頸静脈孔腫瘍 jugular foramen tumor,迷走神経鞘腫 vagal schwannoma,舌咽神経鞘腫 glossopharyngeal schwannoma
頸静脈孔腫瘍とは
- 頸静脈孔という場所から発生する腫瘍のことを言います
- 頸静脈孔腫瘍には,神経鞘腫,髄膜腫,傍神経節腫(グロームス腫瘍)があります
- 神経鞘腫が最も多いです
- 頸静脈孔には,3本の脳神経が入っています,舌咽神経,迷走神経,副神経です
- これらが腫瘍になるとそれぞれ,舌咽神経鞘腫,迷走神経鞘腫,副神経鞘腫と呼ばれます
- 軽い症状のものは治療しません
- 何年も経過観察のみで十分なことも多いので,まずはMRIで経過を見ます
- 治療しないでいいものの方が多いです
- 治療は手術摘出と放射線治療があります
- 手術は極めてリスクが高いのでなるべく避けます
- 頭蓋底腫瘍を得意としている脳神経外科医は,難易度の高い手術を積極的に勧める傾向があるので要注意です
- 頸静脈孔腫瘍の手術はほとんど必用のないものと考えた方がいいでしょう
- 頸静脈孔の部位だけであれば放射線治療のみで制御できることが多いです
髄膜腫と傍神経節腫 (グロームス腫瘍)は他のページに書いてありますので読んでください
以下には最も多い迷走神経鞘腫について書きます
迷走神経鞘腫 vagal schwannoma
- ご飯を食べるときにむせたり,声がしゃがれたりします
- 無症状で発見されるものも多いです
- 第10脳神経,迷走神経からでる腫瘍です
- もちろん良性腫瘍 WHO グレード1です
- 頸静脈孔に発生すると他の呼び名がつき,頸静脈孔腫瘍といわれます
- 逆に頸静脈孔腫瘍のほとんどは迷走神経鞘腫といってもいいでしょう
治療
- 頸静脈孔腫瘍を手術すると,ひどいむせ(嚥下障害)になってしまうことがあります
- 食べるたびにゲホゲホむせるので友達と外食ができなくなったり,食べ物を飲みそこなって肺炎になったりします(誤嚥性肺炎)
- 嗄声(しゃがれ声)にもなります
- ですから,頸静脈孔に入っている迷走神経鞘腫は手術しないようにします
- 放射線治療が有効で,95%くらいは放射線治療だけで制御できます
- 放射線治療は分割照射を使います
- 4cmを超える大きなものは,後遺症(手術合併症)がでないような手術で小さくしておいてから定位放射線治療をすると良いでしょう
迷走神経鞘腫は,場所によってかなり治療リスクが違います
延髄軟膜下からでるもの
延髄に食い込みます,subpial schwannomaといって最も治療が難しいものです
神経根からでるもの:小脳延髄角部腫瘍
小脳延髄角部というところに増大します
頸静脈孔からでるもの:頸静脈孔腫瘍
頸静脈孔から頭蓋外や頭蓋内に進展します,頸静脈孔内部の腫瘍を無理に全摘出すると嚥下障害や嗄声を招きますのでしません
頭蓋外の頸部からでるもの
頭蓋底から深頸部にみられます,これが最も多いです

