上衣下腫 subependymoma
- 良性の腫瘍で,たまたまCTとかMRIで見つかってしまうものです
- 小さい子どもから老人まで全ての年代でみるかることがあります
- 脳室という脳の中の部屋の壁にできます
- 第4脳室と側脳室にみつかります
- とてもゆっくり大きくなるか,もしくは全く大きくなりません
- 多くの場合,大きさはは2cmを越えません
- それより大きなものはまず上衣腫か中枢性神経細胞腫を考えます
- 症状を出すのはとてもまれでおとなしいかわいい腫瘍です
- 症状を出すのは中高年の男性に多いです
- 症状は,モンロー孔か第4脳室が腫瘍で詰まることによって水頭症が生じるために出ます
- 閉塞性水頭症と言います
- 頭痛ですが慢性のものもひどくなって嘔吐するタイプもあります
- 腫瘍内出血で急激に高度の頭痛になるものもあるのですが,そんなのはすごくまれです
- 急変することはないので,腫瘍が大きくなってもあわててはいけません
- 水頭症になっていると言われても慌てないようにしましょう
- 症状があるものや経過を見ていて確実に大きくなってくるものは開頭手術で摘出します
- 手術でとれば治ってしまう良性腫瘍です
- でも,脳室内腫瘍なので手術は難しいと考えなければなりません
- 側脳室のものの手術は経脳梁法でなく,経皮質法でします
- 第4脳室のものは床の脳幹部とのところは残して部分摘出にすることが多いです
