聴神経腫瘍(前庭神経鞘腫)
- 正確には,前庭神経鞘腫 vestibular schwannoma といいます
- 聞こえの神経(蝸牛神経)ではなくて,バランスの神経(前庭神経)から発生するからです
- 脳腫瘍の6%くらいを占める良性腫瘍で,とても多いものです
- 症状は,聴力低下(片方の耳で,突然あるいはゆっくり聞こえが悪くなる),耳鳴り,めまい(時には発作性の激しいめまい),ふらつき,顔と舌のしびれです
- 良性腫瘍ですから治療を急ぐ必要はありません,あわてない!
- 選択肢は3つ,何もしないで様子を見る,放射線治療をする,開頭手術で取るです
- それぞれに利点と欠点があるので,個々の患者さんの年齢や聴力や生活,すべて含めて考えます
- この3つの選択肢を慎重にいろいろ調べたり意見を聞いて,よくよく考えます
- 治療に関して近年では,脳外科での開頭手術よりも放射線治療のほうが圧倒的に多くなっています
- ほどんどが定位放射線治療で治るので,開頭手術はよほど大きなものしかしません
- 手術治療を積極的に考えるかどうかの大まかな目安は,腫瘍の大きさが3cm前後くらいの時です
- 聴神経腫瘍の場合,名医とは手術の上手な外科医ではありません,不要な手術を勧めない外科医です
- 治療の目的は聴力の温存と顔面神経麻痺を出さないことに注目です
- 今どき,命をなくすような腫瘍ではありません
- まずは,何もしないで経過観察をすることを考えましょう
- 経過観察のためのMRI検査は,半年か1年に1回もすれば十分です
- 検査に余分な医療費をかけないこともポイントです
- 定位放射線治療で,強い顔面神経麻痺が残る可能性は1%程度あるいは0%と報告されいているので,3cm以下の腫瘍で,開頭手術を提案された時には,顔面神経麻痺のリスクが1%程度であるかどうかを確認して下さい

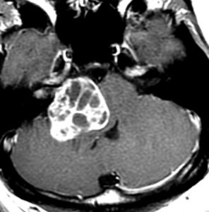
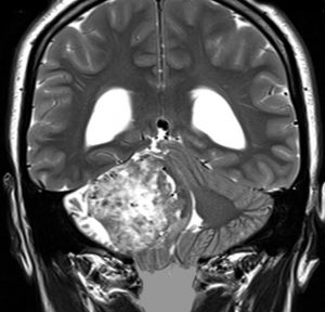
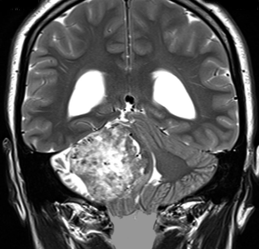
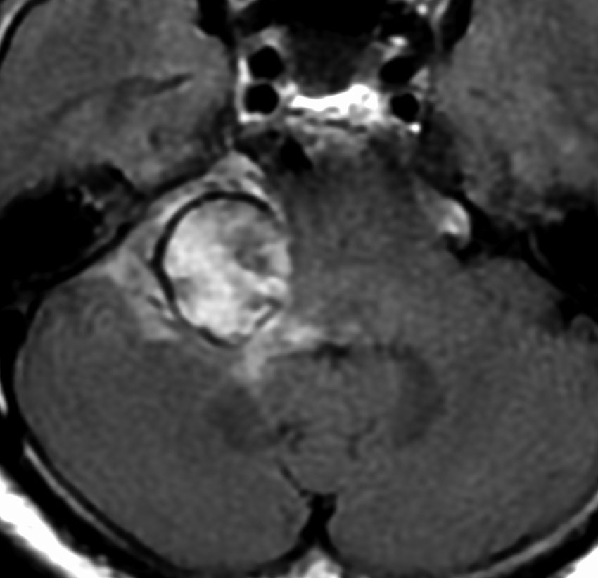
この腫瘍は脳幹部変形がとても強く,大きいので手術摘出するしか選択肢はありません

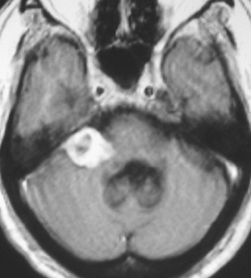
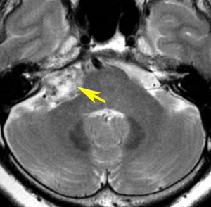
これは右内耳道の奥深くにできた腫瘍です。4mmくらいの極小の聴神経腫瘍と言えます。この大きさでも,めまい発作と聴力低下 (50dB程度,低音域低下)がありました。もちろんなにもしないでほっておきます
- 脳幹部の変形が高度な大きな腫瘍になると手術するしかありません
- 4cmを超えると危険だと考えてください
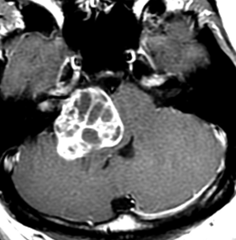
- のう胞性(腫瘍の内部がほとんど液体)のものは4cmを超えても手術は危なくないです
- 巨大な充実性の聴神経腫瘍の手術では命をなくすリスクもあるものです
- 手術はとても難しいので手術経験の多い脳外科医を捜しましょう
- 大きな腫瘍では無理して全部摘出せず,部分摘出術で小さくしておいてから,手術後に放射線治療をします
- ガンマナイフなどの放射線治療の副作用として腫瘍の悪性化などが言われますが,すごく確率が低いことです,惑わされてはなりません
- 逆に,報告されない手術死亡や重い手術合併症はかなりあります
- ネット上で,聴神経腫瘍の手術数が多い病院,治療成績が良いとの掲示が増えていますが,宣伝目的の可能性もありますから気をつけてください
三叉神経鞘腫などの神経鞘腫は他のページに書いてます
ここをクリック
なぜ何も治療しないで経過観察が選択肢になるのか?
自然に小さくなってしまうことがある腫瘍です
自然退縮(たいしゅく)とは何もしなくても腫瘍が小さくなってしまうことです。聴神経腫瘍では10%以上(文献によっては30%)にこれが起ります。ですから,なんにも治療をしなくてほっておいても何でもないことも少なからずあるのです。無理に治療をしないでまず様子を見ることも大切です。信じられない人のために例を見せましょう。

8年間観察して何もしないで小さくなってしまった大きな聴神経腫瘍です。60代半ばの女性でした。この自然退縮は,年齢が高い患者さんほど生じやすいです。また,自然退縮する前に,腫瘍ののう胞化(腫瘍の中に水たまりができる)という現象が起きることが多いです。
まず,MRIで経過観察するという選択肢(wait and scan)
脳槽内(内耳道外)に30-40mmを超えるような聴神経腫瘍は治療をする必要があります。それ以下のものは経過を見るという選択肢が出ます。
では,どのくらいの確率で腫瘍は大きくなってしまうのでしょう。文献を調べてもはっきりしません。10%という報告から80%という報告まであります。でも数年くらいの観察ですと3分の1程度の確率だと考えられています。増大というのを2mm以上大きくなるという定義があります,それに従うと5年の経過観察で3割ほどの患者さんで増大するという報告もあります。逆に言えば,半数以上は数年見ても2mm以上大きくならないということです。患者さんの年齢が若いほど腫瘍の大きくなる確率は高いでしょう。
もし腫瘍が小さくて,良い聴力が残っていたら聴力はどうなるのでしょう。残念ながら聴力低下が生じる確率は高くて,3年くらい観察すると2分の1か3分の1くらいの確率でその聴力は使えなくなるまで低下します。でも手術すると半分以上の患者さんで聴力は消失しますし,放射線治療をしても7割くらいの確率で有用聴力は低下します。
混乱するといけないのでまとめます。かなり多くの患者さんにおいて腫瘍は大きくなりません。大きくなってこない腫瘍を治療して患者さんにとってどのような利益があるのか明らかではありません。手術をすると顔面神経麻痺などの新たな合併症が加わってしまう確率は低くはありません。ですから,たとえ聴力低下が進行しても,それほど大きくない聴神経腫瘍は,まずは経過観察していいということになります。
ノルウェーの病院で2006年にまとめられた301人の聴神経腫瘍患者さんの報告があります。患者さんに治療法などいろいろ説明して,最初の選択は,経過観察 165人,ガンマナイフ 81人,開頭手術 55人 (18%) だったそうです (Myeseth, Acta Neurochir 2007)。フランスからの2008年の報告では,経過観察をして治療が必要になった患者さんは,325人中の77人 (24%)でした(Bakkouri, J Neurosurg 2008)。 デンマークからの2,312例の経過観察では,434例 (19%)で治療が必要となり,2mm以上大きくなったものを増大と定義すると,5年で,内耳道内腫瘍は21%,内耳道外腫瘍は37%で増大しました(Reznitsky, Neuro Oncol 2021)。
最初は6ヶ月おき,2年くらい見て変化がなければ1年おきくらいの観察がいいかもしれません。注意したいのは,一時的に腫瘍のう胞が大きくなっても,また観察していると小さくなってくるというようなことがあり得るということです。もちろん,明らかにどんどん大きくなる時には治療を考えましょう。
一方で,腫瘍が小さいうちに治療した方が手術の合併症が少なく,放射線治療による聴力の温存率も高いという意見もあり,後の方に書いてあります。
2020年に,ある女性からいただいた画像です。2010年 48歳の時に東京の大きな病院で開頭手術を勧められました。他の病院では放射線治療という意見でした。左側のMRIでは聴神経腫瘍が脳幹部に少し触れています。でもこの女性は経過観察することにしました。右は2020年のMRIで,腫瘍が小さくなって脳幹部から離れています。
症状 Cushing chronology
- 前庭神経鞘腫の多くは内耳道内より発生して,内耳道を拡大し小脳橋角部へ発育してくるためその症状発現には一定の特徴があります
- まず耳鳴りや難聴が生じ,次第に進行して,平衡障害としてめまい感,歩行不安定,顔面のしびれや痛み,眼振,小脳の圧迫症状として小脳性運動失調が出現します
- 続いてあるいは同時に,近接の脳神経である三叉神経,外転神経,顔面神経の障害も加わります
