るい表皮のう胞にジャーミノーマを混じる胚細胞腫瘍
10歳男児で,ものが2重に見える(複視)という中脳視蓋の圧迫症状で発症しました。血清のAFPは1.3 ng/ml, HCG-beta < 0.1mIU,髄液 HCG-beta < 0.1mIUとマーカーは検出されませんでした。
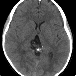
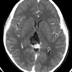
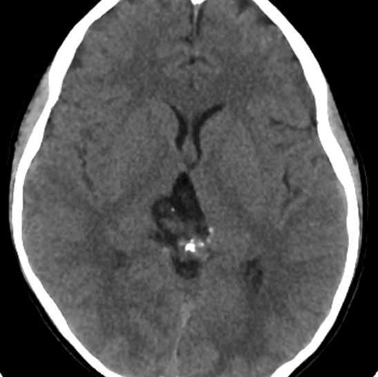
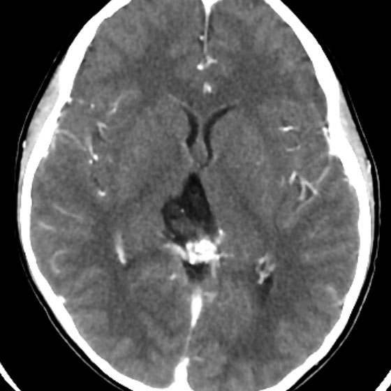
CTです
左のCTでは低密度の松果体腫瘍とまばらな石灰化がみられます。右の造影CTでは,腫瘍のごく一部が増強されます。 この時点で,低吸収で石灰化があるので類皮のう胞 dermoid cystを強く疑います。dermoid cystを主体とする混合性胚細胞腫瘍 mixed germ cell tumorも候補です。あるとすれば,germinomaかteratomaです。
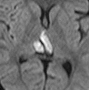
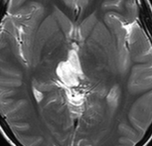
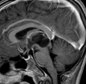
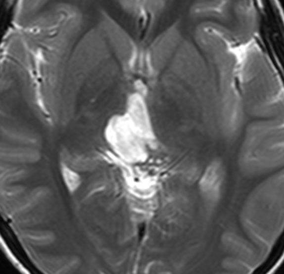
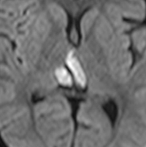
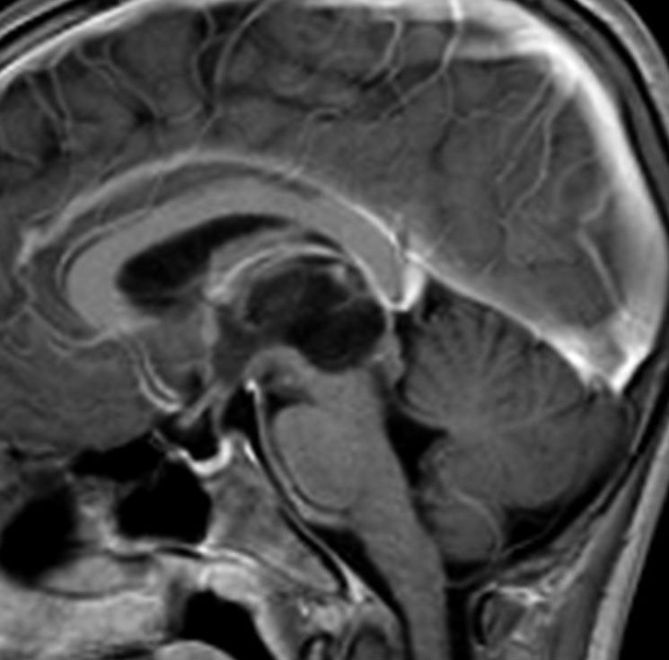
MRIです
左の拡散強調画像で高信号となり類表皮のう胞 epidermoid cyst あるいは類皮のう胞 dermoid cyst の診断です。しかし右のT2強調画像では左後方に違う信号の腫瘍塊があります。
ガドリニウム増強像です。類皮のう胞(成熟奇形腫 mature teratoma)との混合性胚細胞腫瘍を強く疑う所見です。
