転移性脳腫瘍 brain metastasis
身体のどこかにできたガンが,脳に転移した状態をいいます
大切なこと
- ガン患者さんの10-20%に脳転移が生じます
- 日本では年間,数万人がガンの脳転移を生じています
- 脳腫瘍の中では最も頻度の高い腫瘍だといえます
- 近年は早期ガン診断の発達とともに,診断時の脳転移頻度は低下傾向です
- 逆に,早期ガンはがん登録がなされないことが多いしMRI診断の向上から,ガンと診断され治療を受けてから脳転移が生じる患者さんの頻度は増えています,理由は長期生存例が増えているからです
- 脳転移があると末期と言われた時代もありますが,いまは違います
- 転移性脳腫瘍の治療は重要性が増しています
- 原発巣は,肺ガンが最も多くて,次いで乳癌です
- ペット診断 (PDG-PET)では脳転移があるかどうかはわからないから、必ずMRIをします
- 脳外科で転移性脳腫瘍を治療することは少なくなりました
- 理由は,定位放射線治療の発達です
- 脳外科で転移性能腫瘍が疑われて開頭手術をしようと提案された場合には,少し慎重に考えなければなりません,なぜ頭を開ける必要があるのか??
- でも逆に,開頭手術で摘出した方がいいのに,内科医だけの判断でそのチャンスが失われる患者さんもいます
- 全部の脳に放射線を当てる全脳照射は用いられなくなってきました
おおまかなこと
- 原発巣(最初に癌ができた場所)としては,肺癌が約50%くらいで,次いで乳癌20%,大腸癌,結腸癌,頭頸部癌,子宮癌の順となります
- 肺癌患者さんの40%に脳転移が生じます
- HER-2陽性あるいはtriple-negativeの乳がんでは30%くらいで脳転移が生じるなど遺伝子診断で脳転移のリスクも解るようになってきました
- ですから、肺がんや乳がんと診断されたら、症状がなくてもガドリニウム増強MRI検査をするのが常識になってきました
- 脳転移を生じやすいガンでは,定期的に脳のMRIをして早期発見をします
- 転移は脳のどの場所へも起こります
- ガン原発巣になにも症状がなくても,脳転移が最初に症状を出すことがあります
- 特に肺癌では,最初に脳の症状が出て,脳転移が見つかってから,原発巣を探してみると肺にガンがあったということがあります
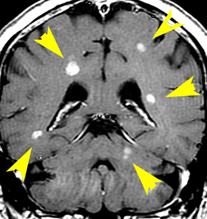
- 精度の高いMRI検査をすると,単発(一つだけの転移)よりも多発性のもののほうが多いです
- 血行性転移です,動脈から脳に入ります
- 転移の場所としては,大脳の皮質と白質の境界部 watershed regions にできることが多いです
- のう胞(水たまりの袋みたいなのもの)を伴うものを嚢胞性腫瘍といいますが、これは腺癌の転移に多いものです
- 転移性脳腫瘍のまわりの脳には脳浮腫(脳のはれ)を生じることが多いですし,これが症状を出していることがあります
- 癌細胞は周囲の脳組織に浸潤していますから手術だけで完全にとりきれるチャンスは少ないです
- 病理所見では,転移のある部位に近い脳の小血管周囲あるいはくも膜下腔に沿ったがん細胞の浸潤をみることが多いです
- 特殊な転移として,癌性髄膜炎(髄膜がん腫症 leptomeningeal carcinomatosis:脳脊髄の至る所にがん細胞が広がる)というものがあります
- これは,がん細胞が脳脊髄のくも膜下腔に広がって増殖するもので,水頭症を併発します
- 乳がん患者さんの20-25%くらいで,癌性髄膜炎を併発するという報告もあります
- 乳癌などでは,治ったと思って10年くらい経った後に脳転移が生じて再発することもありますが,それでも治る可能性がある再発ですからあきらめない
- 放射線治療が必要なことが多いです,設備が整っている病院で治療を受けましょう
- 脳転移に有効な化学療法が発達して,定位放射線治療との組み合わせ治療が模索されています
- 近年は脳転移に有効な免疫化学療法も発展しています
- ですから,放射線治療を行なったのちに免疫化学療法を加えるという選択肢が出てきました
症状
- MRI診断の普及とともに無症状で発見される脳転移が増えています
- 癌の患者さんが神経症状や頭痛・嘔吐などを生じたときにはまず脳転移を疑います
- てんかん発作(けいれん発作)は多く,2 – 3割の患者さんで生じます
- 脳転移による症候性てんかんと言います
- 転移性脳腫瘍のできた場所に応じて,さまざまな局所神経症状が出ます
- 麻痺,ふらつき,失語症,複視,人格変化,認知機能低下,視力視野障害などなんでも起こります
- 大きな転移あるいは数多い転移ですと,脳浮腫による頭痛・嘔吐などの頭蓋内圧亢進症状がでます
- 症状は数週間の期間に進行する場合が多いです
- 嘔吐などが強くなって放置すれば脳ヘルニアを起こして意識障害が生じます
- 腫瘍の内部で出血を起こして急激に症状が進行することもあります
- 頭蓋底部に病変が存在すれば,複数の脳神経を侵して多発性脳神経麻痺を起こしてくることがあります
- 髄膜がん腫症では,頭痛や嘔吐などの髄膜刺激症状を認めます
- 特に歩行時のふらつきや強い頭痛で発症する小脳転移は,急激な脳ヘルニアを生じやすいので,放射線治療をしないで積極的に開頭手術した方がよいこともあります
- 症状があってもなくても,脳転移が発見された場合にはすぐに治療を考えて,ぐずぐずしていてはいけません
脳転移がなくても脳の症状があるとき
がん患者さんで,ゆっくり進行する変わった脳症状が出て,MRIで脳転移がみられない場合には,以下のような病態の可能性があります。それぞれ,特徴的なMRI所見がありますから診断はつきます。
- 進行性多巣性白質脳症 PML
- 傍腫瘍性症候群 paraneoplastic syndrome(亜急性小脳変性症 subacute cerebellar degeneration や辺縁系脳炎 limbic encephalitis)
- 可逆性後頭葉白質脳症 posterior reversible encephalopathy syndrome (PRES):抗ガン剤の副作用
検査(脳病変のみに関して)
- MRIは非常に小さな転移巣(2mmくらい)も発見することができます
- 治療方針を決めるために正確な数を把握しようとするときにはMRIは絶対必要です
- 特に重要なのが単発転移(一つだけ)か多発転移(たくさんできてる)の区別です
- MRIで転移性脳腫瘍は,低信号から高信号を示すものまでいろいろです
- ガドリニウム造影剤で増強されてくっきり写ります