- 最後には脳幹を圧迫して頭蓋内圧亢進をきたします
- これらの症状発現経過は 古典的神経学のCushing chronology として知られています
- 前庭神経鞘腫がすべてこれに従うわけではなく,最近ではわずかな聴力低下や耳鳴,めまい発作のみでMRI検査がなされるために軽度の初期症状で発見される小さな腫瘍が圧倒的に多いです。
- 三叉神経感覚根より発生する三叉神経鞘腫では,顔面の痛みやしびれなどの感覚障害が生じます
- 痛みは三叉神経痛として誤診されることもありますが,神経鞘腫では角膜反射の低下や三叉神経領域の感覚障害を伴うことがあり三叉神経痛との神経学的な鑑別は可能です
- 顔面神経の一部である中間神経の障害により味覚の異常を訴える患者さんもいます
- また,大きな腫瘍でなくとも,髄液吸収障害による交通性水頭症を呈して,集中力や記憶力の低下などの茫漠とした認知機能障害を来すことがあります
- 進行すれば不安定歩行や尿失禁となり,いわゆる正常圧水頭症に類似した症候が出現します
- この水頭症は,脳萎縮を伴う高齢者での症候学的な鑑別診断は容易でないこともあります
- 顔面神経麻痺は極めてまれで,もし顔面麻痺があると,顔面神経鞘腫などの聴神経腫瘍以外の腫瘍を疑います
突発性難聴
急激な聴力低下(突発性難聴)で発症する例も多いといえます。前庭神経鞘腫では10-20%の患者が突発性難聴で聴力低下を自覚します
8mm程度のとても小さな聴神経腫瘍です。2000年に30歳で突発性難聴とめまいで発症しました。耳鼻咽喉科でステロイド治療をして難聴は改善しました。2003年,2007年,2008年,2011年,2012年,2014年,2015年,2016年3回と突発性難聴になり,それぞれステロイド治療で有用聴力まで改善しています。
この小さな腫瘍は内耳道底(一番深くて蝸牛に近いところ)にあり手術しても定位放射線治療しても聴力温存は難しいと判断しました。

11回の突発性難聴の後,発症してから17年後の聴力です。まだ聴力が残っていてステロイド治療で少し良くなってきています。腫瘍のサイズは16年間で 1mmくらい大きくなっているかもしれません。30歳から47歳まで腫瘍はほとんど変わらないということです。
聴神経腫瘍が突発性難聴で発症することは多いです。3回くらい繰り返すと有用聴力がなくなってしまうこともあるのですが,この患者さんのように何回繰り返しても戻るタイプもあります。突発性難聴の反復が手術や放射線治療の根拠になるとも断定できないといえます。
頭位変換性めまい,良性発作性めまい
- 前庭神経鞘腫のめまいは,ふらふらする,ふわふわする,くらっとすることが多いなどの軽いめまい感が多いです
- でも突然,立っていることもできないような激しいめまい発作が生じることがあります
- めまいで吐き気がおきて嘔吐することもあります
- びっくりして,死ぬかもしれないと思って,救急車で病院に行く患者さんもいます
- でも,この回転性のめまいは,治療しなくても数日間で良くなることがほとんどです
- このめまい発作を繰り返して生じる患者さんもいます
- だから,めまい発作をおこしてもびっくりしないで安静にして様子をみてください
検査
- 聴神経腫瘍を疑えばMRI検査をします
- ガドリニウム増強MRIでは,内耳道内に限局する数 mm程度の小腫瘍から,小脳橋角部に発育した大きなものまで明瞭に描出することができます
- 診断がついた後の経過観察では,ガドリニウム造影剤の使用は不要です
- CISS(シス) imageあるいは FIESTA での経過観察で十分です,腫瘍サイズも1 mm単位で精密に測定できるので優れています,所要時間は15分くらい
- 聴力検査が必要です,一側性の感音性難聴があります
- 必須ではないのですが,聴性脳幹反応でI-II波間隔の延長,そして前庭機能低下の指標として温度眼振試験の反応低下あるいは消失がわかります
治療が必要だとなったら?
放射線治療の方が手術より成績がいい
証拠と言ってはなんですが、私の書いた論文(クリック)がアメリカ脳神経外科学会の機関紙に載っているのでみて下さい(国際学術誌なので英語)
私と一緒に論文を書いた北大耳鼻科の坂本徹先生のデータでは,2004年までに165例の聴神経腫瘍を定位分割放射線治療して,うまく行かないで結局手術になった人は3人 (2%) のみです。残りの162人は放射線治療だけですんでいます。放射線治療の前に腫瘍がある側の聴力があった122人の患者さんで71.5%(照射後7年)の人にある程度の聴力が保存できています。ひどい顔面神経まひを生じた人は一人もいませんでした。聴力の相当悪かった人も含めても,腫瘍のある側の耳が全く聞こえなくなった患者さんは6人だけです。ただし,この論文の後でもっと超長期間観察したら,手術が必要になるのは5%弱,聴力は聞こえていても,やがて有用なレベルではないくらいに低下する人が多かったです。
脳外科医の私が言うのは変ですが、すごく手術の上手な脳外科医の成績でもこの放射線治療の成績にはかないません。でも,放射線治療ができるのは3cmくらいまでの聴神経腫瘍です。それ以上は手術が必要となることが多いでしょう。
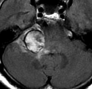
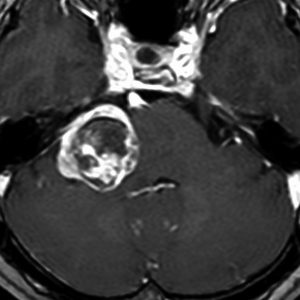
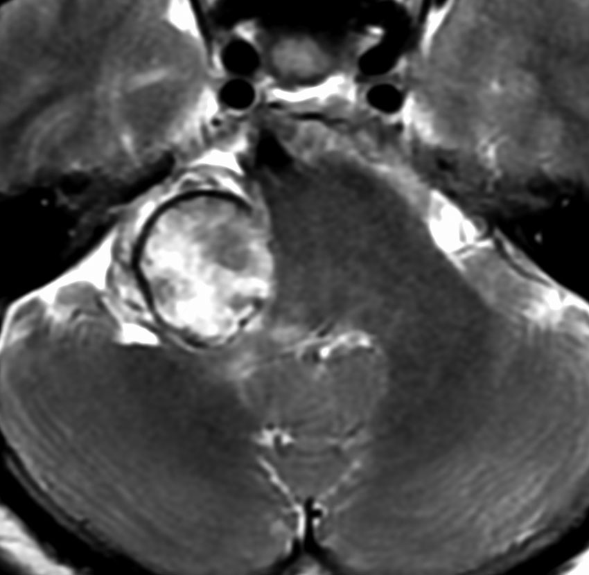
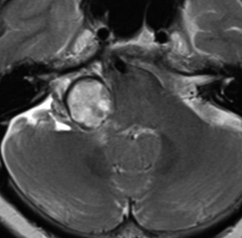
定位分割放射線治療をした聴神経腫瘍の例(左)。20%くらいの確率で放射線治療後に一時的に大きくなることがあります(中央)。やがて小さくなっていきます(右)。放射線治療後に腫瘍が大きくなっても,あわてて手術を受け入れてはいけません。
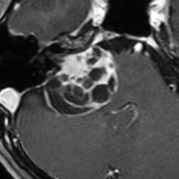
この画像はMRIのCISS/FIESTA画像というのを用いています。造影剤を使わないでも腫瘍の形と大きさが精密に解るので,経過観察には適している検査法です。
定位放射線治療には2つの方法があります
放射線外科(1回照射) SRS stereotactic radiosurgery(ガンマナイフ)
定位分割照射 fSRTfractionated stereotactic radiotherapy(ノバリス,リニアック,サイバーナイフ)
- 1回で照射するのを放射線外科といいます,何回かに分けるのは分割照射といいます
- 照射装置の商品名として,ガンマナイフ,リニアックメス,サイバーナイフ,トモテラピー,ノバリス,エックスナイフ,ハイパーナイフなどが,いろいろな特徴を持って宣伝されています
- どの装置が格段に優れているという証拠はないので,特定の病院の最新という宣伝文句に惑わされないようにしましょう
- 日本全体ではガンマナイフ治療の方が多いのですが、定位分割照射の方が副作用が少ないです
- ガンマナイフでは入院2-3日でしょう,手術治療よりはずっとリスクも低くて患者さんは楽です
- リニアックでの分割照射の方が聴力の低下や顔面神経麻痺は少ないと考えられますが、最大で50グレイという線量を25回に分けてかけますので,6週間くらいの外来通院が必要になります。
- サイバーナイフや ノバリスでは,3回とか5回とか7回とか13回とかの分割照射にできますから,治療期間が1週間とか2週間でもできます
- ガンマナイフより分割照射が優れている点は,より大きな聴神経腫瘍を治療できることにもあります
- ガンマナイフの治療できる最大の腫瘍の直径は2.5cmと考えてください
- ガンマナイフの欠点は金属のリングを針(ピン)で頭に固定するので痛いから全身麻酔が必要なことです,他の定位照射装置ではプラスチックのマスク(プラスチックシェル)でできます
陽子線は使いません
- お金もかかるし長期の治療実績はありません
ガンマナイフを使ってはいけない時
- 25mmを越える大きさの腫瘍の時は,1回照射であるガンマナイフは理論的にも適さないものです
- 顔面の感覚障害(しびれや痛み)が強い患者さんがガンマナイフを受けると,何年か後で耐えきれない顔面痛(三叉神経障害)となることがあります
- 顔面痛(三叉神経痛)がある場合には,手術摘出した方がよいでしょう
どの程度の大きさまで定位分割照射で治療できるのか?