- 上衣下腫は脳にベッタリくっつくので,脳幹背部の損傷や,脳弓・前交連の損傷が生じると重篤な手術後遺症が残ります
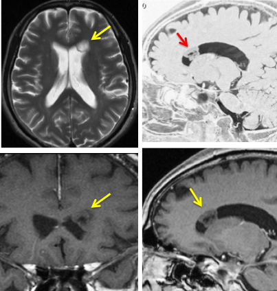
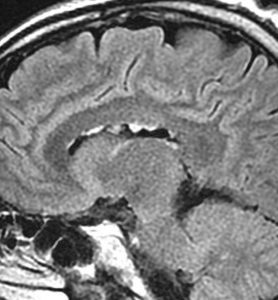
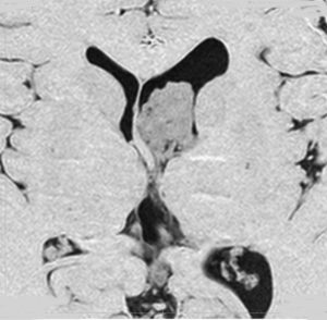
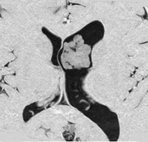
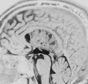
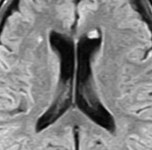
よくみつかる典型的な例です

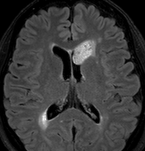
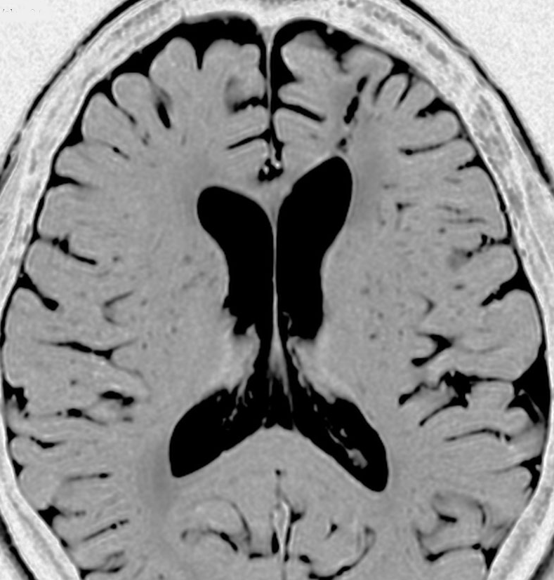
中年男性に偶然発見された15mmくらいの上衣下腫です。側脳室前角の壁にピッタリくっつくようにキノコのように生えています。下の2枚はガドリニウム造影ですが増強されないのが特徴です。この点で中枢性神経細胞腫 central neurocytomaと区別できます。中枢性神経細胞腫はゆっくりですが大きくなる腫瘍です。でもこのような上衣下腫は大きくなるのはとてもまれです。小さいし水頭症にもならないので,なにも治療しないでほっておきます。間違っても開頭手術などしません。
