混合性胚細胞腫瘍 mixed germ cell tumor
混合性胚細胞腫瘍という病理診断名は治療法選択に使わない
理由:成熟奇形腫とジャーミノーマの混合型はほとんど治療合併症を生じることなく治癒します。一方で,胎児性がんと卵黄嚢腫と未熟奇形腫がまじった混合型はほとんど助かりません。両方とも混合性胚細胞腫瘍 mixed germ cell tumor という病理診断名ですが,同じ治療はできないからです。
- どのような腫瘍が混じっているか,病理診断が最も大切です
- 腫瘍を全摘出すれば病理診断は確実なのですが,現実的には生検術がほとんどです
- 生検術ですと腫瘍のごく微小な組織しか取れないので,病理診断をしばしば誤ります
- 混じっているものの中で最も悪性度の高い病理所見にあわせて治療計画を立てます
- ジャーミノーマと未熟奇形腫の混合型がもっとも多いです
成熟奇形腫とジャーミノーマの混合型 teratoma and germinoma
- CTとMRI画像をみると奇形腫がまず疑われます
- 腫瘍マーカーは,HCG-betaかAFPがごく軽度に上昇しているか感知できないレベルです
- 病理診断ができていないと治療方針が決まりませんから,生検手術も必要となります
- 生検術をしますと,ジャーミノーマの部分は採取しやすいのですが,成熟奇形腫の部分は採取しづらいので,”ジャーミノーマ”という病理確定診断がついてしまいます
- この時点で,MRI画像診断と病理診断の矛盾が生じます
- 成熟奇形腫には,化学療法も放射線治療も効きません
- 成熟奇形腫は,開頭手術で完全摘出できないと完治はしません
- ジャーミノーマは,化学療法と低線量の全脳室照射で治します
- これらを考え合わせると,画像診断して,生検手術をして,さらに開頭手術と化学療法と放射線治療(24−25.2グレイ,全脳室照射)です
- 侵襲的な治療をしなくてはならないかどうかをよくよく考えます
- 米国ではこのタイプをnon-germinomatous germ cell tumorとして,卵黄嚢腫と同じ治療がされるかもしれませんが,それどう考えてもおかしいです,over treatmentです
未熟奇形腫とジャーミノーマの混合型 immature teratoma and germinoma
- 成熟奇形腫に比べてやっかいなものです
- 未熟奇形腫には悪性度の低いものから,播種性格をもつ悪性度の高いものまであります
- ICE化学療法,全脳室照射,開頭手術による摘出です
- 放射線治療線量は45グレイから54グレイ程度が必要となります
- 腫瘍摘出で手術誘発播種を招くと治療の方法がなくなります
AFPが非常に高い奇形腫を含む混合性胚細胞腫瘍は
卵黄嚢のう腫 yolk sac tumor のところを読んでください
類皮のう胞の一部にジャーミノーマを混じる混合性胚細胞腫瘍
(ここをクリック)
神経下垂体ジャーミノーマと大脳基底核成熟奇形腫
neurophypophyseal germinoma with basal ganglia mature teratoma

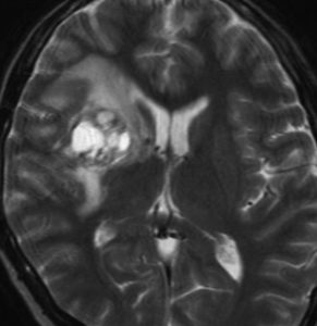
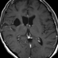
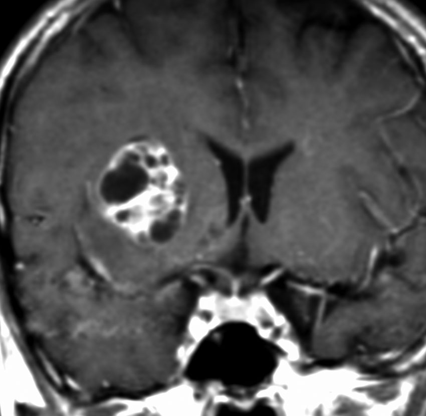
12歳の男児が尿崩症で発症しましたが,7ヶ月間診断がつかずに低ナトリウム血症による全身痙攣を生じました。下垂体と右被殻の2箇所に腫瘍があり,AFP 33ng/ml, HCG-beta 1.0mIUと上昇がみられました。神経下垂体の生検術でgerminomaの診断であったために化学療法が開始されました。CPA, VP-16, CDDP, VCRの併用化学療法に,MTXの髄腔内注入が2回でした。なぜこのような乱暴な化学療法を行なったのかは不明です。当然ですが,下垂体のgerminomaは左側のように消失しました。

