脳腫瘍の水頭症の管理
水頭症のあらまし
- 水頭症は脳室に水(髄液)がたまることを言います
- 脳腫瘍は水頭症を合併することがとても多いです
- 脳室の解剖はここをクリック
- 症状は,頭痛,吐き気,嘔吐,認知障害(痴呆),尿失禁(おしっこをもらす),歩行障害(ふらつき歩行),複視(物が2重に見える),意識障害です
- 特に頭痛,吐き気,嘔吐が多いですし,これを頭蓋内圧亢進症状といいます
- とても小さい子供では,頭囲(頭の大きさ)が拡大してくることがあります
- 閉塞性水頭症と交通性水頭症というのがあります
- 脳腫瘍が生じるのは主として閉塞性水頭症です
- 閉塞性水頭症というのは頭の中の髄液の流れが,どこかで詰まってしまったために,水がたまったことを言います
- 交通性水頭症というのは髄液が吸収されなくて起こるものです(髄液吸収障害)
- 交通性水頭症は,合併症としての髄膜炎か,腫瘍細胞が髄液播種を起こしたときになります
- 側脳室の腫瘍,モンロー孔周辺の腫瘍,第3脳室/視床下部の腫瘍,中脳水道周辺の腫瘍,中脳の腫瘍,視床の腫瘍,小脳腫瘍,第4脳室腫瘍,小脳橋角部腫瘍,聴神経腫瘍,神経線維腫症2型と呼ばれるものが,水頭症を生じます
水頭症のMRI画像
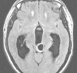
閉塞性水頭症

左は正常な子どもの脳室です。右は第4脳室腫瘍のために軽度の水頭症になった子どもの脳室です。髄液が溜まって側脳室が拡大していますが,このくらいだと緊急に手術をする必要はありません。

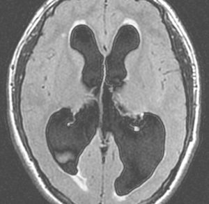
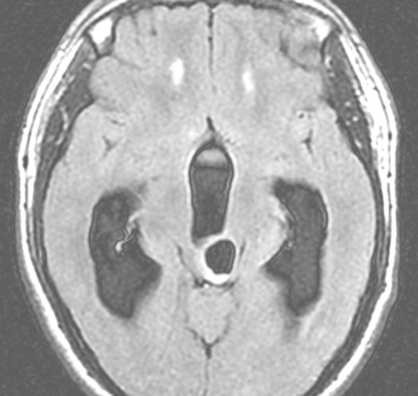
T2強調画像です。拡大した脳室の周囲に白くにじむような髄液のしみ出しがあります。脳室の周囲浮腫が出てくると頭痛や嘔吐が強くなります。

