髄膜腫の症例
目次
鞍結節髄膜腫
視神経鞘髄膜腫
上矢状洞髄膜腫
大脳鎌テント接合部髄膜腫
蝶形骨平面髄膜腫
側脳室三角部髄膜腫
嗅窩髄膜腫
嗅窩髄膜腫の2
大後頭孔髄膜腫
骨内髄膜腫
静脈洞交会髄膜腫
上矢状洞髄膜腫の2
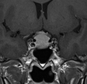
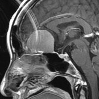
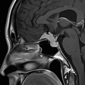
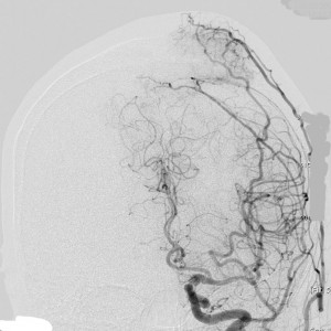
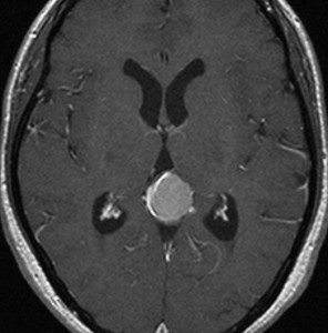
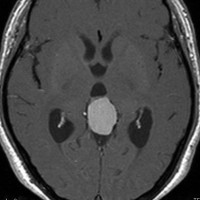
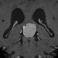
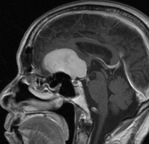
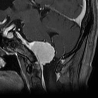
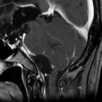
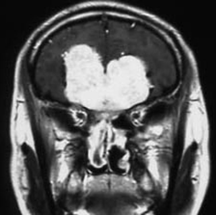
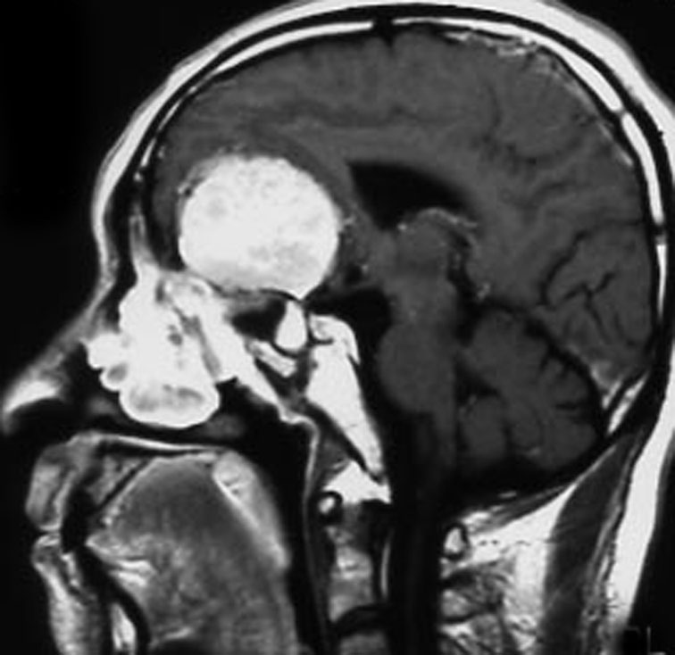
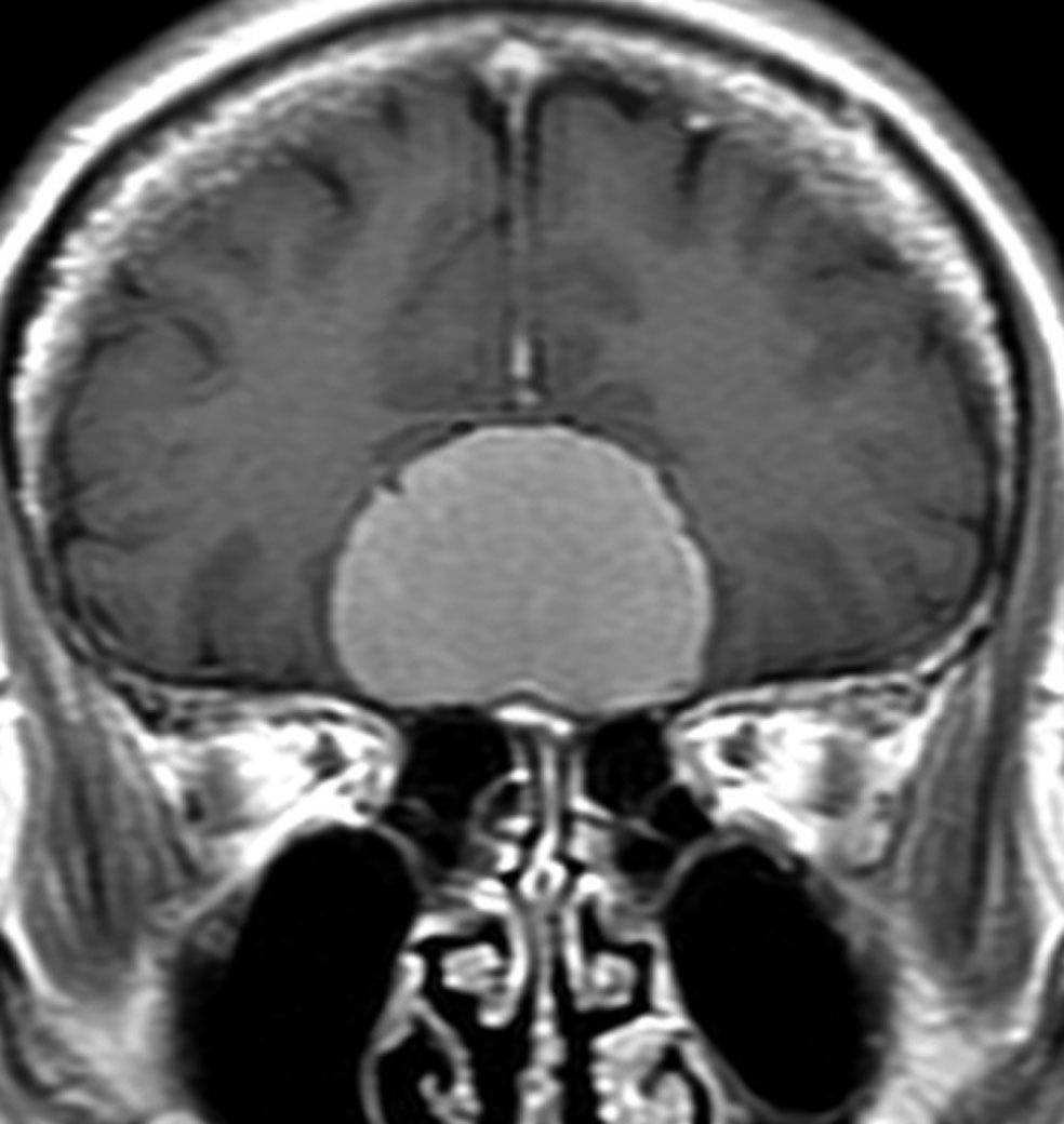
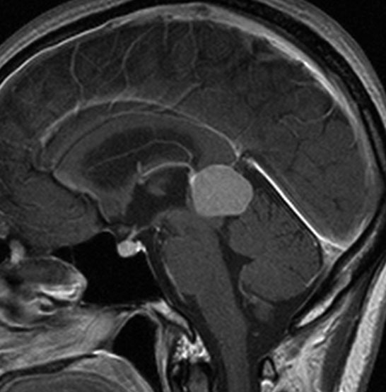
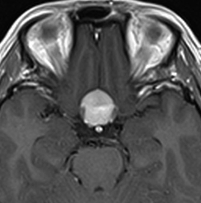
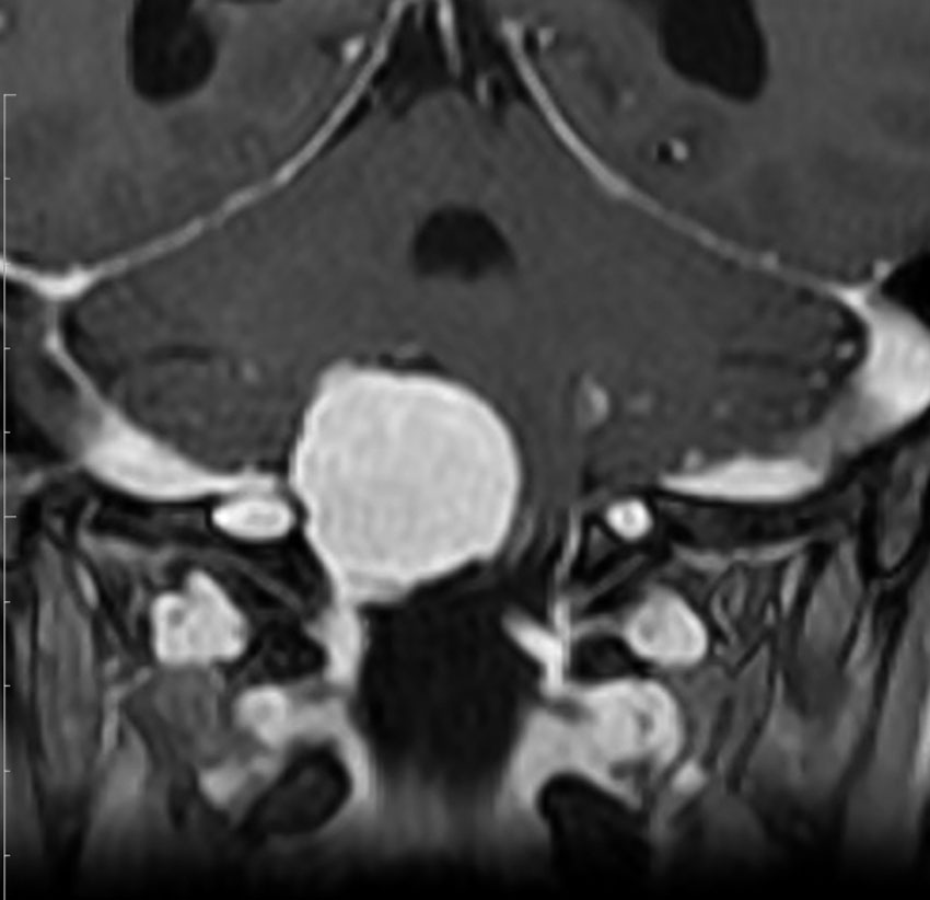
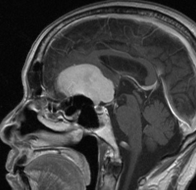
鞍結節部髄膜腫 tuberculum sellae meningioma

鞍結節髄膜腫は小さくてもとても面倒です。両側の内頚動脈の内側から周囲にからんでくることと,視神経管の中に腫瘍が浸潤して行くことです。左右の視神経,左右の内頚動脈,鞍隔膜,下垂体柄という構造物に囲まれているので摘出しづらいものです。

この図のように,視神経(黄色)は,骨(青色)で形成される視神経管の中を走行して頭蓋内へ入ります。視神経管は骨ですから,この狭い管の中に腫瘍が入ると視神経が腫瘍の圧迫でつぶれてしまって,視力障害を出しやすいです。
鞍結節髄膜腫(赤色)はこの視神経管の中に浸潤して伸びていく性質を有しています。ですから,視神経管の骨を削って,視神経管の中に潜り込んでいる腫瘍を根こそぎ摘出しないと,再発する可能性が高いです。
視神経管内部には,下内側面からの浸潤が多いので,経鼻手術で外しやすい部位とも言えます。大きな腫瘍の場合は,視神経は視神経管から出た直後で,上方やや前方向きに折れ曲がっています。
