神経皮膚黒色症と軟膜メラーシス
神経皮膚黒色症 neruocutaneous melanosis, melanocytosis
軟膜メラノーシス leptomeningeal melanosis
軟膜黒色腫 leptomeningeal melanoma
- 生まれつき体の皮膚に大きな黒い色素性母斑(巨大有毛性母斑)がある子どもにできます
- 母斑症の一種である,神経皮膚症候群 neurocutaneous syndromeに分類されます
- 神経皮膚黒色症(神経皮膚黒皮症)は,皮膚の色素性母斑と中枢神経系の軟膜(髄膜)メラノーシス leptomeningeal melanosis を合併します
- 色素細胞 melanocyteの増殖で脳の表面が真っ黒になります
- 稀な先天性疾患で,NRAS (neuroblastoma RAS viral oncogene homologue)の変異によって生じます
- 皮膚の色素性母斑がなくて軟膜メラノーシス leptomeningeal melanosisだけの例もあります
- 髄膜メラノーシスは,MRIのガドリニウム増強像で脳表軟膜の高信号領域として描出されるので,発症以前に診断することが可能です
- MRIをみると悪性脳腫瘍の髄膜播種 meningeal dissemination や癌性髄膜炎 meningeal carcinomatosis と区別がつかないものです
- 家族内発生や遺伝傾向は認められません
- 脳軟膜の広汎なメラノーシスのために,幼小児期にけいれん発作や髄液吸収障害による水頭症で発症する例が多いです
- 皮膚に大型の先天性色素細胞母斑(巨大先天性色素性母斑) large congenital melanocytic nevus を有する患者の約1割に合併します
- 皮膚病変の悪性化が生じるものが2割程です
- 脳軟膜病変においては,ほとんどの症例で小児期に悪性黒色腫 malignant melanoma を発生します
- 残念ながらこの原発性悪性黒色腫は稀すぎて治療法が確立されていません
- 放射線治療や化学療法は無効とされています
- 皮膚悪性黒色腫の脳転移に対しては,開頭手術による摘出,放射外科治療 (SRS),全脳照射,ipilimumab, vemurafenib, dabrafenib, fotemustine (FTM)などの化学療法が用いられていますから,それに準じて治療をするしかないと思います
- けいれん発作以外の中枢神経症状を発症してからの予後は,生存期間中央値が1年以内できわめて不良です
- 従来の治療に抵抗性のものには,BRAF阻害剤のタフィンラー(ダブラフェニブ)とメキニスト(トラメチニブ)の併用投与が保険診療でできます
- BRAF v600遺伝子に変異のある例で,タフィンラーカプセル(ダブラフェニブ,BRAF阻害剤),メキニスト錠(トラメチニブ,MEK阻害剤)を経口投与するものです
