スード・プログレッション pseudoprogression
放射線治療後の偽性進行(偽増悪,擬似進行)
放射線治療が効いているのに見かけが悪くなること
- 脳腫瘍の放射線治療の後で生じます
- グリオーマへの放射線とテモダール化学療法の組み合わせのときに頻度が高いです
- 放射線治療とテモダールを併用した患者さんの20-30%,3人から5人に一人に起こりますからかなりの高頻度です
- 放射線治療から1から3ヶ月くらいの間に生じます,それより遅いのは腫瘍再発(再燃 relapse)と判断されます
- 星細胞腫と乏突起膠腫のグレード3では時期が遅く,2年以内に小さな無症候性のスードプログレッションが生じることがあります
- 半数では放射線治療のすぐ後に腫瘍があたかも大きくなった様に見えるので,一見,もうだめだ! と思ってしまいます
- まわりの脳が腫れます(脳浮腫)
- MRIガドリニウム増強病変が拡大します(白く造影される部分が大きく広がる)
- あせって,再手術などしてはだめです
- 辛抱強く待ちます
- 時に,てんかん発作が増えたり,麻痺が悪くなったりします
- 嬉しいことに,スードプログレッションであれば治まります
- ステロイドという薬剤が効きますが,数ヶ月間使うので副作用がかなりでます
- かなりひどい時にはアバスチンを使います
- 困ったことに,腫瘍の再燃(真の腫瘍増大)かスードプログレッションかの区別がMRIでは正確にできません
- 再燃とスードプログレッションが混じって存在することもあります
- かなり高度な専門的な知識を持っていないと実際にはスードプログレッションの診断ができないです
確定的な診断は難しい
- 本当の腫瘍進行増大とスードプログレッションの区別を確実にする方法はありません
- 頻回に画像検査をして総合的に判断します
- 生検手術はしません
- 生検手術をしても,病理学的に生きた腫瘍細胞とスードプログレッションが混じて診断がつかないからです
- 両者が混在することもあり,白黒はつけられない灰色があるのです
- perfusion MRIでCVBの顕著な増加があれば腫瘍増大で,CVB増加がほとんどなければスードプログレッションの可能性が高いのですが,確実性は低く参考程度です
- アミノ酸PETでも同様で参考となる程度です
典型的なスード・プログレッション
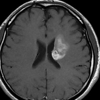
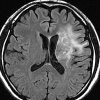
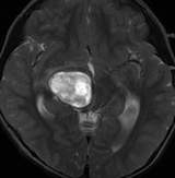
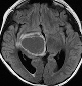
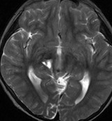