開頭術(顕微鏡手術)か経鼻手術(内視鏡手術)かの議論
経鼻手術の利点は,高度の視力障害がある場合に,視神経を鼻腔側から除圧できるので,視力の温存率あるいは回復率が高いことです。開頭手術より侵襲度が低いと言えますから,患者さんは経鼻手術を選択したいものです。
欠点は,もし,内頚動脈や前交通動脈からの分枝(細い動脈)からの出血が生じた場合,止血できなくて,手術死亡に至るくも膜下出血となる可能性があります。前大脳動脈や内頚動脈を取り囲むように存在する鞍結節髄膜腫は経鼻手術をしない方がいいでしょう。最近の報告を見ても,髄液鼻漏は術後合併症としてかなり多いといえます。
開頭手術の利点は,出血が生じた時に,確実に止血できることです。大きな鞍結節髄膜腫は必ず開頭手術で行ないます。欠点は,高度の視力障害(視力が0.2以下くらい)がある場合に,視力を温存できないことが多いことです。なぜなら,視神経管の出口のところで折れ曲がっている視神経を除圧するのに時間がかかるからです。片方の視力ならまだいいのですが,両眼の視力が高度に低下している場合には,開頭術は適さないかもしれません。両側前頭開頭ですると,嗅索損傷の可能性があり,嗅覚が消失するという合併症があります。
ジレンマ: 大きな腫瘍で,両側の視力がかなり悪いとき。経鼻的な腫瘍の部分摘出で,視神経除圧ができればいいのですが,止血が確実にできるという保証はありません。
Koutourousiou M, et al.: Endoscopic endonasal surgery for suprasellar meningiomas: experience with 75 patients. J Neurosurg 120, 2014
経鼻的内視鏡手術で75例の髄膜腫を摘出したという報告です。27%で視神経管の中に髄膜腫が侵入していました。Grade1全摘出率は76%で,視機能の改善は86%でした。術後の髄液漏は近年の例(vascularized nasoseptal flapを用いたもの)にかぎっても16%で,4例で髄膜炎を発症しました。血管攣縮での死亡が1例,Heubner動脈損傷による脱落症状が1例です。3cmを越えるもの,血管を巻き込むものは摘出できないことが多いと記載されています。
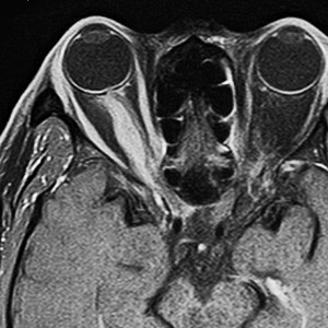
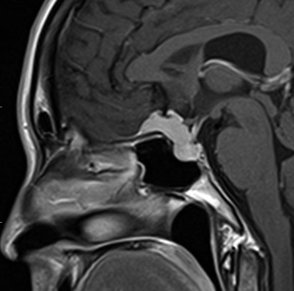
視神経鞘髄膜腫 optic sheath meningioma