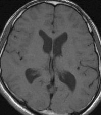
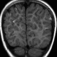
けいれん発作だけで発症した例
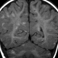
脳表のくも膜下腔がガドリニウム造影剤で白く造影されます。これはくも膜下腔ではなくて軟膜のメラノーシスが増強されているものです。髄液播種とは髄腔の見え方が少し違います。
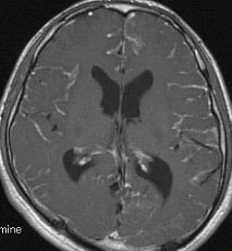
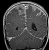
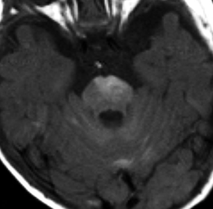
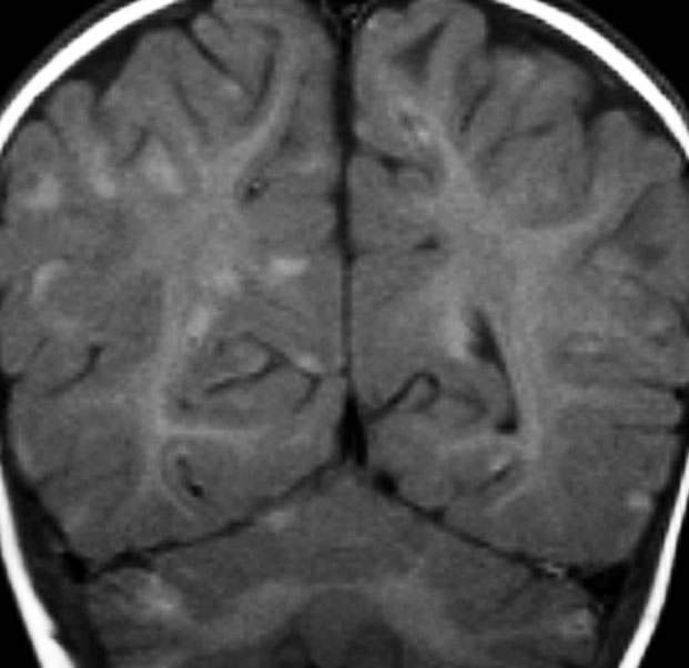
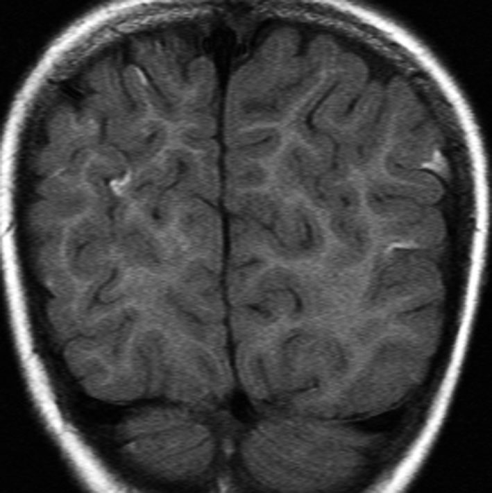
水頭症とけいれん発作で発症した例
年長児例でけいれん発作と水頭症で発症した子どもです。中央の画像に見えるように,脳幹部の周囲が線状に白く増強されています。頭頂部にはゴロンとした腫瘤形成があり,これは悪性黒色腫 メラノーマだと考えられます。
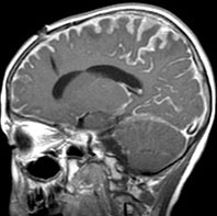
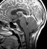
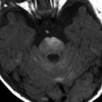
生下時に皮膚の大きな先天性色素細胞母斑があり脳MRIでみられたもの
有毛性母斑があるためにMRIが撮影されました。生後2ヶ月のものです。脳溝に沿うように,灰白質に浸潤するように,散在性の病変がみられます。脳幹部の前面から脳幹内部に浸潤するメラノーシスも特徴的です。
悪性黒色腫で発症した思春期の男児例
前頭葉の悪性黒色腫で亡くなった13歳の男児の例です。30年以上前ですが,ご許可を得て剖検させていただきました。生まれつき背部から臀部,大腿に大きな有毛性色素性母斑(真っ黒な大きなほくろのようなもので長い毛が生えている)がありました。
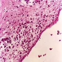
剖検脳です,左上が上面から,右上が脳底部から見た写真です。脳底部の軟膜メラノーシスの方が高度です。下の写真は,小脳から延髄のところで切断したものです,小脳表面の脳溝が黒く染まっていて,脳幹部の周囲にもメラニン細胞の増殖があります。よく見ると小脳深部白質や延髄内部にもメラニン色素がみられます。これは悪性黒色腫ではなく軟膜メラノーシスです。悪性黒色腫は左上の写真の前頭葉の部分に発生しました。
前頭葉にできた悪性黒色腫 malignant melanomaの脳血管撮影像です。腫瘍は強く濃染して大きな導出静脈があります。開頭手術で腫瘍を摘出しようとするとものすごく出血しました。局所放射線治療やダカルバジンの化学療法を行ないましたが全く無効でした。