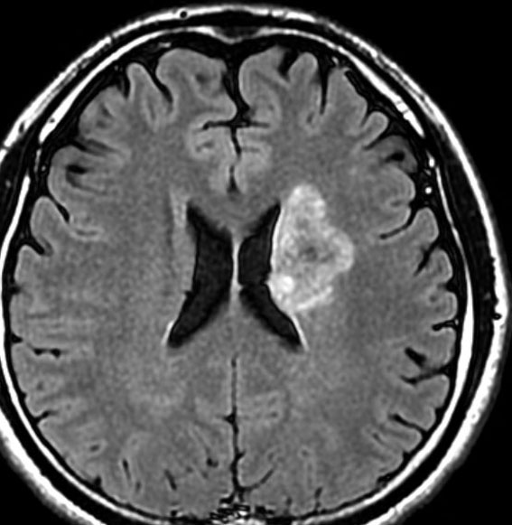
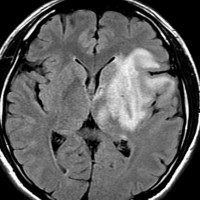
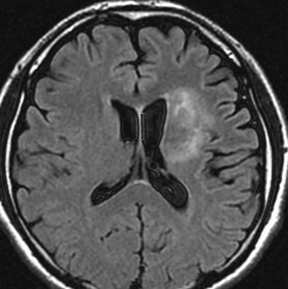
放射線治療前
若い男性です。ある病院で生検術が行われたのですが病理診断がはっきりしませんでした。強度変調放射線治療 IMRT 54グレイ・27分割の放射線治療を行いました。左大脳基底核の乏突起膠腫系腫瘍と考えられたので,増強病変外マージンは10mmととても狭い領域で46グレイ・23分割と低い線量に押さえられています。テモダール 75mg/m2を放射線治療期間中に併用しています。左はガドリニウム増強MRI,右はFLIAR(フレア) 画像。
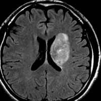
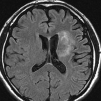
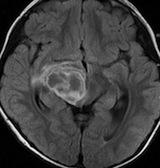
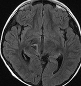
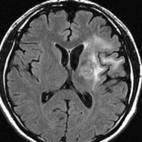
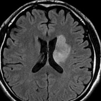
放射線治療終了後22日目

放射線治療前と大差がない所見です。左はガドリニウム増強MRI,右はFLIAR(フレア) 画像。
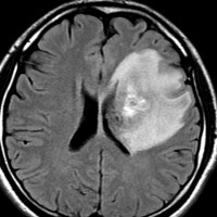
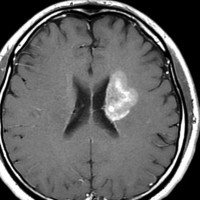
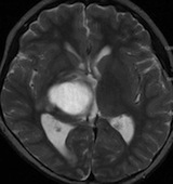
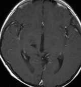
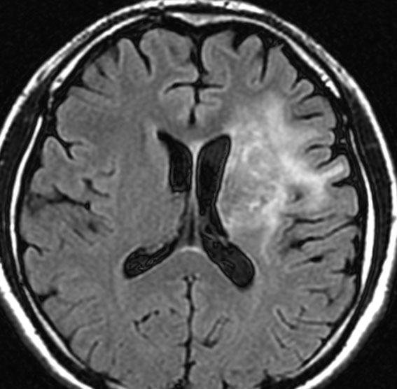
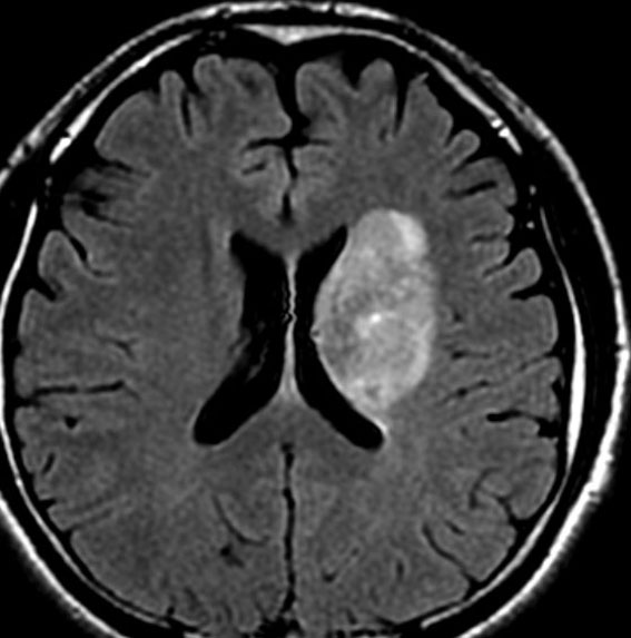
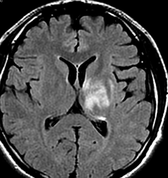
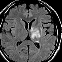
放射線治療後7週目

フレア画像です。腫瘍サイズが増大しています。もともと腫瘍周辺浮腫はなかったのですが大脳基底核と視床に浮腫が出現しています。スード・プログレッションの始まりです。
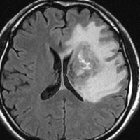
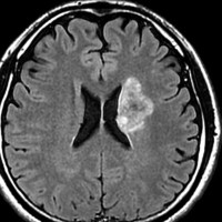
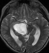
