放射線脳壊死 radiation necrosis,放射線脳障害
放射線による脳障害はいろいろあって
- 脱髄や軸索変性によってゆっくり進行する白質障害,ワーラー変性
- 脳の微小な血管が閉塞して生じて脳組織が腫れる放射線脳壊死 necrosis
- 腫瘍の再発と間違えるスードプログレッション pseudoprogression
ここから下は放射線壊死です
遅発性放射線壊死の大まかなこと
- 放射線があたった脳が壊死 (えし) してだめになってしまうことです
- 凝固壊死 coagulation necrosisと言われます
- MRIのガドリニウム増強される部分が大きくなるので,グリオーマや転移性脳腫瘍では再発との鑑別が難しいです
- さらに,テモゾロマイドを併用していて治療後6ヶ月以内の場合には,スードプログレッション(擬進行)という放射線治療後の一時的な脳腫脹とも鑑別が必要です
- 生じる時期は,放射線治療後 数ヶ月から10年後くらいで幅があります
- 治療総線量が大きいほど放射線壊死の確率が高いとされます
- 成人で,30グレイ15分割だと放射線壊死は生じませんが,総線量で60グレイくらい当てると5%くらいに壊死が起こるとかです
- 一日線量(一回線量)が高い方が早く生じます,例えばガンマナイフだと4ヶ月後くらいとか
- 低線量多分割(54グレイを1日線量1.8グレイで30分割するとか)の場合は5年後とか
- 陽子線,重粒子線,中性子捕捉療法でも生じますし,通常の放射線治療より重篤となる可能性があります
- 特に重粒子線によるものでは,脳の他にも何もかもが壊れます,頚動脈も軟部組織も骨も
- 化学療法を放射線治療に併用すると放射線壊死の確率が高くなるとされていますが正確な数字はわかりません
- 放射線壊死の周囲の脳がパンパンに腫れます(脳浮腫)
- 壊死部分を手術摘出すると寛解しますが,開頭手術はめったにしません
- 多くの場合は保存的薬物治療です
- 世界標準治療はステロイド投与でした
- ステロイド(リンデロン,デカドロン)の内服治療をして,何ヶ月もかけて収まるのを辛抱強く待ちますが,ステロイドの副作用は重いといえます
- アバスチンが最も有効な薬剤であることがわかってきました
- アバスチンで脳浮腫の軽減と症状の改善が得られます
- アバスチンは悪性神経膠腫以外の使用は保険診療で認めてられていないので,実費で月に数十万円かかります
- でも逆に,悪性神経膠腫の治療後の放射線壊死はアバスチンで治療できます
症状
- 放射線治療の数ヶ月から数年後に,腫瘍が再発もしていないのに症状が悪くなります
- 局所症状はいろいろです,手足の動きが悪くなる,失語症など,壊死の部位によって様々な症状が出ます
- てんかん(けいれん発作、症候性てんかん)が生じる,あるいは悪化する
- 脳全体への影響からは,認知症(ものわすれ,ぼけ,性格変化)が多いです
- 記憶力が低下する
- 仕事や勉強ができなくなる(高次脳機能障害)
放射線壊死の画像診断
- ガドリニウム増強病変と周囲の強い脳浮腫が特徴です
- でも,MRIによる腫瘍再燃との鑑別は容易ではありません,下の方に典型的な画像所見をのせてあります
- かつては,soap bubble appearanceやSwiss cheese configurationと呼ばれるような広範囲なものもありましたが,近年は小さな壊死巣しかみません
- MR spectoroscopy でCho/NAA比とCho/Cr比を見てもあまり役に立ちません
- MR perfusionで,過灌流 hyperperfusionがあると腫瘍再発の特徴といわれますがこれも偽陰性のことが多いです
- メチオニンペット Met-PET で取り込みがある時は腫瘍再発を示すという情報は,ある程度有用といえます
- 壊死と再発の鑑別のための決定的な検査法はありません
- 治療歴や病変の広がりなどを画像所見と総合して考えなければなりません