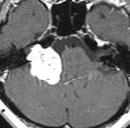
2001年に治療をした,40代女性の大きな聴神経腫瘍です。50グレイ25分割の定位放射線治療を行いました。中央が1年後,右が3年後です。徐々に縮小して手術を必要としませんでした。このサイズの聴神経腫瘍でも放射線治療は選択できるのですが,多くの場合は開頭手術をお勧めするサイズとも言えます。
注意しなければならない水頭症
- 聴神経腫瘍は交通性水頭症(髄液吸収障害)という頭の中に水(髄液)がたまる合併症をしばしば生じます
- MRIで脳室が大きくなって,くも膜下腔が拡大するのが特徴です
- 水頭症が進行すると,意欲がなくなって精神機能が低下して認知症になったり,歩行が不安定になって歩けなくなったり,おしっこを失禁したりする症状が出ます
- 25mm以上の大きめの聴神経腫瘍に多いです
- 放射線治療をしてもしなくてもこの合併症は生じることがありますし,腫瘍の摘出後にさえ生じることもあります
- その時は、シャント手術といって,頭の水(髄液)をお腹の中にチューブを入れて流す簡単な手術をしなければなりません
- 水頭症を合併している聴神経腫瘍を手術で摘出すると水頭症が改善することが多いです
- ですから,比較的若い患者さんで水頭症を合併している時には放射線治療よりも開頭摘出術が勧められます
- 高齢者では判断は難しくなります
- 注意するべきことは,軽度の脳室拡大で症状もない患者さんを,治療が必要な水頭症と勘違いしてはいけないことです
- 小さな腫瘍で水頭症も無症状の初期ならば放射線治療ができます
上の写真が小さな聴神経腫瘍とかなり進行した水頭症です。80歳近い男性の患者さんが認知症(痴呆)とまちがえられていました。おしっこをもらしたり,歩行が不安定でよたよたしていました。これは小さな15mmくらいの聴神経腫瘍があるために水頭症になってしまったから起こった症状です。ですから,脳の中に溜った水をお腹までチューブで流すシャント手術という簡単な手術で認知症も歩行障害も治りました。もちろんこの小さな腫瘍は治療する必要がないので何もしないでほっておきました。おそらくかつてはもっと大きな腫瘍だったのでしょう。
どんな時に手術をするのか
どこまで大きくなったら症状が出るのか
経過観察をして「どの程度の大きさまで様子を見ていいのか」ということをよく患者さんから聞かれます。
これは若い女性のもので,出産したすぐ後で発見されました。仕事もしていて知能も高い女性で,ひどい症状があって見逃されたものではありません。この時点でも普通に歩けますし,かるい頭痛とふらつきと右難聴くらいのものです。水頭症もあり,なんとか顔面神経を残して摘出できました。ここまでほっておくと命が危なくなるので,これで良いという意味ではありませんが,この大きさに近い聴神経腫瘍があっても妊娠出産もできるということです。もっと小さな聴神経腫瘍は慌てないでゆっくり考える。
MIB-1 5%と増大速度が速いタイプでした。
手術で腫瘍を全て取る必要があるのか?
- 必要ありません
- ごく小さな腫瘍を除けば,2018年時点で,世界的標準的には亜全摘出あるいは部分摘出です
- どの程度摘出するかは,2つの考え方があります
- 亜全摘出といって,顔面神経と内耳道底にごくわずかに腫瘍を残します,この方法だと手術後に放射線治療をしないでも済むことが多いです
- ガンマナイフなどの放射線治療を手術後に行う前提で,意図的部分摘出術をします,この方法だと無理せず放射線治療が可能なところまで腫瘍を取ればいいので,手術リスクが低くなります
- 3cmほどの大き目の腫瘍で有用聴力を守りたい時には,部分摘出をして,蝸牛神経を温存します,かなりの腫瘍体積を残すことになり,半年くらい後では放射線治療を加える予定とします
何も考えないで手術しなければならない時
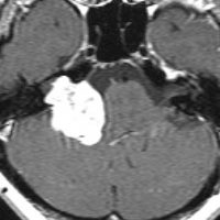
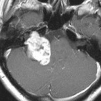
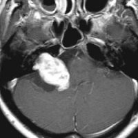
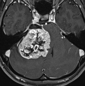
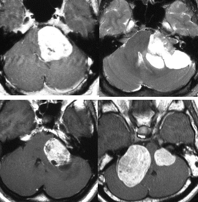
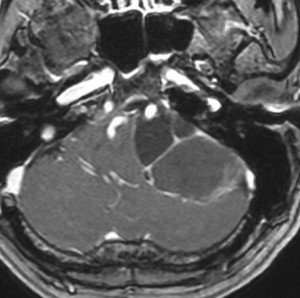
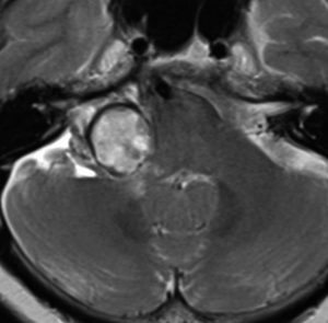
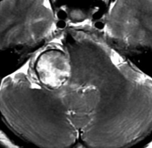
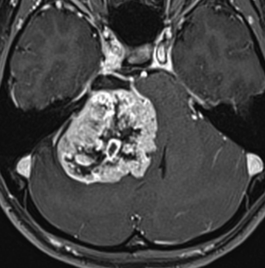
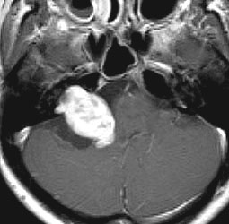
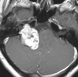
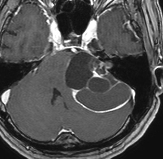
聴神経腫瘍でまず手術が必要なのは巨大なものです。この4枚の写真は私が実際に手術をした患者さんのものです。脳幹部という脳の最も大切なところが腫瘍によって圧迫されて変形しているのが特徴です。右上のものはのう胞性腫瘍なので大きさの割に手術のリスクは高くありませんが,左上のものは実質性で出血性のものですごくリスクが高い手術でした。左下のものは普通のリスク。右下のものは超高難易度のものです。
- 手術するべきかどうかの判断は実際にはとても難しいです
- 3cmくらいまでは定位分割放射線治療で治療できますから,その逆の4cmを超えるものは手術するということになります
- 3cm – 4cmでも脳幹部の変形がとても強いときは手術です
- のう胞性で手術リスクがとても低いと考えられる3cmくらいの腫瘍
- 放射線治療の後で腫瘍が大きくなって来て止まらない場合
- 比較的小さな腫瘍でも明らかに水頭症を併発しているとき(でもシャントだけという選択肢もあります)