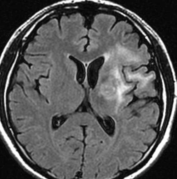
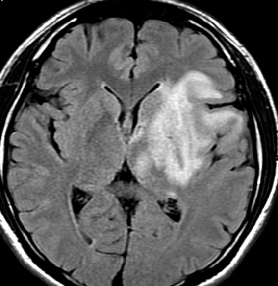
放射線治療後9週目

フレア画像です。たった2週間で脳浮腫が高度の脳浮腫となっています。失語症と右片麻痺と認知機能低下が生じました。ステロイド剤とグリセリンの点滴を行いました。
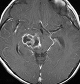
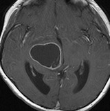
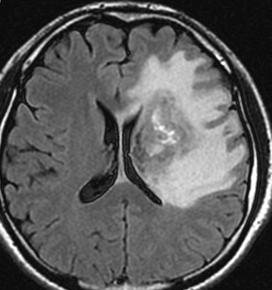
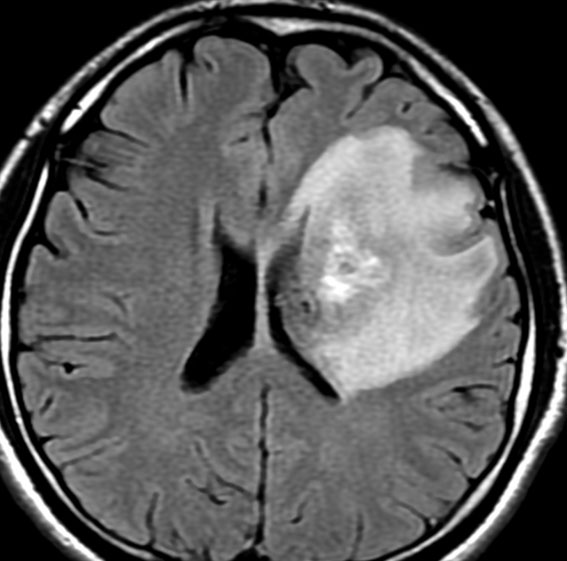
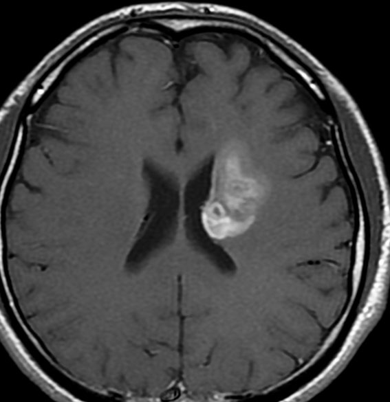
放射線治療13週目

右はガドリニウム増強です。ステロイドとグリセオールの点滴では制御できませんでした。悪性神経膠腫の病名で保険適応があるアバスチン(ベバシズマブ 10mg / kg)の投与を開始しました。
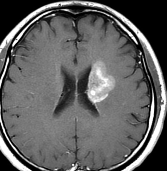
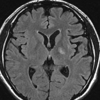
アバスチン投与後15日目

たった2週間で劇的な改善が見られました。失語症と片麻痺や認知機能も改善しました。
4回目のアバスチン投与後

アバスチンをどれだけ続ければいいのかははっきりしていません。2週間おきに6コースまでの投与が基本かもしれません。
この画像を見ると,放射線とテモダールの治療が有効であったのかなと思います。
注意,アバスチン投与を中断するとreboundで病変の急増悪が生じることがあります。
珍しいタイプ:毛様細胞性星細胞腫の場合はまた違うということ
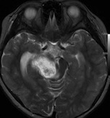
14歳少年の右視床中脳の毛様細胞性星細胞腫です
放射線治療前
生検術の後で48.6グレイ(1回線量 1.8グレイ,27分割)の放射線治療をしました。軽い左片麻痺がありました。テモゾロマイドを併用しています。
pseudoprogression スード・プログレッション
放射線治療の4ヶ月後くらいから腫瘍が大きくなりはじめ,麻痺が悪化しました。画像は放射線治療9ヶ月後のものです。腫瘍は大きくなって,周囲の脳浮腫が悪化して,閉塞性水頭症になっています。この間,大量のリンデロンを使いましたので,ステロイド治療の副作用で肥満になりました。この例のような,のう胞性拡大のようにみえるスードプログレッションは毛様細胞性星細胞腫の放射線治療後に特徴的に生じるものです。
この時点で再燃(再発)と間違って,あわてて危険な開頭手術をしてはなりません!