手術治療方針
まず類皮のう胞(成熟奇形腫)には,放射線治療も化学療法も効きませんから,手術で全摘出しないと治らないので,類皮のう胞の部分は全摘出できないと,残存腫瘍は増大して,手術を繰り返すことにもなり,結果的にこの子は命を失う可能性が高いです。
両側後頭開頭をして,静脈洞交会を露出し,硬膜を後頭極が充分みえるまで開いて,右後頭葉を牽引してテントに至り,テントを切開する通常のoccipital interhemispheric transtentorial approachで摘出しました。dermoid cystは脳組織に強く癒着するために,右中脳被蓋に潜り込んでいる腫瘍は慎重に摘出しました。特に,複視を生じないために後交連の温存に努力しています。
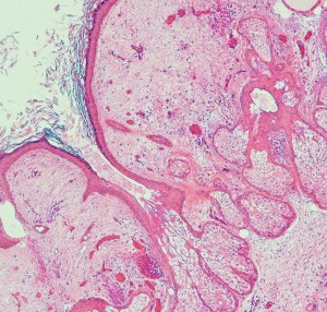
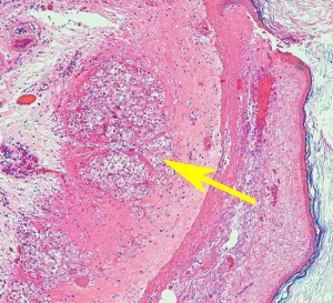
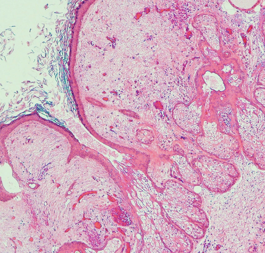
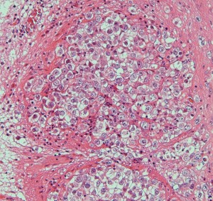
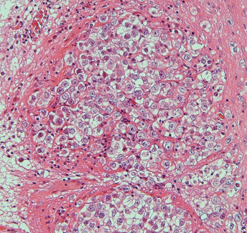
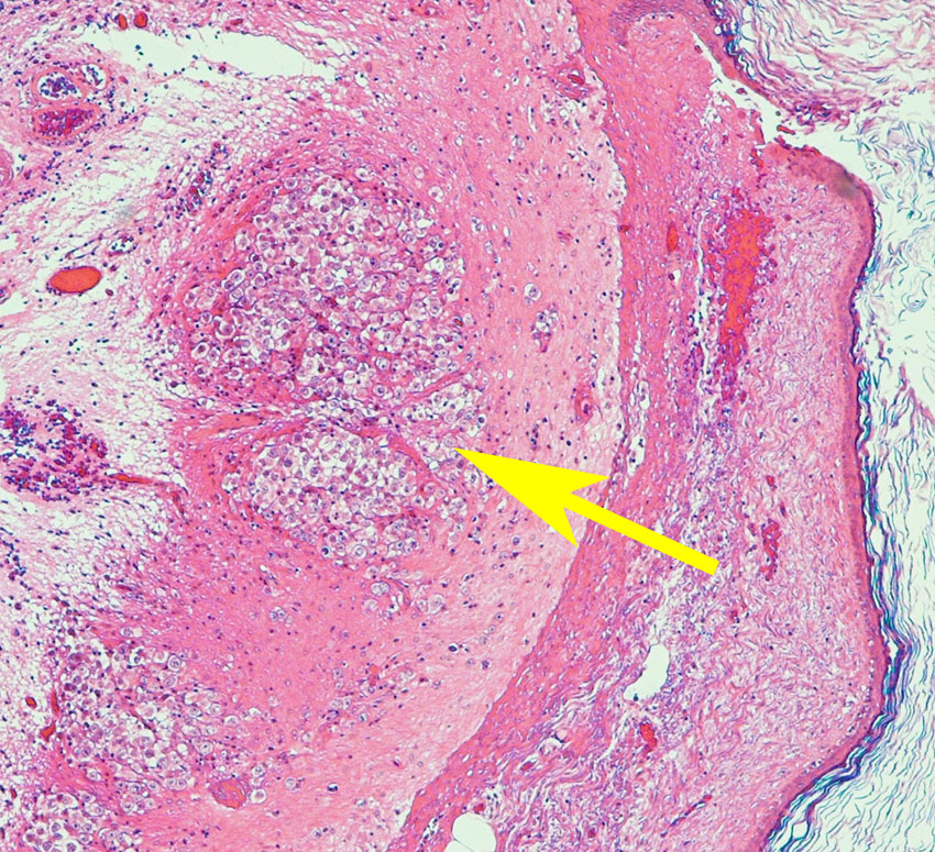
病理所見です
epidermisにhair follicle, sebaseous glandを伴うdermoid cyst 類皮のう胞の診断です。上皮に接する脳組織(これは正常脳組織ではなくて成熟奇形腫の内部にできた脳組織)の内部にgerm cell nest(矢印)が認められました(左下拡大)。mature teratomaにgerminomaが混在するmixed germ cell tumor と診断されました。
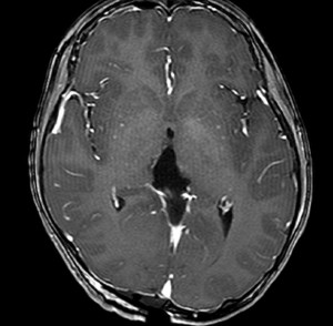
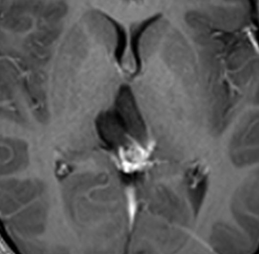
手術後のMRI
