症例86

臨床所見

3歳2ヶ月 女性
要約)長期入院、寝たきりの状態で、心不全と思われる症状で死亡。 病歴)重症新生児仮死にて出生。Apgar1 分 0 点。 蘇生後、低酸素性虚血性脳症、てんかんを発症。出生5ヶ月時に誤嚥性肺炎を認め、心肺停止にて搬送。蘇生後、寝たきりの状態。 約2年半後に胃の収まりが悪くなり、徐々に徐脈を認め、心不全症状。その後、心停止となった。 既往歴)低酸素脳症、心停止蘇生後。


解剖)なし。


画像所見


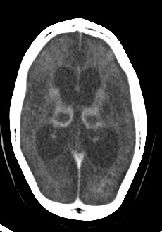
脳組織のびまん性の萎縮が認められる                  


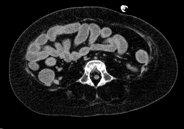
直腸にまで、液体が認められる


肝臓は脂肪肝と思われる                  


筋筋の脂肪変性または、筋委縮と脂肪浸潤が著明。                  

診断

  • 仰臥位、上肢下肢と体幹部の長さのバランスに異常なし。胸郭はうわすぼまりの形態で非常に小さい。横隔膜も高位にあり肺はかなり小さい。筋肉は高度萎縮。顔面頭蓋に比して神経頭蓋が著しく小さく小頭症である。気切、胃瘻造設後。 臥床、筋萎縮、脳萎縮で相当の基礎代謝の低下があったと思われ、脂肪組織の増生は高度である。   
  • 頭部は脳組織のびまん性の萎縮が認められる。両側大脳半球は多嚢胞性脳軟化症の状態。両側の基底核、視床、中脳、橋、延髄、小脳とも強い低吸収化で軟化と萎縮を示す。
  • 両側の中大脳動脈や脳底動脈は非常に細く、需要減少に伴う脳血流低下を示す所見と思われる。
  • 急性期の異常所見は、あったとしても指摘が困難であろうが、少なくとも大量の出血や左右差をもたらす様な所見は生じていない。  
  • 両側基底核の嚢胞状変化は留意すべき所見かもしれない。顔面頭蓋部分でも筋萎縮が著しい。眼窩内容も外眼筋が非常に細く、脂肪組織が非常に優越している。頭蓋骨肥厚、眼窩が相対的に非常に大きく見えているのは脳萎縮に伴うものであろう。  
  • 気切している。気管内カニューラが挿入されており、その位置には異常なし。 気道の分岐パターンに異常なし。
  • 両側背側肺に小さい索状影あり(長期臥床者にしばしば認める限局性無気肺や瘢痕)。
  • ベル型胸郭。肺は小さく、しかしむしろ過膨張で透過性が高く、かなり肺の volume は小さいのではないかと思われる。右上葉は瘢痕性無気肺気味で、右中下葉は代償性過膨張の状態。肺浮腫の所見はハッキリしない。気管支血管束周囲の間質の拡大や、肺胞隔壁の肥厚は認められない。胸水もなし。
  • 心大血管系に分岐、位置、粗大な形態に異常なし。心大血管内に高吸収水平面形成があり、急性死の所見。右室自由壁直下にいくつかのガス粒がある。死亡前の蘇生術の有無は記載されていないが、死後 CT は死亡確認後 30 分程度で撮影されているので、腐敗よりも 蘇生術後変化が考えやすい。慢性心不全の急性増悪では全身皮下浮腫や胸水が、ポンプ機能不全による急性左心不全では肺水腫の画像所見が特徴的だが、この死後 CT ではそれらの所見は認めないので、死亡には不整脈の要因が大きかったのではないか。
  • 肝臓にはまだら脂肪肝と思われる不均一低吸収が認められる。膵、脾の形態、大きさ、内部の描出に異常指摘できず。   
  • 胃には、胃瘻があり、その先端は胃内にあり、胃内には、薬剤投与によると思われる高吸収の物質が胃底部に溜まっている。  
  • 両側腎も大きさ、位置に異常ない。両側腎内結石あり。  
  • 腸管の走行、外径、内部の濃度などに異常は指摘できない。直腸にまで、液体が認められる。下痢を起こしていたと考えられる。腸間膜の小さなリンパ節が多発で認められる。感染性腸炎の可能性はある。S状結腸に固体状の物質が認められる。由来が不明である。  
  • 子宮は小さい。卵巣確認できず。  
  • 全身の筋の脂肪変性または、筋委縮と脂肪浸潤が見られる。四肢などでは筋膜は保たれているようにも見える。骨も全体的にスレンダーである。  

考察

  • 重症新生児仮死で出生したが、低酸素性虚血性脳症との診断を受け、その後にてんかん、誤嚥性肺炎から再度の心停止、心不全の進行から死亡したという3歳の女児である。
  • 認められた主な所見としては、1)脳のびまん性萎縮 テント上は多嚢胞性脳軟化となっている(脳幹部も強い低吸収化を示している)。2)全身の筋の著明な脂肪変性または、筋委縮と脂肪浸潤。3)肺が小さく、肺水腫の所見は認められない。
  • 全身の筋の著明な萎縮があることは一連の先天性筋ジストロフィーの存在の可能性を考えさせられる。ただしわが国に多い福山型を診断する鍵となる大脳皮質の形成異常は評価できる材料がなく、その他の様々な筋ジストロフィーも踏み込んで指摘するまでの根拠は提出できない。あくまで、多嚢胞性脳軟化症など同様の病歴を持つ四肢麻痺・長期臥床の患者と比べても筋の萎縮は著しいものであることから、筋自体に障害を起こす疾患の可能性を指摘しておくにとどまる。
  • なお肺体積は小さいのに肺の透過性は有意に低下しておらず(安静呼気位であることや荷重部無気肺~血液就下による軽度の吸収値上昇はある)、左心不全からの肺水腫は死戦期の変化としても著明ではなかったのだと推測する。
  • 呼吸管理のことについては詳述されていない。脳幹部に重篤な障害があることから、自発呼吸では生存は困難な状況と思われるが、もし自発呼吸であったとしたら呼吸筋の著明な萎縮だけでも低換気から容易に呼吸不全となったであろうと思われる。
  • 腸炎による下痢、脱水による心不全の可能性がある。それにより肺水腫に像が出現していないのではないかと思われる。

担当者名

Ai情報センター(小児死亡事例に対する死亡時画像診断モデル事業登録症例)