神経線維腫症 1型 NF-1
NF-1 neurofibromatosis type 1
- 親から子に遺伝(常染色体優性遺伝疾患)することもありますが,半分以上の患者さんは遺伝ではありません
- 1型 (NF-1 エヌエフワン) は,全身の皮膚にたくさんの小さな腫瘍(末梢神経線維腫)と茶色のシミのようなもの(カフェオレ斑)ができる病気です
- 1型 NF-2 はかつてフォンレックリング・ハウゼン氏病として知られていました
- 第17番めの染色体にあるNF1遺伝子の変異でneurofibrominという蛋白が正常に働かなくなって起こる病気です
- 2型 (NF-2 エヌエフツー) は,脳神経と脊髄神経に神経鞘腫や髄膜腫がたくさんできる病気です
- 第22番めの染色体22qにあるNF2という遺伝子の変異でmerlinという蛋白が正常に働かなくなって起こる病気です
- 両方ともにある程度病気が重いと医療費が補助されます
- 1型の患者さん(3,000人に一人)の方が2型(数万人に一人)よりかなり多いです
- 1型で治療しなければならない脳腫瘍はめずらしく,2型の脳腫瘍は治療を必要とすることが多いです
- いずれも良性腫瘍ですから治療をあわてる必要はありません
- たくさん腫瘍があるといっても治療をしなければならないかどうかかなり慎重に考えることが大切です
- だいたいが良性腫瘍なので何もしないでおいても症状が悪くならないこともあるのです
- 2型にはたくさんの脳脊髄腫瘍ができるのですが,そのうちのどの腫瘍が大きくなるかは予測ができません
- 2型にできる両側の聴神経腫瘍の治療はとても難しいので,普通の脳外科医の先生には治療できませんからそれに詳しい専門家に相談しましょう
- 失明する危険は1型にも2型にもありますから,それに気づかない医師にはこの病気をみる力量はありません
- 叢状神経線維腫には,治療薬コセルゴ(セルメチニブ)が使用できるようになりました
神経線維腫症には医療費の補助があります
神経線維腫症2型 NF-2は他のページに詳しいのでここをクリック
神経線維腫症1型
神経線維腫症1型 NF-1と脳腫瘍
- さまざまな神経膠腫(グリオーマ)というのができます。
- NF-1患者さんの20%にグリオーマが発生するとも言われます
- しかし,多くはグリオーマというより過誤腫 hamartomatous glioma あるいは毛様細胞性星細胞腫です
- ほとんどが治療の必要がないもので,ほっておいても大きくならないものが多いです
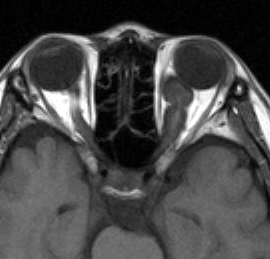
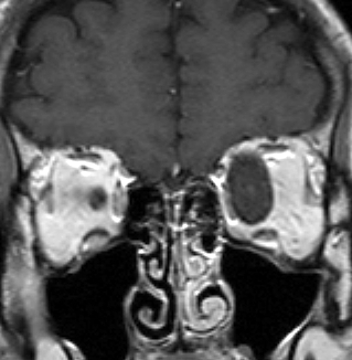
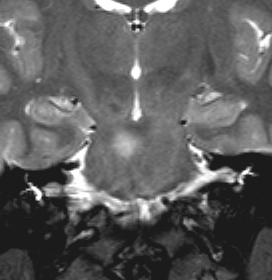
- 子供に見られる視神経膠腫は頻度の高いもので,NF-1の4%に発生します
- 下の図のように眼窩の中の視神経が腫瘍になることもありますし,視神経交叉といって両方の視神経が合わさった場所にできるものもあります。視神経膠腫はとても小さい子供にできて視力が下がりますが,手術で摘出することはできません。でも,とってもゆっくり大きくなり,ある程度の年齢になると大きくなるのが止まってしまいます。手術以外の治療法は毛様細胞性星細胞腫(クリック)のところに書いてありますから読んで下さい。


- 毛様細胞性星細胞腫は,視床下部や小脳にもできます
- 小脳にはびまん性星細胞腫もできますが,その中には悪性度の高いものもあります
- 大脳にもさまざまな神経膠腫ができます
- 膠芽腫のように悪性度の高いものや乏突起膠腫のように治るものもあります
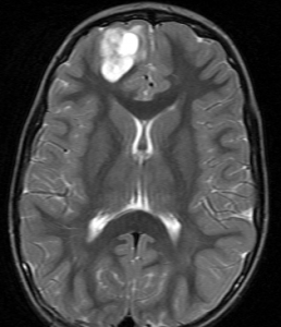
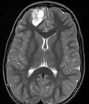
小児にできた右前頭葉の乏突起膠腫グレード2です。右は術後の写真で,手術だけで治りました。
