経テント法による小脳上面腫瘍の摘出
removal of cerebellar tumor by OTA
- 脳外科医にとって小脳腫瘍は後頭下開頭 suboccipital craniotomyで摘出するという固定概念があるかもしれません
- 小脳上面腫瘍は経テント法で摘出するべきでしょう
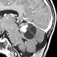
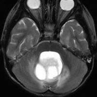
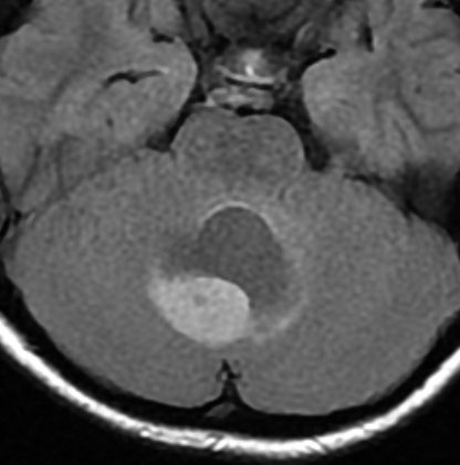
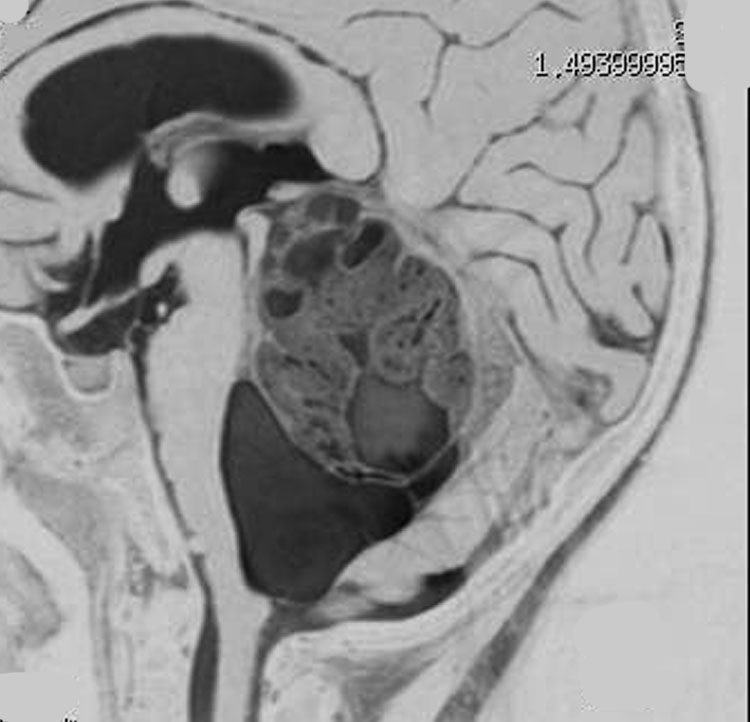
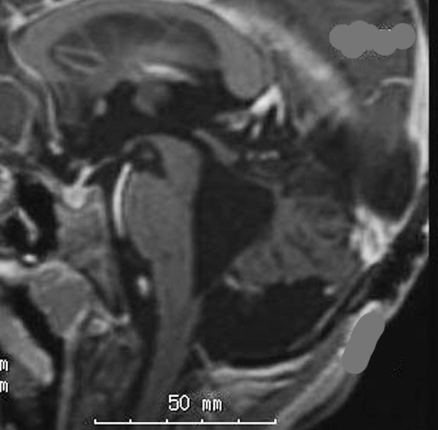
12歳の少女の小脳虫部と右半球深部白質の間にできた毛様細胞性星細胞腫 pilocytic astrocytoma です。軽い体幹失調がありました。のう胞壁の大部分には腫瘍はありませんが,一部に腫瘍壁があります。必ずしも境界は明瞭ではなく,小脳虫部の上内側面に広範囲に接着しています。年長児の毛様細胞性星細胞腫は,Rosental fiber, eosinophilic granular bodyが多く見られ,硬く,小脳脳組織に食い込み,簡単に剥離摘出できるものではありません。脳組織と切開切断するように切り落とさなければ全摘できないものです。
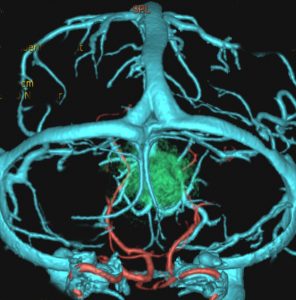
後頭下からみた腫瘍(緑)です。正中に大きな架橋静脈 vermian veinがあります。
この腫瘍を後頭下開頭で摘出しようとすれば,小脳虫部と右小脳半球の間をかなり長く縦切開しなければなりません。テント直下から小脳上面をたどっても腫瘍の上端は見えても摘出は不可能です。ですから,必然的にアプローチは後頭開頭経テント法 occipital transtentorial approachとなります。