眼窩内腫瘍です。視神経を包むし神経鞘から発生して,視神経鞘に沿って進展して増大します。視神経を圧迫してゆっくり症状が出ます。片目の視力が落ちるというのが症状ですが気づかれず発見が遅れることが多いでしょう。眼底検査で,初期には視神経乳頭 optic discの腫れが見られ,視力が悪化していくと視神経萎縮となります。眼底検査で動静脈シャントが見られるのも特徴的で,視力低下と視神経萎縮と併せてHoyt-Spencer triadと言われました。視力がほぼ消失するまで腫瘍が増大すると,眼球が前に押されて,眼球突出 exophhalmus, enophthalmus という症状が出ます。
治療は手術摘出ですが,この腫瘍を摘出するとほぼ確実に片眼の視力を消失します。ですから視力が無くなるまで手術は待機するという考え方が一般的です。数年以上視力があまり低下しないで腫瘍も増大せず経過する患者さんもいます。視力温存目的で治療するなら,視力の良いうちに定位放射線治療を行うべき疾患です。だからといって何でも定位放射線治療をすればよいというものではありません。問題は,視神経管から鞍結節に腫瘍が伸展している例があるということです。ここを放置すると反対側の健常な眼の視力が侵されることになりかねないので慎重に判断します。
治療は定位放射線治療です
Landert M, et al.: The visual impact of fractionated stereotactic conformal radiotherapy on seven eyes with optic nerve sheath meningiomas. J Neuroophthalmol 25: 86–91, 2005
Brower JV, et al.: Radiation therapy for optic nerve sheath meningioma. Pract Radiat Oncol. 3: 223-228, 2013
2013年にBrowerは,15例治療して観察期間中央値12年の時点で,局所制御率100%であったと報告しています。有用視力(良い視力)があった患者さんの有用視力温存率は86%という高率でした。定位放射線治療は多分割で,50.4グレイ,一日線量1.8グレイ,28分割が推奨されています。
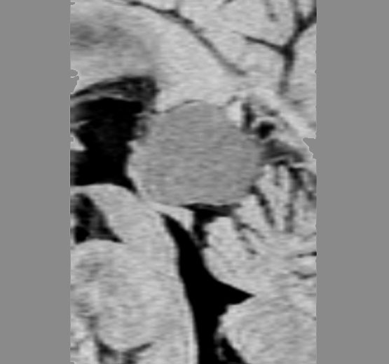
比較的急速に視力低下して手術摘出した例
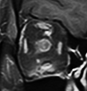
右目が暗いという症状で発症して,眼科では視神経乳頭腫脹とわずかな視野欠損だけで発症した患者さんです。3年間観察されましたが,その間には眼底所見も視力 Vd 1.2 も変化がなかったとの眼科からの報告です。そのすぐ後で患者さん本人は,右目が暗くなる回数が増え、視野狭窄があり軽い眼球突出,まわりがぼやけてますが中心は1.0見える状態との訴えで相談を受けました。主治医の先生の方針では経過観察ということで,まだ視力も良いので私もそうした方がよいと同意したのですが,その後半年くらいで視力が手動弁まで低下してしまいました。眼球運動と右眼球を温存するために腫瘍を摘出しました。