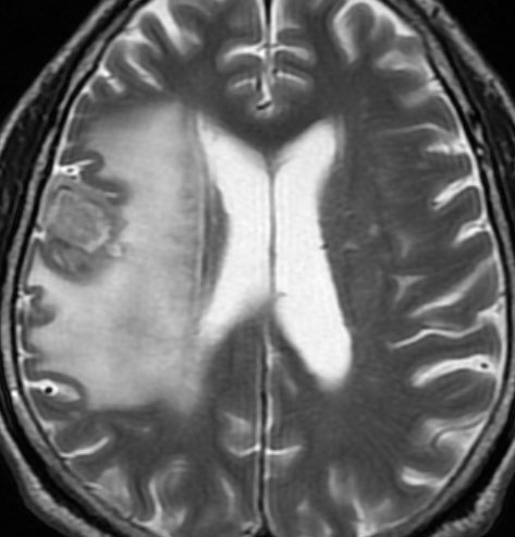
典型的な画像の変化
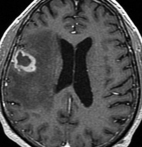
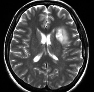
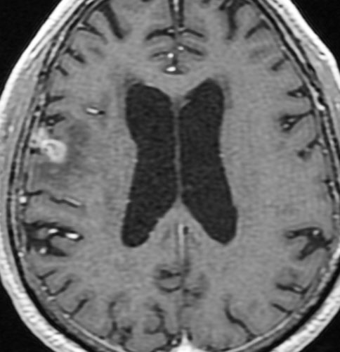
60代後半の患者さんで右前頭葉転移性脳腫瘍です。けいれん発作で発症しました。
定位放射線治療前
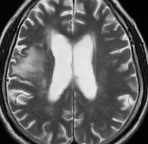
典型的な脳転移のMRIです。腫瘍は,リング状にガドリニウム増強され,内部が腫瘍壊死になっています。腫瘍周囲の脳浮腫がとても強いのが転移の特徴的画像所見(右側のT2強調画像)です。この転移巣に対して,35グレイ・5分割の定位放射線治療が加えられました。
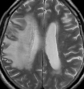
定位放射線治療後
治療は奏功して,腫瘍は縮小して周囲の脳浮腫(右側)も軽減しています。
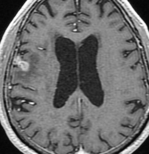
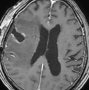
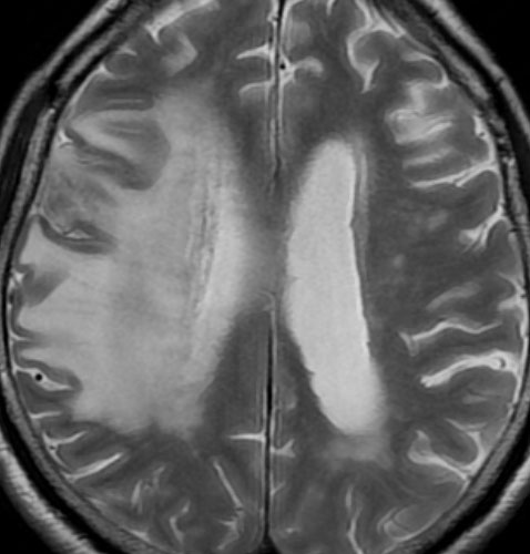
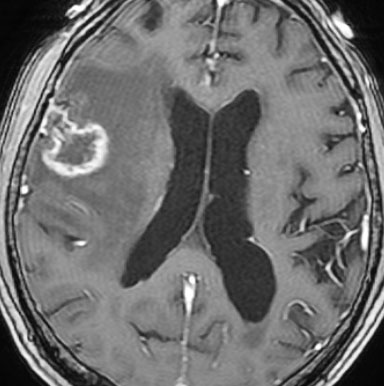
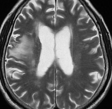
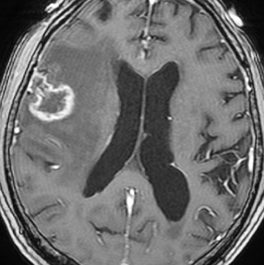
2年後 放射線壊死の進行
定位放射線治療後約2年,前の画像からはわずか3ヶ月後のMRIです。また右前頭葉の転移病巣が再発したかのように見えます。周囲の浮腫も広がって,左の片麻痺が悪化しました。しかし,ガドリニウム増強されて白くリング状に写る部分が不整形でまわりがギザギザしています。ステロイドを投与しましたが改善せずに悪化傾向を示しました。
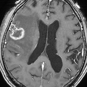
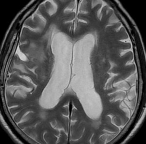
手術後の脳浮腫の改善
手術で放射線壊死巣を摘出してから1月半後のMRIです。放射線壊死が摘出されて,脳浮腫もかなり改善しました。同時に右麻痺もよくなってきました。
この例では,アバスチンを投与するという選択肢もあったのですが,医療費が高額で患者さんが経済的に耐えられません。
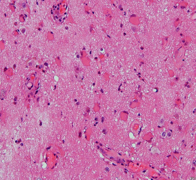
病理所見です
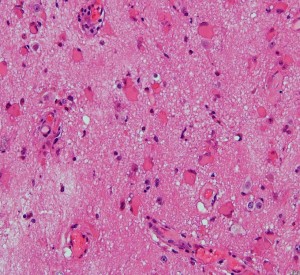
古い用語で凝固壊死 coagulation necrosisという言葉がもっとも適切に病理像を表しています。放射線による血管内皮のダメージで血管壁がヒアリン化して閉塞して虚血となります。また乏突起膠細胞がダメージをうけて髄鞘が脱落します(脱髄)。その結果,炎症と組織修復のための新生血管増殖が生じて脳間質組織浮腫が生じます。IL-1, TNF, IL-6などの炎症惹起性サイトカインはステロイドで抑えられます。同時に,この過程ではreactive astrocytesから多量のVEGFが産生されこれが放射線壊死による脳障害の主因と考えられています。VEGFは血管透過性 vascular permiabilityを増大させるので,組織間浮腫が高度なります。
左,壊死像と脳の境界領域。右,壊死層の中の大小の血管の閉塞像とマクロファージの浸潤がみられます。動脈壁のヒアリン化 hyaline thickening/hyalinizationと血管内腔の閉塞も特徴的な所見です。脳組織は中心部で虚血壊死になり,周囲組織での神経細胞のアポトーシスや白質変性も同時に進行します。この様な部位からの組織低酸素状態で誘発されるVEGFの産生と炎症惹起物質(TNF-alphaなどのサイトカイン)が,細血管からの血漿成分の漏出をまねき脳組織浮腫や慢性炎症を引き起こすと考えられています。fibrinoid deposition, fibrogliosisや微小石灰化の所見を伴うこともあります。