手技の要点
- テント切開の前にpericallosal cisternから髄液排出します
- テント切開は静脈洞交会 confluenceに近いギリギリまで行います
- テントは焼かないで,メスあるいはハサミで切断してから焼灼 bipolar cauteryしたほうが止血が圧倒的に簡単です
- 小脳テントは長く切断し,焼き縮めて小脳表面を広く露出します
- テントを切断すれば直下に小脳腫瘍がみえます
- テント切断後はガレン大静脈の背側で,上小脳槽のくも膜を剥離し小脳を可動化します
- 対側の迂回槽 ambient cisternまで剥離すると小脳が左右上下にかなり動くようになります
- そこまで準備してから,小脳に小さな皮質切開を加えます
- 小脳の可動化により小さなcorticotomyで腫瘍を全摘出できることができます
- 毛様細胞性星細胞腫ですから何がなんでも完全摘出するということはしません
- 運悪く取り残せば再開頭手術で全摘出すればいいものです
ビデオ (10分) はここをクリックすると見えます
棚橋邦明先生編集です

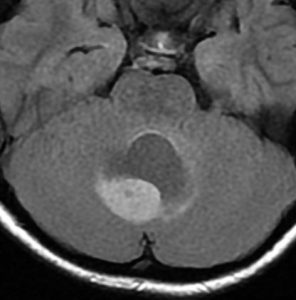
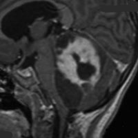
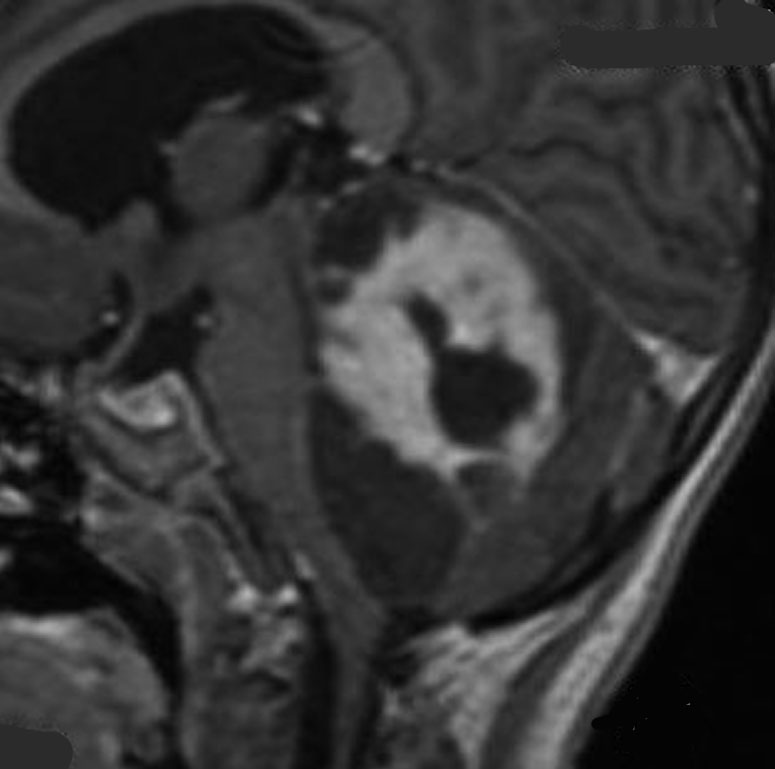
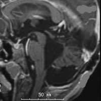
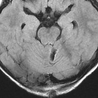
手術翌日のMRIです。小脳失調症状の出現はなく,抜糸してすぐに退院して普通の生活に戻れました。