どこで手術を受けるのか
外科医がちゃんとした手術成績を得るには,ある程度の手術経験が必要です(英語ではoperative learning curveといいます)。Elsmoreという英国の脳神経外科医によれば,聴神経腫瘍(前庭神経鞘腫)の 手術成績が安定するのは,術者として50人くらいの患者さんを手術した後だとのことです。ですから,ことは簡単で,50例以上の患者さんを手術した経験のある脳外科の先生に手術をしていただきましょう。だからといって安心ができるかどうかはまた別物ですが,手術が必要な場合にはそうしましょう。
放射線治療をした後に再発したときでも手術はできます
Gerganov VM, et al.: Surgical treatment of patients with vestibular schwannomas after failed previous radiosurgery. J Neurosurg 116: 713-720, 2012
ドイツのHannoverという聴神経腫瘍の手術では世界でも最も有名な施設からの報告です。まず,放射線で治療を受ける聴神経腫瘍の患者さんの割合が高くなっていること,放射線治療の後で腫瘍が増大する可能性が2%から9%くらいであること,再発(再燃)であっても脳幹部が強く圧迫されている場合や患者さんの症状が急速に悪くなっている時だけに,開頭手術を行なうべきであることを前提としてます。
15例の患者さんが放射線治療後に腫瘍増大して開頭手術を受けました。全員で腫瘍の全摘出が可能でした。神経損傷もその他の手術合併症も,放射線治療を受けていないで摘出術を受けた例と変わりませんでした。 ただし,術後出血の頻度が少し高く,顔面神経機能温存率 (78%;放射線治療を受けてない群では87%)が低かったとのことです。
「解説」まずこの報告でも95%くらいの患者さんは放射線治療のみで何とかなっていることを認めていることです。外来で,患者さんからしばしばお聞きすることがあります,「放射線治療をすると脳幹部へ癒着がひどくなって再発した時に手術できなくなる」という説明を受けたということです。そんなことはありません,放射線治療後の聴神経腫瘍もたくさん摘出してきましたが,癒着で剥がせないということはありません。しかし,腫瘍が線維化して多少硬くなって摘出の難易度があがることは事実です。
聴力温存手術
この表は,前庭神経鞘腫(聴神経腫瘍)があった29歳女性の右耳の聴力検査 (PTA) です。左が手術前で,1000Hzから2000Hzくらいの会話に使う音域の谷型の聴力低下で,聴神経腫瘍では典型的なものです。
この患者さんには聴力を温存するための手術摘出をしました。右側が腫瘍を摘出した手術後の聴力です。小さな腫瘍 (20mm以下)に限っていえば,半分以上の患者さんで手術でもこのように聴力は温存できるでしょう。しかし,「音の質」というものが問題になることがあります。聴力検査では聴力が残っていても,ひどい耳鳴りが残ったり,ある一定の音だけがすごく響いてしまって良く聞こえないなどの問題が生じることもあります。
急いで手術しなければならない時(緊急手術)
のう胞性拡大,閉塞性水頭症,腫瘍内出血があります
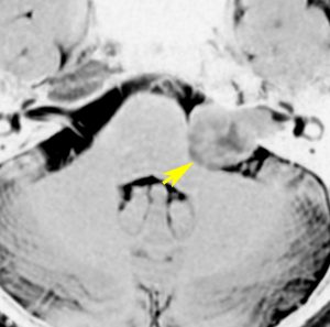
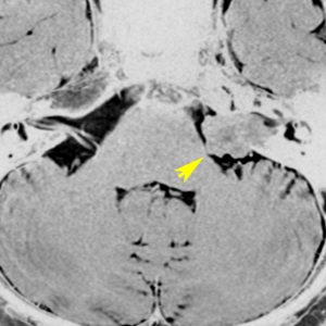
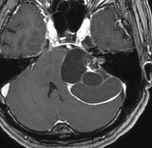
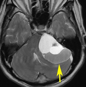
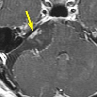
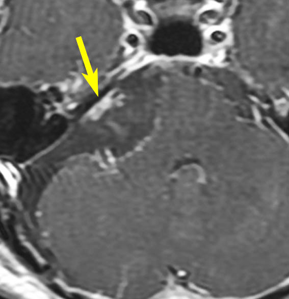
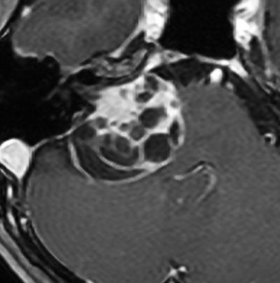
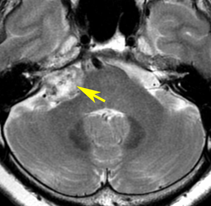
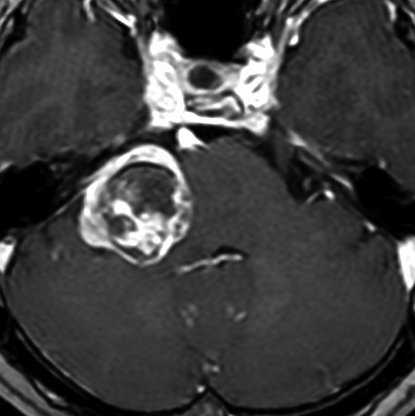
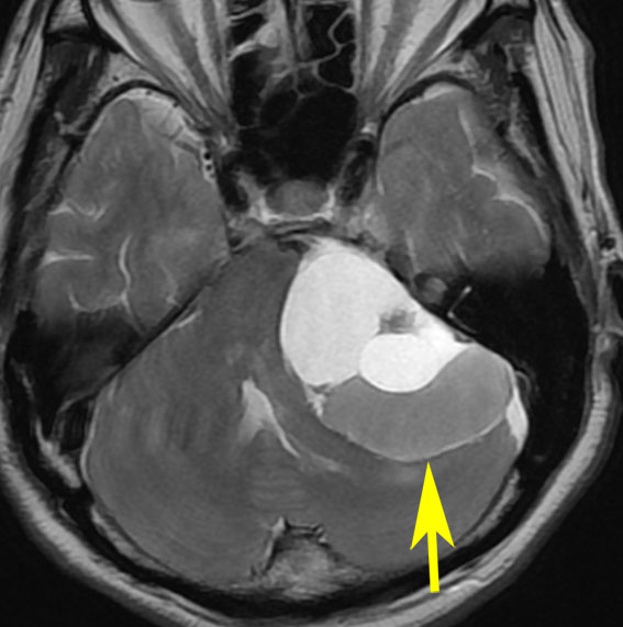
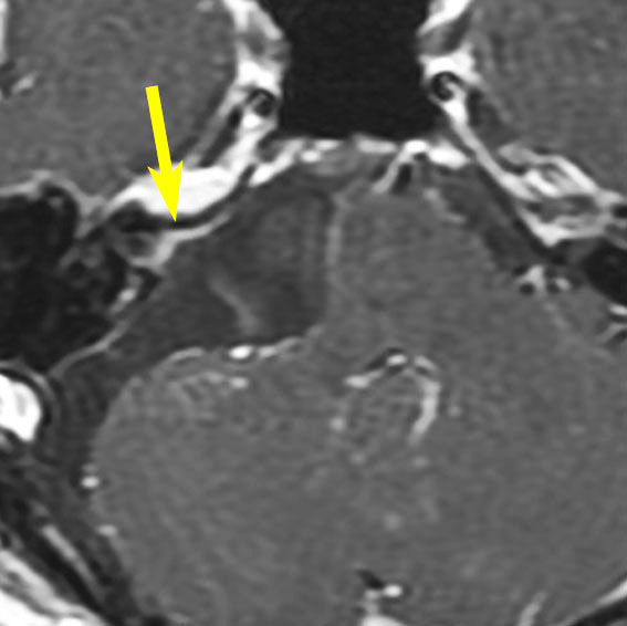
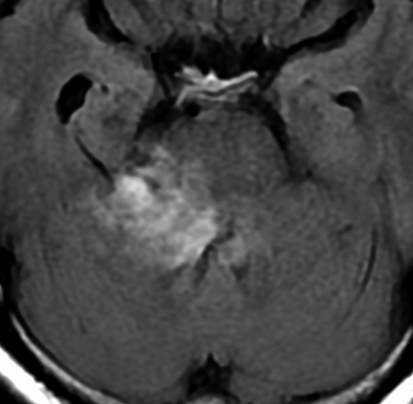
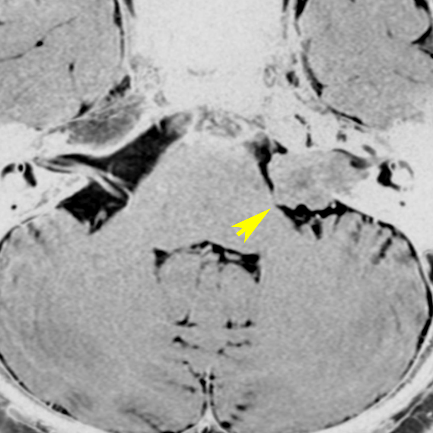
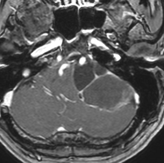
腫瘍が嚢胞性拡大で大きくなって,腫瘍内出血して,閉塞性水頭症になって意識障害を生じた患者さんです。このような事態になると臨時手術で腫瘍を摘出します。
大きなのう胞性聴神経腫瘍です。いくつかの袋が重なって腫瘍を形成しています。橋や延髄(脳幹部)が変形して,第4脳室がつぶれて閉塞しています。袋の周りが白く線状に造影されているのですが,この袋の壁だけに腫瘍細胞がありますから,これを剥がすように摘出します。顔面神経が薄くなって袋の壁にくっついているのですが,袋を破ってくしゃくしゃにすると顔面神経の位置が変わってしまって,顔面神経を損傷することがあるので要注意です。のう胞性聴神経腫瘍の方が顔面神経麻痺の後遺症の頻度が高いという報告もあるくらいです。この患者さんは迷走神経と舌咽神経の圧迫も強くて,ご飯を飲み込むことが難しくなっていました(嚥下障害)。
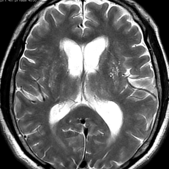
また,この患者さんは急に容態が悪くなって意識障害となりました。何故なら腫瘍の内部で出血したからです(黄色の矢印の部分)。第4脳室が詰まって閉塞性水頭症になって側脳室が拡大しています(右の画像)。
経過観察をするべきか?
2021年でも国際的な合意 international consensus はないです
経過観察したらどうなるのか?