何にもしないで治ってしまう
我慢に我慢を重ねて,放射線治療後16ヶ月後です。腫瘍は消失しましたし,左片麻痺も良くなって,少年は野球ができるようになりました。
pseudoprogressionのときに腫瘍摘出術をしていたら,重度の障害が残ったでしょう。
IDH変異型 高悪性度神経膠腫のスードプログレッション発生は膠芽腫より遅い
Seyve A: Incidence and characteristics of pseudoprogression in IDH-mutant high-grade gliomas: A POLA network study. Neuro Oncol 2023
IDH変異型高悪性度神経膠腫 200例MRIを用いて,スードプログレッションが解析されました。38例 (19%)にスードプログレッションが認められ,放射線治療後中央値10.5ヶ月で生じていました。組織型(星細胞腫か乏突起膠腫)に差はありませんでした。多くの患者では,2年以内に,一過性の無症候性の小さな増強所見が出現し,PCV化学療法併用例で発生頻度が高かったそうです。結論として,これらの群では膠芽腫よりかなり遅い時期にスードプログレッションが発生するので,放射線治療後スードプログレッションの可能性が長くあり,真の進行増悪ではないことがあることを考慮に入れるべきとしています。
テモダールが有効であった例に多い
Brandes AA, et al.: MGMT promoter methylation status can predict the incidence and outcome of pseudoprogression after concomitant radiochemotherapy in newly diagnosed glioblastoma patients. J Clin Oncol 26: 2192-2197, 2008
103人の膠芽腫患者さんで,治療後1ヶ月のMRIで腫瘍増大が50人に認められました。32人がスードプログレッションで,18人が腫瘍増大(早期再燃)でした。実に30%もの患者さんがスードプログレッションを生じたことになります。
腫瘍のMGMTプロモーターがメチル化していた例にテモゾロマイドが有効なのですが,そのようなメチル化がある例では,23例のうち21例(91%)でスードプログレッションが生じたという結果です。テモゾロマイドが有効な例ではほとんどスードプログレッションが生じるということなのかもしれないので驚きです。でもそれが生じれば生存期間が延びるとされているので,患者さんにとってはうれしい現象です。
Brandsma D, et al.: Clinical features, mechanisms, and management of pseudoprogression in malignant gliomas. Lancet Oncol 9: 453-461, 2008
総論ですから良くまとまった参考文献です。テモゾロマイドは放射線の効果を高めると考えられていて,腫瘍血管内皮細胞に障害を与えることによって腫瘍を壊死に導きます。この時に腫瘍内部でVEGFという物質が産生されます。このVEGFが,組織浮腫と血管透過性の亢進によってガドリニウムの腫瘍内漏出を高めて,MRIで腫瘍が増大したような画像所見(スードプログレッション)を生じると考えられています。
スードプログレッションは放射線治療直後から3ヶ月後くらいの間に発生します。MRIでは腫瘍再発かどうか解りませんが,メチオニンペットはスードプログレッションと腫瘍再燃の区別に有用なこともあります。特に膠芽腫の場合では,再手術して腫瘍の病理診断しても壊死と腫瘍再発が混じることが多いので,現実的に鑑別はなかなか難しいのです。
アバスチンの効果
アバスチンというのはVEGFという血管増殖因子に対する抗体です。この薬剤は放射線壊死を抑えることにも有効ですが,ひどいpseudoprogressionを抑えて症状を改善するのにも有効です。2週間に一回,静脈内投与します。6回くらいの投与を推奨する意見もありますが,どのくらいの期間がよいのかは経過をみながら判断します。
Miyatake S, et al.: Bevacizumab treatment of symptomatic pseudoprogression after boron neutron capture therapy for recurrent malignant gliomas. Report of 2 cases. Neuro Oncol 15: 650-655, 2013
通常の放射線治療ではないのですが,中性子捕捉療法の後で症状を伴うスード・プログレッションが生じた2人の悪性神経膠腫の患者さんに,アバスチン 5mg/kg 6サイクルを投与したところ,すぐに画像上と症状の改善が得られたとのことです。 著者は劇的な効果があったとしています。
RANO criteriaでのスードプログレッション(専門家の判断)
- Enhancement that simulates tumor growth, most often caused by radiation(whole brain or focal).
- Growth of existing lesions or appearance of new lesions within 12 weeks of completion of radiation therapy may be the result of treatment effects rather than growth of tumor.
- Continued follow-up imaging can determine whether initial lesion growth was true progression or pseudoprogression. If lesion continues to enlarge, the initial growth is called true progression. If lesion stabilizes or shrinks, the initial growth is confirmed as pseudoprogression. In such cases, the baseline SPD is no longer included when choosing the nadir value for the purposes of determining when progression occurs.
- Diffusion weighted imaging can help distinguish pseudoprogression from true tumor growth, but its use is still experimental. The use of MR perfusion and spectroscopy is also being explored.
小話
私はかつて学会で,シュード・プログレッションと発音していました,ある時,天才・藤巻高光先生に指摘されました,「澤村先生,スード・プログレッションです!」