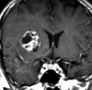
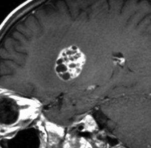
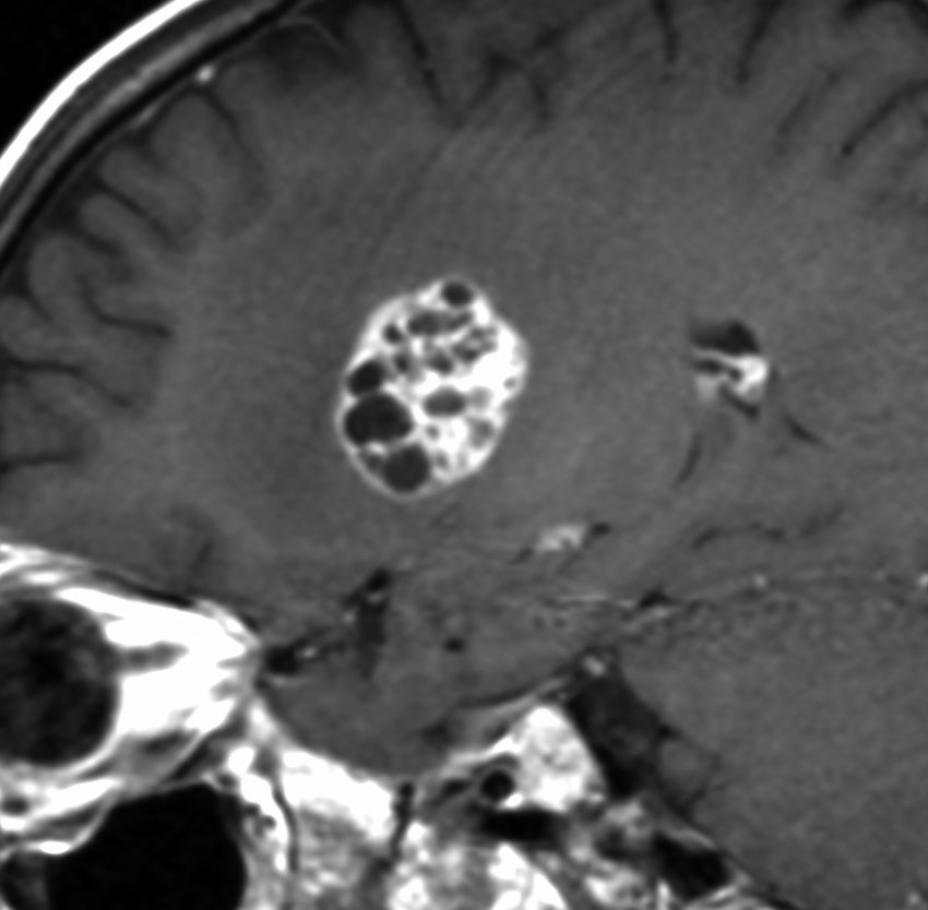
でも化学療法中に,右大脳基底核にあった腫瘍が増大して,左のMRIのように脳浮腫も悪化しました。この時点で患者さんが転院してきました。腫瘍マーカーは陰転していて,どう見ても奇形腫が化学療法によるparadoxical responseを生じたものでした。ジャーミノーマが消えて奇形腫だけ増大するという現象です。

まず手術で全摘出して,成熟期奇形腫の病理診断を確定しました。それからICE化学療法を2コース加えて,脳脊髄照射 24Gy12分割を行いました。
大脳基底核に胚細胞腫瘍がある場合には全脳照射が基本ですが,なぜ脊髄照射を加えたかということには絶対の根拠はありません。治療前のAFPがやや高く若干の播種性格を有する未熟奇形腫が手術前に消失していたかもしれないという可能性を考えたことと,発症が12歳ですから脊髄照射を24グレイ加えても重篤な遅発性障害が生じないと判断したからです。