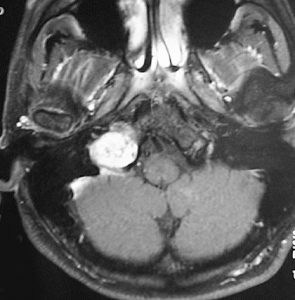
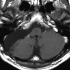
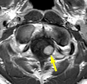
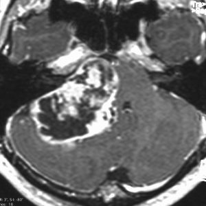
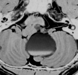
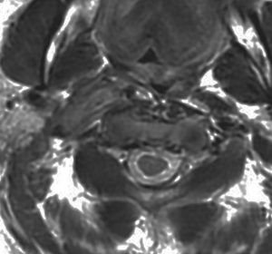
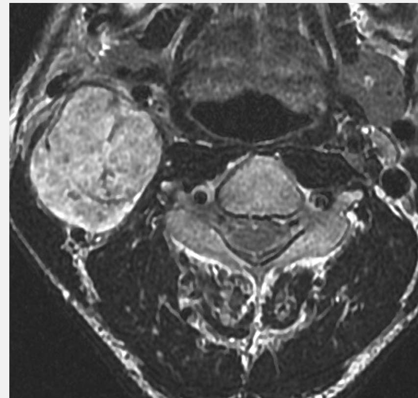
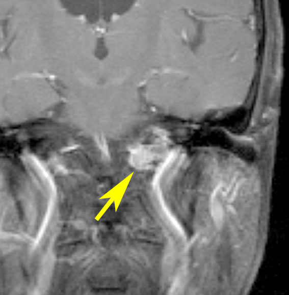
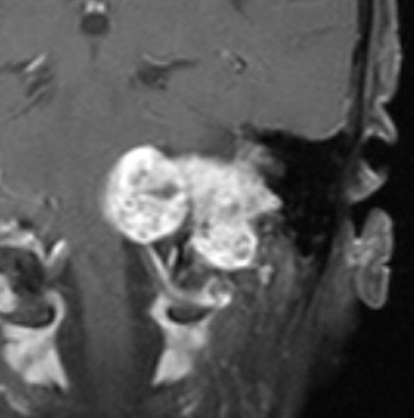
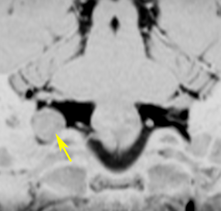
症例:頸静脈孔に限局するもの

小さな頸静脈孔内に限局する神経鞘腫です。無症状で発見されたものであれば,そもそも治療の必要性がありません。多少大きくなっても症状はでません。また手術は侵襲が大きいので,必要があれば定位放射線治療で治療します。定位放射線治療しても何の有害事象(副作用)も出ないものです。
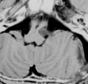
症例:小脳延髄角部のもの,頸静脈孔に入らない

迷走神経根から発生するもので,延髄内にも頸静脈孔にも進展していないものです。手術摘出すると迷走神経麻痺が生じるのではないかという危惧がありますが,迷走神経根の1本から発生するので迷走神経機能を温存できます。この患者さんは摘出しても何の症状もでませんでした。
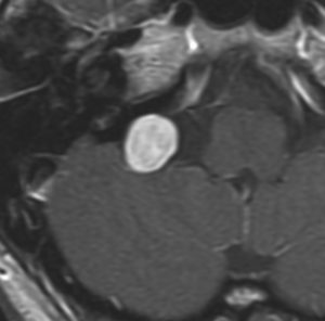
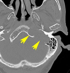
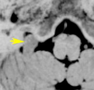
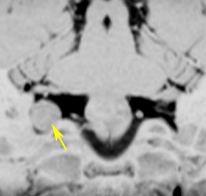
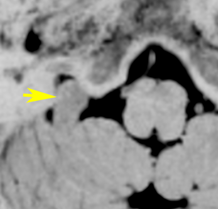
症例:小脳延髄角槽のもの,頸静脈孔へ少し入るもの

30歳くらいの女性に発生した無症状のものです。矢印のように拡大した頸静脈孔へ少し入っています。定位照射でもよかったかもしれませんが,若い女性なので手術しました。
脳槽部迷走神経根から発生したと考えて,外側後頭下開頭で摘出しましたが,予想外に延髄に近い部分の迷走神経から剥がせず,ほんの少し神経根の上に残しました。術後10年経ちますが腫瘍再燃はありません。聴神経腫瘍で顔面神経の上に薄く腫瘍を残すのと同じ考え方です。
症例:小脳延髄角部のもの,聴神経腫瘍と紛らわしいもの

水頭症による頭痛,嘔吐と右聴力低下で発症しました。体側の左側の感覚低下としびれがありましたが,それはbrainstem distortionによるものでした。一見,聴神経腫瘍にみえるのですが,内耳道内に腫瘍がありません。
手術では,脳槽内迷走神経根の一部が腫瘍化したものでした。顔面神経と聴神経との剥離は容易でした。
機能的にも聴神経,舌咽神経,迷走神経は温存できました。

