放射線誘発腫瘍 radiation-induced tumor
二次腫瘍 secondary tumor, secondary cancer
- 放射線治療後,5年から30年くらいは可能性があります
- さまざまな種類の腫瘍が発生します
- 小児期に放射線治療を受けると低線量18グレイくらいでもリスクはあります
- 放射線の当たった部位にしか発生しません
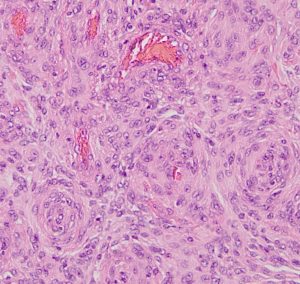
- 頻度が多いのは,海綿状血管腫,髄膜腫などです
- まれに,悪性度の高いグリオーマや膠芽腫があります
- 神経鞘腫や髄膜腫に放射線治療をすると悪性化することがありますが,ものすごく稀ですし,二次腫瘍とは言いません
海綿状血管腫 微小血管障害
- 放射線治療を受けた患者の40%くらいで,微小出血/海綿状血管腫が発生します
- 照射後10年くらい長期観察をしていると実際に非常に高頻度にみます
- 海綿状血管腫は,放射線誘発2次腫瘍というよりも,放射線による脳内小血管損傷による血管障害として捉えた方がよいです
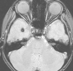
- T2スターというMRI画像で発見できます
- 低信号(黒いシミみたいなもの)として脳内たくさん見られることがあります
- これは血液の中の鉄分が脳に滲み込んだ形跡をみているものです
- だから,海綿状血管腫とは言わないで,微小出血 microbleeds, blood leak(血液が漏れた痕跡)と読んだ方がいいものです
- 海綿状血管腫というと腫瘍みたいだからです
- 年月の経過とともに数が増加します
- 海綿状血管腫は発生しても何ら症状を呈することはありません
- 治療をせずに放置します
- まれに小さな脳出血を生じますが,経過を見れば血腫は自然に吸収されます
- またサイズが大きな皮質を侵す海綿状血管腫は症候性てんかんを生じることがあります
- とても大きなもの2から3cm以上くらいになると摘出を考えることもあります
- でもほとんど手術などしないでほっておきます
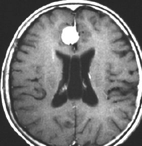
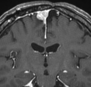
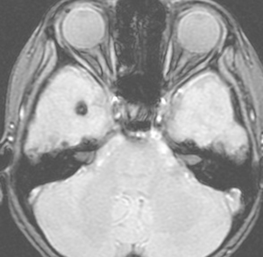
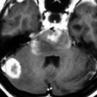
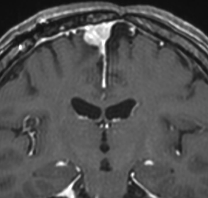
