悪性末梢神経鞘腫 MPNST malignant peripheral nerve sheath tumor
- MPNSTと呼ばれます
- 末梢神経から発生する腫瘍です
- 頭蓋内のものは極めて稀で,四肢体幹の軟部組織から発生します
- 30-40代の中年に多いです
- 神経線維腫症1型 NF-1に合併するものが50%です
- 中でも蔓状神経鞘腫 plexiform neurofibromaが悪性化するケースが多いです
- NF-1に合併するものでは年齢層が20-30代です
- 孤発例では大きな末梢神経から発生する頻度が高いです
- 良性の神経鞘腫を放射線治療したことによって悪性化して生じたものが10%くらいあります(放射線誘発MPNST)
- 脳神経外科領域では,頭蓋底原発のものや,聴神経腫瘍の放射線治療後の発生が知られています
- 15%くらいで比較的良性の経過をとるものがありますが,残りは高度の悪性腫瘍です
- 5 cm以上のものの予後が悪いとされいています
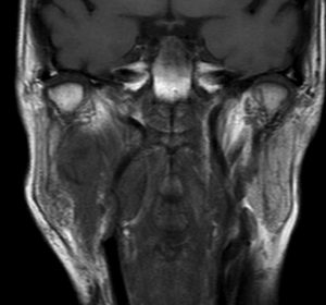
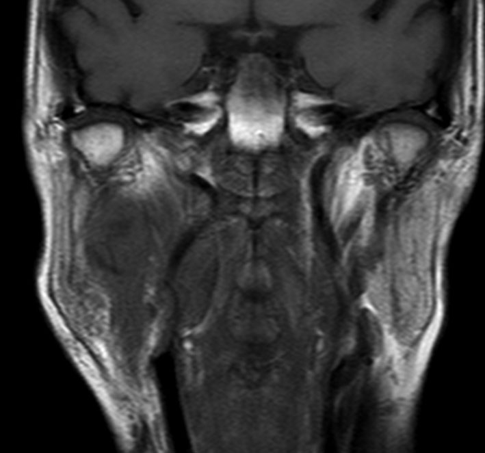
右はがドリニウム増強MRIです。NF-1患者さんの右深頸部のplexiform neurofibromaに発生したものです。通常の神経鞘腫に比較して境界が不鮮明で増大速度が早いことが特徴です。
診断
- MRIでは境界不鮮明な不規則に増強される腫瘍です
- FDG-PETで高い取り込み up-takeが認められます
病理
neurofibroma/schwannomaで,典型的な細胞配列が失われ,細胞密度がかなり高い,かつ細胞異型性があるとANF atypical neurofibromaと呼ばれます,単神経の神経鞘腫あるいはplexiform neurofibromaがatypical neurofibromaとなり,さらにMPNSTへと悪性化する所見が知られています
治療
- 治す方法は手術による完全摘出です
- しかし,周囲組織に浸潤していて取きれないことが多いです
- 頭皮など浅い部分から表面に盛り上がっているものは全摘出できて治ることがあります
- 放射線治療で局所制御ができることがあります
- でも多くは,通常の放射線治療には抵抗性です
- 高線量の放射線外科治療が有効なことがあります
- 化学療法で有効なものは知られていません
手術
- 大きなものでは全摘出することは不可能です
- 細い神経の分枝に沿って周囲に非常に広範囲に広がっています
- 周囲軟部組織,神経組織を巻き込んで浸潤していますので,剥離操作で摘出することができません
- 出血性で極めて硬い腫瘍です
予後
- 肺などへ全身転移することが25%くらいあります
- 頭蓋内のものは髄液播種することがあります
病理
- 単純なspindle cellからなるものや高度の多型性を示すものまであります
責任遺伝子
- NF-1, CDKN-2A, PRC2遺伝子の相互作用で発生すると考えられています