The natural history of vestibular schwannoma growth-prospective 40-year data from an unselected national cohort. Neuro Oncol 2021
デンマークからの報告です。1976年から経過観察とされた前庭神経鞘腫 2,312例,中央値7.3年経過観察した解析です。434例 (19%)で治療が必要となりました。内耳道内102例であったもの,内耳道外332例でした。2mm以上大きくなったものを増大と定義すると,5年で,内耳道内腫瘍は21%,内耳道外腫瘍は37%で増大しました。10年ではそれぞれ,25%と42%でした。増大するものは5年以内に増大し,5年で顕著な増大をしない腫瘍はそのまま経過するという傾向がありました。
「解説」10年見ても半数以上の聴神経腫瘍は増大しない,治療が必要となるものは2割程度ということです。
経過観察したらどうなるのか?
Bakkouri WE: Conservative management of 386 cases of unilateral vestibular schwannoma: tumor growth and consequence for treatment. J Neurosurg 2008
1990-2005年の間に経過観察をした (wait-and-scan)報告です。理由は,60歳以上,一般状態が悪い,良好な聴力がある,腫瘍が小さい,症状が軽い,患者の希望などでした。経過観察のMRIは1年に1回だけです。1年以上経過を見た325人の患者さんで,39例で3mm以上の腫瘍増大があったために治療がなされました。他の患者さんではさらに追記をしたところ,腫瘍の大きさは1年あたり1.15mm (SD 2.4) 増大していました。59%の患者さんでは腫瘍の大きくなりかたは1年に1mm未満でしたが,12%の患者さんで3mm以上増大しました。内耳道内にとどまる小さなものと内耳道をでて大きくなったものでははっきりした差はありませんでした。見つかったときの腫瘍の大きさや年齢と腫瘍の増大速度に関係はなかったとしています。結果的に325人の患者さんの中で,外科手術を受けた人が60人 (18%) で放射線治療を受けた人が17人でした。ということは,248人は経過観察のままでした。「解説」結果的に76% (248/325) の患者さんが経過観察のままで治療なしです。小さな前庭神経鞘腫は経過を見ると3割くらいの人で治療が必要になる,あるいは7割くらいの患者さんでなにもしないまま経過が見れると受け取っていいのかもしれません。
治療の選択
経過観察と定位放射線治療ではどちらが聴力を守れるか?
Maniakas A, et al.: Conservative management versus stereotactic radiation for vestibular schwannomas: a meta-analysis of patients with more than 5 years’ follow-up. Otol Neurotol 33:230-238, 2012
過去の文献を集めて統計学的に結論を推測するメタアナリシスという方法です。5年以上経過観察された例で,両者に差がなかったという結論です。聴神経腫瘍を何もしないで放置しても定位放射線治療しても長期成績に大差はない。ただし,定位照射しておいたほうが腫瘍が増大する可能性はもちろん低くなります。逆に,定位照射をしたからといって聴力が守れるわけではないということです。
摘出手術と放射線外科治療を同じ施設で比べたら
Pollock BE, et al.: Patient outcomes after vestibular schwannoma management: a prospective comparison of microsugical resection and stereotactic radiosurgery. Neurosurgery 59: 77-85, 2006
メイヨ・クリニックという米国でも名高い病院からの報告です。計画的に前向き試験で調査されました。3cm以下の聴神経腫瘍がある患者さんで,36人が外科摘出を受け,46人が放射線治療を受けました。観察期間中央値42ヶ月です。放射線治療の方が顔面神経と聴力の温存は明らかに良好でした (p<0.001)。また,ふらつき,めまい,運動能力,痛みなど様々な身体合併症も外科手術の方が多かったとのことです。腫瘍のコントロール率に差はなく,結論として,短期成績を見る限りエビデンスレベル2という高い価値で放射線外科治療のほうが摘出手術よりも優れているとしています。
聴力を守るためには1回照射(ガンマナイフ)と分割照射(リニアック)のどちらが良いか?
患者さんからしばしば聞かれる質問です。文献を読んでもどちらも聴力温存は期待できると書いてありますから,どちらが良いのか専門家にもよくわかりません。私は脳外科医ですから放射線治療医より客観的な立場でこれを評価できるはずなのですが,確信を持って判断できないです。そこで参考になる論文があります。
Andrew DW et al.: Stereotactic radiosurgery and fractinated stereotactic radiotherapy for the treatment of acoustic schwannomas: comparative observations of 125 patients treated at one institution. Int J Radiat Oncol Biol Phys 50: 1265-1278, 2001
フィラデルフィアのトーマスジェファーソン病院で,ガンマナイフ(1回照射)とリニアック(多数回分割照射)の両方が使えます。そこで,69人の患者さんはガンマナイフ,56人の患者さんはリニアックで治療されました。腫瘍の増大を止める効果や副作用にほとんど差がありませんでした。しかし,治療前に良い聴力を持っていた人では分割照射の方が2.5倍くらい聴力温存ができたとのことです。これは一つの病院で同じグループが両方の手段を使って比較した結果なのでかなり信用できます。一つだけ注意しておかなければなりません。分割照射では1日あたり2グレイが使用されたことです。これ以上の1日照射量だとこの成績は出ないかもしれません。
結論として,分割照射の方が聴力を守れると考えられます。
1回照射(放射線外科)と定位分割照射(多数回分割)のどちらが良いか?
Kopp C et al.: Stereotactic fractionated radiotherapy and LINAC radiosurgery in the treatment of vestibular schwannoma-report about both stereotactic methods from a single institution. Int J Radiat Oncol Biol Phys 80: 1485-1491, 2011
ミュンヘンの大学からの報告です。同じ施設で放射線外科 (radiosurgery)と定位分割照射 (fractionated radiaiton therapy)を10年間使い分けて115例の患者さんが治療されました。使い分けの基準は最大径で15mm以下のものは放射線外 SRS ,15mm以上のものが分割照射 SRT の目安とのことです。もちろん小さなものにも分割照射は使えますが,逆に大きなものには放射線外科(1回照射)はリスクが高いとの考えに基づくものです。特に成績の違いがないとの結論ですが,三叉神経障害は放射線外科のほうが多かったとのことです。
SRT 多分割定位放射線治療の成績
Combs SE et al.: Management of acoustic neuromas with fractionated stereotactic radiotherapy (FSRT): long-term results in 106 patients treated in a single institution. Int J Radiat Oncol Biol Phys 63:75-81, 2005
ドイツからの報告です。106人の患者さんを1日1.8グレイ,1週間に5回の照射で,総線量57.6グレイで治療した成績です。5年の時点で腫瘍が大きくならなかった割合は93%でした。有用聴力のあった患者さんで5年後に聴力温存ができたのは94%と書かれています。神経線維腫症2型NF-2の患者さんでの聴力温存率は低くて64%でした。顔面神経麻痺が2.3%,三叉神経障害が3.4%あったとのことです。NF-2の患者さんを除けば,Gardner-Robertsonの分類でクラス1と2の患者さんで,5年後に有用聴力が98%も残ったとありますから,ちょっと信じられないくらい良い成績です? ほんとかな?