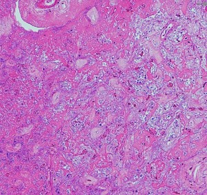
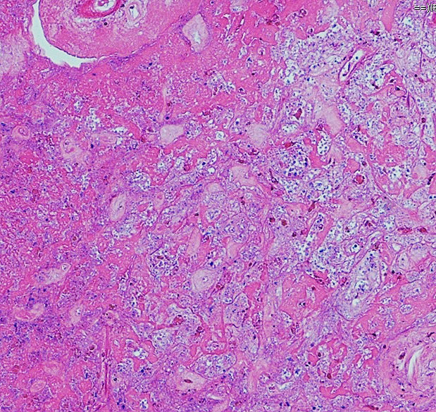
周囲の正常構造を保っている周囲脳組織内の反応性グリア細胞,豊富な好酸性胞体を有するreactive astrocyte(左下の赤い細胞)が多数見られます。 血管新生が盛んに生じていて拡張した毛細血管のような血管構造 telangiectasisが増加します。
放射線壊死の活動期は半年から2年くらいです。その後には脳壊死の部分が萎縮し周囲の脳浮腫は消褪します。組織学的には壊死巣は瘢痕組織となります。中心部は肉芽腫となり周囲にはgliofibrosisを残します。
保存的治療
- 脳浮腫を軽減させるステロイド投与(デカドロン,リンデロン)が一般的です
- 放射線脳壊死は数ヶ月以上にわたり強い脳浮腫を呈することが多いので,ステロイドの副作用も無視できずに投与の継続が困難になることも多いです,高度の肥満,耐糖能異常,ステロイドうつ病,感染などです
- 最近では,VEGFの産生を抑制するアバスチンの投与(血管新生と血管からの液体漏出を防ぐ)の有効性が最も高いことがわかってきました
- 高気圧酸素療法は無効と考えて下さい,逆に症候性てんかんを誘発する可能性があるのでしません
- ビタミンE,血管閉塞を防ぐための抗凝固療法の効果はありません
- 脳浮腫がかなり高度な時はグリセオールなどの脳圧を下げる点滴をすることがあります
外科治療(開頭手術)
- 次のような条件が満たされれば放射線壊死の部分を摘出することがあります
- 放射線壊死のために症状が悪化していること
- 薬物治療での治療が困難なこと
- 放射線壊死に加えて,その周囲にコントロール不能な腫瘍増大を混じていないこと
- 手術摘出しても症状が悪化しないことが予想されること
- 患者さんの状態 KPSが良いこと
- 手術中に腫瘍再発病変とは異なり,腫瘍血管増成がない,摘出しても大して出血しない,硬い瘢痕化した組織がある,ベトベトしたペースト状の組織がない,などの所見がみられます
- 手術が成功すると,脳浮腫(脳の腫れ)がさっと引きます
- それによって周囲の圧迫されていた脳の機能が改善して,症状が良くなります
アバスチン(ベバシズマブ)の使用方法
1回 5mg/kg – 10mg/kg(体重)を2-3週間間隔で点滴静脈内注射
- 投与開始から数日間で症状が改善することがあります
- 2週間後くらいにMRIをみると放射線壊死の浮腫が軽減してきます
- 6-8コースくらいで効果はピークになります
- 半年くらいは継続することをめざします
- 投与を中止すると放射線壊死は再増悪することが多いです
- いつまで続けるかという定説はありません
アバスチンの初めての報告
Gonzalez J, et al.: Effect of bevacizumab on radiation necrosis of the brain. Int. J. Radiation Oncology Biol. Phys 67: 323–326, 2007
2007年の画期的な報告でした,放射線壊死の組織内でVEGFが産生されるために,細血管からの血液漿液性分が漏出するということに着目して,VEGFの働きを抑えるアバスチンを投与しました。放射線壊死がある8人の患者さんに投与が行なわれ全員に有効性が認められました。アバスチン投与後およそ8週間で,FLAIR画像での血管原性脳浮腫の縮小,ガドリニウム増強画像での造影剤漏出部分の縮小が認められました。