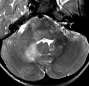
脳幹部グリオーマ
- NF-1では脳幹部にもたくさんの病変がみられます,
- 特に気をつけなければならないのは,徐々に大きくなってくる脳幹部グリオーマ brainstem gliomaです(ここをクリックすると具体例が見れます)
- 大きくなっても治療の必要はありません
NF-1で脳腫瘍と間違っていはいけない脳の病変
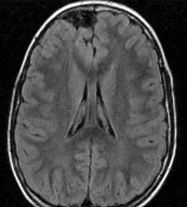
- 脳のところどころに,T2/フレアで何か特定できない高信号がみえます (UBO unidentified bright objects あるいはFASI focal area of signal intensityといいます)
- 病理学的には,髄鞘空洞化(myelin vacuolization, altered myelination),過形成性グリオーシス(hyperplastic gliosis)いわれるものです
- 過誤腫(hamartoma),異形成(dysplasia, heterotopia),脳室上衣下結節(subependymal glial fibrillary nodue)などもあります
- MRIで腫瘍のようにみえますがそうではありません。T2強調画像で白く見えてガドリニウム造影されないのが一般的な特徴です
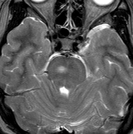
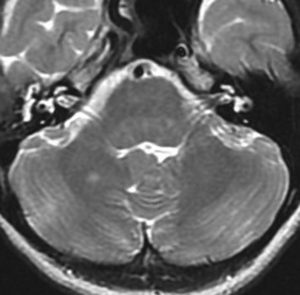
脳幹部のUBOです,大きくなると脳幹部神経膠腫に間違えられることがあります

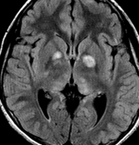
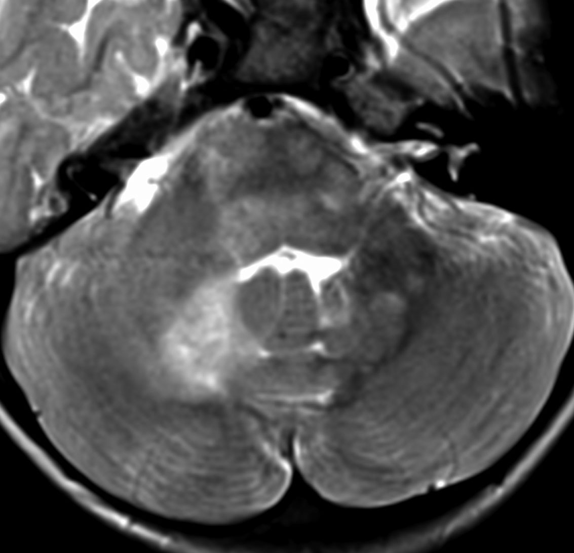
NF-1に見られる典型的なUBOです。白くにじむように見えるところが,両側の大脳基底核から視床に散在しています。脳幹部にも同時に見られることが多いです。もちろん治療の必用はありません。
脳幹部グリオーマと間違えそうなもの
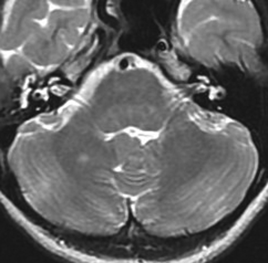
3歳の時に,MRIで脳幹部から小脳のグリオーマを疑われて受診しました。橋が腫れて右小脳にもグリオーマのような白い影があります。でもこれは,NF-1のUBOの大きなものです。びまん性正中グリオーマと誤診されて放射線治療を受けてしまった子供もみたことがあります。治療しなくても縮小していくので,何もしないで経過観察します。右側のMRIは13年後のものです。ほとんど消失しています。
NF-1とNF-2の水頭症
- NF1では,多くの場合は過形成性グリオーシスで中脳水道という髄液の流れ道がつまって水頭症(中脳水道閉塞)になります。これは急に症状を出すことがなくて慢性の頭痛とかを生じる停止性水頭症になりやすいです。治療は,内視鏡を使って髄液の通り道をあける第3脳室開窓術というのをしたら治ります。
- NF-2に生じる現象ですが,脳腫瘍が多発することによって髄液吸収障害が生じて,交通性水頭症になります。この場合に,特に気を付けなければならないのが脳室が大きくならない (slit ventricle) ので,水頭症ではないと思ってしまうことです。眼底検査をすると,うっ血乳頭かあるいは乳頭萎縮の所見があります。急いで,脳室腹腔シャントをしなければなりませんが,定位脳手術でしか脳室端を刺入することができません。 そしないと失明します。
NF-1の末梢神経の病気
- ほとんどのものは症状を出しません
- 基本的には多少大きくなってもほっておきます
- まれに困った症状を出します
- 脊髄神経の根元(脊椎)に神経鞘腫ができて脊髄を圧迫することがあります
- 叢状神経線維腫 plexiform neurofibromaというのはある範囲(例えば右の首あたりとか)に蔓状の線維腫がたくさんできてそれが大きな固まりを作ってくるものをいいますが,脳にはできません