- 腫瘍中心壊死のためリング状に増強されると膠芽腫との鑑別が難しいことがあります
- 周辺脳浮腫(腫瘍の周囲の脳が腫れている)が特徴です
- シンチやペットPETを使って診断すると脳転移が見つかることも稀にあります
- 転移性脳腫瘍が先に発見されて,原発巣を探すことも多いです
- てんかん発作例では,転移内部で出血していることがあります
- 髄膜がん腫症では水頭症がみられ,脳脊髄髄液の細胞診が必要です
- 脳転移から脳出血することはめずらしくありません
- 脳転移があると同時に全身の他の臓器にも転移があることがほとんどです
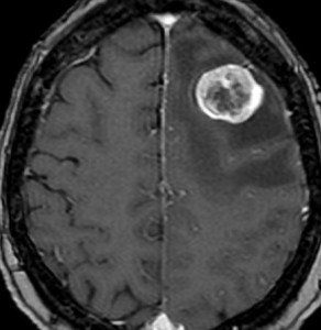
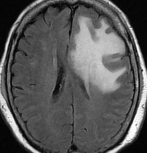
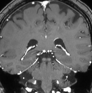
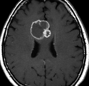
典型的な転移性脳腫瘍(単発)のMRI
腺癌の左前頭葉転移です。左のガドリニウム造影剤を使った画像では腫瘍が白く写っています。腫瘍の内部が一部壊死しているので黒っぽく見えます。右はフレア画像です。腫瘍の周囲の脳が腫れて脳浮腫(白く滲むようなところ)を生じています。
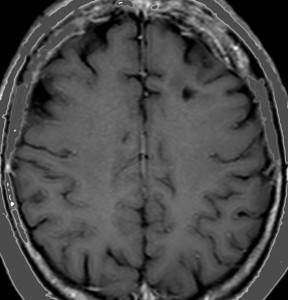
開頭手術で摘出した半年後の画像です。腫瘍は再発していなくて,脳の腫れも引いています。転移が発見された時には,見当識障害などの左前頭葉症状が強かったし,摘出がとても簡単な場所だったので手術しました。線状皮膚切開・小開頭ですから1時間くらいの簡単な手術です。でも,26mmくらいでしたから,定位放射線治療も可能なものでした。この患者さんは幸いなことに半年で再発していませんが,開頭手術による摘出だけだと同じ場所からまた再発することもあり,それから放射線治療を加えなくてはならないこともあります。個々の判断は難しいのですが,基本的には開頭手術より定位放射線治療のほうがいいと考えて下さい。
Modern cancer medicine is personalised medicine.
- 現代の癌治療は,一人ひとり別個の治療となります
- ガイドラインで一括の治療というのは難しくなりました
- 同じ乳がんでも癌遺伝子の異常によっては薬物治療が有効なこともあります
- 例えば,メラノーマの脳転移は半数以上が免疫治療で治る時代です
治療:定位放射線治療
- 脳転移の多くは定位分割放射線治療 fSRT か放射線外科治療 SRS(ラジオサージェリー)で治療できます
- 1回照射 (single-fraction SRS) から5回照射 (multiple session, fractionated SRS) くらいのものをSRSと言います,それ以上の回数だとfSRTです
- 治療成績も良いので,手術よりも放射線治療が優先されるようになってきました
- 定位放射線治療には,リニアックメス,ガンマナイフ,ノバリス,サイバーナイフ,トモテラピーなどの装置が利用されます
- 多くの場合は,1回だけの照射で済む放射線外科治療 SRSを用います
- 分割照射は,脳幹部や視神経,視床下部などの放射線障害が出やすい脆弱な部位に用います
- 定位分割放射線治療ができない大きなものは脳外科で手術します
- 転移性脳腫瘍の大きさが 2.5-3cmくらいが定位放射線治療の限界です
- SRS の入院は1日とか3日とかの短期間で済みますが,手術となると最低でも2週間くらいでしょう
- 転移性脳腫瘍に対する定位放射線治療の成績は年々向上しています
- 一回照射による放射線外科の腫瘍局所制御率は80%を越えます
- 定位照射で,1年間制御できる確率は70%とも90%とも言われます
- 4個以内の多発転移例であれば放射線外科 SRS だけで寛解を得られることは多いです
治療:全脳照射
- 全脳照射は脳の全部に放射線を当てることをいいます
- 多発転移(5個以上)の場合は,時には全脳照射が必要かもしれません
- 5個以上の転移では全脳照射が標準治療でしたが,2022年の傾向はそうではありません
- 個別の判断が難しいのですが,8個とかでも放射線外科治療SRSで制御することがあります
- 全脳照射 (30グレイ10分割)は広範囲分割照射(リニアックなど)を利用します,ガンマナイフやノバリスではできません
- かつては,全脳照射しないとすぐに次の脳転移が発生するという考えが中心でしたが,いまは脳MRIを頻回に行うことによって新たな早期発見ができるのす(surveillanceの向上)
- 全脳照射は,生命予後の短い患者さんの入院を長期化させ,さらに正常脳に対する障害(認知症の発生によるQOLの低下)があるので,できれば全脳照射は避けます
- 海馬をさけるような高度な技術(海馬線量低減全脳照射)を用いた放射線治療を行えばある程度認知機能低下は避けられます
- 肺小細胞癌 SCLCでは全脳照射(25グレイ10分割)を選択します,定位照射ではすぐに新しい脳転移がでてしまうためです
- SCLCには脳転移がない状態で予防的全脳照射 PRTも用いられます
全脳照射で海馬だけ避ければ認知機能障害は軽減する
海馬線量低減全脳照射 hippocampal avoidance using IMRT
2018年ASTROで,518人の患者さんの臨床第3相試験の治療成績が発表されました。海馬を避けることで認知機能障害を26%減らすことができたとの結論です。IMRTという照射法を用います。認知症のリスクを低下させるために,さらにメマンチン(メマリー,認知症治療薬)という薬剤が同時併用されます。この照射法をHA-WBRT (Hippocampal avoidance using IMRT during WBRT)と略します。
わかりにくい用語:定位放射線治療のSRSとSRTの違い
- 放射線外科治療 SRS stereotactic radiosurgery とは,原則は1回だけの照射で治療することで,ガンマナイフ治療が代表的なものですが他にもいろいろあります,辺縁線量 8グレイくらいが用いられます,2−5回の分割もSRSと呼ばれるようになってきました
- 定位分割放射線治療 SRT stereotactic radiation therapyとは,5から10回くらいに分割して定位照射を行なうことで,fSRT fractionated stereotactic radiation therapy 定位分割照射ともいいます,サイバーナイフ,ノバリスなどで行います