アバスチンのスードプログレッションへの効果は他のページをみてください
ワーラー変性 Wallerian degeneration
- 放射線治療後に脳の白質が変性を生じて,MRI T2/FLAIR画像で白っぽくにじむような変化を生じることがあります
- ワーラー変性と言います
- 多くの場合は無症状です。グリオーマの再発と間違うことがあるので注意です
- 神経細胞あるいは神経線維の被曝のために,それにつながる軸索や髄鞘が変性して生じるものです
- 被曝した部位とは遠く離れたところにも生じます
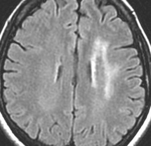
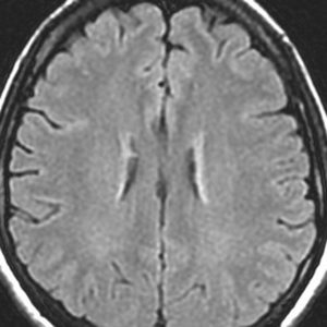
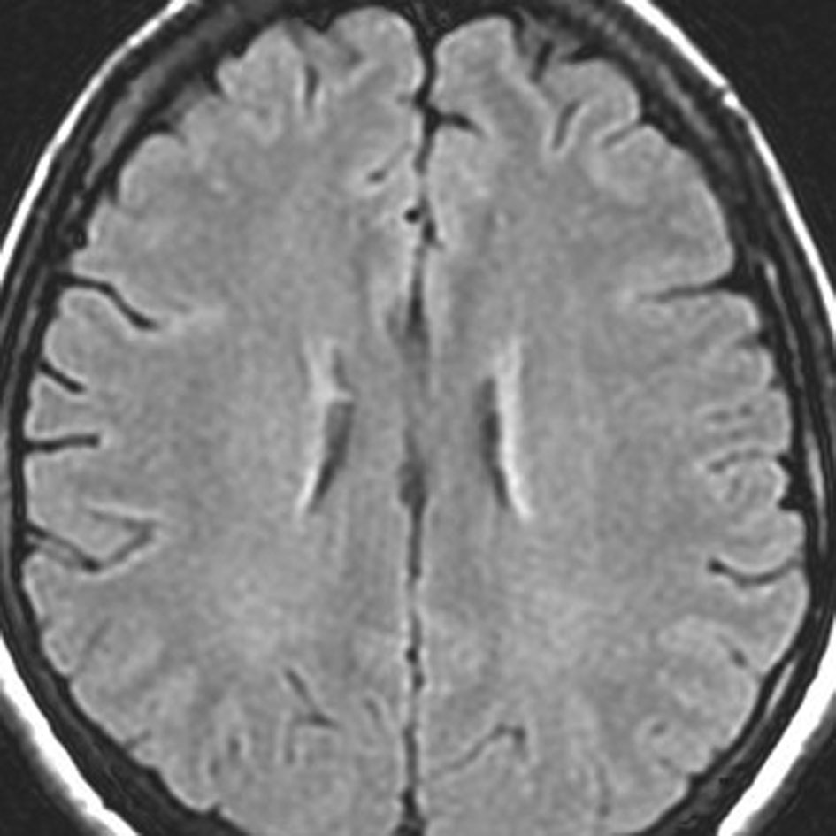
左前頭葉のグリオーマ oligodendroglioma に54グレイ27分割の放射線治療が行われました。治療直後のフレア画像(左)では深部白質に異常信号はありません。

2年後のフレア画像です
側脳室壁と深部白質 (半卵円中心) にびまん性の高信号が出現しています
無症状です
グリオーマが再発したのではないかと思ってしまいますが違います

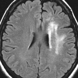
5年後のフレア画像です
ごくわずかに広がりましたが,このくらいでで止まります
文献報告
コンピューターの方が放射線診断医より脳壊死を正確に診断できる
Tiwari P, et al.: Computer-Extracted Texture Features to Distinguish Cerebral Radionecrosis from Recurrent Brain Tumors on Multiparametric MRI: A Feasibility Study. AJNR Am J Neuroradiol: 2016
コンピューター・プログラムの方が診断医より,脳壊死と腫瘍再発の画像所見を正確に診断したそうです。もしかすると生検術が必要なくなるのではないかとの期待が持てるそうです。AIの進歩で画像から鑑別ができるのかもしれません。でも,壊死と再発腫瘍組織が混じるときにはどうしようもないのでしょう。
低容量3コースくらいの使用ではほとんどが再燃する
Zhuang H, et al.: Exploration of the recurrence in radiation brain necrosis after bevacizumab discontinuation. Oncotarget 2016 [Epub]
5mg/kgという低容量で3-4週間隔で3コースの投与では,改善した13例中の10例で放射線壊死の再燃が生じたとの報告です。
髄膜腫の放射線治療後への効果
Furuse M, et al.: Intratumoral and peritumoral post-irradiation changes, but not viable tumor tissue, may respond to bevacizumab in previously irradiated meningiomas. Radiat Oncol 10:156, 2015
髄膜腫の放射線治療後に生じる有害事象を低容量アバスチンがおさえるという報告です。髄膜腫に照射した場合,放射線壊死あるいは髄膜腫周囲浮腫が悪化することがありますが,そのような事象をアバスチンが抑制するので,髄膜腫の増殖増大との鑑別もできるとしています。
放射線外科治療後の放射線壊死への効果
Boothe D, et al.: Bevacizumab as a treatment for radiation necrosis of brain metastases post stereotactic radiosurgery. Neuro Oncol 15:1257-1263, 2013
