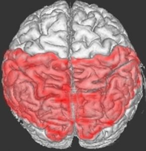
頭頂葉の解剖図
頭頂葉の解剖図です
赤いところが頭頂葉。体の感覚を認識したり,いろいろな複雑な動作をしたり,計算などをする脳です。
頭頂葉の機能は複雑で,頭頂連合野といわれ高次脳機能を司る脳でもあります。傷害されると失認失行という症状が出ます。
脳の上面から
脳の右と左側面から
脳の真後ろから
頭頂葉の機能
頭頂葉の機能は複雑で感覚だけではなく,高次脳機能を司る脳でもあります。傷害されると失認や失行というめずらしい症状が出ます。
半側空間失認:右頭頂葉の損傷で出ることがあるのですが,左頭頂葉では症状が出ないことが多いです。右頭頂葉の場合は,左側半分に見えているものを無視するという症状です。見えていないわけではありません。実際に左側に人が立っているのに知らん顔するとか,テーブルの左半分にある料理を食べない,左側に置かれたものを利用できないとかです。
着衣失行と半側身体失認:自分の体の半分を無視するのを半側身体失認と言います。これらはかなり関連して出現するのですが,衣服を着ることがうまくできないというの着衣失行です。右頭頂葉の障害でみられます。
ゲルストマン症候群:字を書くことができない失書,計算ができない失算,親指か小指か解らない手指失認,左右が解らない左右失認をいいます。全部出そろう典型的な書状は少ないのです。優位半球(ほとんど左)の角回から縁上回という部位の障害で出ます。
構成失行:簡単な図柄の模写ができない。特に立体的な図柄を描いたり,積み木がつめないなどです。左頭頂葉で多い症候です。
観念失行と観念運動失行:複雑な一連の動作やその模倣ができないことです。料理をする手順が解らない,道具を使った工程作業ができないなどです。観念失行の方がやや後方の頭頂葉よりで出現するといわれています。
左角回と縁上回
角回 angular gyrus が後ろ半分,縁上回 supramarginal gyrus が前半分くらいです。
ゲルストマン症候群
優位半球(ほとんど左側)の角回と辺縁回の障害で出る症状です。失算(計算ができなくなる),失書(字が書けなくなる),手指失認(親指か小指かの区別ができなくなる),左右失認(どちらが右か左かわからなくなる)という症状です。日常生活にとても不自由な症状となるので,角回と辺縁回の部分は手術で摘出することができません。
一次感覚野
一次感覚野です。左の障害では右半身の感覚低下が生じます。でもひどい痛みなどは出ません。