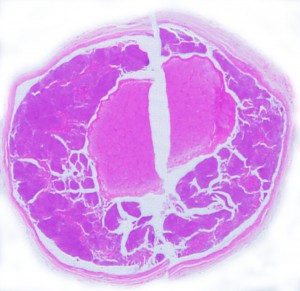
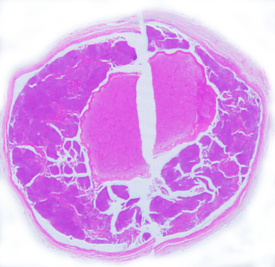
左側は,摘出標本の輪切りの写真です。この部位は腫瘍の発生した部位ではありません。一番外側にみえるのは視神経鞘 optic sheathという膜です。その内側が髄膜腫で,その内側が視神経です。すなわち髄膜腫は,視神経鞘と視神経の間のくも膜下腔を,這うように伝わって増殖伸展しています。このくも膜下腔には視神経への栄養動脈や網膜動脈も入っているので,この腫瘍だけを視神経や細動脈を傷つけずに摘出することはできないのです。
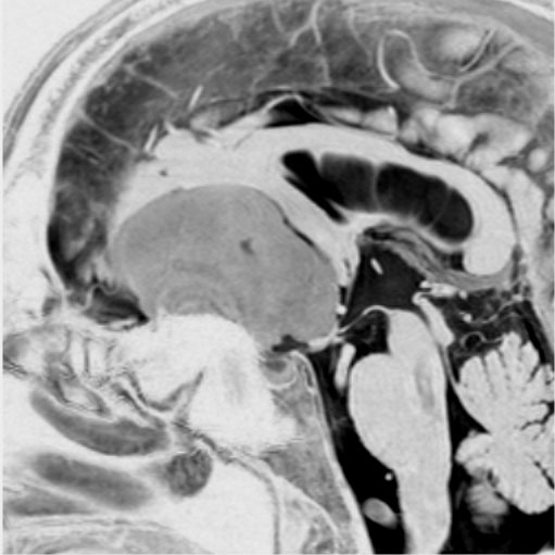
放射線治療をした例
鞍結節部から視神経管を伝わり視神経鞘に伸びていた例です。鞍結節部と視神経管での視神経圧迫があったのでそこを除圧するために摘出したのですが,グレード2の髄膜腫で再発しました。下のMRIは,放射線治療 50Gy/25frしてから5年後の画像です。腫瘍は大きくなっていませんし,右の視力はVd 0.5あり,有用視力といえるほどの視野ではありませんが,視野は上の方で残っています。
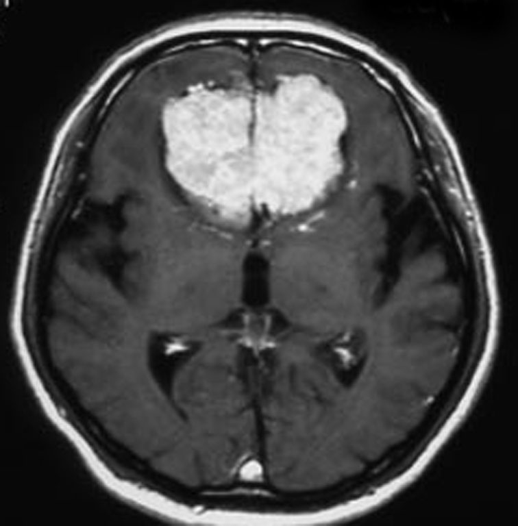
上矢状洞髄膜腫 superior sagittal sinus meningioma
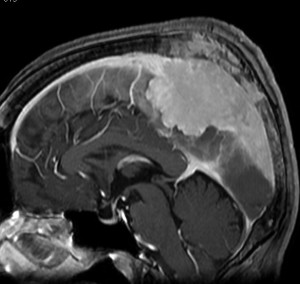
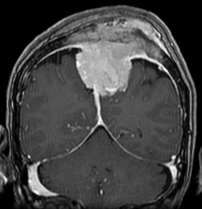
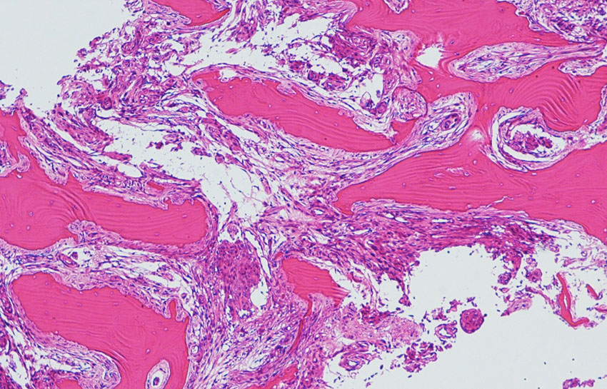
上矢状洞を埋め尽くすように増大して,頭蓋骨浸潤が著しい髄膜腫ですが,ごく軽度の右足脱力以外に何の症状もありません。上矢状洞はゆっくり閉塞すれば,このような頭頂部から後頭部にわたる広範閉塞でも,静脈還流に障害がない場合が多いといえます。大脳の前半部の血流は前頭葉表面の皮質静脈から海綿静脈洞に側副路を形成しています。頭蓋内圧亢進所見もなく,これらはこの髄膜腫がゆっくり増大したということを示唆しています。
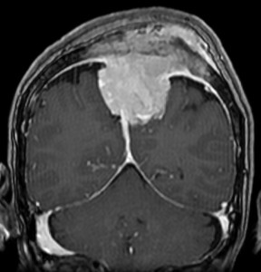
手術直後の画像です。全部いっぺんに摘出するのは無理なので,まず前から80%くらいの腫瘍を摘出しました。肥厚した骨はチタンプレートで置き換えてあります。後頭部の上矢状洞内と大脳鎌に少し残りましたが,この6ヶ月後に2回目の開頭術をして全摘出しました。結果的にこの例では,上矢状洞を冠状縫合のあたりから,静脈洞交会まで壁ごと全部摘出しましたが,脳浮腫も何も生じませんでした。腫瘍の両側にある皮質静脈 cortical veinsを損傷しないことが肝要です。
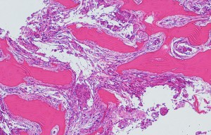