Kapoor S, et al.: Long-term outcomes of vestibular schwannomas treated with fractionated stereotactic radiotherapy: an institutional experience. Int J Radiat Oncol Biol Phys 81: 647-653, 2011
ジョンズホプキンス病院からの報告です。1995年から385人の患者さんが定位分割照射で治療されました。11人(3%)の患者さんが腫瘍増大で手術摘出を受けました。30%の患者さんで一時的にであれ腫瘍増大は生じたそうです。8例 (1.8%)で顔面麻痺が発生し,12例 (2.8%)で三叉神経障害が出ています。水頭症になったのはたったの4例 (0.9%)というから驚きです。外来できちんと認知機能の経過観察されていないかもしれません。しかし,97%の患者さんは定位分割照射だけで,リスクの高い開頭手術を受けないで済んでいるということです。
SRS 放射線外科治療での聴力温存
Carlson ML, et al.: Long-term hearing outcomes following stereotactic radiosurgery for vestibular schwannoma: patterns of hearing loss and variables influencing audiometric decline. J Neurosurg 118:579-587, 2013
メイヨクリニックからの報告です。有用聴力のある44人の患者さんが,低辺縁線量 12-13グレイで1回照射 SRSを受けました。追跡期間中央値は9年です。36人(82%)の患者さんが有用聴力を失いました。平均期間は放射線外科治療後4.2年です。10年間有用聴力を維持できる確率は23%と推定されました。
「解説」メイヨクリニックからのとても正直で正確な分析ですから,信頼するに値するデータです。でもこの成績の低さには驚きました。このような研究で正確に長い期間を追跡すればするほど,成績は低下するというのが実感できるような論文です。逆に英語の論文でも,中途半端に良い成績は信用できないです(特に手術成績の論文に多い)。
Yomo S, et al.: Longitudinal analysis of hearing before and after radiosurgery for vestibular schwannoma. J Neurosurg 117: 877-885, 2012
マルセイユからの報告です。154人の患者さんですが,少なくとも6ヶ月間以上の経過観察をされ,その後に辺縁線量12.1グレイのガンマナイフ治療がされています。1年間の聴力低下割合は経過観察期間で5.39 dB/year,ガンマナイフ治療後で3.77 dB/yearであり,有意差をもってガンマナイフ後の聴力の方が低下率が低かったとのことです。ほとんど聴力が正常であった患者さん(GR class I)では逆に,経過観察期間で-0.57 dB/year,ガンマナイフ治療後で3.59 dB/yearであり,有意差をもってガンマナイフ後の聴力の低下率が高かったとのことです。
「解説」ガンマナイフ治療が聴力温存に寄与するかどうかの結論は出ていないとしてます。この論文でも非常に良い聴力を持っている聴神経腫瘍の患者さんではガンマナイフ治療した方が,経過観察よりも聴力低下は早まるということを暗示しているデータです。
Kondziolka D, et al.: The newly diagnosed vestibular schwannoma: radiosurgery, resection, or observation? Neurosurg Focu 33: 2012
ピッツバーグからの報告ですが,上の二つの論文とは意見が異なります。経過観察 wait and scanを選択したほとんどの患者さんで有用聴力が5年以内になくなるのに対して,ガンマナイフ SRSを行なった患者さんでは61-80%で,3から5年後でも有用聴力 (語音弁別 > 50%, 純音聴力 < 50dB)が温存されているということです。小さな聴神経腫瘍で聴力を守りたい場合には早めのガンマナイフ治療が良いと結論しています。
「解説」世界でも最も多い症例数を誇る大学からの報告です。気をつけなければならないのはガンマナイフ3年以上経っても聴力低下はあり得ることです。やはり結論はいまだなく,小さな聴神経腫瘍で良い聴力をもっている患者さんに,早めに放射線治療をするかどうかは,患者さんの選択肢といえます。
Baschnagel AM, et al.: Hearing preservation in patients with vestibular schwannoma treated with Gamma Knife surgery. J Neurosurg. 118: 571-578, 2013
音は蝸牛という器官で聞こえてから聴神経(蝸牛神経)で脳に伝わります。聴神経腫瘍を治療するとき,腫瘍辺縁線量12.5グレイのまま,蝸牛の被曝線量を2.7グレイまで落とすと,7割くらいの患者さんでガンマナイフ3年後でも有用聴力が温存できたという結果です。
「解説」この成績でようやく分割照射と同じくらいでしょう。問題はやはり3年以降でも聴力低下は続くことです。もっと経過を見ると最終的には5割くらいの温存率かそれ以下になるかもしれません。 しかし,蝸牛の被曝線量を下げればより良く聴力が温存できるというのは重要な事実です。
聴神経腫瘍の手術死亡率 0.3%,米国の開頭科手術は減っている
Patel S, et al.: Trends in Surgical Use and Associated Patient Outcomes in the Treatment of Acoustic Neuroma. World Neurosurg. 2012 Jun 19. [Epub ahead of print]
Center for Neurosurgical Outcomes Research(米国の脳神経外科の治療結果の集計センターみたいなところ)からの報告です。2000年から2007年までに14.928人の聴神経腫瘍の患者さんが手術を受けました。大きな病院での年間件数は,2000年が2,054例,2007年が1,467例と29%減少していました。手術死亡率は0.3%でこの期間で変化はありません。しかし,合併症率が21.5%から23.3%と増加いていました。症例数の多い施設では合併症率が10%も低かったとのことです。数年間に41%も手術件数が減っていて,これは定位放射線治療の割合が増えているからだそうで,開頭手術の合併症が多くなっている理由は,より大きな腫瘍で手術適応となっているからだと推定されています。
手術関連の死亡率は,3% ? 0.3%?
Thakur JD, et al.: Do cystic vestibular schwannomas have worse surgical outcomes? Systematic analysis of the literature. Neurosurg Focus. 2012 Sep;33
そもそもは,1990年から2011年の論文報告で,のう胞性聴神経腫瘍(CVS 428例)と充実性聴神経腫瘍(SVS 1,287例)の手術結果を分析した論文です。のう胞性聴神経腫瘍 cystic vestibular schwannomaの方が顔面神経合併症の割合が高いと結論しています。
驚くことに,The perioperative mortality rates for CVSs and SVSs were not significantly different (3% and 3.8%, respectively; p = 0.6).と書かれてありました。1,000例くらいの手術結果から,手術関連死亡率は3%程度であったとのことです\(◎∠◎)/
この論文は米国脳神経外科学会の機関誌に2012年に掲載されたものです。ほんとかな? おそらく一桁ちがうのかも? でも大きく外れてはいないのかもしれませんヾ( ̄0 ̄;ノ 外科手術の成績はあまり正直なデータがでてきませんから,もしかするとほんとかもしれません。
ガンマナイフ治療をしても腫瘍は悪性化しない
Rowe J, Grainger A, Walton L, Silcocks P, Radatz M, Kemeny A. Risk of malignancy after gammaknife stereotactic radiosurgery. Neurosurgery 60: 60-66, 2007
イギリスからの報告です。5,000人の良性脳腫瘍の患者さんがガンマナイフ治療を受け,1,200人の患者さんが10年以上追跡されました。結果は,ただ一人の患者さんで星細胞腫が発生しました。照射治療後自然発生率を推計すると2.47人 (?) 発生したはずでした。結論として,ガンマナイフ治療で良性脳腫瘍が悪性化するあるいは悪性腫瘍が発生するとは言えないとしています。
定位放射線治療による悪性腫瘍の発生
Tanbouzi Husseini S, et al.: Malignancy in vestibular schwannoma after stereotactic radiotherapy: a case report and review of the literature. Laryngoscope 121:923-928, 2011
聴神経腫瘍への定位放射線治療を受けた患者さんで,2011年までに26例の悪性脳腫瘍の発生が報告されているそうです。その内の13例 (50%)が神経線維腫症2型の患者さんでした。通常の聴神経腫瘍では世界で13例ということになります。悪性腫瘍の発生の時期は平均5.8年であったそうです。特筆すべきことには,2.5cm以下の腫瘍では一例も悪性腫瘍の発生がなかったとのことです。
「解説」世界中でものすごい数の聴神経腫瘍が定位放射線治療で治療されています。それで13例ですからかなり低いリスクと言えます。腫瘍を病理診断することなく放射線治療さますから,治療前から悪性の聴神経腫瘍であったということを考えれば更に低い確率となるでしょう。また,定位放射線治療されるほとんどの聴神経腫瘍は2.5cm以下の大きさでしょうから,聴神経腫瘍の悪性化というのは現実には限りなくゼロに近い数字だと推測されます。
放射線外科治療後の聴神経腫瘍の悪性化
Yanamadala V, et al.: Malignant transformation of a vestibular schwannoma after gamma knife radiosurgery. World Neurosurg 79: 593, 2013
ハーバード大学からの報告です。ガンマナイフ後59ヶ月で聴神経腫瘍が悪性化したとの症例報告です。2013年の報告ですが,それまでに悪性聴神経腫瘍の文献報告は18例しかないから極めてまれで,病理学的に証明されているのは6例に過ぎないとあります。
「解説」この論文でも世界で十数人の報告しかないとまとめています。英語の論文に実際に報告されるのは氷山の一角ですから,実数は100倍くらいあるのかもしれません。でも何千人です。聴神経腫瘍の手術での死亡報告は滅多にされませんので,世界中で手術関連死する患者さんは更にその10倍くらいはいたのかもしれません。
放射線外科治療をすると20%くらいの確率で一時的に腫瘍が大きくなる
Hayhurst C, et al.: Tumor pseudoprogression following radiosurgery for vestibular schwannoma. Neuro Oncol 14:87-92, 2012
トロント大学からの報告です。放射線外科治療後に 23%で一時的な腫瘍の増大傾向 pseudoprogression があったとのことです。これは治療6ヶ月後くらいから生じたそうです。一時的ではない増大は12%に生じました。結果的に,75人の患者さんのうち3人 (4%)で開頭手術による摘出が必要となりました。結論として,治療後24ヶ月の間はもし腫瘍が増大しても,治療が失敗したと判断してはならないと述べています。
40歳以下の若い患者さんでの放射線外科治療は
Lobato-Polo J, et al.: Gamma knife radiosurgery in younger patients with vestibular schwannomas. Neurosurgery 65:294-300, 2009
13歳から40歳の55人の患者さんがガンマナイフ治療を受けました。追跡機間中央値5年で,2人の患者さんが再照射を受けました。96%の患者さんが1度のガンマナイフ治療で済んだとこのとでした。ガードナー・ロバートソンの聴力評価では,治療10年後に87%の患者さんで聴力が低下することなく同じレベルに留まっていたとのことです。特に良い聴力を有していた患者さんの93%で10年後にも聴力が温存できました。中等度の顔面麻痺が一人の患者さんに出ましたが,これは腫瘍周辺線量が20Gy入ったためだと分析されました。全員が元の生活に戻れています。腫瘍辺縁線量が13グレイ未満だと神経障害がほとんどないと強調されています。
「解説」ピッツバーグ大学からの極めてレベルの高い治療成績です。これにもとづけば外科手術の出る幕は全くありません。若い年齢層なので放射線誘発二次腫瘍も調べられていますが,発生はありませんでした。
ガンマナイフの超長期成績