手術後にガドリニウム増強MRIで脳脊髄播種がないかどうかの確認をしました。腫瘍は全摘出できていて,複視や視野障害などもなく無症状です。
術後放射線化学療法の方針
ICE化学療法 (IFO/CDDP/VP-16)を3コースした後に,全脳室照射 whole ventricle radiation therapy 25.2 Gy/14分割を加えました。根拠は,成熟奇形腫 mature teratomaは手術全摘出で治癒すること。残るgerminomaにはこの治療で十分に治癒が期待されるからです。
この例の難しいところ
まずdermoid cystは,周囲の神経組織に癒着し,のう胞壁は鶏皮のように硬いこともあり摘出は難しく,かつのう胞壁を全摘出しなければ治らないという点です。松果体部ではなく再手術が可能な部位であれば良いのですが,この部位においては一度の開頭手術でのう胞壁を完全摘出することが求められます。再発を繰り返せば難治性水頭症にもなり,10年生存は難しいです。
この例に関しては,混合性胚細胞腫瘍といえども全摘出して病理診断を精密にしています。ですから,他の悪性胚細胞腫瘍成分の混在の可能性はほとんどないと言えます。この様なmixed germ cell tumorをintermediate prognostic groupとして一括りにして,過度の化学療法や脳脊髄照射や全脳室照射に局所追加照射 local boostを加えては,overtreatmentとなるでしょう。
参考文献
- Sawamura Y: Strategy of combined treatment of germ cell tumors. Prog Neurol Surg 23:86-95, 2009
- Sawamura Y, et al.: Teratomas of the central nervous system: treatment considerations based on 34 cases. J Neurosurg 89: 728-37, 1998