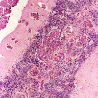
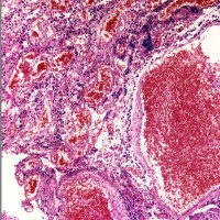
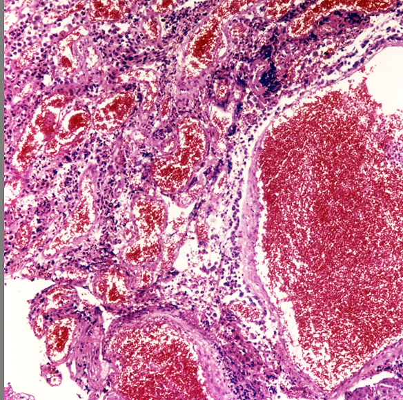
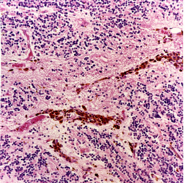
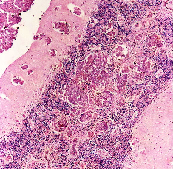
メラノーシスの部分の組織所見です。核の異型性がなくメラニン色素顆粒がみられます。脳底部や小脳の実質内には,散在性にメラニン顆粒を豊富に含む多数の迷入細胞が認められます。くも膜下腔を埋め尽くしたり,軟膜血管に沿って脳の深部に入り込んだり,軟膜から直接脳組織に浸潤したりしています。しかし,脳実質組織構造の乱れはなく,神経機能も侵されないために,局所神経症候を呈することは少ないです。
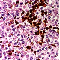
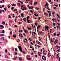
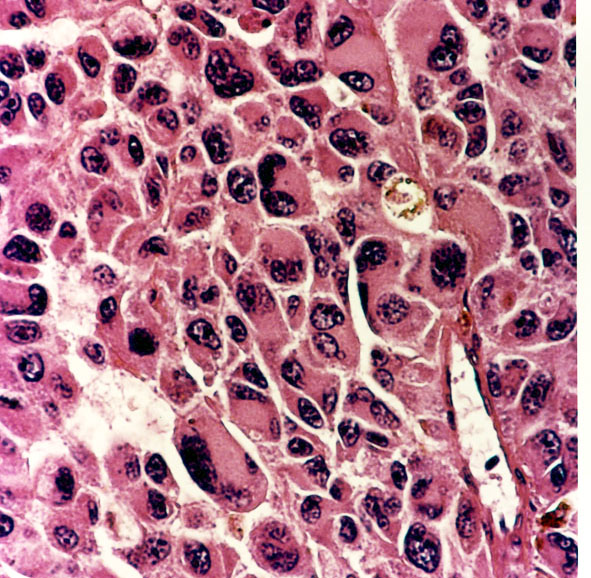
悪性黒色腫(melanoma) の細胞で,多核の細胞や,細胞の大小不同,核の異型性が目立ち悪性腫瘍の所見です。右の画像では大小の血管が腫瘍組織の間に発達しています。非常に血管に富む腫瘍です。
2021 WHO 分類 Melanocytic tumors メラノサイト腫瘍
Diffuse meningeal melanocytic neoplasm
Meningeal melanocytosis and meningeal melanomatosis
Circumscribed meningeal melanocytic neoplasms
Meningeal melanocytoma and meningeal melanomama 髄膜黒色腫

文献情報
タフィンラーとメキニストの併用療法が悪性黒色腫の脳転移に有効
Davies MA: Dabrafenib plus trametinib in patients with BRAFV600-mutant melanoma brain metastases (COMBI-MB): a multicentre, multicohort, open-label, phase 2 trial. Lancet Oncol. 2017
メラノーマ(悪性黒色腫)には,グリオーマでもみられるBRAF v600という遺伝子の変異があります。この遺伝子の働きを特異的に抑える阻害剤,ダブラフェニブとトラメチニブが併用されました。メラノーマの脳転移を有する125人の患者さんに投与が行われ,50-60%ほどの患者さんで脳転移が縮小しました。問題は効果の持続性で,長期の有効性はないようです。




