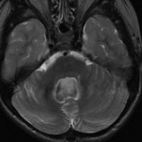
この画像を見れば,後頭下開頭テント下法 infratentorial approach では,小脳切断しなければ腫瘍に届かないことが理解できると思います。
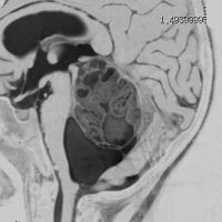
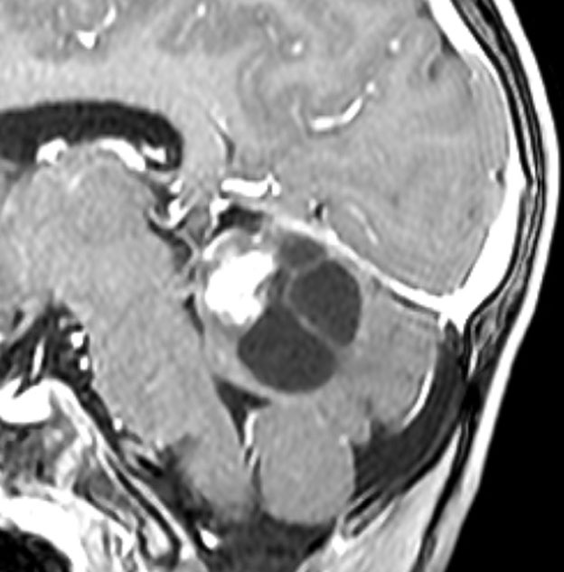
同じような小児例です

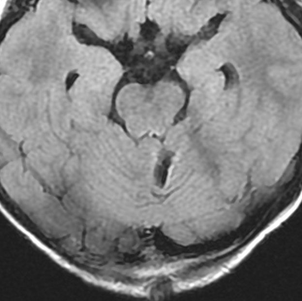
右側は手術直後のFLAIR像です。小児ですから大きなのう胞はすぐに潰れて小脳がもどります。白質損傷もなく腫瘍は摘出できています。
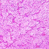
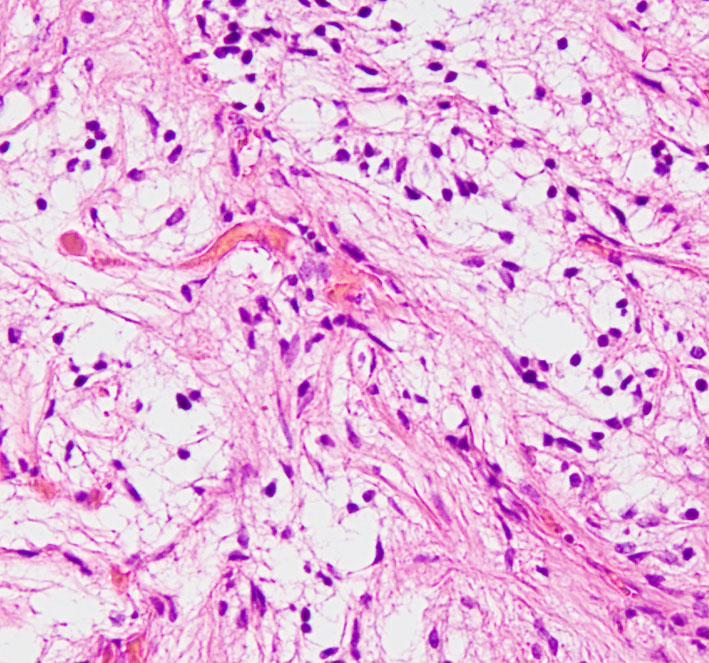
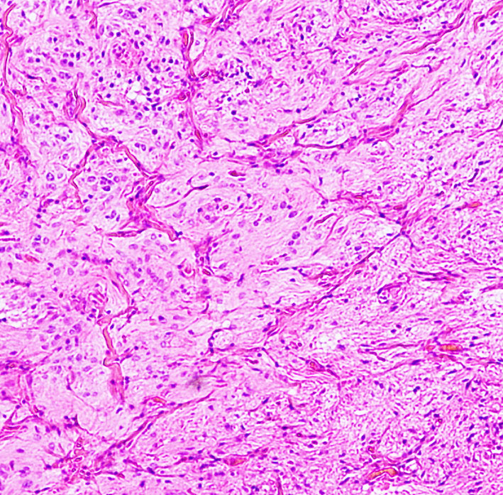
病理です。10歳くらいになるので疎な部分と密な部分が混在します。左側は,幼児型のpilocytic astrocytomaの非常に疎な組織で,吸引管で簡単に吸い取ることができる部分です。右側は,グリア組織が発達してコンパクトな部分で切り取らなければ切除できません。このような部分を小脳表面からむしり取ると,小脳白質損傷を招きます。ガドリニウム増強される部分の腫瘍は柔らかいという特徴があります。
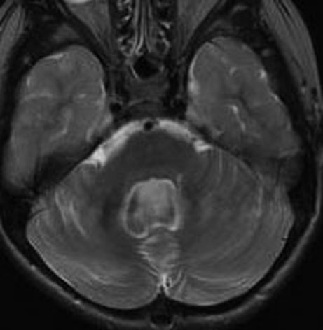
4歳発症の大きなもの
これも小脳中部上端から発生したもので,中脳水道が開いています。OTAで摘出しなければ小脳中部に大きな損傷を与えるものですから,後頭下開頭をしてはなりません。術後10年ほど経ちますが再発はなくてダンスをしてます。