右の病理像は,頭蓋骨浸潤している部分 ですが,骨破壊は良性髄膜腫に特徴的な骨内浸潤像です。この骨浸潤像は悪性像とはいえません。MIB-1は高いところで8%、低いところで3%程度です。
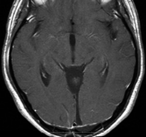
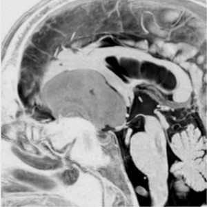
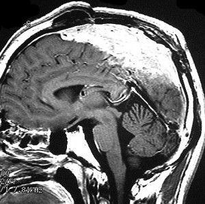
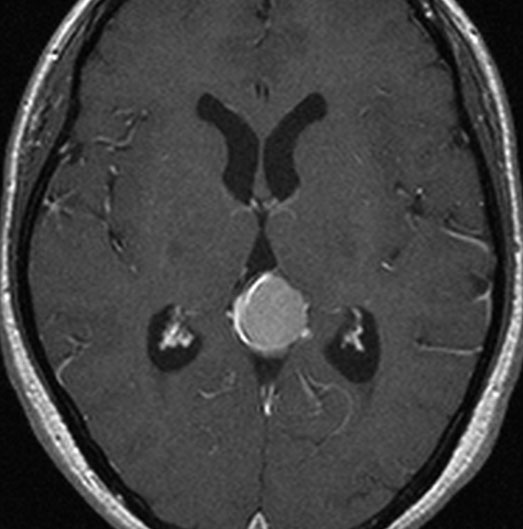
大脳鎌テント接合部髄膜腫 falcotentorial meningioma
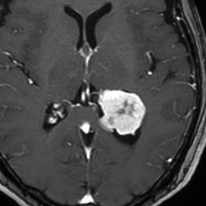
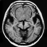
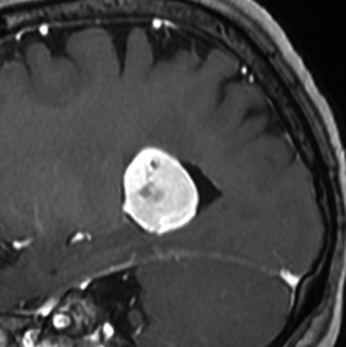
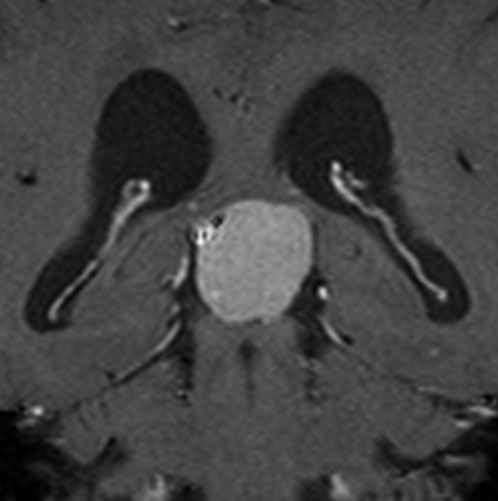
30代の女性に発生した髄膜腫です,一見すると松果体細胞腫と見分けはつきません。右の画像に見られるように典型的な中脳水道狭窄を生じていました。
軽度の閉塞性水頭症もありますが,頭痛も無く無症状なので経過を観察しました。髄膜腫だと診断できるのは,右の画像で見られるようにガレン大静脈が右側に偏っているからです。松果体細胞腫の場合は,ガレン大静脈は上方に変位します。
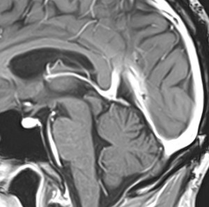
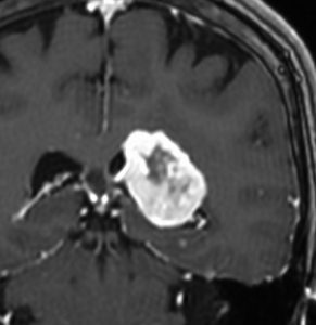
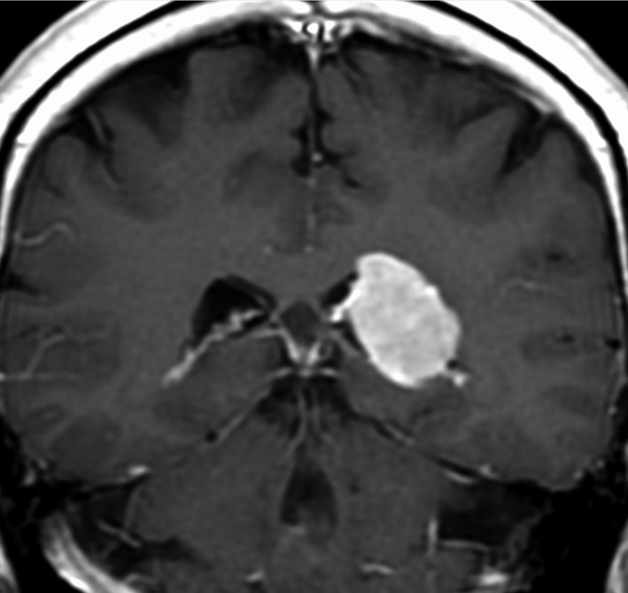
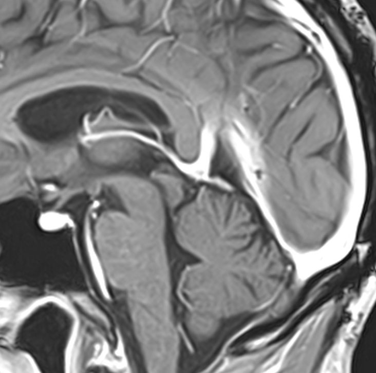
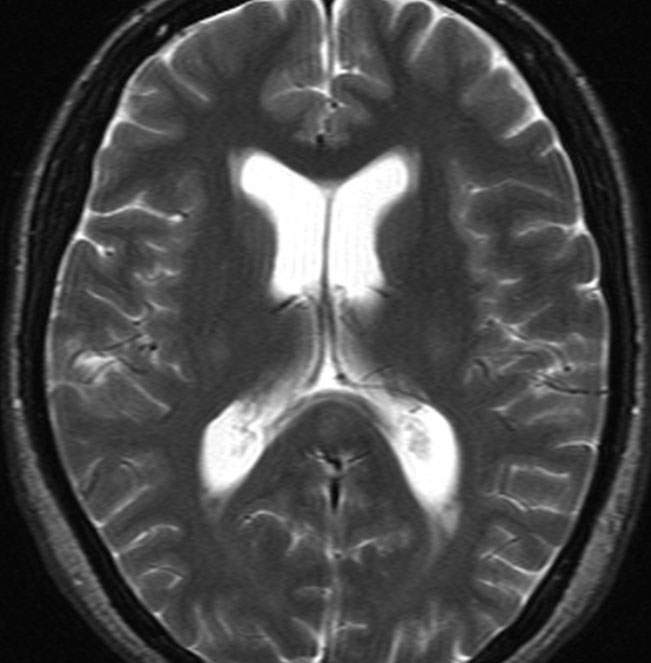
1年間経過観察したら水頭症が進行して脳室が拡大,腫瘍のサイズも大きくなりました。右側の画像で見られるようにガレン大静脈の左側のテントの下面から発生した髄膜腫でした。
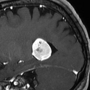
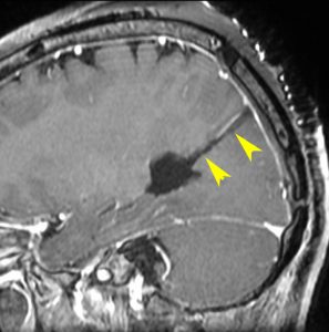
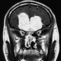
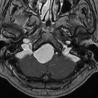
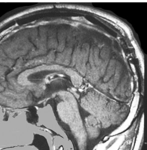
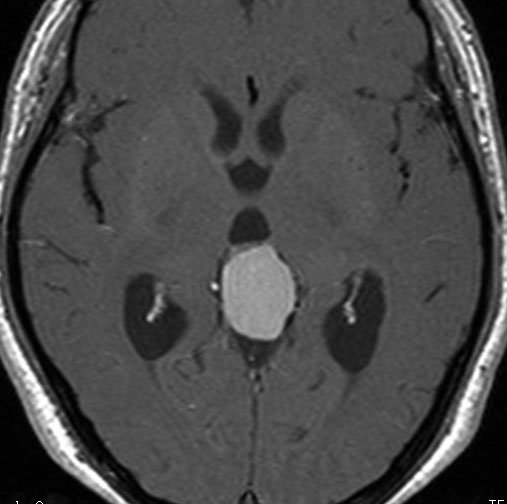