上衣系腫瘍 ependymal tumors のWHO分類 ( 2007年)
Subependymoma (WHO grade I)
Myxopapillary ependymoma (WHO grade I)
Ependymomas (cellular, papillary, clear cell, tanycytic) (WHO grade II)
Anaplastic ependymoma (WHO grade III)
subependymomaは WHO grade Iとされる極めて良性の腫瘍で,過誤腫 hamartomaに近いものです。slowly growing tumorと表現されますが実際には増大しないものも多く,MIB-1は1%以下です。
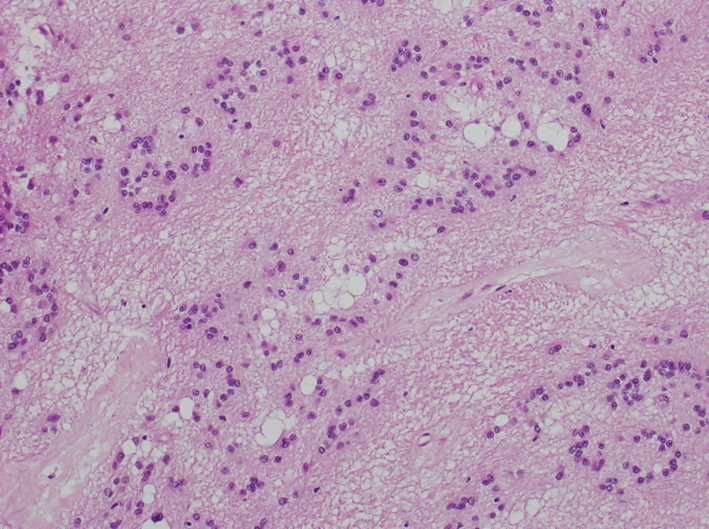
病理所見では,腫瘍細胞核がclusterを作って集蔟するのが特徴的な像です。無核野には豊富な線維性基質がありmicrocystic changeがみらます。境界明瞭な結節性腫瘍であり,まれに腫瘍内小出血や石灰化が認められます。
巨大な上衣下腫 giant subependymoma というものはあるか?