局所照射(定位放射線治療)か全脳照射といわれたら
- 多発転移であっても全脳照射を避けるのが標準的な考え方になってきたと言えます
- しかし,脳転移が4個以上,あるいはそれ以上ある場合に,全脳照射という治療法を提案されることがあります
- 肺の小細胞癌の転移など,MRIでは見えないような無数の脳転移が予測されるものには全脳照射を用います
- 全脳照射は,脳の全体に大量の放射線をかける治療です
- 通常は,40グレイを20回に分けてかけるか,30グレイを10回に分けて放射線治療をします
- ですから,放射線障害が強く出ますが,個人差がとても大きいです
- 数ヶ月後に認知障害になるかもしれないと考えておいた方がいいでしょう
- 簡単にいえば,知能が落ちて,ひどい場合には自分のことがよくわからなくなることです
- でも,この治療をしないと生き延びられない状態です
- 「全脳照射をしても認知機能が落ちるという科学的な証拠がない」という放射線治療医の先生がいますがそれは誤りです
治療:脳神経外科での開頭手術
- 2.5-3cm以上の大きな転移で,脳浮腫の軽減,症状を改善する,脳圧を下げることを目的とします
- 患者さんの状態が良好,かつ数カ月以上の生命予後が期待できれば,開頭手術による摘出術の適応となります
- 肺小細胞癌,リンパ腫,白血病などは生検手術以外は行いません
- 多発であっても,手術と放射線治療の組み合わせで有意な生存期間を明らかに延長できると確信できれば,大きなものだけを手術摘出することはあります
- 分子診断でガンの遺伝子異常を調べるようになりました
- 原発巣が不明で,病理遺伝子診断を得たい時,低侵襲であれば小さな病巣を摘出することがあります
- 小脳転移は急速に水頭症や脳ヘルニアを生じやすいので,放射線治療の前に摘出を考慮します
- 摘出術のみでの局所コントロールは困難ですから,手術適応の決定はきわめて慎重でなければなりません
- 条件は難しいのですが,手術前にSRS 放射線外科治療を加えて,その直後に摘出すると,局所再発や髄膜病変が減るという報告もあります (JAMA 2023)
- 内科医の先生は,大きな脳浮腫が強い脳転移は,開頭手術で摘出したほうが良いという事実も忘れてはなりません
治療:化学療法(制がん剤)
- 化学療法は原発巣の組織で決まりますから,脳外科ではしません
- でも残念ながら,脳転移には制がん剤(化学療法)が効かないことが多いです
- 化学療法や内分泌療法に感受性の癌に対しては,低線量放射線治療と組み合わせる治療がなされます
- 腫瘍内科,腫瘍外科,放射線治療科,脳外科などのチーム医療で診ていただきましょう
- できれば地域のがんセンターや癌をたくさん扱う病院へ行くべきです
- 今は,複数の脳転移が起こっても,治療をあきらめる時代ではありません
- ある種のリンパ腫,胚細胞腫瘍,腎癌,乳癌,肺がんの脳転移では化学療法が時に有効です
- 化学療法は日進月歩ですから,それぞれの癌腫に詳しい専門医にも相談しましょう
- がんの分子診断で脳転移の治療適応が判断される時代です
- 例えば,非小細胞肺がんにはアレクチニブ,ブリガチニブ,オシメルチニブ,イピリムマブ,ニボルマブなどが,HER-2陽性乳がんの脳転移にツカチニブやtrastuzumab emtansine (T-DM1)が有効という報告などです
- 肺腺癌 ALK/EGFR変異のあるものでは積極的な治療が有効ですから,開頭手術での摘出も勧められます
脳の腫れを取る治療と緩和ケア
- 原発巣や多臓器の状態が悪い患者さんの多発脳転移では,対症的治療として副腎皮質ステロイド剤やグリセロール点滴を投与して脳浮腫を治療します
- ステロイドは経口薬で,デキサメサゾン dexamethasone,ベタメサゾン(リンデロン)betamethasone が使用されることが多いです
- 有効性があると判断される治療法がない時には緩和ケア(緩和療法,支持療法,対症療法)supportive care のみをします
予後
- 数個以内の脳転移ならコントロールできる可能性が高いです
- 残念ながら治癒を期待することは難しいかもしれません
- 脳転移が生じてしまった患者さんの生命予後(余命)は10-12ヶ月とされています
- ですから脳転移の治療は基本的に寛解導入あるいは緩和療法となります
- でも,乳がんや肺がんの多発脳転移でも,治ってしまって10年以上元気な人もいます
- かつては,脳転移を生じたがん患者さんの平均余命は半年くらいとされてきましたが,逆に今はたくさんの患者さんが脳転移から助かることがあるのであきらめてはいけません
- 生命予後が短いと予想される患者さんに対しては,脳神経外科での過度の積極的治療は避けられるべきです
定位放射線治療が有効だった実例(ここをクリックすると見えます)
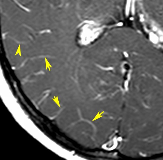
乳癌の多発脳転移の例
全脳照射3ヶ月後のMRIです。左の頭頂葉の転移巣は消失していますし,左の小脳転移は手術摘出できていて再発もありません。このように乳癌は,多発転移であっても比較的に制御しやすいものです。しかし,一度消えた病巣が再発したり,また新たなところに脳転移が生じるという可能性もあります。
髄膜癌腫症(癌性髄膜炎)
leptomeningeal carcinomatosis, carcinomatous meningitis

脳と脊髄の表面にがん細胞が広範に広がって増殖します。MRIでは,矢印のように脳溝 sulciの中に癌の増殖が見られます。T1ガドリニウム増強で,脳溝や脳の表面が白い線のように描出されます,脳血管とは違うのでわかります。
- がん細胞が髄液の中に広がることです
- 乳がんの患者さんでの頻度が高いです
- 髄液吸収障害になって水頭症(頭の中に水がたまって頭痛や嘔吐をだす)になることが多いです
- 髄液細胞診(脳脊髄液を採取して検査する)ではがん細胞が髄液の中に浮いているのが証明されます
- 生命予後は2 – 5ヶ月のことが多いでしょう
- 全身状態が不良であったり,神経障害が重篤であったり,脳や脊髄に腫瘤病変が多発する場合には治療をしないで,緩和ケア(best suportive care)だけしたほうがいいです
- 逆に,神経症状が軽く,他の臓器に重篤な転移がなく,全身的な治療が継続できている時には,全身的な化学療法を続けながら,全脳照射をしたり,髄液内化学療法(メソトレキセートの髄注)などを行うことがあります