術後しばらくの嚥下障害は改善,迷走神経症状としての咳嗽発作が6年ほどありましたが治りました。
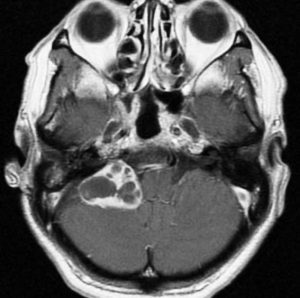
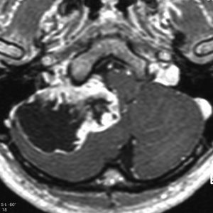
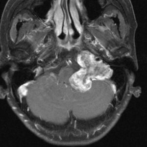
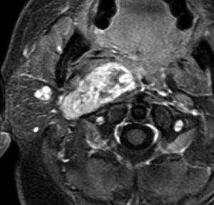
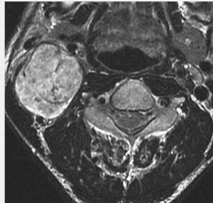
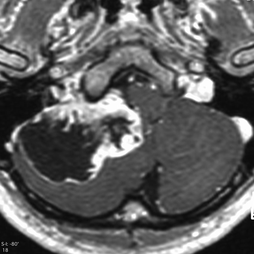
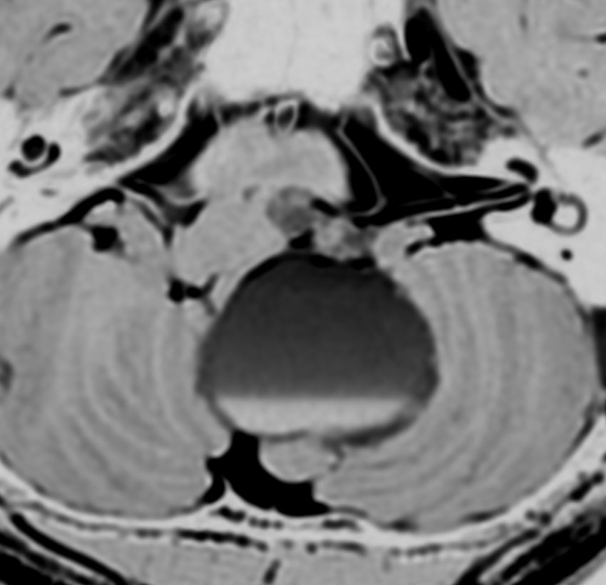
症例:頸静脈孔から頭蓋内へのもの

頸静脈孔を中心に頭蓋底骨の破壊 erosionがみられます。小脳延髄角部に進展して延髄を圧迫しています。聴神経を圧迫して聴力低下で発見された,迷走神経鞘腫です。頸静脈孔内発生のものは脳槽内の迷走神経根から腫瘍を剥離することができます。

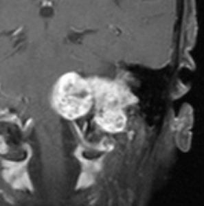
手術直後のMRIです。頸静脈孔より深い位置にある腫瘍まで摘出しようとすると,舌咽,迷走,副神経を損傷しますから,最深部の部分だけ残して摘出しました。
手術後14年が経過しますが,無治療で残存腫瘍は縮小しました。術後神経鞘腫の自然経過ではよく観られることです。
ですから,無理して全摘出しない。
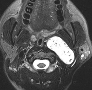
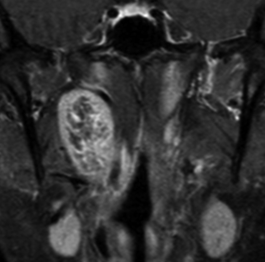
症例:頸静脈孔より下の深頸部のもの:副咽頭間隙腫瘍
左頸静脈孔の下の迷走神経節から発生したものです。ごく軽い飲み込み辛さだけが症状でした。
内頚動脈を強く圧排して,外形動脈からはかなり豊富な血流が流入しています。頭頸部外科で顎骨を割るような手術を計画されていました。
でも,右側の画像で見るような角度から,小さな頸部の皮膚切開だけで,胸鎖乳突筋だけを乳様突起から外して翻展して摘出できました。内部からほじくるように摘出すれば症状悪化はないのですが,周囲軟部組織から切断して剥離しようとすると厳しい嚥下障害と嗄声になります。