3cmを越え,部分的にガドリニウム増強される大きな上衣下腫の報告が散見されます。しかし,この様な例のほとんどが neoplasm with a mixed ependymoma and subependymomaと呼ばれるものです。つまり,上衣下腫 subependymomaではなく,上衣腫 ependymoma (WHO grades II-III)の臨床経過をたどります。従って,巨大な上衣下腫と病理診断されたら悪性腫瘍としての対処と治療選択が必要となるかもしれません。でも一方で,下のほうに記述したような純粋にグレード1の良性のものもあります。
畑中佳奈子の症例と病理教室 subependymoma
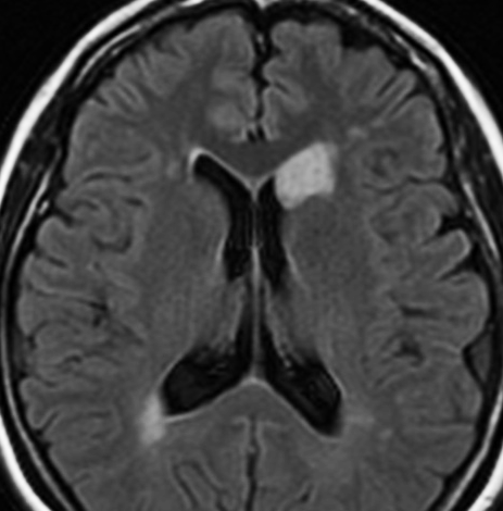
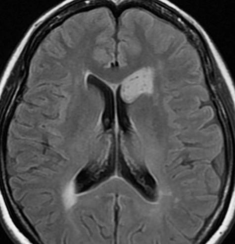
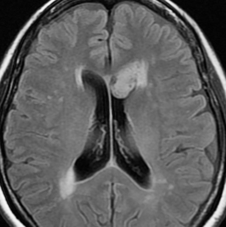
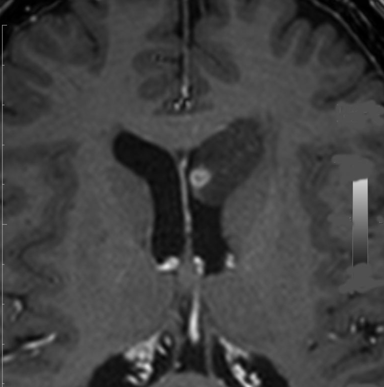
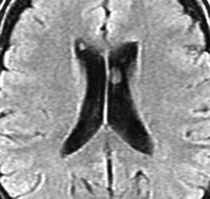
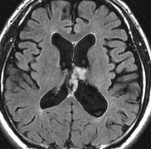
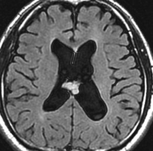
無症状で偶然発見された47歳女性の側脳室内上衣下腫