- 症状を出している脳脊髄の転移巣に局所照射を加えることもあります
- いずれにしても,数週間から2ヶ月くらいの緩和期間が得られるくらいなので,無理な治療はしません
- 水頭症に対するシャント手術は滅多にしません,がん細胞が腹腔に転移してしまってより苦しい状態になることがあるからです
- 短期間の処置として,長期留置型の外ドレナージという方法で髄液を排出することがあります
- でも水頭症は頭痛や嘔吐で苦しいので,患者さんが望めば,脳室腹腔短絡術(シャント)を緩和治療として選択することがあります
肺小細胞癌の転移 multiple metastases of lung small cell cancer
左のMRIは,肺小細胞癌の患者さんに脳転移が無いか確かめるために撮影されたものです。転移はありませんでした。右側のMRIは,そのわずか3週間後に撮影したものです。数十個の脳転移がありました。肺小細胞癌では短期間の間に無数の脳転移を生じることがあります。かつては脳転移を予防するための予防的全脳照射という治療が行われていたくらいです。
いろいろな知識
放射線外科 SRSの後でまた再燃したり新たな脳転移ができたら
- 新病変が前と違う場所ならまたSRSで治療できます
- 同じ場所に再増大しても,更に加えてSRSで再照射できることもあります
- 全脳照射を加えていなければ,多数の新たな転移が生じた場合には全脳照射をその時点で選択することができます
- しかし,同じ場所に放射線治療を加えると放射線による脳壊死の可能性がかなり高くなります
放射線治療後の再燃や脳壊死に対する脳外科手術
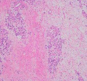
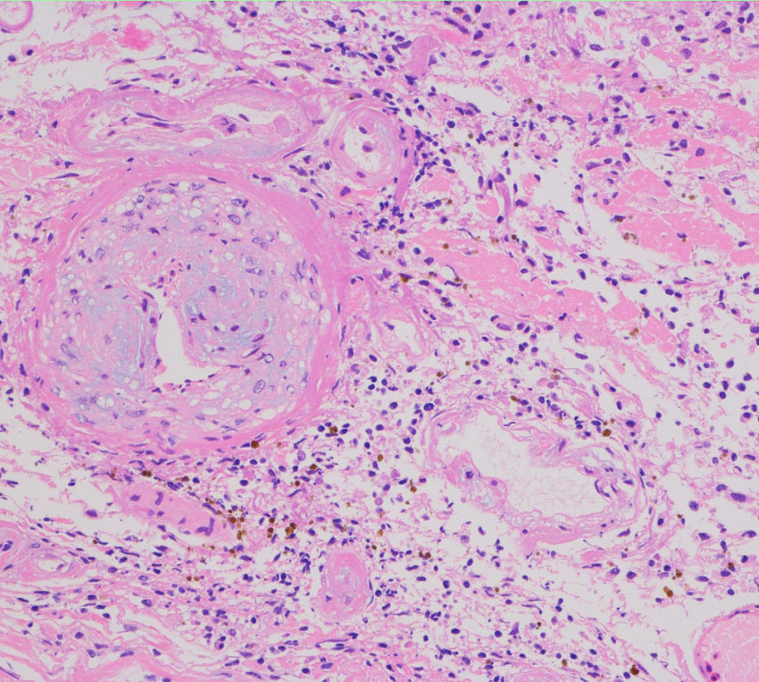
左側頭葉への腎癌の単発転移です。症候性てんかん(失語症発作)で発見され,定位放射線治療を受けたのですが,数ヶ月後に脳浮腫が高度となり失語症が悪化しました。コアになっている円形の転移腫瘍の周囲に放射線による脳壊死を疑いました。2時間ほどの開頭手術で,右側のガドリニウム増強されているところだけを摘出しました。

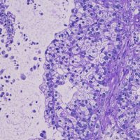
腫瘍中心の壊死の部分です。腫瘍細胞が死滅して凝固壊死の像です。血管はヒアリン化して閉塞しています。
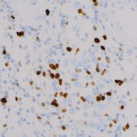
腫瘍の辺縁部で手術中に血管が発達して出血があった部分です。腫瘍細胞 clear cell carcinoma が新生血管周囲に増殖しています。真ん中はPAS染色,右側はMIB-1染色で13%くらいの高い陽性率です。これは定位放射線治療で腫瘍が全部死滅していなくて一部では再発していることを示します。

さらに周辺と正常脳との境界部位です。脳組織が壊死になっていてます。放射線脳壊死が周囲にあって,高度の脳浮腫を生じていたことがわかりました。
この例は,定位放射線治療後に,1) ガン組織が壊死になって放射線治療の効果が認められる,2) ガン転移の再発がある,3) 放射線脳壊死が起こっている,という3つの事象が混じって生じているものです。ですから,PETやMRSなどで手術の前の画像診断を頑張ってみても,診断がつくはずがないのです。病理診断しか手段がありません。


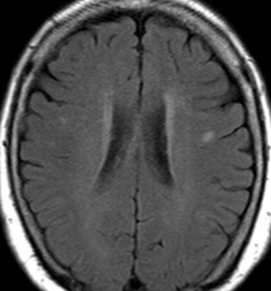
手術1年半後の画像です。症状はなくて元気にお暮らしでした。新たな脳転移はありません。
この患者さんは幸運な方といえます。ガンを見る内科の先生に知っていただきたいのですが,今でも脳神経外科の手術は転移性脳腫瘍の治療に役に立つことがあります。
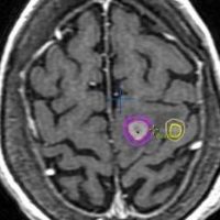
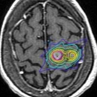
定位放射線治療のイメージ:ピンポイントとはいえない


近接する2つの転移巣への定位放射線治療です。右側は放射線治療計画の等線量曲線といいます。5回に分けて25グレイの放射線治療を行います。
転移性脳腫瘍は,画像で見えているところよりも少し周囲の脳へ浸潤しています。ですからガンマナイフでもサイバーナイフでもリニアックでも,見えている腫瘍 GTVよりも,PTVがやや広めになります。どういうことかというと,脳転移にピンポイントで放射線をかけるというのは,ある意味では「ウソ」で,周囲の脳は必ず被曝します。ガンマナイフでもサイバーナイフでも同じことです。
抗てんかん薬
転移性脳腫瘍で症候性てんかん(けいれん発作)を生じることがあります。抗てんかん薬という薬で発作を予防するのですが,その薬のために抗がん剤の効果が落ちてしまうことがあります。チトクロームP450という酵素を誘導する,カルバマゼピン,フェニトイン,フェノバルビタールは使用しないほうがいい場合があります。レベチラセタム(イーケプラ)を使った方がいいでしょう。
悪性グリオーマと区別しづらい
左はT2強調画像です。内部は壊死にみえますが,転移性脳腫瘍の特徴である周辺脳浮腫がほとんどありません。右のガドリニウム増強では周囲が不規則に造影されます。肺腺癌に特徴的な画像かもしれませんが,膠芽腫との区別が難しく,原発巣もわからず単発ですと生検術が必要になります。FDGでもMet-PETでも脳腫瘍自体は鑑別はできません。FDG-PETで他の臓器に病巣があると転移としていいでしょう。
新しい治療の治験について(ここをクリック)by 竹本裕美
保険診療できない新しい治療に参加することです
転移性脳腫瘍の在宅療養,緩和ケア,訪問看護(ここをクリックすると詳しく読めます)by 竹本裕美
- 体調が悪くなって日常生活をどう送ろうかと悩む患者さんのための参考です
- Best Supportive Care BSC 緩和ケアとは,癌の脳転移を治療して,延命をはかったり症状の改善をもとめる積極的な治療とは異なる考え方です
- 手術,放射線治療,化学療法の有効性が期待できなくなった時に,痛みや吐き気を軽減するとか,精神的な苦悩を緩和するとか,看取りと介護支援に重点を置くことを言います
- 患者さんの希望による場合,医師と患者さんの話し合いで選択する場合,医師から患者さんと家族にそれを勧める場合があります
文献情報(ここから下は難しいです)
SRS 放射線外科治療後に手術摘出したほうが,術後にSRSを加えるより,成績がよい