左は手術直後の画像です,手術は左側のテント下面を見るために,後頭部経テント法 OTA occipital transtentorial approach で,小脳テントの左側を切断して腫瘍を全摘出しました。右側は6年後の画像ですが,腫瘍再発はありません。
「注意」症状のない患者さんには,なかなか勧められないリスクの高い手術です。この患者さんの場合は無症状で水頭症も軽度で経過観察をしたのですが,本当はそうしてはならないものでした。閉塞性水頭症が急激に悪化して,急性水頭症のために意識障害になる可能性があるものです。
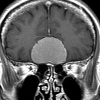
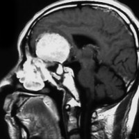
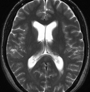
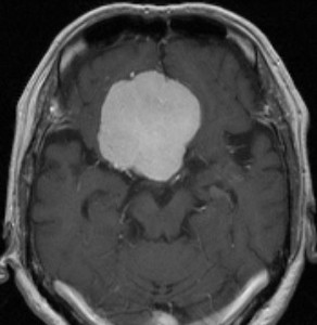
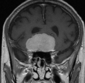
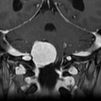
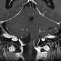
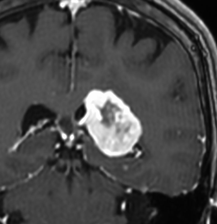
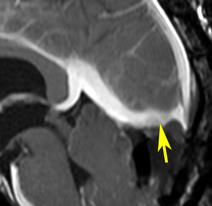
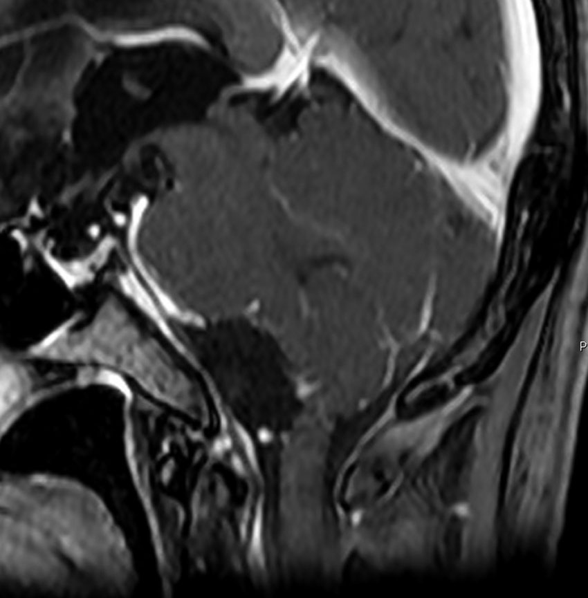
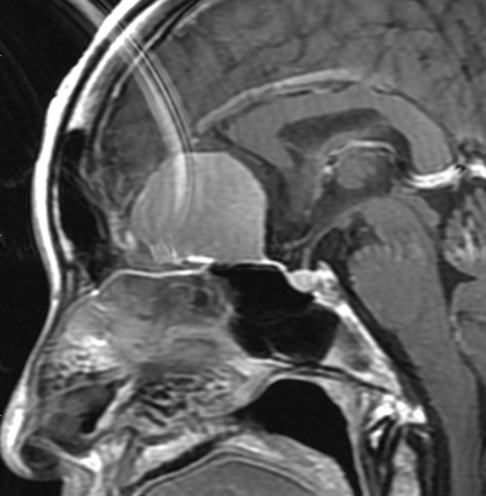
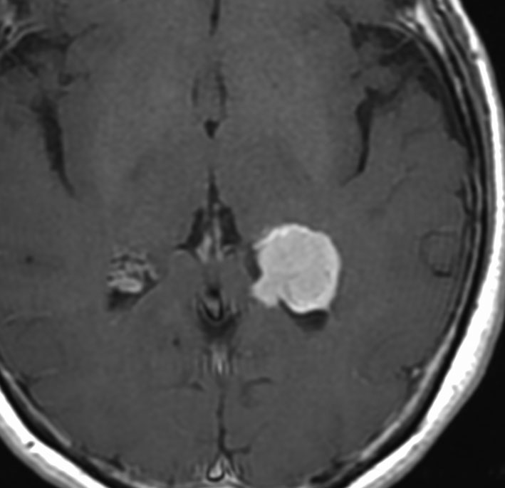
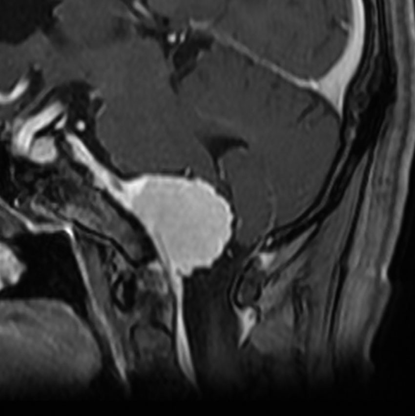
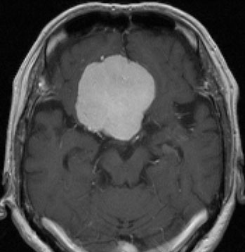
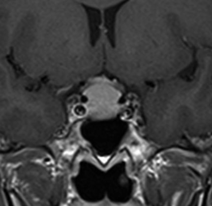
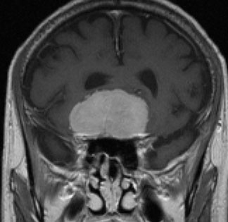
蝶形骨平面髄膜腫 planum sphenoidale meningioma
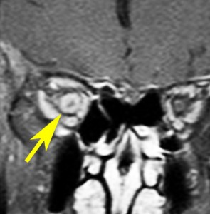
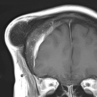
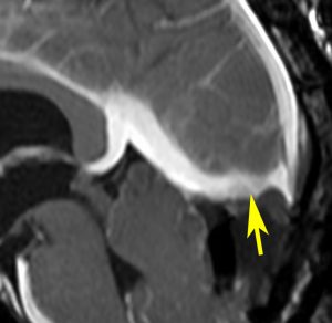
高度の両側の視力障害で発症しました。何の変哲も無い蝶形骨平面髄膜腫です。右下のCISS画像で視神経交叉が鞍背の後方まで変移しているのが解ります。また,蝶形骨平面はblisteringのため上方へ隆起しています。
