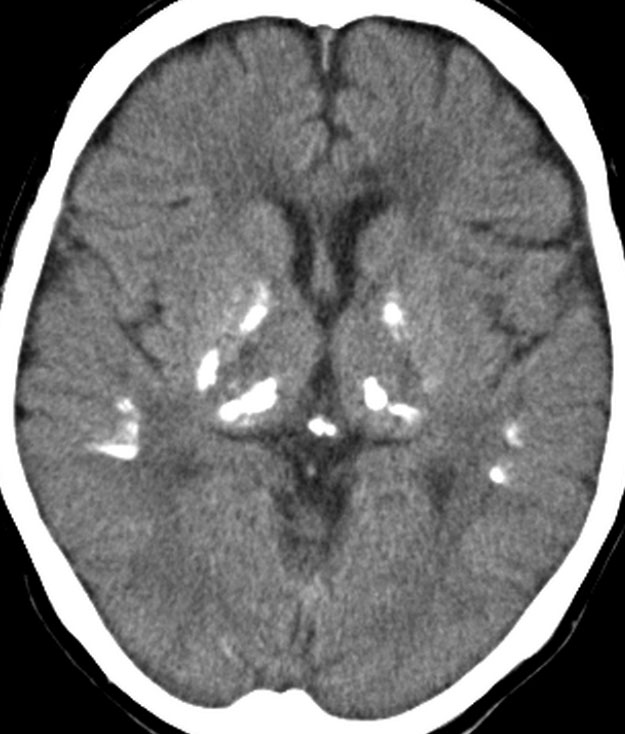
CTで,両側の大脳基底核(被殻と淡蒼球)と視床後部に石灰化がみられます。乳幼児期に放射線治療を受けた子どもに見られるものです。
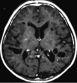
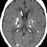
全脳照射後の脳内石灰化(青年期例)
1985年,17才のときに松果体ジャーミノーマで全脳照射45グレイ,18分割,1回2.5グレイの放射線治療を受けました。照射後の数年は普通に社会復帰ができていたということで,大学を卒業し,就職もしていました。しかし,20代後半くらいから認知機能低下(高次脳機能障害)が目立つようになりました。41才で脳幹部梗塞になりましたが,放射線治療が原因の脳血管障害でした。大脳にも小脳にも広範囲に脳内石灰化が散らばっています(白い点状に見えるもの全て)。30代からさらに進行悪化しました。脳の萎縮は目立ちませんが,MRIでは,大脳基底核の多数のラクナ梗塞,多数の海綿状血管腫,中大脳動脈の壁不整と狭窄もみられました。45才で介護施設に入所しています。このような所見は,1日線量2.5グレイを用いていた頃の小児患者さんでみられます。
全脳照射後の頭蓋骨の部分的発育不全
2歳くらいで全脳照射を受けた子どもが15歳になりました。前頭骨だけの発育が悪くて額の間がとても狭くて,コメカミの凹みが目立つようになりました。両側の側頭部にチタンプレートを入れて額を広くして頭蓋形成をして,見栄えはとても良くなりました。このような手術を整容的頭蓋形成術といいます。
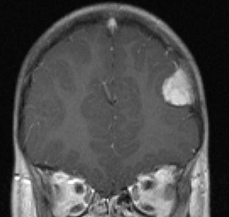
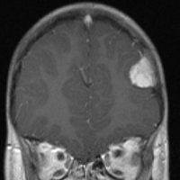
乳児の髄芽腫の治療後の硬膜血管腫
生後8ヶ月で髄芽腫を発症して,手術後に8コースの化学療法して,残存腫瘍があったために2歳半で脳脊髄照射18グレイと後頭窩局所照射21.6グレイをしました。放射線治療後2年で見つかった左前頭部腫瘍です。てっきり脳表播種再発かと思いましたが,良性の硬膜血管腫でした。この子は20歳となり再発もなく元気です。幼児期の放射線治療あるいは化学療法は,予想より早期に,珍しい2次腫瘍を誘発することがあると考えたほうがいいのでしょう。この腫瘍の部位には1日線量1.8グレイで18グレイしか照射されていませんでした。
文献情報
原体照射や定位照射の方が,旧来の外照射より知能低下の程度が軽い
Jalali R, et al.: Efficacy of Stereotactic Conformal Radiotherapy vs Conventional Radiotherapy on Benign and Low-Grade Brain Tumors: A Randomized Clinical Trial. JAMA Oncol. 2017
インド・ムンバイからの報告です。2001年から12年にかけて行われた無作為試験の結果報告です。良性小児脳腫瘍(中央値13歳:3-25歳)200例が放射線 (54 Gy in 30 fractions over 6 weeks)で治療されました。原体照射/定位照射が104例,旧来の分割照射が96例です。FIQとPIQの低下率には有意差があり,FIQとPIQではdifference in slope 1.48と1.64の差があり,原体照射のほうが低下率が低かったとの結論です。わかりやすく言うと,放射線治療前に知能指数が100あったとして,旧来の方法では5年後に85まで下がったとすれば,原体照射なら92までの低下ですむということです。内分泌機能(ホルモン)の低下は,旧来の放射線治療では51%にでましたが,原体照射では31%でした。特に,9-17歳の年齢層で平均的なIQ値が保持されたそうです。5年全生存割合は,旧来の方法では91%,原体照射では86%でした。
放射線治療の晩期障害としての脳卒中の論文
Bowers DC et al.: Late-occurring stroke among long-term survivors of childhood leukemia and brain tumors: a report from the childhood cancer survivor study. J Clin Oncol 24: 5277-5282, 2006
- 5年以上生存した脳腫瘍の子供1,871人の追跡調査です。治療されたときの平均年齢は7.7歳です。
- 63名の生存者に脳卒中が生じました。
- 治療後14年前後で脳血管障害が生じていますから,患者さんが22歳くらいの時です。
- 治療後25年での危険率は5.58%とされています。
- 正常対象とされた人と比べると29倍の危険率であったとのことです。
- 脳腫瘍の治療で放射線治療を受けると20人に一人くらい若いときに脳卒中になるかもしれないということです。
- 30グレイ以上の照射線量で後々の脳血管障害の危険率が増します。
- 50グレイかかっていると相当に高い頻度になるとのことです。
- 全脳脊髄照射をしていると3倍頻度が高くなります。
- 脳腫瘍の再発があった子供に頻度が高くなるのは放射線量が多くなるからです。
- アルキル化剤という化学療法を同時に使っていると頻度が高くなります。
低線量放射線が乳児の認知機能発達に与える影響
Hall P: Effect of low doses of ionising radiation in infancy on cognitive function in adulthood: Swedish population based cohort study. BMJ 2004
古い時代ですが1930年から1959年までに,生後18ヶ月以内に頭皮の血管腫に対して放射線治療が使用されました。3,094人の男児が対象で,18−19歳の時に認知機能テストが行われた結果です。前頭部と後頭部に照射を受けていない例では32%,250mGy以上を受けた例では17%が高校へ進学できていました。照射を受けた例では,learning ability and logical reasoningの低下があったそうです。
「解説」1Gy以上のionizing radiationが乳児の認知機能発達に影響を与えることは知られていました。この論文では,CT検査などのものすごく低い線量の放射線の盈虚を調べています。乳児が頭部CT検査を受けると120mGyの頭部被曝が生じるとされています。結論として,2度CTを受けると将来の知能が低下するといえます (;¬_¬)

















