レルミット・ダクロス病 Lhermitte-Duclos disease
レルミット・ダクロス病 Lhermitte-Duclos disease
小脳異形成性神経節細胞腫 Dysplastic gangliocytoma of the cerebellum
- 乳児から60代まで,幅広い年齢で発症します
- 20代から30代に多いです
- WHO grade 1の良性腫瘍です
- 左右どちらかの小脳半球が腫れて大きくなってしまう病気です
- 腫瘍 tumor/neoplam というよりも,小脳の一部が異常に大きくなってしまうものと考えた方がいいでしょう
- 過誤腫 hamartoma あるいは形成異常 dysplasia ともいわれます
- でも,とてもゆっくり何年もかけて大きくなります
- 水頭症を合併することが多いです
- 小脳が腫れるので後頭窩(テント下)の圧が上昇して症状が出ます
原因
- コーデン症候群に合併することが多いです
- PTEN遺伝子に異常があって生まれた人に生じます
症状
- 数年かかってゆっくり症状が進行することが多いです
- 頭の中の圧力があがる脳圧亢進という症状が出ます
- 頭痛,呕吐,目がぼやける(視力障害),2重に見える(複視)などです
- 乳児では,眼振や呕吐などの症状がみられます
- まれに,急性の閉塞性水頭症で,傾眠傾向や意識障害になります
- 歩く時にふらつく,不安定になるという小脳失調も多いです
- 脳神経麻痺もみられ,片方の聴力が低下する,飲み込みが悪い(嚥下障害)などがみられます
- 大頭症,多指症,多発性血管腫,頭蓋骨奇形(早期癒合症)などを合併することがあります
診断
- MRIで確定診断ができます
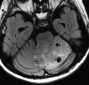
- MRIで片方の小脳に大きな腫瘍がみられます
- T1強調画像で低信号,T2強調画像でやや高信号になります
- ガドリニウムで増強されないこともありますが,一部が増強されることがあります
- かつては,a cerebellum in the cerebellumといわれたように,小脳の中に別な小脳ができたような形態を示します
- gyriform pattern, laminated lesion, striated appearance, tiger-stripe appearance と表現される所見で診断がつきます
- FDG-PETでは正常小脳よりも強いuptakeがみられますが緩徐増大性の病変です
1歳で水頭症と左聴力低下で発症した例
水頭症による嘔吐と軽度の意識障害で発症しました。治療は左小脳橋角部で脳神経を圧迫している部分だけをほんの少し部分摘出しました。水頭症は内視鏡による第3脳室開窓術で治しました。

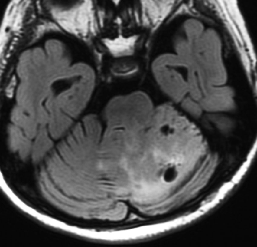
上にお見せした例の8年後の画像です。腫瘍は8年間で全く大きくなりませんでした。

15年後,17歳の時の画像です。全く変化がないかごくわずかに退縮しているかもしれません。自転車にも乗れます,ちょっと走ることが遅い普通の高校生です。
治療
- 後頭下開頭で腫瘍化した部分だけを部分摘出します
- 必ずしも腫瘍を全部とる必要はありません
- 大きな腫瘍を全摘出しても症状を残さないことも多いです
- 水頭症を合併している例では,内視鏡による第3脳室開窓術をします
病理
- widening of the molecular layer
- proliferation of abnormal ganglion cells
- absence of the Purkinje cell layer
- hypertrophy of the granule cell layer
予後
- 良性の経過をたどります
- 加齢とともに思春期で自然退縮することがあります
- コーデン症候群を合併していると,癌を発症する可能性が高くなります
悪性神経膠腫へ進展すること
- きわめてまれに,過誤腫性神経節細胞腫から,神経節膠腫を混じてグレード3の神経節膠腫へと悪性化することがあります
- Takei H, et al.: Anaplastic ganglioglioma arising from a Lhermitte-Duclos-like lesion. Case report. J Neurosurg 107: 137-142, 2007に小児例が報告されました
- 澤村も同時期にほとんど同じ症例を経験したことがあります
コーデン症候群 Cawden symdrome
- multiple hamartoma-neoplasia syndromeの一種です
- 皮膚科で診断されることの多い病気です
- 内蔵も含めて,身体のあちこちに過誤腫 hamartomaという良性のできものができます
- 特に顔面と口腔内に,多発性の乳頭状丘疹 papule や毛根鞘腫 trichilemmomaができます
- これらのできものが悪性化することもあります
- 乳がん,甲状腺がん,子宮がんなどです
- まれに,レルミット・ダクロス病を併発することでも知られています
- 頭部では,大頭症 macrocephalyを合併することがあります
- ですから,小脳腫瘍があってレルミット・ダクロス病と診断された場合には,コーデン症候群を併発していないかどうかを調べます
原因
- 第10染色体長腕のPTEN遺伝子 (Phosphatase and Tensin homolog gene)に変異があるために生じる疾患です
- 常染色体優性遺伝です
PTEN hamartoma tumor syndrome (PHTS)
- 生まれつきPTEN遺伝子変異 (germ line PTEN mutation) がある患者さんに生じるものです
- コーデン症候群,Bannayan-Riley-Ruvalcaba syndrome,Proteus-like syndromeなどを含めて,PTEN hamartoma tumor syndromeといいます
- PTENは細胞周期を調節するphosphataseを介して腫瘍抑制遺伝子として働いています
- PTENの機能が失われると細胞増殖がコントロールできなくなり腫瘍が発生します
- 良性の過誤腫ができるばかりでなく,癌の発生率も高いです
- コーデン症候群やレルミット・ダクロス病を生じたりします
- オランダからの報告では,60歳までに,男性の56%,女性の87%に腫瘍が発生したということです
- フランスからの報告では,70歳までに癌が発生する確率は85%とのことです
- 特に女性では,乳がん,甲状腺がん,レルミット・ダクロス病の発生率が高いとされます
- PTENは膠芽腫 glioblastoma の原因遺伝子の一つとしても知られています
- またPHTSのなかには,精神発達遅滞と自閉症 autism という精神症状を出すタイプもあります
文献
- Bubien V, et al.: High cumulative risks of cancer in patients with PTEN hamartoma tumour syndrome. J Med Genet 50: 255-263, 2013
- Nieuwenhuis MH, et al.: Cancer risk and genotype-phenotype correlations in PTEN hamartoma tumor syndrome. Fam Cancer. 2013 Aug 11. [Epub]
- Nowak DA, et al.: Lhermitte-Duclos disease (Dysplastic gangliocytoma of the cerebellum). Clin Neurol Neurosurg 103: 105-110, 2001
- Nowak DA, et al.: Lhermitte-Duclos disease (dysplastic cerebellar gangliocytoma): a malformation, hamartoma or neoplasm? Acta Neurol Scand 105: 137-145, 2002
- Robinson S, et al.: Cowden disease and Lhermitte-Duclos disease: characterization of a new phakomatosis. Neurosurgery 46: 371-383, 2000
- Takei H, et al.: Anaplastic ganglioglioma arising from a Lhermitte-Duclos-like lesion. Case report. J Neurosurg 107: 137-142, 2007
- Wei G, et al.: Teaching neuroimages: MRI appearances of Lhermitte-Duclos disease. Neurology 80: e67-68, 2013