Prabhu RS: Risk Factors for Progression and Toxic Effects After Preoperative Stereotactic Radiosurgery for Patients With Resected Brain Metastases> JAMA Oncol 2023
転移性脳腫瘍は,手術摘出する場合には,手術後に放射線治療が咥えられるのが通常です。この論文は,手術前にSRSを行ってから手術摘出したほうが予後が良いということを報告しています。手術前日から4日前に,15グレイ1回もしくは24グレイ3分割の放射線外科治療がなされました。年齢中央値60.6歳,418人の患者さんが対象です。この手法だと,局所再発,放射線有害事象,髄膜病変が少なかったと結論しています。しかし,無作為試験ではないのでなんとも言えません。
ASCO-SNO-ASTROの脳転移治療ガイドライン
Vogelbaum MA: Treatment for Brain Metastases: ASCO-SNO-ASTRO Guideline. J Clin Oncol. 2022
多発脳転移と制御不能な全身転移がない場合,大きな脳転移は開頭手術で摘出することに利点があります。局所症状がある脳転移には,systemic therapyがなんであれ,脳局所治療(手術あるいは放射線治療)を選択します。無症状であっても脳転移があれば,特別な理由がない限りその治療を延期するべきではありません。局所治療が有害となる場合や他の有力な代替治療がある場合を除いて,もし脳転移の局所治療を遅延させる場合には,腫瘍内科,放射線科,脳外科などでの合同議論が必要です。非小細胞肺がん,乳がん,メラノーマなどの脳転移に対しては新たな推奨治療法 regimenがあります。1個から4個までの無症候性脳転移で,特別な全身療法の適応がない場合には,放射線外科治療 SRS のみが提案されます。ただし,小細胞肺癌にはSRSの適応はありません。1あるいは2箇所の外科摘出腔(部位)に対するSRSの適応はあります。SRSと外科手術の適応がない患者さんでは,全脳照射とSRSあるいは他の治療法の組み合わせが推奨されます。全脳照射では,海馬を避けた線量計画とメマンチン投与が提案されるべきです。これは,海馬に転移がないあるいは4ヶ月以上の生命予後が期待できる場合となります。KFS 50%以下の状態の悪い患者さんやKFS 70&未満で全身治療の適応がない患者さんには,頭蓋照射に利点がありません。
ニボルマブとイピリムマブの併用は肺がんの脳転移に有効
First-line nivolumab plus ipilimumab combined with two cycles of chemotherapy in patients with non-small-cell lung cancer (CheckMate 9LA): an international, randomised, open-label, phase 3 trial. Lancet Oncol 2021
ステージ4あるいは再発した肺がんの患者さん719人に対して,3週間毎のニボルマブ(オブジーボ)と6週間毎のイピリムマブ(ヤーボイ),2コースのプラチナベースの化学療法が投与されました。コントロール群(10.7ヶ月)に比べて,免疫療法群では14.1ヶ月と有意な無増悪生存期間の延長がありました。全生存期間も3.5ヶ月の延長がありました。
局所再発した脳転移には再開頭で摘出することもある
Neurosurgical resection for locally recurrent brain metastasis. Neuro Oncol 2021
治療後また局所再発した脳転移を開頭手術で再摘出した患者さんの報告です。生存期間中央値は13.8ヶ月でした。肺腺がんALK/EGFR+,乳がんHER2+では24ヶ月以上の生存期間がありました。治療反応性の良い遺伝子異常を有する癌腫,若い患者さんなど予想される予後がよさそうな患者さんには,再開頭で再摘出することも考慮して良いと結論しています。
ヨーロッパの治療ガイドライン 2021年
Le Rhun E: EANO–ESMO Clinical Practice Guidelines for diagnosis, treatment and follow-up of patients with brain metastasis from solid tumours. Ann Oncol 2021
内容が多様なのでまとめられません,原著を読んでください。日本では少ないメラノーマの脳転移が制御できる,特定の癌遺伝子に変異があるタイプでは分子標的治療役で脳転移が制御できる時代になったことあ書かれています。
海馬線量低減全脳照射にメマンチンを併用する
Hippocampal Avoidance During Whole-Brain Radiotherapy Plus Memantine for Patients With Brain Metastases: Phase III Trial NRG Oncology CC001. J Clin Oncol 2020
2015-2018年に518人の脳転移の患者さんに全脳照射が行われました。全ての患者さんにメマンチン投与が併用されています。海馬を避けた全脳照射とメマンチン投与を受けた患者さんでは,6ヶ月後くらいでの認知機能の低下が有意に少なかったとの結論です。海馬に脳転移のない患者さんへは海馬線量低減全脳照射を行うべきなのでしょう。
HER2陽性乳がんの脳転移にT-DM1が有効
Trastuzumab emtansine (T-DM1) in patients with HER2-positive metastatic breast cancer and brain metastases: exploratory final analysis of cohort 1 from KAMILLA, a single-arm phase IIIb clinical trial.Ann Oncol 2020
398人の脳転移を生じた乳がん患者さんでの臨床第3相試験です。trastuzumab emtansine (T-DM1) (抗がん剤を抗体につけたもの)が,HER2陽性乳がんの脳転移に有効であったとの報告です。398人の患者さんに試験がなされ,脳転移のあった21.4%で有効性が認められたことです。無増悪生存期間中央値は5.5ヶ月です。
肺小細胞癌 SCLC の脳転移
定位放射線外科 SRSと全脳照射 WBRT では生存期間に差はない
