症例83

臨床所見

1歳8ヶ月 男性
要約)低酸素性虚血脳症、喉頭気管分離術後、敗血性ショック疑い。 病歴)在胎37週5日、体重 2598g、Aps9 点(5分値)で出生。日齢3に高 T.bil 血症の為光線療法された以外に既往なし。日齢15の10時頃哺乳し、入眠したため布団に寝かせていた。布団をどかしたところ、鼻腔から泡沫状のものが出てきており、父に連絡後、救急要請、搬入時には心肺停止の状態。直ちに心肺蘇生開始。2クールで再開。以降は低酸素脳症の為自発呼吸はなく、日齢29日に気管切開施行。筋緊張が強く、換気不全が続くため、日齢29日からロクロニウムの持続投与を継続。以降は状態安定。平坦脳波、日齢 330 日から脳波活動が確認された。日齢616日、喉頭気管分離術、胃瘻造設術を実施。術中に異常なく終了。術後翌朝に頻脈となり、一旦改善したが、突然の心停止となった。1 度心拍再開したがまもなく心停止となり、その後 1 時間蘇生に反応せず、20○○ 年 ○ 月 14 日午前 8 時 47 分死亡した。死亡確認から約1時間50分でAi-CT撮影。


解剖)なし。


画像所見


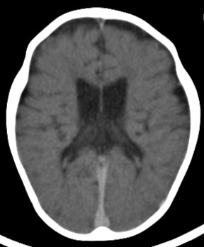
大脳半球の灰白質・白質コントラストは不明瞭


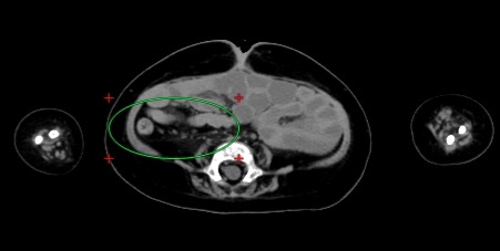
回盲部の周囲のリンパ節が多数認められる                  


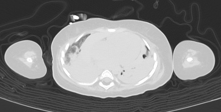
肺は特に背側肺で含気を失っている。左肺 の含気部分には、肺組織が無く、ブラを形 成している部分が認められる                  