- 叢状神経線維腫はとても広く広がるので,手術で全部取ることができません
- NF-1の患者さんが一番困るのは蔓状神経繊維種の増大です
- 顔面や体幹に蔓状神経鞘腫ができて変形したり,痛みが出て困ります
- 2020年時点で,セルメチニブという薬剤が期待されていますが,日本では使えません
- 中年から高齢者になると5%くらい,あるいは1000人に一人くらいのNF-1患者さんで神経線維腫が悪性腫瘍(悪性末梢神経鞘腫 MPNST malignant peripheral nerve sheath tumor, fibrous sarcoma 線維肉腫)になることがあります
- 叢状神経線維腫や,非定型的神経線維腫 atypical neurofibromaは,MPNSTへと増悪しやすいので注意です
- FDGペットで取り込みがある,痛みが強い増大性の腫瘤で,病理像がatypical neurofibromaであれば,かなり積極的に完全摘出する必要があります
叢状神経線維腫の治療薬:コセルゴ(セルメチニブ MEK阻害剤)
- 日本でも,3歳から18歳までの叢状神経線維腫には,コセルゴが使用できるようになりました
- 強い痛みや顔が大きく変形するなどの進行例に投与できます
- 1日2回空腹時に飲みます,10mg, 25mgカプセルがあります,上限は50mgです
- 投与期間2年くらいの研究では,腫瘍の大きくなるのが止まったり小さくなったりする例が66%くらいでみられるそうです
- 腫瘍が消えることはありません
重要な情報(NF-1の子供の視神経膠腫への放射線治療は危険)
Sharif S, Ferner R, Jillian M. Birch, James E. Gillespie, H. Rao Gattamaneni, Michael E. Baser, D. Gareth R. Evans: Second primary tumors in neurofibromatosis 1 patients treated for optic glioma: substantial risks after radiotherapy. J Clin Oncol: 2570-2575, 2006
イギリスからの報告です。18人のNF-1の患者さんが視神経膠腫のために放射線治療を受けました。その内の9人 (50%) に2次腫瘍が発生し,子供の時に放射線治療を受けていたとのことです。放射線治療を受けなかった40人の患者さんでは8人 (20%)に2次腫瘍が発生しました。2次腫瘍とは,15例の神経膠腫と6例のMPNST(悪性末梢神経鞘腫)です。2次腫瘍の発生の危険率は放射線治療を受けると3倍になるということです。NF-1の子供には脳腫瘍に対する放射線治療はよほどの理由がないと行わないと結論されています。
NF-1の基礎知識
額にできた皮膚の多発性線維腫 neurofibroma (おでこのブツブツ)と腹部のカフェオレ斑 cafe-au-lait spot(茶色のシミ)です。いずれも良性の病変です。
下顎部から咽頭にできた叢状神経線維腫 plexiform neurofibroma です。外から見ると大きな塊のように見えるのですが,無数の小さな神経の腫瘍が集まってできたものです。一つ一つは神経に沿って蔓のように長く伸びているので蔓状と言います。
- 他に,筋骨格の異常,精神行動の軽度の障害,虹彩のリッシュ結節 Lisch nodulesなどがみられます
- 日常生活に支障をきたすような症状を呈するのは20%ほどの患者さんで,NF-1の8割の患者さんはごく普通に生活できます
- NF-1で死亡するということはほとんどありません
- まれですがNF-1関連死亡の60%はMPNSTの発生とされています
神経線維腫症は,知識の深い医師と相談しながら,きちんと管理すれば,元気に働いて生きていかれる病気です,あきらめない

