症例84

臨床所見

1ヶ月 男性
要約)20○○ 年12月○日夜 11 時 30 分に授乳。その際は普段通りで変わった様子は無かった。翌日の5時頃、添い寝をしていた母が布団の上で動かなくなっていることに気がつき 119 通報。来院時には既に全身に死斑が生じ、四肢の硬直も認める状態。反応無く6時30分死亡確認。


解剖)司法解剖


画像所見


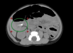
腸管内に CT 値で 300-680HU ほどの高吸収


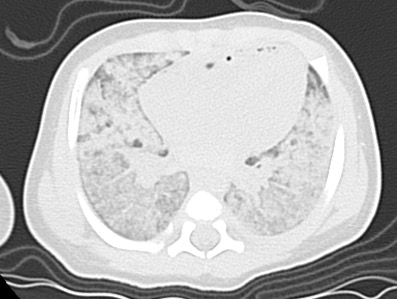
両側肺の背側肺はスリガラス状の濃度上昇に気管支血管束周囲の間質拡大が加わった状態                  


気管内に液体貯留が著明                  


関節内にガス                  

診断

  • スカウト画像より、仰臥位。体幹部はほぼ真っすぐ。両上肢は中間位程度まで挙上。肘関節屈曲。両下肢は股関節中間位、外旋し膝関節、下腿は側面撮影に近い。点滴ラインなどデバイスは見当たらない。オムツはしたままで、タオルケットに包まれているようだ。体表の輪郭に不自然な圧痕などは認められない。頭蓋と体幹のバランスに異常感ぜす。体幹と四肢のバランスに異常感ぜす。 上肢、下肢の肢節ごとのバランスにも異常指摘できず。胃泡と消化管の拡張つよい。肺は虚脱している。   
  • 頭蓋内出血指摘できない。CTで指摘できるような粗大な脳奇形なし。軽度の脳溝狭小化があるが脳槽、脳室の描出は概ね正常でヘルニアの所見なし。灰白質・白質のコントラスト、中心灰白質と周囲のコントラストは減弱して見える。 局所差はなく全体に均一な変化である。通常の死後変化を見ている可能性が高いと思われる。この他には脳内の濃度・コントラストに異常は指摘できない。静脈洞は高吸収に描 出される。血液就下の反映であると思われる。
  • 頭蓋骨骨折は認められず。頭蓋骨の形態に異常指摘できず。 眼窩、中耳・内耳に異常指摘できず。 鼻腔内は水濃度のものが充満している。 口腔内は舌が占めている。異常は指摘できない。
  • 甲状腺は正常形態で存在する。両側耳下腺・顎下腺も存在する。  
  • 気管・気管支内には水濃度のものが充満している。固形異物と思われるものは気道に認めない。両側肺の背側肺はスリガラス状の濃度上昇に気管支血管束周囲の間質拡大が加わった状態。腹側の肺は上葉では気管支血管束周囲の間質拡大が加わった形となり、中葉や舌区では含気が残った形となっている。気胸、間質性肺気腫など空気漏出は指摘できない。胸水は認められない。  
  • 詳細不明だが、心臓の大きさ、大血管の分岐形式に異常なし。 両側の下肺動脈、右房内に高吸収物が充満している。血液就下を反映している所見。 右房、右室内にガスあり(蘇生術後変化)。
  • 肝内の濃度はやや不均一で、ところどころ低吸収に見える部分がある。絶対的な CT 値は40~50 でそれほど低くなく、また血管内ガスも存在し、可視的でない部分でも肝内の CT 値を下げている可能性があるため断言できないが、脂肪浸潤を見ている可能性がある。 成人の死後 CT では前記のような所見を時々経験するものの、小児の死後 CT では個人的経験に過ぎないがミトコンドリア呼吸鎖異常の micro-vesicular fatty infiltration はこの様に見えたことがあり、SIDS の鑑別として当然考慮される疾患であるが、異常所見の可能性を記しておく。
  • 肝内のガスは肝静脈内のものであり、蘇生時の右心系からの逆流により流入したものではないかと推測する。
  • 胆道系、膵、両側副腎、両側腎、脾は内部の詳細は不明瞭であるが、定型的位置に概ね正常形態で存在する。
  • 肝右葉の下面付近に存在する腸管に径 1~4mm 大の、CT 値が平均で 300 程度の高吸収物が存在する。比較的近い位置に 20 個程度存在する。腸管壁や近接する腸間膜ではなく腸管内腔にあるようにみえるが不明確。周囲の腸管には口径不同などなく通過障害などは発 生していないように見える。   
  • 腸間膜の血管の捻転は指摘できない。 胃・近位空腸が拡張している。蘇生時に流入した空気によるものと思われる。 腸管気腫や腹腔内遊離ガス像は指摘できない。  
  • 有意な腹水なし。  
  • 膀胱は左右 2.5×前後 2.0×頭尾 1.5cm 大であり、内容は CT 値 10 未満で水濃度に近い。 左鼠径管内に径 1cm ほど、CT 値 25 程度の膨らみがある。精索水腫と思われる。両側精巣は陰嚢内にある。  
  • 両側脛骨近位骨幹端に骨髄針刺入の痕あり。髄腔内に入っていたことがわかる。肩関節、股関節にガスが認められる。  
  • 上記以外の骨折の所見なし。 軟部組織にも異常は指摘できない。  

考察

  • 脳の灰白質・白質コントラストの減弱はおそらく通常死後変化をみているものと思われ る。脳の形態や濃度に明らかな異常所見は指摘できない。
  • 両側肺は生前の肺炎・誤嚥また窒息などの可能性を否定できないが、死戦期の急性左心不全の像としても理解できると思われる。
  • 肝内の濃度の不均一化。明確な異常とできるかどうかわからないが、読影者のうち 1 名 は、本文で記したようにミトコンドリア呼吸鎖異常の micro-vesicular fatty lover がこの 様に見えた経験があると述べていたのを参考に附す。
  • 腸管内の高吸収物。腸管内の異物、腸溶性の薬剤、壊死性腸炎後の石灰化の可能性など があり得ると思う。SIDS 鑑別の一環として行われるが薬物中毒の検索は行われるべきと思う。
  • 明確な外傷死・先天異常の所見なし。
  • 死因を積極的に推測させるような所見は指摘できない。
  • ※関節内ガスについて ・・・関節内ガスは、牽引や肩を捻じった時にできる。生体の場合、引っ張っている時だけバキ ューム現象は起きる。しかし、戻せば消える。引っ張っていない時にもでるというのは、 長い時間かけてひっぱったか、陰圧が続いている時である。

担当者名

Ai情報センター(小児死亡事例に対する死亡時画像診断モデル事業登録症例)