転移性脳腫瘍へSRS(放射線外科治療,1回高線量照射)がなされた11人の患者さんの報告です。放射線脳壊死にアバスチンが投与され,平均26日後にMRIでの病変縮小がみられ症状も改善しました。アバスチン投与中断33日後までは効果は持続していました。
放射線外科治療後の放射線壊死への効果
Deibert CP, et al.: Bevacizumab for refractory adverse radiation effects after stereotactic radiosurgery. J Neurooncol 115:217-223, 2013
SRS後の放射線有害事象のためアバスチン 7.4mg/kg が投与されました。29人中26人でMRI上での改善があり,90%の患者さんで症状が改善しました。アバスチンの中断で半数以上の患者さんで症状の再増悪がありました。
Dr. Levinからの効果の確認の報告
Levin VA, et al.: Randomized double-blind placebo-controlled trial of bevacizumab therapy for radiation necrosis of the central nervous system. Int J Radiat Oncol Biol Phys 79: 1487-1495, 2010
深部静脈血栓症,肺塞栓などの副作用や高額な医療費などの問題から,アバスチンの投与に慎重な報告も相次ぎました。2010年のDr. Levinの報告では,bevacizumab at a dose of 7.5 mg/kg at 3-week intervals for two to four treatmentsと記載されていますが,どの程度の薬剤量をどの程度の期間にわたって投与するべきかはわかりません。
文献
- Boothe D, et al.: Bevacizumab as a treatment for radiation necrosis of brain metastases post stereotactic radiosurgery. Neuro Oncol 15:1257-1263, 2013
- Lubelski D, et al.: Bevacizumab for radiation necrosis following treatment of high grade glioma: a systematic review of the literature. J Neruo-Oncol 115: 317-322, 2013
- Levin VA, et al.: Randomized double-blind placebo-controlled trial of bevacizumab therapy for radiation necrosis of the central nervous system. Int J Radiat Oncol Biol Phys 79: 1487-1495, 2010
- Tiwari P, et al.: Computer-Extracted Texture Features to Distinguish Cerebral Radionecrosis from Recurrent Brain Tumors on Multiparametric MRI: A Feasibility Study. AJNR Am J Neuroradiol: 2016
- Zhuang H, et al.: Exploration of the recurrence in radiation brain necrosis after bevacizumab discontinuation. Oncotarget 2016 [Epub]