おまけの知識
遺伝子異常
- 常染色体優性遺伝です
- 第17染色体 (17q11.2) のneurofibromin部分欠失(NF1腫瘍抑制遺伝子変異)によって生じます
- neurofibrominは,Ras oncogene signal transduction pathwayのnegative regulatorです
- 従って,Rasが増幅されたような状態となり腫瘍化します
- plexiform neurofibromaは,elevated RAS-mitogen-activated protein kinase (MAPK) signalingが特徴です
- ですからMAPK kinase (MEK) 1 and 2阻害剤が治療薬として期待されています
plexiform neurofibroma 叢状神経線維腫に selumetinib セルメチニブが有効
Andrea M: Selumetinib in Children with Inoperable Plexiform Neurofibromas. New Eng J Med, 2020
MEK 1阻害剤 selumetinibの臨床第2相試験の結果です。2015年から50人の患児が登録されました。1日2回selmetinibを飲みます。2019年の時点で,35人 (70%)でpartial responseがみられ,そのうち28人では1年以上の期間維持されました。患児自身が報告した痛みの軽減は2/10で臨床的には改善と言えます。PROs(患者報告アウトカム)で,QOL,筋力や可動域の機能改善が半数の患者さんで得られています。手術できない蔓状神経鞘腫を有する子供たちの多くで,腫瘍の縮小が得られ,臨床効果が認められました。5例で有害事象のための中断,6例で腫瘍進行のための中断がありました。有害事象は,嘔気,嘔吐,下痢, Cr上昇,皮疹などです。
神経線維腫症1型に発生するグリオーマの治療
Packer RJ: Implications of new understandings of gliomas in children and adults with NF1: report of a consensus conference. Neuro-Oncology 2020
概論です:ほとんどがindolent diseaseなので治療の必要がありません。症候性となり治療が必要になるものの代表例は視神経膠腫で,NF-1の15-20%に発生します。視神経膠腫の発生年齢のピークは8歳で,18歳までくらいで可能性があります。NF-1成人の毛様細胞性星細胞腫と低悪性度グリオーマは,非NF-1より予後が悪いとされます。放射線治療は腫瘍の悪性化を誘発するのでなるべく行わない。年長児と成人に発生する anaplastic piloid astrocytomaに対する治療法は不明で予後が悪いなどの記述があります。
NF-1の子供の進行性低悪性度グリオーマに対するカルボプラチンとビンクリスチン化学療法
Ater JL: Nonrandomized comparison of neurofibromatosis type 1 and non-neurofibromatosis type 1 children who received carboplatin and vincristine for progressive low-grade glioma: A report from the Children’s Oncology Group. Cancer. 2016
カルボプラチンとビンクリスチン併用化学療法は,NF-1の子供の低悪性度グリオーマ low-grade gliomaに有効性が高いとの報告です。NF-1に対しての5年無増悪生存割合は69%であったのに対して,NF-1でない子供では39%でした。対象とされた症例の多くは毛様細胞性星細胞腫であったことに注意です。