4歳の時に低線量頭蓋照射を受けていますが,医療関係の仕事について自立していた33歳の女性です。仕事中に記憶が飛ぶという症状がでて,周囲からおかしいと言われて受診しました。右の扁桃体のところ(左側のMRI)に海綿状血管腫ができていて,側頭葉てんかん(欠伸発作)を生じていました。バルプロ酸の投与で発作は止まって職場復帰しています。
放射線誘発髄膜腫

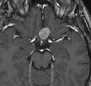
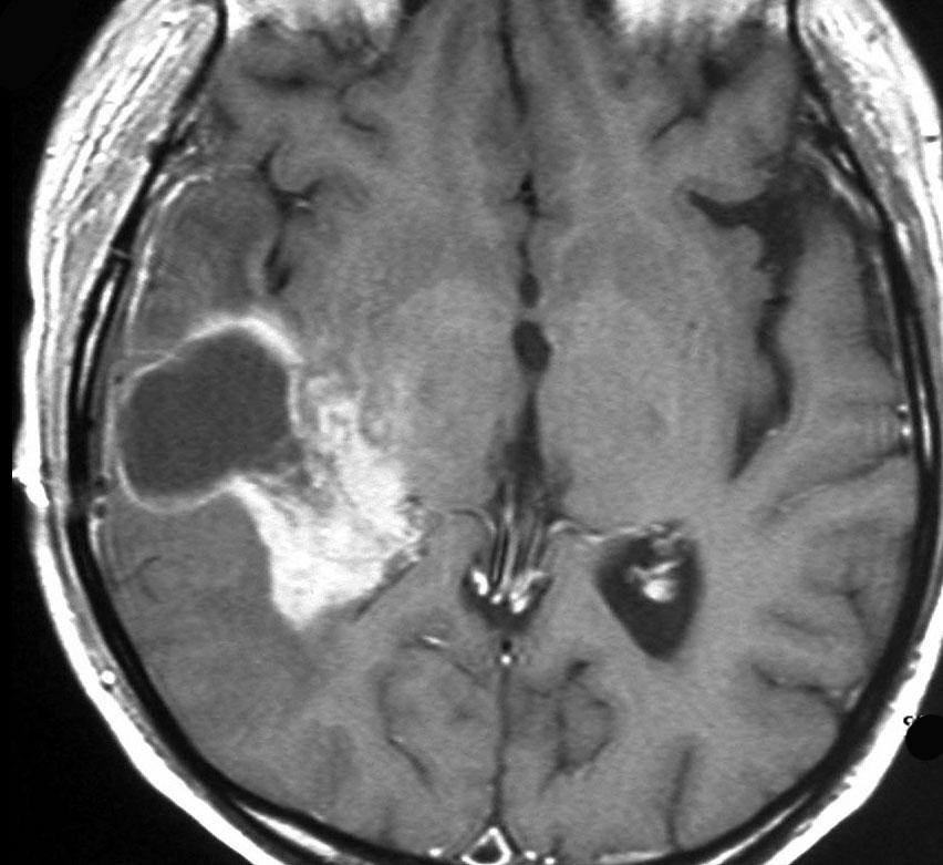
ジャーミノーマへ44グレイの全脳照射をしてジャーミノーマは治りました。でも,15年後に髄膜腫が発生しました。典型的な放射線誘発腫瘍です。これは取れるので大丈夫!
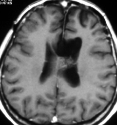
小児期の低線量照射で生じた多発性髄膜腫
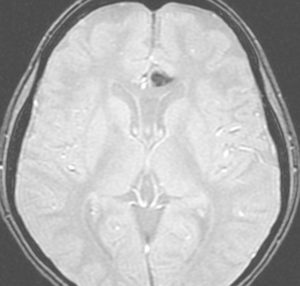
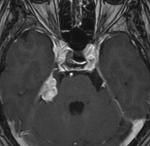
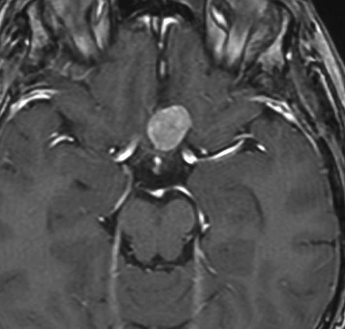
5歳の時に白血病,化学療法と低線量頭蓋照射で治りました。ちゃんと就職して重機の運転をしていましたが,30歳,左足の痙攣で発症しました。多発性髄膜腫が発生していました。摘出する必要があるものです。グレード1の良性の髄膜腫です。
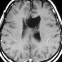
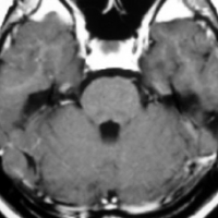
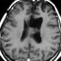
放射線誘発膠芽腫(グリオブラストーマ)
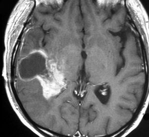
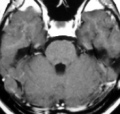
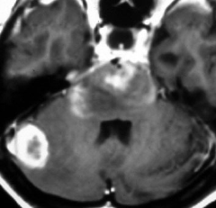
放射線治療10年後です。側脳室の中の腫瘍は小さくなって再発はありませんが,脳幹部と小脳に膠芽腫が発生しました(右側のMRI)。この腫瘍も放射線誘発腫瘍と考えられます。脳幹部の膠芽腫は助かることがない悪性腫瘍です。
放射線誘発膠芽腫(グリオブラストーマ)

松果体のジャーミノーマのために,19歳の時に全脳照射30グレイと松果体局所照射20グレイを受けました。これは28歳の時に発生した右側頭葉の膠芽腫です。この部分には30グレイしか入っていないのですが,2.5グレイという大きな1日線量が用いられていました。またslit-beam rotationという1990年代初頭に用いられた照射方がされています。同じ線量であっても二次ガンを招きやすい照射法というのがあるのかもしれません。