無症候で偶然発見された左側脳室前角尾状核頭に接したsubependymoma。定位脳生検で病理診断を得たましたが,3年間の観察で徐々に増大しました。左上が発見時,1年後(右上),2年後(左下),3年後(右下)


CTではやや低吸収,T1ガドリニウムでは低信号となりガドリニウム増強されません。小さな上衣下腫の場合は等吸収あるいは等信号のものも多いです。小さく点状に造影されている部分があるがこれは定位脳手術痕(track)です。


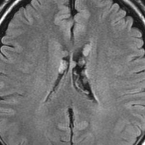
左中前頭回からの経皮室法 left middle frontal gyrus transcortical approach で全摘出できました(右図)。

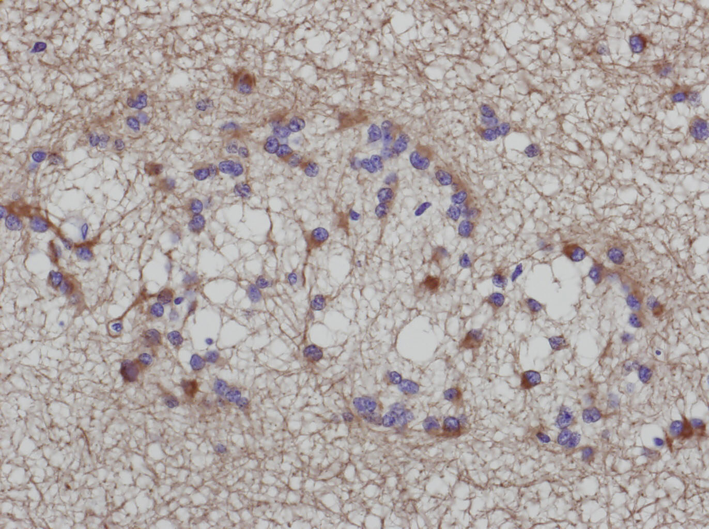
20x: 小型、円形の核を有する腫瘍細胞が集簇する密な部分と、グリア線維基質
が多く腫瘍細胞の核が少ない疎な部分が見られ、微小嚢胞変性も伴います

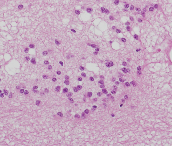
40x: 腫瘍細胞の核は円形で、核異型は乏しく、単調で、核分裂像は見られません
(MIB-1 indexは1%未満)
多発性のもの
45歳で偶然に発見されたものです。上衣下腫の多発例というより,T1は等信号でガドリニウム増強されません。軽症の結節性硬化症 tubrous sclerosis にみられる多発性上衣下結節 と診断したほうがいいでしょう。