Evaluation of First-line Radiosurgery vs Whole-Brain Radiotherapy for Small Cell Lung Cancer Brain Metastases: The FIRE-SCLC Cohort Study. JAMA Oncol 2020
肺小細胞癌 small cell lung cancerは短期間に多数の脳転移が発生するので,いちいち定位放射線治療でたたくことはできない,最初から全部の脳に放射線治療 whole brain radiotherapyするのが標準治療だと考えられていました。2017年から2019年まで,小細胞癌の脳転移を有する710人が調査されました。SRS(定位放射線外科治療)と全脳照射 WBRT を受けた患者さんで,生存に差がありませんでした。でも脳転移がない患者さんで,予防的全脳照射 prophylactic WBRTを受けた患者さんで少しだけ生存期間が長かったとのことです。もちろん,最初から数個以上の多発転移が発見された場合は,今までどおり全脳照射しか選択肢はありません。
てんかん発作
Risk factors for the development of epilepsy in patients with brain metastases. Neuro Oncol 2020
799人の脳転移の患者さんのうち,226人 (28%) がてんかんと診断されました。単発転移,腫瘍内出血,手術を反復した患者さんで発作が多かったとのことです。脳転移があると4人に一人くらいがてんかんを生じるということです。
HER2陽性の乳がん脳転移にツカチニブが有効
Murthy RK: Tucatinib, Trastuzumab, and Capecitabine for HER2-Positive Metastatic Breast Cancer. N Engl J Med. 2020
全身転移を生じたHER-2陽性乳がん患者612人に,Trastuzumab(ハーセプチン)とCapecitabine(ゼローダ)が投与され,ツカチニブ(HER-2阻害剤)が加えられた群とプラセボの間で無作為試験が行われました。1年無増悪生存割合 PFS は,ツカチニブを加えた群では33%,加えない群では12%でした。2年全生存割合はツカチニブを使用した群で45%,使用しないと27%でした。特に脳転移のある患者さんの1年無増悪生存割合は,ツカチニブで25%で,使用しないと0%という大きな開きがありました。
2020年4月にアメリカのFDAが保険診療で使用することを認めました。
多発脳転移に対する米国脳神経外科学会のガイドライン2019
推奨レベル1が最も信頼度が高いものです。
レベル2:放射線外科治療に全脳照射を加えることはできるが,認知機能の低下を念頭に置くべきである。生存期間の延長は定かではない。
レベル1:2−3個の転移に対して全脳照射をした上に,さらに放射線外科治療を加えることは推奨されない。
レベル3:5つ以上,合計体積7cc以内の多発転移に対して,放射線外科治療は推奨される,全生存期間の改善があ5
レベル3:全身的なガンのコントロールがされていて,多発転移の内のある転移病巣のmass effectのために症状があり,かつ手術合併症がでないと予想されるものに関しては,外科摘出の適応がある
レベル1:全脳照射は行うとすれば,30グレイ10分割で行うべきである
レベル3:より高い線量(20グレイ5分割)は,状態の悪い患者さんにのみ用いるべきである
レベル3:5個以上の転移がある患者さんには,無増悪生存期間を延長するために全脳照射の推奨をすることができる
レベル2:4個以内の多発転移に対しては,全脳照射をせずに放射線外科もしくは外科摘出が考慮されるべきである
レベル2:もし肺小細胞癌 SCLCに予防的な頭蓋照射を行うのであれば,25グレイ10分割が推奨される。この線量でも認知機能低下の可能性があることを説明するべきである。
レベル3:全脳照射を受けている患者さんに,認知機能低下を軽減するためにメマンチンの投与が推奨される
レベル2:4個以内の転移でWHO PSが0から2の状態の良い患者さんには,全脳照射は推奨されない,行っても生存期間の延長がないからである
レベル2:逆に,局所療法(放射線外科あるいは外科摘出)が推奨される
転移性脳腫瘍の薬物治療ガイドライン
Camidge DR, et al: Clinical trial design for systemic agents in patients with brain metastases from solid tumours: a guideline by the Response Assessment in Neuro-Oncology Brain Metastases working group. Lancet Oncol. 2018
伝統的に脳転移を有する患者さんは,新しい薬剤の試験から除外される傾向にありました。しかし,最近では脳転移に薬剤が有効か無効かという判断が加えられるようになりました。
オシメルチニブはある種の肺がんの脳転移に有効
Wu YL: CNS Efficacy of Osimertinib in Patients With T790M-Positive Advanced Non-Small-Cell Lung Cancer: Data From a Randomized Phase III Trial (AURA3). J Clin Oncol. 2018
EGFRチロシンキナーゼ阻害剤(TKI)オシメルチニブが,EGFR変異のある非小細胞肺癌に投与され,脳転移発生の抑制あるいは脳転移の制御に効果がありました。
脳転移は積極的に検査して放射線外科治療で治療するべき
Wolf A, et al.: Toward the complete control of brain metastases using surveillance screening and stereotactic radiosurgery. J Neurosurg. 2018
かなり積極的に脳転移を検査して,小さな転移巣にSRSを行なった報告です。2年制御割合は93%に達しました。6mm以下のものであればほぼ100%局所制御できるとのことです。10mm以下の転移巣であれば生存期間の延長も得られました。
アレクチニブは肺がんの脳転移を予防する