体幹や四肢の筋の萎縮が目立ち、四肢や肋骨が細い                  

診断

  • (生前の頭部CT)位置決め画像で軟部組織の腫大が目立つ。気切されており気管透亮像が目立つ。 肺には大きな無気肺なし。CV は右鎖骨下から挿入。胃管は胃内まで到達。デバイス類に 位置異常なし。 咽頭レベルでは内腔の描出はごく狭いが、声門下から気切部、気管では内腔の狭窄なし。 舌の濃度が低下しており、denervation の状態にあると思われる。 咬筋や胸鎖乳突筋も萎縮している。 軟部組織の腫大は浮腫よりは脂肪組織の増生によるものに見える。   
  • (以下、AiCT)頭部は全身に比して小さい。 全身は軟部組織腫大の印象を受けるが、各部のバランスには異常を感じない。 筋は萎縮している。骨は細く slender bone の印象を受けるが、印象としては不動化による二次的なものとして納得できる程度と思われる。
  • 頭部は頭蓋内出血、頭蓋骨骨折は認めない。 両側大脳半球は萎縮している。びまん性、両側対称性で灰白質・白質ともに障害されているが、白質の萎縮がより顕著である。大脳半球の灰白質・白質コントラストは不明瞭。 萎縮の強い脳であり、生前も正常のコントラストはなかったのではないかと推測されるが、 死後変化も加わっていることは予測される。両側基底核は対称性に強く萎縮している。両側視床も対称性に萎縮しており、内側部分に高吸収化が目立つ。 以上の様な変化は、いずれも慢性の変化で、急性の変化が加わっていることを示す所見 は認められない。
  • 静脈洞、大脳鎌、小脳テント、側脳室内脈絡叢の高吸収化が目立ち、血液就下によるものと考える。  
  • 頭蓋骨の縫合は透亮線として残っているが、年齢から考えると狭小化・不明瞭化してお り、脳萎縮による頭蓋骨早期閉鎖の発生を示唆している。  
  • 眼窩・眼球に異常指摘できない。副鼻腔はまだ未発達である。後篩骨洞は含気が低下し ている。両側中耳の含気も低下。鼓膜は陥凹しており滲出性変化ではないかと思われる。 耳小骨や内耳の骨迷路には異常指摘できない。
  • 年齢から考えると胸郭が過度に扁平化しており、仰臥位での臥床生活の時間が長かったことを示す。頚部気管は右腕頭動脈との交差部で圧迫変形しているが、内腔の狭小化はごく軽度。
  • 肺は特に背側肺で含気を失ない、CT 値で 40~50 程度と比較的高吸収な含気消失となっている。重力分布にしたがって dependent portion の含気低下が対称性に認められ、基本的には長期臥床に伴う荷重部無気肺や沈下肺炎を見ているのではないかと思われるが、一 部は救急蘇生術に伴う肺水腫や血液就下の併存を疑う。
  • 気切状態。肺全体としては体全体に対する体積が小さいが、気管・気管支内腔は大きい。 生前に自発呼吸がなく、換気不全が持続していたため、陽圧呼吸下で気道の内腔を大きく拡げる管理がされていたことに合致する。
  • 左胸腔の前方には嚢胞状に変化した肺と限局性気管支拡張があり、少量の気胸があるようにも見える。barotrauma、biotrauma 等による 肺の嚢胞性変化が存在していたのではないかと思われ、また空気漏出が起こっていたことが推測される。 生前に単純 X 線写真などでその様な状態あったかどうかは確認が取れるものと思われる。 嚢胞性肺病変などが存在したとしても同様の像が成立しうるので、その可能性を一応指摘しておく。   
  • 胸腺は大きめに見える。年齢からの平均的体積ではおそらく平均的なレベルだが、この様な、重篤な脳障害で臥床生活をしている児としては大きく見える。ただし何か意義のある所見なのかどうかは不明。  
  • 心臓の位置、大きさは通常の心停止後の所見。心内腔には液面形成は確認できないが、ウインドウ幅を極端に狭めると(脂肪濃度が空気濃度のように見えるような条件)、心臓内腔に軽度高吸収水平面形成があるように見え、急変したという情報に一致する。右房の自由壁直下にわずかなガス粒あり(蘇生術後変化)。  
  • 肝臓はびまん性に低吸収化している。CT値は 35~45 程度である、脂肪肝の可能性を示す。長期TPNや過栄養・低栄養状態が考えやすい原因であるが、様々な代謝性疾患においても脂肪肝が発生する。  
  • 両側腎・副腎、膵に異常なし。脾は小さいが通常死後変化として納得できる程度。尿管に異常指摘できない。膀胱は虚脱している。両側精巣は鼠径部にある停留精巣の状態である。  
  • 胃の噴門部付近に高吸収物あり。出血、その嚥下、薬剤、異物などの可能性を示す。結腸内は内容物に乏しい。小腸内は水様のもので充満。結腸内は虚脱している。直腸から追跡すると S 字結腸は右腹部に主に存在し、長さがかなり長い。十二指腸水平脚の形成が確認されるので腸回転異常の可能性は低いと思われ、また現に腸捻転の状態で はなく、腸管閉塞を疑わせる所見もないが、下行結腸、横行結腸への連続は確実には追求できない。  
  • 腹水はない。左前腹壁に少量の管腔外のガスがある同部の腹直筋が軽度腫大し、近傍に脂肪混濁があり、皮膚表面に軽度陥没があることから、胃瘻抜去後状態を示しているものか。  
  • 外傷性変化は指摘できない。 全身の筋萎縮が高度である。皮下組織、腹腔内での脂肪組織量増大が認められる。脂肪組織の混濁が目立つ部分にはなく、浮腫性変化や皮下出血などが指摘できる部位はない。 管状骨は細くなっている。不動化の結果ではないかと思われる。腰椎は縦の長さが相対 的に目立ち、いわゆる tallvertebraである。脊柱の矢状方向の配列も乳児型であり、立位・ 歩行が確立していなかったことを示す。  

考察

  • 重度の脳萎縮があり、全身の筋も著しく萎縮している。気切が行われており、気道は拡張して機械的呼吸補助下にあったことを示唆している。骨の形態からは長期仰臥位生活が示され、栄養摂取、水分摂取、排泄の管理棟も自力では行えず全介助の状態にあったと推測させる。
  • 脳萎縮は周産期の基底核視床壊死を生じる様なエピソード、その後の循環停止・強い低酸素虚血エピソードいずれとしても整合する所見である。両側の視床がやや高吸収である点のみに注目すると、Tay-Sachs 病など GM2 ガンスリオシドーシスの可能性も考えたいところである。 死因は画像所見として現れている限りでは呼吸不全の可能はひとつ根拠があろうかと思われるが、呼吸不全を生じた原因は特定できない。
  • 右肺は認められるが、左肺の含気部分には、肺組織が無く、ブラを形成している部分が認められる。CCAM などの先天性空洞性病変や誤嚥による肺の破壊があった可能性がある。 生前に気づかれていないのであれば、後者であろう。
  • 体幹や四肢の筋の萎縮が目立ち、四肢や肋骨が細い。ロクロニウムの継続投与の影響の可能性もあるが、脳機能とは別に筋肉性の異常があった可能性も考えられる。筋緊張が強かったことを考えると先天性筋強直性ジストロフィーなどの可能性もある。それが原因で、生後15日の心肺停止が起き、今回の死亡につながった可能性も考えられる。

担当者名

Ai情報センター(小児死亡事例に対する死亡時画像診断モデル事業登録症例)