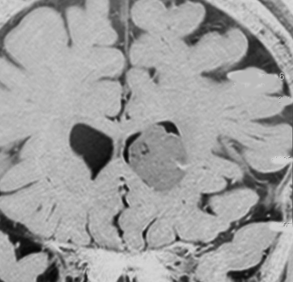
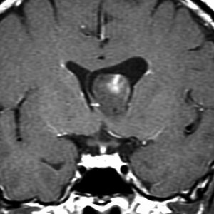
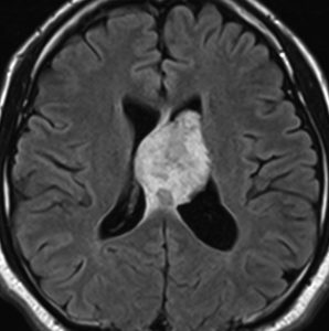
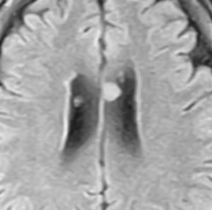
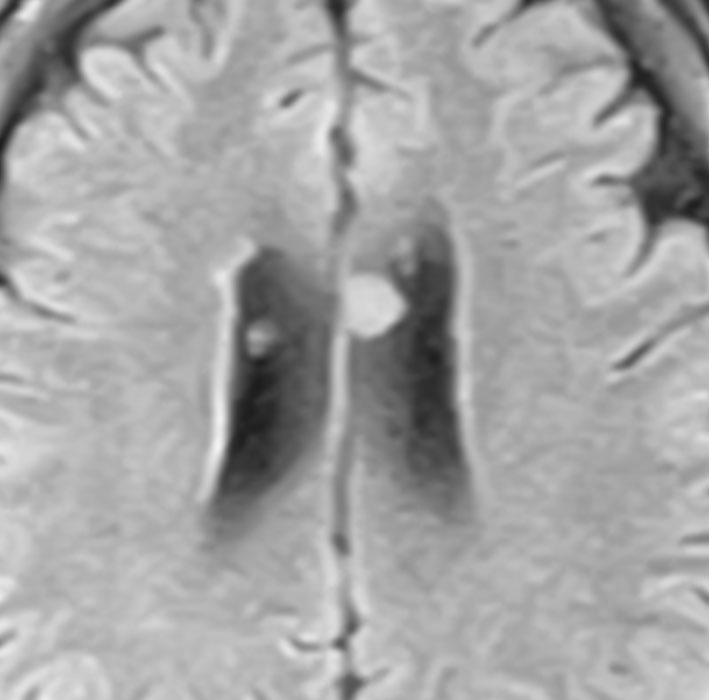
片側性水頭症

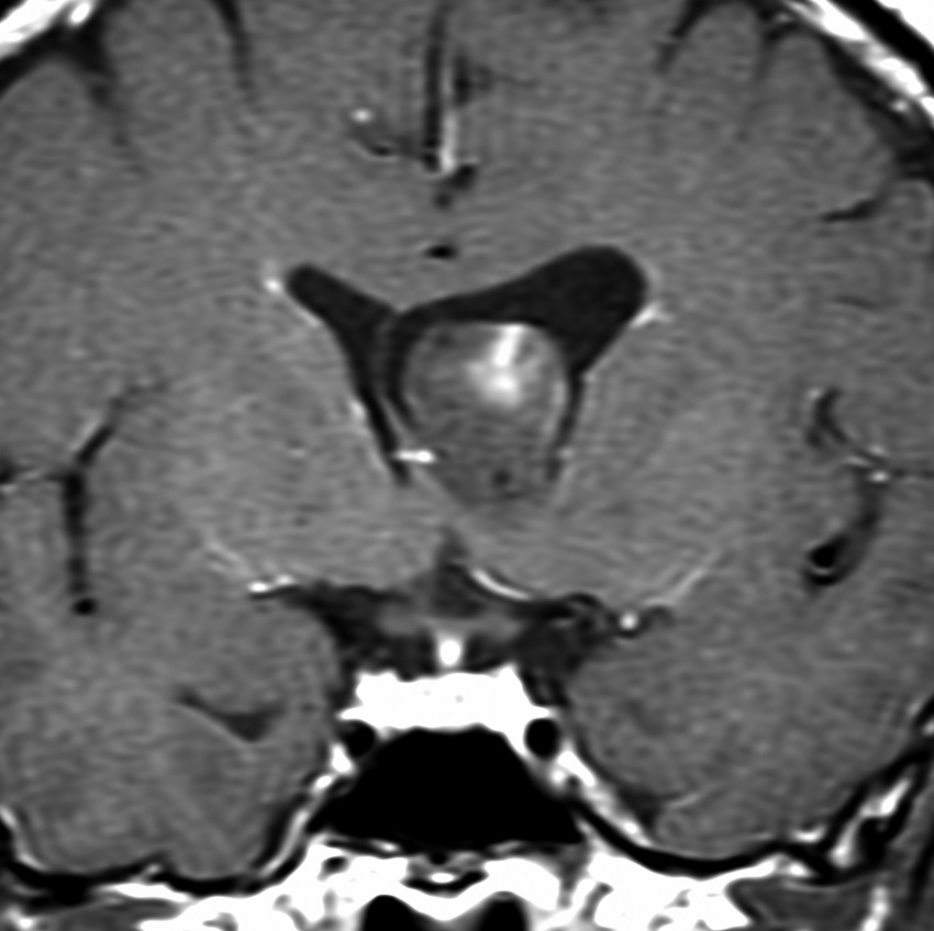
左尾状核から発生したものです。モンロー孔を閉塞して,片側性水頭症となっています。腫瘍がトリュフみたいにゴツゴツしているのも特徴です。
下のガドリニウム増強T1では,部分的に増強されます。
もちろん無症状ですが,年齢が若かったので全摘出しました。
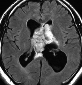
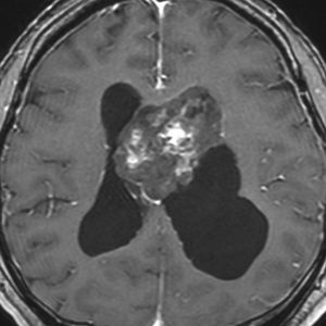
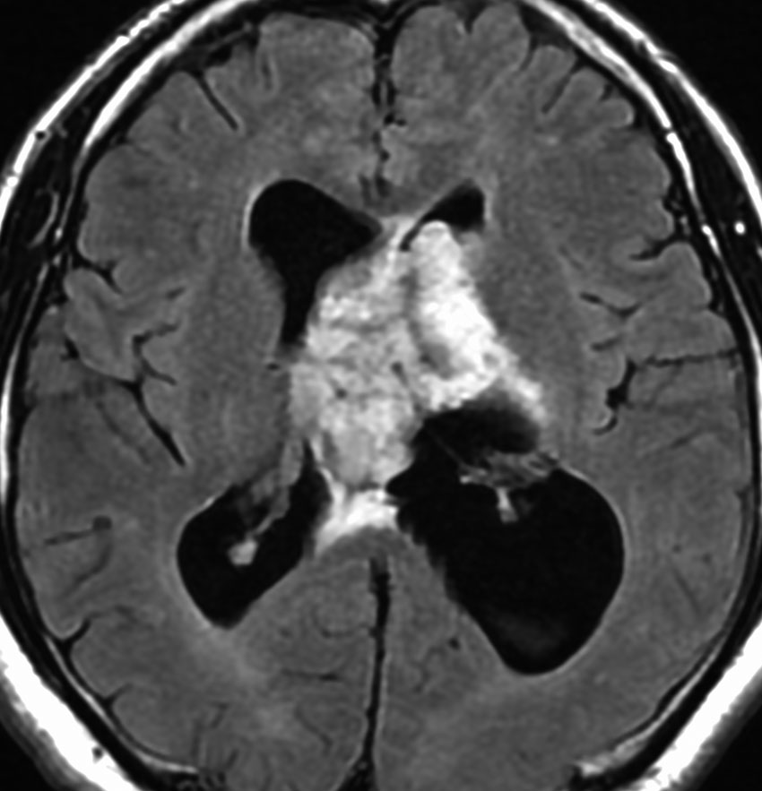
巨大な上衣下腫,でも良性のもの
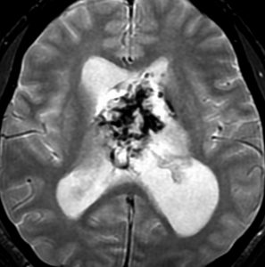
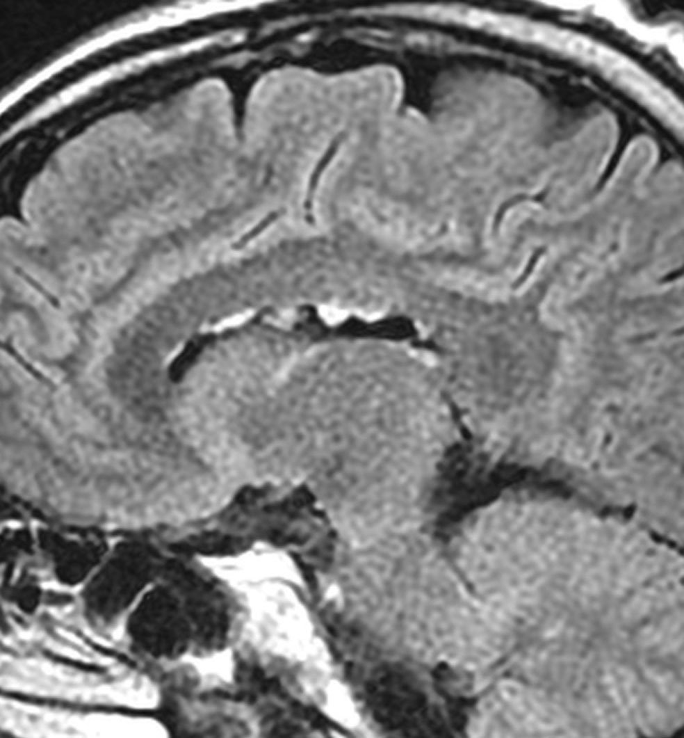