この髄膜腫はしばしば,鞍結節部髄膜腫 tuberculum sellae meningioma あるいは嗅窩髄膜腫 olfactory gloove meningiomaと混同されます。鞍結節部髄膜腫との大きな違いは,feeding arteriesがposterior ethomoidal argerhyであり,蝶形骨平面からなので止血しやすいこと,視神経管の内部への腫瘍浸潤が生じないので,手術で視神経管を開放しなくてもよいことです。また,嗅窩髄膜腫との大きな違いは,両側前頭開頭で前頭葉を持ち上げるような手術を避けて,例えばこの例であれば,右前頭部から右前頭葉挙上のみで腫瘍摘出すれば片方の嗅索は温存できる可能性があることです(この例くらいまで大きくなると無理なことももちろんありますが)。
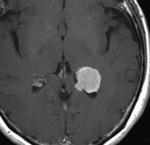
側脳室三角部髄膜腫 lateral ventricle (trigon) meningioma
50歳くらいの女性に偶然発見された三角部髄膜腫です。この部位はとても巨大にならないと症状が出ないので,しばらく様子を見ることにしました。
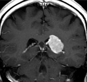
5年後です。増大傾向が止まりません。大きくなると手術リスクがすごく高くなるので,開頭手術で摘出することにしました。
右側は,手術翌日のMRIです。頭頂部の皮質経由で腫瘍は全摘出できています。専門的には,頭頂部経皮質到達法 parietal transcortical approach, high-parietal approachといいます。この患者さんは幸い頭頂葉症状は全く出ませんでした。でも巨大な三角部髄膜腫になると頭頂葉症候が手術後遺症として残ることがあります。でも慎重な手術をすれば日常生活に大きな支障となることはほとんどないでしょう。
嗅窩髄膜腫 olfactory gloove meningioma


50代の女性が臭いと味がわからないという症状で発症しました。臭いが鈍くなると味が変わります。典型的な普通のサイズの嗅窩髄膜腫です。嗅覚脱失であり嗅索機能を温存することはできませんでした。
嗅窩髄膜腫 olfactory gloove meningioma(全頭蓋底を抜けるもの)

嗅窩を破って篩骨洞内(鼻腔)に抜けているものです。嗅神経芽腫 olfactory neuroblastoma, esthesioneuroblastoma と見分けがつかないようなものです。
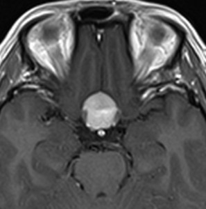
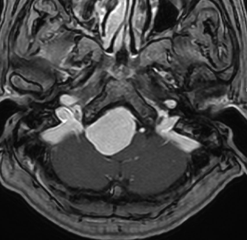
大後頭孔(大孔)髄膜腫 foramen magnum meningioma)
この腫瘍はfarlateral approachなどの頭蓋底手術をしなくても,外側後頭窩開頭で全摘出できます。要領は,S状静脈洞の下端の周囲骨を削除することです。大後頭孔髄膜種は延髄を圧迫するので巨大なものはありません。出血のコントロールや延髄からの剥離は比較的容易なものが多いでしょう。舌咽神経と迷走神経損傷を避けることが重点となります。