de Castro J, et. al.: CNS efficacy results from the phase III ALUR study of alectinib vs chemotherapy in previously treated ALK1 NSCLC. ESMO, 2017
アレクチニブの投与で非小細胞肺がん (ALK+ NSCLC) の脳転移を予防することができて,脳転移がすでに生じていても60%くらいで進行を抑えることができるとの報告です。
10個の転移があってもSRS 放射線外科治療でよい
Jing Li , et al.: The Diminishing Role of Whole-Brain Radiation Therapy in the Treatment of Brain Metastases. JAMA Oncol, 2017
多発転移で全脳照射が応用されることは少なくなってきました。理由の一つに分子標的治療を含めた化学療法の発達があります。かつて化学療法剤は脳に届かないと考えられていましたが,MRIで見えないような微小転移は化学療法で抑制できるようになってきました。全脳照射の治療期間中に化学療法を中断すると,MRIでみえていない微小脳転移が大きくなったり新たな脳転移が生じます。ですから,脳転移の治療期間中にも化学療法を継続するために,SRSでは治療期間を短くする利点があります。10個までの脳転移をSRSで治療するという段階が終わり,さらに15個までをSRSで治療するという第3相試験が行われているそうです。
3個までの転移であれば SRS 放射線外科治療が良い
Brown PD, et al.: Effect of Radiosurgery Alone vs Radiosurgery With Whole Brain Radiation Therapy on Cognitive Function in Patients With 1 to 3 Brain Metastases: A Randomized Clinical Trial. JAMA 316:401-9, 2016
全脳照射や複数回局所分割照射では,脳転移は抑えられても認知機能低下が生じてしまいます。213名の患者さんが全脳照射とSRS(1回照射,放射線外科治療)で無作為に比較されました。照射後3ヶ月で,全脳照射の患者さんの91.7%で認知機能の低下が生じましたが,SRSでは63.5%でした。QOLもSRSの患者さんの方が優ります。全生存期間に有意な差がないので,脳転移が1個から3個までであればSRSで治療をするべきだと結論しています。
摘出術後の予防照射にも全脳照射は使わない
Post-operative stereotactic radiosurgery a new standard of care for patients with resected brain metastases. ASTRO 2016
手術摘出してもその部位からまた再発してしまうので,摘出腔 surgical cavity への放射線治療が必要です。かつては全脳照射が標準治療でしたが,これも定位照射へと変わりました。メイヨクリニックを中心とした無作為試験で,放射線外科治療のほうが治療後のQOLも認知機能も保たれることを明らかにしました。無増悪生存期間も全脳に劣りません。
手術と定位照射の適応とならない肺がん脳転移に対して全脳照射をするか?
Mulvenna P,: et al. Dexamethasone and supportive care with or without whole brain radiotherapy in treating patients with non-small cell lung cancer with brain metastases unsuitable for resection or stereotactic radiotherapy (QUARTZ): results from a phase 3, non-inferiority, randomized trial. Lancet. 2016
脳転移のある肺がん患者さん538人の無作為試験です。ステロイド dexamethasoneと対症療法 supportive careだけ行うか,全脳照射をするかの比較がされました。元気に生活できる余命 quality-adjusted life-years (QALYs) は,全脳照射を加えても伸びなかったとの結論です。
海馬を避けて全脳照射 IMRT すると記憶力が守れる
Gondi V, et al.: Preservation of memory with conformal avoidance of the hippocampal neural stem-cell compartment during whole-brain radiotherapy for brain metastases (RTOG 0933): a phase II multi-institutional trial. J Clin Oncol 32: 3810-3816, 2015
113人の転移性脳腫瘍の患者さんが30グレイ/10分割の海馬を避けた全脳照射で治療され,治療4ヶ月後に42人で分析が可能でした。通常の全脳照射では,Hopkins Verbal Learning Test-DRで30%ほどの低下が生じるのですが,海馬を照射野から除いたIMRT全脳照射では7%の低下ですんだそうです。またQOLの低下は生じませんでした。海馬の神経細胞は放射線に対して脆弱ですからこの部分を避ける全脳照射で少しでも認知機能を守ろうという新たな方向性です。
開頭手術で摘出すると髄液播種を誘発するか
Ahn JH et al.: Risk for leptomeningeal seeding after resection for brain metastases: implication of tumor location with mode of resection. J Neurosurg 116: 984-993, 2012
韓国からの論文です。242人の転移性脳腫瘍の患者さんが手術を受けています。39人(16%)の患者さんが術後6ヶ月ほど(1-42ヶ月)で髄液播種(脳脊髄液の中に悪性腫瘍細胞がバラまかれている状態)を生じました。
腫瘍を一塊にして摘出した時より,腫瘍を細かく砕いて摘出した場合に髄液播種が多かったとのことです(4.08 hazard rasio, p<0.01)。CUSAという超音波吸引器(腫瘍破砕器)で転移性脳腫瘍を摘出すると髄液播種の確率が高くなります(2.64 hazard rasio, p<0.01)。髄液腔に接した場所にある転移性脳腫瘍を砕いて摘出すると髄液播種の確率が高くなりました。