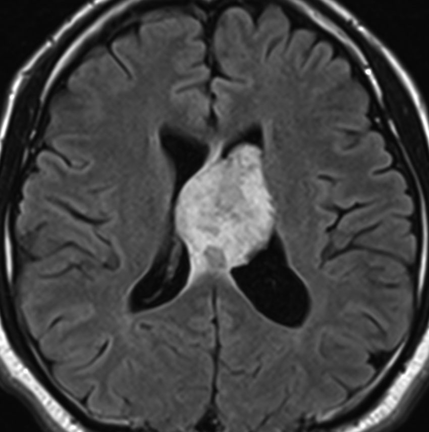
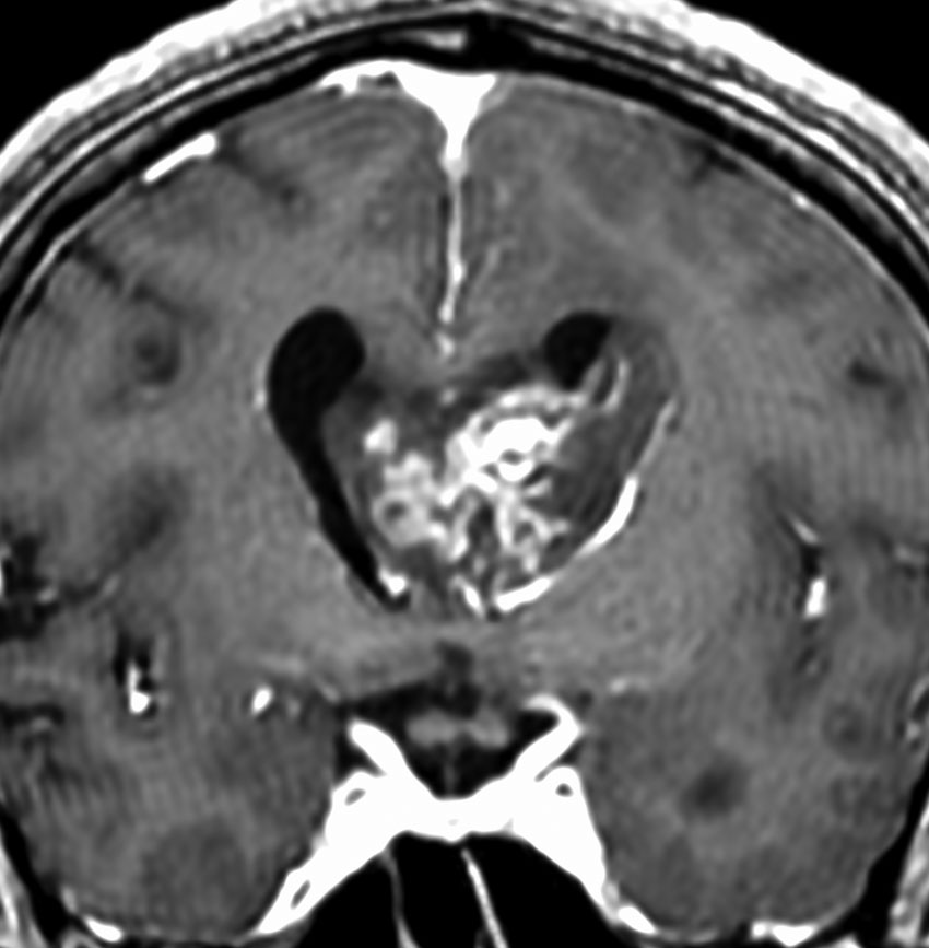
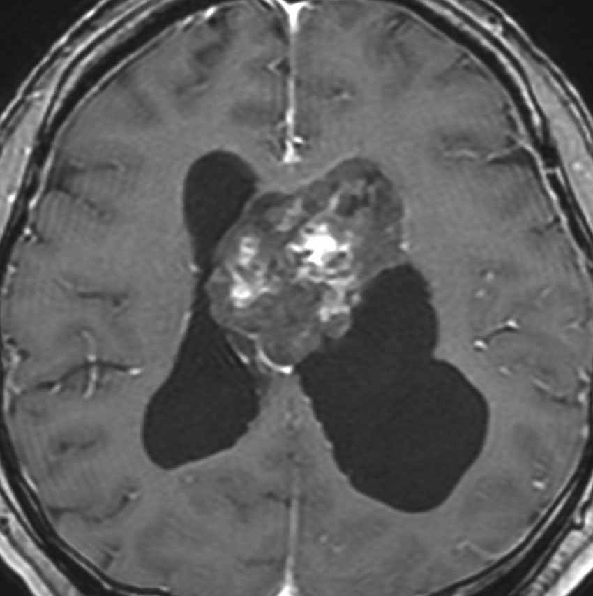
52歳の男性で,2008年に脳ドックで見つかって無症状でした。中枢性神経細胞種 central neurocytomaを疑いましたが,上衣下腫 subependymomaはまったく考慮に入れませんでした。壮年男性でしたから経過観察しました。右側は2019年,11年後のものです。徐々に増大して水頭症になり歩行障害がでてきました。

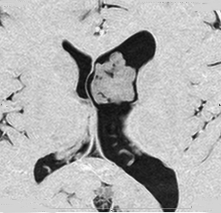
手術前の画像です。血管が豊富で大きな導出静脈がみられ,腫瘍内出血もあります。ガドリニウムでは部分的に増強されます。CISS/FIESTAの画像では,透明中核から発生したようにみえて,脳浸潤は全くありません。脳弓は腫瘍の底面にありますが,もちろん境界はっきりしません。これらもcentral neurocytomaの画像所見として捉えられるものです。
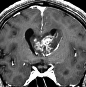
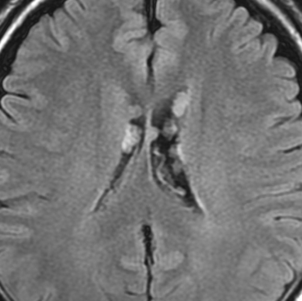