手術で全摘出しましたが嚥下障害などはでませんでした。普通のおとなしい神経鞘腫ですから再発はありません。
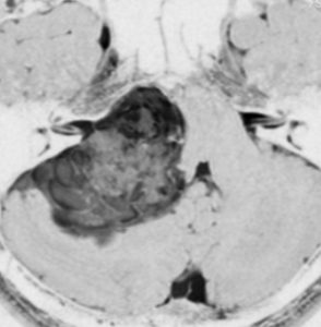
症例:延髄軟膜下 のもの subpial schwannoma in the medulla oblongata
40代男性です。咽せる,頚部痛という迷走神経症状で発症し,小脳失調がでてから腫瘍が発見されました。ある病院で第4脳室と脳槽内ののう胞性部分を摘出され,残存腫瘍摘出の目的で紹介されました。残った腫瘍は迷走神経根の腹側の延髄内部に食い込み,延髄軟膜下 subpial に主体がありました。nearly complete resectionをして経過を見ています。術後は嚥下障害が悪化したのですがかなり回復して,嗄声はなく自宅で食事をする日常生活にもどれました。
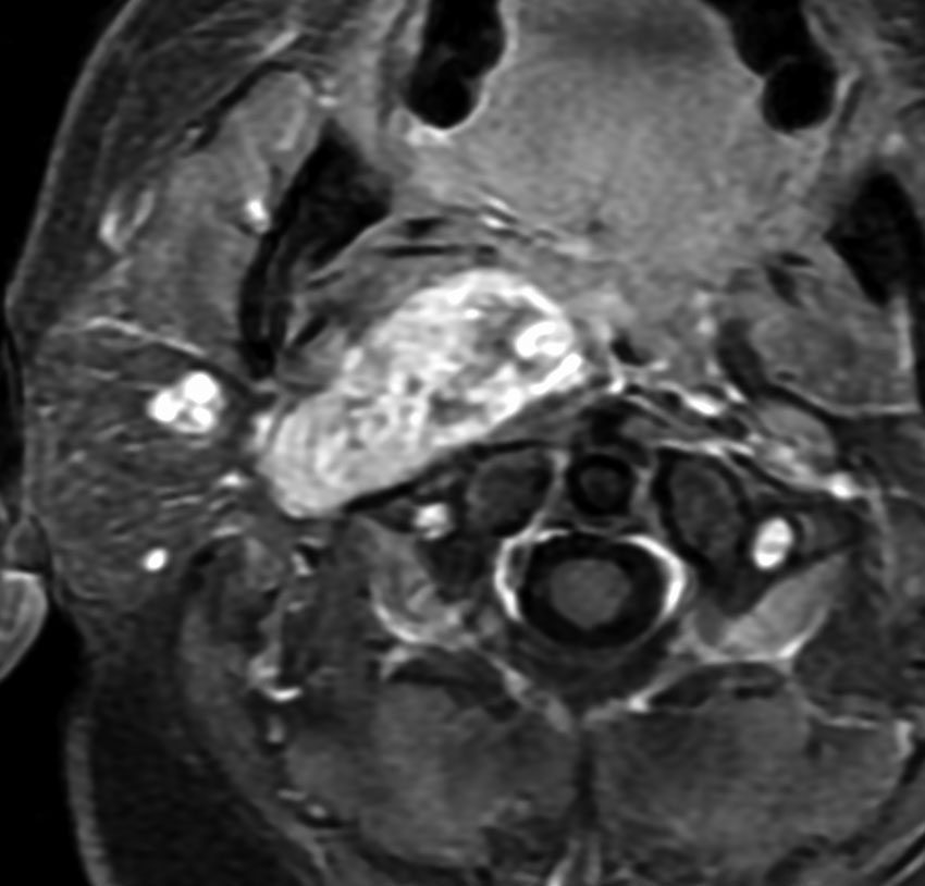
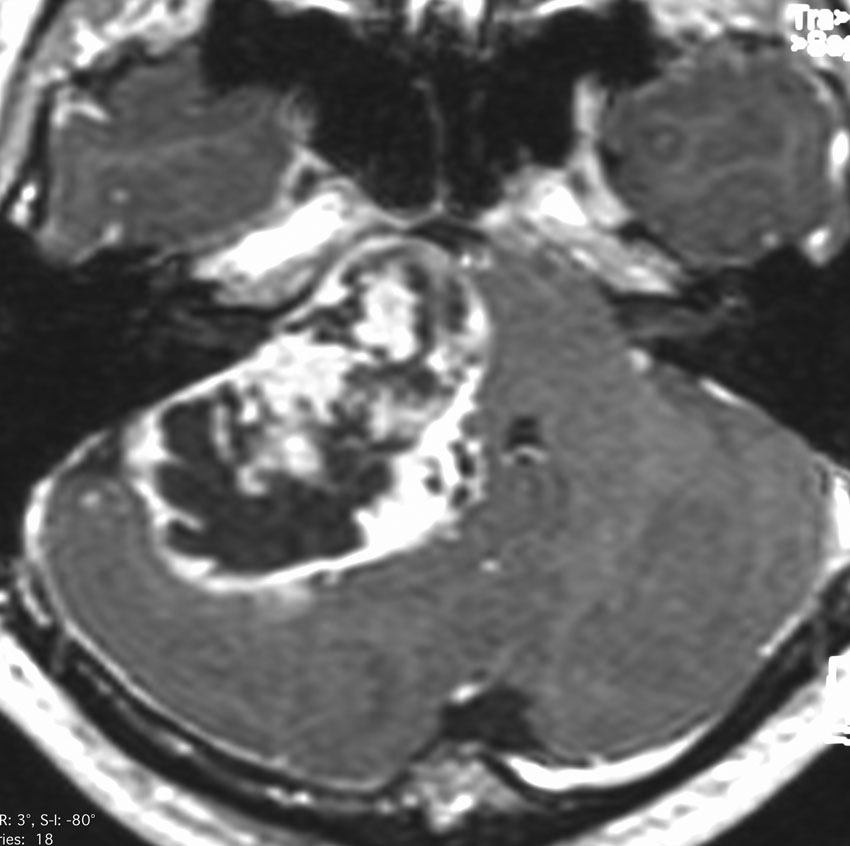
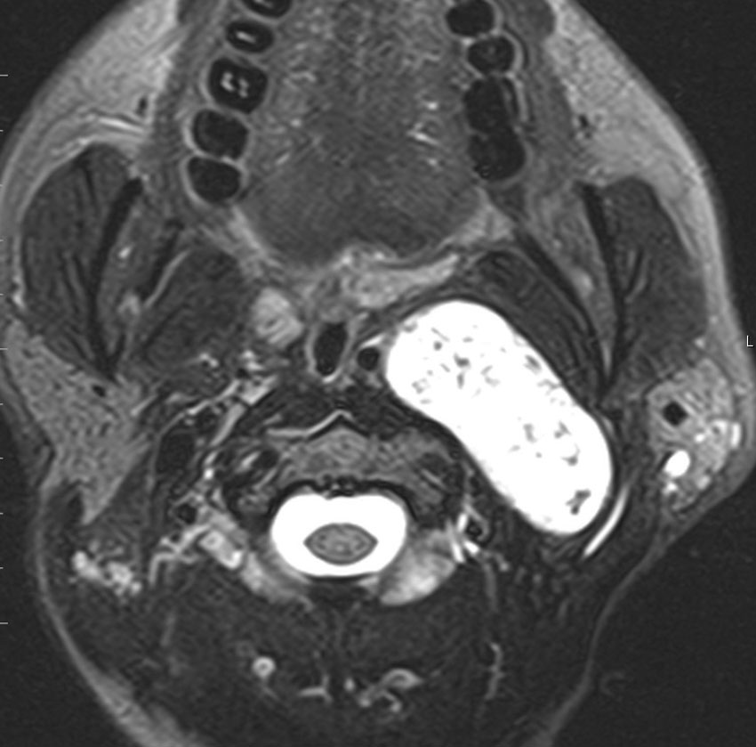
症例:気道狭窄を呈したもの:副咽頭間隙腫瘍 parapharyngeal tumor