迷走神経と舌咽神経は機能温存できました。舌下神経が腫瘍の表面に薄く広がり剥がすことができずに半分以上を切断しています。でも片側舌下神経麻痺では日常生活に困ることはあまりありません。
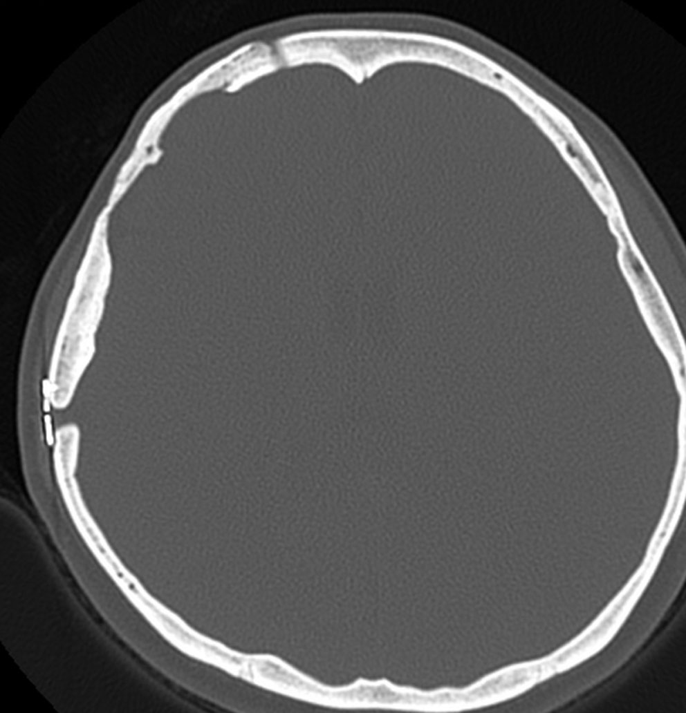
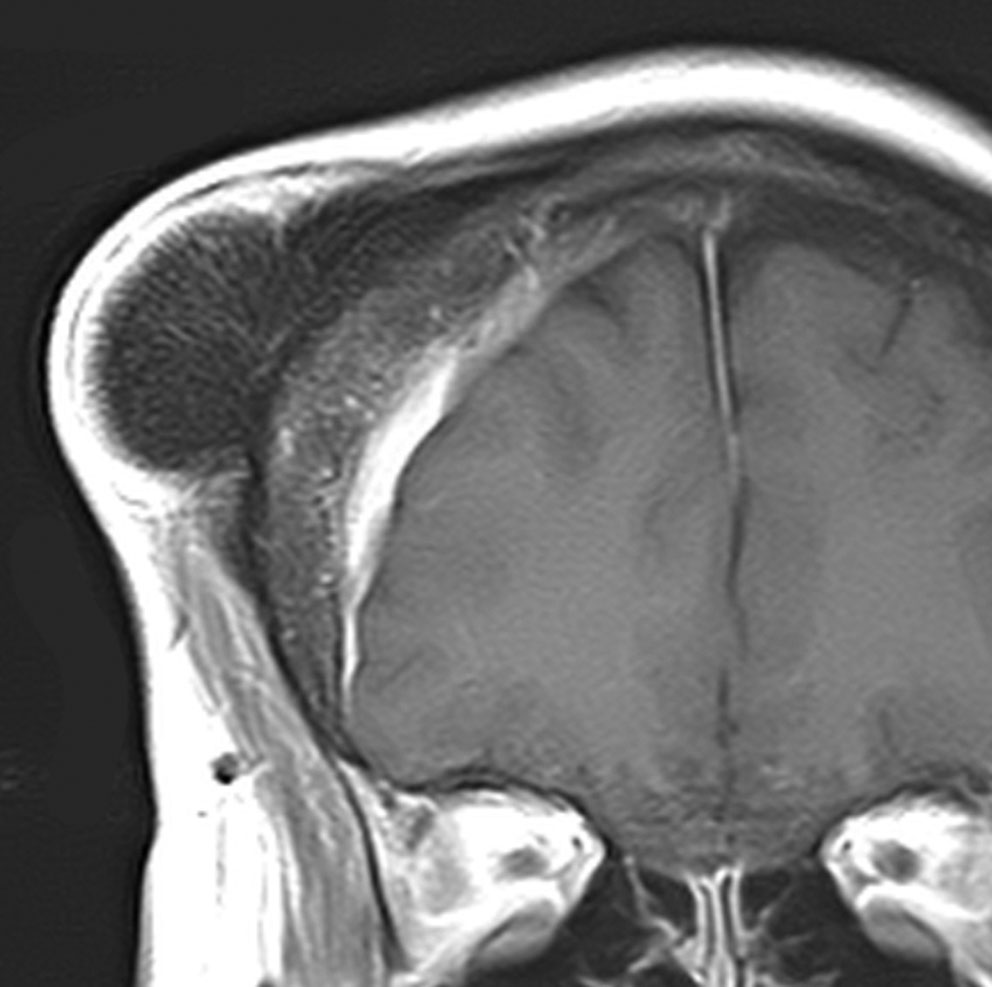
骨内髄膜腫 osseous meningioma
骨内増殖をする髄膜腫です。頭蓋骨腫瘍と間違えるようなものです。触った感じは骨腫ですが,CTでは,表面が毛羽立っていて,頭蓋冠に浸潤していることが特徴です。浅側頭動脈からの豊富な血流があります。
わずかですが頭蓋内にも腫瘍があり,硬膜が肥厚してガドリニウム増強されます。
頭蓋骨をかなり広範におかすので骨は捨てません。開頭して取り外した骨の厚くなっている部分と髄膜腫で軟らかくなっている部分を削除して,それから骨片をオートクレーブで短時間熱処理して,元あった所にもどします。下の画像は手術後1年半が経過したものですが,髄膜腫の再発はなく,熱処理骨弁は吸収されないで生着しています。
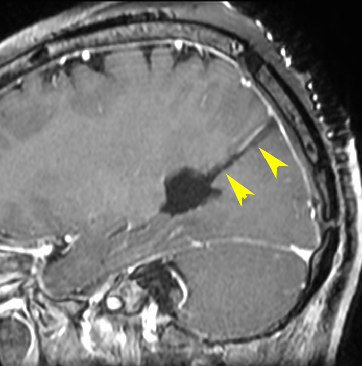
静脈洞交会髄膜腫 meningioma of the confluence of sinuses
若い女性に偶然発見されたものです。直静脈洞と静脈洞交会の接合部あたりに発生したもので,静脈洞はほぼ閉塞に近い所見でした。しかし,この部分の静脈洞は,テント硬静脈側副路が発達することがあるので,硬膜を含めた積極的な摘出をすることは絶対にできません。もしほんの少しでも流れがある直静脈洞を閉塞させると短時間に脳死になるような脳静脈圧亢進が生じる可能性があるからです。静脈洞内に少し取り残して(右下の矢印)手術を終了しました。手術後には定位放射線治療を行って再増大を防ぎます,
上矢状洞髄膜腫 superior sagittal sinus meningioma
また別な例です。1986年13歳の時に2度の開頭手術を受けましたが,全摘出できずにそのまま経過観察されました。
左の画像は1997年の術前のものです。これを2回に分けて全摘出しました。上矢状洞はやはり冠状縫合のあたりから静脈洞交会まで摘出しました。その下の大脳鎌も全て摘出したので,直静脈洞の上壁を開けることになり,直静脈洞からの激しい出血があり縫合して直静脈洞形成をするのが大変でした。手術後16年が経過しますが再発していませんし,社会人として普通に暮らせています。
この例が教えてくれることは,上矢状静脈洞は全長にわたり切除してしまっても,神経脱落症状を出さないで普通に生きて行かれるということです。

























