Hasegawa T, et al.: Long-term safety and efficacy of stereotactic radiosurgery for vestibular schwannomas: evaluation of 440 patients more than 10 years after treatment with Gamma Knife surgery. J Neurosurg 118: 557-65, 2013
小牧市民病院からの報告です。1991年から2000年までに治療を受けた440人の結果です。腫瘍体積中央値 2.8cc,辺縁線量中央値 12.8グレイと比較的低い値です。治療後10年での腫瘍が大きくならなかった割合は92%でした。10年以上経って腫瘍が増大したケースはなかったとのことです。治療時に脳幹部の変形が強かった例,辺縁線量が13グレイ以下であった例で治療後の悪化(progression)が多かったとのことです。10年の時点での顔面神経機能が守れた割合は,13グレイ以下で100%,13グレイ以上で97%でした。一人の患者さん (0.3%) で腫瘍の悪性化が生じました。
「解説」ガンマナイフ治療では顔面神経麻痺のリスクは1%以下であるという従来の成績を確認できるものです。一方の開頭手術では数%を超えるでしょう。聴神経腫瘍の手術に慣れていない脳外科医の成績では顔面神経麻痺が20-30%くらい出現するという意見もあります。また0.3%(1例しかないのでこの数字は不確か)で腫瘍の悪性化があるとの報告ですが,開頭外科手術での手術関連死亡例は報告されませんが少ないものではありません。8%で腫瘍増大などが生じていますが,開頭外科手術での再発(再燃)割合は10%を超えるかもしれません。総じて,外科手術成績はこのような観点からも放射線外科の成績に劣ると言わざるを得ません。
Sun S, et al.: Long-term follow-up studies of Gamma Knife surgery with a low margin dose for vestibular schwannoma. J Neurosurg 117: 57-62, 2012
北京の天壇病院からの報告です。190人の患者さんが治療され,追跡期間中央値は9年です。腫瘍体積中央値は3.6ccで,辺縁線量中央値は13グレイでした。腫瘍増大は20人(10.5%)で生じました。腫瘍の制御率は10年で86%,15年で79%と記載されていて,治療10年を過ぎても増大することが示唆されますから,小牧市民病院からの報告とは異なります。聴力温存割合は5年で92%,10年で70%ですが,この悪化は加齢による聴力低下を考慮に入れる必要があります。2例 (1.1%)で軽度の顔面神経麻痺が残存しました。ひどい顔面神経麻痺や顔面痛は一例も生じなかったそうです。
手術の方法と合併症
Ansari SF, et al.: Surgery for vestibular schwannomas: a systematic review of complications by approach. Neurosurg Focus. 2012 Sep; 33
手術方法と手術合併症をまとめた総論で,5,064人の患者さん分析です。1.5cm以下の小さな腫瘍に限っては,中頭蓋窩法で43.6%の患者さんで聴力低下がしょうじ,外側後頭下開頭 (lateral suboccipital approach, retrosigmoid approach) では64.3%の患者さんで聴力低下が生じたそうです。逆に,内耳道ないに限局する小さな腫瘍では,中頭蓋窩法 (16%) の方が外側後頭下開頭 (4%) より顔面神経麻痺の頻度が高かったとされています。1.5cm以下のものでは,経迷路法という手術法で顔面神経麻痺の頻度が高くなります。1.5cmから3cmのものでは,外側後頭下開頭で顔面神経損傷の割合 (6.1%) は最も低くなっています。外側後頭下開頭で目立った合併症は術後の髄液漏でした。結論として,外側後頭下開頭がもっとも用途が広く (versatile corridor)顔面神経の温存率が高いと述べられています。
「解説」実際に近年では,ほとんどの聴神経腫瘍の手術は外側後頭下開頭 (lateral suboccipital approach, retrosigmoid approach) で行なわれています。かなり巨大な聴神経腫瘍でも私はこの手術方法しかしません。
腫瘍を全部摘出しようとすると顔面神経麻痺のリスクが高くなる
Gurgel RK, et al.: Facial nerve outcomes after surgery for large vestibular schwannomas: do surgical approach and extent of resection matter? Neurosurg Focus 33: 2012
スタンフォード大学からの報告で,2.5cm以上の大きさの聴神経腫瘍が対象です。文献報告された1,688例の手術結果を分析しました。顔面神経が温存できた率 (House-Blackman Grade 1と2)は,経迷路法 translabyrinthineで62.5%,外側後頭下開頭 retrosigmoidで65.2%でした。腫瘍の摘出率と顔面神経の温存率は関連があり,全摘出 gross totalすると47%しか顔面神経が守れませんが,亜全摘出 near-totalでは75%,それ以下の摘出率 subtotalでは93%で顔面神経機能が残ったということです。
「解説」他の文献の記述にも多いのですが,無理に全摘出しようとすると顔面神経麻痺がかなり高率に出てしまうということです。手術は無理しないで顔面神経を守るという方針が大切です。
大きな聴神経腫瘍は手術で部分で既出して術後に放射線治療を使う
Pan HC, et al.: Intracapsular decompression or radical resection followed by Gamma Knife surgery for patients harboring a large vestibular schwannoma. J Neurosurg 117 Suppl: 69-77, 2012
台湾の台中病院からの報告です。3cm以上の大きな聴神経腫瘍の患者さん35人を,部分摘出(およそ半分くらいの摘出)とガンマナイフ治療の組み合わせ,あるいは積極的な摘出術のみで治療がされました。部分摘出とガンマナイフで治療した患者さんは顔面神経機能と聴力が温存できましたが,手術のみで治療を試みた群の成績は悪く,顔面麻痺が65%に出たとのことです。
「解説」大した論文ではありませんし,この考え方はずっと以前からあるものです。大きな聴神経腫瘍を無理して全摘出しようとする考え方はすでに捨てられていると思います。しかし,この論文を鵜呑みにしないように,以下の点に注意しなければなりません。
- 部分摘出後に残存腫瘍から術後出血が生じることがあります
- 3分の2,半分くらいの摘出では腫瘍が縮みません
- 腫瘍を薄くして極わずかに残すくらいの摘出ができると,腫瘍が縮んで脳幹部の圧迫がとれます
- それであれば術後の放射線治療はより安全です
- 本当にごくわずかの残存腫瘍なら,放射線治療を加えないでほっておいても再発(再燃)しないことも多いです
たとえば部分摘出とはどんな感じ?
腫瘍の部分摘出です。手術翌日のMRIです。黄色の矢印の先に白く写っているのがごくわずかな残存腫瘍で,厚さ数mmくらいです。なぜこの部位だけ残すかというと顔面神経がペラペラになっていて腫瘍が外せないからです。このくらい取れると放射線治療を加えないで経過観察します。大きな塊が残ってしまうような部分摘出ではだめです。
水頭症があるとき
Gerganov VM, et al.: Hydrocephalus associated with vestibular schwannomas: management options and factors predicting the outcome. J Neurosurg 114:1209-1215, 2011
ハノーバーからの報告です。ある一定期間に治療を受けた400人の患者さんを調べると53人(13%)の患者さんで水頭症があったとのことです。その内の48人が腫瘍の摘出を受けました。42人 (87.5%)で水頭症に対する治療は必要ありませんでした。残りの6人が水頭症に対する治療を受けました(V-Pシャント手術は3人)。腫瘍が大きくて腫瘍境界がが不整で,水頭症の程度がひどかった患者さんであったそうです。
「解説」私が2003年に同じ雑誌 (J Neurosurg)に報告したシリーズでは,定位放射線治療後に水頭症が進行してシャント手術を要した患者さんが11%もいました。ハノーバーからのこの報告では0.75%です。母集団が違うのですが,髄液吸収障害(交通性水頭症)がある大きな聴神経腫瘍の患者さんでは,開頭手術を選択した方がいいと結論できます。ただし,小さな腫瘍でとても軽度の脳室拡大(水頭症)しかない腫瘍では放射線治療が可能です。
大きな腫瘍を定位放射線治療したら成績が悪かった
Mandl ES et al. :Stereotactic radiation therapy for large vestibular schwannomas. Radiother Oncol 95: 94-98, 2010
オランダからの報告です。30mm以上ある大きな前庭神経鞘腫をもった25人の患者さんが治療されました。実際に5例で顔面神経麻痺が出て,5年目くらいで20%の患者さんで顔面麻痺の出現割合であり,腫瘍の進行は4例 (16%)であったとのことです。従来報告されていた成績よりも,大きな前庭神経鞘腫の放射線治療の成績は悪いのであると結論しています。
「解説」この論文の著者は大きな勘違いをしています。大きな前庭神経鞘腫にはSRS (定位放射線外科)は適さないということはわかりきっているのに,大きな腫瘍に定位分割照射と放射線外科治療をまぜこぜに使って結果を分析しているからです。SRTを用いるべきでした。
神経鞘腫 schwannoma
神経鞘腫は末梢神経のシュワン細胞より発生する腫瘍で,原発性脳腫瘍中およそ10%と頻度の高い腫瘍です。20〜50歳代の成人に多いもので,子どもにはとても珍しいです。前庭神経(第8脳神経いわゆる聴神経)に最も多く,次いで三叉神経,稀に顔面神経,舌下神経,迷走神経(頚静脈孔腫瘍)にも発生します。脊柱管内では,頸部や腰部の脊髄後根にも発生することがあります。両側の第8脳神経(聴神経)に腫瘍がある場合や多発性神経鞘腫では,神経線維腫症2型 neurofibromatosis type 2 (NF-2)です(別ページに書いています)。
聴神経腫瘍(前庭神経鞘腫)は,脳ドックなどで偶然発見されることが多くなっています。2005年のLinらの報告ではMRI検査46,414例で8例 (0.02%) の聴神経腫瘍 incidental acoustic neuroma が発見されたとありますが,剖検例での報告はさらに高く,高解像度のMRIではもっと頻度の高いものであるという報告もあります。人口10,000あたり2-7人の有病率(2,000人に一人くらいは持っている)と捉えられますからとても多い腫瘍です。
病理組織学的には,紡錐型の核を有する腫瘍細胞で構成される良性腫瘍です。古典的病理所見として,束状 fascicular に配列する密な組織である Antoni A Type と網状 reticular で疎な組織である Antoni B Type が混在するパターンが特徴です。隣り合う細胞核の柵状配列 palisade arrangement は,組織診断上の大切な所見です。神経鞘腫では多少の核の異型性がみられても悪性像とはいえません。嚢胞を形成したり,時には毛細血管拡張を思わせるような著明な血管の増生があり腫瘍内出血をきたすことがあります。神経鞘腫の一部は,第22染色体長腕上のNF-2遺伝子の欠失あるいは変異によって発生するとされていて,この細胞骨格を形成する蛋白 merlinをコードするNF-2遺伝子は,髄膜腫や脊髄上衣腫の発生にも関与します。
文献です
- Ansari SF, et al.: Surgery for vestibular schwannomas: a systematic review of complications by approach. Neurosurg Focus. 2012 Sep; 33
- Aoyama H, Onodera S, Takeichi N, Onimaru R, Terasaka S, Sawamura Y, Shirato H: Symptomatic outcomes in relation to tumor expansion after fractionated stereotactic radiation therapy for vestibular schwannomas: single-institutional long-term experience. Int J Radiat Oncol Biol Phys 85: 329-34, 2013
- Andrew DW et al.: Stereotactic radiosurgery and fractinated stereotactic radiotherapy for the treatment of acoustic schwannomas: comparative observations of 125 patients treated at one institution. Int J Radiat Oncol Biol Phys 50: 1265-1278, 2001