頸静脈孔にも腫瘍があり頸部へ伸展した迷走神経鞘腫です。咳が出る,右下にして寝ると痰が詰まる,咽せるという症状で発症しました。摘出すると嚥下障害が出る可能性があるので,9年間経過観察しました。徐々に増大して,正中方向へ伸展して気道狭窄を生じました。睡眠時無呼吸,痰が詰まって苦しくなって夜中に目覚めてしまうという症状になりました。
内部から核出 enucleationしました。腫瘍周辺に迷走神経組織があるので,中心から内部の腫瘍だけを摘出減荷する方法です。左術前,右術後。
舌咽神経鞘腫
- とても珍しいものです
- 延髄小脳角槽,頸静脈孔,深頸部に発生します
- 迷走神経とほとんど走行と機能が同じなので,迷走神経鞘腫と鑑別がつきません
- もし腫瘍摘出で,舌咽神経切断をしても迷走神経切断ほどの重篤な症状はでませんが,嚥下障害や嗄声の可能性はあります
- 脳槽内や頸静脈孔から発生した大きな腫瘍では,聴力低下,嚥下障害などの小脳橋角部腫瘍や頸静脈孔腫瘍と同じ症状を呈しますが,舌咽神経発生かどうかは全くわかりません
- 舌咽神経痛などの痛みで発症することはありません,まれに嗄声や吐き気,喉の違和感などを生じることがあります。
40歳の時に右頸部が腫れているのに気づいて発見され,耳鼻科で生検術され経過をみたものです。7年間の経過観察でかなり増大しました。症状は全くありませんでした。まだ腫瘍増大が止まらないので摘出することにしました。術前は舌咽神経鞘腫と診断することはできません。