「解説」結果は当たり前のことなのですが, 超音波吸引器で悪性腫瘍をバラバラに破砕しながら摘出すれば悪性腫瘍の細胞はそこら中にまき散らされて髄液播種するということです。それをしっかりとしたデータで発表したことに価値がある論文です。
放射線外科あるいは開頭摘出術の後で全脳照射を加える意義があるか
Kocher M, et al.: Adjuvant whole-brain radiotherapy versus observation after radiosurgery or surgical resection of one to three cerebral metastases: results of the EORTC 22952-26001 study. J Clin Oncol 29: 134-141, 2011
Soffieti R, et al.: A Europian organization for research and treatment of cancer phase Ⅲ trial of adjuvant whole-brain radiotherapy versus observation in patients with one to three brain metastases from solid tumors after surgical resection or radiotherapy: Quality-of-lice results. J Clin Oncol 31: 65-72, 2011
ヨーロッパ行われた大規模研究です。1個か2個か3個の転移性脳腫瘍が生じた全身状態の良い359人の患者さん(stable systemic disease or asymptomatic primary tumors and PS of 0 to 2)が治療を受けました。PS 2より状態が悪くなるまでの期間は,経過観察群で10ヶ月,全脳照射群で9.5ヶ月でした。全生存期間は,それぞれ10.7ヶ月と10.9ヶ月でした。しかし,転移巣の再燃あるいは新たな転移巣の発生は,全脳照射をしたほうが少なくなり,摘出術と放射線外科治療の場合に再治療の必要が増えます。また脳病変での死亡率は全脳照射をした方が低下します。全脳照射を行なうと身体機能は8週間で,認知機能は12ヶ月で有意に低下しました。
「解説」全脳照射を加えても生存期間は延びませんし,全脳照射をしない方が機能的自立が保てるとの結論です。少数の脳転移の場合で,外科摘出術か放射線外科治療でコントロールできると判断される場合には,全脳照射が標準治療ではなくなったと言える結論です。QOLを考えるなら全脳照射を行なわずに頻回のMRI検査で経過観察をするのも間違いではないとも述べられています。
放射線外科 SRS 後の全脳照射 WBRT は認知機能低下を招くか
Chang EL, et al.: Neurocognition in patients with brain metastases treated with radiosurgery or radiosurgery plus whole-brain irradiation: a randomised controlled trial. Lancet Oncol.10:1037-1044, 2009
3個以下の転移性脳腫瘍の患者さんでの臨床研究です。SRS 放射線外科に全脳照射を加えると,4ヶ月後に学習能力と記憶力が低下するとの結論です。1年後に脳病変が無い割合は,SRS単独では27%に対して,SRSと全脳照射では73% でした。結論として,SRS単独で治療して,MRIで慎重に経過観察をするべきできあるとしています。ここでは,脳病変の再発確率は高いけれども認知機能を守るために全脳照射は初期治療では避けるべきであるとの考えが述べられています。
全脳照射に放射線外科治療を加えることに意義があるか
Andrews DW, et al.: Whole brain radiation therapy with or without stereotactic radiosurgery boost for patients with one to three brain metastases: phase III results of the RTOG 9508 randomised trial. Lancet 363: 1665-1672, 2004
ヨーロッパの55施設で,1個か2個か3個の転移性脳腫瘍が生じた患者さんが全脳照射 WBRT で治療されました。164人は全脳照射のみ,167人はそれに定位放射線治療(1回照射の放射線外科)が加えられました。結果,1個だけ転移のあった患者さんでは全脳照射に放射線外科を加えた時に生存期間の延長がありました (6.5 vs 4.9 months, p=0.0393)。治療後6ヶ月の時点では,放射線外科を加えた患者さんの方がKPS(一般状態)が良かったとのことです。結論として,外科的に切除不能な1個だけの脳転移がある場合には全脳照射に放射線外科を加えるべきだとされました。2個か3個の場合は考えてみる。
「解説」1996年から2001年にかけてなされた大規模研究です。結論は納得なのですが,基本となるのが全例に全脳照射という選択肢から入っていることです。2013年時点ではこの前提となる全脳照射そのものが全例には受け入れられないかもしれません。
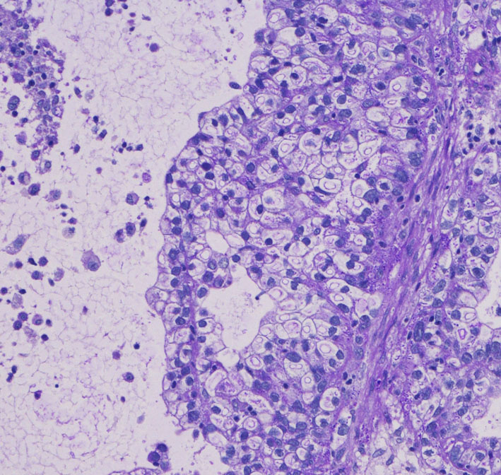
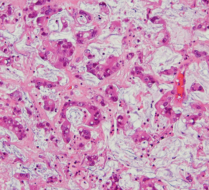
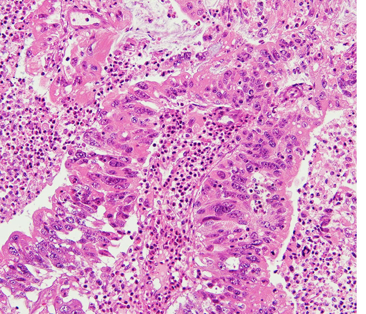
転移性脳腫瘍の手術と病理診断の意義
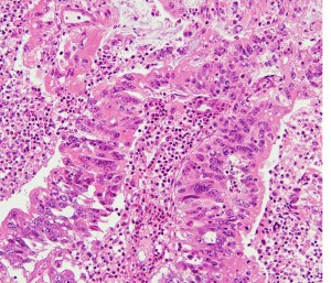
転移性脳腫瘍の摘出標本です。粘液産生もあり中分化型管状腺癌 tublar adenocarcinomaと診断されます。おそらく大腸癌からの転移ということは予想できますが,正確な臓器が解るわけではありません。かつては,病理診断をするために転移性脳腫瘍を生検することなどもありましたが,ペット PETなどの診断方法が発達した近年では,診断のための転移性脳腫瘍の手術がなされることはほとんどありません。