- Bakkouri WE, et al.: Conservative management of 386 cases of unilateral vestibular schwannoma: tumor growth and consequence for treatment. J Neurosurg 2008 (Epub)
- Baschnagel AM, et al.: Hearing preservation in patients with vestibular schwannoma treated with Gamma Knife surgery. J Neurosurg. 118: 571-578, 2013
- Carlson ML, et al.: Long-term hearing outcomes following stereotactic radiosurgery for vestibular schwannoma: patterns of hearing loss and variables influencing audiometric decline. J Neurosurg 118:579-587, 2013
- Combs SE et al.: Management of acoustic neuromas with fractionated stereotactic radiotherapy (FSRT): long-term results in 106 patients treated in a single institution. Int J Radiat Oncol Biol Phys 63:75-81, 2005
- Elsmore AJ, Mendoza ND: The operative learning curve for vestibular schwannoma excision via the retrosigmoid approach. Br J Neurosurg 16: 448-455, 2002
- Gerganov VM, et al.: Hydrocephalus associated with vestibular schwannomas: management options and factors predicting the outcome. J Neurosurg 114:1209-1215, 2011
- Gerganov VM, et al.: Surgical treatment of patients with vestibular schwannomas after failed previous radiosurgery. J Neurosurg 116: 713-720, 2012
- Gurgel RK, et al.: Facial nerve outcomes after surgery for large vestibular schwannomas: do surgical approach and extent of resection matter? Neurosurg Focus 33: 2012
- Hasegawa T, et al.: Long-term safety and efficacy of stereotactic radiosurgery for vestibular schwannomas: evaluation of 440 patients more than 10 years after treatment with Gamma Knife surgery. J Neurosurg 118: 557-65, 2013
- Hayhurst C, et al.: Tumor pseudoprogression following radiosurgery for vestibular schwannoma. Neuro Oncol 14:87-92, 2012
- Kagei K, Shirato H, Suzuki K, Isu T, Sawamura Y, Sakamoto T, Fukuda S, Nishioka T, Hashimoto S, Miyasaka K.Small-field fractionated radiotherapy with or without stereotactic boost for vestibular schwannoma. Radiother Oncol 50: 341-347, 1999
- Kapoor S, et al.: Long-term outcomes of vestibular schwannomas treated with fractionated stereotactic radiotherapy: an institutional experience. Int J Radiat Oncol Biol Phys 81: 647-653, 2011
- Kondziolka D, et al.: The newly diagnosed vestibular schwannoma: radiosurgery, resection, or observation? Neurosurg Focu 33: 2012
- Kopp C et al.: Stereotactic fractionated radiotherapy and LINAC radiosurgery in the treatment of vestibular schwannoma-report about both stereotactic methods from a single institution. Int J Radiat Oncol Biol Phys 80: 1485-1491, 2011
- Lin D, et al.: The prevalence of incidental atoustic neuroma. Arch Otolaryngol Head Neck Surg 131: 241-244, 2005
- Lobato-Polo J, et al.: Gamma knife radiosurgery in younger patients with vestibular schwannomas. Neurosurgery 65:294-300, 2009
- Mandl ES et al. :Stereotactic radiation therapy for large vestibular schwannomas. Radiother Oncol 95: 94-98, 2010
- Maniakas A, et al.: Conservative management versus stereotactic radiation for vestibular schwannomas: a meta-analysis of patients with more than 5 years’ follow-up. Otol Neurotol 33:230-238, 2012
- Myrseth E et. al.: Treatment of vestibular schwannomas. Why, when and how? Acta Neurochir 149: 647-660, 2007
- Patel S, et al.: Trends in Surgical Use and Associated Patient Outcomes in the Treatment of Acoustic Neuroma. World Neurosurg. 2012 Jun 19. [Epub ahead of print]
- Pollock BE, et al.: Patient outcomes after vestibular schwannoma management: a prospective comparison of microsugical resection and stereotactic radiosurgery. Neurosurgery 59: 77-85, 2006
- Rowe J, Grainger A, Walton L, Silcocks P, Radatz M, Kemeny A. Risk of malignancy after gammaknife stereotactic radiosurgery. Neurosurgery 60: 60-66, 2007
- Sakamoto T, Shirato H, Sato N, Kagei K, Sawamura Y, Suzuki K, Takizawa H, Hokunan K, Isu T, Fukuda S, Inuyama Y, Miyasaka K. Audiological assessment before and after fractionated stereotactic irradiation for vestibular schwannoma. Radiother Oncol 49: 185-190, 1998
- Sawamura Y, Shirato H, Sakamoto T, Aoyama H, Suzuki K, Onimaru R, Isu T, Fukuda S, Miyasaka K: Management of vestibular schwannoma by fractionated stereotactic radiotherapy and associated cerebrospinal fluid malabsorption. J Neurosurg 99:685-92, 2003
- Shirato H, Sakamoto T, Takeichi N, Aoyama H, Suzuki K, Kagei K, Nishioka T, Fukuda S, Sawamura Y, Miyasaka K: Fractionated stereotactic radiotherapy for vestibular schwannoma (VS): comparison between cystic-type and solid-type VS. Int J Radiat Oncol Biol Phys 48:1395-1401, 2000
- Shirato H, Sakamoto T, Sawamura Y, Kagei K, Isu T, Kato T, Fukuda S, Suzuki K, Soma S, Inuyama Y, Miyasaka K. Comparison between observation policy and fractionated stereotactic radiotherapy (SRT) as an initial management for vestibular schwannoma. Int J Radiat Oncol Biol Phys 44: 545-550, 1999
- Sun S, et al.: Long-term follow-up studies of Gamma Knife surgery with a low margin dose for vestibular schwannoma. J Neurosurg 117: 57-62, 2012
- Tanbouzi Husseini S, et al.: Malignancy in vestibular schwannoma after stereotactic radiotherapy: a case report and review of the literature. Laryngoscope 121:923-928, 2011
- Thakur JD, et al.: Do cystic vestibular schwannomas have worse surgical outcomes? Systematic analysis of the literature. Neurosurg Focus. 2012 Sep;33
- Yanamadala V, et al.: Malignant transformation of a vestibular schwannoma after gamma knife radiosurgery. World Neurosurg 79: 593, 2013
- Yomo S, et al.: Longitudinal analysis of hearing before and after radiosurgery for vestibular schwannoma. J Neurosurg 117: 877-885, 2012
付録
水頭症の自然寛解

8年間観察したら自然に良くなった聴神経腫瘍に合併する水頭症です。しかし,水頭症が自然寛解することはほとんどないことです。
放射線治療後の腫瘍内出血と血管腫発生
左は放射線治療後5年半のMRIで,腫瘍は順調に小さくなっていました。右の画像はその1年後です,腫瘍の内部に円形の腫瘍が発生したようにみえます,周囲は黒くリング上で出血していることを示します。もしかして,腫瘍の悪性化 MPNSTと思っていたら,1月後に急速に大きくなって,顔面神経麻痺がみるみる進行しました。
1月後です。出血が増えて脳幹部の浮腫となり,顔面神経麻痺は高度となりました。仕方ないので,開頭手術で摘出したところ,血管腫でした。残っている聴神経腫瘍(神経鞘腫)も一緒に摘出したのですが,WHOグレード1の神経鞘腫のままでした。
いろいろな脳腫瘍で放射線治療して数年後に,海綿状血管腫が発生して出血を繰り返して大きくなることがあります。これもそのようなものであったのかもしれません。でも経過と状況からは悪性抹消神経鞘腫 MPNST を強く疑わせるものでした。


