手術中に中枢端で舌咽神経本幹に連続性がありここを切断して全摘出しました。それで舌咽神経鞘腫と確定診断ができています。
術後には無症状,他覚的な神経脱落症状はありませんでした。長い間かかって増大したので迷走神経などで代償機能が働いているのだと推定されます。

舌咽神経の末梢枝は,carotid sinusからの感覚神経を含むので,内頸動脈と外頸動脈の間に入り込むように増大することがあります。
副神経鞘腫 accessory schwannoma
- 頭蓋外の末梢神経に発生するものがほとんどです
- 頸部にできると硬い塊のできものとしてみつかります
- 頭蓋脊柱管内の副神経鞘腫はとても珍しいものです
- 延髄から出る副神経根 cranial part にできるタイプと,脊髄 C1-5から出る脊髄根 spinal roots にできるタイプがあります
- 頸静脈孔に発生するものは,頸静脈孔腫瘍と呼ばれますがほとんどありません
- 副神経の症状を出すことはほとんどありません
- 大きくなると上位頸髄を圧迫して,四肢の感覚異常や痙性麻痺を生じます
- 頭蓋内のものでは嗄声や嚥下障害がでたという報告もありますが例外的なものです
- 頭側に発生したものは摘出しても症状が出ないことが多いです
- 脊髄根のmain rootから発生したものを摘出すると胸鎖乳突筋と僧帽筋の麻痺が生じて肩の動きが悪くなります
- 延髄から脊髄への移行部,大後頭孔で増大しますから,放射線治療をすると延髄あるいは上位頸髄の被曝が生じて,あまり十分な線量が使えないかもしれません


脊髄根 spinal rootから発生した無症候性の副神経鞘腫です。神経根は脊髄前根からでて脊髄の外側から背側へと上行するので,脊髄を横から圧迫するようになります。
徐々に増大しました。手術摘出を行うときに副神経を温存できないと,胸鎖乳突筋と僧帽筋の麻痺が生じます。



