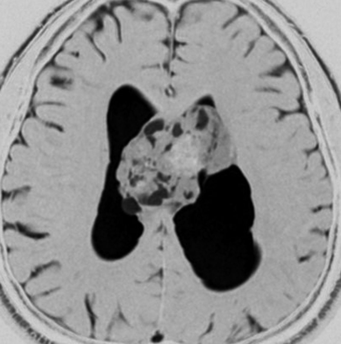
transcallosal approach 経脳梁法で亜然摘出しました。底面には脳弓があって剥離できないから全摘出はできません。病理所見は,のう胞形成を伴う線維性基質の中に楕円形の細胞が索状または小巣状に増生するものでsubependymomaと診断されました。異型は軽度で,核分裂像はなく,MIB-1染色率は1%以下のWHO grade Iの所見。EMAは細胞質にdot likeに陽性でしたがわずかであり,ependymomaとの合併腫瘍の診断には至りませんでした。
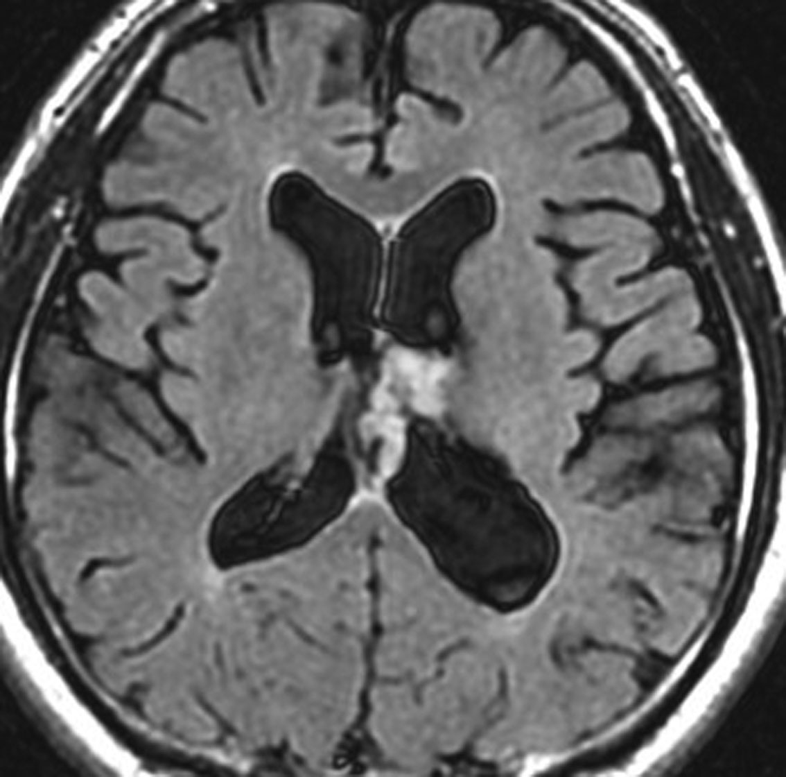
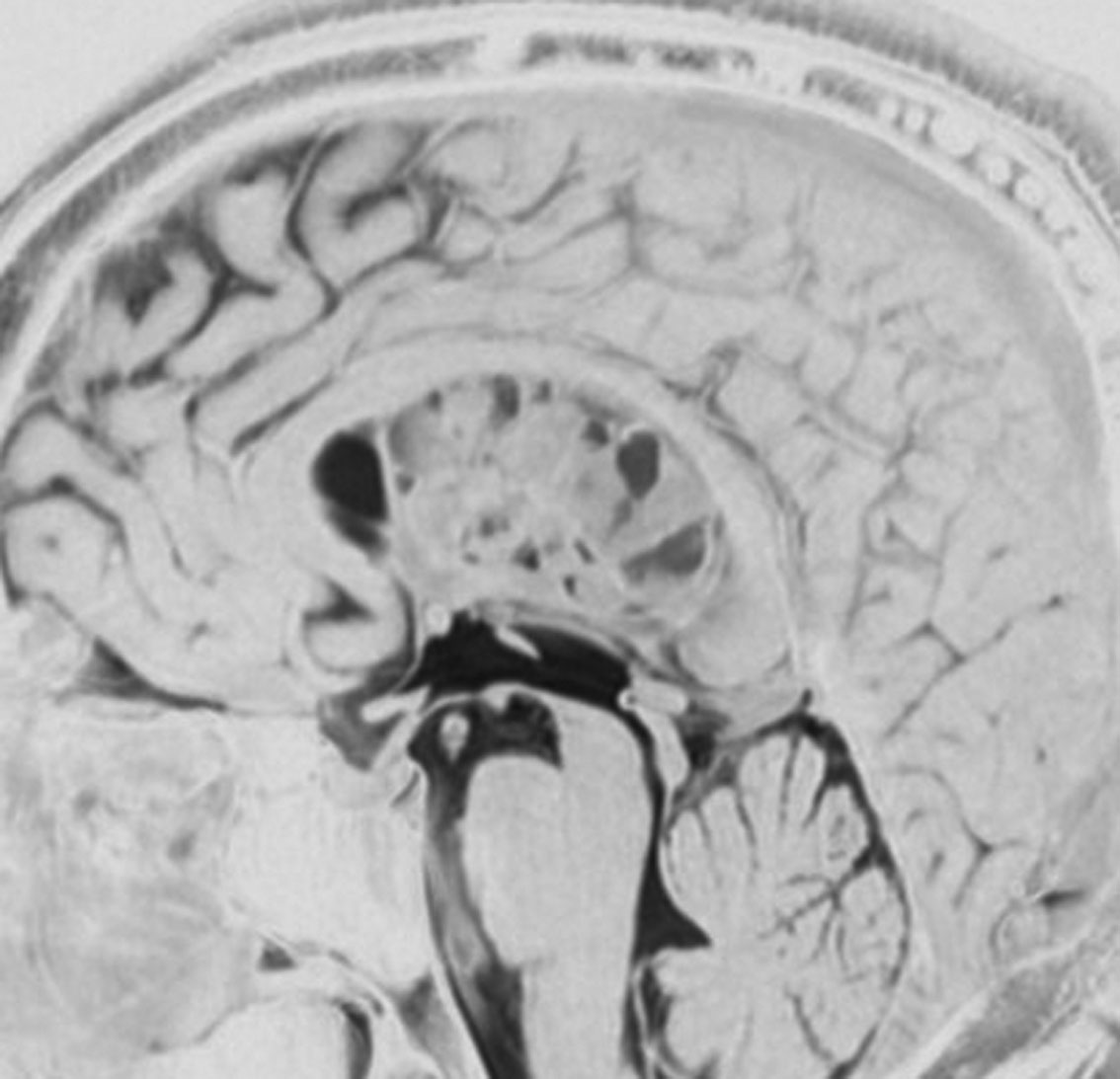
術後1年の画像です。無症状で復職できています。
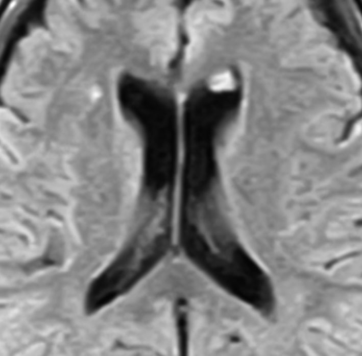
10年観察してもあまり変わらない,数が増えることがある

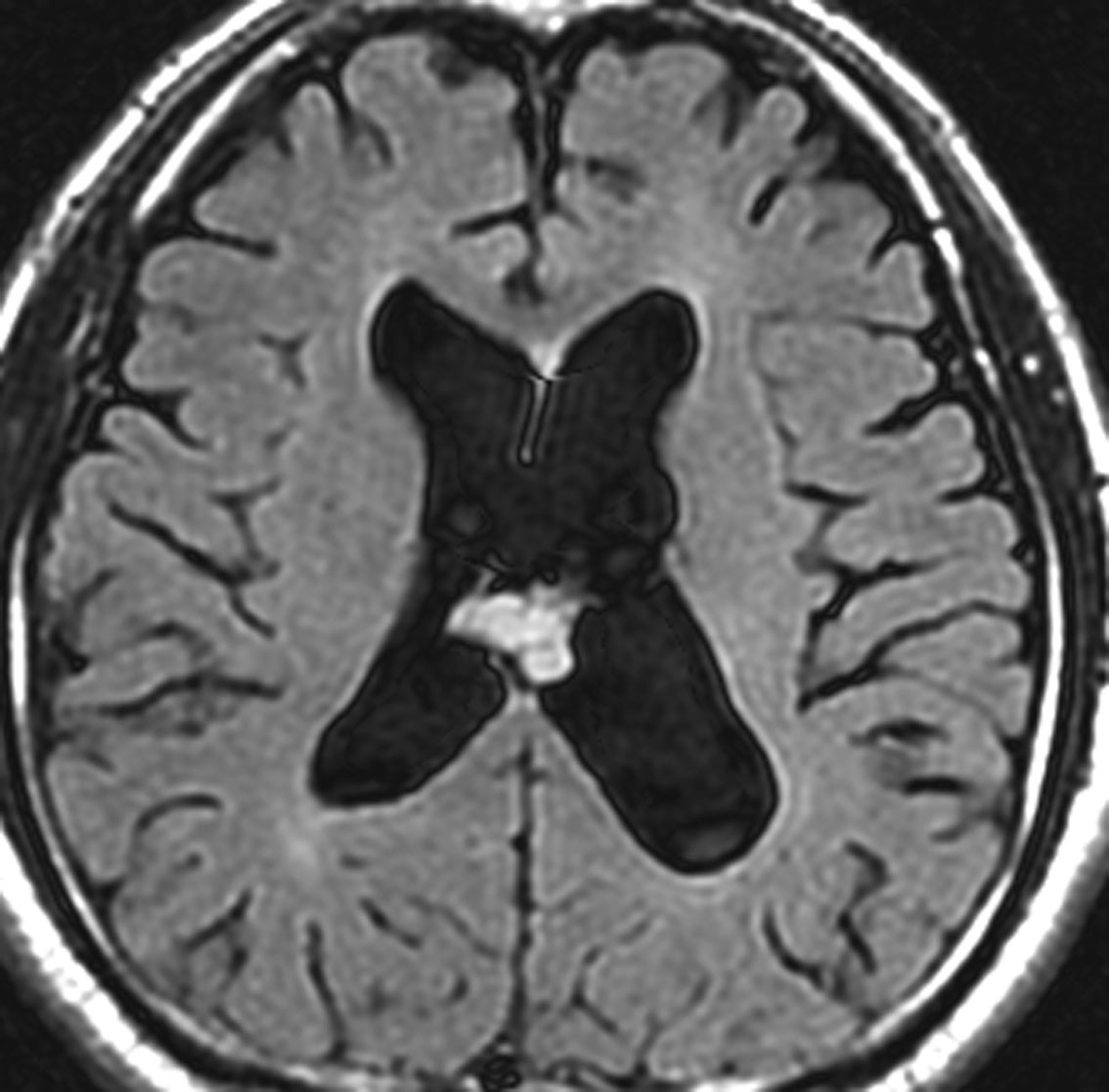
2012年に偶然発見され,その後,10年の経過観察されました。
2022年のものです,透明中核から出たものは少し大きくなっています。他にも数個の小さな腫瘍が脳室上壁にあるのですが,なにもしないでほっておきます。