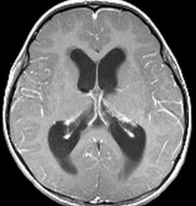
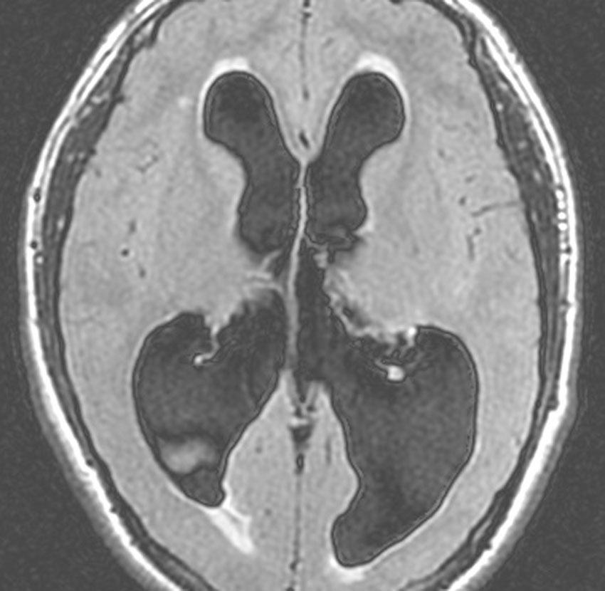
高度の閉塞性水頭症です。このくらいになるといつ意識がなくなっても,呼吸が止まってしまってもおかしくありません。ですから,緊急手術をします。ドレナージ,シャント術,第3脳室開窓術などです。原因となっている脳腫瘍を取り除くことで解決することもあります。
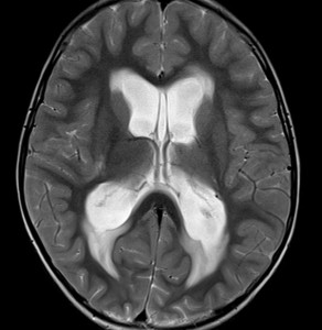
停止性水頭症 arrested hydrocephalus (中脳水道狭窄,中脳水道閉塞)
高度の水頭症です。でもこれは幼少期から10年くらい同じような水頭症で経過していると考えられる例です。右側の画像で中脳視蓋グリオーマがみえます。中脳水道狭窄の緩徐な進行によって生じた停止性水頭症 arrested hydrocephalusです。この時点で普通の大学生で無症状です。水頭症に対してはなにも治療をしないで経過を見ます。停止性水頭症にシャント手術は絶対にしてはいけないし,内視鏡による第3脳室開窓術も思わぬ合併症を招くことがあります。
患者さんにとって大切なこと
頭痛や嘔吐を伴う水頭症があるからといって,あわてて緊急手術を受けてはいけません,原因をよくよく説明していただきます
水頭症の治療法
- 閉塞性水頭症では,水の流れを止めている腫瘍を摘出することで治ります
- 緊急時には,脳室ドレナージという簡単な手術で水を抜きます
- 脳室腹腔短絡術(VPシャント手術)というので頭の中の髄液をお腹(腹腔)に流す治療がもっともよく行われます
- VPシャント手術というのは,頭の脳室からお腹の中まで細いチューブを通す簡単な手術です
- 脳室から胸部の大きな静脈(心房)に髄液を流す手術を,VAシャント術(脳室心房短絡術)といいますが,現在はほとんど行われません
- 腰部の脊柱管から髄液を抜いてお腹の中に流すのをLPシャントといいます
- 第3脳室後半部から第4脳室までの間で詰まってしまった場合には,内視鏡(カメラ)でのぞいて,第3脳室の底部に穴を開けて水のとおりをよくする第3脳室開窓術 ETV というのが一般的になりました
- 第3脳室開窓術は,松果体腫瘍や小脳,第4脳室腫瘍でしばしば行われます
- 悪性腫瘍で,VPシャントをすると悪性細胞が腹腔に転移してしまう(腹腔転移)ことがあります,これは致命的な合併症になりますから,開窓術をします
- もしくは長期留置型の脳室ドレナージ法を用います
- ジャーミノーマではシャント手術をする必要がありません
テント下腫瘍の水頭症の管理(専門家向けの記述です)
小脳腫瘍と第4脳室腫瘍では水頭症で発症することが多いので,症状の改善を得るためには水頭症の治療がまず念頭に来る。しかし,意識障害を伴う急性水頭症例を除けば,嘔吐などの症状があっても閉塞性水頭症の処置は必ずしも急ぐ必要はない。水頭症の治療方針の決定よりも先んじて,まずは慎重に治療計画全体への対策を練ることが肝要であるし,短絡的に緊急開頭手術あるいはシャント術を計画してはならない。初期治療時には6つの対処法がある。
I: 後頭下開頭による腫瘍摘出術:腫瘍を摘出することによって第4脳室の閉塞部位を開く一般的な方法である。同時に確定病理診断が得られる利点がある。開頭術を行うならば,最低でも水頭症を改善するだけの腫瘍摘出をしなければならない。
II:神経内視鏡による第3脳室底開窓術:これは1歳未満では難しいかもしれないが,短時間で水頭症を改善するのには簡便な方法である。内視鏡の安全な挿入を許すのに十分な第3脳室の拡大が条件となる。拡大した側脳室から第3脳室へ内視鏡を挿入するが,中脳水道には入れないので生検術は同時にはできない。
III:外ドレナージ術(頭皮下):急性水頭症を改善して根治的な治療に備える場合に行う緊急避難的な処置である。穿頭術のみでできるので局所麻酔下の手術が可能である。シリコン性のドレナージチューブを頭皮下から出すが,感染を避けるためには2週間の留置が限度であろう。
IV:長期留置型外ドレナージ術(長いトンネルをつくるもの,ここをクリックすると手術手技が解説してあります):水頭症があるまま放射線化学療法を長期間継続する場合に用いる。シャントシステムを用いて,チューブは皮下を通して,胸部あるいは腹部から外ドレナージとする。この長い外ドレナージは感染に遭遇することなく数ヶ月留置することができるのが大きな利点である。1日髄液排出量の不安定さはあるが髄液排出システムにアクティバルブを用いれば行動制限はない。 胸部あるいは腹部の導出部の皮下でチューブにダクロンフェルトを巻いて,ちょうどブロビアックカテーテルのような感染ブロックを作っておくと良い。
V:術前補助療法:髄芽腫などの悪性腫瘍を疑った場合に,低用量化学療法と低線量照射を先行して腫瘍を縮小させ水頭症を改善する方法であり,筆者は応用している。腫瘍縮小による水頭症の改善があっても病理標本が得られないのが欠点であるが,悪性度の高い細胞に放射線化学療法を先に加えることによって,理論的には摘出手術による髄腔内播種誘発を防ぐこともできる。
VI:脳室腹腔短絡術(いわゆるシャント術):おそらく最後に選択されるべき手段であろう。もし腫瘍が播種性格を有する悪性腫瘍であれば,このシャントを設置することによって致命的な腹腔内転移を招く可能性がある。腹腔内転移が生ずれば治療の手段はないであろうし終末期管理はつらいものとなる。さらに,シャント留置下での化学療法は感染を誘発しやすいし,シャントを長期留置することで一生のシャント依存症になる可能性を含んでいる。
悪性腫瘍の初期治療で水頭症に対する処置に失敗して補助療法の遅れを来すことがあるが,これは治療の有効性を下げ無用の腫瘍増大増悪を招くので,水頭症の管理の成否は悪性腫瘍の治癒率を大きく変えると考えるべきである。
腫瘍が治癒した後に,第4脳室の出口(中脳水道やマジャンディー孔とルシュカ孔の周囲)に癒着性閉塞を生じて水頭症が改善しないことがある。この場合,髄液吸収障害がなければ第3脳室開窓術を行ってシャントを抜去する。前述の内視鏡による方法と前頭開頭術で灰白終板 lamina terminalisを穿破する2つの方法がある。slit ventricleとなり第3脳室の拡大がない場合は後者を選択する。
脳室内脈絡叢です(脳の静脈と一緒に描出しています)
正面から脈絡叢を見たところと左横から見たところ
- 髄液は脈絡叢(赤く塗ったところ)で作られます。
- 脈絡叢は側脳室と第3脳室と第4脳室にあります。下の方に離れているのが第4脳室のものです。
- 髄液 CSF cerebrospinal fluid は,くも膜顆粒 arachnoid granule から吸収されて,太い静脈に入り,心臓まで帰って行きます
脈絡叢のビデオ2分(ここをクリック)
形や色や脳室壁への付着,動静脈の流入出など詳しくわかります)







